First-in-Human Integrated Use of a Dedicated Microsurgical Robot with a 4K 3D Exoscope: The Future of Microsurgery
Abstract
1. Introduction
2. Materials and Methods
2.1. Microsurgical Robot
2.2. Exoscope
2.3. Clinical Case
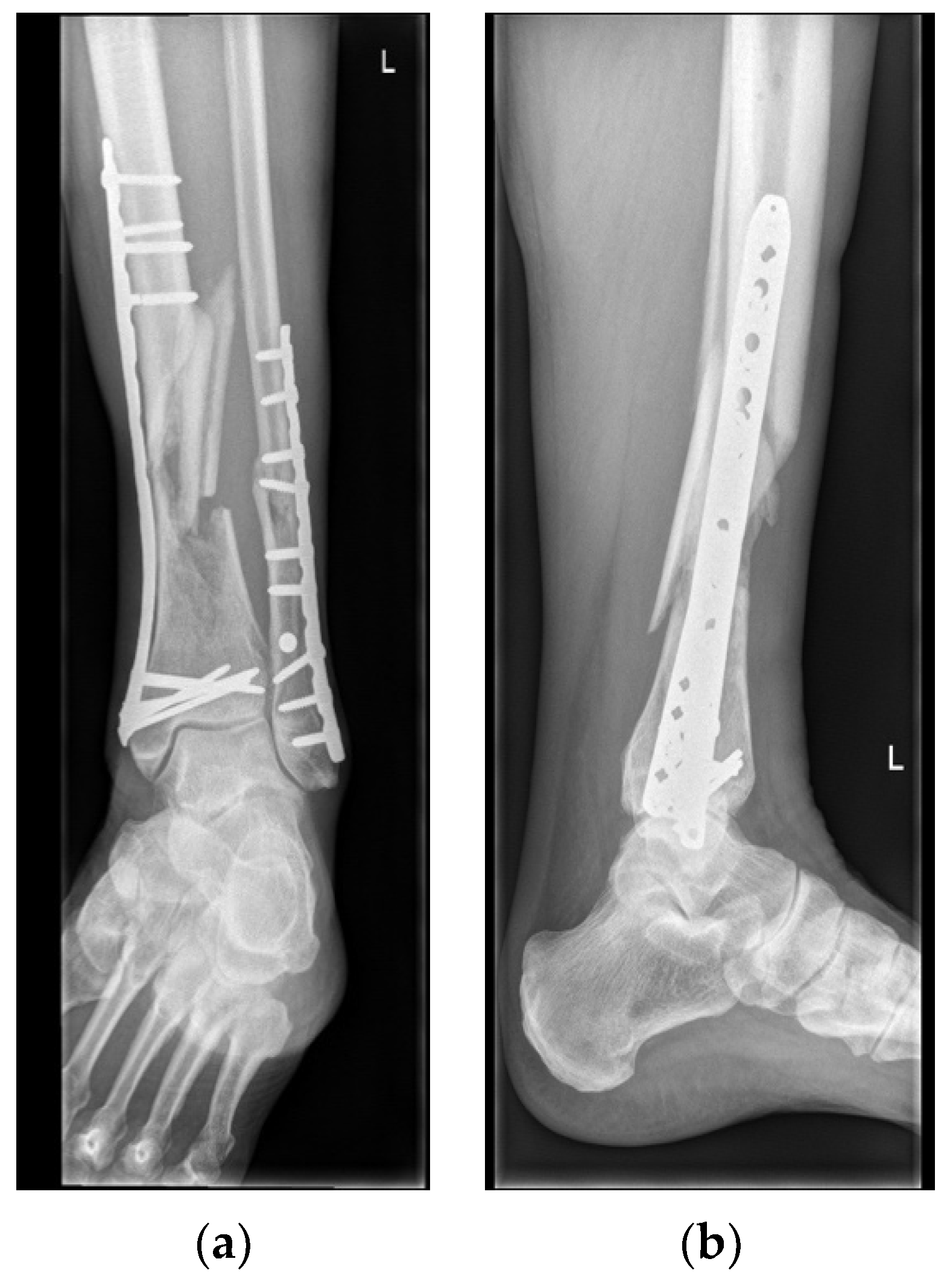
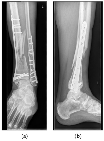
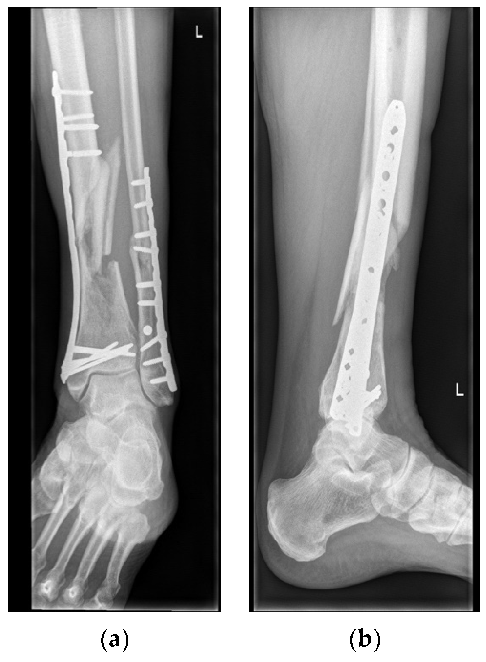
3. Results
Surgical Procedures
4. Discussion
Author Contributions
Funding
Institutional Review Board Statement
Informed Consent Statement
Data Availability Statement
Acknowledgments
Conflicts of Interest
References
- van Mulken, T.J.M.; Boymans, C.A.E.M.; Schols, R.M.; Cau, R.; Schoenmakers, F.B.F.; Hoekstra, L.T.; Qiu, S.S.; Selber, J.C.; Van Der Hulst, R.R.W.J. Preclinical Experience Using a New Robotic System Created for Microsurgery. Plast. Reconstr. Surg. 2018, 142, 1367–1376. [Google Scholar] [CrossRef]
- Alrasheed, T.; Liu, J.; Hanasono, M.M.; Butler, C.E.; Selber, J.C. Robotic microsurgery: Validating an assessment tool and plotting the learning curve. Plast. Reconstr. Surg. 2014, 134, 794–803. [Google Scholar] [CrossRef]
- Saleh, D.; Syed, M.; Kulendren, D.; Ramakrishnan, V.; Liverneaux, P. Plastic and reconstructive robotic microsurgery—A review of current practices. Ann. Chir. Plast. Esthet. 2015, 60, 305–312. [Google Scholar] [CrossRef]
- ORBEYE—4K 3D Orbital Camera System. Evolution in NeuroSurgery Imaging. Available online: https://www.olympus-europa.com/medical/en/Products-and-Solutions/Products/Product/ORBEYE.html (accessed on 22 January 2023).
- van Mulken, T.J.M.; Schols, R.M.; Qiu, S.S.; Brouwers, K.; Hoekstra, L.T.; Booi, D.I.; Cau, R.; Schoenmakers, F.; Scharmga, A.M.J.; Hulst, R.R.W.J. Robotic (super) microsurgery: Feasibility of a new master-slave platform in an in vivo animal model and future directions. J. Surg. Oncol. 2018, 118, 826–831. [Google Scholar] [CrossRef]
- van Mulken, T.J.M.; Schols, R.M.; Scharmga, A.M.J.; Winkens, B.; Cau, R.; Schoenmakers, F.B.F.; Qiu, S.S.; van der Hulst, R.R.W.J.; Keuter, X.H.A.; Lauwers, T.M.A.S.; et al. First-in-human robotic supermicrosurgery using a dedicated microsurgical robot for treating breast cancer-related lymphedema: A randomized pilot trial. Nat. Commun. 2020, 11, 757. [Google Scholar] [CrossRef]
- Masquelet, A.C.; Fitoussi, F.; Begue, T.; Muller, G.P. Reconstruction of the long bones by the induced membrane and spongy autograft. Ann. Chir. Plast. Esthet. 2000, 45, 346–353. [Google Scholar] [PubMed]
- Masquelet, A.C.; Begue, T. The concept of induced membrane for reconstruction of long bone defects. Orthop. Clin. N. Am. 2010, 41, 27–37. [Google Scholar] [CrossRef] [PubMed]
- Babar-Craig, H.; Banfield, G.; Knight, J. Prevalence of back and neck pain amongst ENT consultants: National survey. J. Laryngol. Otol. 2003, 117, 979–982. [Google Scholar] [CrossRef] [PubMed]
- Capone, A.C.; Parikh, P.M.; Gatti, M.E.; Davidson, B.J.; Davison, S.P. Occupational injury in plastic surgeons. Plast. Reconstr. Surg. 2010, 125, 1555–1561. [Google Scholar] [CrossRef] [PubMed]
- Fisher, S.M.; Teven, C.M.; Song, D.H. Ergonomics in the Operating Room: The Cervicospinal Health of Today’s Surgeons. Plast. Reconstr. Surg. 2018, 142, 1380–1387. [Google Scholar] [CrossRef] [PubMed]
- Khansa, I.; Khansa, L.; Westvik, T.S.; Ahmad, J.; Lista, F.; Janis, J.E. Work-Related Musculoskeletal Injuries in Plastic Surgeons in the United States, Canada, and Norway. Plast. Reconstr. Surg. 2018, 141, 165e–175e. [Google Scholar] [CrossRef] [PubMed]
- Krishnan, K.G.; Schöller, K.; Uhl, E. Application of a Compact High-Definition Exoscope for Illumination and Magnification in High-Precision Surgical Procedures. World Neurosurg. 2017, 97, 652–660. [Google Scholar] [CrossRef] [PubMed]
- Piatkowski, A.A.; Keuter, X.H.; Schols, R.M.; van der Hulst, R.R. Potential of performing a microvascular free flap reconstruction using solely a 3D exoscope instead of a conventional microscope. J. Plast. Reconstr. Aesthet. Surg. 2018, 71, 1664–1678. [Google Scholar] [CrossRef] [PubMed]
- Tan, Y.P.A.; Liverneaux, P.; Wong, J.K.F. Current Limitations of Surgical Robotics in Reconstructive Plastic Microsurgery. Front. Surg. 2018, 5, 22. [Google Scholar] [CrossRef] [PubMed]
- van Mulken, T.J.M.M.; Wolfs, J.A.G.N.M.; Qiu, S.S.M.; Scharmga, A.M.J.; Schols, R.M.M.; van Weezelenburg, M.A.M.S.; Cau, R.; van der Hulst, R.R.W.J.M.; MicroSurgical Robot Research Group. One-Year Outcomes of the First Human Trial on Robot-Assisted Lymphaticovenous Anastomosis for Breast Cancer-Related Lymphedema. Plast. Reconstr. Surg. 2022, 149, 151–161. [Google Scholar] [CrossRef] [PubMed]







Disclaimer/Publisher’s Note: The statements, opinions and data contained in all publications are solely those of the individual author(s) and contributor(s) and not of MDPI and/or the editor(s). MDPI and/or the editor(s) disclaim responsibility for any injury to people or property resulting from any ideas, methods, instructions or products referred to in the content. |
© 2023 by the authors. Licensee MDPI, Basel, Switzerland. This article is an open access article distributed under the terms and conditions of the Creative Commons Attribution (CC BY) license (https://creativecommons.org/licenses/by/4.0/).
Share and Cite
van Mulken, T.J.M.; Qiu, S.S.; Jonis, Y.; Profar, J.J.A.; Blokhuis, T.J.; Geurts, J.; Schols, R.M.; van der Hulst, R.R.W.J. First-in-Human Integrated Use of a Dedicated Microsurgical Robot with a 4K 3D Exoscope: The Future of Microsurgery. Life 2023, 13, 692. https://doi.org/10.3390/life13030692
van Mulken TJM, Qiu SS, Jonis Y, Profar JJA, Blokhuis TJ, Geurts J, Schols RM, van der Hulst RRWJ. First-in-Human Integrated Use of a Dedicated Microsurgical Robot with a 4K 3D Exoscope: The Future of Microsurgery. Life. 2023; 13(3):692. https://doi.org/10.3390/life13030692
Chicago/Turabian Stylevan Mulken, Tom J. M., Shan S. Qiu, Yasmine Jonis, Jairo J. A. Profar, Taco J. Blokhuis, Jan Geurts, Rutger M. Schols, and René R. W. J. van der Hulst. 2023. "First-in-Human Integrated Use of a Dedicated Microsurgical Robot with a 4K 3D Exoscope: The Future of Microsurgery" Life 13, no. 3: 692. https://doi.org/10.3390/life13030692
APA Stylevan Mulken, T. J. M., Qiu, S. S., Jonis, Y., Profar, J. J. A., Blokhuis, T. J., Geurts, J., Schols, R. M., & van der Hulst, R. R. W. J. (2023). First-in-Human Integrated Use of a Dedicated Microsurgical Robot with a 4K 3D Exoscope: The Future of Microsurgery. Life, 13(3), 692. https://doi.org/10.3390/life13030692

