Endovascular Aneurysm Sac Embolization for Treatment of Ruptured Aneurysms in the Aortoiliac Segment Using N-Butyl-Cyanoacrylate
Abstract
1. Introduction
2. Material and Methods
2.1. Study Design
2.2. Interventional Technique
2.3. Clinical and Radiological Follow-Up
2.4. Statistics
3. Results
3.1. Periprocedural Results
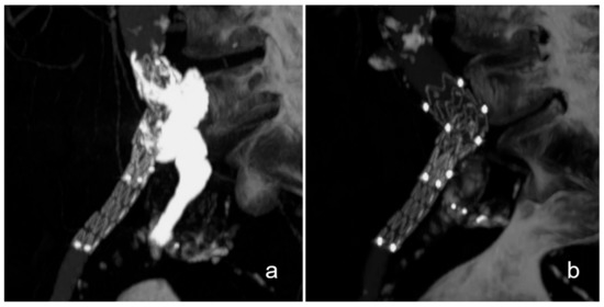
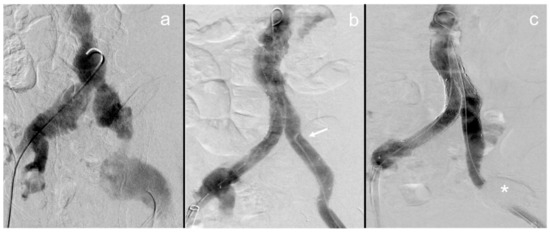
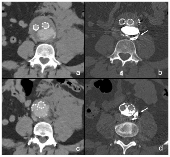
3.2. Case Descriptions
3.3. Baseline and Postinterventional Clinical Parameters
3.4. Imaging Follow-Up Results

4. Discussion
4.1. N-Butyl-2-Cyanoacrylate
4.2. Periprocedural Findings and General Considerations
4.3. Clinical Outcomes
4.4. Targeted Rupture Site Embolization and Endoleak Management
4.5. Considerations on Embolic Agent Volume and Embolization Technique
4.6. Follow-Up Imaging and NBCA Dissolution
4.7. Study Limitations
5. Conclusions
Supplementary Materials
Author Contributions
Funding
Institutional Review Board Statement
Informed Consent Statement
Data Availability Statement
Conflicts of Interest
References
- Wanhainen, A.; Verzini, F.; Van Herzeele, I.; Allaire, E.; Bown, M.; Cohnert, T.; Dick, F.; van Herwaarden, J.; Karkos, C.; Koelemay, M.; et al. Editor’s Choice—European Society for Vascular Surgery (ESVS) 2019 Clinical Practice Guidelines on the Management of Abdominal Aorto-iliac Artery Aneurysms. Eur. J. Vasc. Endovasc. Surg. 2019, 57, 8–93. [Google Scholar] [CrossRef] [PubMed]
- National Institute for Health and Care Excellence (NICE). Abdominal Aortic Aneurysm: Diagnosis and Management [Nice Guideline 156]. 2020. Available online: https://www.nice.org.uk/guidance/ng156 (accessed on 19 March 2020).
- Mostafa, K.; Pfarr, J.; Langguth, P.; Schäfer, J.P.; Trentmann, J.; Koktzoglou, I.; Edelman, R.R.; Neves, F.B.; Graessner, J.; Both, M.; et al. Clinical Evaluation of Non-Contrast-Enhanced Radial Quiescent-Interval Slice-Selective (QISS) Magnetic Resonance Angiography in Comparison to Contrast-Enhanced Computed Tomography Angiography for the Evaluation of Endoleaks after Abdominal Endovascular Aneurysm Repair. J. Clin. Med. 2022, 11, 6551. [Google Scholar] [CrossRef]
- Goodney, P.; Mao, J.; Columbo, J.; Suckow, B.; Schermerhorn, M.; Malas, M.; Brooke, B.; Hoel, A.; Scali, S.; Arya, S.; et al. Use of linked registry claims data for long term surveillance of devices after endovascular abdominal aortic aneurysm repair: Observational surveillance study. BMJ (Clin. Res. Ed.) 2022, 379, e071452. [Google Scholar] [CrossRef] [PubMed]
- Hill, H.; Chick, J.F.B.; Hage, A.; Srinivasa, R.N. N-butyl cyanoacrylate embolotherapy: Techniques, complications, and management. Diagn. Interv. Radiol. 2018, 24, 98–103. [Google Scholar] [CrossRef] [PubMed]
- Obata, S.; Kasai, M.; Kasai, J.; Seki, K.; Sekikawa, Z.; Torimoto, I.; Takebayashi, S.; Hirahara, F.; Aoki, S. Emergent Uterine Arterial Embolization Using N-Butyl Cyanoacrylate in Postpartum Hemorrhage with Disseminated Intravascular Coagulation. Bio. Med. Res. Int. 2017, 2017, 1562432. [Google Scholar] [CrossRef]
- Kish, J.W.; Katz, M.D.; Marx, M.V.; Harrell, D.S.; Hanks, S.E. N-butyl cyanoacrylate embolization for control of acute arterial hemorrhage. J. Vasc. Interv. Radiol. 2004, 15, 689–695. [Google Scholar] [CrossRef]
- Quinn, J.C.; Mittal, N.; Baisre, A.; Cho, E.-S.; Sharer, L.R.; Gandhi, C.; Prestigiacomo, C.J. Vascular inflammation with eosinophils after the use of n-butyl cyanoacrylate liquid embolic system. J. NeuroInterv. Surg. 2011, 3, 21–24. [Google Scholar] [CrossRef]
- Brothers, M.F.; Kaufmann, J.C.; Fox, A.J.; Deveikis, J.P. n-Butyl 2-cyanoacrylate—Substitute for IBCA in interventional neu-roradiology: Histopathologic and polymerization time studies. AJNR Am. J. Neuroradiol. 1989, 10, 777–786. [Google Scholar] [PubMed]
- Lu, Q.; Feng, J.; Yang, Y.; Nie, B.; Bao, J.; Zhao, Z.; Feng, X.; Pei, Y.; Yuan, L.; Mei, Z.; et al. Treatment of type I endoleak after endovascular repair of infrarenal abdominal aortic aneurysm: Success of fibrin glue sac embolization. J. Endovasc. Ther. 2010, 17, 687–693. [Google Scholar] [CrossRef]
- Fanelli, F.; Cannavale, A.; Chisci, E.; Citone, M.; Falcone, G.M.; Michelagnoli, S.; Miele, V. Direct percutaneous embolization of aneurysm sac: A safe and effective procedure to treat post-EVAR type II endoleaks. Radiol. Med. 2021, 126, 258–263. [Google Scholar] [CrossRef]
- Koike, Y.; Nishimura, J.; Hase, S.; Yamasaki, M. Sac angiography and glue embolization in emergency endovascular aneurysm repair for ruptured abdominal aortic aneurysm. Cardiovasc. Interv. Radiol. 2015, 38, 457–462. [Google Scholar] [CrossRef][Green Version]
- Zanchetta, M.; Faresin, F.; Pedon, L.; Riggi, M.; Ronsivalle, S. Fibrin glue aneurysm sac embolization at the time of endografting. J. Endovasc. Ther. 2005, 12, 579–582. [Google Scholar] [CrossRef] [PubMed]
- Hongo, N.; Kiyosue, H.; Shuto, R.; Kamei, N.; Miyamoto, S.; Tanoue, S.; Mori, H. Double coaxial microcatheter technique for transarterial aneurysm sac embolization of type II endoleaks after endovascular abdominal aortic repair. J. Vasc. Interv. Radiol. 2014, 25, 709–716. [Google Scholar] [CrossRef]
- Müller-Wille, R.; Wohlgemuth, W.A.; Heiss, P.; Wiggermann, P.; Güntner, O.; Schreyer, A.G.; Hoffstetter, P.; Stroszczynski, C.; Zorger, N. Transarterial embolization of type II endoleaks after Evar: The role of ethylene vinyl alcohol copolymer (Onyx). Cardiovasc. Interv. Radiol. 2013, 36, 1288–1295. [Google Scholar] [CrossRef]
- Ronsivalle, S.; Faresin, F.; Franz, F.; Rettore, C.; Zanchetta, M.; Olivieri, A. Aneurysm sac “thrombization” and stabilization in EVAR: A technique to reduce the risk of type II endoleak. J. Endovasc. Ther. 2010, 17, 517–524. [Google Scholar] [CrossRef] [PubMed]
- Quinones-Baldrich, W.; Levin, E.S.; Lew, W.; Barleben, A. Intraprocedural and postprocedural perigraft arterial sac embolization (PASE) for endoleak treatment. J. Vasc. Surg. 2014, 59, 538–541. [Google Scholar] [CrossRef] [PubMed][Green Version]
- Ohba, S.; Shimohira, M.; Hashizume, T.; Muto, M.; Ohta, K.; Sawada, Y.; Mizuno, A.; Nakai, Y.; Suda, H.; Shibamoto, Y. Feasibility and Safety of Sac Embolization Using N-Butyl Cyanoacrylate in Emergency Endovascular Aneurysm Repair for Ruptured Abdominal Aortic Aneurysms or Isolated Iliac Artery Aneurysms. J. Endovasc. Ther. 2020, 27, 828–835. [Google Scholar] [CrossRef]
- Wang, Q.; Wu, J.; Ma, Y.; Zhu, Y.; Song, X.; Xie, S.; Liang, F.; Gimzewska, M.; Li, M.; Yao, L. Totally percutaneous versus surgical cut-down femoral artery access for elective bifurcated abdominal endovascular aneurysm repair. Cochrane Database Syst. Rev. 2023, 1, CD010185. [Google Scholar] [CrossRef]
- Bundesamt für Strahlenschutz. Bekanntmachung der Aktualisierten Diagnostischen Referenzwerte für Diagnostische und Interventionelle Röntgenanwendungen. 2022. Available online: https://www.bfs.de/SharedDocs/Downloads/BfS/DE/fachinfo/ion/drw-roentgen.pdf?__blob=publicationFile&v=9 (accessed on 20 January 2023).
- Khashram, M.; Williman, J.A.; Hider, P.N.; Jones, G.T.; Roake, J.A. Systematic Review and Meta-analysis of Factors Influencing Survival Following Abdominal Aortic Aneurysm Repair. Eur. J. Vasc. Endovasc. Surg. 2016, 51, 203–215. [Google Scholar] [CrossRef]
- Amsterdam Acute Aneurysm Trial Collaborators. Endovascular repair versus open repair of ruptured abdominal aortic aneurysms: A multicenter. J. Vasc. Surg. 2013, 58, 1424–1425. [Google Scholar] [CrossRef]
- Powell, J.T.; Sweeting, M.J.; Thompson, M.M.; Ashleigh, R.; Bell, R.; Gomes, M.; Greenhalgh, M.; Grieve, R.; Heatley, F.; Hinchliffe, R.; et al. Endovascular or open repair strategy for ruptured abdominal aortic aneurysm: 30 day outcomes from IMPROVE randomised trial. BMJ 2014, 348, f7661. [Google Scholar] [CrossRef] [PubMed]
- Desgranges, P.; Kobeiter, H.; Katsahian, S.; Bouffi, M.; Gouny, P.; Favre, J.-P.; Alsac, J.; Sobocinski, J.; Julia, P.; Alimi, Y.; et al. Editor’s Choice—ECAR (Endovasculaire ou Chirurgie dans les Anévrysmes aorto-iliaques Rompus): A French Randomized Controlled Trial of Endovascular Versus Open Surgical Repair of Ruptured Aorto-iliac Aneurysms. Eur. J. Vasc. Endovasc. Surg. 2015, 50, 303–310. [Google Scholar] [CrossRef] [PubMed]
- Chaikof, E.L.; Dalman, R.L.; Eskandari, M.K.; Jackson, B.M.; Lee, W.A.; Mansour, M.A.; Mastracci, T.M.; Mell, M.; Murad, M.H.; Nguyen, L.L.; et al. The Society for Vascular Surgery practice guidelines on the care of patients with an abdominal aortic aneurysm. J. Vasc. Surg. 2018, 67, 2–77. [Google Scholar] [CrossRef] [PubMed]
- Buth, J.; Laheij, R. Early complications and endoleaks after endovascular abdominal aortic aneurysm repair: Report of a multicenter study. J. Vasc. Surg. 2000, 31, 134–146. [Google Scholar] [CrossRef]
- Harris, P.L.; Vallabhaneni, S.; Desgranges, P.; Becquemin, J.-P.; van Marrewijk, C.; Laheij, R.J. Incidence and risk factors of late rupture, conversion, and death after endovascular repair of infrarenal aortic aneurysms: The EUROSTAR experience. European Collaborators on Stent/graft techniques for aortic aneurysm repair. J. Vasc. Surg. 2000, 32, 739–749. [Google Scholar] [CrossRef]
- van Marrewijk, C.; Buth, J.; Harris, P.L.; Norgren, L.; Nevelsteen, A.; Wyatt, M.G. Significance of endoleaks after endovascular repair of abdominal aortic aneurysms: The EUROSTAR experience. J. Vasc. Surg. 2002, 35, 461–473. [Google Scholar] [CrossRef]
- Faries, P.L.; Cadot, H.; Agarwal, G.; Kent, K.; Hollier, L.H.; Marin, M.L. Management of endoleak after endovascular aneurysm repair: Cuffs, coils, and conversion. J. Vasc. Surg. 2003, 37, 1155–1161. [Google Scholar] [CrossRef]
- Chun, J.-Y.; Morgan, R. Transcatheter embolisation of type 1 endoleaks after endovascular aortic aneurysm repair with onyx: When no other treatment option is feasible. Eur. J. Vasc. Endovasc. Surg. 2013, 45, 141–144. [Google Scholar] [CrossRef]
- Ogawa, Y.; Nishimaki, H.; Chiba, K.; Ro, D.; Ono, H.; Sakurai, Y.; Fujiwara, K.; Murakami, K.; Hamaguchi, S.; Yagihashi, K.; et al. Life-Saving Embolization in a Patient with Recurrent Shock Due to a Type II Endoleak after Endovascular Aortic Repair for a Ruptured Abdominal Aortic Aneurysm. Ann. Vasc. Dis. 2015, 8, 131–134. [Google Scholar] [CrossRef][Green Version]
- Ito, M.; Sonokawa, T.; Mishina, H.; Iizuka, Y.; Sato, K. Disrupted and migrated microcatheter in the vertebrobasilar artery system in endovascular embolization of cerebellar AVM: Failure of endovascular and microneurosurgical retrieval. J. Clin. Neurosci. 1998, 5, 49–53. [Google Scholar] [CrossRef]
- Paramasivam, S.; Altschul, D.; Ortega-Gutiarrez, S.; Fifi, J.; Berenstein, A. N-butyl cyanoacrylate embolization using a detachable tip microcatheter: Initial experience. J. NeuroInterv. Surg. 2015, 7, 458–461. [Google Scholar] [CrossRef] [PubMed]
- Rao, V.R.; Mandalam, K.R.; Gupta, A.K.; Kumar, S.; Joseph, S. Dissolution of isobutyl 2-cyanoacrylate on long-term follow-up. AJNR Am. J. Neuroradiol. 1989, 10, 135–141. [Google Scholar] [PubMed]
- Sinha, K.R.; Duckwiler, G.; Rootman, D.B. Urticarial reaction following endovascular embolization of an orbital arteriovenous malformation (AVM) with n-butyl cyanoacrylate (nBCA) glue. Interv. Neuroradiol. 2017, 23, 666–668. [Google Scholar] [CrossRef]
- Rosen, R.J.; Contractor, S. The use of cyanoacrylate adhesives in the management of congenital vascular malformations. Semin. Interv. Radiol. 2004, 21, 59–66. [Google Scholar] [CrossRef] [PubMed]



| Prior to Intervention | Five Days Post Intervention | Duration of Hosptial Stay (ICU Stay) | Patient No. | |
|---|---|---|---|---|
| Hemoglobin (g/dL) | 13.1 (7.8–15.2) | 9.65 (9–10.5) | 6 (1) | 1 |
| Systolic blood pressure (mmgH) | 120 (110–147) | 150.5 (140–174) | 5 (0) | 2 |
| Glomerular filtration rate (mL/min/1.73) | 54 (16–84) | 84 (47–93) | (1) | 3 |
| Creatinine (µmol/L) | 119 (83–297) | 83.75 (70–123) | 8 (3) | 4 |
| INR | 1.03 (0.96–3.19) | 1.07 (1.01–1.67) | (2) | 5 |
| Blood transfusions (mL, range) | 0 | 3 (1200, 300–2700) | 7 (0) | 6 |
| Periprocedural Results | Follow-Up Results | ||||||||||||
|---|---|---|---|---|---|---|---|---|---|---|---|---|---|
| Patient No. | Sex | Age | Aneurysm Location | Graft Type | Intervention Time (min) | Radiation Dose (cGy/cm2) | Histoacryl (mL) | Lipiodol (mL) | Total Embolic Agent (mL) | Deaths | Latest Follow-Up (months) | Shrinkage at Latest Follow-Up (mm) | Reinterventions |
| 1 | Male | 71 | Left internal iliac artery | Unilateral | 28 | 2569 | 1.5 | 4.5 | 6 | 5 | 0 | 0 | |
| 2 | Male | 69 | Left internal iliac artery | Unilateral | 63 | 8996 | 3 | 8 | 11 | 35 | −2 | 0 | |
| 3 | Male | 87 | Aortobiiliac | Bilateral | 109 | 11,508 | 3 | 10 | 13 | X | |||
| 4 | Male | 83 | Thoracoabdominal aorta | Fenestrated | 269 | 29,190 | 2 | 10 | 12 | 27 | 0 | 0 | |
| 5 | Male | 81 | Infrarenal aorta | Cuff | 107 | 15,037 | 2.5 | 8 | 10.5 | X | |||
| 6 | Male | 60 | Infrarenal aorta | Bilateral | 71 | 10,497 | 2 | 10 | 12 | 3 | −3 | 0 | |
| Median | 76 (60–87) | 89 (28–269) | 11,002.5 (2569–29,190) | 2.25 (1.5–3) 9 (4.5–10) | 11.5 (6–13) | 20 (3–35) −1 (0–−3) | |||||||
Disclaimer/Publisher’s Note: The statements, opinions and data contained in all publications are solely those of the individual author(s) and contributor(s) and not of MDPI and/or the editor(s). MDPI and/or the editor(s) disclaim responsibility for any injury to people or property resulting from any ideas, methods, instructions or products referred to in the content. |
© 2023 by the authors. Licensee MDPI, Basel, Switzerland. This article is an open access article distributed under the terms and conditions of the Creative Commons Attribution (CC BY) license (https://creativecommons.org/licenses/by/4.0/).
Share and Cite
Mostafa, K.; Schierenbeck, M.; Trentmann, J.; Gottschalk, H.; Andersson, J.; Pfarr, J.; Sieren, M.; Jansen, O.; Schäfer, P.J. Endovascular Aneurysm Sac Embolization for Treatment of Ruptured Aneurysms in the Aortoiliac Segment Using N-Butyl-Cyanoacrylate. Life 2023, 13, 919. https://doi.org/10.3390/life13040919
Mostafa K, Schierenbeck M, Trentmann J, Gottschalk H, Andersson J, Pfarr J, Sieren M, Jansen O, Schäfer PJ. Endovascular Aneurysm Sac Embolization for Treatment of Ruptured Aneurysms in the Aortoiliac Segment Using N-Butyl-Cyanoacrylate. Life. 2023; 13(4):919. https://doi.org/10.3390/life13040919
Chicago/Turabian StyleMostafa, Karim, Marie Schierenbeck, Jens Trentmann, Hannes Gottschalk, Julian Andersson, Julian Pfarr, Malte Sieren, Olav Jansen, and Philipp J. Schäfer. 2023. "Endovascular Aneurysm Sac Embolization for Treatment of Ruptured Aneurysms in the Aortoiliac Segment Using N-Butyl-Cyanoacrylate" Life 13, no. 4: 919. https://doi.org/10.3390/life13040919
APA StyleMostafa, K., Schierenbeck, M., Trentmann, J., Gottschalk, H., Andersson, J., Pfarr, J., Sieren, M., Jansen, O., & Schäfer, P. J. (2023). Endovascular Aneurysm Sac Embolization for Treatment of Ruptured Aneurysms in the Aortoiliac Segment Using N-Butyl-Cyanoacrylate. Life, 13(4), 919. https://doi.org/10.3390/life13040919

