Ovine KRT81 Variants and Their Influence on Selected Wool Traits of Commercial Value
Abstract
1. Introduction
2. Materials and Methods
2.1. Sheep Blood and Wool Samples
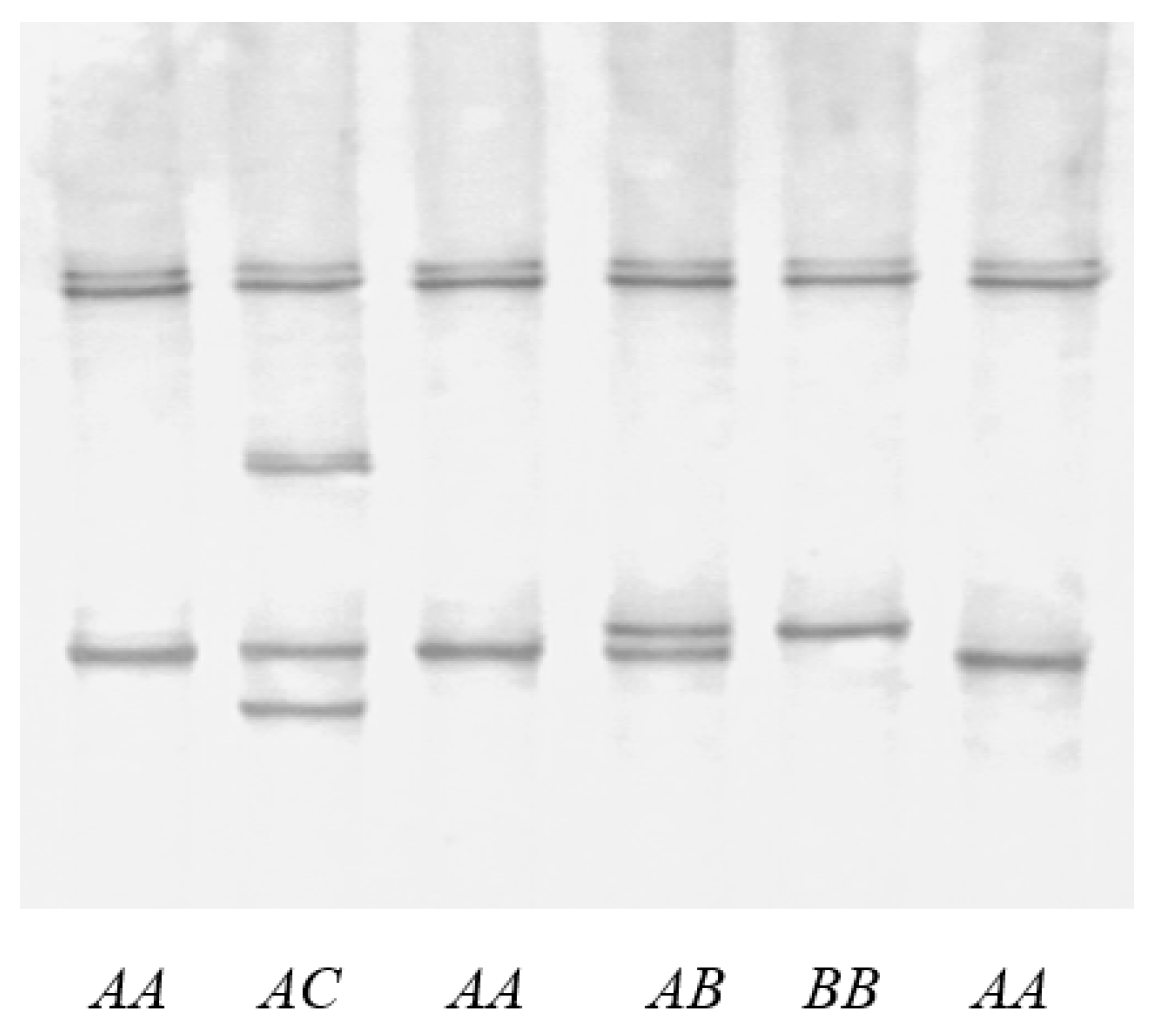
2.2. PCR–Single Strand Conformational Polymorphism (PCR-SSCP) Analysis
2.3. DNA Sequencing and Sequence Analyses
2.4. Statistical Analyses
3. Results
4. Discussion
5. Conclusions
Author Contributions
Funding
Institutional Review Board Statement
Informed Consent Statement
Data Availability Statement
Acknowledgments
Conflicts of Interest
References
- Powell, B.C.; Rogers, G.E. The role of keratin proteins and their genes in the growth, structure and properties of hair. EXS 1997, 78, 59–148. [Google Scholar]
- Wilson, B.W.; Edwards, K.J.; Sleigh, M.J.; Byrne, C.R.; Ward, K.A. Complete sequence of a type-I microfibrillar wool keratin gene. Gene 1988, 73, 21–31. [Google Scholar] [CrossRef]
- Powell, B.; Crocker, L.; Rogers, G. Hair follicle differentiation: Expression, structure and evolutionary conservation of the hair type II keratin intermediate filament gene family. Development 1992, 114, 417–433. [Google Scholar] [CrossRef]
- Powell, B.C.; Crocker, L.A.; Rogers, G.E. Complete sequence of a hair-like intermediate filament type II keratin gene. DNA Seq. 1993, 3, 401–405. [Google Scholar] [CrossRef]
- Yu, Z.; Wildermoth, J.E.; Wallace, O.A.; Gordon, S.W.; Maqbool, N.J.; Maclean, P.H.; Nixon, A.J.; Pearson, A.J. Annotation of sheep keratin intermediate filament genes and their patterns of expression. Exp. Dermatol. 2011, 20, 582–588. [Google Scholar] [CrossRef]
- Chai, W.; Zhou, H.; Gong, H.; Wang, J.; Luo, Y.; Hickford, J.G. Nucleotide variation in the ovine KRT31 promoter region and its association with variation in wool traits in Merino-cross lambs. J. Agric. Sci. 2019, 157, 182–188. [Google Scholar] [CrossRef]
- Chai, W.; Zhou, H.; Gong, H.; Hickford, J.G. Variation in the ovine KRT34 promoter region affects wool traits. Small Rumin. Res. 2022, 206, 106586. [Google Scholar] [CrossRef]
- Sulayman, A.; Tursun, M.; Sulaiman, Y.; Huang, X.; Tian, K.; Tian, Y.; Xu, X.; Fu, X.; Mamat, A.; Tulafu, H. Association analysis of polymorphisms in six keratin genes with wool traits in sheep. Asian-Australas. J. Anim. Sci. 2018, 31, 775–783. [Google Scholar] [CrossRef]
- Chai, W.; Zhou, H.; Forrest, R.H.J.; Gong, H.; Hodge, S.; Hickford, J.G.H. Polymorphism of KRT83 and its association with selected wool traits in Merino-cross lambs. Small Rumin. Res. 2017, 155, 6–11. [Google Scholar] [CrossRef]
- Yu, Z.; Gordon, S.W.; Nixon, A.J.; Bawden, C.S.; Rogers, M.A.; Wildermoth, J.E.; Maqbool, N.J.; Pearson, A.J. Expression patterns of keratin intermediate filament and keratin associated protein genes in wool follicles. Differentiation 2009, 77, 307–316. [Google Scholar] [CrossRef]
- Yu, Z.D.; Gordon, S.W.; Wildermoth, E.E.; Wallance, O.A.M.; Nicon, A.J.; Pearson, A.J. Identification of novel wool keratin intermediate filament genes in sheep skin. In Proceedings of the New Zealand Society of Animal Production, Palmerston North, New Zealand, Jun 2010; Volume 70, pp. 222–228. [Google Scholar]
- Zhou, H.; Hickford, J.G.H.; Fang, Q. A two-step procedure for extracting genomic DNA from dried blood spots on filter paper for polymerase chain reaction amplification. Anal. Biochem. 2006, 354, 159–161. [Google Scholar] [CrossRef]
- Byun, S.O.; Fang, Q.; Zhou, H.; Hickford, J.G.H. An effective method for silver-staining DNA in large numbers of polyacrylamide gels. Anal. Biochem. 2009, 385, 174–175. [Google Scholar] [CrossRef]
- Gong, H.; Zhou, H.; Plowman, J.E.; Dyer, J.M.; Hickford, J.G. Analysis of variation in the ovine ultra-high sulphur keratin-associated protein KAP5-4 gene using PCR-SSCP technique. Electrophoresis 2010, 31, 3545–3547. [Google Scholar] [CrossRef]
- Breathnach, R.; Chambon, P. Organization and expression of eucaryotic split genes coding for proteins. Annu. Rev. Biochem. 1981, 50, 349–383. [Google Scholar] [CrossRef]
- Limesand, S.; Anthony, R.V. Novel activator protein-2α splice-variants function as transactivators of the ovine placemtal lactogen gene. Eur. J. Biochem. 2001, 268, 2390–2401. [Google Scholar] [CrossRef]
- Yu, X.; Li, S.; Zhou, H.; Zhao, F.; Hu, J.; Wang, J.; Liu, X.; Li, M.; Zhao, Z.; Hao, Z. Spatiotemporal expression and haplotypes identification of KRT84 gene and their association with wool traits in Gansu Alpine fine-wool sheep. Genes 2024, 15, 248. [Google Scholar] [CrossRef]
- Singh, H.; Gahlot, G.C.; Narula, H.K.; Pannu, U.; Ashraf, M.; Chopra, A. Polymorphism of keratin intermediate filament type I gene and its association with wool quality traits in Magra sheep. Indian J. Small Rumin. 2023, 29, 36–39. [Google Scholar] [CrossRef]
- Zhou, H.; Gong, H.; Wang, J.; Luo, Y.; Li, S.; Tao, J.; Hickford, J.G. The complexity of the ovine and caprine keratin-associated protein genes. Int. J. Mol. Sci. 2021, 22, 12838. [Google Scholar] [CrossRef]
- Kumar, R.; Meena, A.S.; Chopra, A.; Kumar, A. Keratin gene expression differences in wool follicles and sequence diversity of high glycine-tyrosine keratin-associated proteins (KAPs) in Magra sheep of India. J. Nat. Fibers 2020, 17, 1257–1263. [Google Scholar] [CrossRef]
- Zhou, H.; Li, W.; Bai, L.; Wang, J.; Luo, Y.; Li, S.; Hickford, J.G. Ovine KRTAP36-2: A new keratin-associated protein gene related to variation in wool yield. Genes 2023, 14, 2045. [Google Scholar] [CrossRef]
- Gong, H.; Zhou, H.; Hodge, S.; Dyer, J.M.; Hickford, J.G. Association of wool traits with variation in the ovine KAP1-2 gene in Merino cross lambs. Small Rumin. Res. 2015, 124, 24–29. [Google Scholar] [CrossRef]
- Sallam, A.M.; Gad-Allah, A.A.; Albetar, E.M. Genetic variation in the ovine KAP22-1 gene and its effect on wool traits in Egyptian sheep. Arch. Anim. Breed. 2022, 65, 293–300. [Google Scholar] [CrossRef]
- Gong, H.; Zhou, H.; Bai, L.; Li, W.; Li, S.; Wang, J.; Luo, Y.; Hickford, J.G. Associations between variation in the ovine high glycine-tyrosine keratin-associated protein gene KRTAP20-1 and wool traits. J. Anim. Sci. 2019, 97, 587–595. [Google Scholar] [CrossRef]


| Trait 1 | Variant 2 | Mean ± SE 3 | p 4 | |
|---|---|---|---|---|
| Present | Absent | |||
| GFW (kg) | A | 2.3 ± 0.03 | 2.5 ± 0.05 | 0.061 |
| B | 2.4 ± 0.03 | 2.4 ± 0.04 | 0.187 | |
| C | 2.6 ± 0.07 | 2.4 ± 0.03 | 0.006 | |
| CFW (kg) | A | 1.7 ± 0.02 | 1.8 ± 0.04 | 0.363 |
| B | 1.7 ± 0.03 | 1.8 ± 0.03 | 0.045 | |
| C | 1.9 ± 0.05 | 1.7 ± 0.02 | 0.023 | |
| Yield (%) | A | 72.8 ± 0.44 | 71.4 ± 0.79 | 0.081 |
| B | 72.1 ± 0.50 | 73.2 ± 0.54 | 0.067 | |
| C | 72.3 ± 1.00 | 72.6 ± 0.44 | 0.777 | |
| MSL (mm) | A | 83.5 ± 1.00 | 82.0 ± 1.71 | 0.413 |
| B | 82.9 ± 1.11 | 83.6 ± 1.19 | 0.590 | |
| C | 83.0 ± 2.18 | 83.2 ± 0.97 | 0.899 | |
| MSS (N/ktex) | A | 23.6 ± 0.55 | 23.2 ± 0.98 | 0.753 |
| B | 23.3 ± 0.62 | 23.6 ± 0.68 | 0.751 | |
| C | 23.8 ± 1.24 | 23.4 ± 0.55 | 0.793 | |
| MFD (µm) | A | 19.5 ± 0.15 | 19.7 ± 0.25 | 0.442 |
| B | 19.6 ± 0.16 | 19.4 ± 0.17 | 0.237 | |
| C | 19.8 ± 0.32 | 19.5 ± 0.14 | 0.303 | |
| FDSD (µm) | A | 4.2 ± 0.05 | 4.1 ± 0.08 | 0.380 |
| B | 4.1 ± 0.05 | 4.1 ± 0.06 | 0.975 | |
| C | 4.3 ± 0.11 | 4.1 ± 0.05 | 0.118 | |
| CVFD (%) | A | 21.0 ± 0.19 | 20.6 ± 0.33 | 0.173 |
| B | 21.2 ± 0.19 | 21.3 ± 0.20 | 0.563 | |
| C | 21.8 ± 0.38 | 21.2 ± 0.16 | 0.131 | |
| MFC (o/mm) | A | 87.9 ± 1.08 | 89.5 ± 1.91 | 0.398 |
| B | 89.0 ± 1.22 | 87.0 ± 1.32 | 0.190 | |
| C | 86.4 ± 2.44 | 88.4 ± 1.07 | 0.435 | |
| PF (%) | A | 2.5 ± 0.24 | 2.3 ± 0.42 | 0.690 |
| B | 2.5 ± 0.27 | 2.4 ± 0.29 | 0.658 | |
| C | 3.5 ± 0.58 | 2.5 ± 0.26 | 0.102 | |
| Trait 1 | Mean ± SE 2 | p 3 | |||
|---|---|---|---|---|---|
| AA (n = 124) | AB (n = 158) | AC (n = 39) | BB (n = 68) | ||
| GFW (kg) | 2.2 ± 0.10 ab | 2.2 ± 0.10 b | 2.4 ± 0.11 a | 2.3 ± 0.10 a | 0.004 |
| CFW (kg) | 1.7 ± 0.08 ab | 1.6 ± 0.08 b | 1.8 ± 0.09 a | 1.7 ± 0.09 ab | 0.031 |
| Yield (%) | 76.4 ± 1.55 | 75.3 ± 1.51 | 75.4 ± 1.66 | 74.2 ± 1.63 | 0.095 |
| MSL (mm) | 85.5 ± 3.02 | 85.2 ± 2.93 | 84.4 ± 3.23 | 83.9 ± 3.17 | 0.354 |
| MSS (N/ktex) | 23.8 ± 1.93 | 23.6 ± 1.88 | 23.7 ± 2.07 | 23.1 ± 2.03 | 0.932 |
| MFD (µm) | 19.1 ± 0.46 | 19.3 ± 0.45 | 19.7 ± 0.49 | 19.4 ± 0.48 | 0.354 |
| FDSD (µm) | 4.0 ± 0.16 | 4.11 ± 0.16 | 4.3 ± 0.17 | 4.0 ± 0.17 | 0.163 |
| CVFD (%) | 21.0 ± 0.59 | 21.2 ± 0.57 | 21.7 ± 0.63 | 20.7 ± 0.61 | 0.166 |
| MFC (°/mm) | 88.8 ± 3.78 | 90.2 ± 3.67 | 87.8 ± 4.04 | 91.5 ± 3.96 | 0.520 |
| PF (%) | 1.7 ± 0.84 | 2.3 ± 0.82 | 3.2 ± 0.90 | 2.0 ± 0.88 | 0.113 |
Disclaimer/Publisher’s Note: The statements, opinions and data contained in all publications are solely those of the individual author(s) and contributor(s) and not of MDPI and/or the editor(s). MDPI and/or the editor(s) disclaim responsibility for any injury to people or property resulting from any ideas, methods, instructions or products referred to in the content. |
© 2024 by the authors. Licensee MDPI, Basel, Switzerland. This article is an open access article distributed under the terms and conditions of the Creative Commons Attribution (CC BY) license (https://creativecommons.org/licenses/by/4.0/).
Share and Cite
Li, W.; Bai, L.; Zhou, H.; Zhang, Z.; Ma, Z.; Wu, G.; Luo, Y.; Tanner, J.; Hickford, J.G.H. Ovine KRT81 Variants and Their Influence on Selected Wool Traits of Commercial Value. Genes 2024, 15, 681. https://doi.org/10.3390/genes15060681
Li W, Bai L, Zhou H, Zhang Z, Ma Z, Wu G, Luo Y, Tanner J, Hickford JGH. Ovine KRT81 Variants and Their Influence on Selected Wool Traits of Commercial Value. Genes. 2024; 15(6):681. https://doi.org/10.3390/genes15060681
Chicago/Turabian StyleLi, Wenhao, Lingrong Bai, Huitong Zhou, Zhihe Zhang, Zhijie Ma, Guofang Wu, Yuzhu Luo, Jasmine Tanner, and Jon G. H. Hickford. 2024. "Ovine KRT81 Variants and Their Influence on Selected Wool Traits of Commercial Value" Genes 15, no. 6: 681. https://doi.org/10.3390/genes15060681
APA StyleLi, W., Bai, L., Zhou, H., Zhang, Z., Ma, Z., Wu, G., Luo, Y., Tanner, J., & Hickford, J. G. H. (2024). Ovine KRT81 Variants and Their Influence on Selected Wool Traits of Commercial Value. Genes, 15(6), 681. https://doi.org/10.3390/genes15060681

