Abstract
Heterozygous pathogenic variants in DNM1 are linked to an autosomal dominant form of epileptic encephalopathy. Recently, homozygous loss-of-function variants in DNM1 were reported to cause an autosomal recessive form of developmental and epileptic encephalopathy in unrelated patients. Here, we investigated a singleton from a first-degree cousin marriage who presented with facial dysmorphism, global developmental delay, seizure disorder, and nystagmus. To identify the involvement of any likely genetic cause, diagnostic clinical exome sequencing was performed. Comprehensive filtering revealed a single plausible candidate variant in DNM1. Sanger sequencing of the trio, the patient, and her parents, confirmed the full segregation of the variant. The variant is a deletion leading to a premature stop codon and is predicted to cause a protein truncation. Structural modeling implicated a complete loss of function of the Dynamin 1 (DNM1). Such mutation is predicted to impair the nucleotide binding, dimer formation, and GTPase activity of DNM1. Our study expands the phenotypic spectrum of pathogenic homozygous loss-of-function variants in DNM1.
1. Introduction
Developmental and epileptic encephalopathies (DEEs) are a group of neurological disorders characterized by epileptic episodes and progressive cerebral dysfunction [1,2]. These disorders commonly manifest as psychomotor developmental delays, dysmorphic features, or abnormal neurological findings such as hypotonia and intellectual disability [3,4,5,6,7]. Heterozygous pathogenic variants in DNM1 are linked to autosomal dominant developmental and epileptic encephalopathy, type 31 (DEE31; OMIM: 616346). The clinical hallmark of DEE31 includes global developmental delay and refractory seizures apparent in early infancy. More than 30 individuals have been reported carrying heterozygous variants in DNM1, mostly being de novo missense variants with predicted dominant negative effects on highly conserved amino acids in the DNM1.
Patients with DEE31 exhibit various types of refractory seizures in their first months or years of life, which exacerbates their psychomotor deficits and developmental regression. Moreover, the affected patients present with severe to profound intellectual disability, with pronounced hypotonia and absence of speech. Some patients may show additional syndromic features, including dysmorphic features or cortical visual impairment [8].
DNM1 is located on chromosome 9q34.11 and encodes a GTPase protein, dynamin 1, which is involved in the endocytosis and fission of neurotransmitter vesicles for recycling after an action potential [9]. DNM1 works by self-assembling into a helical polymer around the vesicle membrane and then constricting after GTP hydrolysis, leading to the fission of the vesicle and complete endocytosis [10,11]. Only recently, homozygous deleterious variants were reported in DNM1 [12]. Here, we present the third homozygous variant in DNM1 in a female who presented with global developmental delay, myoclonic seizures, facial dysmorphism, and nystagmus.
2. Materials and Methods
2.1. Patient and Sample Collection
The patient was clinically evaluated at the Medical Genetics clinic at King Faisal Specialist Hospital and Research Centre, Saudi Arabia. Peripheral blood was taken from the patient and her parents (first-degree cousins, Figure 1A) in EDTA tubes for testing, after obtaining their consent.
Figure 1.
Genetic Analysis. (A) Pedigree of the family 1 showing the carrier parents, the affected girl and the consanguineous marriage. The affected girl is labeled with a filled symbol (black colored). The carrier parents are displayed with half-filled symbols. Squares indicates male individuals, whereas circles show females. (B) Sanger sequencing results of the variant are shown in chromatograms. The red box shows the deletion in IV:1.
2.2. DNA Isolation, Molecular Study
The blood (3 milliliters) was collected from the patient and her parents in EDTA tubes. DNA extraction was performed using the Gentra® Puregene DNA Purification Kit according to the manufacturer’s instructions (Gentra Systems, Inc. Minneapolis, MN, USA). The quantity and quality of the extracted DNA were subsequently evaluated using a NanoDrop® ND-1000 (NanoDrop Inc., Wilmington, DE, USA). Clinical exome sequencing was performed on genomic DNA. A library was prepared using the DNA, which was enzymatically fragmented. DNA capture probes were used to enrich the human coding exome and mitochondrial genome. The generated library was sequenced using an Illumina platform to obtain at least 20× coverage depth. Following alignment, variant calling, and annotation, the generated VCF files underwent a thorough filtration procedure utilizing national and international databases. All variants (minor allele frequency, MAF: <1%) in the gnomAD database and the disease-causing variants reported in commercially available, such as HGMD®, and publicly accessible, i.e., ClinVar and OMIM, databases were searched. The process included variants in coding exons and exon/intron boundaries (±10 bases of intronic sequences). All patterns of inheritance were taken into consideration. Moreover, family history and clinical information were also used to evaluate the identified variants with respect to their pathogenicity and causality.
Specific primers flanking the targeted region were designed using the Primer 3 web tool. PCR was optimized using human control DNA. Afterward, DNA was amplified by PCR and sequenced using Sanger sequencing (Figure 1B). The dynamin 1 sequence was retrieved from the Uniprot database. A model for amino acids #6-791 was produced with SWISS-MODEL [13], based on the homologous crystal structure of dynamin 3 (PDB ID 5A3F, identity = 84.46) as a template. Modeling of dynamin 1 resulted in a homo-tetramer structure (Figure 2A,C). The location of the variant was also studied within the cryo-EM structure of multimeric dynamin 1 (PDB 7AX3) (Figure 2B,D). The models were manually inspected, and the variants were evaluated using the Pymol program (pymol.org) accessed on 5 October 2022.
Figure 2.
Molecular environment and effect of the Pro 117 Arg fs*14 mutation on the GTPase domain. (A) Cartoon diagram of dynamin 1 based on the crystal structure of dynamin 3 (PDB 5A3F) with the GTPase domain shown in orange, the bundle signaling element (BSE) shown in pink, the stalk domain shown in green, and the pleckstrin homology (PH) domain shown in blue. (B) Diagram of the effect of the Pro117Argfs*14 mutation, with the deleted portion of the protein highlighted in gray. The substituted Proline (R117) is shown as a red stick. (C) Location of the variant within the homology model of tetrameric dynamin 1 based on the crystal structure of dynamin 3 (PDB 5A3F). (D) Location of the variant within the cryo-EM structure of multimeric dynamin 1 (PDB 7AX3).
3. Results
3.1. Clinical Features
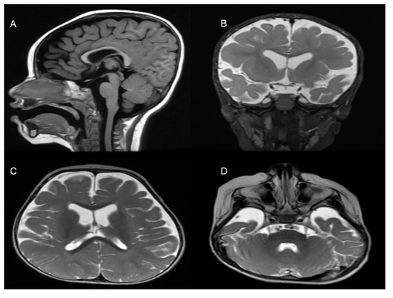
The patient was generated by in vitro fertilization from healthy consanguineous parents with a history of infertility. She was born at term after an uneventful pregnancy, with a normal birth weight. The patient started showing symptoms at 4 months of age, when she was not able to support her head, roll over, make sounds, or follow subjects. She failed to gain any of her developmental milestones including gross and fine motor function, cognition, and speech. She had multiple choking episodes, mainly with liquids and only tolerated a pure diet. She had constipation. Her first attack of seizure was at the age of 16 months, after a febrile illness, and she continued to suffer multiple brief myoclonic seizures, which were partially controlled with levetiracetam. Assessment at the age of 18 months was remarkable for facial dysmorphism in the form of bifrontal narrowing, epicanthal fold, almond-shaped eyes, long palpebral fissures, low-set ears, protruded tongue, and nystagmus. The growth parameters were within the percentiles for age and gender (head circumference 46 cm (25th percentile), weight 9 kg (10th percentile), and length 90 cm (>90th percentile). Neurological deficit was evident, with central hypotonia, peripheral limbs spasticity, hyperreflexia, and positive clonus. An ophthalmological exam was positive for moderate rod–cone dystrophy. Brain magnetic resonance imaging (MRI) at the age of 12 months showed a global mild volume loss of the cerebral hemispheres with a resultant mild expansion of the lateral ventricles and CSF spaces, a mildly thin but well-formed corpus callosum, a normal volume and appearance of the brainstem and cerebellum, and appropriate myelination (based on the patient’s age). Moreover, the brain showed normal signal characteristics without cortical, structural, or migration abnormalities (Figure 3). Hearing assessment was normal.
Figure 3.
MRI Findings. (A) Mild thinning of the corpus callosum. Selected coronal T2 (B) and axial T2-weighted images (C,D) show volume loss of the cerebral hemispheres with resultant mild expansion of the lateral ventricles and CSF spaces.
3.2. Genetic Findings
The diagnostic clinical exome sequencing showed a homozygous deletion in DNM1 (NM_001288739.1: c.350del, p.Pro117Argfs*14). The variant is a single-base deletion that creates a shift in the reading frame (codon 117) and causes a truncation at a new stop codon at the 13th position downstream (p.Pro117Argfs*14). Confirmatory Sanger sequencing indicated the presence of the deletion in the patient, and parental testing confirmed the in trans inheritance.
3.3. Variant’s Classification
The variant was classified as pathogenic according to the standards and guidelines for the interpretation of sequence variants of the American College of Medical Genetics (ACMG) based on the following criteria: PVS1 (Very strong evidence: Null variant (frameshift) in DNM1), predicted to cause NMD (nonsense-mediated decay), predicted to cause a disease outcome based on in silico classifiers and structural analysis, and PM2 (Strong evidence: absent in gnomAD exomes and gnomAD).
3.4. Structural Analysis of the DNM1 Variant and Predicted Functional Effect
Dynamin 1 contains five distinct domains: an N-terminal GTPase (G) domain mediating nucleotide binding and hydrolysis, a bundle signaling element (BSE), a stalk, a pleckstrin homology (PH) domain involved in lipid binding, and a proline-rich domain (PRD) mediating interactions with scaffolding proteins containing BAR and SH3 domains. The variant is a deletion leading to a premature stop codon. The Pro117Argfs*14 mutation results in a truncation that leads to a complete loss of function of the GTPase domain. Hence, the mutation would impair the nucleotide binding, dimer formation, and GTPase activity of the G domain. Because GTP hydrolysis is necessary for vesicle scission, disruptions to this process lead to an inefficient recycling of synaptic vesicles, with impaired tonic firing at inhibitory synapses and thus seizures.
4. Discussion
DNM1 involves in the endocytosis and fission of neurotransmitter vesicles for recycling, works by self-assembling into a helical polymer around the vesicle membrane, and provides the mechanical force necessary to pinch off budding vesicles from the synaptic membrane [14]. Hence, it has essential function during intense neuronal activity. The expression of DNM1 mRNA is upregulated during postnatal brain development and peaks during neurite and synapse formation. During receptor-mediated endocytosis, dynamin molecules assemble into tetramers that hydrolyze GTP [14]. Upon GTP hydrolysis, DNM1 oligomerizes at the neck of clathrin-coated vesicles to mediate constriction and subsequent scission of the membrane [15]. Structural and physiological analysis of the resulting transcribed proteins indicate a dominant-negative effect that leads to impairments in GTP hydrolysis. Such affect eventually causes impaired vesicle endocytosis, which adds credence to the notion that impaired recycling of the vesicle is a key step in epileptogenesis [11]. Of note, nearly one-third of the affected individuals present the recurrent p.Arg237Trp mutation, which affects an arginine residue within the GTPase domain; the majority of the reported deleterious variants are located in the GTPase and middle domains, both of which are considered functionally critical [8].
In this study, we presented another autosomal recessive case caused by a novel deleterious homozygous loss-of-function variant in DNM1 and provided detailed clinical, neuroradiological, and molecular results of a patient who presented with developmental and epileptic encephalopathy.
Since the first case of a pathogenic DNM1 variant was discovered nearly a decade ago, most of the cases were reported to be in autosomal dominant mode, caused by heterozygous deleterious variants. The only exception to this was the study describing two unrelated DEE cases harboring loss-of-function nonsense variants in a homozygous state [12]. Interestingly, both nonsense variants in Yigit et al. (2022) study caused an immediate stop codons (c.97C>T; p.Gln33* in family 1, and c.850C>T; p.Gln284* in family 2) in DNM1 which led to an early truncation of DNM1. Both patients presented with a severe neurodevelopmental phenotype in the form of hypotonia, visual impairment, uncontrolled seizure, and microcephaly, in addition to agenesis of the corpus callosum in one of them. Our patient presented with a global developmental delay, severe hypotonia, notable hyperreflexia, nystagmus, and facial dysmorphism. Moreover, the neuroimaging of our patient showed a global mild volume loss in the cerebral hemispheres with a resultant mild expansion of the lateral ventricles and CSF spaces, in addition to mild agenesis of the corpus callosum, but the rest of the brain was mostly unremarkable, in comparison to Yigit et al. (2022) cases [12]. Interestingly, the novel deletion also resides in the GTPase domain, similar to the other loss-of-function variants reported before [8].
The clinical features observed in our patient are similar to those reported for the other two patients; most prominently, global developmental delay, epilepsy, and the hypotonia. Furthermore, it is worth to note that our patient had an additional phenotype including notable hyperreflexia and lower limbs spasticity, with a multitude of dysmorphic features such as bifrontal narrowing, epicanthal folds, low-set ears, nystagmus, and unusual tongue protrusion, a feature being unique among the reported recessive cases. Table 1 summarizes the clinical phenotypes of our patient and of the previously reported patients with homozygous variants in DNM1.
Table 1.
Clinical features of patients with a homoallelic loss-of-function variant in DNM1.
To confirm our findings, the genetically tested parents were interviewed and examined. They were asymptomatic and free from any exhibited signs or symptoms of DEE. They also did not show any genotypic variation in the DNM1 further exemplifying the autosomal recessive mode of transmission for the variant. Of note, as previously reported before, heterozygous knockout mice [16] as well as heterozygous carriers [12] are all normal, similar to the parents (heterozygous carriers) reported in our study. Therefore, as emphasized by Yigit et al. (2022), haploinsufficiency does not involve in the pathobiological mechanism of DNM1-associated DEE in humans.
5. Conclusions
In conclusion, we provide further evidence that deleterious homozygous loss-of-function variants in DNM1 can lead to severe neurodevelopmental defects characterized by epilepsy, global developmental delay, and hypotonia.
Author Contributions
N.K. and R.A. (Ruqaiah AlTassan) conceptualized, designed, and supervised the project and were involved in drafting the manuscript. H.A. and R.A. (Rakan Alromayan) performed the experiments, R.A. (Rakan Alromayan), H.A. and A.A. reviewed the patient’s charts and were involved in writing the manuscript. R.A. (Ruqaiah AlTassan) and A.A. performed patient care, clinical evaluations, acquisition of clinical data, reviewing of the patients’ charts, and supervision of the clinical descriptions. O.A.A. reviewed the MRI images and conducted the radiological examinations. S.T.A. and A.C.G.-Á. performed the structural analysis and were involved in drafting the manuscript. All authors were involved in drafting and revising the. All authors have read and agreed to the published version of the manuscript.
Funding
This research was funded by the King Salman Center for Disability Research (KSCDR), Award No. KFSHRC-RAC: 2180004 (Namik Kaya), and the King Abdullah University of Science and Technology (KAUST), Award No. FCC/1/1976-25 and REI/1/4446-01 from the Office of Sponsored Research (OSR) (Stefan T. Arold).
Institutional Review Board Statement
The study was conducted according to the guidelines of the Declaration of Helsinki and approved by the Institutional Review Board (or Ethics Committee) of the King Faisal Specialist Hospital and Research Centre (KFSHRC, RAC#2120022; 23 August 2021, and RAC#2180004 3 March 2022).
Informed Consent Statement
Informed consents were obtained from all subjects participating in the study.
Data Availability Statement
Not applicable.
Acknowledgments
We are grateful to the participating patient and her family. We also extend our thanks to the Core Laboratories at the Centre for Genomic Medicine, Research Advisory Council Committees, and the KFSHRC Purchasing Departments for facilitating and expediting our requests. We especially thank the King Salman Center for Disability Research for the generous grant support to Namik Kaya.
Conflicts of Interest
The authors declare no conflict of interest.
References
- Jain, P.; Sharma, S.; Tripathi, M. Diagnosis and management of epileptic encephalopathies in children. Epilepsy Res. Treat. 2013, 2013, 501981. [Google Scholar] [CrossRef] [PubMed]
- Khan, S.; Al Baradie, R. Epileptic encephalopathies: An overview. Epilepsy Res. Treat. 2012, 2012, 403592. [Google Scholar] [CrossRef] [PubMed]
- Epi, K.C.; Epilepsy Phenome/Genome, P.; Allen, A.S.; Berkovic, S.F.; Cossette, P.; Delanty, N.; Dlugos, D.; Eichler, E.E.; Epstein, M.P.; Glauser, T.; et al. De novo mutations in epileptic encephalopathies. Nature 2013, 501, 217–221. [Google Scholar] [CrossRef]
- Euro, E.-R.E.S.C.; Epilepsy Phenome/Genome, P.; Epi, K.C. De novo mutations in synaptic transmission genes including DNM1 cause epileptic encephalopathies. Am. J. Hum. Genet. 2014, 95, 360–370. [Google Scholar] [CrossRef]
- Epi, K.C. De Novo Mutations in SLC1A2 and CACNA1A Are Important Causes of Epileptic Encephalopathies. Am. J. Hum. Genet. 2016, 99, 287–298. [Google Scholar] [CrossRef]
- Nakashima, M.; Kouga, T.; Lourenco, C.M.; Shiina, M.; Goto, T.; Tsurusaki, Y.; Miyatake, S.; Miyake, N.; Saitsu, H.; Ogata, K.; et al. De novo DNM1 mutations in two cases of epileptic encephalopathy. Epilepsia 2016, 57, e18–e23. [Google Scholar] [CrossRef] [PubMed]
- Li, H.; Fang, F.; Xu, M.; Liu, Z.; Zhou, J.; Wang, X.; Wang, X.; Han, T. Clinical Assessments and EEG Analyses of Encephalopathies Associated with Dynamin-1 Mutation. Front. Pharmacol. 2019, 10, 1454. [Google Scholar] [CrossRef] [PubMed]
- von Spiczak, S.; Helbig, K.L.; Shinde, D.N.; Huether, R.; Pendziwiat, M.; Lourenco, C.; Nunes, M.E.; Sarco, D.P.; Kaplan, R.A.; Dlugos, D.J.; et al. DNM1 encephalopathy: A new disease of vesicle fission. Neurology 2017, 89, 385–394. [Google Scholar] [CrossRef] [PubMed]
- Ferguson, S.M.; De Camilli, P. Dynamin, a membrane-remodelling GTPase. Nat. Rev. Mol. Cell Biol. 2012, 13, 75–88. [Google Scholar] [CrossRef] [PubMed]
- Antonny, B.; Burd, C.; De Camilli, P.; Chen, E.; Daumke, O.; Faelber, K.; Ford, M.; Frolov, V.A.; Frost, A.; Hinshaw, J.E.; et al. Membrane fission by dynamin: What we know and what we need to know. EMBO J. 2016, 35, 2270–2284. [Google Scholar] [CrossRef] [PubMed]
- Singh, M.; Jadhav, H.R.; Bhatt, T. Dynamin Functions and Ligands: Classical Mechanisms Behind. Mol. Pharmacol. 2017, 91, 123–134. [Google Scholar] [CrossRef] [PubMed]
- Yigit, G.; Sheffer, R.; Daana, M.; Li, Y.; Kaygusuz, E.; Mor-Shakad, H.; Altmuller, J.; Nurnberg, P.; Douiev, L.; Kaulfuss, S.; et al. Loss-of-function variants in DNM1 cause a specific form of developmental and epileptic encephalopathy only in biallelic state. J. Med. Genet. 2022, 59, 549–553. [Google Scholar] [CrossRef] [PubMed]
- Waterhouse, A.; Bertoni, M.; Bienert, S.; Studer, G.; Tauriello, G.; Gumienny, R.; Heer, F.T.; de Beer, T.A.P.; Rempfer, C.; Bordoli, L.; et al. SWISS-MODEL: Homology modelling of protein structures and complexes. Nucleic Acids Res. 2018, 46, W296–W303. [Google Scholar] [CrossRef] [PubMed]
- Dhindsa, R.S.; Bradrick, S.S.; Yao, X.; Heinzen, E.L.; Petrovski, S.; Krueger, B.J.; Johnson, M.R.; Frankel, W.N.; Petrou, S.; Boumil, R.M.; et al. Epileptic encephalopathy-causing mutations in DNM1 impair synaptic vesicle endocytosis. Neurol. Genet. 2015, 1, e4. [Google Scholar] [CrossRef] [PubMed]
- Reubold, T.F.; Faelber, K.; Plattner, N.; Posor, Y.; Ketel, K.; Curth, U.; Schlegel, J.; Anand, R.; Manstein, D.J.; Noe, F.; et al. Crystal structure of the dynamin tetramer. Nature 2015, 525, 404–408. [Google Scholar] [CrossRef] [PubMed]
- Ferguson, S.M.; Brasnjo, G.; Hayashi, M.; Wolfel, M.; Collesi, C.; Giovedi, S.; Raimondi, A.; Gong, L.W.; Ariel, P.; Paradise, S.; et al. A selective activity-dependent requirement for dynamin 1 in synaptic vesicle endocytosis. Science 2007, 316, 570–574. [Google Scholar] [CrossRef] [PubMed]
Publisher’s Note: MDPI stays neutral with regard to jurisdictional claims in published maps and institutional affiliations. |
© 2022 by the authors. Licensee MDPI, Basel, Switzerland. This article is an open access article distributed under the terms and conditions of the Creative Commons Attribution (CC BY) license (https://creativecommons.org/licenses/by/4.0/).


