Cardiac Muscle Training—A New Way of Recognizing and Supporting Recovery for LVAD Patients in the Pediatric Population
Abstract
1. Introduction
2. Methods
2.1. General Facts
2.2. Weaning Protocol
2.3. Weaning Protocol Overview
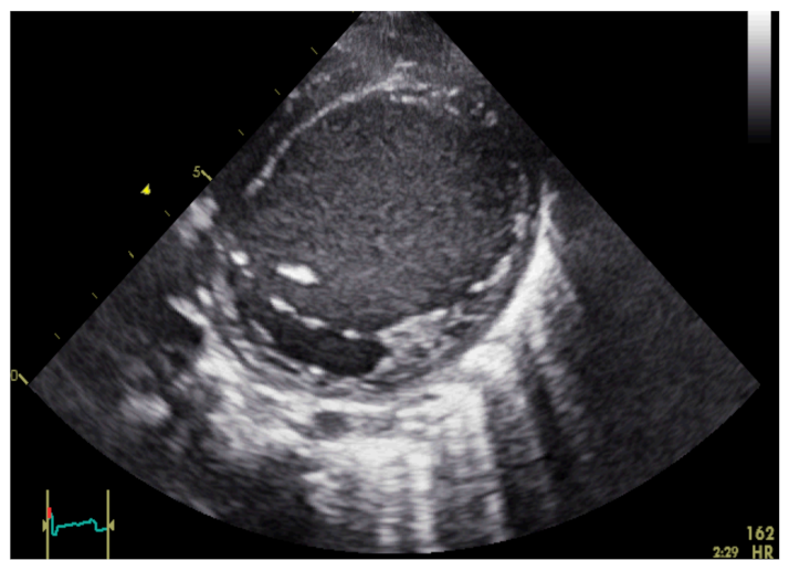
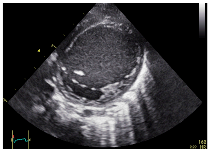
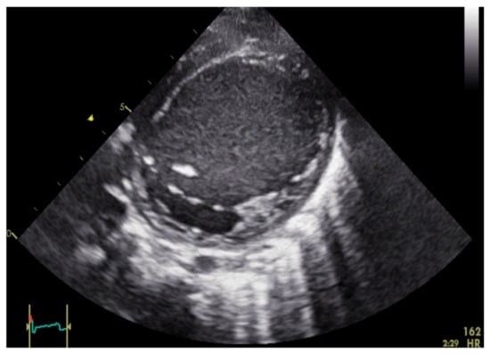
3. Case Studies—Detailed Presentation
3.1. Case Report 1
3.2. Case Report 2
3.3. Case Report 3
4. Discussion
4.1. Practical Approach
4.2. Biopsy
4.3. Genetics
5. Limitations
6. Conclusions
Author Contributions
Funding
Institutional Review Board Statement
Informed Consent Statement
Data Availability Statement
Conflicts of Interest
References
- Potapov, E.V.; Stiller, B.; Hetzer, R. Ventricular assist devices in children: Current achievements and future perspectives. Pediatr. Transpl. 2007, 11, 241–255. [Google Scholar] [CrossRef]
- Stiller, B.; Lemmer, J.; Schubert, S.; Ewert, P.; Schulze-Neick, I.; Hübler, M.; Redlin, M.; Berger, F.; Hetzer, R. Management of pediatric patients after implantation of the Berlin Heart EXCOR ventricular assist device. ASAIO. J. 2006, 52, 497–500. [Google Scholar]
- Sandica, E.; Blanz, U.; Mime, L.B.; Schultz-Kaizler, U.; Kececioglu, D.; Haas, N.; Kirchner, G.; Knyphausen, E.Z.; Lauenroth, V.; Morshuis, M. Long-Term Mechanical Circulatory Support in Pediatric Patients. Artif. Organs. 2016, 40, 225–232. [Google Scholar] [CrossRef]
- Laser, K.T.; Barth, P.; Bunge, M.; Dachner, G.; Esdorn, H.; Fischer, M.; Gieseke, J.; Sandica, E.; Kececioglu, D.; Burchert, W.; et al. Model versus non-model based left ventricular volumetry—A matter of imaging modality or quantification software? JBGC 2013, 3, 54. [Google Scholar] [CrossRef]
- Laser, K.T.; Bunge, M.; Hauffe, P.; Argueta, J.R.P.; Kelter-Klöpping, A.; Barth, P.; Sarikouch, S.; Burchert, W.; Kececioglu, D.; Körperich, H. Left ventricular volumetry in healthy children and adolescents: Comparison of two different real-time three-dimensional matrix transducers with cardiovascular magnetic resonance. Eur. J. Echocardiogr. 2010, 11, 138–148. [Google Scholar] [CrossRef][Green Version]
- Laser, K.T.; Haas, N.A.; Jansen, N.; Schäffler, R.; Palacios, A.J.R.; Zittermann, A.; Peters, B.; Körperich, H.; Kececioglu, D. Is torsion a suitable echocardiographic parameter to detect acute changes in left ventricular afterload in children? J. Am. Soc. Echocardiogr. 2009, 22, 1121–1128. [Google Scholar] [CrossRef] [PubMed]
- Krell, K.; Laser, K.T.; Dalla-Pozza, R.; Winkler, C.; Hildebrandt, U.; Kececioglu, D.; Breuer, J.; Herberg, U. Real-Time Three-Dimensional Echocardiography of the Left Ventricle-Pediatric Percentiles and Head-to-Head Comparison of Different Contour-Finding Algorithms: A Multicenter Study. J. Am. Soc. Echocardiogr. 2018, 31, 702–711.e13. [Google Scholar] [CrossRef]
- Solinski, A.; Klusmeier, E.; Horst, J.P.; Körperich, H.; Haas, N.A.; Kececioglu, D.; Laser, K.T. Centile Curves for Velocity-Time Integral Times Heart Rate as a Function of Ventricular Length: The Use of Minute Distance Is Advantageous to Enhance Clinical Reliability in Children. J. Am. Soc. Echocardiogr. 2018, 31, 105–112.e2. [Google Scholar] [CrossRef]
- Pettersen, M.D.; Du, W.; Skeens, M.E.; Humes, R.A. Regression equations for calculation of z scores of cardiac structures in a large cohort of healthy infants, children, and adolescents: An echocardiographic study. J. Am. Soc. Echocardiogr. 2008, 21, 922–934. [Google Scholar] [CrossRef] [PubMed]
- Miera, O.; Germann, M.; Cho, M.Y.; Photiadis, J.; Delmo, W.E.M.; Hetzer, R.; Berger, F.; Schmitt, K.R.L. Bridge to recovery in children on ventricular assist devices-protocol, predictors of recovery, and long-term follow-up. J. Heart. Lung. Transplant 2018, 37, 1459–1466. [Google Scholar] [CrossRef]
- McCarthy, R.E.; Boehmer, J.P.; Hruban, R.H.; Hutchins, G.M.; Kasper, E.K.; Hare, J.M.; Baughman, K.L. Long-Term Outcome of Fulminant Myocarditis as Compared with Acute (Nonfulminant) Myocarditis. N. Engl. J. Med. 2000, 342, 690–695. [Google Scholar] [CrossRef] [PubMed]
- Levin, H.R.; Oz, M.C.; Chen, J.M.; Packer, M.; Rose, E.A.; Burkhoff, D. Reversal of chronic ventricular dilation in patients with end-stage cardiomyopathy by prolonged mechanical unloading. Circulation 1995, 91, 2717–2720. [Google Scholar] [CrossRef] [PubMed]
- Dandel, M.; Weng, Y.; Siniawski, H.; Potapov, E.; Lehmkuhl, H.B.; Hetzer, R. Long-term results in patients with idiopathic dilated cardiomyopathy after weaning from left ventricular assist devices. Circulation 2005, 112, I37–I45. [Google Scholar] [CrossRef] [PubMed]
- Birks, E.J. Myocardial recovery in patients with chronic heart failure: Is it real? J. Card Surg. 2010, 25, 472–477. [Google Scholar] [CrossRef]
- Dandel, M.; Hetzer, R. Myocardial recovery during mechanical circulatory support: Cellular, molecular, genomic and organ levels. Heart Lung Vessel. 2015, 7, 110–120. [Google Scholar]
- Lipshultz, S.E.; Sleeper, L.A.; Towbin, J.A.; Lowe, A.M.; Orav, E.J.; Cox, G.F.; Lurie, P.R.; McCoy, K.L.; McDonald, M.A.; Messere, J.E.; et al. The incidence of pediatric cardiomyopathy in two regions of the United States. N. Engl. J. Med. 2003, 348, 1647–1655. [Google Scholar] [CrossRef]
- Al-Wakeel-Marquard, N.; Degener, F.; Herbst, C.; Kuhnisch, J.; Dartsch, J.; Schmitt, B.; Kuehne, T.; Messroghli, D.; Berger, F.; Klaassen, S. RIKADA Study Reveals Risk Factors in Pediatric Primary Cardiomyopathy. J. Am. Heart Assoc. 2019, 8, e012531. [Google Scholar] [CrossRef]
- Rath, A.; Weintraub, R. Overview of Cardiomyopathies in Childhood. Front. Pediatr. 2021, 23, 708732. [Google Scholar] [CrossRef]
- Messroghli, D.R.; Pickardt, T.; Fischer, M.; Opgen-Rhein, B.; Papakostas, K.; Böcker, D.; Jakob, A.; Khalil, M.; Mueller, G.C.; Schmidt, F.; et al. Toward evidence-based diagnosis of myocarditis in children and adolescents: Rationale, design, and first baseline data of MYKKE, a multicenter registry and study platform. Am. Heart J. 2017, 187, 133–144. [Google Scholar] [CrossRef]
- Schubert, S.; Opgen-Rhein, B.; Boehne, M.; Weigelt, A.; Wagner, R.; Müller, G.; Rentzsch, A.; Zu, K.E.; Fischer, M.; Papakostas, K.; et al. MYKKE consortium. Severe heart failure and the need for mechanical circulatory support and heart transplantation in pediatric patients with myocarditis: Results from the prospective multicenter registry "MYKKE". Pediatr Transpl. 2019, 7, 13548. [Google Scholar]
- Nugent, A.W.; Daubeney, P.E.; Chondros, P.; Carlin, J.B.; Cheung, M.; Wilkinson, L.C.; Davis, A.M.; Kahler, S.G.; Chow, C.W.; Wilkinson, J.L.; et al. The epidemiology of childhood cardiomyopathy in Australia. N. Engl. J. Med. 2003, 348, 1639–1646. [Google Scholar] [CrossRef]
- Amabile, N.; Fraisse, A.; Bouvenot, J.; Chetaille, P.; Ovaert, C. Outcome of acute fulminant myocarditis in children. Heart 2006, 92, 1269–1273. [Google Scholar] [CrossRef] [PubMed]
- Jefferies, J.L.; Towbin, J.A. Dilated cardiomyopathy. Lancet 2010, 375, 752–762. [Google Scholar] [CrossRef]
- Shaddy, R.E.; Penny, D.J.; Feltes, T.F.; Cetta, F.; Mital, S.H. Moss and Adams’ Heart Disease in Infants, Children, and Adolescents. Including the Fetus and Young Adult; Lippincott Williams & Wilkins, Ovid Technologies Inc.: Philadelphia, PA, USA; New York, NY, USA, 2022; Volumes 1 and 2. [Google Scholar]
- Kindermann, I.; Barth, C.; Mahfoud, F.; Ukena, C.; Lenski, M.; Yilmaz, A.; Klingel, K.; Kandolf, R.; Sechtem, U.; Cooper, L.T.; et al. Update on myocarditis. J. Am. Coll. Cardiol. 2012, 59, 779–792. [Google Scholar] [CrossRef]
- Maron, B.J.; Towbin, J.A.; Thiene, G.; Antzelevitch, C.; Corrado, D.; Arnett, D.; Moss, A.J.; Seidman, C.E.; Young, J.B. Contemporary definitions and classification of the cardiomyopathies: An American Heart Association Scientific Statement from the Council on Clinical Cardiology, Heart Failure and Transplantation Committee; Quality of Care and Outcomes Research and Functional Genomics and Translational Biology Interdisciplinary Working Groups; and Council on Epidemiology and Prevention. Circulation 2006, 113, 1807–1816. [Google Scholar]
- Caforio, A.L.P.; Pankuweit, S.; Arbustini, E.; Basso, C.; Gimeno-Blanes, J.; Felix, S.B.; Fu, M.; Heliö, T.; Heymans, S.; Jahns, R.; et al. Current state of knowledge on aetiology, diagnosis, management, and therapy of myocarditis: A position statement of the European Society of Cardiology Working Group on Myocardial and Pericardial Diseases. Eur. Heart J. 2013, 34, 2636–2648, 2648a–2648d. [Google Scholar] [CrossRef] [PubMed]
- Kalavakunta, J.K.; Tokala, H.; Gosavi, A.; Gupta, V. Left ventricular noncompaction and myocardial fibrosis: A case report. Int. Arch. Med. 2010, 3, 20. [Google Scholar] [CrossRef]
- McMahon, C.J.; Pignatelli, R.H.; Nagueh, S.F.; Lee, V.V.; Vaughn, W.; Valdes, S.O.; Kovalchin, J.P.; Jefferies, J.L.; Jefferies, J.L.; Dreyer, W.J.; et al. Left ventricular non-compaction cardiomyopathy in children: Characterisation of clinical status using tissue Doppler-derived indices of left ventricular diastolic relaxation. Heart 2007, 93, 676–681. [Google Scholar] [CrossRef]
- Caforio, A.; Keeling, P.; McKenna, W.; Mann, J.; Bottazzo, G.; Zachara, E.; Mestroni, L.; Camerini, F. Evidence from family studies for autoimmunity in dilated cardiomyopathy. Lancet 1994, 344, 773–777. [Google Scholar] [CrossRef]
- Caforio, A.L.P.; Tona, F.; Bottaro, S.; Vinci, A.; Dequal, G.; Daliento, L.; Thiene, G.; Iliceto, S. Clinical implications of anti-heart autoantibodies in myocarditis and dilated cardiomyopathy. Autoimmunity 2008, 41, 35–45. [Google Scholar] [CrossRef]
- Duncan, B.W.; Bohn, D.J.; Atz, A.M.; French, J.W.; Laussen, P.C.; Wessel, D.L. Mechanical circulatory support for the treatment of children with acute fulminant myocarditis. J. Thorac. Cardiovasc. Surg. 2001, 122, 440–448. [Google Scholar] [CrossRef]




| Measurements Phase C | Pump On | Pump Off 15 min | Pump Off 30 min |
|---|---|---|---|
| HR | 120 | 124 | 127 |
| VTI pulmonary | 12 cm | 14 cm | 17 cm |
| VTI aortic | 17 cm | 17 cm | 18 cm |
| LVEDV | 79 mL/m2 | 89 mL/m2 | |
| LV-SV | 15 mL | 17 mL | |
| EF | 47% | 50% | |
| GLS4Ch | −9.5% | −12% | −13.5% |
| GLS2Ch | −13.6% | −13% | −15% |
| HR | 100/min | 50/min | Pump Stop 5 min |
|---|---|---|---|
| VTI aortal | 10 cm | 15–20 cm | 20 cm at 100/min |
| EF Simpson | 30% | 25% | 30% |
| LVEDD | 47 mm (+1.3 Z) | 42 mm (+0.23 Z) | 51 mm (+2.8 Z) |
| LVEDV RT3DE | 88 mL/m2 | 100 mL/m2 | |
| GLS4Ch | −6% | −6% |
| HR | 80/min | 30 min Pump Stop |
|---|---|---|
| VTI aortal | 16.5 cm | 18 cm at 104/min (25th Pc) |
| LV EDV RT3DST | 140 mL/m2 | 155 mL/m2 |
| EF | 25% | 15% |
| GLS4Ch | −3% | −3% |
| LVSV | 35 | 37 |
| Echocardiographic Parameters (Echo) | Left ventricular end-diastolic diameter (LVEDD) |
| LV EF, optional RV- EF | |
| Velocity time integral aortal and pulmonal (VTI’s) | |
| LVEDV, LVESV-RT3DE | |
| dp/dt MI (Mitral insufficiency), TAPSE | |
| Deformation parameter with speckle tracking method (ST) | |
| Blood work-up once a week | BNP, Troponin, GOT, GPT, Creatinin, ABG |
| ECG | Sinus rhythm (SR) |
| Normal cardiac index under LVAD (>2 L/min/m2 BSA) | 1. Temporary reduction of pump frequency by 10/min for 4 h. Echo before an the end of testing 2. After at least 3 test of temporary reduction of frequency and stable conditions, permament reduction by 10/min if tolerated without increase of volumes more than 20%. 3. Repeat steps 1 and 2 until residual frequency is 10 beats higher than minimal sugested LVAD frequency by the manufacturer 4. Three separate pump stops under heparin bolus (100 Units/kg) and inermittend hand pump with low frequency for 30 min. Echo at baseline and after 10, 20 and 30 min. ABG before an and the end of the testing and noninvasive bloodpressure monitorig. If central line then central venous pressure monitorig. CAVE: be carefull to maintain the same measured parameter in order to have a feasible comparison from stage to stage. 5. If cardiac output is stable with normal cardiac index, more than 40% systolic thickening in MMODE, LVEDV <97th Pc. and EF >50%: go to explantation with final testing in OR. |
Publisher’s Note: MDPI stays neutral with regard to jurisdictional claims in published maps and institutional affiliations. |
© 2022 by the authors. Licensee MDPI, Basel, Switzerland. This article is an open access article distributed under the terms and conditions of the Creative Commons Attribution (CC BY) license (https://creativecommons.org/licenses/by/4.0/).
Share and Cite
Racolta, A.; Ahn, J.-H.J.; Kantzis, M.; Milting, H.; Lauenroth, V.; Körperich, H.; Sandica, E.; Schubert, S.; Laser, K.T. Cardiac Muscle Training—A New Way of Recognizing and Supporting Recovery for LVAD Patients in the Pediatric Population. Life 2022, 12, 1681. https://doi.org/10.3390/life12111681
Racolta A, Ahn J-HJ, Kantzis M, Milting H, Lauenroth V, Körperich H, Sandica E, Schubert S, Laser KT. Cardiac Muscle Training—A New Way of Recognizing and Supporting Recovery for LVAD Patients in the Pediatric Population. Life. 2022; 12(11):1681. https://doi.org/10.3390/life12111681
Chicago/Turabian StyleRacolta, Anca, Jae-Hyun Johannes Ahn, Marinos Kantzis, Hendrik Milting, Volker Lauenroth, Hermann Körperich, Eugen Sandica, Stephan Schubert, and Kai Thorsten Laser. 2022. "Cardiac Muscle Training—A New Way of Recognizing and Supporting Recovery for LVAD Patients in the Pediatric Population" Life 12, no. 11: 1681. https://doi.org/10.3390/life12111681
APA StyleRacolta, A., Ahn, J.-H. J., Kantzis, M., Milting, H., Lauenroth, V., Körperich, H., Sandica, E., Schubert, S., & Laser, K. T. (2022). Cardiac Muscle Training—A New Way of Recognizing and Supporting Recovery for LVAD Patients in the Pediatric Population. Life, 12(11), 1681. https://doi.org/10.3390/life12111681

