Direct Esthetic Composite Restorations in Anterior Teeth: Managing Symmetry Strategies
Abstract
1. Introduction
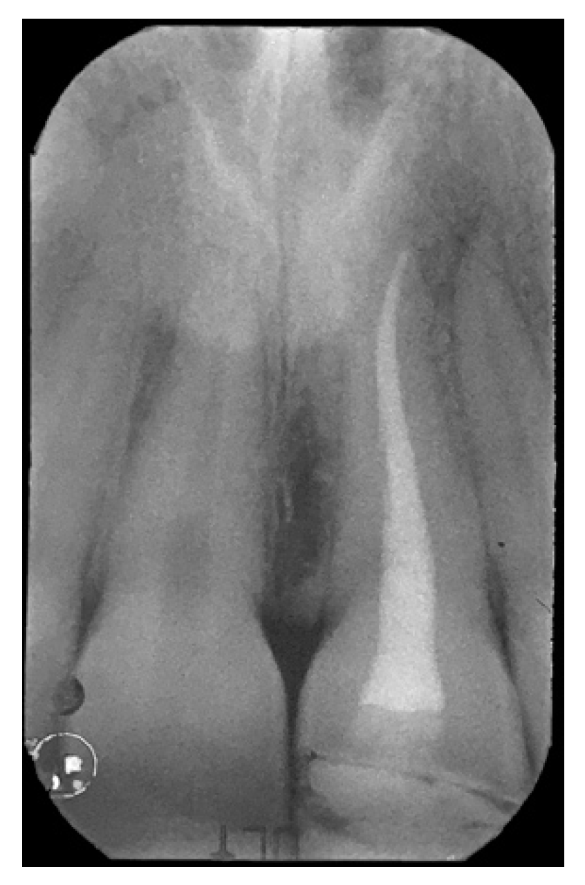
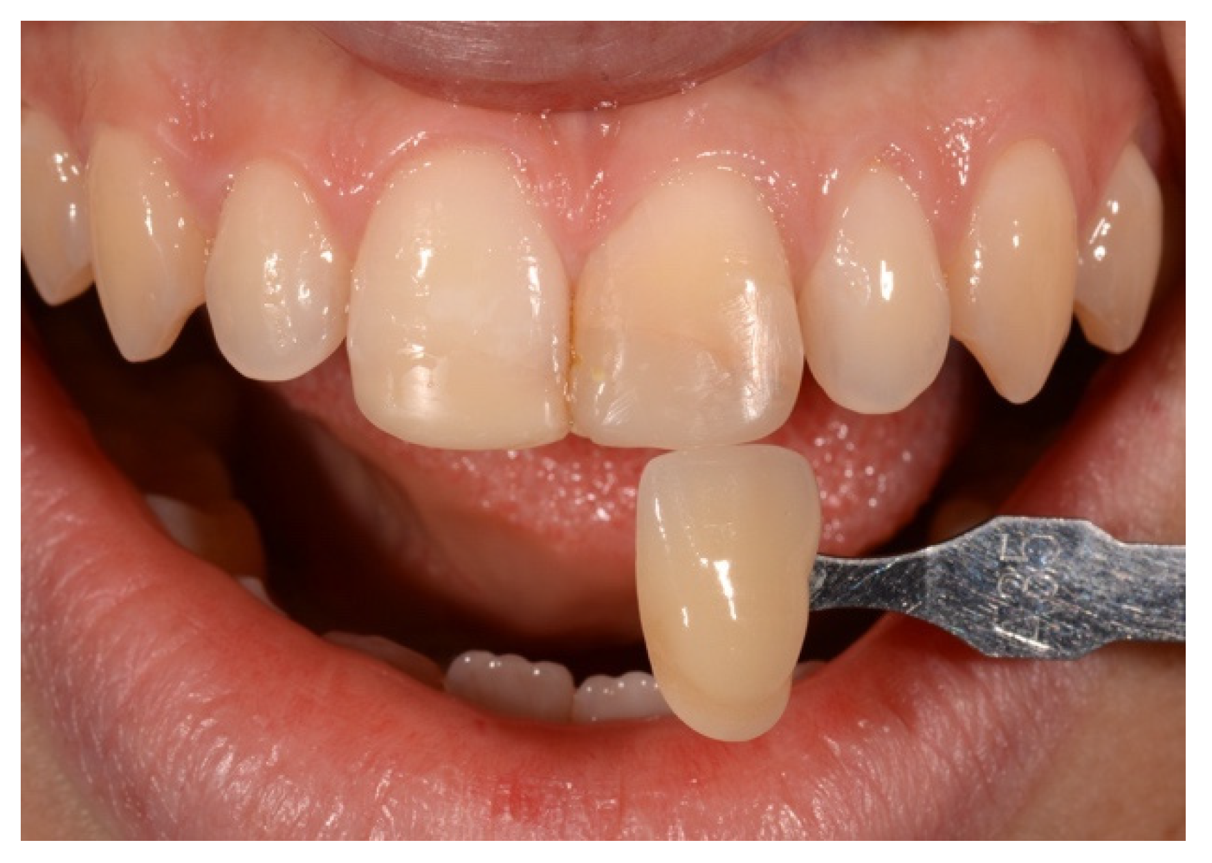
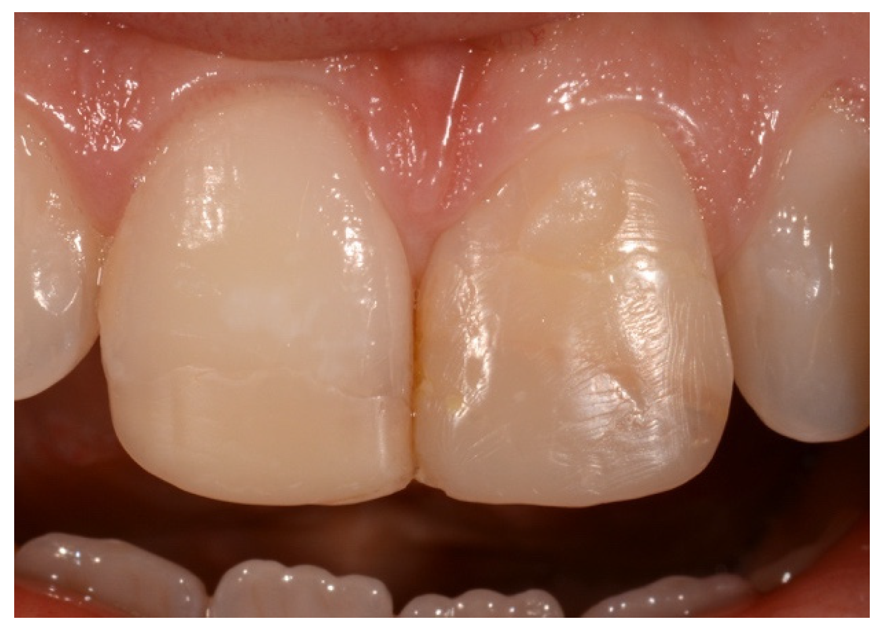
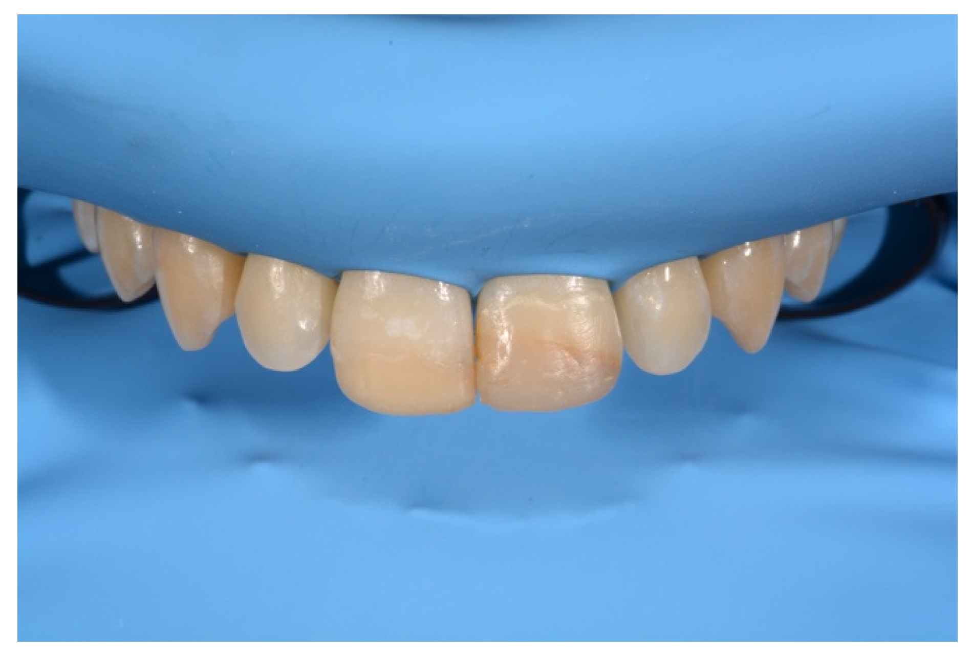
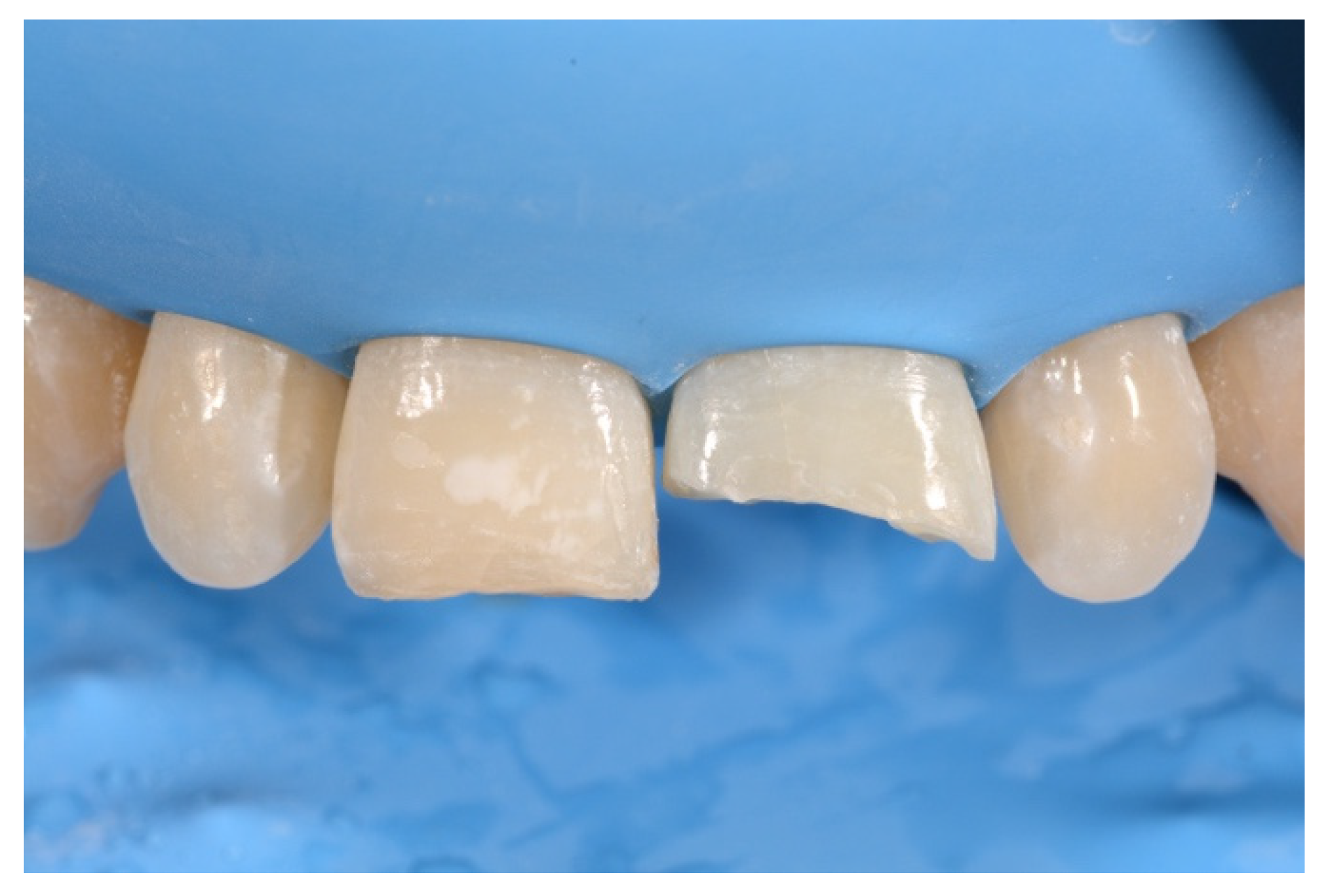
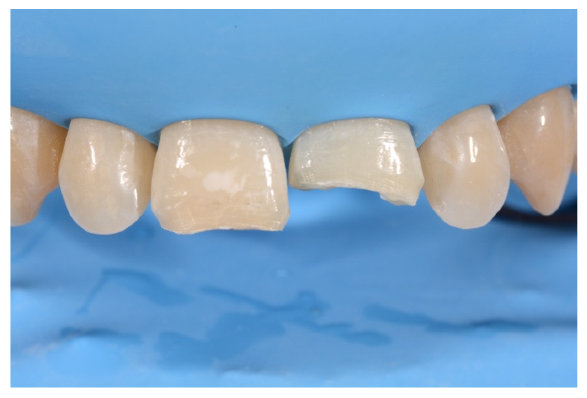
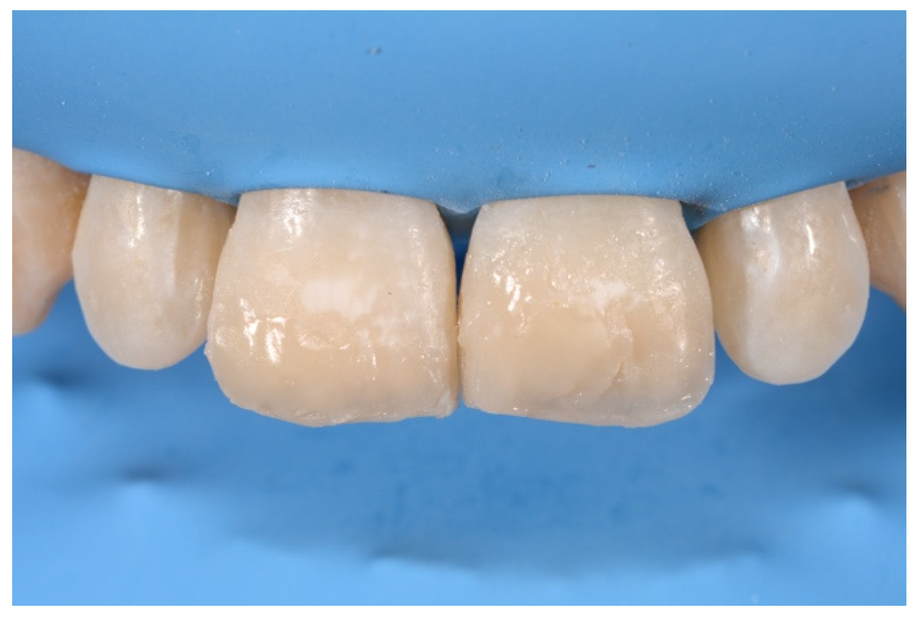
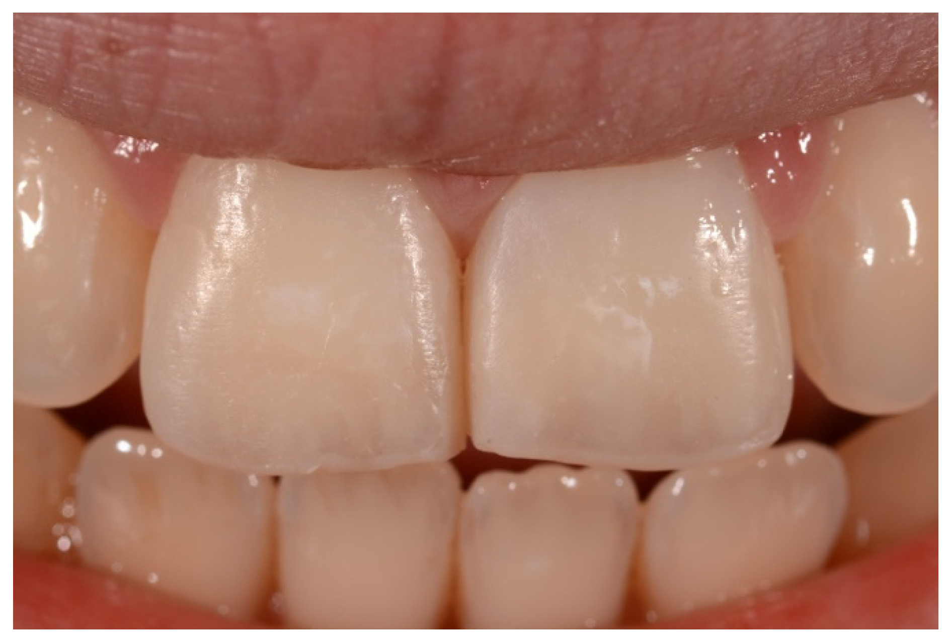
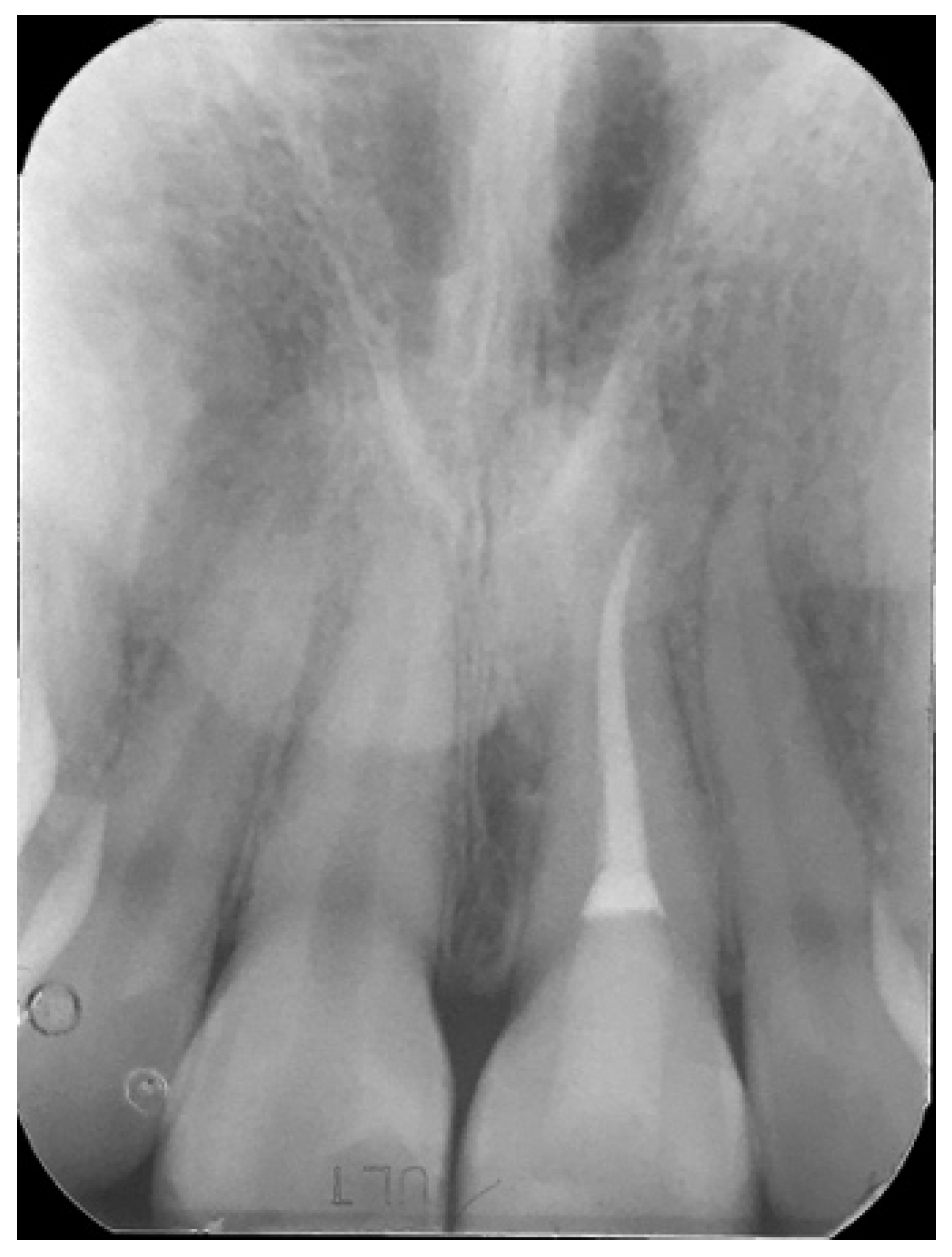
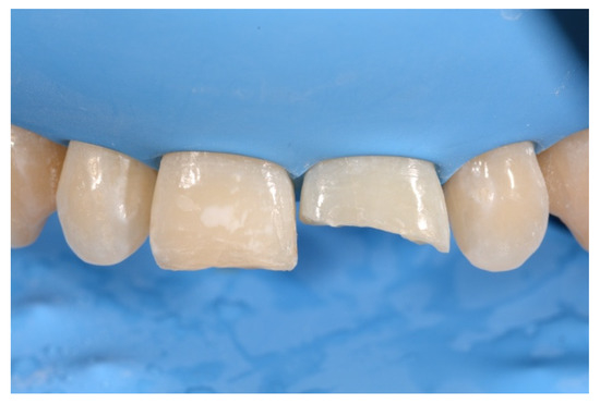
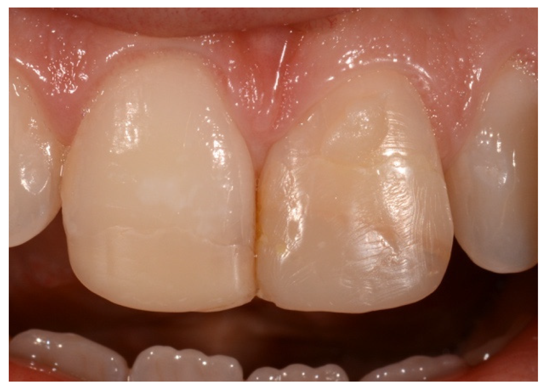
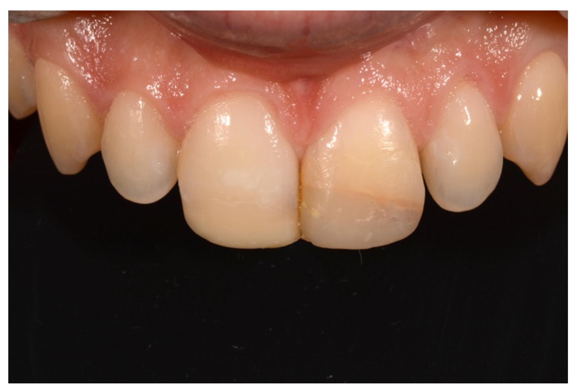
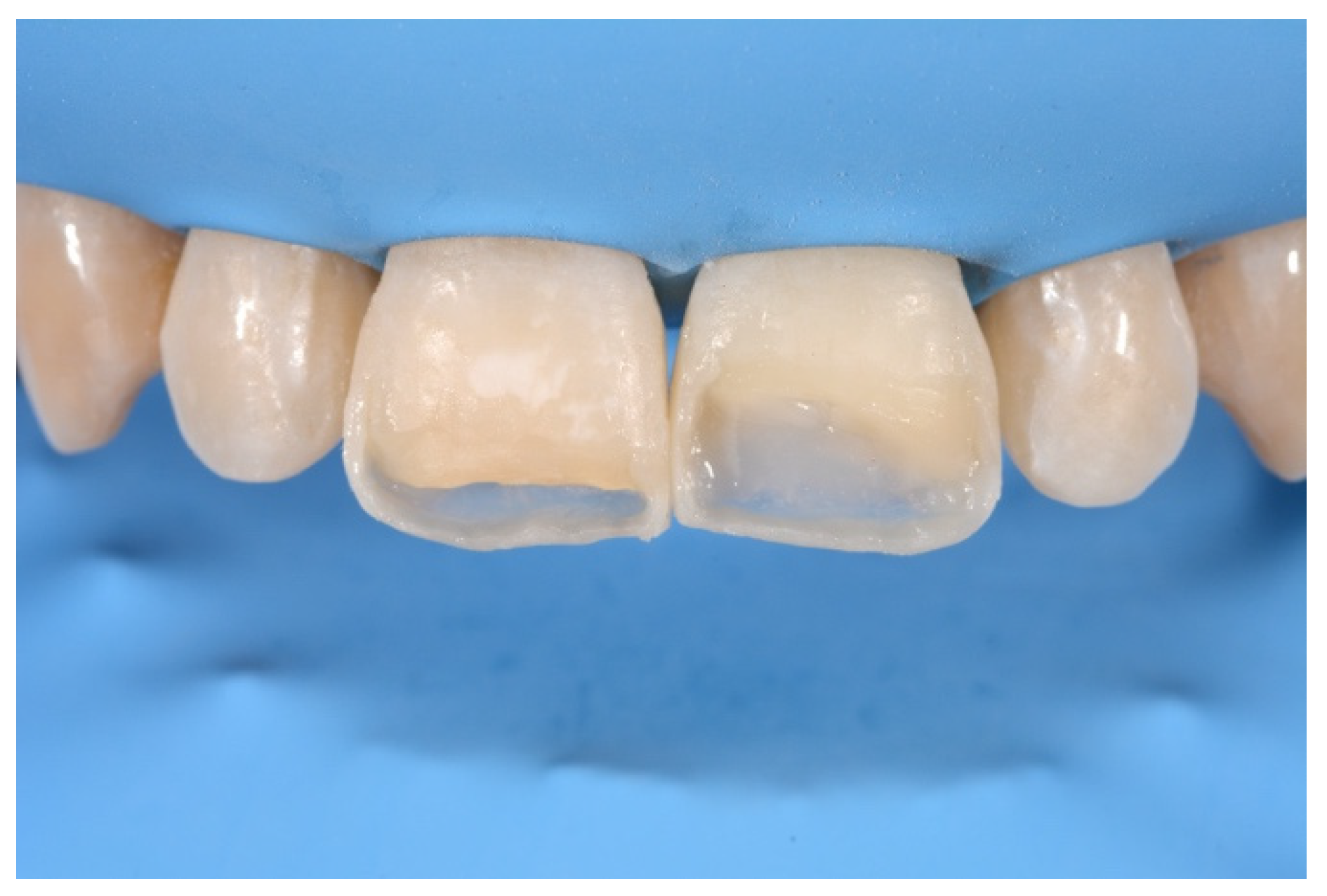
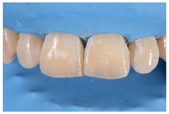
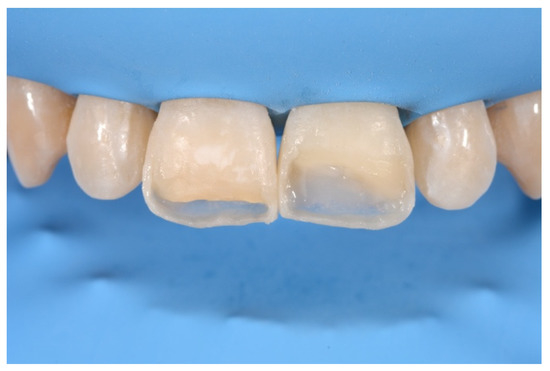
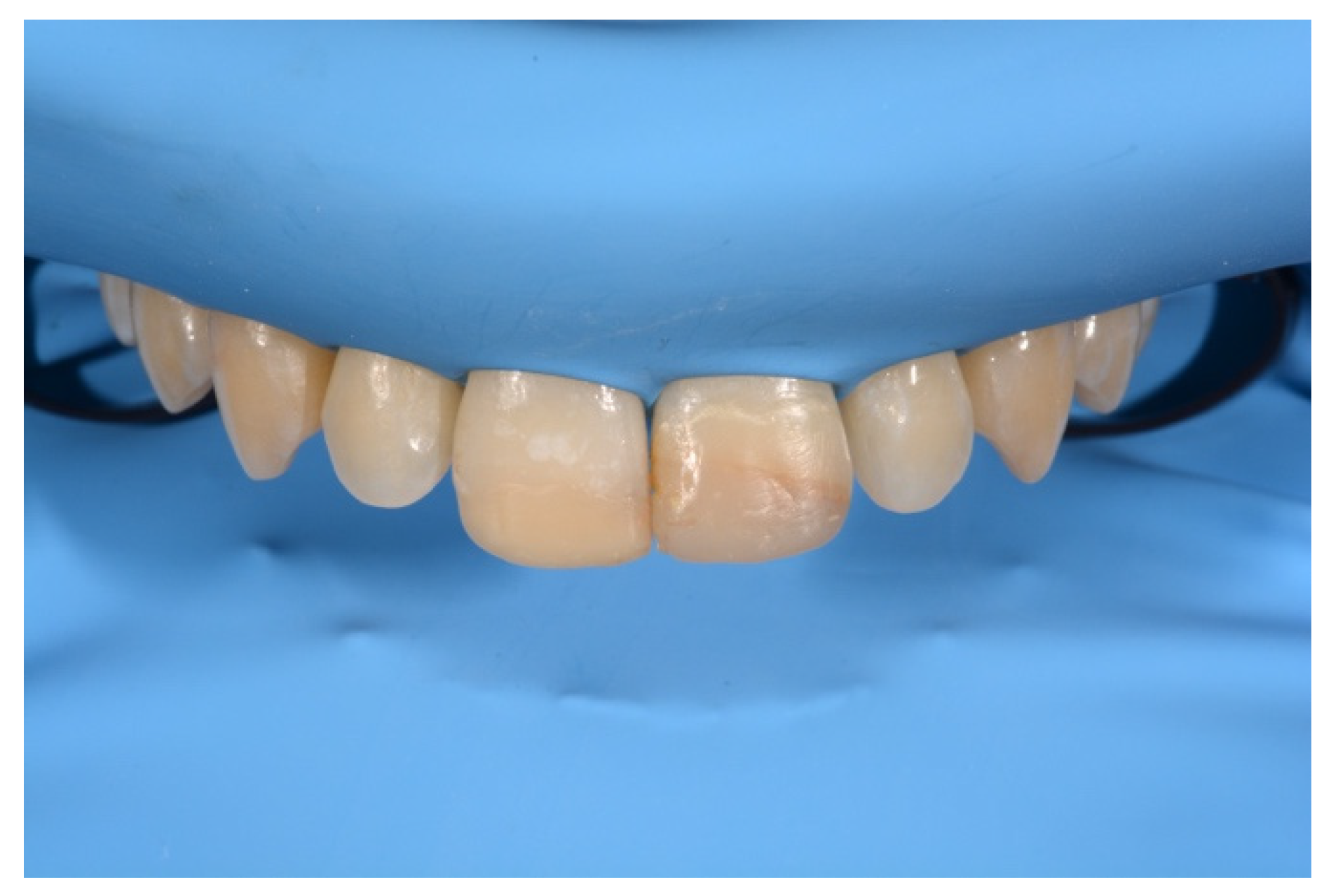
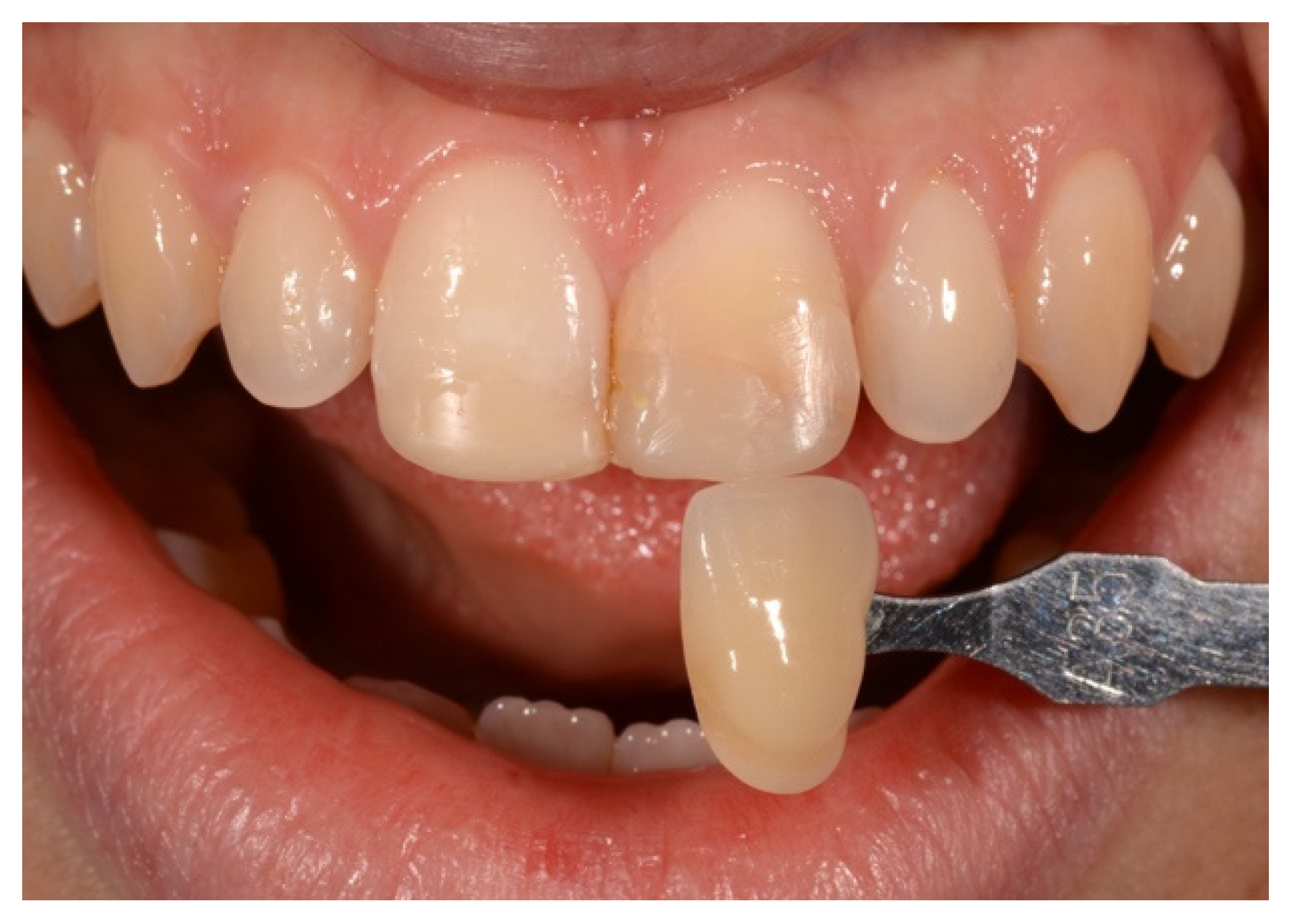
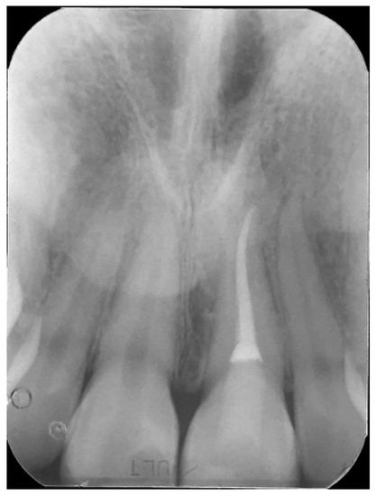
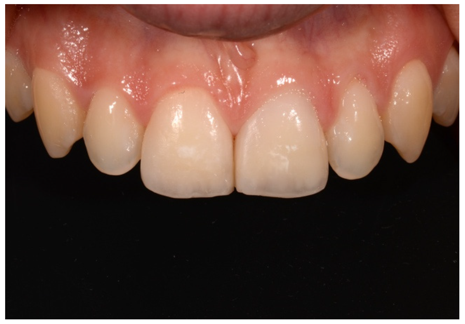
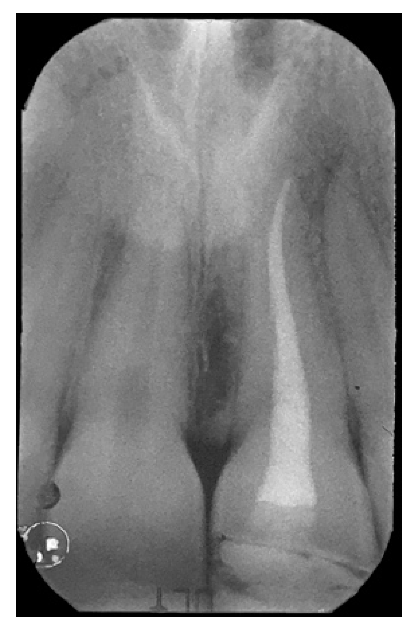
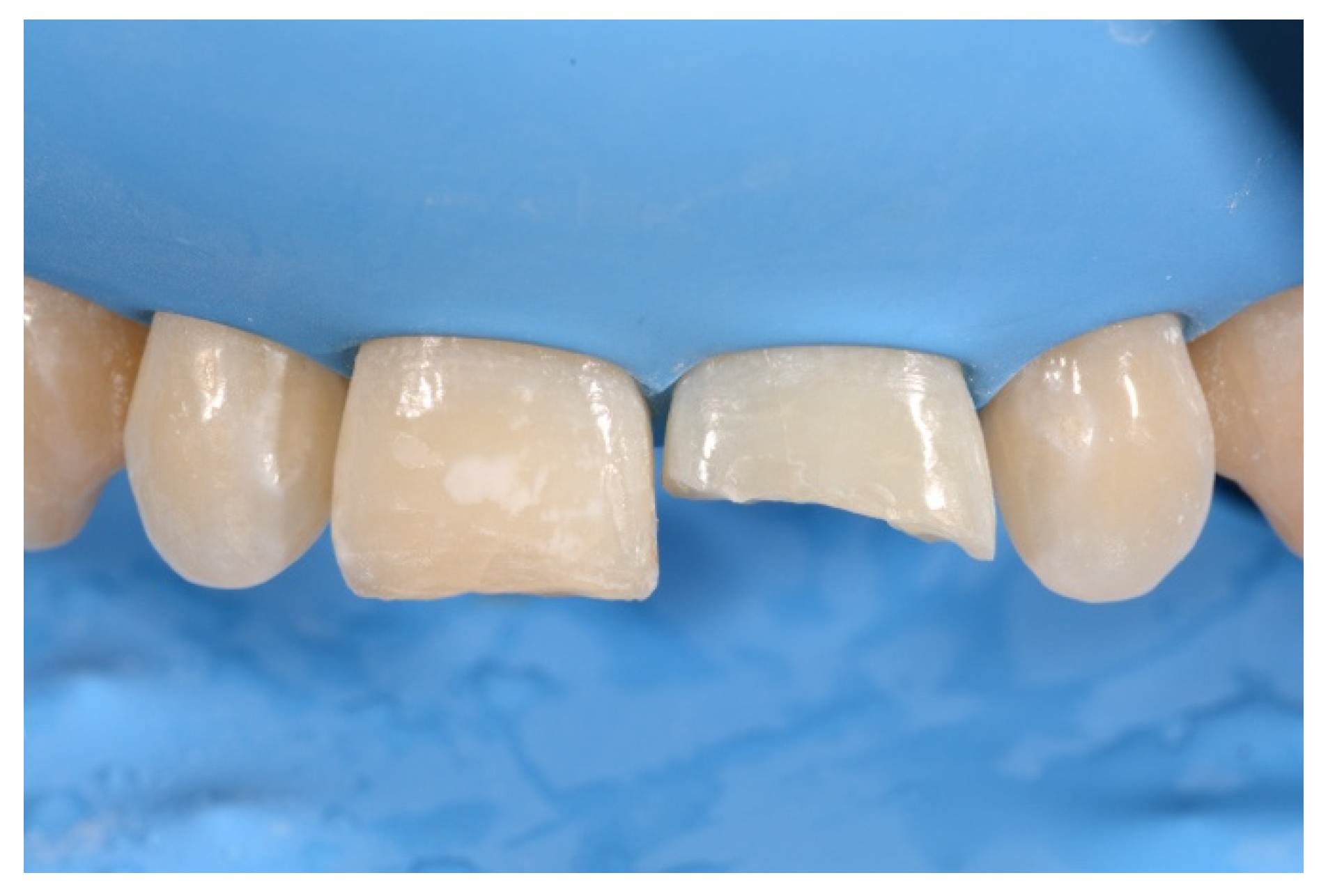
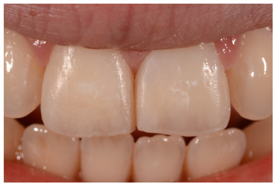
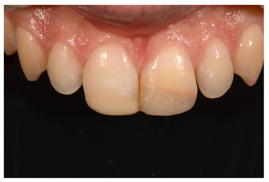
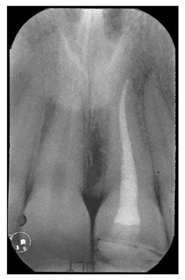
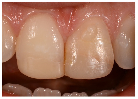
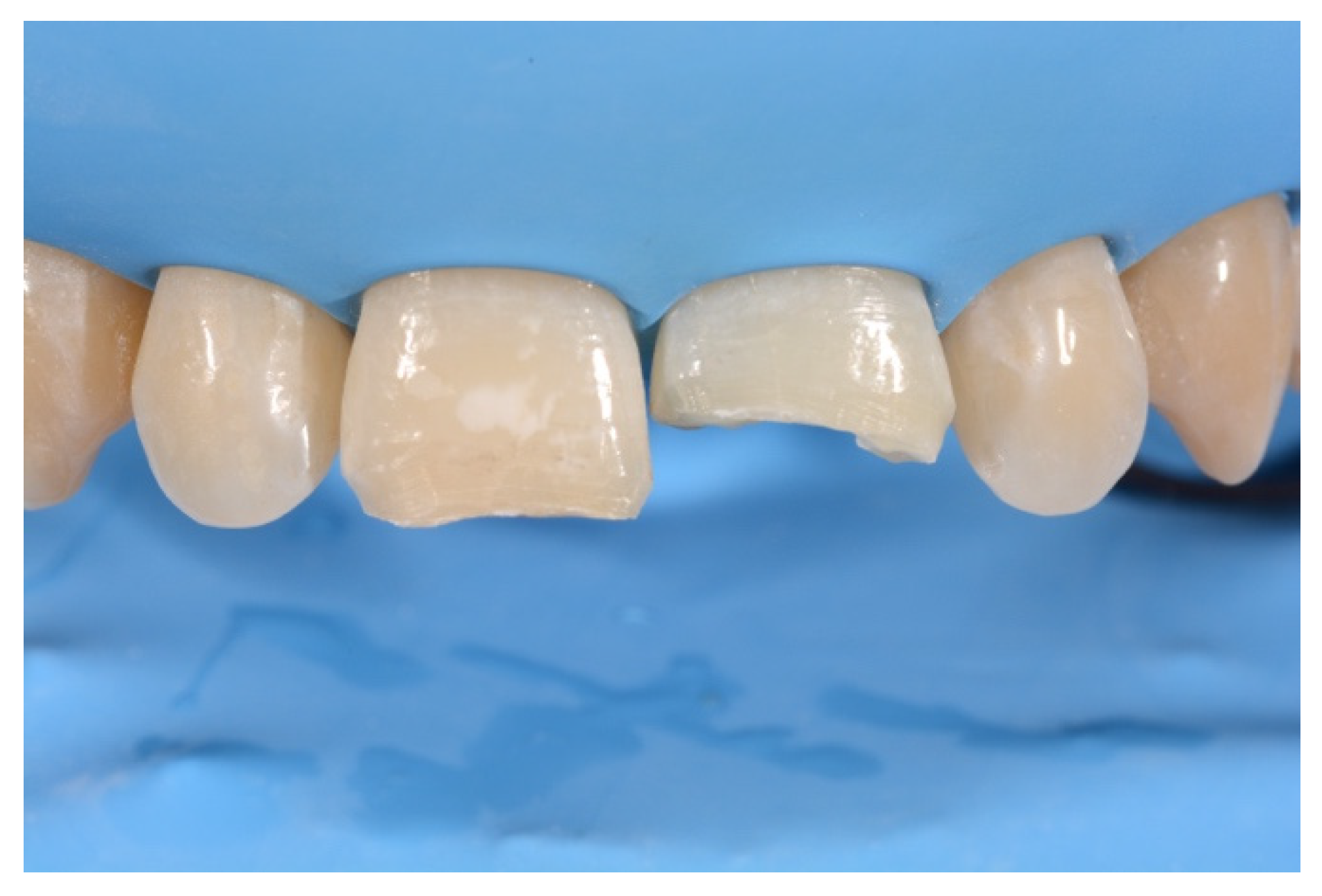
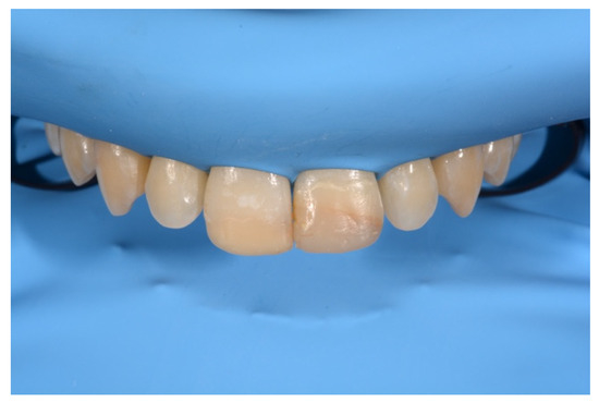
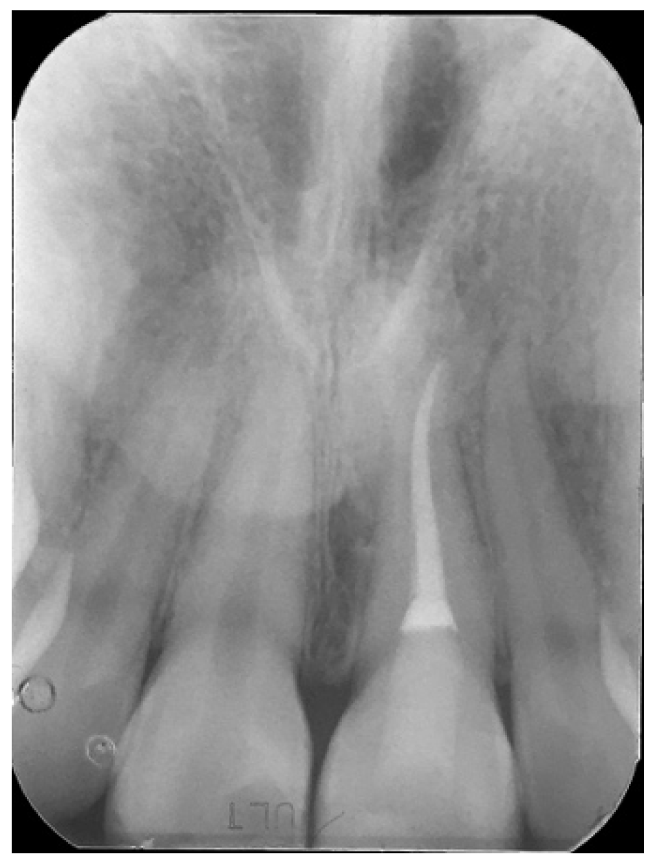
2. Case Presentation
3. Discussion
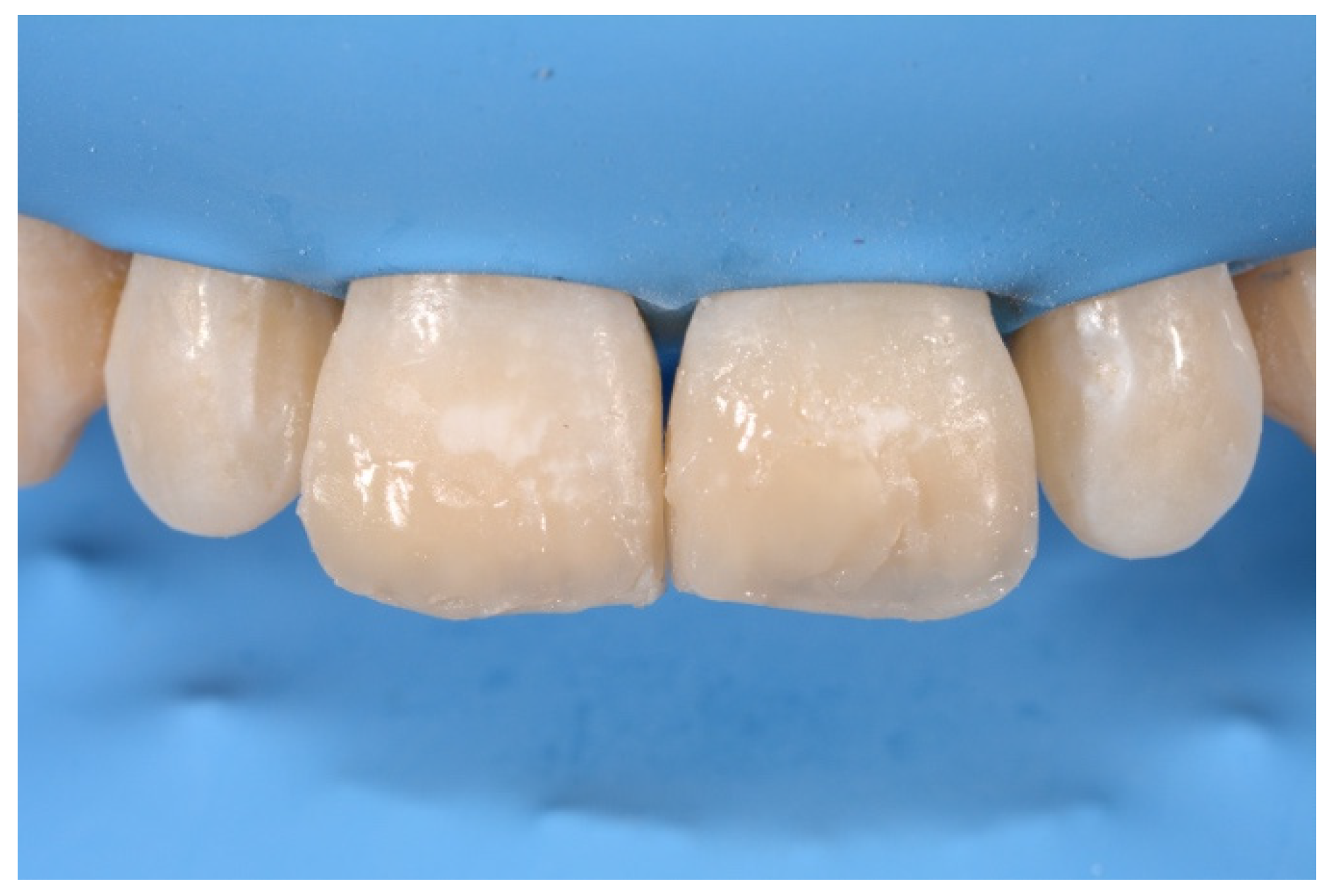
- Molding palatal wall and incisal margin;
- Building interproximal walls with matrices;
- Layering free-hand buccal surface.
4. Conclusions
Author Contributions
Funding
Institutional Review Board Statement
Informed Consent Statement
Data Availability Statement
Acknowledgments
Conflicts of Interest
References
- Finnerty, J.R. The origins of axial patterning in the metazoa: How old is bilateral symmetry? Int. J. Dev. Biol. 2003, 47, 523–529. [Google Scholar]
- Finnerty, J.R.; Pang, K.; Burton, P.; Paulson, D.; Martindale, M.Q. Origins of bilateral symmetry: Hox and dpp expression in a sea anemone. Science 2004, 304, 1335–1337. [Google Scholar] [CrossRef] [PubMed]
- Edler, R.J. Background Considerations to Facial Aesthetics. J. Orthod. 2001, 28, 159–168. [Google Scholar] [CrossRef] [PubMed]
- Gallão, S.; Ortolani, C.L.F.; Santos-Pinto, A.; Santos-Pinto, L.; Faltin Júnior, K. Photographic analysis of symmetry and aesthetic proportion of the anterior teeth. Rev. Inst. Ciênc Saúde 2009, 27, 400–404. [Google Scholar]
- Wang, Y.; Song, Y.; Zhong, Q.; Xu, C. Evaluation of influence factors on the width, length, and width to length ratio of the maxillary central incisor: A systematic review and meta-analysis. J. Esthet. Restor. Dent. 2021, 33, 351–363. [Google Scholar] [CrossRef] [PubMed]
- Garn, S.M.; Lewis, A.B.; Walenga, A.J. Maximum-confidence values for the human mesiodistal crown dimension of human teeth. Arch. Oral Biol. 1968, 13, 841–844. [Google Scholar] [CrossRef]
- Mavroskoufis, F.; Ritchie, G. Variation in size and form between left and right maxillary central incisor teeth. J. Prosthet. Dent. 1980, 43, 254–257. [Google Scholar] [CrossRef]
- Rufenacht, C. Fundamentals of Esthetics; Quintessence Publishing: Chicago, IL, USA, 1990. [Google Scholar]
- Aljazairy, Y.H. Survival Rates for Porcelain Laminate Veneers: A Systematic Review. Eur. J. Dent. 2020. [Google Scholar] [CrossRef]
- Batista, V.E.D.S.; Bitencourt, S.B.; Bastos, N.A.; Pellizzer, E.P.; Goiato, M.C.; Dos Santos, D.M. Influence of the ferrule effect on the failure of fiber-reinforced composite post-and-core restorations: A systematic review and meta-analysis. J. Prosthet. Dent. 2020, 123, 239–245. [Google Scholar] [CrossRef]
- Paolone, G.; Saracinelli, M.; Devoto, W.; Putignano, A. Esthetic direct restorations in endodontically treated anterior teeth. Eur. J. Esthet. Dent. 2013, 8, 44–67. [Google Scholar]
- Dietschi, D. Free-Hand Bonding in the Esthetic Treatment of Anterior Teeth: Creating the Illusion. J. Esthet. Restor. Dent. 1997, 9, 156–164. [Google Scholar] [CrossRef]
- Korkut, B.; Türkmen, C. Longevity of direct diastema closure and recontouring restorations with resin composites in maxillary anterior teeth: A 4-year clinical evaluation. J. Esthet. Restor. Dent. 2020. [Google Scholar] [CrossRef]
- Sulaiman, T.A.; Rodgers, B.; Suliman, A.A.; Johnston, W.M. Color and translucency stability of contemporary resin-based restorative materials. J. Esthet. Restor. Dent. 2020. [Google Scholar] [CrossRef]
- Krifka, S.; Hiller, K.-A.; Bolay, C.; Petzel, C.; Spagnuolo, G.; Reichl, F.-X.; Schmalz, G.; Schweikl, H. Function of MAPK and downstream transcription factors in monomer-induced apoptosis. Biomaterials 2012, 33, 740–750. [Google Scholar] [CrossRef]
- Spagnuolo, G.; Desiderio, C.; Rivieccio, V.; Amato, M.; Rossetti, D.V.; D’Antò, V.; Schweikl, H.; Lupi, A.; Rengo, S.; Nocca, G. In vitro cellular detoxification of triethylene glycol dimethacrylate by adduct formation with N-acetylcysteine. Dent. Mater. 2013, 29, e153–e160. [Google Scholar] [CrossRef] [PubMed]
- Schweikl, H.; Spagnuolo, G.; Schmalz, G. Genetic and Cellular Toxicology of Dental Resin Monomers. J. Dent. Res. 2006, 85, 870–877. [Google Scholar] [CrossRef]
- Tin-Oo, M.M.; Saddki, N.; Hassan, N. Factors influencing patient satisfaction with dental appearance and treatments they desire to improve aesthetics. BMC Oral Health. 2011, 11, 6. [Google Scholar] [CrossRef] [PubMed]
- Demarco, F.F.; Collares, K.; Coelho-De-Souza, F.H.; Correa, M.B.; Cenci, M.S.; Moraes, R.R.; Opdam, N.J. Anterior composite restorations: A systematic review on long-term survival and reasons for failure. Dent. Mater. 2015, 31, 1214–1224. [Google Scholar] [CrossRef]
- Opdam, N.J.; van de Sande, F.H.; Bronkhorst, E.; Cenci, M.S.; Bottenberg, P.; Pallesen, U.; Gaengler, P.; Lindberg, A.; Huysmans, M.C.; van Dijken, J.W. Longevity of Posterior Composite Restorations. J. Dent. Res. 2014, 93, 943–949. [Google Scholar] [CrossRef]
- Paolone, G. Direct composite restorations in anterior teeth. Managing symmetry in central incisors. Int. J. Esthet. Dent. 2014, 9, 12–25. [Google Scholar]
- Vanini, L. Light and color in anterior composite restorations. Pract. Periodontics Aesthetic Dent. 1996, 8, 684. [Google Scholar]
- Fahl, N., Jr. A polychromatic composite layering approach for solving a complex Class IV/direct veneer-diastema combination: Part I. Pract. Proced. Aesthet Dent. 2006, 18, 641–645. [Google Scholar] [PubMed]
- Fahl, N., Jr. A polychromatic composite layering approach for solving a complex Class IV/direct veneer/diastema combination: Part II. Pract. Proced. Aesthet Dent. 2007, 19, 17–22. [Google Scholar]
- Dietschi, D.; Ardu, S.; Krejci, I. A new shading concept based on natural tooth color applied to direct composite restorations. Quintessence Int. 2006, 37, 91–102. [Google Scholar]
- Trifkovic, B.; Powers, J.M.; Paravina, R.D. Color adjustment potential of resin composites. Clin. Oral Investig. 2018, 22, 1601–1607. [Google Scholar] [CrossRef]
- Pereira Sanchez, N.; Powers, J.M.; Paravina, R.D. Instrumental and visual evaluation of the color adjustment potential of resin composites. J. Esthet. Restor. Dent. 2019, 31, 465–470. [Google Scholar] [CrossRef] [PubMed]
- Ammannato, R.; Ferraris, F.; Allegri, M. The “index cutback technique”: A three-dimensional guided layering approach in direct class IV composite restorations. Int. J. Esthet. Dent. 2017, 12, 450–466. [Google Scholar] [PubMed]
- Goyal, A.; Nikhil, V.; Singh, R. Diastema Closure in Anterior Teeth Using a Posterior Matrix. Case Rep. Dent. 2016, 2016, 8526. [Google Scholar] [CrossRef]
- Paolone, G.; Orsini, G.; Manauta, J.; Devoto, W.; Putignano, A. Composite shade guides and color matching. Int. J. Esthet. Dent. 2014, 9, 164–182. [Google Scholar]
- Paolone, G. Direct composites in anteriors: A matter of substrate. Int. J. Esthet. Dent. 2017, 12, 468–481. [Google Scholar]
- Devoto, W.; Saracinelli, M.; Manauta, J. Composite in everyday practice: How to choose the right material and simplify application techniques in the anterior teeth. Eur. J. Esthet. Dent. 2010, 5, 102–124. [Google Scholar]
- Friebel, M.; Pernell, O.; Cappius, H.-J.; Helfmann, J.; Meinke, M.C. Simulation of color perception of layered dental composites using optical properties to evaluate the benefit of esthetic layer preparation technique. Dent. Mater. 2012, 28, 424–432. [Google Scholar] [CrossRef] [PubMed]
- Vichi, A.; Fraioli, A.; Davidson, C.L.; Ferrari, M. Influence of thickness on color in multi-layering technique. Dent. Mater. 2007, 23, 1584–1589. [Google Scholar] [CrossRef]
- Schroeder, T.; Da Silva, P.B.; Basso, G.R.; Franco, M.C.; Maske, T.T.; Cenci, M.S. Factors affecting the color stability and staining of esthetic restorations. Odontology 2019, 107, 507–512. [Google Scholar] [CrossRef]
- Marigo, L.; Nocca, G.; Fiorenzano, G.; Callà, C.; Castagnola, R.; Cordaro, M.; Paolone, G.; Sauro, S. Influences of Different Air-Inhibition Coatings on Monomer Release, Microhardness, and Color Stability of Two Composite Materials. BioMed Res. Int. 2019, 2019, 264. [Google Scholar] [CrossRef]
- Ionescu, A.C.; Cazzaniga, G.; Ottobelli, M.; Ferracane, J.L.; Paolone, G.; Brambilla, E. In vitro biofilm formation on resin-based composites cured under different surface conditions. J. Dent. 2018, 77, 78–86. [Google Scholar] [CrossRef] [PubMed]
- Cazzaniga, G.; Ottobelli, M.; Ionescu, A.C.; Paolone, G.; Gherlone, E.; Ferracane, J.L.; Brambilla, E. In vitro biofilm formation on resin-based composites after different finishing and polishing procedures. J. Dent. 2017, 67, 43–52. [Google Scholar] [CrossRef] [PubMed]



























Publisher’s Note: MDPI stays neutral with regard to jurisdictional claims in published maps and institutional affiliations. |
© 2021 by the authors. Licensee MDPI, Basel, Switzerland. This article is an open access article distributed under the terms and conditions of the Creative Commons Attribution (CC BY) license (https://creativecommons.org/licenses/by/4.0/).
Share and Cite
Paolone, G.; Scolavino, S.; Gherlone, E.; Spagnuolo, G. Direct Esthetic Composite Restorations in Anterior Teeth: Managing Symmetry Strategies. Symmetry 2021, 13, 797. https://doi.org/10.3390/sym13050797
Paolone G, Scolavino S, Gherlone E, Spagnuolo G. Direct Esthetic Composite Restorations in Anterior Teeth: Managing Symmetry Strategies. Symmetry. 2021; 13(5):797. https://doi.org/10.3390/sym13050797
Chicago/Turabian StylePaolone, Gaetano, Salvatore Scolavino, Enrico Gherlone, and Gianrico Spagnuolo. 2021. "Direct Esthetic Composite Restorations in Anterior Teeth: Managing Symmetry Strategies" Symmetry 13, no. 5: 797. https://doi.org/10.3390/sym13050797
APA StylePaolone, G., Scolavino, S., Gherlone, E., & Spagnuolo, G. (2021). Direct Esthetic Composite Restorations in Anterior Teeth: Managing Symmetry Strategies. Symmetry, 13(5), 797. https://doi.org/10.3390/sym13050797

