Diagnostic Value of High-Resolution Ultrasound for the Evaluation of Capsular Width in Temporomandibular Joint Effusion
Abstract
:1. Introduction
2. Materials and Methods
2.1. Patients
2.2. MRI Examination
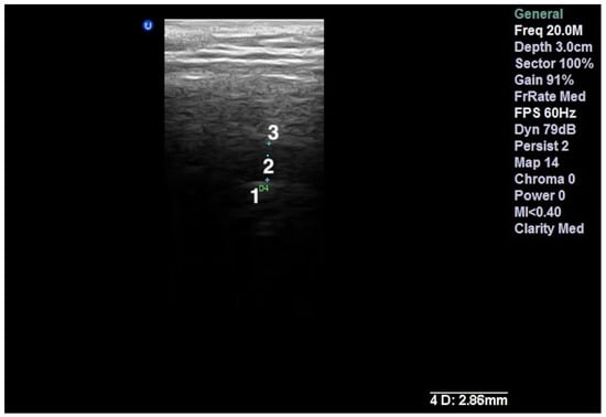
2.3. The Ultrasound Examination
2.4. Statistical Analysis
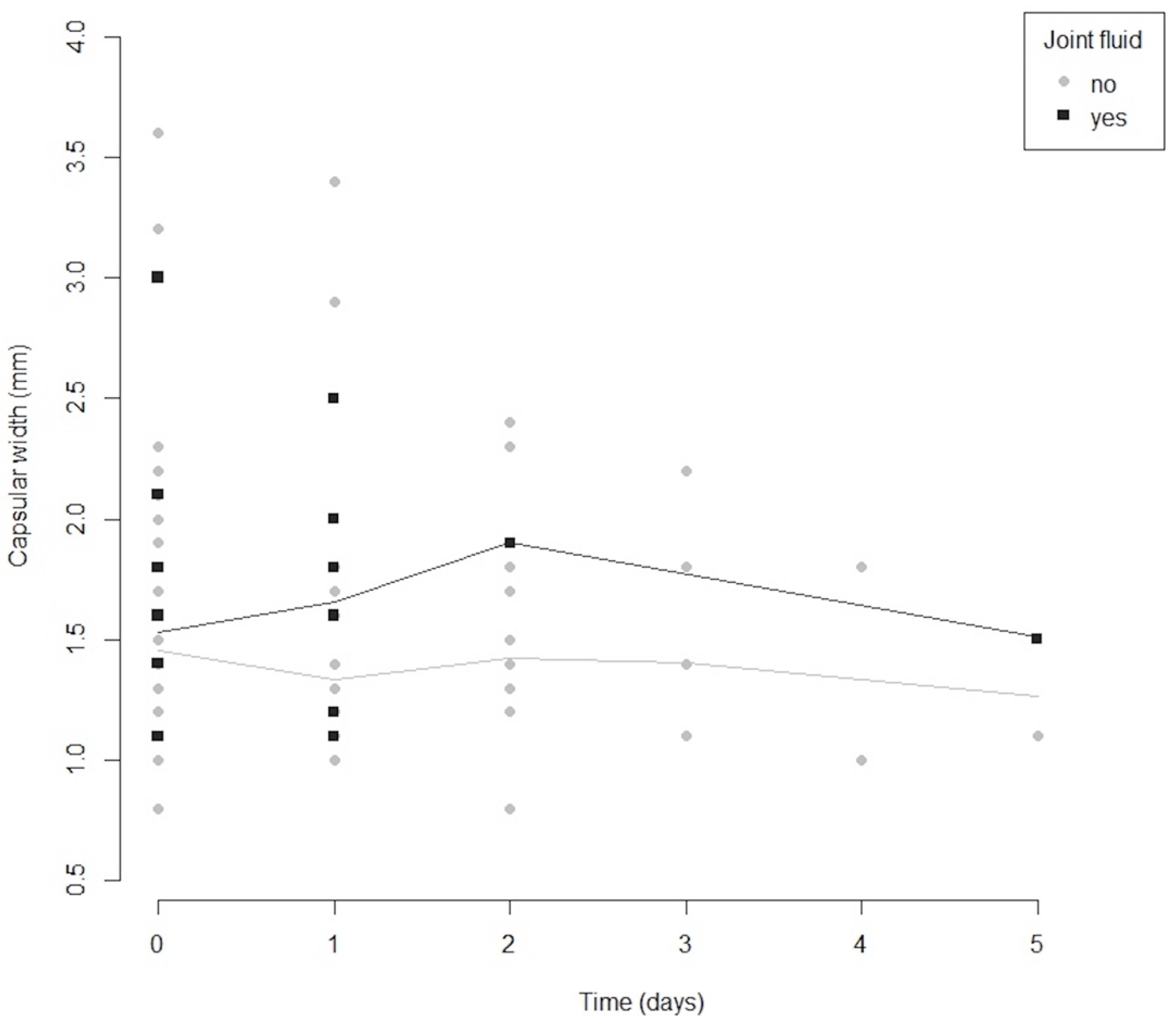
3. Results
4. Discussion
5. Conclusions
Author Contributions
Funding
Institutional Review Board Statement
Informed Consent Statement
Conflicts of Interest
References
- Rocabado, M. Clinical Atlas 1, Synovial Joint Physiology. In Temporo Mandibular Joint Pain Map; CEDIME: Villaricca, Italy, 2012. [Google Scholar]
- Okeson, J. Bell’s Orofacial Pain, 7th ed.; Quintessence Publishing Co., Inc.: Batavia, IL, USA, 2014. [Google Scholar]
- Okeson, J. Management of Temporomandibular Disorders and Occlusion, 8th ed.; Elsevier, Inc.: Amsterdam, The Netherlands, 2020. [Google Scholar]
- O’Connor, R.C.; Fawthrop, F.; Salha, R.; Sidebottom, A.J. Management of the temporomandibular joint in inflammatory arthritis: Involvement of surgical procedures. Eur. J. Rheumatol. 2017, 4, 151–156. [Google Scholar] [CrossRef] [PubMed]
- Westesson, P.L.; Brooks, S.L. Temporomandibular joint: Relationship between MR evidence of effusion and the presence of pain and disk displacement. Am. J. Roentgenol. 1992, 159, 559–563. [Google Scholar] [CrossRef] [PubMed]
- Bertram, S.; Rudisch, A.; Innerhofer, K.; Pumpel, E.; Grubwieser, G.; Emshoff, R. Diagnosing TMJ internal derangement and osteoarthritis with magnetic resonance imaging. J. Am. Dent. Assoc. 2001, 132, 753–761. [Google Scholar] [CrossRef]
- Melchiorre, D.; Calderazzi, A.; Maddali Bongi, S.; Cristofani, R.; Bazzichi, L.; Eligi, C.; Maresca, M.; Ciompi, M. A comparison of ultrasonography and magnetic resonance imaging in the evaluation of temporomandibular joint involvement in rheumatoid arthritis and psoriatic arthritis. Rheumatology 2003, 42, 673–676. [Google Scholar] [CrossRef] [PubMed] [Green Version]
- Manfredini, D.; Guarda-Nardini, L. Ultrasonography of the temporomandibular joint: A literature review. Int. J. Oral Maxillofac. Surg. 2009, 38, 1229–1236. [Google Scholar] [CrossRef]
- Kundu, H.; Basavaraj, P.; Kote, S.; Singla, A.; Singh, S. Assessment of TMJ Disorders using ultrasonography as a diagnostic tool: A review. J. Clin. Diagn. Res. 2013, 7, 3116–3120. [Google Scholar] [CrossRef]
- Talmaceanu, D.; Lenghel, L.M.; Bolog, N.; Stanila, R.P.; Buduru, S.; Leucuta, D.C.; Rotar, H.; Baciut, M.; Baciut, G. High-resolution ultrasonography in assessing temporomandibular joint disc position. Med. Ultrason. 2018, 20, 64–70. [Google Scholar] [CrossRef] [Green Version]
- Uysal, S.; Kansu, H.; Akhan, O.; Kansu, O. Comparison of ultrasonography with magnetic resonance imaging in the diagnosis of temporomandibular joint internal derangements: A preliminary investigation. Oral Surg. Oral Med. Oral Pathol. Oral Radiol. Endod. 2002, 94, 115–121. [Google Scholar] [CrossRef]
- Tognini, F.; Manfredini, D.; Melchiorre, D.; Bosco, M. Comparison of ultrasonography and magnetic resonance imaging in the evaluation of temporomandibular joint disc displacement. J. Oral Rehabil. 2005, 32, 248–253. [Google Scholar] [CrossRef]
- Emshoff, R.; Bertram, S.; Rudisch, A.; Gassner, R. The diagnostic value of ultrasonography to determine the temporomandibular joint disk position. Oral Surg. Oral Med. Oral Pathol. Oral Radiol. Endod. 1997, 84, 688–696. [Google Scholar] [CrossRef]
- Jank, S.; Emshoff, R.; Norer, B.; Missmann, M.; Nicasi, A.; Strobl, H.; Gassner, R.; Rudisch, A.; Bodner, G. Diagnostic quality of dynamic high resolution ultrasonography of the TMJ—A pilot study. Int. J. Oral Maxillofac. Surg. 2005, 34, 132–137. [Google Scholar] [CrossRef] [PubMed]
- Emshoff, R.; Brandlmaier, I.; Bodner, G.; Rudisch, A. Condylar erosion and disc displacement: Detection with high-resolution ultrasonography. J. Oral Maxillofac. Surg. 2003, 61, 877–881. [Google Scholar] [CrossRef]
- Jank, S.; Rudisch, A.; Bodner, G.; Brandlmaier, I.; Gerhard, S.; Emshoff, R. High resolution ultrasonography of the TMJ: Helpful diagnostic approach for patients with TMJ disorders? J. Craniomaxillofac. Surg. 2001, 29, 366–371. [Google Scholar] [CrossRef] [PubMed]
- Dworkin, S.; LeResche, L. Research diagnostic criteria for temporomandibular disorders: Review, criteria, examinations and specifications, critique. J. Craniomandib. Disord. 1992, 6, 301–355. [Google Scholar]
- Sale, H.; Bryndahl, F.; Isberg, A. Temporomandibular joints in asymptomatic and symptomatic nonpatient volunteers: A prospective 15-year follow-up clinical and MR imaging study. Radiology 2013, 267, 183–194. [Google Scholar] [CrossRef] [PubMed] [Green Version]
- Aoyama, S.; Kino, K.; Amagasa, T.; Sakamoto, I.; Omura, K.; Honda, E.; Kobayashi, K.; Igarashi, C.; Yoda, T.M. Clinical and magnetic resonance imaging study of unilateral sideways disc displacements of the temporomandibular joint. J. Med. Dent. Sci. 2002, 49, 89–94. [Google Scholar] [PubMed]
- Habashi, H.; Eran, A.; Blumenfeld, I.; Gaitini, D. Dynamic high-resolution sonography compared to magnetic resonance imaging for diagnosis of temporomandibular joint disk displacement. J. Ultrasound. Med. 2015, 34, 75–82. [Google Scholar] [CrossRef] [PubMed]
- R Core Team. R: A Language and Environment for Statistical Computing [Internet]; R Core Team: Vienna, Austria, 2016; Available online: http://www.r-project.org (accessed on 21 October 2020).
- Delle Sedie, A.; Riente, L.; Iagnocco, A. Ultrasound imaging for the rheumatologist. VI. Ultrasonography of the elbow, sacroiliac, parasternal, and temporomandibular joints. Clin. Exp. Rheumatol. 2006, 24, 617–621. [Google Scholar] [PubMed]
- Bierma-Zeinstra, S.M.; Bohnen, A.M.; Verhaar, J.A.; Prins, A.; Ginai-Karamat, A.Z.; Lameris, J.S. Sonography for hip joint effusion in adults with hip pain. Ann. Rheum. Dis. 2000, 59, 178–182. [Google Scholar] [CrossRef]
- Landes, C.A.; Goral, W.; Mack, M.G.; Sader, R. 3-D sonography for diagnosis of osteoarthrosis and disk degeneration of the temporomandibular joint, compared with MRI. Ultrasound Med. Biol. 2006, 32, 627–632. [Google Scholar] [CrossRef]
- Talmaceanu, D.; Lenghel, L.M.; Bolog, N.; Buduru, S.; Leucuta, D.; Horatiu, R. High-resolution ultrasound imaging compared to magnetic resonance imaging for temporomandibular joint disorders: An in vivo study. Eur. J. Radiol. 2020, 132, 109921. [Google Scholar] [CrossRef]
- Chang, H.; Israel, H. Analysis of inflammatory mediators in temporomandibular joint synovial fluid lavage samples of symptomatic patients and asymptomatic controls. J. Oral. Maxillofac. Surg. 2005, 63, 761–765. [Google Scholar] [CrossRef] [PubMed]
- Kretapirom, K.; Okochi, K.; Nakamura, S.; Tetsumura, A.; Ohbayashi, N.; Yoshino, N.; Kurabayashi, T. MRI characteristics of rheumatoid arthritis in the temporomandibular joint. Dentomaxillofac. Radiol. 2013, 42, 31627230. [Google Scholar] [CrossRef] [PubMed] [Green Version]
- Goupille, P.; Fouquet, B.; Cotty, P.; Goga, D.; Valat, J.P. Direct coronal computed tomography of the temporomandibular joint in patients with rheumatoid arthritis. Br. J. Radiol. 1992, 65, 955–960. [Google Scholar] [CrossRef] [PubMed]
- Vogler, J.B., 3rd; Murphy, W.A. Bone marrow imaging. Radiology 1988, 168, 679–693. [Google Scholar] [CrossRef]
- Emshoff, R.; Brandlmaier, I.; Schmid, C.; Bertram, S.; Rudisch, A. Bone marrow edema of the mandibular condyle related to internal derangement, osteoarthrosis, and joint effusion. J. Oral. Maxillofac. Surg. 2003, 61, 35–40. [Google Scholar] [CrossRef] [PubMed]
- Manfredini, D.; Tognini, F.; Melchiorre, D.; Zampa, V.; Bosco, M. Ultrasound assessment of increased capsular width as a predictor of temporomandibular joint effusion. Dentomaxillofac. Radiol. 2003, 32, 359–364. [Google Scholar] [CrossRef]
- Bas, B.; Yılmaz, N.; Gökce, E.; Akan, H. Ultrasound assessment of increased capsular width in temporomandibular joint internal derangements: Relationship with joint pain and magnetic resonance grading of joint effusion. Oral Surg. Oral Med. Oral Pathol. Oral Radiol. Endod. 2011, 112, 112–117. [Google Scholar] [CrossRef] [PubMed]
- Tognini, F.; Manfredini, D.; Melchiorre, D.; Zampa, V.; Bosco, M. Ultrasonographic vs magnetic resonance imaging findings of temporo-mandibular joint effusion. Minerva Stomatol. 2003, 52, 365–370. [Google Scholar]
- Elias, M.F.; Birman, E.G.; Matsuda, C.K.; Oliveira, I.R.S.; Jorge, W.A. Ultrasonographic findings in normal temporomandibular joints. Braz. Oral. Res. 2006, 20, 25–32. [Google Scholar] [CrossRef]
- Suenaga, S.; Nagayama, K.; Nagasawa, T.; Indo, H.; Majima, H.J. The usefulness of diagnostic imaging for the assessment of pain symptoms in temporomandibular disorders. Jpn. Dent. Sci. Rev. 2016, 52, 93–106. [Google Scholar] [CrossRef] [PubMed] [Green Version]
- Park, H.N.; Kim, K.A.; Koh, K.J. Relationship between pain and effusion on magnetic resonance imaging in temporomandibular disorder patients. Imaging Sci. Dent. 2014, 44, 293–299. [Google Scholar] [CrossRef] [PubMed] [Green Version]
- Sano, T.; Westesson, P.L. Magnetic resonance imaging of the temporomandibular joint. Increased T2 signal in the retrodiscal tissue of the painful joints. Oral Surg Oral Med Oral Pathol Oral radiol Endod 1995, 79, 511–516. [Google Scholar] [CrossRef]
- Ohlmann, B.; Rammelsberg, P.; Henschel, V.; Kress, B.; Gabbert, O.; Schmitter, M. Prediction of TMJ arthralgia according to clinical diagnosis and MRI findings. Int. J. Prosthodont. 2006, 19, 333–338. [Google Scholar]
- Adame, C.G.; Monje, F.; Offnoz, M.; Martin-Granizo, R. Effusion in magnetic resonance imaging of the temporomandibular joint: A study of 123 joints. J. Oral Maxillofac. Surg. 1998, 56, 314–318. [Google Scholar] [CrossRef]








| Joint Effusion—MRI | |||
|---|---|---|---|
| Yes | No | Total | |
| Capsular Thickness (mm)-US | |||
| 0.7 | 0 | 2 | 2 |
| 0.8 | 1 | 4 | 5 |
| 0.9 | 0 | 7 | 7 |
| 1 | 0 | 10 | 10 |
| 1.1 | 1 | 18 | 19 |
| 1.2 | 2 | 13 | 15 |
| 1.3 | 2 | 15 | 17 |
| 1.4 | 3 | 24 | 27 |
| 1.5 | 0 | 14 | 14 |
| 1.6 | 1 | 17 | 18 |
| 1.7 | 1 | 16 | 17 |
| 1.8 | 4 | 12 | 16 |
| 1.9 | 0 | 5 | 5 |
| 2 | 0 | 4 | 4 |
| 2.1 | 3 | 3 | 6 |
| 2.2 | 4 | 2 | 6 |
| 2.3 | 3 | 1 | 4 |
| 2.4 | 1 | 1 | 2 |
| 2.5 | 1 | 1 | 2 |
| 2.6 | 1 | 0 | 1 |
| 2.9 | 2 | 0 | 2 |
| 3 | 1 | 0 | 1 |
| 3.1 | 1 | 0 | 1 |
| 3.2 | 0 | 1 | 1 |
| 3.4 | 1 | 0 | 1 |
| 3.6 | 1 | 0 | 1 |
| Total | 34 | 170 | 204 |
| Capsular Width Cut-Off Value (mm) | Sensitivity | Specificity | |
|---|---|---|---|
| 1 | −Inf | 100.00 | 0.00 |
| 2 | 0.75 | 100.00 | 1.20 |
| 3 | 0.85 | 97.10 | 3.50 |
| 4 | 0.95 | 97.10 | 7.60 |
| 5 | 1.05 | 97.10 | 13.50 |
| 6 | 1.15 | 94.10 | 24.10 |
| 7 | 1.25 | 88.20 | 31.80 |
| 8 | 1.35 | 82.40 | 40.60 |
| 9 | 1.45 | 73.50 | 54.70 |
| 10 | 1.55 | 73.50 | 62.90 |
| 11 | 1.65 | 70.60 | 72.90 |
| 12 | 1.75 | 67.60 | 82.40 |
| 13 | 1.85 | 55.90 | 89.40 |
| 14 | 1.95 | 55.90 | 92.40 |
| 15 | 2.05 | 55.90 | 94.70 |
| 16 | 2.15 | 47.10 | 96.50 |
| 17 | 2.25 | 35.30 | 97.60 |
| 18 | 2.35 | 26.50 | 98.20 |
| 19 | 2.45 | 23.50 | 98.80 |
| 20 | 2.55 | 20.60 | 99.40 |
| 21 | 2.75 | 17.60 | 99.40 |
| 22 | 2.95 | 11.80 | 99.40 |
| 23 | 3.05 | 8.80 | 99.40 |
| 24 | 3.15 | 5.90 | 99.40 |
| 25 | 3.30 | 5.90 | 100.00 |
| 26 | 3.50 | 2.90 | 100.00 |
| 27 | Inf | 0.00 | 100.00 |
Publisher’s Note: MDPI stays neutral with regard to jurisdictional claims in published maps and institutional affiliations. |
© 2022 by the authors. Licensee MDPI, Basel, Switzerland. This article is an open access article distributed under the terms and conditions of the Creative Commons Attribution (CC BY) license (https://creativecommons.org/licenses/by/4.0/).
Share and Cite
Talmaceanu, D.; Lenghel, L.M.; Csutak, C.; Bolog, N.; Leucuta, D.-C.; Rotar, H.; Tig, I.; Buduru, S. Diagnostic Value of High-Resolution Ultrasound for the Evaluation of Capsular Width in Temporomandibular Joint Effusion. Life 2022, 12, 477. https://doi.org/10.3390/life12040477
Talmaceanu D, Lenghel LM, Csutak C, Bolog N, Leucuta D-C, Rotar H, Tig I, Buduru S. Diagnostic Value of High-Resolution Ultrasound for the Evaluation of Capsular Width in Temporomandibular Joint Effusion. Life. 2022; 12(4):477. https://doi.org/10.3390/life12040477
Chicago/Turabian StyleTalmaceanu, Daniel, Lavinia Manuela Lenghel, Csaba Csutak, Nicolae Bolog, Daniel-Corneliu Leucuta, Horatiu Rotar, Ioan Tig, and Smaranda Buduru. 2022. "Diagnostic Value of High-Resolution Ultrasound for the Evaluation of Capsular Width in Temporomandibular Joint Effusion" Life 12, no. 4: 477. https://doi.org/10.3390/life12040477
APA StyleTalmaceanu, D., Lenghel, L. M., Csutak, C., Bolog, N., Leucuta, D.-C., Rotar, H., Tig, I., & Buduru, S. (2022). Diagnostic Value of High-Resolution Ultrasound for the Evaluation of Capsular Width in Temporomandibular Joint Effusion. Life, 12(4), 477. https://doi.org/10.3390/life12040477

