Characteristics of Nanoparticles in Late Pliocene Paleo-Mountain Fire Relics in Jinsuo Basin, Yunnan Province and Their Implications for Paleoclimate Evolution
Abstract
1. Introduction
2. Study Area
3. Sampling and Analysis Method
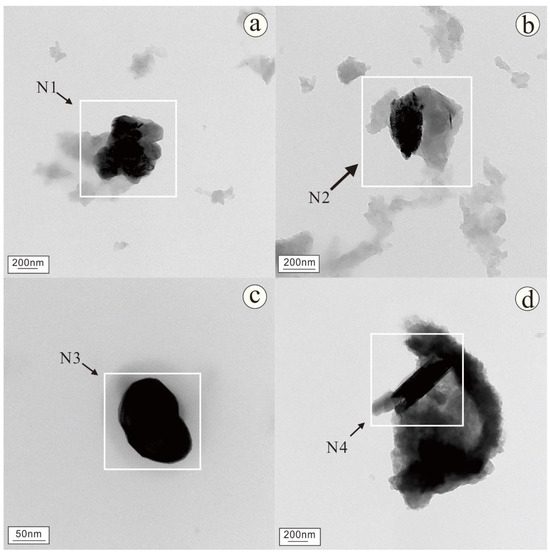
4. Characteristics of Nanoparticles in Ancient Wildfires and Their Indication to Paleo-Wildfire Types


| Element | C | O | Mg | Al | Si | Ca | P | S | Ti | Fe | |
|---|---|---|---|---|---|---|---|---|---|---|---|
| Figure 4 | Weight % | - | 33.3 | - | - | - | - | - | - | 66.7 | - |
| Figure 6 | Weight % | - | 40.3 | - | 1.84 | - | - | 0.80 | - | 54.3 | 2.80 |
| Figure 8 | Weight % | 71.7 | 15.4 | - | - | - | - | - | - | 12.9 | - |
| Figure 10 | Weight % | 7.36 | 59.9 | - | 15.8 | 15.4 | - | 0.54 | 0.96 | - | - |
| Figure 12 | Weight % | 53.3 | 30.0 | - | - | - | 0.55 | - | - | 15.4 | 0.73 |
| Figure 14 | Weight % | 80.2 | 17.6 | 0.16 | 0.41 | - | 1.07 | - | 0.52 | - | - |
5. Discussion
5.1. New Indicators in the Study of Paleo-Wildfires
5.2. Paleoclimate Indications from Paleo-Wildfires
5.3. Categorization of Paleo-Wildfires
6. Conclusions
- Nanoparticles with high Ti-O ratios found in paleo-wildfire remains indicate a reducing environment with low oxygen content, indicating that the type of paleo-wildfire was a ground fire.
- Paleo-wildfires can indeed produce a large number of nanoparticles, which have been found in the paleo-wildfire remains, and these nanoparticles can preserve physicochemical information about the occurrence of paleo-wildfires.
- The elemental composition revealed that the nanoparticles have very low Mg content but relatively high contents of Ca and Al, along with the presence of kaolinite, indicating that the paleoclimate was relatively warm and humid at the time of the occurrence of the paleo-wildfire.
Author Contributions
Funding
Data Availability Statement
Acknowledgments
Conflicts of Interest
References
- Xu, Y. Evidences of Widespread Wildfires in Coal Seams from the Middle Jurassic of the Northwest China and lts Impact on Paleoclimate; China University of Mining & Technology: Beijing, China, 2020. [Google Scholar] [CrossRef]
- Zhan, C.L.; Cao, J.L.; Han, Y.M.; An, Z.S. Research progress on reconstruction of paleofire history. Adv. Earth Sci. 2011, 26, 1248–1259. [Google Scholar]
- Bowman, D.M.; Balch, J.K.; Artaxo, P.; Bond, W.J.; Carlson, J.M.; Cochrane, M.A.; D’antonio, C.N.; Defries, R.S.; Doyle, J.C.; Harrison, S.P.; et al. Fire in the Earth system. Science 2009, 324, 481–484. [Google Scholar] [CrossRef] [PubMed]
- Scott, A.C. The Pre-Quaternary history of fire. Palaeogeogr. Palaeoclimatol. Palaeoecol. 2000, 164, 281–329. [Google Scholar] [CrossRef]
- Wolbach, W.S.; Gilmour, I.; Anders, E.; Orth, C.J.; Brooks, R.R. Global fire at the Cretaceous–Tertiary boundary. Nature 1988, 334, 665–669. [Google Scholar] [CrossRef]
- Pyne, S.J.; Andrews, D.L.; Richard, P.L. Introduction to Wildland Fire; John Wiley&Sons Inc.: New York, NY, USA, 1996; pp. 179–185. [Google Scholar]
- Masiello, C.A. New directions in black carbon organic geochemistry. Mar. Chem. 2004, 92, 201–213. [Google Scholar] [CrossRef]
- Scott, A.C.; Glasspool, I.J. Observations and experiments on the origin and formation of inertinite group macerals. Int. J. Coal Geol. 2007, 70, 53–66. [Google Scholar] [CrossRef]
- Nabbefeld, B.; Grice, K.; Summons, R.E.; Hays, L.E.; Cao, C. Significance of polycyclic aromatic hydrocarbons (PAHs) in Permian/Triassic boundary sections. Appl. Geochem. 2010, 25, 1374–1382. [Google Scholar] [CrossRef]
- Shen, W.; Sun, Y.; Lin, Y.; Liu, D.; Chai, P. Evidence for wildfire in the Meishan section and implications for Permian–Triassic events. Geochim. Cosmochim. Acta 2011, 75, 1992–2006. [Google Scholar] [CrossRef]
- Sun, Y.; Zhao, C.; Püttmann, W.; Kalkreuth, W.; Qin, S. Evidence of widespread wildfires in a coal seam from the middle Permian of the North China Basin. Lithosphere 2017, 9, 595–608. [Google Scholar] [CrossRef]
- Cao, J.J. A Technique for Detecting Concealed Deposits by Combining Geogas Particle Characteristics with Element Concentrations. Met. Mine 2009, 2, 1–4. [Google Scholar] [CrossRef]
- Liu, R.; Bo, B.; Tao, D.; Chen, G. Bastnäsite nanoparticles in carbonatite-syenite-hosted REE deposit: Implication for La and Ce migration and bastnäsite growth. Chemosphere 2021, 271, 129831. [Google Scholar] [CrossRef]
- Liu, R.; Cao, J.; Hu, G. Revealing a new transport form of natural material by naturally occurring spherical amorphous silica particles in soil aerosol. Chem. Geol. 2020, 559, 119950. [Google Scholar] [CrossRef]
- Schindler, M.; Hochella, M.F., Jr. Soil memory in mineral surface coatings: Environmental processes recorded at the nanoscale. Geology 2015, 43, 415–418. [Google Scholar] [CrossRef]
- BGMRYP. Regional Geology of Yunnan Province; Geological Publishing House: Beijing, China, 1990. [Google Scholar]
- Wang, W.; Shu, J. Late cenozoic palynofloras from Qujing basin, Yunnan, China. Acta Palaeontol. Sin. 2004, 43, 254–261. [Google Scholar]
- Huo, L.L.; Qiao, D.; Wang, Y.Z.; Li, F.; Huang, Y.B. Ti-O Magnéli Phase Oxides: Characteristics, Synthesis and Applications. Mater. Rep. 2017, 31, 29–37+58. [Google Scholar] [CrossRef]
- Huang, Y.J.; Chen, W.Y.; Jacques, F.M.B.; Liu, Y.S.C.; Utescher, T.; Su, T.; Ferguson, D.K.; Zhou, Z.K. Late Pliocene temperatures and their spatial variation at the southeastern border of the Qinghai-Tibet Plateau. Asian Earth 2015, 111, 44–53. [Google Scholar] [CrossRef]
- Liu, B.; Zhao, C.; Ma, J.; Sun, Y.; Püttmann, W. The origin of pale and dark layers in Pliocene lignite deposits from Yunnan Province, Southwest China, based on coal petrological and organic geochemical analyses. Coal Geol. 2018, 195, 172–188. [Google Scholar] [CrossRef]
- Xie, S.; Sun, B.; Wu, J.; Lin, Z.; Yan, D.; Xiao, L. Palaeoclimatic Estimates for the Late Pliocene Based on Leaf Physiognomy from Western Yunnan, China. Turk. Earth Sci. 2012, 21, 251–261. [Google Scholar] [CrossRef]
- Su, T.; Jacques, F.M.B.; Spicer, R.A.; Liu, Y.S.; Huang, Y.J.; Xing, Y.W.; Zhou, Z.K. Post-Pliocene establishment of the present monsoonal climate in SW China: Evidence from the late Pliocene Longmen megaflora. Clim. Past 2013, 9, 1911–1920. [Google Scholar] [CrossRef]
- Liu, B.J.; Spiekermann, R.; Zhao, C.; Puettmann, W.; Sun, Y.; Jasper, A.; Uhl, D. Evidence for the repeated occurrence of wildfires in an upper Pliocene lignite deposit from Yunnan, SW China. Int. J. Coal Geol. 2022, 250, 103924. [Google Scholar] [CrossRef]
- Wang, S.; Yu, B.; Zhang, J.; Tang, J. Coal forming plants of Tertiary Baipao coal in Yunnan and its genesis. China Coal Soc. 1997, 22, 10–14. [Google Scholar]
- Bird, M.I.; Cali, J.A. A million-year record of fire in sub-Saharan Africa. Nature 1998, 394, 767–769. [Google Scholar] [CrossRef]
- Crockford, R.H.; Willett, I.R. Application of mineral magnetism to describe profile development of toposequences of a sedimentary soil in south-eastern Australia. Soil Res. 2001, 39, 927–949. [Google Scholar] [CrossRef]
- Kletetschka, G.; Banerjee, S.K. Magnetic stratigraphy of Chinese loess as a record of natural fires. Geophys. Res. Lett. 1995, 22, 1341–1343. [Google Scholar] [CrossRef]
- Lu, G.N.; Dang, Z.; Tao, X.Q.; Yang, C.; Yi, X.Y. Modeling and prediction of photolysis half-lives of polycyclic aromatic hydrocarbons in aerosols by quantum chemical descriptors. Sci. Total Environ. 2007, 373, 289–296. [Google Scholar] [CrossRef] [PubMed]
- Feng, Y.G. Study on characteristics and evaluation of ore body of Xiaolongmiao Bauxite Mine in Mianchi County. China Energy Environ. Prot. 2022, 44, 159–162+173. [Google Scholar]
- Robson, B.E.; Collinson, M.E.; Riegel, W.; Wilde, V.; Scott, A.C.; Pancost, R.D. Early Paleogene wildfires in peat-forming environments at Schöningen, Germany. Palaeogeogr. Palaeoclimatol. Palaeoecol. 2015, 437, 53–62. [Google Scholar] [CrossRef]
- Abarzúa, A.M.; Vargas, C.; Jarpa, L.; Gutiérrez, N.M.; Hinojosa, L.F.; Paula, S. Evidence of Neogene wildfires in Central Chile: Charcoal records from the Navidad formation. Palaeogeogr. Palaeoclimatol. Palaeoecol. 2016, 459, 76–85. [Google Scholar] [CrossRef]
- Zhao, C.; Zhang, K.; Xiao, L.; Uhl, D.; Shi, Z.; Zhao, W.; Zhao, Q.J.; Sun, Y.Z.; Liu, B. Paleoclimate-induced wildfires in a paleomire in the Ordos Basin, Northern China during the Middle Jurassic greenhouse period. Chem. Geol. 2023, 637, 121677. [Google Scholar] [CrossRef]
- Wang, Z.; Xu, Y.; Zhao, Q.; Zhang, M.; Li, W.; Panchal, B.; Liu, B. Peatland wildfires in the Lower Cretaceous Damoguaihe Formation, Hailar Basin, Northeast China. Cretac. Res. 2023, 150, 105578. [Google Scholar] [CrossRef]
- Zhang, T.T. Study on the Sedimentary Environment and Physicochemical Properties of Quaternary in Xuzhou City; China University of Mining and Technology: Xuzhou, China, 2018. [Google Scholar]
- Zeng, M.; Zeng, Q.; Peng, H.; Wu, Y.; Li, Y.; Song, Y.; Sheng, E.; Wang, Y.; Wang, T.; Ni, J. Late Holocene hydroclimatic changes inferred from a karst peat archive in the western Guizhou Plateau, SW China. J. Asian Earth Sci. 2022, 229, 105179. [Google Scholar] [CrossRef]
- Zhang, T.F.; Sun, L.X.; Zhang, Y.; Cheng, Y.H.; Li, Y.F.; Ma, H.L.; Lu, C.; Yang, C.; Guo, G.W. Geochemical Characteristics of the Jurassic Yan’an and Zhiluo Formations in the Northern Margin of Ordos Basin and Their Paleoenvironmental Implications. Acta Geol. Sin. 2016, 90, 3454–3472. [Google Scholar]
- Erkoyun, H.; Kadir, S.; Külah, T.; Huggett, J. Mineralogy, geochemistry and genesis of clays interlayered coal seams succession in the Neogene lacustrine Seyitömer coal deposit, Kütahya, western Turkey. International J. Coal Geol. 2017, 172, 112–133. [Google Scholar] [CrossRef]
- Zhou, D.S.; Liu, G. Application of microelements analysis in identifying sedimentary environment—Taking qianjiang formation in the jianghan basin as an example. Pet. Geol. Exp. 2007, 29, 307–310+314. [Google Scholar] [CrossRef]
- Scott, A.C. Observations on the nature and origin of fusain. Int. J. Coal Geol. 1989, 12, 443–475. [Google Scholar] [CrossRef]
- Xu, Y.; Zhang, N.; Zhao, C.; Liang, H.; Sun, Y. Wildfires in Jurassic Coal Seams from Ordos Basin and its impact on Paleoclimate. Geol. China 2022, 49, 643–654. [Google Scholar]
- Yang, Y.; Chen, B.; Hower, J.; Schindler, M.; Winkler, C.; Brandt, J.; Giulio, R.D.; Ge, J.P.; Liu, M.; Fu, Y.H.; et al. Discovery and ramifications of incidental Magnéli phase generation and release from industrial coal-burning. Nat. Commun. 2017, 8, 194. [Google Scholar] [CrossRef]
- Watts, A.C.; Kobziar, L.N. Smoldering combustion and ground fires: Ecological effects and multi-scale significance. Fire Ecol. 2013, 9, 124–132. [Google Scholar] [CrossRef]













Disclaimer/Publisher’s Note: The statements, opinions and data contained in all publications are solely those of the individual author(s) and contributor(s) and not of MDPI and/or the editor(s). MDPI and/or the editor(s) disclaim responsibility for any injury to people or property resulting from any ideas, methods, instructions or products referred to in the content. |
© 2024 by the authors. Licensee MDPI, Basel, Switzerland. This article is an open access article distributed under the terms and conditions of the Creative Commons Attribution (CC BY) license (https://creativecommons.org/licenses/by/4.0/).
Share and Cite
Zhang, P.; Liu, B.; Wang, Y.; Zuo, L.; Liu, R.; Wang, J.; Wang, R. Characteristics of Nanoparticles in Late Pliocene Paleo-Mountain Fire Relics in Jinsuo Basin, Yunnan Province and Their Implications for Paleoclimate Evolution. Minerals 2024, 14, 712. https://doi.org/10.3390/min14070712
Zhang P, Liu B, Wang Y, Zuo L, Liu R, Wang J, Wang R. Characteristics of Nanoparticles in Late Pliocene Paleo-Mountain Fire Relics in Jinsuo Basin, Yunnan Province and Their Implications for Paleoclimate Evolution. Minerals. 2024; 14(7):712. https://doi.org/10.3390/min14070712
Chicago/Turabian StyleZhang, Peng, Bangjun Liu, Yaqin Wang, Lei Zuo, Rui Liu, Jialong Wang, and Ru Wang. 2024. "Characteristics of Nanoparticles in Late Pliocene Paleo-Mountain Fire Relics in Jinsuo Basin, Yunnan Province and Their Implications for Paleoclimate Evolution" Minerals 14, no. 7: 712. https://doi.org/10.3390/min14070712
APA StyleZhang, P., Liu, B., Wang, Y., Zuo, L., Liu, R., Wang, J., & Wang, R. (2024). Characteristics of Nanoparticles in Late Pliocene Paleo-Mountain Fire Relics in Jinsuo Basin, Yunnan Province and Their Implications for Paleoclimate Evolution. Minerals, 14(7), 712. https://doi.org/10.3390/min14070712

