Expression of FMRpolyG in Peripheral Blood Mononuclear Cells of Women with Fragile X Mental Retardation 1 Gene Premutation
Abstract
1. Introduction
2. Materials and Methods
2.1. Patients and Ethical Approval
2.2. CGG Repeat Length Analysis
2.3. Gene Expression Analysis
2.4. PBMC Isolation
2.5. IF Staining
2.6. WB Analysis
2.7. FACS Analysis
2.8. Statistical Analysis
3. Results
3.1. General Study Population
3.2. FMRpolyG Aggregates Colocalized with Ubiquitin in PBMCs from FMR1 PM Carriers
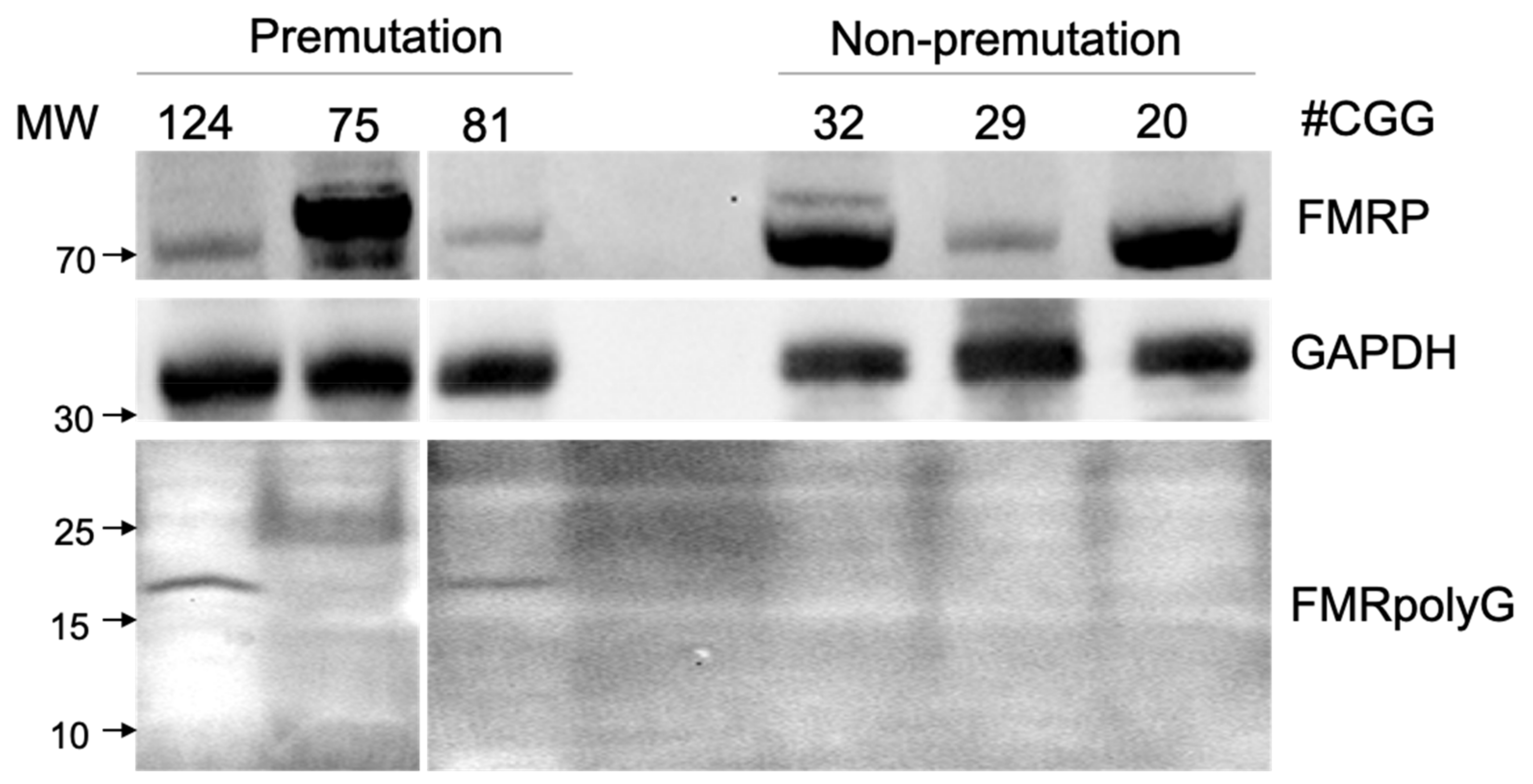
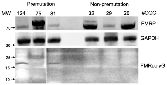
3.3. FMRpolyG was Detected in PBMCs Lysate from FMR1 PM Carriers
3.4. Increase FMRpolyG Expression in T Cells from FMR1 PM Carriers
4. Discussion
5. Conclusions
Supplementary Materials
Author Contributions
Funding
Institutional Review Board Statement
Informed Consent Statement
Data Availability Statement
Acknowledgments
Conflicts of Interest
References
- Webber, L.; Davies, M.; Anderson, R.; Bartlett, J.; Braat, D.; Cartwright, B.; Cifkova, R.; de Muinck Keizer-Schrama, S.; Hogervorst, E. ESHRE Guideline: Management of women with premature ovarian insufficiency. Hum. Reprod. 2016, 31, 926–937. [Google Scholar] [CrossRef] [PubMed]
- Ishizuka, B. Current Understanding of the Etiology, Symptomatology, and Treatment Options in Premature Ovarian Insufficiency (POI). Front. Endocrinol. 2021, 12, 88. [Google Scholar] [CrossRef]
- Chapman, C.; Cree, L.; Shelling, A.N. The genetics of premature ovarian failure: Current perspectives. Int. J. Women’s Health 2015, 7, 799. [Google Scholar] [CrossRef]
- Sullivan, S.D.; Welt, C.; Sherman, S. FMR1 and the continuum of primary ovarian insufficiency. Semin. Reprod. Med. 2011, 29, 299–307. [Google Scholar] [CrossRef] [PubMed]
- Rosario, R.; Anderson, R. The molecular mechanisms that underlie fragile X-associated premature ovarian insufficiency: Is it RNA or protein based? Mol. Hum. Reprod. 2020, 26, 727. [Google Scholar] [CrossRef] [PubMed]
- Schuettler, J.; Peng, Z.; Zimmer, J.; Sinn, P.; Von Hagens, C.; Strowitzki, T.; Vogt, P.H. Variable expression of the Fragile X Mental Retardation 1 (FMR1) gene in patients with premature ovarian failure syndrome is not dependent on number of (CGG)n triplets in exon 1. Hum. Reprod. 2011, 26, 1241–1251. [Google Scholar] [CrossRef]
- Giri, S.; Purushottam, M.; Viswanath, B.; Muddashetty, R.S. Generation of a FMR1 homozygous knockout human embryonic stem cell line (WAe009-A-16) by CRISPR/Cas9 editing. Stem Cell Res. 2019, 39, 101494. [Google Scholar] [CrossRef] [PubMed]
- Mailick, M.R.; Hong, J.; Greenberg, J.; Smith, L.; Sherman, S. Curvilinear association of CGG repeats and age at menopause in women with FMR1 premutation expansions. Am. J. Med. Genet. Part B Neuropsychiatr. Genet. 2014, 165, 705–711. [Google Scholar] [CrossRef]
- Tassone, F.; Hagerman, R.J.; Taylor, A.K.; Gane, L.W.; Godfrey, T.E.; Hagerman, P.J. Elevated levels of FMR1 mRNA carrier males: A new mechanism of involvement in the fragile-X syndrome. Am. J. Hum. Genet. 2000, 66, 6–15. [Google Scholar] [CrossRef]
- Jin, P.; Zarnescu, D.C.; Zhang, F.; Pearson, C.E.; Lucchesi, J.C.; Moses, K.; Warren, S.T. RNA-mediated neurodegeneration caused by the fragile X premutation rCGG repeats in Drosophila. Neuron 2003, 39, 739–747. [Google Scholar] [CrossRef]
- Handa, V.; Goldwater, D.; Stiles, D.; Cam, M.; Poy, G.; Kumari, D.; Usdin, K. Long CGG-repeat tracts are toxic to human cells: Implications for carriers of Fragile X premutation alleles. FEBS Lett. 2005, 579, 2702–2708. [Google Scholar] [CrossRef]
- Hashem, V.; Galloway, J.N.; Mori, M.; Willemsen, R.; Oostra, B.A.; Paylor, R.; Nelson, D.L. Ectopic expression of CGG containing mRNA is neurotoxic in mammals. Hum. Mol. Genet. 2009, 18, 2443–2451. [Google Scholar] [CrossRef]
- Sellier, C.; Usdin, K.; Pastori, C.; Peschansky, V.J.; Tassone, F.; Charlet-Berguerand, N. The multiple molecular facets of fragile X-associated tremor/ataxia syndrome. J. Neurodev. Disord. 2014, 6, 23. [Google Scholar] [CrossRef]
- Garcia-Arocena, D.; Hagerman, P.J. Advances in understanding the molecular basis of FXTAS. Hum. Mol. Genet. 2010, 19, R83–R89. [Google Scholar] [CrossRef][Green Version]
- Hoem, G.; Bowitz Larsen, K.; Øvervatn, A.; Brech, A.; Lamark, T.; Sjøttem, E.; Johansen, T. The FMRpolyGlycine Protein Mediates Aggregate Formation and Toxicity Independent of the CGG mRNA Hairpin in a Cellular Model for FXTAS. Front. Genet. 2019, 10, 249. [Google Scholar] [CrossRef]
- Todd, P.K.; Oh, S.Y.; Krans, A.; He, F.; Sellier, C.; Frazer, M.; Renoux, A.J.; Chen, K.C.; Scaglione, K.M.; Basrur, V.; et al. CGG repeat-associated translation mediates neurodegeneration in fragile X tremor ataxia syndrome. Neuron 2013, 78, 440–455. [Google Scholar] [CrossRef]
- Rodriguez, C.M.; Wright, S.E.; Kearse, M.G.; Haenfler, J.M.; Flores, B.N.; Liu, Y.; Ifrim, M.F.; Glineburg, M.R.; Krans, A.; Jafar-Nejad, P.; et al. A native function for RAN translation and CGG repeats in regulating Fragile X protein synthesis. Nat. Neurosci. 2020, 23, 386. [Google Scholar] [CrossRef]
- Buijsen, R.A.M.; Visser, J.A.; Kramer, P.; Severijnen, E.A.W.F.M.; Gearing, M.; Charlet-Berguerand, N.; Sherman, S.L.; Berman, R.F.; Willemsen, R.; Hukema, R.K. Presence of inclusions positive for polyglycine containing protein, FMRpolyG, indicates that repeat-associated non-AUG translation plays a role in fragile X-associated primary ovarian insufficiency. Hum. Reprod. 2016, 31, 158–168. [Google Scholar] [CrossRef]
- Sellier, C.; Buijsen, R.A.M.; He, F.; Natla, S.; Jung, L.; Tropel, P.; Gaucherot, A.; Jacobs, H.; Meziane, H.; Vincent, A.; et al. Translation of Expanded CGG Repeats into FMRpolyG Is Pathogenic and May Contribute to Fragile X Tremor Ataxia Syndrome. Neuron 2017, 93, 331–347. [Google Scholar] [CrossRef]
- Friedman-Gohas, M.; Elizur, S.E.; Dratviman-Storobinsky, O.; Aizer, A.; Haas, J.; Raanani, H.; Orvieto, R.; Cohen, Y. FMRpolyG accumulates in FMR1 premutation granulosa cells. J. Ovarian Res. 2020, 13, 22. [Google Scholar] [CrossRef]
- Shelly, K.E.; Candelaria, N.R.; Li, Z.; Allen, E.G.; Jin, P.; Nelson, D.L. Ectopic expression of CGG-repeats alters ovarian response to gonadotropins and leads to infertility in a murine FMR1 premutation model. Hum. Mol. Genet. 2021, 30, 923–938. [Google Scholar] [CrossRef] [PubMed]
- Greco, C.M.; Tassone, F.; Garcia-Arocena, D.; Tartaglia, N.; Coffey, S.M.; Vartanian, T.K.; Brunberg, J.A.; Hagerman, P.J.; Hagerman, R.J. Clinical and Neuropathologic Findings in a Woman with the FMR1 Premutation and Multiple Sclerosis. Arch. Neurol. 2008, 65, 1114. [Google Scholar] [CrossRef] [PubMed]
- Coffey, S.M.; Cook, K.; Tartaglia, N.; Tassone, F.; Nguyen, D.V.; Pan, R.; Bronsky, H.E.; Yuhas, J.; Borodyanskaya, M.; Grigsby, J.; et al. Expanded Clinical Phenotype of Women with the FMR1 Premutation. Am. J. Med. Genet. A 2008, 146, 1009. [Google Scholar] [CrossRef] [PubMed]
- Hagerman, R.J.; Protic, D.; Rajaratnam, A.; Salcedo-Arellano, M.J.; Aydin, E.Y.; Schneider, A. Fragile X-Associated Neuropsychiatric Disorders (FXAND). Front. Psychiatry 2018, 9, 564. [Google Scholar] [CrossRef]
- Careaga, M.; Rose, D.; Tassone, F.; Berman, R.F.; Hagerman, R.; Ashwood, P. Immune dysregulation as a cause of autoinflammation in fragile X premutation carriers: Link between FMRI CGG repeat number and decreased cytokine responses. PLoS ONE 2014, 9, e94475. [Google Scholar] [CrossRef]
- Sharif, K.; Watad, A.; Bridgewood, C.; Kanduc, D.; Amital, H.; Shoenfeld, Y. Insights into the autoimmune aspect of premature ovarian insufficiency. Best Pract. Res. Clin. Endocrinol. Metab. 2019, 33, 101323. [Google Scholar] [CrossRef]
- Szeliga, A.; Calik-Ksepka, A.; Maciejewska-Jeske, M.; Grymowicz, M.; Smolarczyk, K.; Kostrzak, A.; Smolarczyk, R.; Rudnicka, E.; Meczekalski, B. Autoimmune Diseases in Patients with Premature Ovarian Insufficiency—Our Current State of Knowledge. Int. J. Mol. Sci. 2021, 22, 2594. [Google Scholar] [CrossRef]
- Friedman-Gohas, M.; Orvieto, R.; Michaeli, A.; Aizer, A.; Kirshenbaum, M.; Cohen, Y. Dysregulation of anti-Mullerian hormone expression levels in mural granulosa cells of FMR1 premutation carriers. Sci. Rep. 2021, 11, 14139. [Google Scholar] [CrossRef]
- Rehnitz, J.; Capp, E.; Messmer, B.; Nguyen, X.P.; Germeyer, A.; Freis, A.; Dietrich, J.E.; Hinderhofer, K.; Strowitzki, T.; Vogt, P.H. Fmr1 and akt/mtor signaling in human granulosa cells: Functional interaction and impact on ovarian response. J. Clin. Med. 2021, 10, 3892. [Google Scholar] [CrossRef]
- Rehnitz, J.; Alcoba, D.D.; Brum, I.S.; Dietrich, J.E.; Youness, B.; Hinderhofer, K.; Messmer, B.; Freis, A.; Strowitzki, T.; Germeyer, A. FMR1 expression in human granulosa cells increases with exon 1 CGG repeat length depending on ovarian reserve. Reprod. Biol. Endocrinol. 2018, 16, 1–19. [Google Scholar] [CrossRef]
- Stoyanova, V.; Oostra, B.A. The CGG Repeat and the FMR1 Gene. Trinucleotide Repeat Protoc. 2004, 277, 173–184. [Google Scholar] [CrossRef]
- Fassnacht, W.; Mempel, A.; Strowitzki, T.; Vogt, P. Premature Ovarian Failure (POF) Syndrome: Towards the Molecular Clinical Analysis of its Genetic Complexity. Curr. Med. Chem. 2006, 13, 1397–1410. [Google Scholar] [CrossRef]
- Tsang, M.; Gantchev, J.; Ghazawi, F.M.; Litvinov, I.V. Protocol for adhesion and immunostaining of lymphocytes and other non-adherent cells in culture. Biotechniques 2017, 63, 230–233. [Google Scholar] [CrossRef]
- Rehnitz, J.; Youness, B.; Nguyen, X.P.; Dietrich, J.E.; Roesner, S.; Messmer, B.; Strowitzki, T.; Vogt, P.H. FMR1 expression in human granulosa cells and variable ovarian response: Control by epigenetic mechanisms. Mol. Hum. Reprod. 2021, 27, 2. [Google Scholar] [CrossRef]
- Cleary, J.D.; Ranum, L.P.W. New developments in RAN translation: Insights from multiple diseases. Curr. Opin. Genet. Dev. 2017, 44, 125. [Google Scholar] [CrossRef]
- Wittenberger, M.D.; Hagerman, R.J.; Sherman, S.L.; McConkie-Rosell, A.; Welt, C.K.; Rebar, R.W.; Corrigan, E.C.; Simpson, J.L.; Nelson, L.M. The FMR1 premutation and reproduction. Fertil. Steril. 2007, 87, 456–465. [Google Scholar] [CrossRef]
- Sherman, S.L.; Curnow, E.C.; Easley, C.A.; Jin, P.; Hukema, R.K.; Tejada, M.I.; Willemsen, R.; Usdin, K. Use of model systems to understand the etiology of fragile X-associated primary ovarian insufficiency (FXPOI). J. Neurodev. Disord. 2014, 6, 26. [Google Scholar] [CrossRef]
- Hukema, R.K.; Buijsen, R.A.M.; Schonewille, M.; Raske, C.; Severijnen, L.A.W.F.M.; Nieuwenhuizen-Bakker, I.; Verhagen, R.F.M.; van Dessel, L.; Maas, A.; Charlet-Berguerand, N.; et al. Reversibility of neuropathology and motor deficits in an inducible mouse model for FXTAS. Hum. Mol. Genet. 2015, 24, 4948–4957. [Google Scholar] [CrossRef]
- Buijsen, R.A.M.; Sellier, C.; Severijnen, L.A.W.F.M.; Oulad-Abdelghani, M.; Verhagen, R.F.M.; Berman, R.F.; Charlet-Berguerand, N.; Willemsen, R.; Hukema, R.K. FMRpolyG-positive inclusions in CNS and non-CNS organs of a fragile X premutation carrier with fragile X-associated tremor/ataxia syndrome. Acta Neuropathol. Commun. 2014, 2, 162. [Google Scholar] [CrossRef]
- Zu, T.; Gibbens, B.; Doty, N.S.; Gomes-Pereira, M.; Huguet, A.; Stone, M.D.; Margolis, J.; Peterson, M.; Markowski, T.W.; Ingram, M.A.C.; et al. Non-ATG–initiated translation directed by microsatellite expansions. Proc. Natl. Acad. Sci. USA 2011, 108, 260. [Google Scholar] [CrossRef]
- Chen, L.S.; Tassone, F.; Sahota, P.; Hagerman, P.J. The (CGG)n repeat element within the 5′ untranslated region of the FMR1 message provides both positive and negative cis effects on in vivo translation of a downstream reporter. Hum. Mol. Genet. 2003, 12, 3067–3074. [Google Scholar] [CrossRef] [PubMed]
- Brouwer, J.R.; Mientjes, E.J.; Bakker, C.E.; Nieuwenhuizen, I.M.; Severijnen, L.A.; Van der Linde, H.C.; Nelson, D.L.; Oostra, B.A.; Willemsen, R. Elevated Fmr1 mRNA levels and reduced protein expression in a mouse model with an unmethylated Fragile X full mutation. Exp. Cell Res. 2007, 313, 244–253. [Google Scholar] [CrossRef] [PubMed]
- Tassone, F.; Beilina, A.; Carosi, C.; Albertosi, S.; Bagni, C.; Li, L.; Glover, K.; Bentley, D.; Hagerman, P.J. Elevated FMR1 mRNA in premutation carriers is due to increased transcription. RNA 2007, 13, 555–562. [Google Scholar] [CrossRef]
- Allen, E.G.; Charen, K.; Hipp, H.S.; Shubeck, L.; Amin, A.; He, W.; Nolin, S.L.; Glicksman, A.; Tortora, N.; McKinnon, B.; et al. Refining the risk for fragile X–associated primary ovarian insufficiency (FXPOI) by FMR1 CGG repeat size. Genet. Med. 2021, 23, 1648–1655. [Google Scholar] [CrossRef] [PubMed]
- Oh, S.Y.; He, F.; Krans, A.; Frazer, M.; Taylor, J.P.; Paulson, H.L.; Todd, P.K. RAN translation at CGG repeats induces ubiquitin proteasome system impairment in models of fragile X-associated tremor ataxia syndrome. Hum. Mol. Genet. 2015, 24, 4317–4326. [Google Scholar] [CrossRef] [PubMed]
- Yenuganti, V.R.; Vanselow, J. Cultured bovine granulosa cells rapidly lose important features of their identity and functionality but partially recover under long-term culture conditions. Cell Tissue Res. 2017, 368, 397–403. [Google Scholar] [CrossRef]
- Elizur, S.E.; Lebovitz, O.; Derech-Haim, S.; Dratviman-Storobinsky, O.; Feldman, B.; Dor, J.; Orvieto, R.; Cohen, Y. Elevated levels of FMR1 mRNA in granulosa cells are associated with low ovarian reserve in FMR1 premutation carriers. PLoS ONE 2014, 9, e105121. [Google Scholar] [CrossRef]
- Kearse, M.G.; Green, K.M.; Krans, A.; Rodriguez, C.M.; Linsalata, A.E.; Goldstrohm, A.C.; Todd, P.K. CGG Repeat-Associated Non-AUG Translation Utilizes a Cap-Dependent Scanning Mechanism of Initiation to Produce Toxic Proteins. Mol. Cell 2016, 62, 314–322. [Google Scholar] [CrossRef]
- Molteni, M.; Rossetti, C. Neurodegenerative diseases: The immunological perspective. J. Neuroimmunol. 2017, 313, 109–115. [Google Scholar] [CrossRef]
- Dressman, D.; Elyaman, W. T Cells: A Growing Universe of Roles in Neurodegenerative Diseases. Neuroscientist 2021. [Google Scholar] [CrossRef]
- Kumar, B.V.; Connors, T.; Farber, D.L. Human T cell development, localization, and function throughout life. Immunity 2018, 48, 202. [Google Scholar] [CrossRef]
- Winarni, T.I.; Chonchaiya, W.; Sumekar, T.A.; Ashwood, P.; Morales, G.M.; Tassone, F.; Nguyen, D.V.; Faradz, S.M.H.; Van de Water, J.; Cook, K.; et al. Immune-mediated disorders among women carriers of fragile X premutation alleles. Am. J. Med. Genet. Part A 2012, 158, 2473–2481. [Google Scholar] [CrossRef]
- Hunter, J.; Rohr, J.; Sherman, S. Co-occurring diagnoses among FMR1 premutation allele carriers. Clin. Genet. 2010, 77, 374–381. [Google Scholar] [CrossRef]
- Lliberos, C.; Liew, S.H.; Zareie, P.; La Gruta, N.L.; Mansell, A.; Hutt, K. Evaluation of inflammation and follicle depletion during ovarian ageing in mice. Sci. Rep. 2021, 11, 278. [Google Scholar] [CrossRef]
- Huang, Y.; Hu, C.; Ye, H.; Luo, R.; Fu, X.; Li, X.; Huang, J.; Chen, W.; Zheng, Y. Inflamm-aging: A new mechanism affecting premature ovarian insufficiency. J. Immunol. Res. 2019, 2019, 8069898. [Google Scholar] [CrossRef]
- Ye, H.; Li, X.; Zheng, T.; Liang, X.; Li, J.; Huang, J.; Pan, Z.; Zheng, Y. The effect of the immune system on ovarian function and features of ovarian germline stem cells. Springerplus 2016, 5, 990. [Google Scholar] [CrossRef]
- Martínez Cerdeño, V.; Hong, T.; Amina, S.; Lechpammer, M.; Ariza, J.; Tassone, F.; Noctor, S.C.; Hagerman, P.; Hagerman, R. Microglial cell activation and senescence are characteristic of the pathology FXTAS. Mov. Disord. 2018, 33, 1887–1894. [Google Scholar] [CrossRef]
- Dufour, B.D.; Amina, S.; Martinez-Cerdeno, V. FXTAS presents with upregulation of the cytokines IL12 and TNFα. Parkinsonism Relat. Disord. 2021, 82, 117–120. [Google Scholar] [CrossRef]
- Marek, D.; Papin, S.; Ellefsen, K.; Niederhauser, J.; Isidor, N.; Ransijn, A.; Poupon, L.; Spertini, F.; Pantaleo, G.; Bergmann, S.; et al. Carriers of the fragile X mental retardation 1 (FMR1) premutation allele present with increased levels of cytokine IL-10. J. Neuroinflamm. 2012, 9, 238. [Google Scholar] [CrossRef]
- Dong, Y.; Yong, V.W. When encephalitogenic T cells collaborate with microglia in multiple sclerosis. Nat. Rev. Neurol. 2019, 15, 704–717. [Google Scholar] [CrossRef]



| FMR1 Non Premutation (n = 10) | FMR1 Premutation (n = 5) | p Value | |
|---|---|---|---|
| Mean Age (SD) | 34.20 (1.29) | 31.00 (1.51) | 0.15 |
| Mean BMI (SD) | 24.31 (0.75) | 23.06 (1.30) | 0.38 |
| Median FSH (U/L) (SD) | 10.04 (6.0–98.4) | 12.01 (9.2–29.5) | 0.61 |
| Median LH (U/L) (SD) | 4.75 (2.9–39.2) | 6.3 (2.2–28.6) | 0.61 |
| Median Estradiol (pg/mL) (SD) | 37.55 (23.8–75.5) | 52.8 (33.8–111.4) | 0.12 |
| Median AMH (ng/mL) | 1.48 (0.83–2.87) | 0.89 (0.79–2.8) | 0.56 |
| Mean FMR1 repeats (range) | 27.60 (20–32) | 86 (72–124) | |
| FMR1 mRNA expression level in lymphocytes | 3.4 (0.36) | 5.2 (0.87) | 0.03 |
Publisher’s Note: MDPI stays neutral with regard to jurisdictional claims in published maps and institutional affiliations. |
© 2022 by the authors. Licensee MDPI, Basel, Switzerland. This article is an open access article distributed under the terms and conditions of the Creative Commons Attribution (CC BY) license (https://creativecommons.org/licenses/by/4.0/).
Share and Cite
Nguyen, X.P.; Vilkaite, A.; Messmer, B.; Dietrich, J.E.; Hinderhofer, K.; Schäkel, K.; Strowitzki, T.; Rehnitz, J. Expression of FMRpolyG in Peripheral Blood Mononuclear Cells of Women with Fragile X Mental Retardation 1 Gene Premutation. Genes 2022, 13, 451. https://doi.org/10.3390/genes13030451
Nguyen XP, Vilkaite A, Messmer B, Dietrich JE, Hinderhofer K, Schäkel K, Strowitzki T, Rehnitz J. Expression of FMRpolyG in Peripheral Blood Mononuclear Cells of Women with Fragile X Mental Retardation 1 Gene Premutation. Genes. 2022; 13(3):451. https://doi.org/10.3390/genes13030451
Chicago/Turabian StyleNguyen, Xuan Phuoc, Adriana Vilkaite, Birgitta Messmer, Jens E. Dietrich, Katrin Hinderhofer, Knut Schäkel, Thomas Strowitzki, and Julia Rehnitz. 2022. "Expression of FMRpolyG in Peripheral Blood Mononuclear Cells of Women with Fragile X Mental Retardation 1 Gene Premutation" Genes 13, no. 3: 451. https://doi.org/10.3390/genes13030451
APA StyleNguyen, X. P., Vilkaite, A., Messmer, B., Dietrich, J. E., Hinderhofer, K., Schäkel, K., Strowitzki, T., & Rehnitz, J. (2022). Expression of FMRpolyG in Peripheral Blood Mononuclear Cells of Women with Fragile X Mental Retardation 1 Gene Premutation. Genes, 13(3), 451. https://doi.org/10.3390/genes13030451

