CMR and Percutaneous Treatment of Pulmonary Regurgitation: Outreach the Search for the Best Candidate
Abstract
1. Introduction
2. Right Ventricular Volume Overload and Clinical Indications for PPVI
3. CMR for PPVI Feasibility: RVOT, PA and Coronary Anatomy
3.1. PPVI Valves
3.2. RVOT and Coronary Arteries
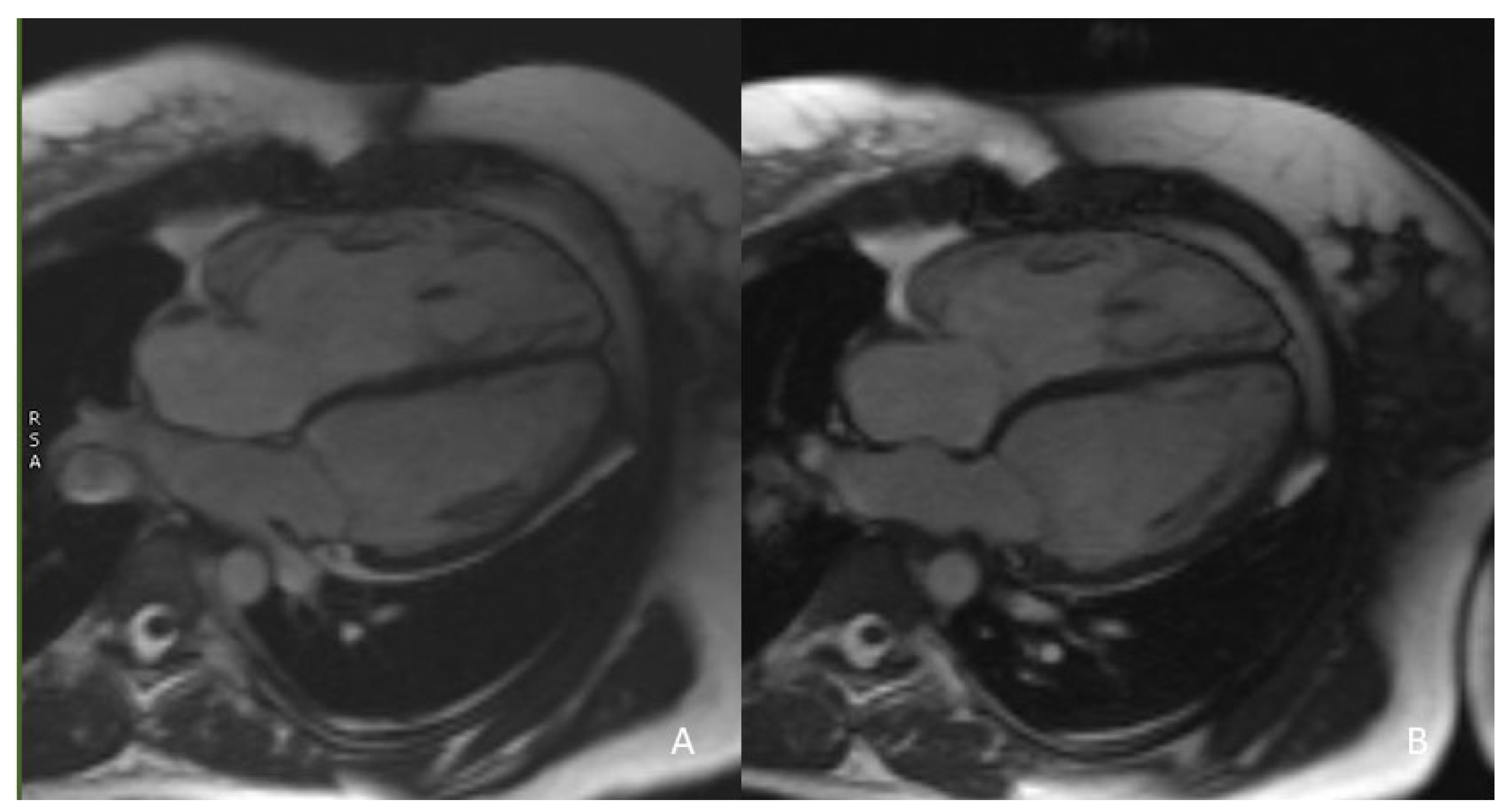
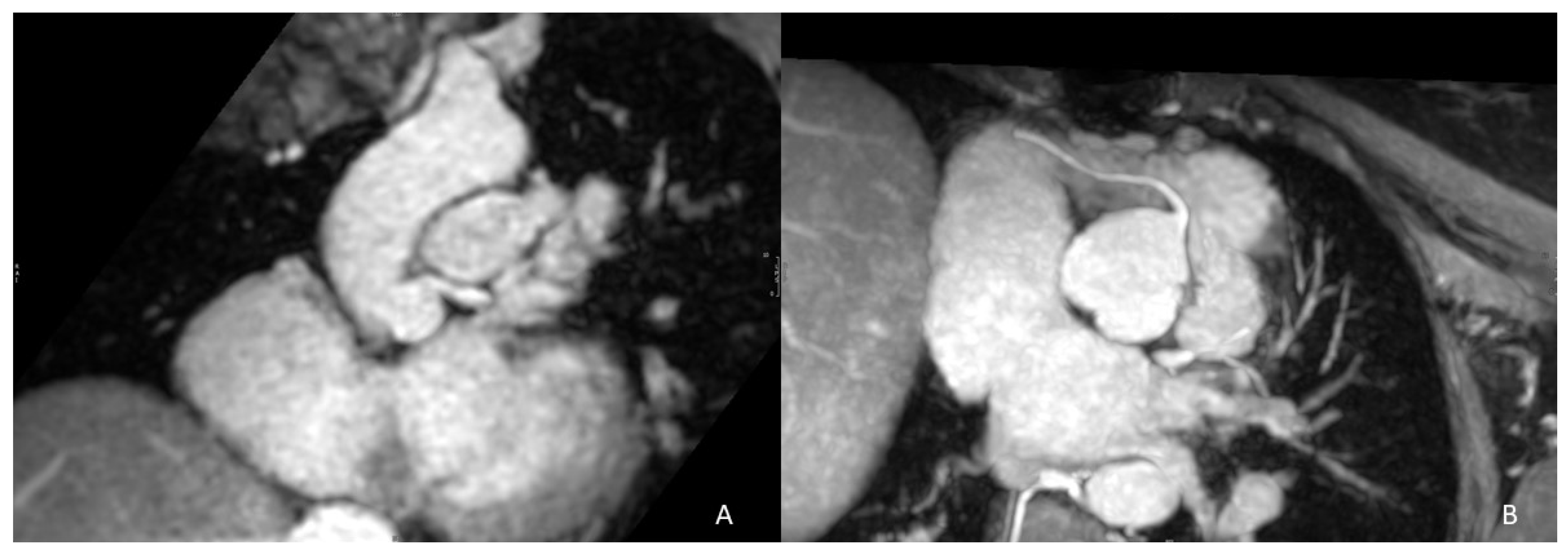
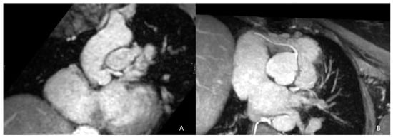
3.3. Technical CMR Sequences
4. CMR Protocol for PPVI
5. Role of Cardiac CT
6. Advanced 3D Methods for PPVI Planning
7. Conclusions
Author Contributions
Funding
Conflicts of Interest
References
- Ong, K.; Boone, R.; Gao, M.; Carere, R.; Webb, J.; Kiess, M.; Grewal, J. Right ventricle to pulmonary artery conduit reoperations in patients with tetralogy of fallot or pulmonary atresia associated with ventricular septal defect. Am. J. Cardiol. 2013, 111, 1638–1643. [Google Scholar] [CrossRef] [PubMed]
- Ammash, N.M.; Dearani, J.A.; Burkhart, H.M.; Connolly, H.M. Pulmonary regurgitation after tetralogy of Fallot repair: Clinical features, sequelae, and timing of pulmonary valve replacement. Congenit. Heart Dis. 2007, 2, 386–403. [Google Scholar] [CrossRef] [PubMed]
- Coats, L.; Tsang, V.; Khambadkone, S.; van Doorn, C.; Cullen, S.; Deanfield, J.; de Leval, M.R.; Bonhoeffer, P. The potential impact of percutaneous pulmonary valve stent implantation on right ventricular outflow tract re-intervention. Eur. J. Cardiothorac. Surg. 2005, 27, 536–543. [Google Scholar] [CrossRef] [PubMed]
- Georgiev, S.; Ewert, P.; Eicken, A.; Hager, A.; Horer, J.; Cleuziou, J.; Meierhofer, C.; Tanase, D. Munich Comparative Study: Prospective Long-Term Outcome of the Transcatheter Melody Valve Versus Surgical Pulmonary Bioprosthesis with up to 12 Years of Follow-Up. Circ. Cardiovasc. Interv. 2020, 13, e008963. [Google Scholar] [CrossRef]
- Goreczny, S.; Eicken, A.; Ewert, P.; Morgan, G.J.; Fratz, S. A new strategy to identify potentially dangerous coronary arterial patterns before percutaneous pulmonary valve implantation. Postep. Kardiol. Interwencyjnej 2014, 10, 294–297. [Google Scholar] [CrossRef]
- Fratz, S.; Chung, T.; Greil, G.F.; Samyn, M.M.; Taylor, A.M.; Valsangiacomo Buechel, E.R.; Yoo, S.J.; Powell, A.J. Guidelines and protocols for cardiovascular magnetic resonance in children and adults with congenital heart disease: SCMR expert consensus group on congenital heart disease. J. Cardiovasc. Magn. Reson. 2013, 15, 51. [Google Scholar] [CrossRef]
- Simpson, J.; Lopez, L.; Acar, P.; Friedberg, M.; Khoo, N.; Ko, H.; Marek, J.; Marx, G.; McGhie, J.; Meijboom, F.; et al. Three-dimensional echocardiography in congenital heart disease: An expert consensus document from the European Association of Cardiovascular Imaging and the American Society of Echocardiography. Eur. Heart J. Cardiovasc. Imaging 2016, 17, 1071–1097. [Google Scholar] [CrossRef]
- Boutsikou, M.; Tzifa, A. Noninvasive imaging prior to percutaneous pulmonary valve implantation. Hell. J. Cardiol. 2022, 67, 59–65. [Google Scholar] [CrossRef]
- Pontone, G.; Rossi, A.; Guglielmo, M.; Dweck, M.R.; Gaemperli, O.; Nieman, K.; Pugliese, F.; Maurovich-Horvat, P.; Gimelli, A.; Cosyns, B.; et al. Clinical applications of cardiac computed tomography: A consensus paper of the European Association of Cardiovascular Imaging-part II. Eur. Heart J. Cardiovasc. Imaging 2022, 23, e136–e161. [Google Scholar] [CrossRef]
- Pontone, G.; Rossi, A.; Guglielmo, M.; Dweck, M.R.; Gaemperli, O.; Nieman, K.; Pugliese, F.; Maurovich-Horvat, P.; Gimelli, A.; Cosyns, B.; et al. Clinical applications of cardiac computed tomography: A consensus paper of the European Association of Cardiovascular Imaging-part I. Eur. Heart J. Cardiovasc. Imaging 2022, 23, 299–314. [Google Scholar] [CrossRef]
- Costantini, P.; Perone, F.; Siani, A.; Groenhoff, L.; Muscogiuri, G.; Sironi, S.; Marra, P.; Carriero, S.; Pavon, A.G.; Guglielmo, M. Multimodality Imaging of the Neglected Valve: Role of Echocardiography, Cardiac Magnetic Resonance and Cardiac Computed Tomography in Pulmonary Stenosis and Regurgitation. J. Imaging 2022, 8, 278. [Google Scholar] [CrossRef]
- Therrien, J.; Provost, Y.; Merchant, N.; Williams, W.; Colman, J.; Webb, G. Optimal timing for pulmonary valve replacement in adults after tetralogy of Fallot repair. Am. J. Cardiol. 2005, 95, 779–782. [Google Scholar] [CrossRef]
- Oosterhof, T.; van Straten, A.; Vliegen, H.W.; Meijboom, F.J.; van Dijk, A.P.; Spijkerboer, A.M.; Bouma, B.J.; Zwinderman, A.H.; Hazekamp, M.G.; de Roos, A.; et al. Preoperative thresholds for pulmonary valve replacement in patients with corrected tetralogy of Fallot using cardiovascular magnetic resonance. Circulation 2007, 116, 545–551. [Google Scholar] [CrossRef]
- Geva, T. Repaired tetralogy of Fallot: The roles of cardiovascular magnetic resonance in evaluating pathophysiology and for pulmonary valve replacement decision support. J. Cardiovasc. Magn. Reson. 2011, 13, 9. [Google Scholar] [CrossRef]
- Blalock, S.E.; Banka, P.; Geva, T.; Powell, A.J.; Zhou, J.; Prakash, A. Interstudy variability in cardiac magnetic resonance imaging measurements of ventricular volume, mass, and ejection fraction in repaired tetralogy of Fallot: A prospective observational study. J. Magn. Reson. Imaging 2013, 38, 829–835. [Google Scholar] [CrossRef]
- Baumgartner, H.; De Backer, J.; Babu-Narayan, S.V.; Budts, W.; Chessa, M.; Diller, G.P.; Lung, B.; Kluin, J.; Lang, I.M.; Meijboom, F.; et al. 2020 ESC Guidelines for the management of adult congenital heart disease. Eur. Heart J. 2021, 42, 563–645. [Google Scholar] [CrossRef]
- Stout, K.K.; Daniels, C.J.; Aboulhosn, J.A.; Bozkurt, B.; Broberg, C.S.; Colman, J.M.; Crumb, S.R.; Dearani, J.A.; Fuller, S.; Gurvitz, M.; et al. 2018 AHA/ACC Guideline for the Management of Adults With Congenital Heart Disease: Executive Summary: A Report of the American College of Cardiology/American Heart Association Task Force on Clinical Practice Guidelines. J. Am. Coll. Cardiol. 2019, 73, 1494–1563. [Google Scholar] [CrossRef]
- Fratz, S.; Schuhbaeck, A.; Buchner, C.; Busch, R.; Meierhofer, C.; Martinoff, S.; Hess, J.; Stern, H. Comparison of accuracy of axial slices versus short-axis slices for measuring ventricular volumes by cardiac magnetic resonance in patients with corrected tetralogy of fallot. Am. J. Cardiol. 2009, 103, 1764–1769. [Google Scholar] [CrossRef]
- Tengler, A.; Ulrich, S.; Fischer, M.; Pastor-Villaescusa, B.; Kanaan, M.; Pozza, R.D.; Haas, N.A.; Jakob, A. Rationale and feasibility of transcatheter pulmonary valve implantation in small conduits with the Edwards Sapien valves. Int. J. Cardiol. 2021, 325, 45–50. [Google Scholar] [CrossRef]
- Martin, M.H.; Meadows, J.; McElhinney, D.B.; Goldstein, B.H.; Bergersen, L.; Qureshi, A.M.; Shahanavaz, S.; Aboulhosn, J.; Berman, D.; Peng, L.; et al. Safety and Feasibility of Melody Transcatheter Pulmonary Valve Replacement in the Native Right Ventricular Outflow Tract: A Multicenter Pediatric Heart Network Scholar Study. JACC Cardiovasc. Interv. 2018, 11, 1642–1650. [Google Scholar] [CrossRef]
- Lurz, P.; Coats, L.; Khambadkone, S.; Nordmeyer, J.; Boudjemline, Y.; Schievano, S.; Muthurangu, V.; Lee, T.Y.; Parenzan, G.; Derrick, G.; et al. Percutaneous pulmonary valve implantation: Impact of evolving technology and learning curve on clinical outcome. Circulation 2008, 117, 1964–1972. [Google Scholar] [CrossRef] [PubMed]
- Alkashkari, W.; Alsubei, A.; Hijazi, Z.M. Transcatheter Pulmonary Valve Replacement: Current State of Art. Curr. Cardiol. Rep. 2018, 20, 27. [Google Scholar] [CrossRef] [PubMed]
- Sivakumar, K.; Sagar, P.; Qureshi, S.; Promphan, W.; Sasidharan, B.; Awasthy, N.; Kappanayil, M.; Suresh, P.V.; Koneti, N.R. Outcomes of Venus P-valve for dysfunctional right ventricular outflow tracts from Indian Venus P-valve database. Ann. Pediatr. Cardiol. 2021, 14, 281–292. [Google Scholar] [CrossRef] [PubMed]
- Lee, S.Y.; Kim, G.B.; Kim, S.H.; Jang, S.I.; Choi, J.Y.; Kang, I.S.; Kim, Y.H. Mid-term outcomes of the Pulsta transcatheter pulmonary valve for the native right ventricular outflow tract. Catheter. Cardiovasc. Interv. 2021, 98, E724–E732. [Google Scholar] [CrossRef] [PubMed]
- Morgan, G.; Prachasilchai, P.; Promphan, W.; Rosenthal, E.; Sivakumar, K.; Kappanayil, M.; Sakidjan, I.; Walsh, K.P.; Kenny, D.; Thomson, J.; et al. Medium-term results of percutaneous pulmonary valve implantation using the Venus P-valve: International experience. EuroIntervention 2019, 14, 1363–1370. [Google Scholar] [CrossRef]
- Bergersen, L.; Benson, L.N.; Gillespie, M.J.; Cheatham, S.L.; Crean, A.M.; Hor, K.N.; Horlick, E.M.; Lung, T.H.; McHenry, B.T.; Osten, M.D.; et al. Harmony Feasibility Trial: Acute and Short-Term Outcomes With a Self-Expanding Transcatheter Pulmonary Valve. JACC Cardiovasc. Interv. 2017, 10, 1763–1773. [Google Scholar] [CrossRef]
- Chung, R.; Taylor, A.M. Imaging for preintervention planning: Transcatheter pulmonary valve therapy. Circ. Cardiovasc. Imaging 2014, 7, 182–189. [Google Scholar] [CrossRef]
- Schievano, S.; Taylor, A.M.; Capelli, C.; Coats, L.; Walker, F.; Lurz, P.; Nordmeyer, J.; Wright, S.; Khambadkone, S.; Tsang, V.; et al. First-in-man implantation of a novel percutaneous valve: A new approach to medical device development. EuroIntervention 2010, 5, 745–750. [Google Scholar] [CrossRef]
- Dabizzi, R.P.; Teodori, G.; Barletta, G.A.; Caprioli, G.; Baldrighi, G.; Baldrighi, V. Associated coronary and cardiac anomalies in the tetralogy of Fallot. An angiographic study. Eur. Heart J. 1990, 11, 692–704. [Google Scholar] [CrossRef]
- Sridharan, S.; Coats, L.; Khambadkone, S.; Taylor, A.M.; Bonhoeffer, P. Images in cardiovascular medicine. Transcatheter right ventricular outflow tract intervention: The risk to the coronary circulation. Circulation 2006, 113, e934–e935. [Google Scholar] [CrossRef]
- Francois, C.J.; Tuite, D.; Deshpande, V.; Jerecic, R.; Weale, P.; Carr, J.C. Unenhanced MR angiography of the thoracic aorta: Initial clinical evaluation. AJR Am. J. Roentgenol. 2008, 190, 902–906. [Google Scholar] [CrossRef]
- Hussain, T.; Lossnitzer, D.; Bellsham-Revell, H.; Valverde, I.; Beerbaum, P.; Razavi, R.; Bell, A.J.; Schaeffter, T.; Botnar, R.M.; Uribe, S.A.; et al. Three-dimensional dual-phase whole-heart MR imaging: Clinical implications for congenital heart disease. Radiology 2012, 263, 547–554. [Google Scholar] [CrossRef]
- Ebel, S.; Gottschling, S.; Buzan, M.T.A.; Grothoff, M.; Dahnert, I.; Wagner, R.; Grafe, D.; Lurz, P.; Gutberlet, M.; Lucke, C. 3D-assessment of RVOT dimensions prior percutaneous pulmonary valve implantation: Comparison of contrast-enhanced magnetic resonance angiography versus 3D steady-state free precession sequence. Int. J. Cardiovasc. Imaging 2019, 35, 1453–1463. [Google Scholar] [CrossRef]
- Ferrari, I.; Shehu, N.; Mkrtchyan, N.; Martinoff, S.; Eicken, A.; Stern, H.; Ewert, P.; Meierhofer, C. Different CMR Imaging Modalities for Native and Patch-Repaired Right Ventricular Outflow Tract Sizing: Impact on Percutaneous Pulmonary Valve Replacement Planning. Pediatr. Cardiol. 2020, 41, 382–388. [Google Scholar] [CrossRef]
- Geva, T.; Greil, G.F.; Marshall, A.C.; Landzberg, M.; Powell, A.J. Gadolinium-enhanced 3-dimensional magnetic resonance angiography of pulmonary blood supply in patients with complex pulmonary stenosis or atresia: Comparison with x-ray angiography. Circulation 2002, 106, 473–478. [Google Scholar] [CrossRef]
- Groves, E.M.; Bireley, W.; Dill, K.; Carroll, T.J.; Carr, J.C. Quantitative analysis of ECG-gated high-resolution contrast-enhanced MR angiography of the thoracic aorta. AJR Am. J. Roentgenol. 2007, 188, 522–528. [Google Scholar] [CrossRef]
- Leonardi, B.; Secinaro, A.; Perrone, M.A.; Curione, D.; Napolitano, C.; Gagliardi, M.G. Role of cardiovascular magnetic resonance end-systolic 3D-SSFP sequence in repaired tetralogy of Fallot patients eligible for transcatheter pulmonary valve implantation. Int. J. Cardiovasc. Imaging 2019, 35, 1525–1533. [Google Scholar] [CrossRef]
- Fratz, S.; Janello, C.; Muller, D.; Seligmann, M.; Meierhofer, C.; Schuster, T.; Schreiber, C.; Martinoff, S.; Hess, J.; Kuhn, A.; et al. The functional right ventricle and tricuspid regurgitation in Ebstein’s anomaly. Int. J. Cardiol. 2013, 167, 258–261. [Google Scholar] [CrossRef]
- Fratz, S.; Hess, J.; Schuhbaeck, A.; Buchner, C.; Hendrich, E.; Martinoff, S.; Stern, H. Routine clinical cardiovascular magnetic resonance in paediatric and adult congenital heart disease: Patients, protocols, questions asked and contributions made. J. Cardiovasc. Magn. Reson. 2008, 10, 46. [Google Scholar] [CrossRef]
- Varaprasathan, G.A.; Araoz, P.A.; Higgins, C.B.; Reddy, G.P. Quantification of flow dynamics in congenital heart disease: Applications of velocity-encoded cine MR imaging. Radiographics 2002, 22, 895–905; discussion 905–906. [Google Scholar] [CrossRef]
- Leonardi, B.; Secinaro, A.; Calvieri, C.; Perrone, M.A.; Gimigliano, F.; Muscogiuri, G.; Carotti, A.; Drago, F. The role of 3D imaging in the follow-up of patients with repaired tetralogy of Fallot. Eur. Rev. Med. Pharm. Sci. 2019, 23, 1698–1709. [Google Scholar]
- Forte, E.; Monti, S.; Parente, C.A.; Beyer, L.; De Rosa, R.; Infante, T.; Cavaliere, C.; Cademartiri, F.; Salvatore, M.; Stroszczynski, C.; et al. Image Quality and Dose Reduction by Dual Source Computed Tomography Coronary Angiography: Protocol Comparison. Dose Response 2018, 16, 1559325818805838. [Google Scholar] [CrossRef] [PubMed]
- Spanaki, A.; Kabir, S.; Stephenson, N.; van Poppel, M.P.M.; Benetti, V.; Simpson, J. 3D Approaches in Complex CHD: Where Are We? Funny Printing and Beautiful Images, or a Useful Tool? J. Cardiovasc. Dev. Dis. 2022, 9, 269. [Google Scholar] [CrossRef] [PubMed]
- Curran, L.; Agrawal, H.; Kallianos, K.; Kheiwa, A.; Lin, S.; Ordovas, K.; Mahadevan, V.S. Computed tomography guided sizing for transcatheter pulmonary valve replacement. Int. J. Cardiol. Heart Vasc. 2020, 29, 100523. [Google Scholar] [CrossRef] [PubMed]
- Schievano, S.; Capelli, C.; Young, C.; Lurz, P.; Nordmeyer, J.; Owens, C.; Bonhoeffer, P.; Taylor, A.M. Four-dimensional computed tomography: A method of assessing right ventricular outflow tract and pulmonary artery deformations throughout the cardiac cycle. Eur. Radiol. 2011, 21, 36–45. [Google Scholar] [CrossRef]
- Jolley, M.A.; Lasso, A.; Nam, H.H.; Dinh, P.V.; Scanlan, A.B.; Nguyen, A.V.; Ilina, A.; Morray, B.; Glatz, A.C.; McGowan, F.X.; et al. Toward predictive modeling of catheter-based pulmonary valve replacement into native right ventricular outflow tracts. Catheter. Cardiovasc. Interv. 2019, 93, E143–E152. [Google Scholar] [CrossRef]
- Goreczny, S.; Dryzek, P.; Moszura, T.; Lukaszewski, M.; Podgorski, M.; Nordmeyer, S.; Kuehne, T.; Berger, F.; Schubert, S. Magnetic resonance and computed tomography imaging fusion for live guidance of percutaneous pulmonary valve implantation. Postep. Kardiol. Interwencyjnej 2018, 14, 413–421. [Google Scholar] [CrossRef]
- Young, C.; Taylor, A.M.; Owens, C.M. Paediatric cardiac computed tomography: A review of imaging techniques and radiation dose consideration. Eur. Radiol. 2011, 21, 518–529. [Google Scholar] [CrossRef]
- Bramlet, M.; Olivieri, L.; Farooqi, K.; Ripley, B.; Coakley, M. Impact of Three-Dimensional Printing on the Study and Treatment of Congenital Heart Disease. Circ. Res. 2017, 120, 904–907. [Google Scholar] [CrossRef]
- Valverde, I.; Gomez-Ciriza, G.; Hussain, T.; Suarez-Mejias, C.; Velasco-Forte, M.N.; Byrne, N.; Ordonez, A.; Gonzalez-Calle, A.; Anderson, D.; Hazekamp, M.G.; et al. Three-dimensional printed models for surgical planning of complex congenital heart defects: An international multicentre study. Eur. J. Cardiothorac. Surg. 2017, 52, 1139–1148. [Google Scholar] [CrossRef]
- Yoo, S.J.; Spray, T.; Austin, E.H., III; Yun, T.J.; van Arsdell, G.S. Hands-on surgical training of congenital heart surgery using 3-dimensional print models. J. Thorac. Cardiovasc. Surg. 2017, 153, 1530–1540. [Google Scholar] [CrossRef]
- Chessa, M.; Van De Bruaene, A.; Farooqi, K.; Valverde, I.; Jung, C.; Votta, E.; Sturla, F.; Diller, G.P.; Brida, M.; Sun, Z.; et al. Three-dimensional printing, holograms, computational modelling, and artificial intelligence for adult congenital heart disease care: An exciting future. Eur. Heart J. 2022, 43, 2672–2684. [Google Scholar]
- Schievano, S.; Migliavacca, F.; Coats, L.; Khambadkone, S.; Carminati, M.; Wilson, N.; Deanfield, J.E.; Bonhoeffer, P.; Taylor, A.M. Percutaneous pulmonary valve implantation based on rapid prototyping of right ventricular outflow tract and pulmonary trunk from MR data. Radiology 2007, 242, 490–497. [Google Scholar] [CrossRef]
- Milano, E.G.; Capelli, C.; Wray, J.; Biffi, B.; Layton, S.; Lee, M.; Caputo, M.; Taylor, A.M.; Schievano, S.; Biglino, G. Current and future applications of 3D printing in congenital cardiology and cardiac surgery. Br. J. Radiol. 2019, 92, 20180389. [Google Scholar] [CrossRef]
- Chepelev, L.; Wake, N.; Ryan, J.; Althobaity, W.; Gupta, A.; Arribas, E.; Santiago, L.; Ballard, D.H.; Wang, K.C.; Weadock, W.; et al. Radiological Society of North America (RSNA) 3D printing Special Interest Group (SIG): Guidelines for medical 3D printing and appropriateness for clinical scenarios. 3D Print. Med. 2018, 4, 11. [Google Scholar] [CrossRef]
- Raimondi, F.; Vida, V.; Godard, C.; Bertelli, F.; Reffo, E.; Boddaert, N.; El Beheiry, M.; Masson, J.B. Fast-track virtual reality for cardiac imaging in congenital heart disease. J. Card. Surg. 2021, 36, 2598–2602. [Google Scholar] [CrossRef]
- Caimi, A.; Sturla, F.; Pluchinotta, F.R.; Giugno, L.; Secchi, F.; Votta, E.; Carminati, M.; Redaelli, A. Prediction of stenting related adverse events through patient-specific finite element modelling. J. Biomech. 2018, 79, 135–146. [Google Scholar] [CrossRef]




| CMR Sequence | Standard Views | PROs and CONs |
|---|---|---|
| 2D SSFP cine | 4-chamber Axial (from diaphragm to PA) RVOT RVOT-PA Right and left PA | PROs - Axial slices for volume quantification: 0 mm gap, 6 mm (children) and 8 mm (adults) slice thickness - ECG triggering: RVOT measurements at both end-systole and end-diastole (dynamic sequences) CONs - Breath-hold - High susceptibility to metal artefacts (stents or prothesis): ev. gradient-echo cine sequences are less affected |
| 3D whole-heart | Comprehensive view of thoracic and cardiac anatomy | PROs - Free-breathing - No contrast-medium - Coronary imaging - ECG triggering: RVOT measurements at end-systole or end-diastole (static sequences) CONs - Long acquisition times - High susceptibility to metal artefacts |
| ceMRA | Right cardiac chambers RVOT PA | PROs - Single breath-hold - Fast acquisition times CONs - Contrast medium - No coronary imaging - No ECG triggering (blurring artefacts) |
| Mild | Moderate | Severe | |
|---|---|---|---|
| Regurgitant fraction (%) | 0–15 | 16–30 | >30 |
| Regurgitant volume (ml) | 0–20 | 21–40 | >40 |
| PROs and CONs | |
|---|---|
| CMR | PROs - No ionizing radiation (ideal for serial follow-up and children) - Anatomical and functional data within the same examination; gold standard for quantification of ventricular volumes and pulmonary regurgitation - Contrast medium required only for angiographic sequences when needed CONs - Longer acquisition times - Limited or contraindicated in certain subsets of patients (es. metal devices) |
| CCT | PROs - Fast acquisition times (usually a single breath-hold) - High spatial resolution with excellent imaging of coronary arteries and thoracic anatomy - Less susceptible to metal artefacts CONs - Ionizing radiation - Contrast medium required - Principally anatomical data (functional data possible only with retrospective ECG gating) - Either systolic or diastolic measurements (both measurements possible only with 4D CCT protocols) |
Disclaimer/Publisher’s Note: The statements, opinions and data contained in all publications are solely those of the individual author(s) and contributor(s) and not of MDPI and/or the editor(s). MDPI and/or the editor(s) disclaim responsibility for any injury to people or property resulting from any ideas, methods, instructions or products referred to in the content. |
© 2023 by the authors. Licensee MDPI, Basel, Switzerland. This article is an open access article distributed under the terms and conditions of the Creative Commons Attribution (CC BY) license (https://creativecommons.org/licenses/by/4.0/).
Share and Cite
Baessato, F.; Ewert, P.; Meierhofer, C. CMR and Percutaneous Treatment of Pulmonary Regurgitation: Outreach the Search for the Best Candidate. Life 2023, 13, 1127. https://doi.org/10.3390/life13051127
Baessato F, Ewert P, Meierhofer C. CMR and Percutaneous Treatment of Pulmonary Regurgitation: Outreach the Search for the Best Candidate. Life. 2023; 13(5):1127. https://doi.org/10.3390/life13051127
Chicago/Turabian StyleBaessato, Francesca, Peter Ewert, and Christian Meierhofer. 2023. "CMR and Percutaneous Treatment of Pulmonary Regurgitation: Outreach the Search for the Best Candidate" Life 13, no. 5: 1127. https://doi.org/10.3390/life13051127
APA StyleBaessato, F., Ewert, P., & Meierhofer, C. (2023). CMR and Percutaneous Treatment of Pulmonary Regurgitation: Outreach the Search for the Best Candidate. Life, 13(5), 1127. https://doi.org/10.3390/life13051127

