Next Article in Journal
U-SwinFusionNet: High Resolution Snow Cover Mapping on the Tibetan Plateau Based on FY-4A
Next Article in Special Issue
Removal of Nitrogen and Phosphorus from Municipal Wastewater Through Cultivation of Microalgae Chlorella sp. in Consortium
Previous Article in Journal
A Dynamic Flowmeter-Monitoring Path-Partitioning Strategy for Real-Time Demand Estimation in Water Distribution Systems
 
 
Font Type:
Arial Georgia Verdana
Font Size:
Aa Aa Aa
Line Spacing:
Column Width:
Background:
Article

Effect of Co-Dewatering for Aerobic Granular Sludge and Alum Sludge

1
Hangzhou Yongzhan Environment Technology Co., Ltd., Hangzhou 310018, China
2
Zhejiang Society for Environmental Sciences, Hangzhou 310007, China
3
College of Environmental Science and Engineering, Zhejiang University of Water Resources and Electric Power, Hangzhou 310018, China
*
Author to whom correspondence should be addressed.
Water 2025, 17(5), 705; https://doi.org/10.3390/w17050705
Submission received: 6 February 2025 / Revised: 24 February 2025 / Accepted: 25 February 2025 / Published: 28 February 2025
(This article belongs to the Special Issue Advanced Biological Wastewater Treatment and Nutrient Removal)

Abstract

Sludge dewatering plays a crucial and indispensable role in the sludge treatment and disposal process, directly affecting the subsequent disposal costs and environmental risks. Aerobic granular sludge (AGS) and alum sludge (AS) from water treatment plants are two common types of sludge with distinct dewatering properties. In this experiment, we thoroughly investigated the effects of co-dewatering by mixing AGS and AS in different proportions. The results showed that the addition of the AS effectively altered the composition and characteristics of the AGS, which significantly improved its settlement performance. When the AGS and AS were mixed in a specific proportion, the water content of the dewatered AGS was reduced from 81.2% to 70.9%, which fully demonstrated a significant improvement in the AGS dewatering performance achieved through the mixed treatment. It is recommended to be widely promoted and applied in practical engineering.

1. Introduction

With the acceleration of global urbanization, stricter environmental protection regulations, and the increasing demand for water resource management, the urban sewage treatment industry has seen rapid development [1]. As sewage treatment rates rise, sludge production is also increasing. In the sludge treatment and disposal process, sludge dewatering is a crucial step since it significantly reduces the volume of sludge and directly impacts the subsequent disposal costs and environmental risks [2]. In recent years, this issue has garnered significant attention from government departments and attracted more and more researchers to conduct studies. Undoubtedly, the global market size of the sludge-dewatering industry is expected to increase steadily on a global scale [3].
The efficiency of dewatering is impacted by a range of factors, encompassing the intrinsic properties of the sludge, the employed conditioning techniques, and the type of dewatering equipment utilized [4,5]. The smaller the sludge particles, the larger their overall specific surface area is, and the higher the degree of hydration. Sludge particles carry negative charges, causing mutual repulsion between particles [6,7]. Under hydration, a layer or several layers of water attach to the particle surfaces, further impeding the combination between sludge particles and forming a stable colloidal floc dispersion system. Therefore, the larger the proportion of fine sludge particles, the poorer the dewatering performance is. Additionally, the dewatering effect is also significantly influenced by the particle distribution of sludge particles. During mechanical pressure filtration dewatering, small sludge particles can pass through pores, while large particles are retained on the mud cake layer by the filter mesh. Sludge particles with sizes similar to the pore diameters tend to block the pores of the filter cloth, reducing the effectiveness of sludge dewatering [8].
Aerobic granular sludge (AGS) and alum sludge (AS, which is from water treatment plants) exhibit markedly different dewatering properties. AGS, which is formed through the self-agglomeration of microorganisms, typically has particle sizes ranging from 0.1 to 3 mm, with some particles reaching 3.5 to 5 mm in size [9,10]. AGS has a large particle size and low degree of hydration, which facilitates close packing of the particles, making water removal easy. Furthermore, the uniform particle size distribution creates an efficient “flow channel network” that allows water to drain smoothly, significantly enhancing the dewatering efficiency. Notably, AGS exhibits excellent settlement performance, settling rapidly to form a dense mud cake layer that favors further water removal [11,12]. AS primarily originates from the sludge discharge of sedimentation tanks and the backwash drainage of filtration tanks in water treatment plants. The organic content of AS is relatively low, with its main components including a large amount of silt, sludge flocs, and coagulants added during the water treatment process [13,14,15], along with their by-products. These components theoretically have significant physical and chemical conditioning effects on AGS [16]. Through physical conditioning, they can improve the structure of the sludge, making it easier to dewater; through chemical conditioning, they can react with certain substances in the sludge, further promoting the dewatering process. Therefore, the presence of these components can enhance the dewatering efficiency of the sludge.
Conventionally, AGS and AS are processed separately, but this approach often results in resource wastage and environmental pollution. AGS typically exhibits good settlement properties and a high biological activity, whereas AS contains inorganic matter, residual flocculants, and reaction products, which may affect the sludge’s dewatering performance [17,18]. Currently, there is limited research on the combined dewatering of AGS and AS, with the mechanisms involved remaining unclear and lacking systematic process optimization and engineering application studies. Therefore, exploring the combined dewatering treatment of AGS and AS is highly important, as it enhances the resource utilization efficiency and reduces environmental pollution.

2. Materials and Methods

2.1. Sludge

The AGS samples were collected from the secondary sedimentation tank in a continuous flow reactor (laboratory cultivation) after culturing for 6 months.
The AS for experiments was taken from the settlement tank after conventional conditioning with polymeric aluminum chloride (PAC) without dewatering in a water treatment plant (DWTP) (Xiangfu Water Treatment Plant, Hangzhou, China).

2.2. Experiments of AGS and AS and Its Effect on Co-Dewatering

Certain amounts of the AGS and AS samples were taken and mixed together in predetermined ratios (AGS/AS = 0:1, 1:4, 1:2, 1:1, 2:1, 4:1, 1:0, with 0.2% cationic polyacrylamide (CPAM) (Zhengzhou Daqian Environmental Protection Technology Co., Ltd, Zhengzhou, China) added in one case). The sludges were thoroughly stirred during mixing to ensure an even distribution and to avoid local concentration variations. Subsequently, the well-mixed sludges were transferred into special centrifuge tubes. The centrifuge was set to 4000 rpm, and the sludges were centrifuged for 20 min to dewater them. After the centrifugation process, the sludge and the centrifugate were collected separately for further analysis. Moreover, the initial moisture content of each type of sludge was measured and recorded for comparison.

2.3. Dewatering Equipment

A special centrifugal tube (Φ30 mm × 115 mm), designed for centrifuge dewatering (Figure 1), was developed using a laboratory centrifuge with a maximum speed of 4000 rpm. The centrifugal tube device had three sections: Section A for the sample injection; Section B, which used a filter pore and filter cloth to collect solids; and Section C for collecting the centrifuged liquid.

2.4. Sample Analysis

The moisture content, settling velocity, sludge volume index (SVI), mixed liquor suspended solids (MLSSs), and mixed liquor volatile suspended solids (MLVSSs) were measured according to APHA standards [19].
The specific resistance to filtration (SRF) values for the sludge samples were determined following procedures that were consistent with the established literature [20].
The scanning electron microscope (SEM) samples were prepared according to manual operation instructions. The main components of the sludge samples were analyzed using energy dispersive spectrometry (EDS) (EDAX, AMETEK) (Hitachi SU-8010, Tokyo, Japan) with the following conditions: a take-off angle of 33.97, an ampT of 102.4, an accelerating voltage of 25 kV, a tilt of 0.70, a SUTW-Sapphire detector type, and a resolution of 137.91.
Duplicates were performed for all the collected samples, and blanks and standards were run regularly in between.

3. Results and Discussion

3.1. Properties of AGS

This experiment used AGS that was composed of spherical or oval particles that ranged in size from 1.2 to 2.5 mm and were colored orange or yellow (Figure 2). The AGS exhibited specific characteristics as follows: It had an aspect ratio of 0.69 and a stable shape factor of 0.41. Its specific gravity was approximately 1.012, with a moisture content that ranged from 97.20% to 98.2%. The MLSS concentration remained at 5.3–5.9 g/L, while the value of the MLVSSs ranged from 4.8 to 5.3. The ratio of MLVSSs to MLSSs remained stable and maintained at 0.9. A stable MLVSS/MLSS ratio often indicates that the AGS has a compact structure and moderate density, which is beneficial for sludge settlement and separation. The SVI30 (the volume of sludge settled from the mixture after 30 min of static sedimentation) value was 42–43 mL/g. The settlement velocity of the cultivated AGS (aerobic granular sludge) ranged between 25 and 35 m/h. This faster settlement velocity indicates that the AGS had a more compact structure and higher density, which facilitated the sludge settlement and solid–liquid separation.
The SRF of sludge can effectively reflect the difficulty of sludge dewatering. The smaller the SRF value is, the better the sludge’s dewatering performance becomes, indicating that less pressure or energy is needed during the dewatering process, and the dewatering efficiency increases. When the SRF value is below the threshold of 0.4 × 1013 m/kg, it indicates that the filtration process is relatively easy. The SRF value of the AGS was 3.29 ± 0.03 × 1010 m/kg. After adding 0.2% cationic polyacrylamide (CPAM, by weight) as a dewatering aid, it decreased to 1.68 ± 0.05 × 1010 m/kg. The SBF value of the AGS was much lower than 0.4 × 1013 m/kg, indicating that the AGS had a good dewatering performance.
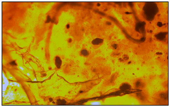
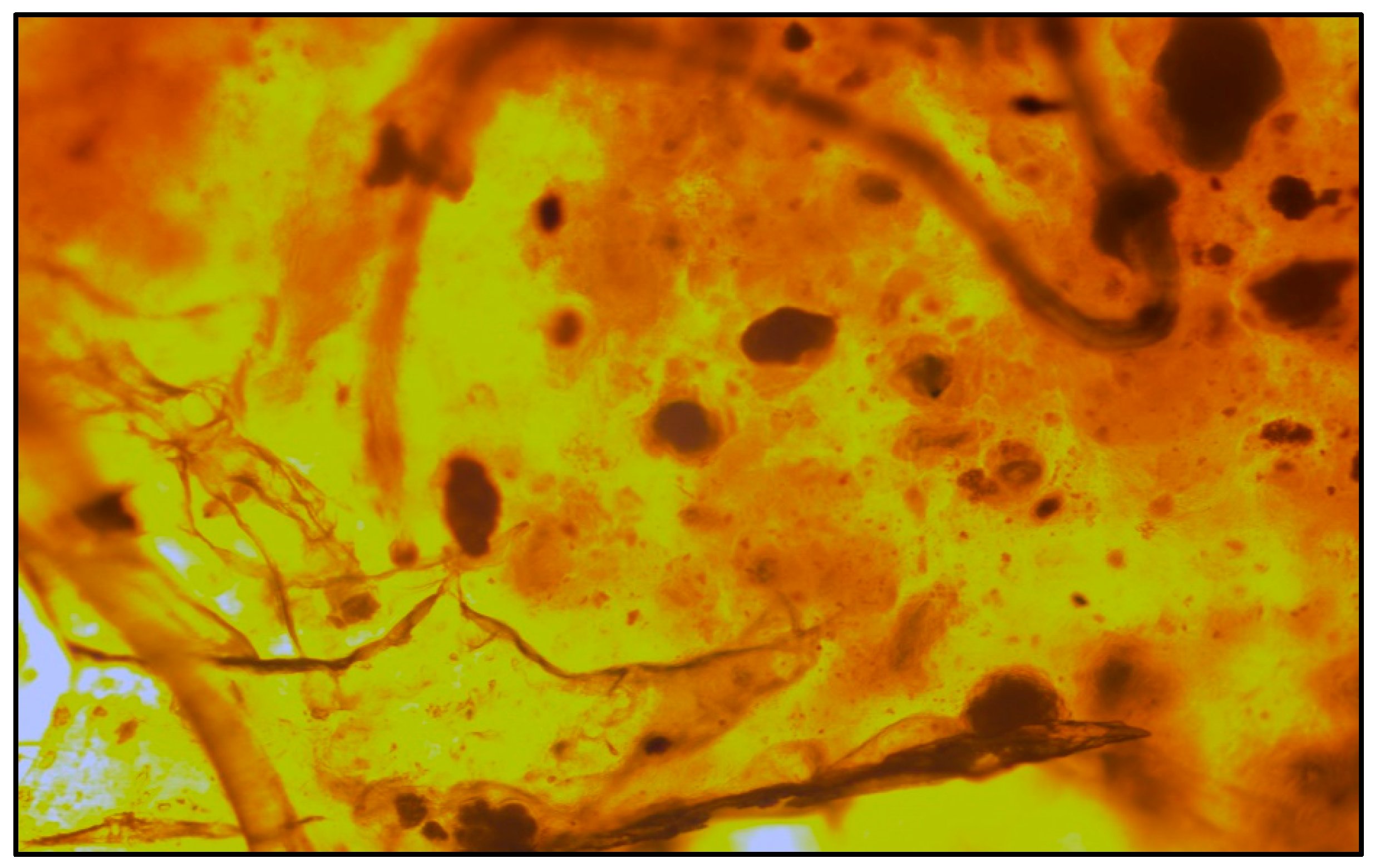
Microscopic observation revealed that the surface of the AGS was coated with a large amount of extracellular polymeric substances (EPSs) (Figure 3). An EPS is a metabolic product secreted by microbial cells that fill the spaces between cells, forming a flocculent structure that tightly encapsulates the microorganisms. The influence of the EPS on its dewatering performance may be more complex. On the one hand, the EPS in aerobic granular sludge may help maintain the stability of the sludge structure, improving the sludge’s settlement and filtration performance. On the other hand, an excessive EPS may also increase the sludge’s viscosity and hydrophilicity, thereby hindering the release of water and affecting the dewatering performance.

3.2. Properties of AS

The particle size distribution of the AS from the water treatment plant ranged from 3.5 to 63.1 μm, with the majority of particles falling between 8 and 24 μm. The organic matter content in the AS accounted for approximately 13–14%, while the remaining component was inorganic matter, constituting about 86–87%. The inorganic matter was primarily composed of the elements Si and Al. The content of elemental Si (calculated as SiO2) was 56.09%, which mainly originated from inorganic substances in surface water, while the content of Al (calculated as Al2O3) was 27.19% (Table 1), which was primarily derived from the PAC added during the flocculation and sedimentation process in the water treatment plant (Figure 4).
The SEM image (Figure 4) revealed that the porosity of the AS sludge was notably high. Generally, sludge with a higher porosity and a larger specific surface area exhibits better dewatering performance. This means that the AS was more efficient at releasing water during the dewatering process.
The SRF values of the AS were 1.19 ± 0.03 × 1011 m/kg and 6.79 ± 0.05×1010 m/kg before and after adding 0.2% CPAM (by weight) as a dewatering conditioner, respectively. The low SRF value of the AS facilitated a smoother subsequent dewatering process, which reduced the required dewatering time and energy accordingly, and thus, enhanced the overall efficiency and economy of the sludge treatment process.

3.3. Co-Dewatering Performance of AGS and AS

The original AGS had a moisture content of 81.0% after the centrifugal dewatering, while the original AS had a water content of 71.2% after the same process (Figure 5). This indicated that the AGS contained more EPSs and was more difficult to dewater than the AS. After the addition of 0.2% CPAM, the dewatering efficiencies of both the AGS and AS were significantly enhanced, which resulted in reductions in the moisture contents of the dewatered sludges to 52.6% and 66.5%, respectively. This demonstrated that the CPAM effectively enhanced the flocculation process in AGS sludge dewatering, and thus, improved the aggregation ability of the sludge particles and thereby accelerated the removal of moisture.
When different proportions of the un-dewatered AS were blended into the AGS, the moisture content of the resulting dewatered sludge cake dropped from 81.2% to 72.6%. This indicated that the addition of the AS changed the composition and characteristics of the AGS sludge, which potentially promoted the aggregation and sedimentation of sludge particles and further enhanced the dewatering efficiency.
When CPAM was used in combination with the AS for conditioning the AGS, the moisture content of the mixed sludge decreased more significantly after the centrifugal dewatering. The CPAM interacted with the suspended particles in the sludge to form a network structure, which significantly boosted the aggregation capability of the sludge particles and facilitated their clustering and settlement. Meanwhile, the incorporation of the AS likely introduced additional microorganisms and organic matter, which promoted the aggregation and flocculation of the sludge particles. The effect of the combined conditioning with the AS and CPAM was superior to that of single conditioning, indicating that the synergistic effect of the multiple conditioning agents could significantly improve the dewatering efficiency of the AGS.
The settlement velocity of the mixed sludge was influenced by a variety of factors. The CPAM, as a commonly used flocculant, had a significant impact on the sludge settlement velocity. Its main function was to promote the aggregation and settlement of the sludge particles through mechanisms such as charge neutralization and adsorption bridging. In practical applications, adding an appropriate amount of CPAM can effectively increase the settlement velocity of sludge. As shown in Table 2, the original settlement velocity of the AGS was 30 m/h, and after adding the CPAM, its settlement velocity increased to 39 m/h. Similarly, the original settlement velocity of the AS was 5 m/h, and after adding the CPAM, its settlement velocity increased to 2.4 times the original, namely 12 m/h. When the AGS and AS were mixed in a 1:1 ratio (dry sludge weight), the settlement velocity of the mixed sludge exhibited more complex behavior. The original settlement velocity of the mixed sludge was 19 m/h, and after adding the CPAM, its settlement velocity increased to 26 m/h. This result indicated that the settlement velocity of the mixed sludge was not simply a linear combination of the settlement velocities of the two types of sludge but was influenced by lots of factors. The particle size of the AGS and the floc strength of the AS were key factors that affected the mixing effect. The AGS particles could be encapsulated by the flocs of the AS, or vice versa, and the two could form larger aggregates. In this case, the settlement velocity of the mixed sludge could increase. However, it was also possible that the two types of sludge may interfere with each other, leading to a decrease in the settlement velocity.

3.4. Synergy Effects on Co-Dewatering of AGS and AS

The alum sludge contained large amounts of mud and sand carried over from the raw water, residual flocculants, hydrolysis reaction products of flocculants (such as aluminum or iron salts), and other inorganic particles, as well as residual coagulants after the water treatment (Figure 4). When the AGS was mixed with the AS, the cationic residues of the flocculant in the AS could neutralize the negative charge of the AGS, which reduced the Zeta potential. The residual PAC or by-products in the alum enhanced the floc formation of the granular sludge significantly through adsorption and bridging, where it was bound with the sludge particles to form compact and large-volume flocs. These flocs exhibited good settlement properties and could rapidly settle out of the water, which improved the settlement efficiency of the sludge (Figure 6). This process is known as chemical conditioning. During the combined dewatering process, the inorganic particles in the water plant sludge can form good water permeation channels and exert a pressing effect during deep dewatering. This process is referred to as physical conditioning. After conditioning, the press filtration begins, where the inorganic particles in the mixed sludge rub and compress against each other. The external force accelerates the rupture of the sludge particles, facilitating the extrusion of bound water and cellular water from the sludge, thereby improving its dewatering performance.
Through the synergistic combination of physical compression and chemical conditioning, the integrated dewatering process markedly boosted the dewatering efficiency of the mixed sludge, while it also reduced the overall treatment cost. This treatment technology has significant advantages and application prospects and is worth promoting and applying widely in practical engineering.

3.5. The Mixing Ratio of the AGS and AS

In the joint dehydration process, the mixing ratio of the granular sludge and water treatment plant sludge constituted a crucial process parameter, where it exerted a decisive influence on the dehydration effect. Granular sludge, with its excellent settlement performance and stable structural characteristics, provides strong support for efficient water drainage. Meanwhile, water treatment plant sludge may contain active components, such as inorganic particles and residual flocculants, which can synergize with granular sludge during the joint dehydration process, further enhancing the dehydration efficiency. However, the selection of the mixing ratio requires caution, as different ratios can directly lead to significant differences in the dehydration effects. If the mixing ratio is inappropriate, the dehydration performance of the sludge may be impaired, thereby affecting the dehydration efficiency and quality. Specifically, when the proportion of the granular sludge is too high, although its settlement performance and structural stability are maintained, the lack of sufficient flocculant components may prevent adequate aggregation and settlement of the sludge particles. Conversely, if the proportion of the water treatment plant sludge is too high, although the flocculant components are abundant, the overall settlement performance and structural stability of the sludge may be compromised. To maximize the benefits of joint dehydration, it is necessary to precisely determine the most suitable mixing ratio based on the specific properties of the sludge, the characteristics of the dehydration equipment, and the process requirements.

3.6. Problems in Co-Dewatering Practice

The main issue facing the joint treatment of AGS and AS is the long-distance transportation of sludge. In large- and medium-sized cities, due to historical municipal planning reasons, water treatment plants are often located upstream, while sewage treatment plants are downstream, with a considerable distance between them. There are two main methods for sludge transportation: one is to transport dewatered sludge by truck, which is costly and poses hygiene issues; the other is to transport untreated sludge water through pipelines, but this requires complex pipeline routing and the consideration of corrosion prevention measures. Therefore, the joint treatment of sludge from the two types of plants needs to comprehensively consider the sludge transportation method to address the challenges posed by long-distance transportation.

4. Conclusions

The process of the combined dehydration of AGS and AS primarily involved physical conditioning, chemical conditioning, and the interaction between the two. After mixing these two types of sludge, the inorganic content increased, and the settlement performance improved, which enabled the efficient dehydration of the mixed sludge. Following the combined dehydration treatment, the moisture content of the mixed sludge from the AGS and AS could be reduced to around 70%. If 0.2% CPAM was added on this basis, the moisture content of the mixed sludge could be further reduced to below 55%.
The combined treatment technology for AGS and AS demonstrated broad application prospects and significant promotion value. To fully leverage its advantages, whether in large- and medium-sized cities or small towns, the location layout of water treatment plants and wastewater treatment plants should be fully considered when planning urban infrastructure to facilitate the collection and transportation of sludge. Through scientific and reasonable planning, it can further reduce the cost of sludge treatment and improve the treatment efficiency.

Author Contributions

Conceptualization, A.Y.; methodology, Y.C.; investigation, K.T.; data curation, D.Q.; writing—original draft preparation, A.Y.; writing—review and editing, A.Y.; project administration, A.Y.; software, N.L.; supervision, Y.C. All authors have read and agreed to the published version of the manuscript.

Funding

This research was funded by the Natural Science Foundation of Zhejiang Province (No. LZJWZ23E080002) and Nanxun Scholars Program of ZJWEU (RC2024010655).

Data Availability Statement

The original contributions made in this study are included in the article material; further inquiries can be directed to the corresponding author.

Conflicts of Interest

Authors Yongfei Chen and Kangmei Tu were employed by the company Hangzhou Yongzhan Environment Technology Co., Ltd. The remaining authors declare that the research was conducted in the absence of any commercial or financial relationships that could be construed as a potential conflict of interest.

References

  1. Mao, W.; Ye, M.; Core, M. Numerical evaluation of vertical and horizontal distances for nitrogen attenuation from Onsite Sewage treatment and disposal systems (OSTDS). J. Hydrol. 2024, 644, 132107. [Google Scholar] [CrossRef]
  2. Jiao, J.; Yang, Z.; Shi, B.; Dogot, T.; Azadi, H.; Xu, K.; Yin, C. How Environmental Regulation Affects Rural Residents’ Willingness to Pay for Sustainable Domestic Sewage Treatment: Mediating and Interaction Effects. Water 2024, 16, 761. [Google Scholar] [CrossRef]
  3. He, D.; Chen, J.; Bao, B.; Pan, X.; Li, J.; Qian, C.; Yu, H. Optimizing sludge dewatering with a combined conditioner of Fenton’s reagent and cationic surfactant. J. Environ. Sci. 2020, 88, 21–30. [Google Scholar] [CrossRef]
  4. Peeters, B.; Dewil, R.; Vernimmen, L.; Van den Bogaert, B.; Smets, I.Y. Addition of polyaluminiumchloride (PACl) to waste activated sludge to mitigate the negative effects of its sticky phase in dewatering-drying operations. Water Res. 2013, 47, 3600–3609. [Google Scholar] [CrossRef] [PubMed]
  5. Cao, B.; Zhang, T.; Zhang, W.; Wang, D.S. Enhanced technology based for sewage sludge deep dewatering: A critical review. Water Res. 2020, 1, 116650. [Google Scholar] [CrossRef]
  6. Hu, S.; Hu, J.; Sun, Y.; Zhu, Q.; Wu, L.; Liu, B.; Xiao, K.; Liang, S.; Yang, J.; Hou, H. Simultaneous heavy metal removal and sludge deep dewatering with Fe(II) assisted electrooxidation technology. J. Hazard. Mater. 2020, 405, 124072. [Google Scholar] [CrossRef]
  7. Wang, Z.; Song, H.; Song, L.; Yin, Z.; Hui, K.; Gao, W.; Xuan, L. Dewatering municipal wastewater sludge using electro-coagulation combined with added free nitrous acid. Chemosphere 2022, 306, 135484. [Google Scholar] [CrossRef]
  8. Yokoyama, H.; Yamashita, T.; Kojima, Y.; Nakamura, K. Deep learning-based flocculation sensor for automatic control of flocculant dose in sludge dewatering processes during wastewater treatment. Water Res. 2024, 260, 121890. [Google Scholar] [CrossRef]
  9. Zhou, X.; Jiang, G.; Wang, Q.; Yuan, Z. A review on sludge conditioning by sludge pre-treatment with a focus on advanced oxidation. Rsc Adv. 2014, 4, 50644–50652. [Google Scholar] [CrossRef]
  10. Wang, J.; Li, Z.; Wang, Q.; Lei, Z.; Yuan, T.; Shimizu, K.; Zhang, Z.; Adachi, Y.; Lee, D.-J.; Chen, R. Achieving stably enhanced biological phosphorus removal from aerobic granular sludge system via phosphorus rich liquid extraction during anaerobic period. Bioresour. Technol. 2022, 346, 126439. [Google Scholar] [CrossRef] [PubMed]
  11. Mucha, Z.; Mikosz, J. Technological characteristics of reject waters from aerobic sludge stabilization in small and medium-sized wastewater treatment plants with biological nutrient removal. Int. J. Energy Environ. 2021, 12, 69–76. [Google Scholar] [CrossRef]
  12. Zhou, D.; Niu, S.; Xiong, Y.; Yang, Y.; Dong, S. Microbial selection pressure is not a prerequisite for granulation: Dynamic granulation and microbial community study in a complete mixing bioreactor. Bioresour. Technol. 2014, 161, 102–108. [Google Scholar] [CrossRef]
  13. Zhang, W.; Tang, M.; Li, D.; Yang, P.; Xu, S.; Wang, D. Effects of alkalinity on interaction between EPS and hydroxy-aluminum with different speciation in wastewater sludge conditioning with aluminum based inorganic polymer ffocculant. J. Environ. Sci. 2021, 100, 259–270. [Google Scholar] [CrossRef]
  14. Li, J.; Liu, L.; Liu, J.; Ma, T.; Yan, A.; Ni, Y. Efect of adding alum sludge from water treatment plant on sewage sludge dewatering. J. Environ. Chem. Eng. 2016, 4, 746–752. [Google Scholar] [CrossRef]
  15. Nour, M.; Tony, M. Simultaneous Environmental Waste Management through Deep Dewatering of Alum Sludge Using Waste-Derived Cellulose. ChemEngineering 2024, 8, 40. [Google Scholar] [CrossRef]
  16. Hussein, A.M.; Mahmoud, R.K.; Sillanpää, M.; Wahed, M.S.A. Impacts alum DWTPs sludge discharge and changes in flow regime of the Nile River on the quality of surface water and cultivated soils in Fayoum watershed, Egypt. Sci. Total Environ. 2021, 766, 144333. [Google Scholar] [CrossRef]
  17. Machado, R.C.; Valle, S.F.D.; Sena, T.B.M.; Perrony, P.E.P.; Bettiol, W.; Ribeiro, C. Aluminosilicate and zeolitic materials synthesis using alum sludge from water treatment plants: Challenges and perspectives. Waste Manag. 2024, 186, 94–108. [Google Scholar] [CrossRef]
  18. Djekoune, L.; Salem, Z.; Maaliou, A.; Boucetta, S.; Ouakouak, A. Reuse of sludge from drinking water production in dye wastewater treatment of textile industry. Desalination Water Treat. 2022, 277, 72–84. [Google Scholar] [CrossRef]
  19. APHA. Standard Methods for the Examination of Water and Wastewater, 20th ed.; American Public Health Association: Washington, DC, USA, 1998. [Google Scholar]
  20. Yan, A.; Chen, Y.; Li, N.; Ma, T.; Qi, Y.; Xu, D. Dewatering Performance of Aerobic Granular Sludge under Centrifugal with Different Sludge Conditioning Agent. Front. Microbiol. 2024, 15, 1386557. [Google Scholar] [CrossRef] [PubMed]
Figure 1. Centrifugal tube designed for the experiment.
Figure 1. Centrifugal tube designed for the experiment.
Water 17 00705 g001
Figure 2. The AGS for the experiment.
Figure 2. The AGS for the experiment.
Water 17 00705 g002
Figure 3. Microscopic photography of aerobic granular sludge.
Figure 3. Microscopic photography of aerobic granular sludge.
Water 17 00705 g003
Figure 4. SEM for observing and analyzing the structure of the alum sludge.
Figure 4. SEM for observing and analyzing the structure of the alum sludge.
Water 17 00705 g004
Figure 5. The moisture content of the AGS and AS that underwent dewatering processes at various mixing ratios.
Figure 5. The moisture content of the AGS and AS that underwent dewatering processes at various mixing ratios.
Water 17 00705 g005
Figure 6. The synergistic effect of the AGS and AS under an external mode.
Figure 6. The synergistic effect of the AGS and AS under an external mode.
Water 17 00705 g006
Table 1. Chemical elements and their contents in the AS.
Table 1. Chemical elements and their contents in the AS.
ElementSiAlFeMgKNaLi Ti PCa
Content (%)56.0927.196.762.962.961.260.830.750.630.57
Table 2. The sedimentation velocities for various AGS/AS ratios, with and without CPAM (m/h).
Table 2. The sedimentation velocities for various AGS/AS ratios, with and without CPAM (m/h).
Various AGS/AS Ratios0:11:41:21:12:14:11:0
Mixed sludge5121619232930
Mixed sludge + 0.2% CPAM12182226293339
Disclaimer/Publisher’s Note: The statements, opinions and data contained in all publications are solely those of the individual author(s) and contributor(s) and not of MDPI and/or the editor(s). MDPI and/or the editor(s) disclaim responsibility for any injury to people or property resulting from any ideas, methods, instructions or products referred to in the content.

Share and Cite

MDPI and ACS Style

Chen, Y.; Tu, K.; Qian, D.; Li, N.; Yan, A. Effect of Co-Dewatering for Aerobic Granular Sludge and Alum Sludge. Water 2025, 17, 705. https://doi.org/10.3390/w17050705

AMA Style

Chen Y, Tu K, Qian D, Li N, Yan A. Effect of Co-Dewatering for Aerobic Granular Sludge and Alum Sludge. Water. 2025; 17(5):705. https://doi.org/10.3390/w17050705

Chicago/Turabian Style

Chen, Yongfei, Kangmei Tu, Dongsheng Qian, Ningyu Li, and Ailan Yan. 2025. "Effect of Co-Dewatering for Aerobic Granular Sludge and Alum Sludge" Water 17, no. 5: 705. https://doi.org/10.3390/w17050705

APA Style

Chen, Y., Tu, K., Qian, D., Li, N., & Yan, A. (2025). Effect of Co-Dewatering for Aerobic Granular Sludge and Alum Sludge. Water, 17(5), 705. https://doi.org/10.3390/w17050705

Note that from the first issue of 2016, this journal uses article numbers instead of page numbers. See further details here.

Article Metrics

Back to TopTop