Anoctamin 5 (ANO5) Muscle Disorders: A Narrative Review
Abstract
1. Introduction
2. Epidemiology
3. Gene and Protein
3.1. Gene
3.2. Protein
4. Clinical Phenotype
4.1. LGMDR12
4.2. MMD3
4.3. Pseudometabolic Phenotype
4.4. Asymptomatic HyperCKemia
5. Cardiorespiratory Involvement in ANO5 Muscular Dystrophies
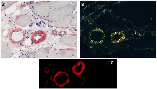
6. Myopathology of ANO5 Muscle Diseases
7. Electrophysiologic Study
8. Muscle MRI
9. Animal Models
10. Management
11. Conclusions
Author Contributions
Funding
Institutional Review Board Statement
Informed Consent Statement
Data Availability Statement
Conflicts of Interest
References
- Tsutsumi, S.; Kamata, N.; Vokes, T.J.; Maruoka, Y.; Nakakuki, K.; Enomoto, S.; Omura, K.; Amagasa, T.; Nagayama, M.; Saito-Ohara, F.; et al. The novel gene encoding a putative transmembrane protein is mutated in gnathodiaphyseal dysplasia (GDD). Am. J. Hum. Genet. 2004, 74, 1255–1261. [Google Scholar] [CrossRef]
- Bolduc, V.; Marlow, G.; Boycott, K.M.; Saleki, K.; Inoue, H.; Kroon, J.; Itakura, M.; Robitaille, Y.; Parent, L.; Baas, F.; et al. Recessive mutations in the putative calcium-activated chloride channel Anoctamin 5 cause proximal LGMD2L and distal MMD3 muscular dystrophies. Am. J. Hum. Genet. 2010, 86, 213–221. [Google Scholar] [CrossRef] [PubMed]
- Milone, M.; Liewluck, T.; Winder, T.L.; Pianosi, P.T. Amyloidosis and exercise intolerance in ANO5 muscular dystrophy. Neuromuscul. Disord. NMD 2012, 22, 13–15. [Google Scholar] [CrossRef] [PubMed]
- Liewluck, T.; Winder, T.L.; Dimberg, E.L.; Crum, B.A.; Heppelmann, C.J.; Wang, Y.; Bergen 3rd, H.R.; Milone, M. ANO5-muscular dystrophy: Clinical, pathological and molecular findings. Eur. J. Neurol. 2013, 20, 1383–1389. [Google Scholar] [CrossRef] [PubMed]
- Papadopoulos, C.; LaforÊt, P.; Nectoux, J.; Stojkovic, T.; Wahbi, K.; Carlier, R.Y.; Carlier, P.G.; Leonard-Louis, S.; Leturcq, F.; Romero, N.; et al. Hyperckemia and myalgia are common presentations of anoctamin-5-related myopathy in French patients. Muscle Nerve 2017, 56, 1096–1100. [Google Scholar] [CrossRef] [PubMed]
- Anandan, C.; Milone, M.; Liewluck, T. Intramuscular interstitial amyloid deposition does not impact anoctaminopathy-5 phenotype. Muscle Nerve 2019, 59, 133–137. [Google Scholar] [CrossRef]
- Witting, N.; Duno, M.; Born, A.P.; Vissing, J. LGMD2L with bone affection: Overlapping phenotype of dominant and recessive ANO5-induced disease. Muscle Nerve 2012, 46, 829–830. [Google Scholar] [CrossRef]
- Shaibani, A.; Khan, S.; Shinawi, M. Autosomal Dominant ANO5-Related Disorder Associated With Myopathy and Gnathodiaphyseal Dysplasia. Neurol. Genet. 2021, 7, e612. [Google Scholar] [CrossRef]
- Hicks, D.; Sarkozy, A.; Muelas, N.; Köehler, K.; Huebner, A.; Hudson, G.; Chinnery, P.F.; Barresi, R.; Eagle, M.; Polvikosk, T.; et al. A founder mutation in Anoctamin 5 is a major cause of limb-girdle muscular dystrophy. Brain J. Neurol. 2011, 134 Pt 1, 171–182. [Google Scholar] [CrossRef] [PubMed]
- Witting, N.; Duno, M.; Petri, H.; Krag, T.; Bundgaard, H.; Kober, L.; Vissing, J. Anoctamin 5 muscular dystrophy in Denmark: Prevalence, genotypes, phenotypes, cardiac findings, and muscle protein expression. J. Neurol. 2013, 260, 2084–2093. [Google Scholar] [CrossRef]
- Penttilä, S.; Palmio, J.; Suominen, T.; Raheem, O.; Evilä, A.; Muelas Gomez, N.; Tasca, G.; Waddell, L.B.; Clarke, N.F.; Barboi, A.; et al. Eight new mutations and the expanding phenotype variability in muscular dystrophy caused by ANO5. Neurology 2012, 78, 897–903. [Google Scholar] [CrossRef]
- Sarkozy, A.; Hicks, D.; Hudson, J.; Laval, S.H.; Barresi, R.; Hilton-Jones, D.; Deschauer, M.; Harris, E.; Rufibach, L.; Hwang, E.; et al. ANO5 gene analysis in a large cohort of patients with anoctaminopathy: Confirmation of male prevalence and high occurrence of the common exon 5 gene mutation. Hum. Mutat. 2013, 34, 1111–1118. [Google Scholar] [CrossRef]
- Ten Dam, L.; Frankhuizen, W.S.; Linssen, W.; Straathof, C.S.; Niks, E.H.; Faber, K.; Fock, A.; Kuks, J.B.; Brusse, E.; de Coo, R.; et al. Autosomal recessive limb-girdle and Miyoshi muscular dystrophies in the Netherlands: The clinical and molecular spectrum of 244 patients. Clin. Genet. 2019, 96, 126–133. [Google Scholar] [CrossRef]
- Magri, F.; Del Bo, R.; D’Angelo, M.G.; Sciacco, M.; Gandossini, S.; Govoni, A.; Napoli, L.; Ciscato, P.; Fortunato, F.; Brighina, E.; et al. Frequency and characterisation of anoctamin 5 mutations in a cohort of Italian limb-girdle muscular dystrophy patients. Neuromuscul. Disord. NMD 2012, 22, 934–943. [Google Scholar] [CrossRef]
- Savarese, M.; Di Fruscio, G.; Tasca, G.; Ruggiero, L.; Janssens, S.; De Bleecker, J.; Delpech, M.; Musumeci, O.; Toscano, A.; Angelini, C.; et al. Next generation sequencing on patients with LGMD and nonspecific myopathies: Findings associated with ANO5 mutations. Neuromuscul. Disord. NMD 2015, 25, 533–541. [Google Scholar] [CrossRef]
- Nallamilli, B.R.R.; Chakravorty, S.; Kesari, A.; Tanner, A.; Ankala, A.; Schneider, T.; de Silva, C.; Beadling, R.; Alexander, J.J.; Askree, S.H.; et al. Genetic landscape and novel disease mechanisms from a large LGMD cohort of 4656 patients. Ann. Clin. Transl. Neurol. 2018, 5, 1574–1587. [Google Scholar] [CrossRef]
- Cai, S.; Gao, M.; Xi, J.; Liu, Z.; Yue, D.; Wu, H.; Bi, H.; Li, J.; Liang, Z.; Zhao, C.; et al. Clinical spectrum and gene mutations in a Chinese cohort with anoctaminopathy. Neuromuscul. Disord. NMD 2019, 29, 628–633. [Google Scholar] [CrossRef]
- Kida, H.; Sano, K.; Yorita, A.; Miura, S.; Ayabe, M.; Hayashi, Y.; Nishino, I.; Taniwaki, T. First Japanese case of muscular dystrophy caused by a mutation in the anoctamin 5 gene. Neurol. Clin. Neurosci. 2015, 3, 150–152. [Google Scholar] [CrossRef]
- Kadoya, M.; Ogata, K.; Suzuki, M.; Honma, Y.; Momma, K.; Yatabe, K.; Tamura, T.; Kaida, K.; Miyata, N.; Nishino, I.; et al. A Japanese male with a novel ANO5 mutation with minimal muscle weakness and muscle pain till his late fifties. Neuromuscul. Disord. NMD 2017, 27, 477–480. [Google Scholar] [CrossRef]
- Bohlega, S.; Monies, D.M.; Abulaban, A.A.; Murad, H.N.; Alhindi, H.N.; Meyer, B.F. Clinical and genetic features of anoctaminopathy in Saudi Arabia. Neurosciences 2015, 20, 173–177. [Google Scholar] [CrossRef]
- Little, A.A.; McKeever, P.E.; Gruis, K.L. Novel mutations in the Anoctamin 5 gene (ANO5) associated with limb-girdle muscular dystrophy 2L. Muscle Nerve 2013, 47, 287–291. [Google Scholar] [CrossRef] [PubMed]
- Lahoria, R.; Winder, T.L.; Lui, J.; Al-Owain, M.A.; Milone, M. Novel ANO5 homozygous microdeletion causing myalgia and unprovoked rhabdomyolysis in an Arabic man. Muscle Nerve 2014, 50, 610–613. [Google Scholar] [CrossRef] [PubMed]
- Katoh, M.; Katoh, M. Identification and characterization of TMEM16E and TMEM16F genes in silico. Int. J. Oncol. 2004, 24, 1345–1349. [Google Scholar] [CrossRef] [PubMed]
- Di Zanni, E.; Gradogna, A.; Picco, C.; Scholz-Starke, J.; Boccaccio, A. TMEM16E/ANO5 mutations related to bone dysplasia or muscular dystrophy cause opposite effects on lipid scrambling. Hum. Mutat. 2020, 41, 1157–1170. [Google Scholar] [CrossRef]
- Joshi, P.R.; Gläser, D.; Dreßel, C.; Kress, W.; Weis, J.; Deschauer, M. Anoctamin 5 muscular dystrophy associated with a silent p.Leu115Leu mutation resulting in exon skipping. Neuromuscul. Disord. NMD 2014, 24, 43–47. [Google Scholar] [CrossRef]
- Silva, A.M.S.; Coimbra-Neto, A.R.; Souza, P.V.S.; Winckler, P.B.; Gonçalves, M.V.M.; Cavalcanti, E.B.U.; Carvalho, A.D.S.; Sobreira, C.F.D.R.; Camelo, C.G.; Mendonça, R.D.H.; et al. Clinical and molecular findings in a cohort of ANO5-related myopathy. Ann. Clin. Transl. Neurol. 2019, 6, 1225–1238. [Google Scholar] [CrossRef]
- Mahjneh, I.; Jaiswal, J.; Lamminen, A.; Somer, M.; Marlow, G.; Kiuru-Enari, S.; Bashir, R. A new distal myopathy with mutation in anoctamin 5. Neuromuscul. Disord. NMD 2010, 20, 791–795. [Google Scholar] [CrossRef]
- Otaify, G.A.; Whyte, M.P.; Gottesman, G.S.; McAlister, W.H.; Eric Gordon, J.; Hollander, A.; Andrews, M.V.; El-Mofty, S.K.; Chen, W.S.; Veis, D.V.; et al. Gnathodiaphyseal dysplasia: Severe atypical presentation with novel heterozygous mutation of the anoctamin gene (ANO5). Bone 2018, 107, 161–171. [Google Scholar] [CrossRef]
- Jin, L.; Liu, Y.; Sun, F.; Collins, M.T.; Blackwell, K.; Woo, A.S.; Reichenberger, E.K.; Hu, Y. Three novel ANO5 missense mutations in Caucasian and Chinese families and sporadic cases with gnathodiaphyseal dysplasia. Sci. Rep. 2017, 7, 40935. [Google Scholar] [CrossRef]
- Andreeva, T.V.; Tyazhelova, T.V.; Rykalina, V.N.; Gusev, F.E.; Goltsov, A.Y.; Zolotareva, O.I.; Aliseichik, M.P.; Borodina, T.A.; Grigorenko, A.P.; Reshetov, D.A.; et al. Whole exome sequencing links dental tumor to an autosomal-dominant mutation in ANO5 gene associated with gnathodiaphyseal dysplasia and muscle dystrophies. Sci. Rep. 2016, 6, 26440. [Google Scholar] [CrossRef]
- Duong, H.A.; Le, K.T.; Soulema, A.L.; Yueh, R.H.; Scheuner, M.T.; Holick, M.F.; Christensen, R.; Tajima, T.L.; Leung, A.M.; Mallya, S.M.; et al. Gnathodiaphyseal dysplasia: Report of a family with a novel mutation of the ANO5 gene. Oral Surg. Oral Med. Oral Pathol. Oral Radiol. 2016, 121, e123–e128. [Google Scholar] [CrossRef] [PubMed]
- Vengoechea, J.; Carpenter, L. Gnathodiaphyseal dysplasia presenting as polyostotic fibrous dysplasia. Am. J. Med. Genetics. Part A 2015, 167, 1421–1422. [Google Scholar] [CrossRef] [PubMed]
- Marconi, C.; Brunamonti Binello, P.; Badiali, G.; Caci, E.; Cusano, R.; Garibaldi, J.; Pippucci, T.; Merlini, A.; Marchetti, C.; Rhoden, K.J.; et al. A novel missense mutation in ANO5/TMEM16E is causative for gnathodiaphyseal dyplasia in a large Italian pedigree. Eur. J. Hum. Genet. EJHG 2013, 21, 613–619. [Google Scholar] [CrossRef] [PubMed]
- Pedemonte, N.; Galietta, L.J. Structure and function of TMEM16 proteins (anoctamins). Physiol. Rev. 2014, 94, 419–459. [Google Scholar] [CrossRef]
- Thiruvengadam, G.; Sreetama, S.C.; Charton, K.; Hogarth, M.; Novak, J.S.; Suel-Petat, L.; Chandra, G.; Allard, B.; Richard, I.; Jaiswal, J.K.; et al. Anoctamin 5 Knockout Mouse Model Recapitulates LGMD2L Muscle Pathology and Offers Insight Into in vivo Functional Deficits. J. Neuromuscul. Dis. 2021, 8, S243–S255. [Google Scholar] [CrossRef]
- Griffin, D.A.; Johnson, R.W.; Whitlock, J.M.; Pozsgai, E.R.; Heller, K.N.; Grose, W.E.; Arnold, W.G.; Sahenk, Z.; Hartzell, H.C.; Rodino-Klapac, L.R.; et al. Defective membrane fusion and repair in Anoctamin5-deficient muscular dystrophy. Hum. Mol. Genet. 2016, 25, 1900–1911. [Google Scholar] [CrossRef]
- Jaiswal, J.K.; Marlow, G.; Summerill, G.; Mahjneh, I.; Mueller, S.; Hill, M.; Miyake, K.; Haase, H.; Anderson, L.V.B.; Richard, I.; et al. Patients with a non-dysferlin Miyoshi myopathy have a novel membrane repair defect. Traffic 2007, 8, 77–88. [Google Scholar] [CrossRef]
- Foltz, S.J.; Cui, Y.Y.; Choo, H.J.; Hartzell, H.C. ANO5 ensures trafficking of annexins in wounded myofibers. J. Cell Biol. 2021, 220, e202007059. [Google Scholar] [CrossRef]
- Chandra, G.; Defour, A.; Mamchoui, K.; Pandey, K.; Mishra, S.; Mouly, V.; Sreetama, S.; Ahmad, M.M.; Mahjneh, I.; Morizono, H.; et al. Dysregulated calcium homeostasis prevents plasma membrane repair in Anoctamin 5/TMEM16E-deficient patient muscle cells. Cell Death Discov. 2019, 5, 118. [Google Scholar] [CrossRef]
- Monjaret, F.; Suel-Petat, L.; Bourg-Alibert, N.; Vihola, A.; Marchand, S.; Roudaut, C.; Gicquel, E.; Udd, B.; Richard, I.; Charton, K.; et al. The phenotype of dysferlin-deficient mice is not rescued by adeno-associated virus-mediated transfer of anoctamin 5. Hum. Gene Ther. Clin. Dev. 2013, 24, 65–76. [Google Scholar] [CrossRef]
- van der Kooi, A.J.; Ten Dam, L.; Frankhuizen, W.S.; Straathof, C.S.; van Doorn, P.A.; de Visser, M.; Ginjaar, L.B. ANO5 mutations in the Dutch limb girdle muscular dystrophy population. Neuromuscul. Disord. NMD 2013, 23, 456–460. [Google Scholar] [CrossRef] [PubMed]
- Khawajazada, T.; Kass, K.; Rudolf, K.; de Stricker Borch, J.; Sheikh, A.M.; Witting, N.; Vissing, J. Muscle involvement assessed by quantitative magnetic resonance imaging in patients with anoctamin 5 deficiency. Eur. J. Neurol. 2021, 28, 3121–3132. [Google Scholar] [CrossRef] [PubMed]
- Jarry, J.; Rioux, M.F.; Bolduc, V.; Robitaille, Y.; Khoury, V.; Thiffault, I.; Tétreault, M.; Loisel, L.; Bouchard, J.P.; Brais, B. A novel autosomal recessive limb-girdle muscular dystrophy with quadriceps atrophy maps to 11p13-p12. Brain J. Neurol. 2007, 130 Pt 2, 368–380. [Google Scholar] [CrossRef] [PubMed]
- Panadés-de Oliveira, L.; Bermejo-Guerrero, L.; de Fuenmayor-Fernández de la Hoz, C.P.; Cantero Montenegro, D.; Hernández Lain, A.; Martí, P.; Muelas, N.; Vichez, J.J.; Domínguez-González, C. Persistent asymptomatic or mild symptomatic hyperCKemia due to mutations in ANO5: The mildest end of the anoctaminopathies spectrum. J. Neurol. 2020, 267, 2546–2555. [Google Scholar] [CrossRef]
- Vázquez, J.; Lefeuvre, C.; Escobar, R.E.; Luna Angulo, A.B.; Miranda Duarte, A.; Delia Hernandez, A.; Brisset, M.; Carlier, R.-Y.; Leturcq, F.; Durand-Canard, M.-C.; et al. Phenotypic Spectrum of Myopathies with Recessive Anoctamin-5 Mutations. J. Neuromuscul. Dis. 2020, 7, 443–451. [Google Scholar] [CrossRef]
- Deschauer, M.; Joshi, P.R.; Gläser, D.; Hanisch, F.; Stoltenburg, G.; Zierz, S. Muscular dystrophy due to mutations in anoctamin 5: Clinical and molecular genetic findings. Der Nervenarzt 2011, 82, 1596–1603. [Google Scholar] [CrossRef]
- Bouquet, F.; Cossée, M.; Béhin, A.; Deburgrave, N.; Romero, N.; Leturcq, F.; Eymard, B. Miyoshi-like distal myopathy with mutations in anoctamin 5 gene. Rev. Neurol. 2012, 168, 135–141. [Google Scholar] [CrossRef]
- Neusch, C.; Kuhlmann, T.; Kress, W.; Schneider-Gold, C. Late-onset myopathy of the posterior calf muscles mimicking Miyoshi myopathy unrelated to dysferlin mutation: A case report. J. Med. Case Rep. 2012, 6, 345. [Google Scholar] [CrossRef]
- Pénisson-Besnier, I.; Saint-André, J.P.; Hicks, D.; Sarkozy, A.; Croué, A.; Hudson, J.; Lochmüller, H.; Dubas, F. Myopathy caused by anoctamin 5 mutations and necrotizing vasculitis. J. Neurol. 2012, 259, 1988–1990. [Google Scholar] [CrossRef][Green Version]
- Mahjneh, I.; Bashir, R.; Kiuru-Enari, S.; Linssen, W.; Lamminen, A.; Visser, M. Selective pattern of muscle involvement seen in distal muscular dystrophy associated with anoctamin 5 mutations: A follow-up muscle MRI study. Neuromuscul. Disord. NMD 2012, 22 (Suppl. S2), S130–S136. [Google Scholar] [CrossRef]
- Wahbi, K.; Béhin, A.; Bécane, H.M.; Leturcq, F.; Cossée, M.; Laforêt, P.; Stojkovic, T.; Carlier, P.; Toussaint, M.; Gaxotte, V.; et al. Dilated cardiomyopathy in patients with mutations in anoctamin 5. Int. J. Cardiol. 2013, 168, 76–79. [Google Scholar] [CrossRef] [PubMed]
- Sarkozy, A.; Deschauer, M.; Carlier, R.Y.; Schrank, B.; Seeger, J.; Walter, M.C.; Schoser, B.; Reilich, P.; Leturq, F.; Radunovic, A.; et al. Muscle MRI findings in limb girdle muscular dystrophy type 2L. Neuromuscul. Disord. NMD 2012, 22 (Suppl. S2), S122–S129. [Google Scholar] [CrossRef] [PubMed]
- Schneider, I.; Stoltenburg, G.; Deschauer, M.; Winterholler, M.; Hanisch, F. Limb girdle muscular dystrophy type 2L presenting as necrotizing myopathy. Acta Myol. Myopathies Cardiomyopathies Off. J. Mediterr. Soc. Myol. 2014, 33, 19–21. [Google Scholar]
- Vissing, C.R.; Preisler, N.; Husu, E.; Prahm, K.P.; Vissing, J. Aerobic training in patients with anoctamin 5 myopathy and hyperckemia. Muscle Nerve 2014, 50, 119–123. [Google Scholar] [CrossRef]
- Blackburn, P.R.; Selcen, D.; Jackson, J.L.; Guthrie, K.J.; Cousin, M.A.; Boczek, N.J.; Clift, K.E.; Klee, E.W.; Dimberg, E.L.; Atwal, P.S. Early-onset limb-girdle muscular dystrophy-2L in a female athlete. Muscle Nerve 2017, 55, E19–E21. [Google Scholar] [CrossRef]
- Liewluck, T.; Milone, M. Characterization of isolated amyloid myopathy. Eur. J. Neurol. 2017, 24, 1437–1445. [Google Scholar] [CrossRef]
- Peddareddygari, L.R.; Oberoi, K.; Baisre-De Leon, A.; Grewal, R.P. Novel Mutation in Anoctamin 5 Gene Causing Limb-Girdle Muscular Dystrophy 2L. J. Clin. Neuromuscul. Dis. 2018, 19, 228–231. [Google Scholar] [CrossRef]
- Vihola, A.; Luque, H.; Savarese, M.; Penttilä, S.; Lindfors, M.; Leturcq, F.; Eymard, B.; Tasca, G.; Brais, B.; Conte, T.; et al. Diagnostic anoctamin-5 protein defect in patients with ANO5-mutated muscular dystrophy. Neuropathol. Appl. Neurobiol. 2018, 44, 441–448. [Google Scholar] [CrossRef]
- Seguí, F.; Gonzalez-Quereda, L.; Sanchez, A.; Matas-García, A.; Garrabou, G.; Rodriguez, M.J.; Gallano, P.; Grau, J.M.; Milisenda, J.C. Anoctamin 5 (ANO5) muscular dystrophy-three different phenotypes and a new histological pattern. Neurol. Sci. Off. J. Ital. Neurol. Soc. Ital. Soc. Clin. Neurophysiol. 2020, 41, 2967–2971. [Google Scholar]
- Mizuta, K.; Tsutsumi, S.; Inoue, H.; Sakamoto, Y.; Miyatake, K.; Miyawaki, K.; Noji, S.; Kamata, N.; Itakura, M. Molecular characterization of GDD1/TMEM16E, the gene product responsible for autosomal dominant gnathodiaphyseal dysplasia. Biochem. Biophys. Res. Commun. 2007, 357, 126–132. [Google Scholar] [CrossRef]
- Holm-Yildiz, S.; Witting, N.; de Stricker Borch, J.; Kass, K.; Khawajazada, T.; Krag, T.; Vissing, J. Muscle biopsy and MRI findings in ANO5-related myopathy. Muscle Nerve 2021, 64, 743–748. [Google Scholar] [CrossRef] [PubMed]
- Pinto, M.V.; Dyck, P.J.B.; Liewluck, T. Neuromuscular amyloidosis: Unmasking the master of disguise. Muscle Nerve 2021, 64, 23–36. [Google Scholar] [CrossRef]
- Xu, J.; Xu, L.; Lau, Y.S.; Gao, Y.; Moore, S.A.; Han, R. A novel ANO5 splicing variant in a LGMD2L patient leads to production of a truncated aggregation-prone Ano5 peptide. J. Pathol. Clin. Res. 2018, 4, 135–145. [Google Scholar] [CrossRef] [PubMed]
- Shouman, K.; Morren, J.; Soltanzadeh, P. Phenotypic Heterogeneity in Limb-girdle Muscular Dystrophy Type 2L (Anoctaminopathy) (P5.446). Neurology 2018, 90 (Suppl. S15), P5.446. [Google Scholar]
- De Wel, B.; Huysmans, L.; Peeters, R.; Goosens, V.; Ghysels, S.; Byloos, K.; Putzeys, G.; D’Hondt, A.; De Bleecker, J.L.; Dupont, P.; et al. Prospective Natural History Study in 24 Adult Patients With LGMDR12 Over 2 Years’ Follow-up: Quantitative MRI and Clinical Outcome Measures. Neurology 2022, 99, e638–e649. [Google Scholar] [CrossRef]
- Depuydt, C.E.; Goosens, V.; Janky, R.; D’Hondt, A.; De Bleecker, J.L.; Noppe, N.; Derveaux, S.; Thal, D.R.; Claeys, K.G. Unraveling the Molecular Basis of the Dystrophic Process in Limb-Girdle Muscular Dystrophy LGMD-R12 by Differential Gene Expression Profiles in Diseased and Healthy Muscles. Cells 2022, 11, 1508. [Google Scholar] [CrossRef]
- Leung, D.G. Magnetic resonance imaging patterns of muscle involvement in genetic muscle diseases: A systematic review. J. Neurol. 2017, 264, 1320–1333. [Google Scholar] [CrossRef]
- Diaz-Manera, J.; Fernandez-Torron, R.; Llauger, J.; James, M.K.; Mayhew, A.; Smith, F.E.; Moore, U.R.; Blamire, A.M.; Carlier, P.G.; Rufibach, L.; et al. Muscle MRI in patients with dysferlinopathy: Pattern recognition and implications for clinical trials. J. Neurol. Neurosurg. Psychiatry 2018, 89, 1071. [Google Scholar] [CrossRef]
- Xu, J.; El Refaey, M.; Xu, L.; Zhao, L.; Gao, Y.; Floyd, K.; Karaze, T.; Janssen, P.M.; Han, R. Genetic disruption of Ano5 in mice does not recapitulate human ANO5-deficient muscular dystrophy. Skelet. Muscle 2015, 5, 43. [Google Scholar] [CrossRef]
- Gyobu, S.; Miyata, H.; Ikawa, M.; Yamazaki, D.; Takeshima, H.; Suzuki, J.; Nagata, S. A Role of TMEM16E Carrying a Scrambling Domain in Sperm Motility. Mol. Cell. Biol. 2016, 36, 645–659. [Google Scholar] [CrossRef]
- Sui, T.; Xu, L.; Lau, Y.S.; Liu, D.; Liu, T.; Gao, Y.; Lai, L.; Han, R.; Li, Z. Development of muscular dystrophy in a CRISPR-engineered mutant rabbit model with frame-disrupting ANO5 mutations. Cell Death Dis. 2018, 9, 609. [Google Scholar] [CrossRef] [PubMed]




Publisher’s Note: MDPI stays neutral with regard to jurisdictional claims in published maps and institutional affiliations. |
© 2022 by the authors. Licensee MDPI, Basel, Switzerland. This article is an open access article distributed under the terms and conditions of the Creative Commons Attribution (CC BY) license (https://creativecommons.org/licenses/by/4.0/).
Share and Cite
Soontrapa, P.; Liewluck, T. Anoctamin 5 (ANO5) Muscle Disorders: A Narrative Review. Genes 2022, 13, 1736. https://doi.org/10.3390/genes13101736
Soontrapa P, Liewluck T. Anoctamin 5 (ANO5) Muscle Disorders: A Narrative Review. Genes. 2022; 13(10):1736. https://doi.org/10.3390/genes13101736
Chicago/Turabian StyleSoontrapa, Pannathat, and Teerin Liewluck. 2022. "Anoctamin 5 (ANO5) Muscle Disorders: A Narrative Review" Genes 13, no. 10: 1736. https://doi.org/10.3390/genes13101736
APA StyleSoontrapa, P., & Liewluck, T. (2022). Anoctamin 5 (ANO5) Muscle Disorders: A Narrative Review. Genes, 13(10), 1736. https://doi.org/10.3390/genes13101736

