Ozone Induces Oxidative Stress and Inflammation in Nasal Mucosa of Rats
Abstract
1. Introduction
2. Materials and Methods
2.1. Model Preparation and Apparatus
2.1.1. Animal Grouping and Model Preparation
2.1.2. Ozone Inhalation Exposure Device
2.2. Methods and Observations
2.2.1. Ozone Inhalation Exposure
2.2.2. Nasal Symptoms of Rats
2.2.3. Collection of Experimental Specimens
2.2.4. Measures of Biomarkers of Oxidative Stress in Nasal Mucosa
2.2.5. Detection of NF-κB Protein Expression in Nasal Mucosa by Western Blotting
2.2.6. Real-Time Quantitative PCR Was Used to Detect the mRNA Levels of IL-6, IL-8, and TNF-α in Nasal Mucosa
2.2.7. Pathological Observation of Nasal Mucosa
2.3. Statistical Processing
3. Results
3.1. Effect of Ozone on Nasal Secretion in Rats
3.2. Effects of Ozone on Oxidative Stress in Rat Nasal Mucosa
3.3. Effect of Ozone on the Levels of IL-6, IL-8, and TNF-α Protein in Nasal Lavage Fluid
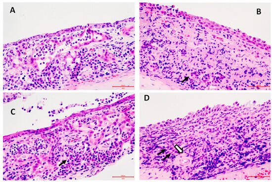
3.4. Effects of Ozone Exposure on the Histopathology of Nasal Mucosa
3.5. Effect of Ozone on the Expression of NF-κB p65 Protein and Its Inflammatory Factor Target Group mRNAs
4. Discussion
5. Conclusions
Author Contributions
Funding
Institutional Review Board Statement
Informed Consent Statement
Data Availability Statement
Conflicts of Interest
References
- Sun, N.; Niu, Y.; Zhang, R.; Huang, Y.; Wang, J.; Qiu, W.; Zhang, X.; Han, Z.; Bao, J.; Zhu, H.; et al. Ozone inhalation induces exacerbation of eosinophilic airway inflammation and Th2-skew immune response in a rat model of AR. Biomed. Pharmacother. 2021, 137, 111261. [Google Scholar] [CrossRef] [PubMed]
- Niu, Y.; Chen, R.; Xia, Y.; Cai, J.; Lin, Z.; Liu, C.; Chen, C.; Peng, L.; Zhao, Z.; Zhou, W.; et al. Personal Ozone Exposure and Respiratory Inflammatory Response: The Role of DNA Methylation in the Arginase–Nitric Oxide Synthase Pathway. Environ. Sci. Technol. 2018, 52, 8785–8791. [Google Scholar] [CrossRef]
- Gerrity, T.R.; Weaver, R.A.; Berntsen, J.; House, D.E.; O’NEil, J.J. Extrathoracic and intrathoracic removal of O3 in tidal-breathing humans. J. Appl. Physiol. 1988, 65, 393–400. [Google Scholar] [CrossRef] [PubMed]
- Stokinger, H.E.; Wagner, W.D.; Dobrogorski, O.J. Ozone toxicity studies. III. Chronic injury to lungs of animals following exposure at a low level. AMA Arch. Ind. Health 1957, 16, 514–522. [Google Scholar] [PubMed]
- Bates, D.V.; Bell, G.M.; Burnham, C.D.; Hazucha, M.; Mantha, J.; Pengelly, L.D.; Silverman, F.; Barreno, R.X.; Richards, J.B.; Schneider, D.J.; et al. Short-term effects of ozone on the lung. J. Appl. Physiol. 1972, 32, 176–181. [Google Scholar] [CrossRef] [PubMed]
- Kulle, T.J.; Cooper, G.P. Effects of formaldehyde and ozone on the trigeminal nasal sensory system. Arch. Environ. Health Int. J. 1975, 30, 237–243. [Google Scholar] [CrossRef]
- Naclerio, R.; Ansotegui, I.J.; Bousquet, J.; Canonica, G.W.; D’AMato, G.; Rosario, N.; Pawankar, R.; Peden, D.; Bergmann, K.-C.; Bielory, L.; et al. International expert consensus on the management of allergic rhinitis (AR) aggravated by air pollutants: Impact of air pollution on patients with AR: Current knowledge and future strategies. World Allergy Organ. J. 2020, 13, 100106. [Google Scholar] [CrossRef]
- Bashandy, M.M.; Saeed, H.E.; Ahmed, W.M.S.; Ibrahim, M.A.; Shehata, O. Cerium oxide nanoparticles attenuate the renal injury induced by cadmium chloride via improvement of the NBN and Nrf2 gene expressions in rats. Toxicol. Res. 2022, 11, 339–347. [Google Scholar] [CrossRef]
- Li, K.; Jacob, D.J.; Liao, H.; Shen, L.; Zhang, Q.; Bates, K.H. Anthropogenic drivers of 2013–2017 trends in summer surface ozone in China. Proc. Natl. Acad. Sci. USA 2019, 116, 422–427. [Google Scholar] [CrossRef]
- McDonald, B.C.; de Gouw, J.A.; Gilman, J.B.; Jathar, S.H.; Akherati, A.; Cappa, C.D.; Jimenez, J.L.; Lee-Taylor, J.; Hayes, P.L.; McKeen, S.A.; et al. Volatile chemical products emerging as largest petrochemical source of urban organic emissions. Science 2018, 359, 760–764. [Google Scholar] [CrossRef]
- Kahle, J.J.; Neas, L.M.; Devlin, R.B.; Case, M.W.; Schmitt, M.T.; Madden, M.C.; Diaz-Sanchez, D. Interaction effects of temperature and ozone on lung function and markers of systemic inflammation, coagulation, and fibrinolysis: A crossover study of healthy young volunteers. Environ. Health Perspect. 2015, 123, 310–316. [Google Scholar] [CrossRef] [PubMed]
- D’Amato, G.; Holgate, S.T.; Pawankar, R.; Ledford, D.K.; Cecchi, L.; Al-Ahmad, M.; Al-Enezi, F.; Al-Muhsen, S.; Ansotegui, I.; Baena-Cagnani, C.E.; et al. Meteorological conditions, climate change, new emerging factors, and asthma and related allergic disorders. A statement of the World Allergy Organization. World Allergy Organ. J. 2015, 8, 25. [Google Scholar] [CrossRef] [PubMed]
- Turner, M.C.; Jerrett, M.; Pope, C.A., III; Krewski, D.; Gapstur, S.M.; Diver, W.R.; Beckerman, B.S.; Marshall, J.D.; Su, J.; Crouse, D.L.; et al. Long-Term Ozone Exposure and Mortality in a Large Prospective Study. Am. J. Respir. Crit. Care Med. 2016, 193, 1134–1142. [Google Scholar] [CrossRef] [PubMed]
- Today’s Allergic Rhinitis Patients Are Different: New Factors That May Play a Role—PubMed. Available online: https://pubmed.ncbi.nlm.nih.gov/17686101/ (accessed on 21 June 2024).
- Niu, Y.; Cai, J.; Xia, Y.; Yu, H.; Chen, R.; Lin, Z.; Liu, C.; Chen, C.; Wang, W.; Peng, L.; et al. Estimation of personal ozone exposure using ambient concentrations and influencing factors. Environ. Int. 2018, 117, 237–242. [Google Scholar] [CrossRef]
- Zhao, J.; Xie, Y.; Qian, C.; Li, L.; Jiang, R.; Kan, H.; Chen, R.; Song, W. Imbalance of Th1 and Th2 cells in cardiac injury induced by ambient fine particles. Toxicol. Lett. 2012, 208, 225–231. [Google Scholar] [CrossRef]
- Liu, Q.; Liu, T.; Chen, Y.; Xu, J.; Gao, W.; Zhang, H.; Yao, Y. Effects of aerosols on the surface ozone generation via a study of the interaction of ozone and its precursors during the summer in Shanghai, China. Sci. Total Environ. 2019, 675, 235–246. [Google Scholar] [CrossRef]
- Kheirouri, S.; Shanehbandi, D.; Khordadmehr, M.; Alizadeh, M.; Vaezi, F.E.; Abad, R.M.S.; Mesgari-Abbasi, M. Effects of sulfur dioxide, ozone, and ambient air pollution on lung histopathology, oxidative-stress biomarkers, and apoptosis-related gene expressions in rats. Exp. Lung Res. 2022, 48, 137–148. [Google Scholar] [CrossRef]
- Terao, J. Cholesterol hydroperoxides and their degradation mechanism. Lipid Hydroperoxide-Deriv. Modif. Biomol. 2014, 77, 83–91. [Google Scholar] [CrossRef]
- Barnes, P.J.; Adcock, I.M. NF-kappa B: A pivotal role in asthma and a new target for therapy. Trends Pharmacol. Sci. 1997, 18, 46–50. [Google Scholar] [CrossRef]
- Wu, W.; Doreswamy, V.; Diaz-Sanchez, D.; Samet, J.M.; Kesic, M.; Dailey, L.; Zhang, W.; Jaspers, I.; Peden, D.B. GSTM1modulation of IL-8 expression in human bronchial epithelial cells exposed to ozone. Free Radic. Biol. Med. 2011, 51, 522–529. [Google Scholar] [CrossRef]
- Kwon, J.A.; Lee, M.; Yoo, K.-B.; Park, E.-C. Does the duration and time of sleep increase the risk of allergic rhinitis? Results of the 6-year nationwide Korea youth risk behavior web-based survey. PLoS ONE 2013, 8, e72507. [Google Scholar] [CrossRef]






| Genes | Primers (5′ to 3′) |
|---|---|
| IL-6 | Forward: 5′-CCGGAGAGGAGACTTCACAG-3′ Reverse: 5′-ACAGTGCATCATCGCTGTTC-3′ |
| IL-8 | Forward: 5′-ACACTGCGCCAACACAGAAATTA-3′ Reverse: 5′-TTTGCTTGAAGTTTCACTGGCATC-3′ |
| TNF-α | Forward: 5′-ACTCCCAGAAAAGCAAGCAA-3′ Reverse: 5′-CGAGCAGGAATGAGAAGAGG-3′ |
| β-actin | Forward: 5′-AGCCATGTACGTAGCCATCC-3′ Reverse: 5′-CTCTCAGCTGTGGTGGTGAA-3′ |
Disclaimer/Publisher’s Note: The statements, opinions and data contained in all publications are solely those of the individual author(s) and contributor(s) and not of MDPI and/or the editor(s). MDPI and/or the editor(s) disclaim responsibility for any injury to people or property resulting from any ideas, methods, instructions or products referred to in the content. |
© 2024 by the authors. Licensee MDPI, Basel, Switzerland. This article is an open access article distributed under the terms and conditions of the Creative Commons Attribution (CC BY) license (https://creativecommons.org/licenses/by/4.0/).
Share and Cite
Zhan, Y.; Tian, L.; Zhang, R.; Yu, S.; Sun, N. Ozone Induces Oxidative Stress and Inflammation in Nasal Mucosa of Rats. Atmosphere 2024, 15, 1148. https://doi.org/10.3390/atmos15101148
Zhan Y, Tian L, Zhang R, Yu S, Sun N. Ozone Induces Oxidative Stress and Inflammation in Nasal Mucosa of Rats. Atmosphere. 2024; 15(10):1148. https://doi.org/10.3390/atmos15101148
Chicago/Turabian StyleZhan, Yu, Lufang Tian, Ruxin Zhang, Shaoqing Yu, and Na Sun. 2024. "Ozone Induces Oxidative Stress and Inflammation in Nasal Mucosa of Rats" Atmosphere 15, no. 10: 1148. https://doi.org/10.3390/atmos15101148
APA StyleZhan, Y., Tian, L., Zhang, R., Yu, S., & Sun, N. (2024). Ozone Induces Oxidative Stress and Inflammation in Nasal Mucosa of Rats. Atmosphere, 15(10), 1148. https://doi.org/10.3390/atmos15101148

