Andrographis paniculata (Burm.f.) Nees Alleviates Methotrexate-Induced Hepatotoxicity in Wistar Albino Rats
Abstract
1. Introduction
2. Materials and Methods
2.1. Drugs and Chemical Reagents
2.2. Plant Extraction
2.3. Gas Chromatography–Mass Spectroscopy Analysis of Andrographis paniculata
2.4. Animals
2.5. Experimental Design
- Group 1: Normal control—Control group (no intervention);
- Group 2: Toxic control—MTX (20 mg/kg b.w., i.p.) on the 9th day;
- Group 3: Treated—Aqueous leaf extract of Andrographis paniculata (500 mg/ kg b.w./day, p.o.) for 10 days + single dose of MTX (20 mg/kg b.w., i.p.) on 9th day;
- Group 4: Standard—SLY (100 mg/kg b.w., p.o.) for 10 days + single dose of methotrexate (20 mg/kg b.w., i.p.) on 9th day;
- Group 5: Drug alone—Aqueous leaf extract of Andrographis paniculata (500 mg/kg b.w./day, p.o.) alone for 10 days.
2.6. Biochemical and Antioxidant Analysis
2.7. Histopathological Analysis
2.8. ELISA Assay
2.9. Immunohistochemical Staining
2.10. Statistical Analysis
3. Results
3.1. Phytochemical Constituent Analysis of Andrographis paniculata through GC-MS
3.2. Protective Effect of Andrographis paniculata on Liver Enzyme Markers
3.3. Protective Effect of Andrographis paniculata on Lipid Profile
3.4. Protective Effect of Andrographis paniculata on Antioxidant Biomarkers and Lipid Peroxidation
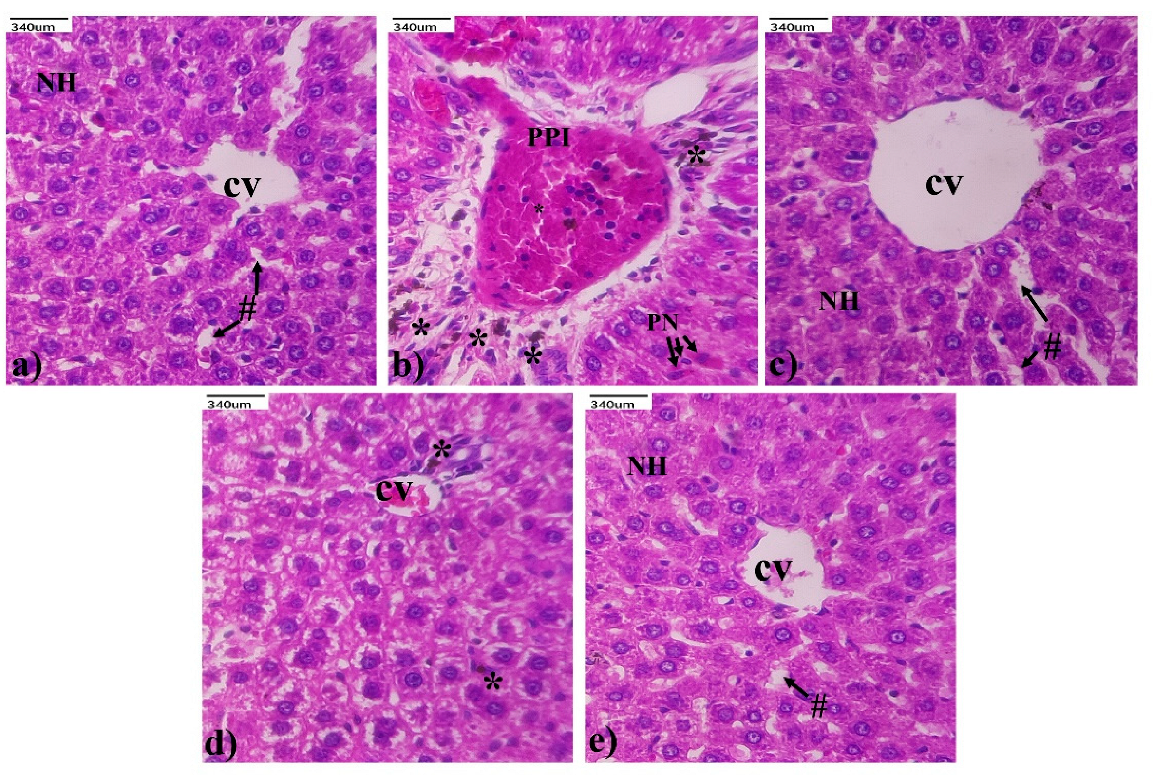
3.5. Protective Effect of Andrographis paniculata on Liver Histopathology Alterations
3.6. Protective Effect of Andrographis paniculata on Anti- and Proinflammatory Cytokines through ELISA
3.7. Protective Effect of Andrographis paniculata on Protein Expression Degree of Caspase-3 and Bcl-2throughy Immunohistochemistry Analysis
4. Discussion
5. Conclusions
Author Contributions
Funding
Institutional Review Board Statement
Informed Consent Statement
Data Availability Statement
Acknowledgments
Conflicts of Interest
References
- Ikeyama, Y.; Sato, T.; Takemura, A.; Sekine, S.; Ito, K. Hypoxia/Reoxygenation Exacerbates Drug-Induced Cytotoxicity by Opening Mitochondrial Permeability Transition Pore: Possible Application for Toxicity Screening. Toxicol. Vitr. 2020, 67, 104889. [Google Scholar] [CrossRef] [PubMed]
- Francis, P.; Navarro, V.J. Drug Induced Hepatotoxicity. J. Pharm. Pract. 2021, 12, 443–461. [Google Scholar] [CrossRef]
- Koźmiński, P.; Halik, P.K.; Chesori, R.; Gniazdowska, E. Overview of Dual-Acting Drug Methotrexate in Different Neurological Diseases, Autoimmune Pathologies and Cancers. Int. J. Mol. Sci. 2020, 21, 3483. [Google Scholar] [CrossRef] [PubMed]
- Wang, G.; Peng, X. A Review of Clinical Applications and Side Effects of Methotrexate in Ophthalmology. J. Ophthalmol. 2020, 2020, 1537689. [Google Scholar] [CrossRef] [PubMed]
- Katturajan, R.; Sabina, E.P. Joint Inflammation: Insights of Osteoarthritis, Gouty and Rheumatoid Arthritis and Its Prevalence, Mechanism, Medications and Remedies. Indian J. Pharm. Sci. 2021, 83, 886–898. [Google Scholar] [CrossRef]
- Capella, G.L.; Finzi, A.F. Psoriasis and Other Papulosquamous Diseases in Infants and Children. Clin. Derm. 2000, 18, 701–709. [Google Scholar] [CrossRef] [PubMed]
- Gerber, D.E.; Grossman, S.A.; Batchelor, T.; Ye, X. Calculated versus Measured Creatinine Clearance for Dosing Methotrexate in the Treatment of Primary Central Nervous System Lymphoma. Cancer Chemother. Pharm. 2007, 59, 817–823. [Google Scholar] [CrossRef] [PubMed]
- Conway, R.; Carey, J.J. Risk of Liver Disease in Methotrexate Treated Patients. World J. Hepatol. 2017, 9, 1092. [Google Scholar] [CrossRef]
- García-González, C.M.; Baker, J. Treatment of Early Rheumatoid Arthritis: Methotrexate and Beyond. Curr. Opin. Pharm. 2022, 64, 102227. [Google Scholar] [CrossRef]
- Tag, H.M. Hepatoprotective Effect of Mulberry (Morus Nigra) Leaves Extract against Methotrexate Induced Hepatotoxicity in Male Albino Rat. BMC Complement. Altern. Med. 2015, 15, 1–9. [Google Scholar] [CrossRef]
- Vardi, N.; Parlakpinar, H.; Cetin, A.; Erdogan, A.; Ozturk, I.C. Protective Effect of β-Carotene on Methotrexate-Induced Oxidative Liver Damage. Toxicol. Pathol. 2010, 38, 592–597. [Google Scholar] [CrossRef] [PubMed]
- Chauhan, P.; Sharma, H.; Kumar, U.; Mayachari, A.; Sangli, G.; Singh, S. Protective Effects of Glycyrrhiza Glabra Supplementation against Methotrexate-Induced Hepato-Renal Damage in Rats: An Experimental Approach. J. Ethnopharmacol. 2020, 263, 113209. [Google Scholar] [CrossRef] [PubMed]
- Ezhilarasan, D. Hepatotoxic Potentials of Methotrexate: Understanding the Possible Toxicological Molecular Mechanisms. Toxicology 2021, 458, 152840. [Google Scholar] [CrossRef] [PubMed]
- Adu-Frimpong, M.; Abugri, J.; Annor, B.O.H. Prevention and Treatment of Methotrexate-Induced Hepatotoxicity: Potential of Natural Phytobioactive Compounds. Pharm. Methods 2022, 13, 1–6. [Google Scholar] [CrossRef]
- Wei, X.; Wu, Y.; Tang, H.; Wang, B.; Wang, Y.; Sun, W.; Asenso, J.; Xiao, F.; Wang, C. CP-25 Ameliorates Methotrexate Induced Nephrotoxicity via Improving Renal Apoptosis and Methotrexate Excretion. J. Pharm. Sci. 2021, 146, 21–28. [Google Scholar] [CrossRef]
- Jayakumar, T.; Hsieh, C.-Y.; Lee, J.-J.; Sheu, J.-R. Experimental and Clinical Pharmacology of Andrographis Paniculata and Its Major Bioactive Phytoconstituent Andrographolide. Evid.-Based Complement. Altern. Med. 2013, 2013, 846740. [Google Scholar] [CrossRef]
- Subramanian, R.; Asmawi, M.Z.; Sadikun, A. A Bitter Plant with a Sweet Future? A Comprehensive Review of an Oriental Medicinal Plant: Andrographis Paniculata. Phytochem. Rev. 2011, 11, 39–75. [Google Scholar] [CrossRef]
- Fardiyah, Q.; Ersam, T.; Suyanta; Slamet, A.; Suprapto; Kurniawan, F. New Potential and Characterization of Andrographis Paniculata L. Ness Plant Extracts as Photoprotective Agent. Arab. J. Chem. 2020, 13, 8888–8897. [Google Scholar] [CrossRef]
- Hossain, M.S.; Urbi, Z.; Sule, A.; Rahman, K.M.H. Andrographis Paniculata (Burm. f.) Wall. Ex Nees: A Review of Ethnobotany, Phytochemistry, and Pharmacology. Sci. World J. 2014, 2014, 274905. [Google Scholar] [CrossRef]
- Simon, J.P.; Evan Prince, S. Ameliorative Activity of Aqueous Leaf Extract from Madhuca Longifolia against Diclofenac-Administered Toxicity on Rat Stomach and Intestine. J. Histotechnol. 2021, 44, 114–126. [Google Scholar] [CrossRef]
- Bijak, M. Silybin, a major bioactive component of milk thistle (Silybum marianum L. Gaernt.)—Chemistry, bioavailability, and metabolism. Molecules 2017, 22, 1942. [Google Scholar] [CrossRef] [PubMed]
- Mehta, S.; Sharma, A.K.; Singh, R.K. Pharmacological Activities and Molecular Mechanisms of Pure and Crude Extract of Andrographis Paniculata: An Update. Phytomedicine Plus 2021, 1, 100085. [Google Scholar] [CrossRef]
- Alasyam, N.; Narapogu, V.; John, P.; Ubedulla, S.; Pokala, N. Evaluation of Hepatoprotective Activity of Aqueous Extract of Andrographis Paniculata in Wistar Rats. Int. J. Pharmacol. Clin. Sci. 2017, 5, 113–117. [Google Scholar] [CrossRef]
- Safaei, F.; Mehrzadi, S.; Khadem Haghighian, H.; Hosseinzadeh, A.; Nesari, A.; Dolatshahi, M.; Esmaeilizadeh, M.; Goudarzi, M. Protective Effects of Gallic Acid against Methotrexate-Induced Toxicity in Rats. Acta Chir. Belg. 2018, 118, 152–160. [Google Scholar] [CrossRef]
- Nwaechefu, O.O.; Olaolu, T.D.; Akinwunmi, I.R.; Ojezele, O.O.; Olorunsogo, O.O. Cajanus Cajan Ameliorated CCl4-Induced Oxidative Stress in Wistar Rats via the Combined Mechanisms of Anti-Inflammation and Mitochondrial-Membrane Transition Pore Inhibition. J. Ethnopharmacol. 2022, 289, 114920. [Google Scholar] [CrossRef]
- Rajamanickam, V.; Kumar Chellappann, D. Hepatoprotective effects of aqueous extract of andrographis paniculata against ccl4 induced hepatotoxicity in albino wistar rats. Asian J. Pharm. Clin. Res. 2011, 4, 93–94. [Google Scholar]
- Marklund, S.; Marklund, G. Involvement of the Superoxide Anion Radical in the Autoxidation of Pyrogallol and a Convenient Assay for Superoxide Dismutase. Eur. J. Biochem. 1974, 47, 469–474. [Google Scholar] [CrossRef]
- Moron, M.S.; Depierre, J.W.; Mannervik, B. Levels of Glutathione, Glutathione Reductase and Glutathione S-Transferase Activities in Rat Lung and Liver. Biochim. Et Biophys. Acta BBA-Gen. Subj. 1979, 582, 67–78. [Google Scholar] [CrossRef]
- Sinha, A.K. Colorimetric Assay of Catalase. Anal. Biochem. 1972, 47, 389–394. [Google Scholar] [CrossRef]
- Rotruck, J.T.; Pope, A.L.; Ganther, H.E.; Swanson, A.B.; Hafeman, D.G.; Hoekstra, W.G. Selenium: Biochemical Role as a Component of Glutathione Peroxidase. Science 1973, 179, 588–590. [Google Scholar] [CrossRef]
- Ohkawa, H.; Ohishi, N.; Yagi, K. Assay for Lipid Peroxides in Animal Tissues by Thiobarbituric Acid Reaction. Anal. Biochem. 1979, 95, 351–358. [Google Scholar] [CrossRef] [PubMed]
- Malaguarnera, G.; Cataudella, E.; Giordano, M.; Nunnari, G.; Chisari, G.; Malaguarnera, M. Toxic Hepatitis in Occupational Exposure to Solvents. World J. Gastroenterol. WJG 2012, 18, 2756. [Google Scholar] [CrossRef] [PubMed]
- Wang, W.; Zhou, H.; Liu, L. Side Effects of Methotrexate Therapy for Rheumatoid Arthritis: A Systematic Review. Eur. J. Med. Chem. 2018, 158, 502–516. [Google Scholar] [CrossRef] [PubMed]
- Howard, S.C.; McCormick, J.; Pui, C.-H.; Buddington, R.K.; Harvey, R.D. Preventing and Managing Toxicities of High-Dose Methotrexate. Oncologist 2016, 21, 1471. [Google Scholar] [CrossRef]
- Katturajan, R.S.V.; Rasool, M.; Evan Prince, S. Molecular Toxicity of Methotrexate in Rheumatoid Arthritis Treatment: A Novel Perspective and Therapeutic Implications. Toxicology 2021, 461, 152909. [Google Scholar] [CrossRef]
- Roghani, M.; Kalantari, H.; Khodayar, M.J.; Khorsandi, L.; Kalantar, M.; Goudarzi, M.; Kalantar, H. Alleviation of Liver Dysfunction, Oxidative Stress and Inflammation Underlies the Protective Effect of Ferulic Acid in Methotrexate-Induced Hepatotoxicity. Drug Des Devel Ther. 2020, 14, 1933–1941. [Google Scholar] [CrossRef] [PubMed]
- Tawfik, M.K. Combination of Coenzyme Q10 with Methotrexate Suppresses Freund’s Complete Adjuvant-Induced Synovial Inflammation with Reduced Hepatotoxicity in Rats: Effect on Oxidative Stress and Inflammation. Int. Immunopharmacol. 2015, 24, 80–87. [Google Scholar] [CrossRef]
- Montasser, A.O.S.; Saleh, H.; Ahmed-Farid, O.A.; Saad, A.; Marie, M.A.S. Protective Effects of Balanites Aegyptiaca Extract, Melatonin and Ursodeoxycholic Acid against Hepatotoxicity Induced by Methotrexate in Male Rats. Asian Pac. J. Trop. Med. 2017, 10, 557–565. [Google Scholar] [CrossRef]
- Soliman, M.M.; Aldhahrani, A.; Alkhedaide, A.; Nassan, M.A.; Althobaiti, F.; Mohamed, W.A. The Ameliorative Impacts of Moringa Oleifera Leaf Extract against Oxidative Stress and Methotrexate-Induced Hepato-Renal Dysfunction. Biomed. Pharmacother. 2020, 128, 110259. [Google Scholar] [CrossRef] [PubMed]
- Ghadir, M.R.; Riahin, A.A.; Havaspour, A.; Nooranipour, M.; Habibinejad, A.A. The Relationship between Lipid Profile and Severity of Liver Damage in Cirrhotic Patients. Hepat. Mon. 2010, 10, 285. [Google Scholar]
- Corey, K.E.; Vuppalanchi, R.; Wilson, L.A.; Cummings, O.W.; Chalasani, N. NASH Resolution Is Associated with Improvements in HDL and Triglyceride Levels But Not Improvement in LDL or Non-HDL-C Levels. Aliment Pharm. 2015, 41, 301. [Google Scholar] [CrossRef] [PubMed]
- Simon, J.P.; Parthasarathy, M.; Nithyanandham, S.; Katturaja, R.K.; Namachivayam, A.; Prince, S.E. Protective Effect of the Ethanolic and Methanolic Leaf Extracts of Madhuca Longifolia against Diclofenac-Induced Toxicity in Female Wistar Albino Rats. Pharmacol. Rep. 2019, 71, 983–993. [Google Scholar] [CrossRef] [PubMed]
- Hafez, H.M.; Ibrahim, M.A.; Ibrahim, S.A.; Amin, E.F.; Goma, W.; Abdelrahman, A.M. Potential Protective Effect of Etanercept and Aminoguanidine in Methotrexate-Induced Hepatotoxicity and Nephrotoxicity in Rats. Eur. J. Pharm. 2015, 768, 1–12. [Google Scholar] [CrossRef] [PubMed]
- Padma, V.V.; Baskaran, R.; Roopesh, R.S.; Poornima, P. Quercetin Attenuates Lindane Induced Oxidative Stress in Wistar Rats. Mol. Biol. Rep. 2012, 39, 6895–6905. [Google Scholar] [CrossRef]
- Moghadam, A.R.; Tutunchi, S.; Namvaran-Abbas-Abad, A.; Yazdi, M.; Bonyadi, F.; Mohajeri, D.; Mazani, M.; Marzban, H.; Łos, M.J.; Ghavami, S. Pre-Administration of Turmeric Prevents Methotrexate-Induced Liver Toxicity and Oxidative Stress. BMC Complement. Altern. Med. 2015, 15, 246. [Google Scholar] [CrossRef]
- Ighodaro, O.M.; Akinloye, O.A. First Line Defence Antioxidants-Superoxide Dismutase (SOD), Catalase (CAT) and Glutathione Peroxidase (GPX): Their Fundamental Role in the Entire Antioxidant Defence Grid. Alex. J. Med. 2019, 54, 287–293. [Google Scholar] [CrossRef]
- Zhang, W.; Gao, J.; Lu, L.; Bold, T.; Li, X.; Wang, S.; Chang, Z.; Chen, J.; Kong, X.; Zheng, Y.; et al. Intracellular GSH/GST Antioxidants System Change as an Earlier Biomarker for Toxicity Evaluation of Iron Oxide Nanoparticles. NanoImpact 2021, 23, 100338. [Google Scholar] [CrossRef]
- Zhang, J.; Yang, Z.; Zhang, S.; Xie, Z.; Han, S.; Wang, L.; Zhang, B.; Sun, S. Investigation of Endogenous Malondialdehyde through Fluorescent Probe MDA-6 during Oxidative Stress. Anal. Chim. Acta 2020, 1116, 9–15. [Google Scholar] [CrossRef]
- Fakurazi, S.; Sharifudin, S.A.; Arulselvan, P. Moringa Oleifera Hydroethanolic Extracts Effectively Alleviate Acetaminophen-Induced Hepatotoxicity in Experimental Rats through Their Antioxidant Nature. Molecules 2012, 17, 8334. [Google Scholar] [CrossRef]
- Kalantari, H.; Asadmasjedi, N.; reza Abyaz, M.; Mahdavinia, M.; Mohammadtaghvaei, N. Protective Effect of Inulin on Methotrexate- Induced Liver Toxicity in Mice. Biomed. Pharmacother. 2019, 110, 943–950. [Google Scholar] [CrossRef] [PubMed]
- Zhang, H.; Wang, J.; Lang, W.; Liu, H.; Zhang, Z.; Wu, T.; Li, H.; Bai, L.; Shi, Q. Albiflorin Ameliorates Inflammation and Oxidative Stress by Regulating the NF-ΚB/NLRP3 Pathway in Methotrexate-Induced Enteritis. Int. Immunopharmacol. 2022, 109, 108824. [Google Scholar] [CrossRef]
- Pınar, N.; Kaplan, M.; Özgür, T.; Özcan, O. Ameliorating Effects of Tempol on Methotrexate-Induced Liver Injury in Rats. Biomed. Pharmacother. 2018, 102, 758–764. [Google Scholar] [CrossRef]
- Alam, M.F.; Safhi, M.M.; Anwer, T.; Siddiqui, R.; Khan, G.; Moni, S.S. Therapeutic Potential of Vanillylacetone against CCl4 Induced Hepatotoxicity by Suppressing the Serum Marker, Oxidative Stress, Inflammatory Cytokines and Apoptosis in Swiss Albino Mice. Exp. Mol. Pathol. 2018, 105, 81–88. [Google Scholar] [CrossRef] [PubMed]
- Kabel, A.M.; Alzahrani, A.A.; Bawazir, N.M.; Khawtani, R.O.; Arab, H.H. Targeting the Proinflammatory Cytokines, Oxidative Stress, Apoptosis and TGF-Β1/STAT-3 Signaling by Irbesartan to Ameliorate Doxorubicin-Induced Hepatotoxicity. J. Infect. Chemother. 2018, 24, 623–631. [Google Scholar] [CrossRef] [PubMed]
- Khafaga, A.F.; El-Sayed, Y.S. Spirulina Ameliorates Methotrexate Hepatotoxicity via Antioxidant, Immune Stimulation, and Proinflammatory Cytokines and Apoptotic Proteins Modulation. Life Sci. 2018, 196, 9–17. [Google Scholar] [CrossRef]
- McIlwain, D.R.; Berger, T.; Mak, T.W. Caspase Functions in Cell Death and Disease. Cold Spring Harb. Perspect. Biol. 2013, 5, a008656. [Google Scholar] [CrossRef] [PubMed]







| S. no | RT (min) | Phytochemical Name | Molecular Formula | Molecular Weight | Peak Area (%) |
|---|---|---|---|---|---|
| 1 | 2.518 | Cyclobutanol | C4H8O | 72 | 6.331 |
| 2 | 2.859 | Acetic acid, 1-methylethyl ester | C5H10O2 | 102 | 19.949 |
| 3 | 4.129 | 3-methoxycarbonyl-3-methyl-1,2,4-trioxolane | C5H8O5 | 148 | 1.578 |
| 4 | 6.685 | Oxalic acid, isohexyl pentyl ester | C13H24O4 | 244 | 2.593 |
| 5 | 13.843 | 1-octanamine, n-methyl-n-nitroso- | C9H20ON2 | 172 | 14.451 |
| 6 | 16.144 | Heptanal | C7H14O | 114 | 10.492 |
| 7 | 17.359 | 3,4-furandiol, tetrahydro-, cis- | C4H8O3 | 104 | 1.333 |
| 8 | 24.392 | 2-methyl-6-methylene-octa-1,7-dien-3-ol | C10H16O | 152 | 0.859 |
| 9 | 26.513 | 1-tridecyne | C13H24 | 180 | 3.572 |
| 10 | 26.698 | 1,1-dodecanediol, diacetate | C16H30O4 | 286 | 0.954 |
| 11 | 27.973 | 2,6-lutidine 3,5-dichloro-4-dodecylthio- | C19H31NCl2S | 375 | 2.070 |
| 12 | 29.334 | 1-propanamine, n,2-dimethyl-n-nitroso- | C5H12ON2 | 116 | 1.408 |
| 13 | 29.609 | (2s,3s)-(-)-3-propyloxiranemethanol | C6H12O2 | 116 | 1.150 |
| 14 | 30.074 | 3,4-nonadien-6-yne, 5-ethyl-3-methyl- | C12H18 | 162 | 11.150 |
| 15 | 31.645 | Andrographolide | C20H30O5 | 350 | 22.111 |
| PARAMETERS | SOD (Units/min/mg Protein) | CAT (Units/min/mg Protein) | GSH (nmol/mg Protein) | GPx (nmol/min/mg Protein) | MDA (nmol/g Tissue) |
|---|---|---|---|---|---|
| Control | 97.01 ± 0.53 | 77.15 ± 0.62 | 48.84 ± 0.3 | 43.63 ± 0.03 | 2.18 ± 0.07 |
| MTX | 58.86 ± 0.39 a* | 38.42 ± 0.31 a* | 25.06 ± 0.29 a* | 24.80 ± 0.12 a* | 4.70 ± 0.02 a* |
| MTX + ALEAP | 83.60 ± 0.33 a*b* | 74.79 ± 0.07 a*b* | 45.92 ± 0.46 ab* | 40.91 ± 0.13 a*b* | 2.85 ± 0.08 a*b* |
| MTX + SLY | 78.53 ± 0.35 a*b*c* | 68.78 ± 0.02 a*b*c* | 42.01 ± 0.12 a*b*c* | 38.68 ± 0.15 a*b*c* | 3.19 ± 0.01 a*b*c* |
| ALEAP | 81.20 ± 0.45 a*b*cd* | 75.16 ± 0.45 b*c*d* | 47.04 ± 0.28 b*d* | 41.63 ± 0.02 a*b*d* | 2.45 ± 0.02 ab*c*d* |
Disclaimer/Publisher’s Note: The statements, opinions and data contained in all publications are solely those of the individual author(s) and contributor(s) and not of MDPI and/or the editor(s). MDPI and/or the editor(s) disclaim responsibility for any injury to people or property resulting from any ideas, methods, instructions or products referred to in the content. |
© 2023 by the authors. Licensee MDPI, Basel, Switzerland. This article is an open access article distributed under the terms and conditions of the Creative Commons Attribution (CC BY) license (https://creativecommons.org/licenses/by/4.0/).
Share and Cite
Parthasarathy, M.; Prince, S.E. Andrographis paniculata (Burm.f.) Nees Alleviates Methotrexate-Induced Hepatotoxicity in Wistar Albino Rats. Life 2023, 13, 1173. https://doi.org/10.3390/life13051173
Parthasarathy M, Prince SE. Andrographis paniculata (Burm.f.) Nees Alleviates Methotrexate-Induced Hepatotoxicity in Wistar Albino Rats. Life. 2023; 13(5):1173. https://doi.org/10.3390/life13051173
Chicago/Turabian StyleParthasarathy, Manisha, and Sabina Evan Prince. 2023. "Andrographis paniculata (Burm.f.) Nees Alleviates Methotrexate-Induced Hepatotoxicity in Wistar Albino Rats" Life 13, no. 5: 1173. https://doi.org/10.3390/life13051173
APA StyleParthasarathy, M., & Prince, S. E. (2023). Andrographis paniculata (Burm.f.) Nees Alleviates Methotrexate-Induced Hepatotoxicity in Wistar Albino Rats. Life, 13(5), 1173. https://doi.org/10.3390/life13051173

