Towards the Elucidation of Assimilative nasABC Operon Transcriptional Regulation in Haloferax mediterranei
Abstract
1. Introduction
2. Materials and Methods
2.1. Strains and Growth Conditions
2.2. Constructs Used for Transformation
2.3. Site-Directed Mutagenesis
2.4. Transformation of Hfx. mediterranei and β–Galactosidase Assay
2.5. DNA–Protein Interaction Analysis
2.5.1. Concentration of Biotinylated DNA Optimization
2.5.2. Optimization of Pull-Down Assay Conditions: Protein Sample and Elution Buffer
2.5.3. Pull-Down Assay Adapted for Haloarchaea
2.5.4. Mass Spectrometry Analysis
3. Results
3.1. Characterization of p.nasABC from Hfx. mediterranei
3.2. Mutagenesis and Characterization of the p.nasABC Using bgaH Activity
3.2.1. Analysis of Palindromic Region 1
3.2.2. Analysis of Putative Consensus Binding Site Sequence (Region 2)
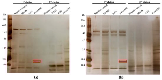
3.3. Pull-Down Assay
4. Discussion
5. Conclusions
Supplementary Materials
Author Contributions
Funding
Institutional Review Board Statement
Informed Consent Statement
Data Availability Statement
Acknowledgments
Conflicts of Interest
References
- Bell, S.D. Archaeal transcriptional regulation—Variation on a bacterial theme? Trends Microbiol. 2005, 13, 262–265. [Google Scholar] [CrossRef]
- Geiduschek, E.P.; Ouhammouch, M. Archaeal transcription and its regulators. Mol. Microbiol. 2005, 56, 1397–1407. [Google Scholar] [CrossRef]
- Pérez-Rueda, E.; Janga, S.C. Identification and Genomic Analysis of Transcription Factors in Archaeal Genomes Exemplifies Their Functional Architecture and Evolutionary Origin. Mol. Biol. Evol. 2010, 27, 1449–1459. [Google Scholar] [CrossRef]
- Lemmens, L.; Maklad, H.R.; Bervoets, I.; Peeters, E. Transcription Regulators in Archaea: Homologies and Differences with Bacterial Regulators. J. Mol. Biol. 2019, 431, 4132–4146. [Google Scholar] [CrossRef]
- Keese, A.M.; Schut, G.J.; Ouhammouch, M.; Adams, M.W.W.; Thomm, M. Genome-Wide Identification of Targets for the Archaeal Heat Shock Regulator Phr by Cell-Free Transcription of Genomic DNA. J. Bacteriol. 2009, 192, 1292–1298. [Google Scholar] [CrossRef]
- Peeters, E.; Peixeiro, N.; Sezonov, G. Cis-regulatory logic in archaeal transcription. Biochem. Soc. Trans. 2013, 41, 326–331. [Google Scholar] [CrossRef][Green Version]
- Lie, T.J.; Wood, G.E.; Leigh, J.A. Regulation of nif Expression in Methanococcus maripaludis: Roles of the euryarchaeal re-pressor NrpR, 2-oxoglutarate, and two operators. J. Biol. Chem. 2005, 280, 5236–5241. [Google Scholar] [CrossRef]
- Ouhammouch, M.; Langham, G.E.; Simpson, A.J.; Geiduschek, E.P.; El-Sayed, N.M.; Hausner, W. Promoter architecture and response to a positive regulator of archaeal transcription. Mol. Microbiol. 2005, 56, 625–637. [Google Scholar] [CrossRef]
- Ni Bhriain, N.; Dorman, C.J.; Higgins, C.F. An overlap between osmotic and anaerobic stress responses: A potential role for DNA supercoiling in the coordinate regulation of gene expression. Mol. Microbiol. 1989, 3, 933–942. [Google Scholar] [CrossRef]
- Yang, C.F.; DasSarma, S. Transcriptional induction of purple membrane and gas vesicle synthesis in the archaebacterium Halobacterium halobium is blocked by a DNA gyrase inhibitor. J. Bacteriol. 1990, 172, 4118–4121. [Google Scholar] [CrossRef]
- Mojica, F.J.; Juez, G.; Rodriguez-Valera, F. Transcription at different salinities of Haloferax mediterranei sequences adjacent to partially modified PstI sites. Mol. Microbiol. 1993, 9, 613–621. [Google Scholar] [CrossRef]
- Dorman, C.J. DNA topology and the global control of bacterial gene expression: Implications for the regulation of virulence gene expression. Microbiology 1995, 141, 1271–1280. [Google Scholar] [CrossRef]
- Travers, A.; Muskhelishvili, G. DNA supercoiling—A global transcriptional regulator for enterobacterial growth? Nat. Rev. Genet. 2005, 3, 157–169. [Google Scholar] [CrossRef]
- Takayanagi, S.; Morimura, S.; Kusaoke, H.; Yokoyama, Y.; Kano, K.; Shioda, M. Chromosomal structure of the halophilic archaebacterium Halobacterium salinarium. J. Bacteriol. 1992, 174, 7207–7216. [Google Scholar] [CrossRef]
- Babski, J.; Maier, L.-K.; Heyer, R.; Jaschinski, K.; Prasse, D.; Jäger, D.; Randau, L.; Schmitz, R.A.; Marchfelder, A.; Soppa, J. Small regulatory RNAs in Archaea. RNA Biol. 2014, 11, 484–493. [Google Scholar] [CrossRef]
- Wagner, E.G.H.; Romby, P. Small RNAs in Bacteria and Archaea: Who They Are, What They Do, and How They Do It. Adv. Genet. 2015, 90, 133–208. [Google Scholar] [CrossRef]
- Payá, G.; Bautista, V.; Camacho, M.; Castejón-Fernández, N.; Alcaraz, L.A.; Bonete, M.-J.; Esclapez, J. Small RNAs of Haloferax mediterranei: Identification and Potential Involvement in Nitrogen Metabolism. Genes 2018, 9, 83. [Google Scholar] [CrossRef]
- Martínez-Espinosa, R.M. Assimilatory nitrate reductase from the haloarchaeon Haloferax mediterranei: Purification and characterisation. FEMS Microbiol. Lett. 2001, 204, 381–385. [Google Scholar] [CrossRef]
- Lledó, B.; Marhuenda-Egea, F.C.; Martínez-Espinosa, R.M.; Bonete, M.J. Identification and transcriptional analysis of nitrate assimilation genes in the halophilic archaeon Haloferax mediterranei. Gene 2005, 361, 80–88. [Google Scholar] [CrossRef]
- Martínez-Espinosa, R.M.; Lledó, B.; Marhuenda-Egea, F.C.; Diaz, S.; Bonete, M.J. NO3 −/NO2 − assimilation in halophilic archaea: Physiological analysis, nasA and nasD expressions. Extremophiles 2009, 13, 785–792. [Google Scholar] [CrossRef]
- Esclapez, J.; Bravo-Barrales, G.; Bautista, V.; Pire, C.; Camacho, M.; Bonete, M.-J. Effects of nitrogen sources on the nitrate assimilation inHaloferax mediterranei: Growth kinetics and transcriptomic analysis. FEMS Microbiol. Lett. 2013, 350, 168–174. [Google Scholar] [CrossRef]
- Esclapez, J.; Pire, C.; Camacho, M.; Bautista, V.; Martínez-Espinosa, R.M.; Zafrilla, B.; Vegara, A.; Alcaraz, L.; Bonete, M.-J. Transcriptional profiles of Haloferax mediterranei based on nitrogen availability. J. Biotechnol. 2015, 193, 100–107. [Google Scholar] [CrossRef]
- Rodriguez-Valera, F.; Ruiz-Berraquero, F.; Ramos-Cormenzana, A. SHORT COMMUNICATION Isolation of Extremely Halophilic Bacteria Able to Grow in Defined Inorganic Media with Single Carbon Sources. Microbiology 1980, 119, 535–538. [Google Scholar] [CrossRef]
- Cline, S.W.; Doolittle, W.F. Efficient transfection of the archaebacterium Halobacterium halobium. J. Bacteriol. 1987, 169, 1341–1344. [Google Scholar] [CrossRef]
- Pedro-Roig, L.; Lange, C.; Bonete, M.J.; Soppa, J.; Maupin-Furlow, J. Nitrogen regulation of protein-protein interactions and transcript levels of GlnK PII regulator and AmtB ammonium transporter homologs in Archaea. MicrobiologyOpen 2013, 2, 826–840. [Google Scholar] [CrossRef]
- Esclapez, J.; Pire, C.; Bautista, V.; Martínez-Espinosa, R.; Ferrer, J.; Bonete, M. Analysis of acidic surface ofHaloferax mediterraneiglucose dehydrogenase by site-directed mutagenesis. FEBS Lett. 2007, 581, 837–842. [Google Scholar] [CrossRef]
- Holmes, M.L.; Scopes, R.K.; Moritz, R.L.; Simpson, R.J.; Englert, C.; Pfeifer, F.; Dyall-Smith, M.L. Purification and analysis of an extremely halophilic β-galactosidase from Haloferax alicantei. Biochim. Biophys. Acta (BBA)-Protein Struct. Mol. Enzym. 1997, 1337, 276–286. [Google Scholar] [CrossRef]
- Bradford, M.M. A rapid and sensitive method for the quantitation of microgram quantities of protein utilizing the principle of protein-dye binding. Anal. Biochem. 1976, 72, 248–254. [Google Scholar] [CrossRef]
- Schwaiger, R.; Schwarz, C.; Furtwängler, K.; Tarasov, V.; Wende, A.; Oesterhelt, D. Transcriptional control by two leucine-responsive regulatory proteins in Halobacterium salinarum R1. BMC Mol. Biol. 2010, 11, 1–15. [Google Scholar] [CrossRef]
- Kessler, A.; Sezonov, G.; Guijarro, J.I.; Desnoues, N.; Rose, T.; Delepierre, M.; Bell, S.D.; Prangishvili, D. A novel archaeal regulatory protein, Sta1, activates transcription from viral promoters. Nucleic Acids Res. 2006, 34, 4837–4845. [Google Scholar] [CrossRef]
- Cabello, P.; Roldán, M.D.; Moreno-Vivián, C. Nitrate reduction and the nitrogen cycle in archaea. Microbiology 2004, 150, 3527–3546. [Google Scholar] [CrossRef]
- Bonete, M.-J.; Martínez-Espinosa, R.M.; Pire, C.; Zafrilla, B.; Richardson, D.J. Nitrogen metabolism in haloarchaea. Saline Syst. 2008, 4, 9–12. [Google Scholar] [CrossRef] [PubMed]
- Yokoyama, K.; Ishijima, S.A.; Clowney, L.; Koike, H.; Aramaki, H.; Tanaka, C.; Makino, K.; Suzuki, M. Feast/famine regulatory proteins (FFRPs):Escherichia coliLrp, AsnC and related archaeal transcription factors. FEMS Microbiol. Rev. 2006, 30, 89–108. [Google Scholar] [CrossRef]
- Peeters, E.; Charlier, D. The Lrp Family of Transcription Regulators in Archaea. Archaea 2010, 2010, 1–10. [Google Scholar] [CrossRef] [PubMed]
- Vassart, A.; Van Wolferen, M.; Orell, A.; Hong, Y.; Peeters, E.; Albers, S.; Charlier, D. Sa- L rp from S ulfolobus acidocaldarius is a versatile, glutamine-responsive, and architectural transcriptional regulator. MicrobiologyOpen 2012, 2, 75–93. [Google Scholar] [CrossRef]
- Brinkman, A.B.; Bell, S.D.; Lebbink, R.J.; de Vos, W.M.; van der Oost, J. The Sulfolobus solfataricus Lrp-like Protein LysM Regulates Lysine Biosynthesis in Response to Lysine Availability. J. Biol. Chem. 2002, 277, 29537–29549. [Google Scholar] [CrossRef] [PubMed]
- Yokoyama, K.; Ishijima, S.A.; Koike, H.; Kurihara, C.; Shimowasa, A.; Kabasawa, M.; Kawashima, T.; Suzuki, M. Feast/Famine Regulation by Transcription Factor FL11 for the Survival of the Hyperthermophilic Archaeon Pyrococcus OT3. Structure 2007, 15, 1542–1554. [Google Scholar] [CrossRef]
- Peeters, E.; Albers, S.-V.; Vassart, A.; Driessen, A.J.M.; Charlier, D. Ss-LrpB, a transcriptional regulator fromSulfolobus solfataricus, regulates a gene cluster with a pyruvate ferredoxin oxidoreductase-encoding operon and permease genes. Mol. Microbiol. 2009, 71, 972–988. [Google Scholar] [CrossRef]
- Liu, H.; Orell, A.; Maes, D.; Van Wolferen, M.; Ann-Christin, L.; Bernander, R.; Albers, S.-V.; Charlier, D.; Peeters, E. BarR, an Lrp-type transcription factor inSulfolobus acidocaldarius, regulates an aminotransferase gene in a β-alanine responsive manner. Mol. Microbiol. 2014, 92, 625–639. [Google Scholar] [CrossRef]
- Liu, H.; Wang, K.; Lindås, A.-C.; Peeters, E. The genome-scale DNA-binding profile of BarR, a β-alanine responsive transcription factor in the archaeon Sulfolobus acidocaldarius. BMC Genom. 2016, 17, 569. [Google Scholar] [CrossRef]






| Protein Extract Buffer | 1st Elution Buffer |
|---|---|
| 20 mM Tris-HCl pH 7.5, 1 M NaCl, 25 mM MgCl2 | 20 mM Tris-HCl pH 7.5, 0.2 M NaCl, 25 mM MgCl2 |
| 20 mM Tris-HCl pH 7.5, 2 M NaCl, 25 mM MgCl2 | |
| 10 mM HEPES pH 7.5, 2 M KCl, 0.5 M NaCl, 5 mM MgCl2 | 10 mM HEPES pH 7.5, 0.5 M KCl, 0.2 M NaCl, 5 mM MgCl2 |
| 10 mM HEPES pH 7.5, 3 M KCl, 1 M NaCl, 5 mM MgCl2 [29] | |
| 20 mM Tris-HCl pH 7.5, 1 M KCl, 25 mM MgCl2 | 20 mM Tris-HCl pH 7.5, 0.2 M KCl, 25 mM MgCl2 |
| 20 mM Tris-HCl pH 7.5, 2 M KCl, 25 mM MgCl2 | |
| 10 mM Tris-HCl pH 7.5, 1 M NaCl | 1% SDS |
| 20 mM Tris-HCl pH 7.5, 10 mM EDTA, 80 mM (NH4)2SO4, 15% glycerol [30] | 20 mM Tris-HCl pH 7.5, 10 mM EDTA, 380 mM NaCl, 15% glycerol |
| Culture Condition | Spectra | Distinct Peptides | Distinct Summed MS/MS Search Score | %AA Coverage | Total Protein Spectral Intensity | Species | NCBI Database | Protein Name |
|---|---|---|---|---|---|---|---|---|
| Nitrate 40 mM | 9 | 3 | 48.81 | 22.3 | 4.69 × 108 | Hfx. mediterranei ATCC 33500 | HFX_0246 | Lrp/AsnC family transcriptional regulator |
| Ammonium 40 mM | 22 | 5 | 75.89 | 40.7 | 4.67 × 108 | Hfx. mediterranei ATCC 33500 | HFX_0246 | Lrp/AsnC family transcriptional regulator |
Publisher’s Note: MDPI stays neutral with regard to jurisdictional claims in published maps and institutional affiliations. |
© 2021 by the authors. Licensee MDPI, Basel, Switzerland. This article is an open access article distributed under the terms and conditions of the Creative Commons Attribution (CC BY) license (https://creativecommons.org/licenses/by/4.0/).
Share and Cite
Pastor-Soler, S.; Camacho, M.; Bautista, V.; Bonete, M.-J.; Esclapez, J. Towards the Elucidation of Assimilative nasABC Operon Transcriptional Regulation in Haloferax mediterranei. Genes 2021, 12, 619. https://doi.org/10.3390/genes12050619
Pastor-Soler S, Camacho M, Bautista V, Bonete M-J, Esclapez J. Towards the Elucidation of Assimilative nasABC Operon Transcriptional Regulation in Haloferax mediterranei. Genes. 2021; 12(5):619. https://doi.org/10.3390/genes12050619
Chicago/Turabian StylePastor-Soler, Sandra, Mónica Camacho, Vanesa Bautista, María-José Bonete, and Julia Esclapez. 2021. "Towards the Elucidation of Assimilative nasABC Operon Transcriptional Regulation in Haloferax mediterranei" Genes 12, no. 5: 619. https://doi.org/10.3390/genes12050619
APA StylePastor-Soler, S., Camacho, M., Bautista, V., Bonete, M.-J., & Esclapez, J. (2021). Towards the Elucidation of Assimilative nasABC Operon Transcriptional Regulation in Haloferax mediterranei. Genes, 12(5), 619. https://doi.org/10.3390/genes12050619

