Abstract
Background: Pathogenic hemizygous variants in ATP7A most commonly cause Menkes disease or occipital horn syndrome (OHS), whereas ATP7A-related distal hereditary motor neuropathy (dHMN) is rarely reported. Here, we describe two adult brothers with an overlapping dHMN/OHS phenotype caused by a novel ATP7A splice-site variant and review the clinical and genetic features of previously published patients with ATP7A-related dHMN. Methods: We performed detailed clinical, electrophysiological, and genetic evaluations of both siblings, including exome sequencing and RNA analysis. Additionally, we reviewed the clinical, electrophysiological, and genetic data of previously reported patients with ATP7A-related dHMN. Results: We identified a novel hemizygous ATP7A splice-site variant (NM_000052.7:c.1544-2A>T) in both brothers. The younger brother, who exhibited a more severe phenotype, presented in early childhood with mild global developmental delay, intellectual disability, and chronic diarrhea, while the older brother had childhood-onset chronic diarrhea without cognitive impairment. Both developed distal hereditary motor neuropathy later in life, and imaging revealed occipital horns. Serum copper and ceruloplasmin levels were mildly reduced. RNA sequencing revealed two aberrant transcript isoforms resulting from the splice-site variant, one of which may produce a partially functional protein. Review of previously reported patients shows that ATP7A-related dHMN may occur isolated or with overlapping features of OHS. In patients with the overlapping phenotype, chronic diarrhea was often the first symptom, followed by slowly progressive dHMN. Conclusions: Previously reported ATP7A-related dHMN has been mostly associated with missense variants. Our findings expand the mutational spectrum by identifying a splice-site variant. In patients with an overlapping OHS/dHMN phenotype, diagnosis was typically delayed for decades, suggesting this presentation remains underdiagnosed.
1. Introduction
Pathogenic hemizygous variants in the gene encoding the copper transporter ATP7A cause an X-linked recessive spectrum of disorders with variable clinical presentations, including classic Menkes disease (MD, MIM #309400), occipital horn syndrome (OHS, MIM #304150), and ATP7A-related distal hereditary motor neuropathy (dHMN, MIM #300489) [1].
ATP7A encodes a P-type ATPase copper transporter that plays a central role in copper homeostasis [2]. Under basal copper conditions, ATP7A localizes to the trans-Golgi network (TGN), where it supplies copper to copper-dependent enzymes, such as cytochrome c oxidase, superoxide dismutase, lysyl oxidase, and others. When intracellular Cu concentrations rise, ATP7A redistributes from the TGN to post-Golgi compartments and recycling endosomes to mediate copper export. Loss of ATP7A activity therefore results in systemic copper deficiency and impaired function of copper-dependent enzymes, particularly affecting the brain and connective tissue [3].
The clinical spectrum of ATP7A-related disorders is broad. MD and OHS are considered part of the same disease spectrum. MD represents the most severe end of the clinical spectrum, characterized by progressive infantile-onset, severe cerebral and cerebellar neurodegeneration and connective tissue abnormalities. At the milder end is OHS, presenting with absent or mild neurodevelopment abnormalities, bony exostosis (occipital horns), dysautonomia, and connective tissue anomalies. In both MD and OHS, serum copper and ceruloplasmin concentrations are typically reduced. Intermediate MD-OHS phenotypes share clinical and biochemical features of both diseases [4,5,6,7]. In contrast to MD and OHS, dHMN is an adult-onset disorder resembling Charcot–Marie–Tooth disease, which has been reported in only a small number of patients. It was initially described as an isolated clinical presentation, not associated with any features of MD or OHS, and with normal serum copper and ceruloplasmin concentrations [8,9]. However, more recently, four patients with dHMN in combination with dysautonomia and connective tissue abnormalities have been reported, suggesting an overlapping phenotype between dHMN and OHS [10,11,12].
While in MD and OHS disease, severity largely correlates with the degree of residual ATP7A activity, dHMN follows a distinct mechanism not explained by loss-of-function alone. Loss-of-function variants, such as nonsense variants and large deletions, where the function of ATP7A is entirely or almost entirely lost, cause MD [7,13]. Variants that permit partial protein activity, often splice-site variants, are associated with OHS [7,13]. In contrast, missense variants clustered in the C-terminal region of ATP7A cause dHMN, an adult-onset motor neuron disorder typically associated with normal or only mildly reduced serum copper and ceruloplasmin concentrations [8,9]. Functional studies indicate that these variants impair ATP7A trafficking and copper homeostasis in neurons [8,9].
We report two adult brothers with an overlapping phenotype of dHMN and OHS with a novel splice-site variant in ATP7A, and we review the clinical, electrophysiological, and genetic data of previously reported patients with ATP7A-related isolated and complex dHMN.
2. Materials and Methods
Two brothers underwent clinical and electrophysiological evaluation. Laboratory testing, magnetic resonance imaging (MRI) or computed tomography (CT) scan, and genetic analysis were performed. Written informed consent for the use and publication of clinical and medical data was obtained from both individuals.
2.1. Patients
A 34-year-old male was examined at the Institute of Clinical Neurophysiology, University Medical Center Ljubljana, for the diagnosis of a neurological syndrome. Three years later, his older brother, at the age of 42 years, was referred to the Institute for neurophysiological evaluation due to gait difficulties.
2.2. Nerve Conduction Studies
Motor nerve conduction studies of the median, ulnar, tibial and fibular nerves were performed using disposable self-adhesive disk recording electrodes (019–400400, Natus Neurology Incorporated, Middleton, WI, USA) which were placed over the end-plate region of the abductor pollicis brevis, abductor digiti minimi, abductor hallucis and extensor digitorum brevis muscles, respectively. The standard bipolar felt pad stimulation electrode (019–401500, Nicolet Biomedical Incorporated, Madison, WI, USA) was positioned over the nerve trunk with the cathode 8 cm proximal to the motor point of the target muscle.
Sensory nerve conduction velocities and amplitudes of the sensory nerve action potentials of the median (second finger), ulnar (fifth finger) and sural nerves were studied by antidromic nerve stimulation. The same bipolar felt pad stimulation and detection electrodes were used. The cathode of the stimulating electrode and the active detecting electrode were 14 cm apart.
The nerve potentials were recorded by the EMG system (Nicolet, Natus Neurology Incorporated, Middleton, WI, USA).
2.3. Genetic Testing
We performed the extraction of genomic DNA samples from peripheral blood using Chemagic DNA Blood 4k Kit (Revvity, Waltham, MA, USA), and the quantity was determined with Qubit fluorimetric method. DNA was sheared with M220 ultrasonicator (Covaris, Woburn, MA, USA) and the exome enrichment was performed using the xGen® Exome Research Panel v1.0 (IDT, Coralville, IA, USA). The exome library was sequenced using Illumina NextSeq 550 sequencer (Illumina, San Diego, CA, USA) in 150 base-paired end reads. Sequencing data were analyzed following GATK best practice guidelines. Short reads were aligned using BWA v0.7.2, and variant calling was performed with GATK v3.5. Variants were annotated and their potential impact predicted using snpEff v4.3, with additional pathogenicity scores obtained from the dbNSFP v2.0 database. Both classical (SIFT, PolyPhen-2, MutationTaster) and meta-predictors (MetaSVM, CADD, REVEL) were used to assess the functional effects of identified variants.
To determine the functional effect of the identified variant, we performed next-generation sequencing of the ATP7A messenger RNA transcript. After isolation of the RNA sample from peripheral blood of patient 1 and reverse transcription, we amplified exons 4– of the ATP7A transcript NM_000052.7, including the site affected by the identified splice variant. Subsequently, we performed deep sequencing of the amplified region and aligned the resulting sequences to the hg19 genome reference using the HISAT2 software and visually inspected the splicing defect in the IGV browser.
3. Results
3.1. Clinical Symptoms and Signs (Table 1)
3.1.1. Patient 1
The proband presented with mild global developmental delay, noticed at 1–2 years of age. He walked independently by 18 months and spoke his first words after three years of age. In early childhood, he experienced regression, difficulties with fine motor coordination and speech articulation, including stuttering. Since infancy, he has had chronic diarrhea and, occasionally, urinary tract infections. In the course of the disease, he developed steppage gait. He attended a special needs school and completed eight years of education. Dysmorphic features included long face, high arched palate, coarse hair, mild kyphoscoliosis, and protruding shoulder blades.
Table 1.
Clinical data in patients with ATP7A-related distal hereditary motor neuropathy.
Table 1.
Clinical data in patients with ATP7A-related distal hereditary motor neuropathy.
| Patient 1 | Patient 2 | [14] | [12] Family 1/ Patient 1 | [11] | [10] Family 1/ Patient 1 | [10] Family 1/ Patient 2 | [8] Family A with 9 pts | [8,15] Family B with 2 pts | |
|---|---|---|---|---|---|---|---|---|---|
| ATP7A variant (NM_000052.7) | c.1544-2A>T | c.3544A>G; p.(Ile1182Val) | c.4236delA; p.(Lys1412AsnfsTer15) | c.2576A>G; p.(Asp859Gly) | c.2972C>A; p.(Ala991Asp) | c.4156C>T, p.(Pro1386Ser) | c.2981C>T, p.(Thr994Ile) | ||
| Functional studies | Yes, current study | Yes | Yes | Yes | |||||
| Age of onset (years) | 2 | 5 | 1.2 | 3 | Childhood | 27 | Youth | 4–61 | 2–8 |
| First signs | Motor and speech delay | Chronic diarrhea, hyperhydrosis | Equinus gait | Gait difficulties, learning difficulties, orthostatic hypotension, temperature instability | Chronic diarrhea | Cramps, progressive difficulties in feet dorsiflexion | Chronic diarrhea | ||
| Age at last examination (years) | 34 | 42 | 42 | 24 | 42 | 47 | 43 | 16–62 | 26–29 |
| Height (cm) (percentiles) | 168 (P10) | 181 (P50–P75) | N/A | N/A | 164 (P5) | 187 (P75–P90) | 177 (P25–P50) | N/A | N/A |
| Weight (kg) (percentiles) | 56.5 (P < 5) | 83 (P50–P75) | N/A | N/A | 51 (P < 5) | 78 (P90–97) | 69 (P50–75) | N/A | N/A |
| HC (cm) (percentiles) | 57 (P25–P50) | 59.5 (P75–P90) | N/A | N/A | 56.5 (P50) | 61.5 (P > 97) | 62 (P > 97) | N/A | N/A |
| Peripheral nervous system | Motor neuropathy, proximal muscles weakness | Motor neuropathy, proximal muscles weakness | Proximal muscles weakness, distal motor neuropathy | Distal muscle weakness of legs | Distal muscle weakness and atrophy in LL | Distal axonal motor neuropathy in LL and UL | Distal axonal motor neuropathy in LL and UL | 5/9 distal weakness and atrophy on LL and UL, 3/9 distal weakness on LL, 1/9 mild weakness on hands, 1/9 distal sensory loss on LL and UL, 4/9 distal sensory loss on LL | 1/2 distal weakness and atrophy on LL and UL, 1/2 distal weakness on LL |
| Central nervous system | Cerebellar, extrapyramidal and pyramidal involvement, learning difficulties | Cerebellar involvement | No | Learning difficulties | Pyramidal involvement | ||||
| Autonomic dysfunction | Diarrhea, sinus bradycardia with individual supraventricular extrasystoles | Diarrhea, hyperhidrosis, paroxysmal atrial undulation—radiofrequency ablation, cardiovagal dysfunction | No | Orthostatic hypotension, temperature instability | Diarrhea, syncopes, bradycardia, orthostatic hypotension, cold-induced acrocyanosis and heat- induced acral erythema, erectile dysfunction | Diarrhea, hyperhidrosis, small fiber neuropathy, retrograde ejaculation with anejaculation | Diarrhea, hyperhidrosis, small fiber neuropathy, retrograde ejaculation with anejaculation | ||
| Dysmorphic features | Coarse hair, long face, high arched palate | No | No | High forehead, large ears | Coarse hair, widows pick, sloping forehead, prominent eyebrows, anteverted nares, malar hypoplasia, micrognatia, long and thin face, long and stocky neck | ||||
| Skeletal, connective and cutaneous tissue abnormalities | Occipital horn, kyphoscoliosis, protruding shoulder blades | Occipital horn, cam-type impingement of femur’s neck | No | Occipital horn, pectus excavatum, hypermobile joints, lax skin | Occipital horn, joint laxity, thin skin | Occipital protuberance, anterior prominence of the hyoid bone, asymmetry of clavicles, limited elbow extension | Occipital protuberance, anterior prominence of the hyoid bone, asymmetry of clavicles, limited elbow extension, extensible and redundant skin | ||
| Serum copper (normal range) | 65.5 μg/dL (70–140) | 54.2 μg/dL (70–140) | N/A | 313 mg/L (620–1544) | 11 μmol/L (>12.5) | 47–63 μg/dL (70–140) | 63–69 μg/dL (70–140) | 12.5–15.4 nmol/L (11–23.6) | 13.4–15.3 nmol/L (11–23.6) |
| Serum ceruloplasmin (normal range) | 19 mg/dL (20–60) | 18 mg/dL (20–60) | N/A | 103 mg/L 170–460) | 1.61 μmol/L (2) | 14.7–19.1 mg/dL (20–60) | 19.8–20 mg/dL (20–60) | N/A | N/A |
| EMG | Axonal motor neuropathy | Axonal motor neuropathy | Axonal motor neuropathy | Axonal motor neuropathy | Axonal motor neuropathy | Axonal motor neuropathy | Axonal motor neuropathy | 7/9 Axonal motor neuropathy | 1/9 Axonal motor neuropathy |
| Brain MRI/CT | Occipital horn, cerebral and cerebellar atrophy | Occipital horn, mild frontal cerebral atrophy | Normal | Elongated and tortuous anterior and middle cerebral arteries | |||||
| EEG | Intermittent theta | Normal | |||||||
| Others | Chronic urinary tract infections | Myopia | Malignant hyperthermia during surgery | dHMN worsened while treated with copper replacement therapy | Pollakisuria, sudden death at the age of 46 ys | ||||
dHMN—distal hereditary motor neuropathy, HC—head circumference, LL—lower limbs, UL—upper limbs.
Neurological evaluation during childhood revealed classical signs of motor neuropathy, including bilateral foot drop, symmetrical distal wasting and weakness in the upper and lower limbs with Achilles areflexia. At age of 22 years, additional neurological findings were noted, including proximal muscle weakness and signs of cerebellar, extrapyramidal and pyramidal system involvement (temporal and masseter muscle weakness, knee flexion and extension weakness, saccade eye movements, mild hypomimia, torticollis, axial and upper limb rigidity, exaggerated superficial and deep abdominal and patellar reflexes). His disease slowly progressed, with the development of balance difficulties and a wider gait in recent years. At his last evaluation, at the age of 34 years, he was living with his mother and working daily in a regional occupational activity center. Mild intention tremor and ataxic gait were additionally noticed. He had no significant joint contractures, joint hyperlaxity or palpable occipital horns.
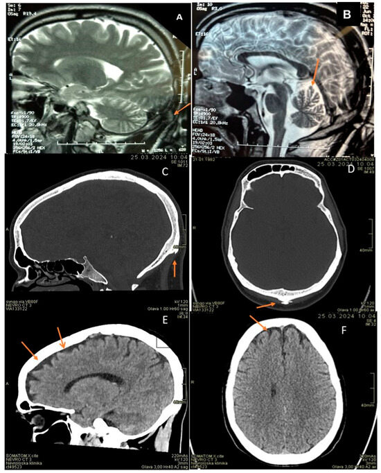
Investigations revealed EMG consistent with axonal motor neuropathy (Table 2). In EEG, posterior background activity was slower due to intermittent theta (6 Hz) frequency. His head MRI showed occipital horn and mild cerebral and more pronounced cerebellar atrophy (Figure 1). Additionally, sinus bradycardia with individual supraventricular extrasystoles was noticed on ECG and spirometry showed moderate obstructive-restrictive ventilatory abnormalities. His serum copper and ceruloplasmin levels were slightly reduced (Table 1).
Table 2.
Electrophysiological data in patients with ATP7A-related distal hereditary motor neuropathy.
Figure 1.
(A): patient 1, brain MRI, T2 sagital image: occipital horn (orange arrow). (B): patient 1, brain MRI, T2 sagittal image: dilated frontoparietal and cerebellar sulci (orange arrow). (C,D): patient 2, head CT, bone window, sagital and axial planes: occipital horn (orange arrows). (E,F): patient 2, head CT, soft tissue window, sagittal and axial planes. Mildly dilated frontal sulci (orange arrows).
3.1.2. Patient 2
The proband’s elder brother presented with frequent diarrhea and hyperhydrosis, first noted at the age of 5 years. In high school, at the age of 16 years, he experienced difficulties with long-distance running. Since the age of 27 years, he has had occasional muscle cramps in his legs. At the age of 36 years, he noticed hand tremors and clumsiness in the hands. At the age of 39 years, he was diagnosed with atrial fibrillation and started on anticoagulant therapy and a beta-blocker. Two years later, he underwent radiofrequency ablation. Since the age of 40 years, his gait problems have progressed significantly. At the time of examination, at the age of 42 years, he was no longer able to stand on his toes or heels, nor could he run. He graduated from a secondary school of economics and works as store cashier.
Neurological examination revealed slight muscle wasting and weakness (MRC 4/5) in distal parts of upper limbs with normal myotatic reflexes. On lower limbs, he had muscle wasting and weakness distally from the knees with Achilles areflexia. He was unable to stand up from a squat without support, was not able to stand on toes or heels and had a peroneal gait. Additionally, he had slight gaze dysmetria, intension tremor, and lower limb ataxia. He had no sensory loss, no pyramidal or extrapyramidal abnormalities, no micturition or sexual dysfunction, no cognitive decline, and no dysmorphic features.
Nerve conduction studies showed signs of axonal motor neuropathy (Figure 1). EEG was normal. His head CT scan showed occipital horn and mild frontal cerebral atrophy (Figure 1). An electrocardiogram performed after radiofrequency ablation showed sinus rhythm. Spirometry showed mild obstructive ventilatory abnormalities. He had myopia (−6 OD and −6.5 OS). His serum copper and ceruloplasmin levels were slightly reduced (Table 1).
3.1.3. Family History
Family history was unremarkable. The patients had no children and no maternal uncles, and all six maternal male cousins were healthy (Supplement Figure S1). The mother did not report any health issues and declined genetic testing.
3.2. Genetic Testing
Exome sequencing in the patients identified a novel hemizygous splice-site variant (NM_000052.7:c.1544-2A>T) in ATP7A. Several lines of evidence support the pathogenic nature of this variant, including in silico algorithms for prediction of splicing effect (combined prediction of MaxEntScan and PWM algorithms in scSNV database was 0.99, which indicates a high likelihood of a splice defect, and Human Splice Finder 3.1 predicted that the variant most probably affects splicing). Furthermore, there is a report of another splice-site variant affecting the neighboring nucleotide in the same acceptor site, which was classified as (likely) pathogenic in association with ATP7A-related phenotypes (c.1544-1G>A, ClinVarID:210394). The variant is also absent in worldwide populations (gnomAD).
The results of RNA analysis indicated that the splice variant results in creation of two major aberrant transcript isoforms: (1) a transcript isoform with skipping of exon 6, which is predicted to result in the loss of the reading frame and likely leading to the non-sense mediated decay of this isoform, and (2) a transcript isoform with 5′ truncation of 42 nucleotides from the exon 6 sequence, which is predicted to result in an in-frame deletion of 14 amino acid residues in the final protein product (Figure 2). Based on the coverage of detected aberrant junctions, we estimate that the exon skipping and in-frame deletion isoforms were present in 44.7% and 55.3% of transcripts, respectively. No presence of residual physiological isoform was detected. Considering that the deletion of 14 amino acid residues in the latter isoform does not affect a functionally significant domain of the ATP7A protein, it is possible that this isoform preserves some residual functionality.
Figure 2.
Results of the RNA splice analysis. Panel (A) shows the Sashimi plots of exon junctions, adjacent to the splice variant site. The profile of splice junctions in patient 1 (marked in red) versus a normal control (marked in blue) indicates creation of a novel splice junction between exons 5 and 7 in a proportion of reads, which suggests skipping of exon 6. The panel (B) shows a zoomed coverage profile of exon 6 in the patient (marked in red) versus a normal control (marked in blue). The 5′ prime region of exon 6 is deleted in all transcripts where this exon has not been skipped. This deletion is predicted to result in an in-frame deletion of 14 amino acids in the ATP7A protein.
Using the available evidence favoring pathogenicity of the variant and the results of our functional assessment, we classify this variant as pathogenic according to the American College of Medical Genetics and Genomics (ACMG) guideline (PVS1, PS3, PM2, and PP4) [16]. No other likely pathogenic or pathogenic variants were observed in the exome sequencing data.
4. Discussion
Among the phenotypes associated with pathogenic ATP7A variants, MD and OHS are the most frequently reported, while ATP7A-related distal hereditary motor neuropathy (dHMN) has only been reported in six families to date [8,10,11,12,14,15].
dHMN was initially recognized as a distinctive clinical presentation in association with two missense ATP7A variants (c.4156C>T, p.P1386S and c.2981C>T, p.T994I) in males from two families who presented with late, often adult-onset distal motor neuropathy showing no other clinical features and who had normal levels of serum copper [8,15]. As seen in some family members from these original pedigrees—and later supported by further reports—dHMN may begin as early as childhood [8,14,15]. However, progression is usually slow, and diagnosis is often delayed until adulthood, as in our two patients. The condition frequently presents with foot deformities and is often accompanied by absent or diminished Achilles tendon reflexes, with upper limb involvement developing in later stages. The electrophysiological findings, summarized in Table 2, showed reduced compound motor action potentials, normal or only mildly decreased motor conduction velocities, and preserved sensory nerve conduction parameters. Serum copper levels were mildly reduced in most patients [10,11,12,14], though within the normal range in some [8], while serum ceruloplasmin level was generally slightly below the lower limit of normal [10,11,12,14].
Although MD, OHS and dHMN are considered distinct phenotypes within the spectrum of ATP7A-related copper transport disorders, phenotypic overlap between MD and OHS has long been recognized [17]. Only recently, however, has overlap between OHS and dHMN been described [11]. To date, four individuals with combined features of OHS and dHMN have been reported in the literature [10,11,12], and both of our patients also exhibited this phenotype. In the majority of patients (5 of 6), clinical symptoms were noted in early childhood, with chronic diarrhea reported as the first symptom in half of them [8,9] and current study. As the condition progressed, additional signs of autonomic nervous system dysfunction emerged (e.g., temperature instability, orthostatic hypotension, syncope, retrograde ejaculation), followed by symptoms consistent with dHMN. An occipital horn was confirmed by imaging in four reported patients, while an occipital protuberance was described in two others. One of the patients reported here also exhibited mild global developmental delay in early childhood and central neurodegeneration, which, with age, led to clinical signs of cerebellar, extrapyramidal and pyramidal system involvement and mild intellectual disability—clinical manifestations not previously reported in patients with ATP7A-related dHMN. All patients had in common that these signs were generally unrecognized as part of an ATP7A-related disorder, with diagnosis typically delayed by nearly 30 years after symptom onset.
Although a clear genotype–phenotype correlation has not been established, truncating variants (nonsense or frameshift variants, as well as large deletions or insertions) correlating with an absence of functional protein are largely associated with the severe phenotype of classic MD, while variants that permits some residual ATP7A protein activity (including some splice-site, intronic, and missense variants) result in atypical MD or OHS [7,13]. In the first report of patients with dHMN, two different missense ATP7A variants in transmembrane domains were described (Table 1; [6]), inducing abnormal ATP7A intracellular trafficking and resulting in excessive ATP7A localization at the plasma membrane [9]. Subsequently, a patient with an overlapping OHS and dHMN phenotype and a C-terminal truncating ATP7A variant was reported (Table 1; [12]). Late truncating ATP7A variants, leading to a truncated ATP7A predominantly localized at the plasma membrane, have previously already been associated with OHS phenotype, but dHMN phenotype has not been reported in those patients [18,19]. While most reported ATP7A-related dHMN cases have involved missense variants (five of six families) and only one late-truncating variant, the brothers in this report were found to have a novel splice-site variant (NM_000052.7:c.1544-2A>T), thereby expanding the known mutational spectrum associated with the overlapping OHS/dHMN phenotype. An RNA analysis in the patient revealed the presence of two major aberrant transcript isoforms: one isoform likely leads to the non-sense mediated decay, and the second isoform might lead to a protein product with some residual functionality preserved as it does not lead to premature termination and consequent nonsense-mediated decay. Interestingly, a splice-site variant affecting the adjacent nucleotide (c.1544-1G>A) has previously been reported in the ClinVar database (ID: 210394) in two individuals with ATP7A-related phenotypes—one diagnosed with MD and the other with dHMN. In our two siblings, the severity of the dHMN phenotype was comparable; however, their neurodevelopmental outcomes differed. The younger brother exhibited developmental delay in early childhood and learning difficulties, whereas the older brother maintained normal cognitive function. Inter- and intrafamilial variability has been previously documented in ATP7A-related disorders [20]. As recently reviewed by Harkness et al. (2024) [21], phenotypic variability among individuals with ATP7A splice-site variants likely results from multiple contributing mechanisms, including the inherent leakiness of splicing and factors influencing the regulation of ATP7A expression.
5. Conclusions
The clinical presentation of individuals with overlapping OHS/dHMN phenotype can be nonspecific in the early stages, often resulting in diagnostic delays of several decades. Dysautonomia is frequently the first and most prominent symptom, with signs of peripheral neuropathy typically emerging later in the disease course. In cases of recurrent unexplained childhood diarrhea, clinicians should consider ATP7A-related disorders in the differential diagnosis and proceed with further investigations—such as radiological imaging to identify pathognomonic occipital horns, electrophysiological studies to detect peripheral neuropathy, and genetic testing for molecular confirmation. The mutational spectrum associated with the OHS/dHMN phenotype is broader than previously recognized and includes not only missense and late truncating variants but also ATP7A splice-site variants. As illustrated by the present family and others, detailed clinical descriptions of individuals with novel ATP7A variants contribute to a better understanding of genotype–phenotype correlations within this broad disease spectrum.
Supplementary Materials
The following supporting information can be downloaded at: https://www.mdpi.com/article/10.3390/genes16091077/s1, Figure S1: Pedigree of the family with two affected brothers.
Author Contributions
Conceptualization, K.W. and L.L.; methodology, K.W., M.Š.P., A.M., N.P.M. and L.L.; validation, L.L.; formal analysis, K.W., A.M. and L.L.; investigation, K.W., M.Š.P., M.J., A.M., N.P.M. and L.L.; resources, L.L.; writing—original draft preparation, K.W., M.Š.P. and L.L.; writing—review and editing, K.W., M.Š.P., M.J., A.M., N.P.M., B.P. and L.L.; supervision, L.L.; funding acquisition, K.W., A.M. and L.L. All authors have read and agreed to the published version of the manuscript.
Funding
The study was supported by the Republic of Slovenia Research Agency, Grant No. P3-0338, J3-9280, V3-2359 and P3-0326.
Institutional Review Board Statement
The study was conducted in accordance with the Declaration of Helsinki. This manuscript presents a review and retrospective analysis of two patients who underwent standard diagnostic procedures. Ethical review and approval were not required, as no research interventions were conducted.
Informed Consent Statement
Informed consent was obtained from all subjects involved in the study according to the regulations of University Medical Center Ljubljana. Written informed consent has been obtained from the patients to publish this paper.
Data Availability Statement
The original contributions presented in this study are included in the article. Further inquiries can be directed to the corresponding author.
Acknowledgments
The authors would like to thank the patients and their family for kindly consenting to this publication.
Conflicts of Interest
The authors declare no conflicts of interest.
References
- Kaler, S.G. ATP7A-Related Copper Transport Disorders. In GeneReviews®; Adam, M.P., Ardinger, H.H., Pagon, R.A., Wallace, S.E., Bean, L.J., Stephens, K., Eds.; University of Washington: Seattle, WA, USA, 1993. [Google Scholar]
- Gourdon, P.; Liu, X.-Y.; Skjørringe, T.; Morth, J.P.; Møller, L.B.; Pedersen, B.P.; Nissen, P. Crystal structure of a copper-transporting PIB-type ATPase. Nature 2011, 475, 59–64. [Google Scholar] [CrossRef] [PubMed]
- Lutsenko, S.; Roy, S.; Tsvetkov, P. Mammalian copper homeostasis: Physiological roles and molecular mechanisms. Physiol. Rev. 2025, 105, 441–491. [Google Scholar] [CrossRef] [PubMed]
- Tümer, Z.; Møller, L.B. Menkes disease. Eur. J. Hum. Genet. 2010, 18, 511–518. [Google Scholar] [CrossRef] [PubMed]
- Tsukahara, M.; Imaizumi, K.; Kawai, S.; Kajii, T. Occipital horn syndrome: Report of a patient and review of the literature. Clin. Genet. 1994, 45, 32–35. [Google Scholar] [CrossRef] [PubMed]
- Tümer, Z. An overview and update of ATP7A mutations leading to Menkes disease and occipital horn syndrome. Hum. Mutat. 2013, 34, 417–429. [Google Scholar] [CrossRef] [PubMed]
- De Feyter, S.; Beyens, A.; Callewaert, B. ATP7A-related copper transport disorders: A systematic review and definition of the clinical subtypes. J. Inherit. Metab. Dis. 2023, 46, 163–173. [Google Scholar] [CrossRef]
- Kennerson, M.L.; Nicholson, G.A.; Kaler, S.G.; Kowalski, B.; Mercer, J.F.B.; Tang, J.; Llanos, R.M.; Chu, S.; Takata, R.I.; Speck-Martins, C.E.; et al. Missense Mutations in the Copper Transporter Gene ATP7A Cause X-Linked Distal Hereditary Motor Neuropathy. Am. J. Hum. Genet. 2010, 86, 343–352. [Google Scholar] [CrossRef] [PubMed]
- Yi, L.; Kaler, S. ATP7A trafficking and mechanisms underlying the distal motor neuropathy induced by mutations in ATP7A. Ann. N. Y. Acad. Sci. 2014, 1314, 49–54. [Google Scholar] [CrossRef] [PubMed]
- Gualandi, F.; Sette, E.; Fortunato, F.; Bigoni, S.; De Grandis, D.; Scotton, C.; Selvatici, R.; Neri, M.; Incensi, A.; Liguori, R.; et al. Report of a novel ATP7A mutation causing distal motor neuropathy. Neuromuscul. Disord. 2019, 29, 776–785. [Google Scholar] [CrossRef] [PubMed]
- Fradin, M.; Lavillaureix, A.; Jaillard, S.; Quelin, C.; Sauleau, P.; Minot, M.-C.; Menard, D.; Edan, G.; Ceballos, I.; Treguier, C.; et al. ATP7A mutation with occipital horns and distal motor neuropathy: A continuum. Eur. J. Med. Genet. 2020, 63, 104087. [Google Scholar] [CrossRef] [PubMed]
- Natera-de Benito, D.; Sola, A.; Sousa, P.R.; Boronat, S.; Expósito-Escudero, J.; Carrera-García, L.; Ortez, C.; Jou, C.; Muchart, J.; Rebollo, M.; et al. Copper Toxicity Associated with an ATP7A-Related Complex Phenotype. Pediatr. Neurol. 2021, 119, 40–44. [Google Scholar] [CrossRef]
- Mhaske, A.; Dileep, K.V.; Kumar, M.; Poojary, M.; Pandhare, K.; Zhang, K.Y.J.; Scaria, V.; Binukumar, B. ATP7A Clinical Genetics Resource—A comprehensive clinically annotated database and resource for genetic variants in ATP7A gene. Comput. Struct. Biotechnol. J. 2020, 18, 2347–2356. [Google Scholar] [CrossRef]
- Shibuya, M.; Yaoita, H.; Kodama, K.; Okubo, Y.; Endo, W.; Inui, T.; Togashi, N.; Takayama, J.; Tamiya, G.; Kikuchi, A.; et al. A patient with early-onset SMAX3 and a novel variant of ATP7A. Brain Dev. 2022, 44, 63–67. [Google Scholar] [CrossRef] [PubMed]
- Takata, R.I. A new locus for recessive distal spinal muscular atrophy at Xq13.1-q21. J. Med. Genet. 2004, 41, 224–229. [Google Scholar] [CrossRef] [PubMed][Green Version]
- Richards, S.; Aziz, N.; Bale, S.; Bick, D.; Das, S.; Gastier-Foster, J.; Grody, W.W.; Hegde, M.; Lyon, E.; Spector, E.; et al. Standards and guidelines for the interpretation of sequence variants: A joint consensus recommendation of the American College of Medical Genetics and Genomics and the Association for Molecular Pathology. Genet. Med. 2015, 17, 405–424. [Google Scholar] [CrossRef] [PubMed]
- Proud, V.K.; Mussell, H.G.; Kaler, S.G.; Young, D.W.; Percy, A.K. Distinctive Menkes disease variant with occipital horns: Delineation of natural history and clinical phenotype. Am. J. Med. Genet. 1996, 65, 44–51. [Google Scholar] [CrossRef]
- Bonati, M.T.; Verde, F.; Hladnik, U.; Cattelan, P.; Campana, L.; Castronovo, C.; Ticozzi, N.; Maderna, L.; Colombrita, C.; Papa, S.; et al. A novel nonsense ATP7A pathogenic variant in a family exhibiting a variable occipital horn syndrome phenotype. Mol. Genet. Metab. Rep. 2017, 13, 14–17. [Google Scholar] [CrossRef] [PubMed]
- Dagenais, S.L.; Adam, A.N.; Innis, J.W.; Glover, T.W. A Novel Frameshift Mutation in Exon 23 of ATP7A (MNK) Results in Occipital Horn Syndrome and Not in Menkes Disease. Am. J. Hum. Genet. 2001, 69, 420–427. [Google Scholar] [CrossRef]
- Møller, L.B.; Tümer, Z.; Lund, C.; Petersen, C.; Cole, T.; Hanusch, R.; Seidel, J.; Jensen, L.R.; Horn, N. Similar Splice-Site Mutations of the ATP7A Gene Lead to Different Phenotypes: Classical Menkes Disease or Occipital Horn Syndrome. Am. J. Hum. Genet. 2000, 66, 1211–1220. [Google Scholar] [CrossRef]
- Harkness, J.R.; Thomas, H.B.; Urquhart, J.E.; Jamieson, P.; O’Keefe, R.T.; Kingston, H.M.; Deshpande, C.; Newman, W.G. Deep intronic variant causes aberrant splicing of ATP7A in a family with a variable occipital horn syndrome phenotype. Eur. J. Med. Genet. 2024, 67, 104907. [Google Scholar] [CrossRef]
Disclaimer/Publisher’s Note: The statements, opinions and data contained in all publications are solely those of the individual author(s) and contributor(s) and not of MDPI and/or the editor(s). MDPI and/or the editor(s) disclaim responsibility for any injury to people or property resulting from any ideas, methods, instructions or products referred to in the content. |
© 2025 by the authors. Licensee MDPI, Basel, Switzerland. This article is an open access article distributed under the terms and conditions of the Creative Commons Attribution (CC BY) license (https://creativecommons.org/licenses/by/4.0/).