Usefulness of the Blink Reflex in Diagnosing Isolated Infraorbital Neuropathy following Midface Augmentation with AlloPlastic Facial Implants: A Case Report
Abstract
1. Introduction
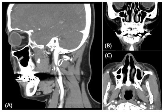
2. Case Presentation
3. Discussion
4. Conclusions
Author Contributions
Funding
Institutional Review Board Statement
Informed Consent Statement
Data Availability Statement
Acknowledgments
Conflicts of Interest
References
- Seckel, B.R. Facial Danger Zones: Avoiding Nerve Injury in Facial Plastic Surgery. Can. J. Plast. Surg. 1994, 2, 59–66. [Google Scholar] [CrossRef]
- Magliacano, A.; Fiorenza, S.; Estraneo, A.; Trojano, L. Eye blink rate increases as a function of cognitive load during an auditory oddball paradigm. Neurosci. Lett. 2020, 736, 1352932. [Google Scholar] [CrossRef] [PubMed]
- Shahbakhti, M.; Beiramvand, M.; Rejer, I.; Augustyniak, P.; Broniec-Wojcik, A.; Wierzchon, M.; Marozas, V. Simultaneous Eye Blink Characterization and Elimination from Low-Channel Prefrontal EEG Signals Enhances Driver Drowsiness Detection. IEEE J. Biomed. Health Inform. 2021, 26, 1001–1012. [Google Scholar] [CrossRef] [PubMed]
- Ren, P.; Ma, X.; Lai, W.; Zhang, M.; Liu, S.; Wang, Y.; Li, M.; Ma, D.; Dong, Y.; He, Y.; et al. Comparison of the Use of Blink Rate and Blink Rate Variability for Mental State Recognition. IEEE Trans. Neural Syst. Rehabil. Eng. 2019, 27, 867–875. [Google Scholar] [CrossRef] [PubMed]
- Ohki, M.; Takeuchi, N. Objective evaluation of infraorbital nerve involvement in maxillary lesions by means of the blink reflex. Arch. Otolaryngol.-Head Neck Surg. 2002, 128, 952–955. [Google Scholar] [CrossRef] [PubMed][Green Version]
- Park, Y.S.; Kim, W.J. Correlation between infraorbital blink reflex study and clinical neurosensory test for diagnosing infraorbital nerve injury following orbitozygomatic complex fracture. J. Korean EMG Electrodiagn Med. 2013, 15, 20–27. [Google Scholar] [CrossRef]
- Sakavicius, D.; Juodzbalys, G.; Kubilius, R.; Sabalys, G.P. Investigation of infraorbital nerve injury following zygomaticomaxillary complex fractures. J. Oral Rehabil. 2008, 35, 903–916. [Google Scholar] [CrossRef] [PubMed]
- Noor, M.; Ishaq, Y.; Anwar, M.A. Frequency of infra-orbital nerve injury after a zygomaticomaxillary complex fracture and its functional recovery after open reduction and internal fixation. Int. Surg. J. 2017, 4, 685–689. [Google Scholar] [CrossRef]
- Ference, E.H.; Smith, S.S.; Conley, D.; Chandra, R.K. Surgical anatomy and variations of the infraorbital nerve. Laryngoscope 2015, 125, 1296–1300. [Google Scholar] [CrossRef] [PubMed]
- Jungell, P.; Lindqvist, C. Paraesthesia of the infraorbital nerve following fracture of the zygomatic complex. Int. J. Oral Maxillofac. Surg. 1987, 16, 363–367. [Google Scholar] [CrossRef]
- Schultze-Mosgau, S.; Erbe, M.; Rudolph, D.; Ott, R.; Neukam, F.W. Prospective study on post-traumatic and postoperative sensory disturbances of the inferior alveolar nerve and infraorbital nerve in mandibular and midfacial fractures. J. Cranio-Maxillo-Facial Surg. Off. Publ. Eur. Assoc. Cranio-Maxillo-Facial Surg. 1999, 27, 86–93. [Google Scholar] [CrossRef]
- Gierloff, M.; Seeck, N.G.; Springer, I.; Becker, S.; Kandzia, C.; Wiltfang, J. Orbital floor reconstruction with resorbable polydioxanone implants. J. Craniofacial Surg. 2012, 23, 161–164. [Google Scholar] [CrossRef] [PubMed]
- Raschke, R.; Hazani, R.; Yaremchuk, M.J. Identifying a safe zone for midface augmentation using anatomic landmarks for the infraorbital foramen. Aesthetic Surg. J. 2013, 33, 13–18. [Google Scholar] [CrossRef] [PubMed]
- Fogaca, W.C.; Fereirra, M.C.; Dellon, A.L. Infraorbital nerve injury associated with zygoma fractures: Documentation with neurosensory testing. Plast Reconstr. Surg. 2004, 113, 834. [Google Scholar] [CrossRef] [PubMed]
- Taicher, S.; Ardekian, L.; Samet, N.; Shoshani, Y.; Kaffe, I. Recovery of the infraorbital nerve after zygomatic complex fractures: A preliminary study of different treatment methods. J. Oral Maxillofac. Surg. 1993, 22, 339. [Google Scholar] [CrossRef]
- Yaremchuk, M.J. Facial skeletal reconstruction using porous polyethylene implants. Plast. Reconstr. Surg. 2003, 111, 1818–1827. [Google Scholar] [CrossRef] [PubMed]
- Bernard, J.M.; Pereon, Y. Nerve stimulation for regional anesthesia of the face: Use of the blink reflex to confirm the localization of the trigeminal nerve. Anesth Analg. 2005, 101, 589–591. [Google Scholar] [CrossRef] [PubMed]
- Kang, D.I.; Park, S.W.; Choi, J.H. Usefulness of the blink reflex study as a preoperative evaluation in the orbitozygomatic complex fracture. J. Korean Soc. Plast Reconstr. Surg. 2010, 37, 779–782. [Google Scholar]
- Kimura, J. The blink reflex as a clinical test. In Electrodiagnosis in Clinical Neurology, 4th ed.; Aminoff, M.J., Ed.; Churchill Livingstone: Philadelphia, PA, USA, 1999; pp. 337–363. [Google Scholar]
- Beise, R.D.; Kohllöffel, L.U.E.; Claus, D. Blink reflex induced by controlled, ballistic mechanical impacts. Muscle Nerve 1999, 22, 443–448. [Google Scholar] [CrossRef]
- Ellrich, J. Brain stem reflexes: Probing human trigeminal nociception. News Physiol. Sci. 2000, 15, 94–97. [Google Scholar] [CrossRef] [PubMed]





| Infraorbital Nerve (Preoperation) | |||
| Stimulation Side | Ipsilateral R1 (ms) | Ipsilateral R2 (ms) | Contralateral R2 (ms) |
| Left | 12.8 | 39.5 | 39.2 |
| Right | 11.0 | 33.8 | 34.1 |
| Infraorbital Nerve (Postoperation) | |||
| Stimulation Side | Ipsilateral R1 (ms) | Ipsilateral R2 (ms) | Contralateral R2 (ms) |
| Left | 12.2 | 32.2 | 34.8 |
| Right | 11.9 | 32.7 | 33.5 |
Publisher’s Note: MDPI stays neutral with regard to jurisdictional claims in published maps and institutional affiliations. |
© 2022 by the authors. Licensee MDPI, Basel, Switzerland. This article is an open access article distributed under the terms and conditions of the Creative Commons Attribution (CC BY) license (https://creativecommons.org/licenses/by/4.0/).
Share and Cite
Kim, B.H.; Yang, H.; Yoo, M.C. Usefulness of the Blink Reflex in Diagnosing Isolated Infraorbital Neuropathy following Midface Augmentation with AlloPlastic Facial Implants: A Case Report. Life 2022, 12, 1122. https://doi.org/10.3390/life12081122
Kim BH, Yang H, Yoo MC. Usefulness of the Blink Reflex in Diagnosing Isolated Infraorbital Neuropathy following Midface Augmentation with AlloPlastic Facial Implants: A Case Report. Life. 2022; 12(8):1122. https://doi.org/10.3390/life12081122
Chicago/Turabian StyleKim, Byoung Hoon, Haseon Yang, and Myung Chul Yoo. 2022. "Usefulness of the Blink Reflex in Diagnosing Isolated Infraorbital Neuropathy following Midface Augmentation with AlloPlastic Facial Implants: A Case Report" Life 12, no. 8: 1122. https://doi.org/10.3390/life12081122
APA StyleKim, B. H., Yang, H., & Yoo, M. C. (2022). Usefulness of the Blink Reflex in Diagnosing Isolated Infraorbital Neuropathy following Midface Augmentation with AlloPlastic Facial Implants: A Case Report. Life, 12(8), 1122. https://doi.org/10.3390/life12081122

