Collision Tumors of the Colon and Peritoneum: Signet-Ring Cell Carcinoma and Granular Cell Tumor
Abstract
1. Introduction
2. Case Report
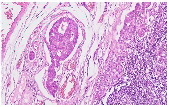
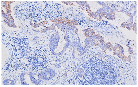
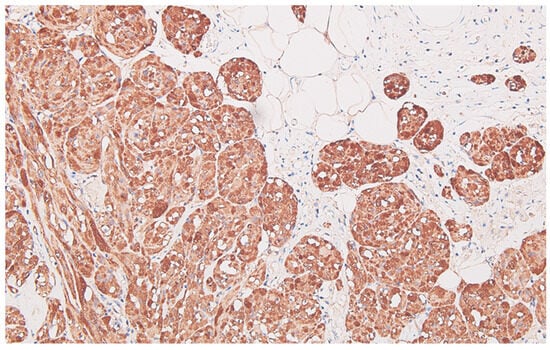
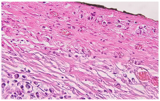
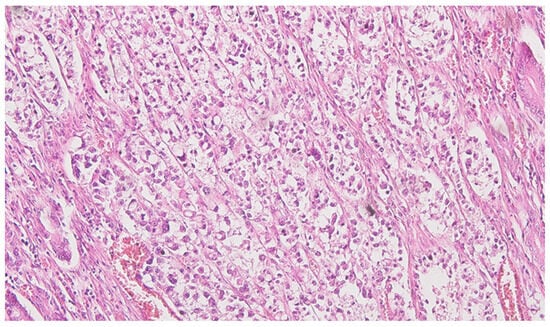
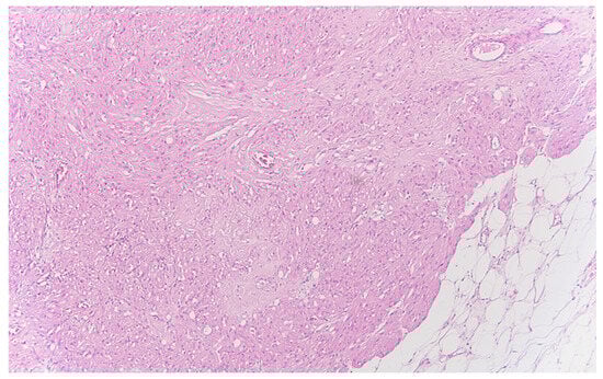
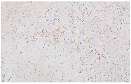
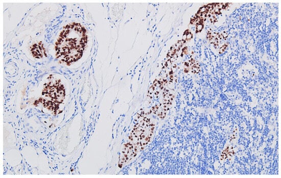
Histopathological Findings
3. Discussion
- Collision tumors = two or more morphologically different tumors arising in the same organ, at the same time; different tumors with biological behavior, genetic, and histological features that are sharply demarcated and lack significant tissue admixture, according to Otal and Nayyar, cited by [9];
- Synchronous tumors refer to two (or more) independent primary malignancies, when the second malignancy arose within 6 months of the diagnosis of the first malignancy, in the same, or in different organs [10];
- Metachronous tumors, in which the cancers follow in sequence, that is, more than six months apart [10];
- Composite/mixed/heterologous tumors, morphological distinct tumors with cellular mixture, in the same organ; however, they have actual cellular intermingling and a common driver mutation that results in divergent histology from a common source, as proved by Aggarwal and Anani, cited by [9].
- (a)
- From a coincidental occurrence of two primary neoplasms within a common location [9], it may be simply the chance apposition of two unrelated tumors;
- (b)
- A double clonal origin for both components of the collision tumor [11];
- (c)
- The two types of tumors share a common origin of pluripotent precursor stem cells that differentiate into the components of tumor cell types [12];
- (d)
- Brandwein-Gensler et al., cited by [9], proposed another hypothesis, suggesting that the first tumor may have altered the microenvironment within the organ and increased the likelihood of developing another primary tumor or facilitated metastatic seeding within the vicinity.
4. Conclusions
Author Contributions
Funding
Institutional Review Board Statement
Informed Consent Statement
Data Availability Statement
Conflicts of Interest
References
- Qian, T.; Gao, F.; Chen, M.-Z.; Meng, F.-H.; Li, X.-J.; Liu, Y.-J.; Yin, H.-B. Collision tumor of the esophagus: Report of a case with mixed squamous cell carcinoma and gastrointestinal stromal tumor. Int. J. Clin. Exp. Pathol. 2014, 7, 1206–1211. [Google Scholar]
- Bulte, C.A.; Hoegler, K.M.; Khachemoune, A. Collision tumors: A review of their types, pathogenesis, and diagnostic challenges. Dermatol. Ther. 2020, 33, e14236. [Google Scholar] [CrossRef] [PubMed]
- Grove, J.; Komforti, M.K.; Craig-Owens, L.; Beuerlein, F. A Collision Tumor in the Breast Consisting of Invasive Ductal Carcinoma and Malignant Melanoma. Cureus 2022, 14, e23588. [Google Scholar] [CrossRef] [PubMed]
- Schizas, D.; Katsaros, I.; Michalinos, A.; Damaskos, C.; Garmpis, N.; Ntomi, V.; Agrogiannis, G.; Stergiopoulos, S.; Tsaroucha, A.K. Collision Tumors of the Gastrointestinal Tract: A Systematic Review of the Literature. Anticancer. Res. Novemb. 2018, 38, 6047–6057. [Google Scholar] [CrossRef] [PubMed]
- Adamantios, M.; Anastasia, C.; Michael, K. Gastric Collision Tumors: An Insight into Their Origin and Clinical Significance. Gastroenterol. Res. Pract. 2015, 2015, 314158. [Google Scholar] [CrossRef]
- Rajekar, H.; Bhoje, A.; Vaiphei, K. Rectal adenocarcinoma coexisting with gastro-intestinal stromal tumor: A case report and literature review. J. Cancer Res. Ther. 2013, 9, 138–140. [Google Scholar] [CrossRef] [PubMed]
- Bhattacharya, A.; Saha, R.; Biswas, J.; Biswas, J.; Ghosh, B. Collision tumors in the gastrointestinal tract: A rare case series. Int. Med. Case Rep. J. 2012, 5, 73–77. [Google Scholar] [CrossRef] [PubMed][Green Version]
- Miyamoto, R.; Kikuchi, K.; Uchida, A.; Ozawa, M.; Kemmochi, A.; Sano, N.; Tadano, S.; Inagawa, S.; Adachi, S.; Yamamoto, M. Collision tumor consisting of a colorectal adenocarcinoma and dissemination of a gastric adenocarcinoma. SAGE Open Med. Case Rep. 2018, 6. [Google Scholar] [CrossRef] [PubMed]
- Sung, C.T.; Shetty, A.; Menias, C.O.; Houshyar, R.; Chatterjee, S.; Lee, T.K.; Tung, P.; Helmy, M.; Lall, C. Collision and composite tumors; radiologic and pathologic correlation. Abdom. Radiol. 2017, 42, 2909–2926. [Google Scholar] [CrossRef] [PubMed]
- Lv, M.; Zhang, X.; Shen, Y.; Wang, F.; Yang, J.; Wang, B.; Chen, Z.; Li, P.; Zhang, X.; Li, S.; et al. Clinical analysis and prognosis of synchronous and metachronous multiple primary malignant tumors. Medicine 2017, 96, e6799. [Google Scholar] [CrossRef] [PubMed]
- Gonzalez, L.; Sanz-Esponera, J.; Saez, C.; Alvarez, T.; Sierra, E.; Sanz-Ortega, J. Case report: Esophageal collision tumor (oat cell carcinoma and adenocarcinoma) in Barrett’s esophagus: Immunohistochemical, electron microscopy and LOH analysis. Histol. Histopathol. 2003, 18, 1–5. [Google Scholar] [PubMed]
- Brahmania, M.; Kanthan, C.; Kanthan, R. Collision tumor of the colon-colonic adenocarcinoma and ovarian granulosa cell tumor. World J. Surg. Oncol. 2007, 5, 118. [Google Scholar] [CrossRef] [PubMed]
- Sun, J.; Wang, X.; Gao, P.; Song, Y.; Chen, X.; Sun, Y.; Yu, D.; Lv, X.; Wang, Z. Prognosis and efficiency of adjuvant therapy in resected colon signet-ring cell carcinoma. Transl. Cancer Res. 2018, 7, 1006–1025. [Google Scholar] [CrossRef]
- Zhao, Z.; Yan, N.; Pan, S.; Wang, D.W.; Li, Z.W. The value of adjuvant chemotherapy in stage II/III colorectal signet ring cell carcinoma. Sci. Rep. 2020, 10, 14126. [Google Scholar] [CrossRef] [PubMed]
- Hugen, N.; Verhoeven, R.H.; Lemmens, V.E.; van Aart, C.J.; Elferink, M.A.; Radema, S.A.; Nagtegaal, I.D.; de Wilt, J.H. Colorectal signet-ring cell carcinoma: Benefit from adjuvant chemotherapy but a poor prognostic factor. Int. J. Cancer 2015, 136, 333–339. [Google Scholar] [CrossRef] [PubMed]
- Alfredo, A.; Andrea, M.; Andrea, R.; Matteo, R.; Francesco, L.; Pellegrino, C.; Edoardo, V.; Paolo, D.; Renato, C. Stage III and Metastatic Lymph Node Ratio Are the only Independent Prognostic Factors in Colorectal Signet-ring Cell Carcinoma Patients. Anticancer Res. Dec. 2020, 40, 7127–7134. [Google Scholar] [CrossRef]








| Antibody | Clone | RTU/Dilution | Antigen Retrieval | Primary Antibody Incubation Time | Visualization System |
|---|---|---|---|---|---|
| CK7 Bond Leica | RN7 | RTU | Epitope Retrieval Solution 1 pH 6 | 15′ | BOND Polymer Refine Detection |
| CK20 Bond Leica | KS208 | RTU | Epitope Retrieval Solution 2 pH 9 | 15′ | BOND Polymer Refine Detection |
| CDX2 Bond Leica | EP25 | RTU | Epitope Retrieval Solution 2 pH 9 | 15′ | BOND Polymer Refine Detection |
| S100 Bond Leica | EP32 | RTU | Epitope Retrieval Solution 1 pH 6 | 15′ | BOND Polymer Refine Detection |
| CD68 DAKO | C68/684 | RTU | EnVision Flex Target Retrieval Solution high pH (9) | 30′ | HRP Polymer Kit |
| CD117 Bond Leica | EP10 | RTU | Epitope Retrieval Solution 2 pH 9 | 15′ | BOND Polymer Refine Detection |
Disclaimer/Publisher’s Note: The statements, opinions and data contained in all publications are solely those of the individual author(s) and contributor(s) and not of MDPI and/or the editor(s). MDPI and/or the editor(s) disclaim responsibility for any injury to people or property resulting from any ideas, methods, instructions or products referred to in the content. |
© 2023 by the authors. Licensee MDPI, Basel, Switzerland. This article is an open access article distributed under the terms and conditions of the Creative Commons Attribution (CC BY) license (https://creativecommons.org/licenses/by/4.0/).
Share and Cite
Lazureanu, D.-C.; Anderco, D.; Dema, S.; Jurescu, A.; Cornea, R.; Vita, O.; Tunescu, B.; Taban, S. Collision Tumors of the Colon and Peritoneum: Signet-Ring Cell Carcinoma and Granular Cell Tumor. Life 2023, 13, 2263. https://doi.org/10.3390/life13122263
Lazureanu D-C, Anderco D, Dema S, Jurescu A, Cornea R, Vita O, Tunescu B, Taban S. Collision Tumors of the Colon and Peritoneum: Signet-Ring Cell Carcinoma and Granular Cell Tumor. Life. 2023; 13(12):2263. https://doi.org/10.3390/life13122263
Chicago/Turabian StyleLazureanu, Dorela-Codruta, Denisa Anderco, Sorin Dema, Aura Jurescu, Remus Cornea, Octavia Vita, Bogdan Tunescu, and Sorina Taban. 2023. "Collision Tumors of the Colon and Peritoneum: Signet-Ring Cell Carcinoma and Granular Cell Tumor" Life 13, no. 12: 2263. https://doi.org/10.3390/life13122263
APA StyleLazureanu, D.-C., Anderco, D., Dema, S., Jurescu, A., Cornea, R., Vita, O., Tunescu, B., & Taban, S. (2023). Collision Tumors of the Colon and Peritoneum: Signet-Ring Cell Carcinoma and Granular Cell Tumor. Life, 13(12), 2263. https://doi.org/10.3390/life13122263

