Marker-Assisted Backcrossing (MABc) to Improve Eating Quality with Thin Seed Coat and Aleurone Layer of Non-Glutinous Japonica Variety in Rice
Abstract
:1. Introduction
2. Materials and Methods
2.1. Plant Materials, Rice Cultivation, and Sample Preparation
2.2. MABc Breeding Strategy
2.3. Evaluation of Cooking and Pasting Characteristics
2.3.1. Analysis of Amylose and Protein Contents, Whiteness
2.3.2. Characterizations of Cooking and Eating Texture
2.3.3. Rapid Visco Analysis (RVA)
2.4. Molecular Marker Analysis
2.4.1. Foreground Selection Using Semi-Nested PCR Analysis
2.4.2. Background Selection Using KASP Marker Analysis
2.4.3. Investigation of Agronomic Traits
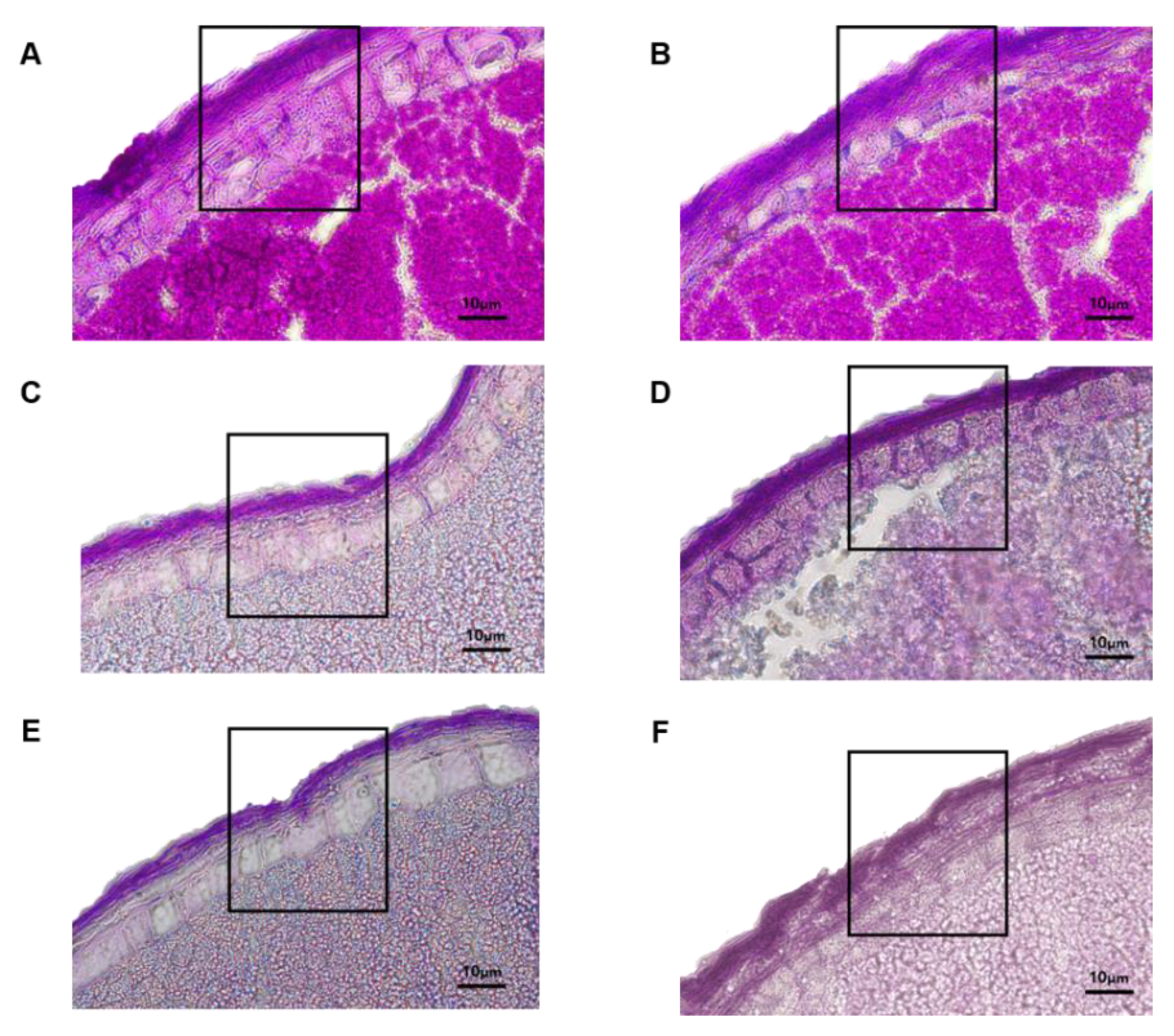
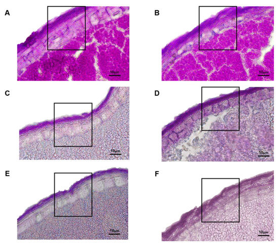
2.5. Histological Study
2.6. Statistics Analysis
3. Results
3.1. Evaluation of Characteristics Related to Eating and Cooking Quality in Parents
3.1.1. Characteristics Related to Cooking and Texture
3.1.2. Characteristics Related to Eating Quality
3.1.3. Viscosity Characteristics by RVA
3.2. Whole-Genome Re-Sequencing Analysis and Variant Discovery for Foreground Selection
3.2.1. Foreground Selection in BC1F1 and BC2F1
3.2.2. Background Selection in BC1F1 and BC2F1
3.3. Viscosity Properties of the Selected Lines in BC2F2
3.4. Histochemical Analysis of Seed Coat and Aleurone Layers in BC2F1
3.5. Agronomic Traits of the Selected Lines in BC2F2
4. Discussion
5. Conclusions
Author Contributions
Funding
Institutional Review Board Statement
Informed Consent Statement
Data Availability Statement
Acknowledgments
Conflicts of Interest
References
- Rohit, R.; Parmar, K. Unified approach in food quality evaluation using machine vision. Commun. Comput. Inf. Sci. 2011, 192, 239–248. [Google Scholar]
- Aluko, G.; Martinez, C.; Tohme, J.; Castano, C.; Bergman, C.; Oard, J.H. QTL mapping of grain quality traits from the interspecific cross Oryza sativa x O. glaberrima. Appl Genet. 2004, 109, 630–639. [Google Scholar] [CrossRef] [PubMed]
- Rabiei, B.; Valizadeh, M.; Ghareyazie, B.; Moghaddam, M.; Ali, A. Identification of QTLs for rice grain size and shape of Iranian cultivars using SSR markers. Euphytica 2004, 137, 325–332. [Google Scholar] [CrossRef]
- Chen, H.; Siebenmorgen, T.J.; Griffin, K. Quality Characteristics of Long-Grain Rice Milled in Two Commercial Systems. Cereal Chem. 1998, 75, 560–565. [Google Scholar] [CrossRef]
- Krishna, A.G.; Khatoon, S.; Shiela, P.M.; Sarmandal, C.V.; Indira, T.N.; Mishra, A. Effect of refining of crude RBO on the retention of oryzanol in the refined oil. J. Am. Oil Chem. Soc. 2001, 78, 127–131. [Google Scholar] [CrossRef]
- Moon, G.S.; Kim, M.; Jin, M.; Kim, S.; Park, S.; Ryu, B. Physicochemical and Sensory Properties of Rice Stored in an Un-used Tunnel. Korean J. Food Cook. Sci. 2010, 26, 220–228. [Google Scholar]
- Tran, T.U.; Suzuki, K.; Okadome, H.; Homma, S.; Ohtsubo, K. Analysis of the tastes of brown rice and milled rice with different milling yields using a taste sensing system. Food Chem. 2004, 88, 557–566. [Google Scholar] [CrossRef]
- Heiniö, R.L.; Noort, M.W.J.; Katina, K.; Alam, S.A.; Sozer, N.; de Kock, H.L.; Hersleth, M.; Poutanen, K. Sensory characteristics of wholegrain and bran-rich cereal foods—A review. Trends Food Sci. Technol. 2016, 47, 25–38. [Google Scholar] [CrossRef] [Green Version]
- Mir, S.A.; Shah, M.A.; Bosco, D.S.J.; Sunooj, K.V.; Farooq, S. A review on nutritional properties, shelf life, health aspects and consumption of brown rice in comparison with white rice. Cereal Chem. 2020, 97, 895–903. [Google Scholar] [CrossRef]
- Zhang, G.; Malik, V.S.; Pan, A.; Kumar, S.; Holmes, M.D.; Spiegelman, D.; Lin, X.; Hu, F.B. Substituting Brown Rice for White Rice to Lower Diabetes Risk: A Focus-Group Study in Chinese Adults. J. Am. Diet. Assoc. 2010, 110, 1216–1221. [Google Scholar] [CrossRef]
- Choi, I.S.; Ahn, S.N.; Baek, M.K.; Yang, C.I.; Yang, S.J.; Hong, H.C.; Moon, H.P.; Choi, H.C.; Hwang, H.G.; Kim, Y.G.; et al. New Cultivar Developed: A Lodging Tolerant, Opaque Rice Cultivar “Seolgaeng”. Korean J. Breed. Sci. 2011, 43, 532–537. [Google Scholar]
- Choi, H.C.; Hong, H.G.; Kim, Y.G.; Kim, H.Y.; Yea, J.D.; Shin, Y.S.; Kang, K.H.; Song, M.T.; Choi, Y.H.; Cho, Y.C.; et al. A japonica specialty rice for fermentation food processing, opaque rice cultivar “Seolgaeng”. Treat Crop Res. 2002, 3, 45–51. [Google Scholar]
- Kang, H.J.; Han, H.S.; Hwang, I.K. Comparison of gelatinization and retrogradation characteristics among endosperm mutant rices derived from Ilpumbyeo. Korean J. Food Sci. Technol. 2004, 36, 879–884. [Google Scholar]
- Kim, K.J.; Woo, K.S.; Lee, J.S.; Chun, A.; Yoon, H.C.; Song, J.; Suh, S.J.; Kim, S.L.; Jeong, H.S. Physicochemical characteristics of Sikhye (Korean Traditional Rice Beverage) with specialty rice varieties. J. Korean Soc. Food Sci. Nutr. 2008, 37, 1523–1528. [Google Scholar] [CrossRef]
- Sundaram, R.M.; Vishnupriya, M.R.; Biradar, S.; Laha, G.S.; Reddy, G.A.; Rani, N.S.; Sarma, N.P.; Sonti, R.V. Marker assisted introgression of bacterial blight resistance in Samba Mahsuri, an elite indica rice variety. Euphytica 2007, 160, 411–422. [Google Scholar] [CrossRef]
- Suh, J.-P.; Jeung, J.-U.; Noh, T.-H.; Cho, Y.-C.; Park, S.-H.; Park, H.-S.; Shin, M.-S.; Kim, C.-K.; Jena, K.K. Development of breeding lines with three pyramided resistance genes that confer broad-spectrum bacterial blight resistance and their molecular analysis in rice. Rice 2013, 6, 1–11. [Google Scholar] [CrossRef] [Green Version]
- Collard, B.C.; Vera Cruz, C.; McNally, K.L.; Virk, P.S.; Mackill, D.J. Rice Molecular Breeding Laboratories in the Genomics Era: Current Status and Future Considerations. Int. J. Plant Genom. 2008, 2008, 524847. [Google Scholar] [CrossRef] [Green Version]
- Frisch, M.; Melchinger, A.E. Selection theory for marker-assisted back-crossing. Genetics 2005, 170, 909–917. [Google Scholar] [CrossRef] [Green Version]
- Chen, S.; Xu, C.G.; Lin, X.H.; Zhang, Q. Improving bacterial blight resistance of ‘6078’, an elite restorer line of hybrid rice, by molecular marker-assisted selection. Plant Breed. 2001, 120, 133–137. [Google Scholar] [CrossRef] [Green Version]
- Chen, Z.W.; Guan, H.Z.; Wu, W.R.; Zhou, Y.C.; Han, Q.D. The screening of molecular markers closely linked to rice blast-resistant gene Pi-1 and their application. J. Fujian Agric. Forest. Univ. 2005, 34, 74–77. [Google Scholar]
- McCouch, S.R.; Zhao, K.; Wright, M.; Tung, C.-W.; Ebana, K.; Thomson, M.; Reynolds, A.; Wang, D.; De Clerck, G.; Ali, L.; et al. Development of genome-wide SNP assays for rice. Breed. Sci. 2010, 60, 524–535. [Google Scholar] [CrossRef] [Green Version]
- Neelam, K.; Brown-Guedira, G.; Huang, L. Development and validation of a breeder-friendly KASPar marker for wheat leaf rust resistance locusLr21. Mol Breed. 2013, 31, 233–237. [Google Scholar] [CrossRef]
- Shi, Z.; Liu, S.; Noe, J.; Arelli, P.; Meksem, K.; Li, Z. SNP identification and marker assay development for high-throughput selection of soybean cyst nematode resistance. BMC Genom. 2015, 16, 314. [Google Scholar] [CrossRef] [PubMed] [Green Version]
- Lee, J.; Won, Y.J.; Cho, Y.; Lee, J.H.; Yang, C.; Kim, M.; Ahn, E.; Suh, J.P.; Lee, S.; Jeon, Y.H.; et al. ‘Samkwang1′, a Medium Maturing, Multiple Disease Resistant, and High-quality Rice. Korean J. Breed. Sci. 2018, 50, 490–496. [Google Scholar] [CrossRef] [Green Version]
- Rural Development Administration (RDA). Standard of Analysis and Survey for Agricultural Research; RDA: St. Joseph, MO, USA, 2012; pp. 315–338. [Google Scholar]
- Nogoy, F.M.; Jung, Y.J.; Kang, K.K.; Cho, Y.-G. Characterization of ‘GolSam’ Lines Developed from the Cross between Samgwang and 5MT Resistant Lines in Rice. Plant Breed. Biotechnol. 2018, 6, 233–244. [Google Scholar] [CrossRef]
- Osborne, B.G. Near-Infrared Spectroscopy in Food Analysis. Encycl. Anal. Chem. 2006. [Google Scholar] [CrossRef]
- Kim, C.-E.; Kang, M.-Y.; Kim, M.-H. Comparison of Properties Affecting the Palatability of 33 Commercial Brands of Rice. Korean J. Crop. Sci. 2012, 57, 301–309. [Google Scholar] [CrossRef] [Green Version]
- Chi, X.; Zhang, Y.; Xue, Z.; Feng, L.; Liu, H.; Wang, F.; Qi, X. Discovery of rare mutations in extensively pooled DNA samples using multiple target enrichment. Plant Biotechnol. J. 2014, 12, 709–717. [Google Scholar] [CrossRef]
- Cheon, K.S.; Baek, J.H.; Cho, Y.I.; Jeong, Y.M.; Lee, Y.Y.; Jun, O.; Won, Y.J.; Kang, D.Y.; Oh, H.J.; Kim, S.L.; et al. Single Nucleotide Polymorphism (SNP) Discovery and Kompetitive Al-lele-Specific PCR (KASP) Marker Development with Korean Japonica Rice. Plant Breed. Biotech. 2018, 6, 391–403. [Google Scholar] [CrossRef]
- Park, H.-S.; Lee, K.-M.; Kim, K.-Y.; Kim, J.-J.; Shin, W.-C.; Baek, M.-K.; Kim, C.-S.; Park, S.-G.; Lee, C.-M.; Suh, J.-P.; et al. Development of Near-Isogenic Line of japonica Rice Cultivar Saenuri without Lipoxygenase-3. Korean J. Breed. Sci. 2019, 51, 190–200. [Google Scholar] [CrossRef] [Green Version]
- Carlo, P.; Marco, B. Histochemistry of Single Molecules: Methods and Protocols, Methods in Molecular Biology; Humana Press: Totowa, NJ, USA, 2017; p. 1560. [Google Scholar]
- Kim, W.S.; Shin, M. The properties of rice flours prepared by dry- and wet-milling of soaked glutinous and normal grains. Korean J. Food Cookery Sci. 2007, 23, 908. [Google Scholar]
- Lin, L.; Lu, F.; Chang, Y. Prediction of protein content in rice using a near-infrared imaging system as diagnostic technique. Int. J. Agric. Biol. Eng. 2019, 12, 195–200. [Google Scholar]
- Lestari, P.; Lee, G.; Ham, T.H.; Woo, M.O.; Piao, R.; Jiang, W.; Chu, S.H.; Lee, J.H.; Koh, H.J. Single Nucleotide Poly-morphisms and Haplotype Diversity in Rice Sucrose Synthase 3. J. Hered. 2011, 102, 735–746. [Google Scholar] [CrossRef] [PubMed] [Green Version]
- Lee, K.J.; Lee, S.Y.; Kim, Y.R.; Park, J.W.; Shim, J.Y. Effect of dry heating on the pasting/retrogradation and textural properties of starch-soy protein maxture. Korean J. Food Sci. Technol. 2004, 36, 568–573. [Google Scholar]
- Kwakt, T.S. Comparison of Amylogram Properties among Several Subspecies of Rice. Korean J. Crop Sci. 2005, 50, 186–190. [Google Scholar]
- Lee, H.-M.; Lee, Y.-T. Pasting Properties of Corn, Potato, Sweet Potato Starches and Wheat Flours with Partial Rice Starch Substitution. Food Eng. Prog. 2013, 17, 238–244. [Google Scholar] [CrossRef]
- Shafie, B.; Cheng, S.C.; Lee, H.H.; Yiu, P.H. Characterization and classification of whole-grain rice based on rapid visco analyzer (RVA) pasting profile. Int. Food Res. J. 2016, 23, 2138–2143. [Google Scholar]
- Oh, S.-K.; Kim, D.-J.; Ryu, S.-J.; Chun, A.-R.; Yoon, M.-R.; Choi, I.-S.; Hong, H.-C.; Kim, Y.-K. Quality Characteristics of Korean Traditional Wine Using Seolgaengbyeo for Brewing Rice. J. Korean Soc. Food Sci. Nutr. 2011, 40, 1189–1194. [Google Scholar] [CrossRef]
- Sung, J.; Lee, J.; Oh, S.K.; Lee, J.S.; Choi, W.S. Changes in Phytochemical Content and Antiproliferative Activity of Germinated Geunnun and Ilpum Rice Varieties. J. Korean Soc. Food Sci. Nutr. 2013, 42, 1157–1161. [Google Scholar] [CrossRef] [Green Version]
- Van Rayne, K.K.; Adebo, O.A.; Ngobese, N.Z. Nutritional and Physicochemical Characterization of Strychnos mada-gascariensis Poir (Black Monkey Orange) Seeds as a Potential Food Source. Foods 2020, 9, 1060. [Google Scholar] [CrossRef]
- Lee, H.; Kim, H.-S. Pasting and paste properties of waxy rice starch as affected by hydroxypropyl methylcellulose and its viscosity. Int. J. Biol. Macromol. 2019, 153, 1202–1210. [Google Scholar] [CrossRef] [PubMed]
- Bao, J.; Kong, X.; Xie, J.; Xu, L. Analysis of Genotypic and Environmental Effects on Rice Starch. 1. Apparent Amylose Content, Pasting Viscosity, and Gel Texture. J. Agric. Food Chem. 2004, 52, 6010–6016. [Google Scholar] [CrossRef] [PubMed]
- Devraj, L.; Natarajan, V.; Vadakkeppulpara, S.; Manicakam, L.; Sarvanan, S. Influence of microwave heating as accelerated aging on physicochemical, texture, pasting properties and microstructure in brown rice of selected Indian rice varieties. J. Texture Stud. 2020, 51, 663–679. [Google Scholar] [CrossRef] [PubMed]
- Thanyasiriwat, T.; Sraphet, S.; Whankaew, S.; Boonseng, O.; Bao, J.; Lightfoot, D.; Tangphatsornruang, S.; Triwitayakorn, K. Quantitative trait loci and candidate genes associated with starch pasting viscosity characteristics in cassava (Manihot esculenta Crantz). Plant Biol. 2013, 16, 197–207. [Google Scholar] [CrossRef]
- Bason, M.L.; Blakeney, A.B. Grain and grain products. In The RVA Handbook; Crosbie, G.B., Ross, A.S., Eds.; American Association of Cereal Chemists International: St. Paul, MN, USA, 2007; pp. 31–47. [Google Scholar]
- Su, W.L.; Xiang, X.C.; Xu, Y.F.; Long, X.L.; Kang, C.F.; Xu, S.J. The influence of gene soluble starch synthase II a gene (SSII-3) on rice starch viscosity (RVA profile) in non-glutinous rice (Oryza sativa ssp. indica). J. Agric. Biotechnol. 2014, 22, 289–297. [Google Scholar]
- Chen, S.Q.; Xu, Q.F.; Pan, G.J.; Wang, Q.Y. Relationship between RVA profile characteristics and other quality traits in grain positions of Japonica rice. J. Nucl. Agric. Sci. 2015, 29, 0244–0251. [Google Scholar]
- Wu, H.K.; Liang, G.H.; Gu, Y.J.; Shang, L.L.; Wang, F.; Han, Y.P.; Gu, M.H. The effect of the starch-synthesizing genes on RVA profile characteristics in rice (Oryza sativa L.). Acta Agron. Sin. 2006, 32, 159–163. [Google Scholar]
- Mohapatra, D.; Bal, S. Cooking quality and instrumental textural attributes of cooked rice for different milling fractions. J. Food Eng. 2006, 73, 253–259. [Google Scholar] [CrossRef]
- Saleh, M.I.; Meullenet, J.-F. Effect of Moisture Content at Harvest and Degree of Milling (Based on Surface Lipid Content) on the Texture Properties of Cooked Long-Grain Rice. Cereal Chem. 2007, 84, 119–124. [Google Scholar] [CrossRef]
- Yoon, S.H.; Kim, S.K. Physicochemical properties of rice differing in milling degrees. Food Sci. Biotechnol. 2004, 13, 57–62. [Google Scholar]
- Mohapatra, D.; Bal, S. Effect of degree of milling on specific energy consumption, optical measurements and cooking quality of rice. J. Food Eng. 2007, 80, 119–125. [Google Scholar] [CrossRef]
- Wood, D.F.; Siebenmorgen, T.J.; Williams, T.G.; Orts, W.J.; Glenn, G.M. Use of microscopy to assess bran removal patterns in milled rice. J. Agric. Food Chem. 2012, 60, 6960–6965. [Google Scholar] [CrossRef] [PubMed] [Green Version]
- Chen, Y.C.; Chourey, P.S. Spatial and temporal expression of the two sucrose synthase genes in maize: Immunohistological evidence. Theor. Appl. Genet. 1989, 78, 553–559. [Google Scholar] [CrossRef] [PubMed]
- Heinlein, M.; Starlinger, P. Tissue- and cell-specific expression of the two sucrose synthase isoenzymes in developing maize kernels. Mol. Genet. Genom. 1989, 215, 441–446. [Google Scholar] [CrossRef]
- Rowland, L.J.; Chourey, P.S. In situ hybridization analysis of sucrose synthase expression in developing kernels of maize. Maydica 1990, 35, 373–382. [Google Scholar]
- Hasan, M.M.; Rafii, M.Y.; Ismail, M.R.; Mahmood, M.; Rahim, H.A.; Alam, M.A.; Ashkani, S.; Malek, M.A.; Latif, M.A. Marker-assisted backcrossing: A useful method for rice improvement. Biotechnol. Biotechnol. Equip. 2015, 29, 237–254. [Google Scholar] [CrossRef] [Green Version]
- Kumpatla, S.P.; Buyyarapu, R.; Abdurakhmonov, I.Y.; Mammadov, J. Genomics-Assisted Plant Breeding in the 21st Century: Technological Advances and Progress. Sci. Acad. Pap. Collect. 2012. [Google Scholar] [CrossRef] [Green Version]








| Variety | Hardness | Adhesiveness | Springiness | Stickiness |
|---|---|---|---|---|
| Samgwang | 36.03 ± 0.26 § | 64.69 ± 11.75 | 30.92 ± 0.94 | 68.73 ± 8.25 |
| Koshihikari | 31.75 ± 5.73 | 71.92 ± 14.79 | 34.56 ± 4.26 | 75.10 ± 9.91 |
| Seolgaeng | 38.43 ± 2.81 | 53.02 ± 6.84 | 37.48 ± 3.18 | 56.89 ± 8.68 |
| Keunnun | 37.33 ± 5.29 | 52.09 ± 8.59 | 23.62 ± 3.96 | 47.32 ± 13.38 |
| F-value | 1.494 | 2.301 | 9.577 ** | 4.357 * |
| Variety | Viscosity (RVU) | GT ∫ | ||||
|---|---|---|---|---|---|---|
| PV § | HPV ¶ | Breakdown | CPV † | Setback | (°C) | |
| Samgwang | 296.42 ± 4.92 ∫ | 170.86 ± 6.74 | 125.56 ± 18.86 | 253.21 ± 9.33 | −43.21 ± 13.73 | 69.73 ± 0.45 |
| Koshihikari | 264.38 ± 9.32 | 160.70 ± 15.18 | 103.68 ± 11.46 | 252.03 ± 11.71 | −12.35 ± 9.44 | 70.67 ± 1.19 |
| Seolgaeng | 251.89 ± 5.01 | 159.94 ± 2.76 | 91.95 ± 2.46 | 260.22 ± 3.43 | 8.33 ± 1.92 | 72.13 ± 0.43 |
| Keunnun | 226.42 ± 2.06 | 154.61 ± 4.67 | 71.81 ± 3.56 | 263.92 ± 3.85 | 37.50 ± 1.91 | 70.92 ± 0.36 |
| F-value | 14.253 ** | 6.997 * | 2.988 | 6.449 * | 14.647 * | 55.057 *** |
| Population | Generation | Number of Plant | χ2 Value (1:1) | ||
|---|---|---|---|---|---|
| Total | Homo (A/A) | Hetero (A/G) | |||
| Samgwang × Seolgaeng | BC1F1 | 210 | 110 | 100 | 0.48 |
| BC2F1 | 96 | 41 | 55 | 2.04 | |
| Population | Line | Plant Height (cm) | Culm Length (cm) | Panicle Length (cm) | No. of Tillers |
|---|---|---|---|---|---|
| Parent | Samgwang § | 95.2 ± 4.6 | 64.8 ± 6.0 | 19.7 ± 1.5 | 9 ± 1 |
| Seolgaeng | 82.0 ± 5.8 | 51.0 ± 3.3 | 19.6 ± 1.2 | 7 ± 2 | |
| BC1F1 | SS007 | 94.2 | 70.8 | 19.2 | 13 |
| SS017 | 102.0 | 79.4 | 18.8 | 8 | |
| SS018 | 94.2 | 73.8 | 18.8 | 8 | |
| SS045 | 99.4 | 72.0 | 22.6 | 6 | |
| SS083 | 95.6 | 63.0 | 20.0 | 6 | |
| SS100 | 109.0 | 73.6 | 20.8 | 6 | |
| SS102 | 100.2 | 70.0 | 21.0 | 9 |
| Population | Line | Plant Height (cm) | Culm Length (cm) | Panicle Length (cm) | No. of Tillers |
|---|---|---|---|---|---|
| Parent | Samgwang | 112.3 ± 4.4 § | 85.6 ± 2.1 | 21.9 ± 7.5 | 10.3 ± 2 |
| Seolgaeng | 116.2 ± 8.5 | 83.1 ± 3.4 | 19.1 ± 3.7 | 10.3 ± 3 | |
| BC2F1 | SS50-25 | 118.0 | 85.9 | 16.0 | 18 |
| SS50-26 | 116.8 | 92.8 | 18.2 | 14 | |
| SS50-27 | 118.3 | 86.7 | 17.4 | 10 | |
| SS50-28 | 117.5 | 83.6 | 18.8 | 14 | |
| SS29-06 | 111.5 | 89.7 | 19.1 | 10 | |
| SS29-12 | 110.3 | 88.1 | 19.5 | 17 |
| Population | Viscosity (RVU) | GT ∫ (°C) | ||||||||||
|---|---|---|---|---|---|---|---|---|---|---|---|---|
| PV § | HPV ¶ | Breakdown | CPV † | Setback | ||||||||
| Mean ± SD | t | Mean ± SD | t | Mean ± SD | t | Mean ± SD | t | Mean ± SD | t | Mean ± SD | t | |
| Samgwang | 235.2 ± 15.1 § | 0.85 | 139.1 ± 9.8 | 0.079 | 120.3 ± 18.3 | 0.831 | 219. ± 16.1 | 5.179 ** | −22.6 ± 1.3 | −2.478 | 69.7 ± 1.0 | −3.471 * |
| Seolgaeng | 223.1 ± 19.5 | 138.3 ± 13.9 | 110.1 ± 11.2 | 165.7 ± 2.9 | −20.4 ± 0.7 | 72.1 ± 0.7 | ||||||
| SS29-01 | 205.75 | 118.58 | 87.17 | 196.75 | −9.00 | 72.15 | ||||||
| SS20-02 | 217.59 | 126.92 | 90.67 | 206.38 | −11.21 | 72.88 | ||||||
| SS29-03 | 203.79 | 122.71 | 81.08 | 202.09 | −1.71 | 72.40 | ||||||
| SS29-04 | 235.96 | 144.29 | 91.67 | 227.67 | −8.29 | 71.45 | ||||||
| SS29-05 | 256.50 | 144.75 | 111.75 | 231.50 | −25.00 | 72.20 | ||||||
| SS29-06 | 247.25 | 124.84 | 122.42 | 218.46 | −28.79 | 70.33 | ||||||
| SS29-11 | 246.67 | 144.16 | 102.50 | 228.75 | −17.92 | 72.50 | ||||||
| SS29-12 | 242.79 | 129.83 | 112.96 | 220.42 | −22.37 | 70.68 | ||||||
| SS29-21 | 234.75 | 139.58 | 95.17 | 224.00 | −10.75 | 72.10 | ||||||
| SS29-22 | 229.88 | 131.96 | 97.92 | 213.75 | −16.13 | 71.08 | ||||||
| SS50-20 | 213.46 | 139.84 | 73.63 | 225.17 | 11.71 | 72.13 | ||||||
| SS50-25 | 241.42 | 138.42 | 103.00 | 221.59 | −19.84 | 72.58 | ||||||
| SS50-26 | 251.67 | 130.88 | 120.79 | 215.00 | −36.67 | 72.10 | ||||||
| SS50-27 | 252.25 | 135.42 | 116.84 | 216.92 | −35.33 | 72.10 | ||||||
| SS50-28 | 238.88 | 128.38 | 110.00 | 217.67 | −21.21 | 72.10 | ||||||
| F-value | 37.93 *** | 27.46 ** | 78.19 *** | 29.81 *** | 88.80 *** | 19.09 *** | ||||||
| Population | Line | Plant Height (cm) | Culm Length (cm) | Panicle Length (cm) | No. of Tillers |
|---|---|---|---|---|---|
| Parent | Samgwang | 109.8 ± 1.65 § | 88.7 ± 2.24 | 18.4 ± 0.16 | 13 ± 0.80 |
| Seolgaeng | 106.0 ± 0.12 | 84.4 ± 1.36 | 19.0 ± 0.55 | 10 ± 0.98 | |
| BC2F2 | SS50-25 | 108.3 ± 0.62 | 88.6 ± 0.10 | 18.5 ± 0.45 | 11 ± 1.96 |
| SS50-26 | 104.8 ± 0.41 | 85.0 ± 1.25 | 16.7 ± 0.24 | 10 ± 0.50 | |
| SS50-27 | 109.3 ± 0.62 | 90.8 ± 0.99 | 17.4 ± 0.50 | 13 ± 1.41 | |
| SS50-28 | 110.8 ± 1.74 | 88.4 ± 1.51 | 19.5 ± 0.53 | 13 ± 0.94 | |
| SS29-06 | 112.6 ± 0.66 | 94.5 ± 2.02 | 18.4 ± 0.10 | 12 ± 1.50 | |
| SS29-12 | 112.8 ± 0.45 | 92.8 ± 0.91 | 18.0 ± 0.20 | 12 ± 0.82 | |
| F-value | 5.28 ** | 7.98 *** | 5.31 ** | 1.23 |
Publisher’s Note: MDPI stays neutral with regard to jurisdictional claims in published maps and institutional affiliations. |
© 2022 by the authors. Licensee MDPI, Basel, Switzerland. This article is an open access article distributed under the terms and conditions of the Creative Commons Attribution (CC BY) license (https://creativecommons.org/licenses/by/4.0/).
Share and Cite
Kim, M.-S.; Yu, J.-K.; Ko, S.-R.; Kim, K.-J.; Ji, H.; Kang, K.-K.; Cho, Y.-G. Marker-Assisted Backcrossing (MABc) to Improve Eating Quality with Thin Seed Coat and Aleurone Layer of Non-Glutinous Japonica Variety in Rice. Genes 2022, 13, 210. https://doi.org/10.3390/genes13020210
Kim M-S, Yu J-K, Ko S-R, Kim K-J, Ji H, Kang K-K, Cho Y-G. Marker-Assisted Backcrossing (MABc) to Improve Eating Quality with Thin Seed Coat and Aleurone Layer of Non-Glutinous Japonica Variety in Rice. Genes. 2022; 13(2):210. https://doi.org/10.3390/genes13020210
Chicago/Turabian StyleKim, Me-Sun, Ju-Kyung Yu, Seo-Rin Ko, Ki-Jo Kim, Hyeonso Ji, Kwon-Kyoo Kang, and Yong-Gu Cho. 2022. "Marker-Assisted Backcrossing (MABc) to Improve Eating Quality with Thin Seed Coat and Aleurone Layer of Non-Glutinous Japonica Variety in Rice" Genes 13, no. 2: 210. https://doi.org/10.3390/genes13020210
APA StyleKim, M.-S., Yu, J.-K., Ko, S.-R., Kim, K.-J., Ji, H., Kang, K.-K., & Cho, Y.-G. (2022). Marker-Assisted Backcrossing (MABc) to Improve Eating Quality with Thin Seed Coat and Aleurone Layer of Non-Glutinous Japonica Variety in Rice. Genes, 13(2), 210. https://doi.org/10.3390/genes13020210

