Possible Role of Endothelial-Derived Cellular and Exosomal-miRNAs in Lipid-Mediated Diabetic Retinopathy: Microarray Studies
Abstract
1. Introduction
2. Materials and Methods
2.1. Cell Culture
2.2. RNA Isolation, Preparation and Analysis
2.3. Microarray Analysis
2.4. Bioinformatics Analysis of the Data
2.5. Exosomes Isolation from HREC Culture Media
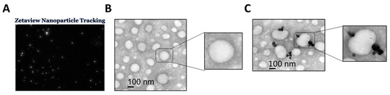
2.6. Zeta View Nanoparticle Tracking Analysis (NTA), Transmission Electron Microscopy (TEM), CD-63 Immunogold Labeling of Exosomes
2.7. Exosomal RNA Isolation and Measurement
2.8. Statistical Analysis
3. Results
3.1. Differential Expression Profile of miRNAs in HRECs Treated with 15-HETE
3.2. Differential Expression Profile of miRNAs in HRECs Treated with High Glucose Compared to Control
3.3. Comparison of miRNAs Commonly Changed in HRECs Challenged with 15-HETE or HG
3.4. Comparison of miRNAs Commonly Changed by 15-HETE-Treated HRECs and Diabetic Mouse Retinas
3.5. Mirwalk2 Analysis for miRNAs of HRECs Treated with 15-HETE for 24 h
3.6. Differential Expression of HREC-Derived Exosomal-miRNAs After 15-HETE Treatment
3.7. IPA Analysis of Exosomal miRNAs Derived from HRECs Treated with 15-HETE for 24 h
4. Discussion
5. Conclusions
Author Contributions
Funding
Institutional Review Board Statement
Informed Consent Statement
Data Availability Statement
Acknowledgments
Conflicts of Interest
References
- Sabanayagam, C.; Banu, R.; Chee, M.L.; Lee, R.; Wang, Y.X.; Tan, G.; Jonas, J.B.; Lamoureux, E.L.; Cheng, C.Y.; Klein, B.E.K.; et al. Incidence and progression of diabetic retinopathy: A systematic review. Lancet Diabetes Endocrinol. 2019, 7, 140–149. [Google Scholar] [CrossRef]
- Elmasry, K.; Habib, S.; Moustafa, M.; Al-Shabrawey, M. Bone Morphogenetic Proteins and Diabetic Retinopathy. Biomolecules 2021, 11, 593. [Google Scholar] [CrossRef] [PubMed]
- Ibrahim, A.S.; Saleh, H.; El-Shafey, M.; Hussein, K.A.; El-Masry, K.; Baban, B.; Sheibani, N.; Wang, M.H.; Tawfik, A.; Al-Shabrawey, M. Targeting of 12/15-Lipoxygenase in retinal endothelial cells, but not in monocytes/macrophages, attenuates high glucose-induced retinal leukostasis. Biochim. Biophys. Acta Mol. Cell Biol. Lipids 2017, 1862, 636–645. [Google Scholar] [CrossRef] [PubMed]
- Ibrahim, A.S.; Elshafey, S.; Sellak, H.; Hussein, K.A.; El-Sherbiny, M.; Abdelsaid, M.; Rizk, N.; Beasley, S.; Tawfik, A.M.; Smith, S.B.; et al. A lipidomic screen of hyperglycemia-treated HRECs links 12/15-Lipoxygenase to microvascular dysfunction during diabetic retinopathy via NADPH oxidase. J. Lipid Res. 2015, 56, 599–611. [Google Scholar] [CrossRef]
- Elmasry, K.; Ibrahim, A.S.; Abdulmoneim, S.; Al-Shabrawey, M. Bioactive lipids and pathological retinal angiogenesis. Br. J. Pharmacol. 2019, 176, 93–109. [Google Scholar] [CrossRef] [PubMed]
- Wang, M.H.; Hsiao, G.; Al-Shabrawey, M. Eicosanoids and Oxidative Stress in Diabetic Retinopathy. Antioxidants 2020, 9, 520. [Google Scholar] [CrossRef]
- Saul, M.J.; Emmerich, A.C.; Steinhilber, D.; Suess, B. Regulation of Eicosanoid Pathways by MicroRNAs. Front. Pharmacol. 2019, 10, 824. [Google Scholar] [CrossRef]
- Ochs, M.J.; Steinhilber, D.; Suess, B. MicroRNAs-novel therapeutic targets of eicosanoid signalling. Basic Clin. Pharmacol. Toxicol. 2014, 114, 92–96. [Google Scholar] [CrossRef]
- Al-Shabrawey, M.; Mussell, R.; Kahook, K.; Tawfik, A.; Eladl, M.; Sarthy, V.; Nussbaum, J.; El-Marakby, A.; Park, S.Y.; Gurel, Z.; et al. Increased expression and activity of 12-lipoxygenase in oxygen-induced ischemic retinopathy and proliferative diabetic retinopathy: Implications in retinal neovascularization. Diabetes 2011, 60, 614–624. [Google Scholar] [CrossRef]
- Elmasry, K.; Ibrahim, A.S.; Saleh, H.; Elsherbiny, N.; Elshafey, S.; Hussein, K.A.; Al-Shabrawey, M. Role of endoplasmic reticulum stress in 12/15-lipoxygenase-induced retinal microvascular dysfunction in a mouse model of diabetic retinopathy. Diabetologia 2018, 61, 1220–1232. [Google Scholar] [CrossRef]
- Fire, A.; Xu, S.; Montgomery, M.K.; Kostas, S.A.; Driver, S.E.; Mello, C.C. Potent and specific genetic interference by double-stranded RNA in Caenorhabditis elegans. Nature 1998, 391, 806–811. [Google Scholar] [CrossRef] [PubMed]
- Elmasry, K.; Mohamed, R.; Sharma, I.; Elsherbiny, N.M.; Liu, Y.; Al-Shabrawey, M.; Tawfik, A. Epigenetic modifications in hyperhomocysteinemia: Potential role in diabetic retinopathy and age-related macular degeneration. Oncotarget 2018, 9, 12562–12590. [Google Scholar] [CrossRef] [PubMed]
- Gong, Q.; Su, G. Roles of miRNAs and long noncoding RNAs in the progression of diabetic retinopathy. Biosci. Rep. 2017, 37, BSR20171157. [Google Scholar] [CrossRef] [PubMed]
- Zhao, X.; Ling, F.; Zhang, G.W.; Yu, N.; Yang, J.; Xin, X.Y. The Correlation Between MicroRNAs and Diabetic Retinopathy. Front. Immunol. 2022, 13, 941982. [Google Scholar] [CrossRef]
- Kaur, P.; Kotru, S.; Singh, S.; Munshi, A. miRNA signatures in diabetic retinopathy and nephropathy: Delineating underlying mechanisms. J. Physiol. Biochem. 2022, 78, 19–37. [Google Scholar] [CrossRef]
- van Niel, G.; D’Angelo, G.; Raposo, G. Shedding light on the cell biology of extracellular vesicles. Nat. Rev. Mol. Cell Biol. 2018, 19, 213–228. [Google Scholar] [CrossRef]
- Chaudhary, P.K.; Kim, S.; Kim, S. Shedding Light on the Cell Biology of Platelet-Derived Extracellular Vesicles and Their Biomedical Applications. Life 2023, 13, 1403. [Google Scholar] [CrossRef]
- Wollert, T.; Hurley, J.H. Molecular mechanism of multivesicular body biogenesis by ESCRT complexes. Nature 2010, 464, 864–869. [Google Scholar] [CrossRef]
- Hessvik, N.P.; Llorente, A. Current knowledge on exosome biogenesis and release. Cell. Mol. Life Sci. 2018, 75, 193–208. [Google Scholar] [CrossRef]
- Huang, C.; Fisher, K.P.; Hammer, S.S.; Navitskaya, S.; Blanchard, G.J.; Busik, J.V. Plasma Exosomes Contribute to Microvascular Damage in Diabetic Retinopathy by Activating the Classical Complement Pathway. Diabetes 2018, 67, 1639–1649. [Google Scholar] [CrossRef]
- Liu, J.; Jiang, F.; Jiang, Y.; Wang, Y.; Li, Z.; Shi, X.; Zhu, Y.; Wang, H.; Zhang, Z. Roles of Exosomes in Ocular Diseases. Int. J. Nanomed. 2020, 15, 10519–10538. [Google Scholar] [CrossRef] [PubMed]
- Samar, H.; Alaa, M.M.; Babak, B.; Khaled, E. Extracellular Vesicles and Diabetic Retinopathy: Nano-Sized Vesicles with Mega-Sized Hopes. In Diabetic Retinopathy—Advancement in Understanding the Pathophysiology and Management Strategies; Mohd Imtiaz, N., Ed.; IntechOpen: Rijeka, Croatia, 2024. [Google Scholar]
- Dweep, H.; Gretz, N. miRWalk2.0: A comprehensive atlas of microRNA-target interactions. Nat. Methods 2015, 12, 697. [Google Scholar] [CrossRef] [PubMed]
- Mehdiani, A.; Maier, A.; Pinto, A.; Barth, M.; Akhyari, P.; Lichtenberg, A. An innovative method for exosome quantification and size measurement. J. Vis. Exp. 2015, 95, 50974. [Google Scholar] [CrossRef]
- Helwa, I.; Cai, J.; Drewry, M.D.; Zimmerman, A.; Dinkins, M.B.; Khaled, M.L.; Seremwe, M.; Dismuke, W.M.; Bieberich, E.; Stamer, W.D.; et al. A Comparative Study of Serum Exosome Isolation Using Differential Ultracentrifugation and Three Commercial Reagents. PLoS ONE 2017, 12, e0170628. [Google Scholar] [CrossRef]
- Hadvina, R.; Lotfy Khaled, M.; Akoto, T.; Zhi, W.; Karamichos, D.; Liu, Y. Exosomes and their miRNA/protein profile in keratoconus-derived corneal stromal cells. Exp. Eye Res. 2023, 236, 109642. [Google Scholar] [CrossRef]
- Patel, G.K.; Khan, M.A.; Zubair, H.; Srivastava, S.K.; Khushman, M.; Singh, S.; Singh, A.P. Comparative analysis of exosome isolation methods using culture supernatant for optimum yield, purity and downstream applications. Sci. Rep. 2019, 9, 5335. [Google Scholar] [CrossRef]
- Jin, Y.; Tymen, S.D.; Chen, D.; Fang, Z.J.; Zhao, Y.; Dragas, D.; Dai, Y.; Marucha, P.T.; Zhou, X. MicroRNA-99 family targets AKT/mTOR signaling pathway in dermal wound healing. PLoS ONE 2013, 8, e64434. [Google Scholar] [CrossRef]
- Hildebrand, D.; Eberle, M.E.; Wolfle, S.M.; Egler, F.; Sahin, D.; Sahr, A.; Bode, K.A.; Heeg, K. Hsa-miR-99b/let-7e/miR-125a Cluster Regulates Pathogen Recognition Receptor-Stimulated Suppressive Antigen-Presenting Cells. Front. Immunol. 2018, 9, 1224. [Google Scholar] [CrossRef]
- Wang, J.; Wu, H.; Peng, Y.; Zhao, Y.; Qin, Y.; Zhang, Y.; Xiao, Z. Hypoxia adipose stem cell-derived exosomes promote high-quality healing of diabetic wound involves activation of PI3K/Akt pathways. J. Nanobiotechnol. 2021, 19, 202. [Google Scholar] [CrossRef]
- Casado-Diaz, A.; Quesada-Gomez, J.M.; Dorado, G. Extracellular Vesicles Derived from Mesenchymal Stem Cells (MSC) in Regenerative Medicine: Applications in Skin Wound Healing. Front. Bioeng. Biotechnol. 2020, 8, 146. [Google Scholar] [CrossRef]
- Massaro, J.D.; Polli, C.D.; Costa, E.S.M.; Alves, C.C.; Passos, G.A.; Sakamoto-Hojo, E.T.; Rodrigues de Holanda Miranda, W.; Bispo Cezar, N.J.; Rassi, D.M.; Crispim, F.; et al. Post-transcriptional markers associated with clinical complications in Type 1 and Type 2 diabetes mellitus. Mol. Cell. Endocrinol. 2019, 490, 1–14. [Google Scholar] [CrossRef] [PubMed]
- Quan, K.Y.; Yap, C.G.; Jahan, N.K.; Pillai, N. Review of early circulating biomolecules associated with diabetes nephropathy—Ideal candidates for early biomarker array test for DN. Diabetes Res. Clin. Pract. 2021, 182, 109122. [Google Scholar] [CrossRef] [PubMed]
- Altintas, O.; Ozgen Altintas, M.; Kumas, M.; Asil, T. Neuroprotective effect of ischemic preconditioning via modulating the expression of cerebral miRNAs against transient cerebral ischemia in diabetic rats. Neurol. Res. 2016, 38, 1003–1011. [Google Scholar] [CrossRef]
- Zhang, H.; Xu, S.; Liu, X. MicroRNA profiling of plasma exosomes from patients with ovarian cancer using high-throughput sequencing. Oncol. Lett. 2019, 17, 5601–5607. [Google Scholar] [CrossRef]
- Jakob, M.; Mattes, L.M.; Kuffer, S.; Unger, K.; Hess, J.; Bertlich, M.; Haubner, F.; Ihler, F.; Canis, M.; Weiss, B.G.; et al. MicroRNA expression patterns in oral squamous cell carcinoma: Hsa-mir-99b-3p and hsa-mir-100-5p as novel prognostic markers for oral cancer. Head Neck 2019, 41, 3499–3515. [Google Scholar] [CrossRef]
- Yao, Y.; Shi, L.; Zhu, X. Four differentially expressed exosomal miRNAs as prognostic biomarkers and therapy targets in endometrial cancer: Bioinformatic analysis. Medicine 2023, 102, e34998. [Google Scholar] [CrossRef]
- Brennan, E.; Butler, A.E.; Drage, D.S.; Sathyapalan, T.; Atkin, S.L. Serum polychlorinated biphenyl levels and circulating miRNAs in non-obese women with and without polycystic ovary syndrome. Front. Endocrinol. 2023, 14, 1233484. [Google Scholar] [CrossRef]
- Jiang, X.; Wei, Z.; Wang, C.; Wang, Q.; Zhang, Y.; Wu, C. A Four-miRNA-Based Diagnostic Signature for Rheumatoid Arthritis. Dis. Markers 2022, 2022, 6693589. [Google Scholar] [CrossRef]
- Petty, R.D.; McCarthy, N.E.; Le Dieu, R.; Kerr, J.R. MicroRNAs hsa-miR-99b, hsa-miR-330, hsa-miR-126 and hsa-miR-30c: Potential Diagnostic Biomarkers in Natural Killer (NK) Cells of Patients with Chronic Fatigue Syndrome (CFS)/Myalgic Encephalomyelitis (ME). PLoS ONE 2016, 11, e0150904. [Google Scholar] [CrossRef]
- Aykutlu, M.S.; Guclu, H.; Doganlar, Z.B.; Kurtdere, A.K.; Doganlar, O. MicroRNA-184 attenuates hypoxia and oxidative stress-related injury via suppressing apoptosis, DNA damage and angiogenesis in an in vitro age-related macular degeneration model. Toxicol In Vitr. 2022, 83, 105413. [Google Scholar] [CrossRef]
- Jiang, C.; Qin, B.; Liu, G.; Sun, X.; Shi, H.; Ding, S.; Liu, Y.; Zhu, M.; Chen, X.; Zhao, C. MicroRNA-184 promotes differentiation of the retinal pigment epithelium by targeting the AKT2/mTOR signaling pathway. Oncotarget 2016, 7, 52340–52353. [Google Scholar] [CrossRef] [PubMed]
- Emdad, L.; Janjic, A.; Alzubi, M.A.; Hu, B.; Santhekadur, P.K.; Menezes, M.E.; Shen, X.N.; Das, S.K.; Sarkar, D.; Fisher, P.B. Suppression of miR-184 in malignant gliomas upregulates SND1 and promotes tumor aggressiveness. Neuro Oncol. 2015, 17, 419–429. [Google Scholar] [CrossRef] [PubMed]
- Huang, W.; Huang, F.; Lei, Z.; Luo, H. LncRNA SNHG11 Promotes Proliferation, Migration, Apoptosis, and Autophagy by Regulating hsa-miR-184/AGO2 in HCC. Onco Targets Ther. 2020, 13, 413–421. [Google Scholar] [CrossRef]
- Vadla, G.P.; Daghat, B.; Patterson, N.; Ahmad, V.; Perez, G.; Garcia, A.; Manjunath, Y.; Kaifi, J.T.; Li, G.; Chabu, C.Y. Combining plasma extracellular vesicle Let-7b-5p, miR-184 and circulating miR-22-3p levels for NSCLC diagnosis and drug resistance prediction. Sci. Rep. 2022, 12, 6693. [Google Scholar] [CrossRef]
- Zhai, J.; Guo, F.; Zhou, X.; Zhu, K.; Li, J.; Wang, C. SNHG 12 and hsa-miR-140-5P may play an important role in the ceRNA network related to hypertrophic cardiomyopathy. J. Thorac. Dis. 2023, 15, 1353–1363. [Google Scholar] [CrossRef]
- Wang, F.; Yu, C. In vitro protective effect of miR-181d-5p in high glucose-induced human retinal microvascular endothelial cells by targeting the angiogenic factor VEGFA. Eur. Rev. Med. Pharmacol. Sci. 2022, 26, 6199–6207. [Google Scholar] [CrossRef]
- Yang, C.; Tahiri, H.; Cai, C.; Gu, M.; Gagnon, C.; Hardy, P. microRNA-181a inhibits ocular neovascularization by interfering with vascular endothelial growth factor expression. Cardiovasc. Ther. 2018, 36, e12329. [Google Scholar] [CrossRef]
- Cao, J.; Zhao, C.; Gong, L.; Cheng, X.; Yang, J.; Zhu, M.; Lv, X. MiR-181 Enhances Proliferative and Migratory Potentials of Retinal Endothelial Cells in Diabetic Retinopathy by Targeting KLF6. Curr. Eye Res. 2022, 47, 882–888. [Google Scholar] [CrossRef]
- Indrieri, A.; Carrella, S.; Romano, A.; Spaziano, A.; Marrocco, E.; Fernandez-Vizarra, E.; Barbato, S.; Pizzo, M.; Ezhova, Y.; Golia, F.M.; et al. miR-181a/b downregulation exerts a protective action on mitochondrial disease models. EMBO Mol. Med. 2019, 11, e8734. [Google Scholar] [CrossRef]
- Xiang, W.; Li, L.; Hong, F.; Zeng, Y.; Zhang, J.; Xie, J.; Shen, G.; Wang, J.; Fang, Z.; Qi, W.; et al. N-cadherin cleavage: A critical function that induces diabetic retinopathy fibrosis via regulation of beta-catenin translocation. FASEB J. 2023, 37, e22878. [Google Scholar] [CrossRef]
- Lopez-Begines, S.; Plana-Bonamaiso, A.; Mendez, A. Molecular determinants of Guanylate Cyclase Activating Protein subcellular distribution in photoreceptor cells of the retina. Sci. Rep. 2018, 8, 2903. [Google Scholar] [CrossRef] [PubMed]
- Agarwal, V.; Bell, G.W.; Nam, J.W.; Bartel, D.P. Predicting effective microRNA target sites in mammalian mRNAs. eLife 2015, 4, e05005. [Google Scholar] [CrossRef] [PubMed]
- Zhu, K.; Hu, X.; Chen, H.; Li, F.; Yin, N.; Liu, A.L.; Shan, K.; Qin, Y.W.; Huang, X.; Chang, Q.; et al. Downregulation of circRNA DMNT3B contributes to diabetic retinal vascular dysfunction through targeting miR-20b-5p and BAMBI. EBioMedicine 2019, 49, 341–353. [Google Scholar] [CrossRef]
- Liang, G.H.; Luo, Y.N.; Wei, R.Z.; Yin, J.Y.; Qin, Z.L.; Lu, L.L.; Ma, W.H. CircZNF532 knockdown protects retinal pigment epithelial cells against high glucose-induced apoptosis and pyroptosis by regulating the miR-20b-5p/STAT3 axis. J. Diabetes Investig. 2022, 13, 781–795. [Google Scholar] [CrossRef]
- Wang, L.; Zhang, Y.; Xin, X. Long non-coding RNA MALAT1 aggravates human retinoblastoma by sponging miR-20b-5p to upregulate STAT3. Pathol. Res. Pract. 2020, 216, 152977. [Google Scholar] [CrossRef]
- Dahmcke, M.; Busch, M.; Pfeil, J.M.; Brauckmann, T.; Schulz, D.; Omran, W.; Morawiec-Kisiel, E.; Wahler, F.; Paul, S.; Tayar, A.; et al. Circulating MicroRNAs as Biomarker for Vessel-Associated Retinal Diseases. Ophthalmologica 2023, 246, 227–237. [Google Scholar] [CrossRef]
- Jiang, Q.; Liu, C.; Li, C.P.; Xu, S.S.; Yao, M.D.; Ge, H.M.; Sun, Y.N.; Li, X.M.; Zhang, S.J.; Shan, K.; et al. Circular RNA-ZNF532 regulates diabetes-induced retinal pericyte degeneration and vascular dysfunction. J. Clin. Investig. 2020, 130, 3833–3847. [Google Scholar] [CrossRef]
- Walz, J.M.; Wecker, T.; Zhang, P.P.; Cakir, B.; Gruening, B.; Agostini, H.; Reuer, T.; Ludwig, F.; Boneva, S.; Faerber, L.; et al. Impact of angiogenic activation and inhibition on miRNA profiles of human retinal endothelial cells. Exp. Eye Res. 2019, 181, 98–104. [Google Scholar] [CrossRef]
- Moustafa, M.; Khalil, A.; Darwish, N.H.E.; Zhang, D.Q.; Tawfik, A.; Al-Shabrawey, M. 12-HETE activates Muller glial cells: The potential role of GPR31 and miR-29. Prostaglandins Other Lipid Mediat. 2024, 171, 106805. [Google Scholar] [CrossRef]
- Li, P.; Hao, X.; Liu, J.; Zhang, Q.; Liang, Z.; Li, X.; Liu, H. miR-29a-3p Regulates Autophagy by Targeting Akt3-Mediated mTOR in SiO(2)-Induced Lung Fibrosis. Int. J. Mol. Sci. 2023, 24, 11440. [Google Scholar] [CrossRef]
- Zhang, H.; Li, X.; Jia, M.; Ji, J.; Wu, Z.; Chen, X.; Yu, D.; Zheng, Y.; Zhao, Y. Roles of H19/miR-29a-3p/COL1A1 axis in COE-induced lung cancer. Environ. Pollut. 2022, 313, 120194. [Google Scholar] [CrossRef] [PubMed]
- Mazzeo, A.; Beltramo, E.; Lopatina, T.; Gai, C.; Trento, M.; Porta, M. Molecular and functional characterization of circulating extracellular vesicles from diabetic patients with and without retinopathy and healthy subjects. Exp. Eye Res. 2018, 176, 69–77. [Google Scholar] [CrossRef] [PubMed]
- Mazzeo, A.; Lopatina, T.; Gai, C.; Trento, M.; Porta, M.; Beltramo, E. Functional analysis of miR-21-3p, miR-30b-5p and miR-150-5p shuttled by extracellular vesicles from diabetic subjects reveals their association with diabetic retinopathy. Exp. Eye Res. 2019, 184, 56–63. [Google Scholar] [CrossRef] [PubMed]
- Gong, M.; Yu, B.; Wang, J.; Wang, Y.; Liu, M.; Paul, C.; Millard, R.W.; Xiao, D.S.; Ashraf, M.; Xu, M. Mesenchymal stem cells release exosomes that transfer miRNAs to endothelial cells and promote angiogenesis. Oncotarget 2017, 8, 45200–45212. [Google Scholar] [CrossRef] [PubMed]
- Zhang, Q.; Liu, C.; Li, Q.; Li, J.; Wu, Y.; Liu, J. MicroRNA-25-5p counteracts oxidized LDL-induced pathological changes by targeting neuronal growth regulator 1 (NEGR1) in human brain micro-vessel endothelial cells. Biochimie 2019, 165, 141–149. [Google Scholar] [CrossRef]
- Jung, J.H.; Shin, E.A.; Kim, J.H.; Sim, D.Y.; Lee, H.; Park, J.E.; Lee, H.J.; Kim, S.H. NEDD9 Inhibition by miR-25-5p Activation Is Critically Involved in Co-Treatment of Melatonin- and Pterostilbene-Induced Apoptosis in Colorectal Cancer Cells. Cancers 2019, 11, 1684. [Google Scholar] [CrossRef]
- Zhang, S.; Zhang, Y.; Cheng, Q.; Ma, Z.; Gong, G.; Deng, Z.; Xu, K.; Wang, G.; Wei, Y.; Zou, X. Silencing protein kinase C zeta by microRNA-25-5p activates AMPK signaling and inhibits colorectal cancer cell proliferation. Oncotarget 2017, 8, 65329–65338. [Google Scholar] [CrossRef]
- Wang, Y.; Tao, B.; Li, J.; Mao, X.; He, W.; Chen, Q. Melatonin Inhibits the Progression of Oral Squamous Cell Carcinoma via Inducing miR-25-5p Expression by Directly Targeting NEDD9. Front. Oncol. 2020, 10, 543591. [Google Scholar] [CrossRef]






| Transcript ID (Array Design) | Fold-Change (15-HETE vs. Control) Downregulated miRNAs | |
|---|---|---|
| 1 | miR-193b-5p | −2.13941 |
| 2 | miR-185-5p | −2.12926 |
| 3 | miR-99b-3p | −1.9243 |
| 4 | miR-1301-3p | −1.92395 |
| 5 | miR-184 | −1.88403 |
| 6 | miR-6871-5p | −1.87815 |
| 7 | miR-4682 | −1.78805 |
| 8 | miR-125a-3p | −1.77299 |
| 9 | miR-574-3p | −1.66244 |
| 10 | miR-423-5p | −1.65963 |
| 11 | miR-936 | −1.64587 |
| 12 | miR-93-5p | −1.61362 |
| 13 | miR-23a-5p | −1.57997 |
| 14 | mir-6770-1 | −1.57223 |
| 15 | mir-6770-2 | −1.57223 |
| 16 | mir-6770-3 | −1.57223 |
| 17 | miR-210-3p | −1.57068 |
| 18 | miR-7854-3p | −1.568 |
| 19 | miR-659-3p | −1.56316 |
| 20 | miR-320b | −1.56315 |
| 21 | miR-140-3p | −1.5526 |
| 22 | mir-2113 | −1.55132 |
| 23 | miR-320a | −1.54671 |
| 24 | miR-651-5p | −1.54507 |
| 25 | miR-1296-5p | −1.52955 |
| 26 | miR-26b-3p | −1.52905 |
| 27 | miR-25-5p | −1.52137 |
| 28 | miR-6738-3p | −1.51287 |
| 29 | miR-4730 | −1.50367 |
| Transcript ID (Array Design) | Fold-Change (15-HETE vs. Control) Upregulated miRNAs | |
| 1 | miR-20b-5p | 2.9085 |
| 2 | miR-1246 | 2.90223 |
| 3 | miR-29a-3p | 2.25368 |
| 4 | miR-183-5p | 2.25132 |
| 5 | miR-130a-3p | 2.20103 |
| 6 | miR-6780b-5p | 2.18853 |
| 7 | U71d | 2.18837 |
| 8 | let-7g-5p | 2.1858 |
| 9 | miR-4731-5p | 2.15909 |
| 10 | miR-6738-5p | 2.12149 |
| 11 | miR-6861-5p | 2.01633 |
| 12 | miR-30b-5p | 2.01434 |
| 13 | miR-6815-5p | 1.99778 |
| 14 | miR-615-5p | 1.95037 |
| 15 | miR-3197 | 1.93633 |
| 16 | miR-4485 | 1.82265 |
| 17 | miR-30c-5p | 1.81731 |
| 18 | miR-4446-3p | 1.80924 |
| 19 | U49B | 1.80587 |
| 20 | miR-1180-5p | 1.73416 |
| 21 | miR-15b-5p | 1.72064 |
| 22 | miR-181c-5p | 1.69496 |
| 23 | let-7f-5p | 1.69172 |
| 24 | U38B | 1.66528 |
| 25 | miR-2116-5p | 1.6609 |
| 26 | U42A | 1.65613 |
| 27 | let-7d-3p | 1.63927 |
| 28 | U46 | 1.63072 |
| 29 | miR-1238-5p | 1.60282 |
| 30 | miR-3135b | 1.59757 |
| 31 | miR-3151-5p | 1.59704 |
| 32 | miR-4725-3p | 1.5942 |
| 33 | miR-483-5p | 1.59252 |
| 34 | miR-665 | 1.59135 |
| 35 | miR-18a-5p | 1.58742 |
| 36 | miR-1914-3p | 1.58741 |
| 37 | U27 | 1.58432 |
| 38 | U78 | 1.57467 |
| 39 | let-7a-5p | 1.5496 |
| 40 | miR-6877-5p | 1.53461 |
| 41 | miR-3909 | 1.51443 |
| 42 | miR-331-3p | 1.5079 |
| 43 | U18A | 1.50782 |
| 44 | miR-551b-5p | 1.50401 |
| 45 | miR-5010-5p | 1.50013 |
| Transcript ID (Array Design) | Fold-Change (DG vs. LG) Downregulated miRNAs | |
|---|---|---|
| 1 | miR-124-3p | −22.3641 |
| 2 | mir-124-1 | −12.6373 |
| 3 | mir-124-2 | −12.6373 |
| 4 | mir-124-3 | −12.6373 |
| 5 | miR-183-5p | −5.09566 |
| 6 | miR-99b-3p | −3.63081 |
| 7 | miR-30b-5p | −2.71616 |
| 8 | miR-505-5p | −2.67664 |
| 9 | miR-184 | −2.57545 |
| 10 | let-7d-3p | −2.51255 |
| 11 | miR-30c | −2.43018 |
| 12 | miR-27b-5p | −2.42614 |
| 13 | miR-20b-5p | −2.37318 |
| 14 | miR-25-3p | −2.0272 |
| 15 | miR-18a-5p | −2.01464 |
| 16 | miR-200c-3p | −1.94529 |
| 17 | miR-182-5p | −1.89452 |
| 18 | miR-28-3p | −1.87453 |
| 19 | miR-1199-5p | −1.8193 |
| 20 | miR-3609 | −1.78542 |
| 21 | miR-532-5p | −1.75867 |
| 22 | mir-3651 | −1.66046 |
| 23 | miR-421 | −1.63488 |
| 24 | miR-181b-5p | −1.55943 |
| Transcript ID (Array Design) | Fold-Change (DG vs. LG) Upregulated miRNAs | |
| 1 | mir-4530 | 2.42153 |
| 2 | miR-4668-5p | 2.29957 |
| 3 | miR-4710 | 2.24883 |
| 4 | miR-8075 | 2.12494 |
| 5 | miR-146b-3p | 2.07914 |
| 6 | miR-6892-3p | 1.99157 |
| 7 | miR-3195 | 1.97017 |
| 8 | mir-320e | 1.94534 |
| 9 | miR-663a | 1.93806 |
| 10 | miR-3613-3p | 1.92286 |
| 11 | miR-5787 | 1.91385 |
| 12 | mir-6722 | 1.90995 |
| 13 | miR-6763-5p | 1.90706 |
| 14 | miR-4534 | 1.89586 |
| 15 | miR-3648 | 1.89012 |
| 16 | mir-6776 | 1.84825 |
| 17 | miR-4665-5p | 1.8185 |
| 18 | miR-6787-5p | 1.78533 |
| 19 | miR-1469 | 1.76724 |
| 20 | miR-6779-5p | 1.76228 |
| 21 | miR-6756-5p | 1.7446 |
| 22 | miR-718 | 1.74096 |
| 23 | miR-1909-3p | 1.73232 |
| 24 | miR-4669 | 1.72668 |
| 25 | miR-4484 | 1.7116 |
| 26 | miR-3911 | 1.70093 |
| 27 | miR-4281 | 1.69903 |
| 28 | mir-6511a-1 | 1.67903 |
| 29 | mir-6511b-1 | 1.67903 |
| 30 | mir-6511b-2 | 1.67903 |
| 31 | mir-6511a-2 | 1.67903 |
| 32 | mir-6511a-3 | 1.67903 |
| 33 | mir-6511a-4 | 1.67903 |
| 34 | miR-6132 | 1.6743 |
| 35 | mir-8075 | 1.66889 |
| 36 | miR-6126 | 1.64547 |
| 37 | miR-4505 | 1.64455 |
| 38 | mir-6500 | 1.63224 |
| 39 | miR-6831-5p | 1.62166 |
| 40 | miR-4530 | 1.6175 |
| 41 | miR-4800-5p | 1.61216 |
| 42 | miR-6782-5p | 1.61098 |
| 43 | miR-4690-5p | 1.59233 |
| 44 | miR-4674 | 1.59134 |
| 45 | miR-3663-3p | 1.58736 |
| 46 | miR-6816-5p | 1.57688 |
| 47 | miR-3178 | 1.56938 |
| 48 | miR-3656 | 1.55741 |
| 49 | miR-4449 | 1.55412 |
| 50 | miR-6789-5p | 1.54633 |
| 51 | miR-6803-5p | 1.53944 |
| 52 | miR-6776-5p | 1.53909 |
| 53 | miR-7847-3p | 1.5382 |
| 54 | miR-149-3p | 1.53707 |
| 55 | miR-6778-5p | 1.53642 |
| 56 | miR-6786-5p | 1.53337 |
| 57 | miR-6085 | 1.5291 |
| 58 | miR-1908-5p | 1.52896 |
| 59 | miR-1237-5p | 1.52361 |
| 60 | miR-1228-5p | 1.52358 |
| 61 | mir-8075 | 1.5233 |
| 62 | miR-4707-5p | 1.52231 |
| 63 | miR-6812-5p | 1.52015 |
| 64 | miR-6791-5p | 1.50186 |
| miRNA (Downregulated in Our Model) | p-Value | Fold Change | Target Genes Involved in Diabetic Retinopathy (miRWalk2.0: a Comprehensive Atlas of microRNA–Target Interactions) |
|---|---|---|---|
| hsa-miR-185-5p | 7.83497 × 10−5 | −2.12926 | KITLG, SOD2, VEGFA |
| hsa-miR-6871-5p | 0.0130272 | −1.87815 | SP1, SOD2 |
| hsa-miR-125a-3p | 0.0259088 | −1.77299 | MTHFR, LIPG |
| hsa-miR-423-5p | 0.00224777 | −1.65963 | SP1, TIMP3 |
| hsa-miR-936 | 0.0135351 | −1.64587 | FGF2, SOD2 |
| hsa-miR-93-5p | 0.00969692 | −1.61362 | SOD2, HIF1A, ICAM1, ITGA2, PRKCB, VEGFA, SOD2 |
| hsa-miR-210-3p | 0.00459651 | −1.57068 | HIF1A |
| hsa-miR-320b | 0.00335084 | −1.56315 | MAPK3 |
| hsa-miR-140-3p | 0.0436274 | −1.5526 | GDNF |
| hsa-miR-26b-3p | 0.0157183 | −1.52905 | FGF2 |
| hsa-miR-25-5p | 0.0219829 | −1.52137 | ENG |
| hsa-miR-6738-3p | 0.0364529 | −1.51287 | VASH1, EDN1 |
| hsa-miR-7847-3p | 0.0140357 | −1.49139 | IGF1, SOD2, MTHFR |
| hsa-miR-6849-5p | 0.00988734 | −1.46607 | SOD2 |
| hsa-miR-99b-5p | 0.0123929 | −1.46407 | SP1, ENO2 |
| hsa-miR-24-3p | 0.000539484 | −1.46219 | IGF1, LIPG, NOS3, CCL2 |
| hsa-miR-103a-3p | 3.36016 × 10−6 | −1.44571 | ITGA2, MTHFR, TIMP3, FGF2 |
| hsa-miR-3127-3p | 0.00351928 | −1.42848 | SP1, APLN |
| hsa-miR-217 | 0.00715815 | −1.41702 | HIF1A |
| hsa-miR-181b-5p | 0.000256852 | −1.41621 | TIMP3, PRKCD, VCAM1 |
| hsa-miR-212-3p | 0.0262645 | −1.40178 | SOD2 |
| hsa-miR-4298 | 0.0396148 | −1.39616 | SOD2 |
| hsa-miR-6831-5p | 0.0178652 | −1.39022 | EDN1, FGF2 |
| miRNA (Downregulated in Our Model) | p-Value | Fold Change | Target Genes Involved in ER Stress (miRWalk2.0: a Comprehensive Atlas of microRNA–Target Interactions) |
|---|---|---|---|
| hsa-miR-193b-5p | 0.0042701 | −2.13941 | DNAJC10, CHAC1 |
| hsa-miR-185-5p | 7.83497 × 10−5 | −2.12926 | GFPT1, DNAJC10, CREB3L2 |
| hsa-miR-1301-3p | 0.00226551 | −1.92395 | VCP, HDGF, EDEM1 |
| hsa-miR-184 | 0.00380738 | −1.88403 | BCL2, VIMP |
| hsa-miR-6871-5p | 0.0130272 | −1.87815 | CHAC1, ATF6 |
| hsa-miR-4682 | 0.0185978 | −1.78805 | TATDN2 |
| hsa-miR-423-5p | 0.00224777 | −1.65963 | BAK1 |
| hsa-miR-93-5p | 0.00969692 | −1.61362 | SCAMP5, FAM129A, DNAJC10, CREBRF, XBP1 |
| hsa-miR-23a-5p | 0.00695373 | −1.57997 | SSR1, HDGF |
| hsa-miR-210-3p | 0.00459651 | −1.57068 | PTPN1 |
| hsa-miR-320b | 0.00335084 | −1.56315 | CREBRF, YOD1 |
| hsa-miR-140-3p | 0.0436274 | −1.5526 | GFPT1, AMFR, PPP1R15A |
| hsa-mir-2113 | 0.0296329 | −1.55132 | GFPT1 |
| hsa-miR-320a | 0.00314374 | −1.54671 | CREBRF, XBP1, YOD1, TSPYL2, DNAJB9, CALR |
| hsa-miR-1296-5p | 0.00222623 | −1.52955 | DCTN1, HYOU1, VCP |
| hsa-miR-25-5p | 0.0219829 | −1.52137 | HSP90B1 |
| hsa-miR-7847-3p | 0.0140357 | −1.49139 | CALR, HDGF, CHAC1, DNAJC10, COL4A3BP |
| hsa-miR-6127 | 0.0375442 | −1.47443 | CTDSP2, HYOU1, CREB3L2 |
| hsa-miR-24-3p | 0.000539484 | −1.46219 | ADD1, ATF3, CCL2, CCND1, CTDSP2, DNAJC3, ERO1L, IFNG, KLHDC3, SSR1, TLN1, YOD1, DNAJC10 |
| hsa-miR-584-5p | 0.0436807 | −1.46208 | UBE4B, HSPA5 |
| hsa-miR-181a-2-3p | 0.0299875 | −1.45872 | YOD1, KLHDC3, DNAJC3 |
| hsa-miR-103a-3p | 3.36016 × 10−6 | −1.44571 | ERN1, BCL2, DNAJC10, CREBRF |
| hsa-miR-4775 | 0.00417953 | −1.43377 | DNAJC10 |
| hsa-miR-3127-3p | 0.00351928 | −1.42848 | HSPA5 |
| hsa-miR-320c | 0.00102898 | −1.41974 | CREBRF, YOD1 |
| hsa-miR-181b-5p | 0.000256852 | −1.41621 | BCL2, DNAJB11, FKBP14, HSP90B1, PDIA6 |
| hsa-miR-4764-3p | 0.0218295 | −1.41492 | DNAJC3 |
| hsa-miR-1910-5p | 0.00757886 | −1.41238 | CALR |
| hsa-miR-212-3p | 0.0262645 | −1.40178 | CHAC1 |
| hsa-miR-324-5p | 0.00586432 | −1.39873 | DDX11, KLHDC3, YOD1 |
| hsa-miR-6831-5p | 0.0178652 | −1.39022 | YOD1, HERPUD1 |
| miRNA (Downregulated in Our Model) | p-Value | Fold Change | Target Genes Involved in ER Stress (miRWalk2.0: a Comprehensive Atlas of microRNA–Target Interactions) |
|---|---|---|---|
| hsa-miR-193b-5p | 0.0042701 | −2.13941 | DNAJC10, CHAC1 |
| hsa-miR-185-5p | 7.83497 × 10−5 | −2.12926 | GFPT1, DNAJC10, CREB3L2 |
| hsa-miR-1301-3p | 0.00226551 | −1.92395 | VCP, HDGF, EDEM1 |
| hsa-miR-184 | 0.00380738 | −1.88403 | BCL2, VIMP |
| hsa-miR-6871-5p | 0.0130272 | −1.87815 | CHAC1, ATF6 |
| hsa-miR-4682 | 0.0185978 | −1.78805 | TATDN2 |
| hsa-miR-423-5p | 0.00224777 | −1.65963 | BAK1 |
| hsa-miR-93-5p | 0.00969692 | −1.61362 | SCAMP5, FAM129A, DNAJC10, CREBRF, XBP1 |
| hsa-miR-23a-5p | 0.00695373 | −1.57997 | SSR1, HDGF |
| hsa-miR-210-3p | 0.00459651 | −1.57068 | PTPN1 |
| hsa-miR-320b | 0.00335084 | −1.56315 | CREBRF, YOD1 |
| hsa-miR-140-3p | 0.0436274 | −1.5526 | GFPT1, AMFR, PPP1R15A |
| hsa-mir-2113 | 0.0296329 | −1.55132 | GFPT1 |
| hsa-miR-320a | 0.00314374 | −1.54671 | CREBRF, XBP1, YOD1, TSPYL2, DNAJB9, CALR |
| hsa-miR-1296-5p | 0.00222623 | −1.52955 | DCTN1, HYOU1, VCP |
| hsa-miR-25-5p | 0.0219829 | −1.52137 | HSP90B1 |
| hsa-miR-7847-3p | 0.0140357 | −1.49139 | CALR, HDGF, CHAC1, DNAJC10, COL4A3BP |
| hsa-miR-6127 | 0.0375442 | −1.47443 | CTDSP2, HYOU1, CREB3L2 |
| hsa-miR-24-3p | 0.000539484 | −1.46219 | ADD1, ATF3, CCL2, CCND1, CTDSP2, DNAJC3, ERO1L, IFNG, KLHDC3, SSR1, TLN1, YOD1, DNAJC10 |
| hsa-miR-584-5p | 0.0436807 | −1.46208 | UBE4B, HSPA5 |
| hsa-miR-181a-2-3p | 0.0299875 | −1.45872 | YOD1, KLHDC3, DNAJC3 |
| hsa-miR-103a-3p | 3.36016 × 10−6 | −1.44571 | ERN1, BCL2, DNAJC10, CREBRF |
| hsa-miR-4775 | 0.00417953 | −1.43377 | DNAJC10 |
| hsa-miR-3127-3p | 0.00351928 | −1.42848 | HSPA5 |
| hsa-miR-320c | 0.00102898 | −1.41974 | CREBRF, YOD1 |
| hsa-miR-181b-5p | 0.000256852 | −1.41621 | BCL2, DNAJB11, FKBP14, HSP90B1, PDIA6 |
| hsa-miR-4764-3p | 0.0218295 | −1.41492 | DNAJC3 |
| hsa-miR-1910-5p | 0.00757886 | −1.41238 | CALR |
| hsa-miR-212-3p | 0.0262645 | −1.40178 | CHAC1 |
| hsa-miR-324-5p | 0.00586432 | −1.39873 | DDX11, KLHDC3, YOD1 |
| hsa-miR-6831-5p | 0.0178652 | −1.39022 | YOD1, HERPUD1 |
| miRNA (Upregulated in Our Model) | p-Value | Fold Change | Target Genes Involved in ER Stress (miRWalk2.0: a Comprehensive Atlas of microRNA–Target Interactions) |
|---|---|---|---|
| hsa-miR-20b-5p | 0.0200306 | 2.9085 | SCAMP5, FAM129A, YOD1, HDGF.EIF2S1 |
| hsa-miR-1246 | 0.0108907 | 2.90223 | CREBRF |
| hsa-miR-29a-3p | 0.000205702 | 2.25368 | BCL2, AMFR, CCND1, HDGF, KLHDC3, SEC31A, BBC3, BCAP31 |
| hsa-miR-183-5p | 0.0180052 | 2.25132 | USP19, PREB, HYOU1, CCND1, ASNS, PSEN1 |
| hsa-miR-130a-3p | 0.0405385 | 2.20103 | ATP6V0D1, TPP1 |
| hsa-miR-6780b-5p | 0.00543559 | 2.18853 | DDX11, KLHDC3, TPP1, BBC3 |
| hsa-let-7g-5p | 0.0409584 | 2.1858 | CCND1, HERPUD1, YOD1 |
| hsa-miR-4731-5p | 0.0274671 | 2.15909 | CCND1, YOD1, DNAJC10 |
| hsa-miR-6738-5p | 0.0400795 | 2.12149 | CALR, BAK1 |
| hsa-miR-6861-5p | 0.0116901 | 2.01633 | HDGF |
| hsa-miR-30b-5p | 0.0235891 | 2.01434 | BCL2, YOD1, SRPR, SHC1 |
| hsa-miR-3197 | 0.0110853 | 1.93633 | SRPR |
| hsa-miR-30c-5p | 0.01312 | 1.81731 | AIFM1, SRPR, ARFGAP1 |
| hsa-miR-4446-3p | 0.0231141 | 1.80924 | CHAC1 |
| hsa-miR-1180-5p | 0.00631992 | 1.73416 | GFPT1, HSPA5 |
| hsa-miR-15b-5p | 0.00109533 | 1.72064 | SCAMP5, DNAJC10, CREBRF, CHAC1, BCL2, SRPRB, SRPR, PDIA6, IFNG, HYOU1 |
| hsa-miR-181c-5p | 0.0386374 | 1.69496 | BCL2, FKBP14, HSP90B1, PDIA6, BCL2 |
| hsa-let-7f-5p | 0.0273735 | 1.69172 | CCND1, HERPUD1, YOD1 |
| hsa-miR-3135b | 0.000338555 | 1.59757 | DNAJC10 |
| hsa-miR-3151-5p | 0.0234764 | 1.59704 | CHAC1 |
| hsa-miR-4725-3p | 0.0240861 | 1.5942 | BBC3, TPP1, KLHDC3, DDX11 |
| hsa-miR-665 | 0.0476011 | 1.59135 | BBC3, ERN1, KLHDC3, HSP90B1, DNAJB9, CTDSP2, CALR |
| hsa-miR-18a-5p | 0.0233516 | 1.58742 | BCL2, VCP, CCND1 |
| hsa-miR-1914-3p | 0.0258546 | 1.58741 | BAK1, CALR |
| hsa-let-7a-5p | 0.0131744 | 1.5496 | ERN1, BCL2, YOD1, SYVN1, PREB, LMNA, CCND1 |
| hsa-miR-331-3p | 0.0295934 | 1.5079 | BAG6, VAPB, SEC31A, ATF3 |
| hsa-miR-551b-5p | 0.0133219 | 1.50401 | YOD1, VAPB |
| hsa-miR-5010-5p | 0.0471213 | 1.50013 | CALR |
| hsa-miR-3972 | 0.000521049 | 1.49324 | CHAC1 |
| hsa-miR-25-3p | 0.0250217 | 1.48197 | EDEM1, DNAJB9, DCTN1, ITPR1, SRPR, TLN1, BAK1, FAM129A |
| hsa-let-7i-5p | 0.0127131 | 1.48001 | YOD1, HERPUD1, CCND1 |
| hsa-miR-29b-1-5p | 0.0019697 | 1.40081 | DNAJB9 |
| hsa-miR-223-3p | 0.0205097 | 1.39724 | HSP90B1 |
| Transcript ID (Array Design) | p-Value | Fold-Change (Exososmes_15-HETE vs. Control) Downregulated miRNAs | |
|---|---|---|---|
| 1 | hsa-miR-4487 | 0.00661752 | −2.40829 |
| 2 | hsa-miR-3690 | 0.00438276 | −1.55195 |
| 3 | hsa-mir-6128 | 0.0387961 | −1.54554 |
| 4 | ACA42 | 0.0490747 | −1.53514 |
| 5 | U8 | 0.00166388 | −1.52226 |
| 6 | hsa-mir-320c-2 | 0.00831453 | −1.46108 |
| 7 | hsa-mir-4476 | 0.0108395 | −1.45078 |
| 8 | hsa-mir-320d-2 | 0.0110809 | −1.42859 |
| 9 | hsa-miR-4786-3p | 0.016741 | −1.41058 |
| 10 | hsa-miR-29a-5p | 0.0183503 | −1.40645 |
| 11 | HBII-52-30 | 0.0125513 | −1.38304 |
| 12 | ENSG00000239188 | 0.0172407 | −1.38152 |
| 13 | ACA26 | 0.000695604 | −1.37988 |
| 14 | hsa-miR-6801-3p | 0.036956 | −1.37851 |
| 15 | hsa-mir-4275 | 0.0404561 | −1.3758 |
| 16 | hsa-miR-6821-3p | 0.00927923 | −1.37291 |
| 17 | ENSG00000239095 | 0.0144574 | −1.36681 |
| 18 | hsa-miR-210-5p | 0.0119924 | −1.35262 |
| 19 | hsa-miR-6814-3p | 0.0259467 | −1.3459 |
| 20 | hsa-miR-517a-3p | 0.043272 | −1.3388 |
| 21 | hsa-miR-517b-3p | 0.043272 | −1.3388 |
| 22 | ENSG00000251860 | 0.035814 | −1.33472 |
| 23 | hsa-mir-3184 | 0.00395034 | −1.32985 |
| 24 | hsa-miR-7156-5p | 0.0122472 | −1.32981 |
| 25 | U8 | 0.0479245 | −1.32981 |
| 26 | ENSG00000238798 | 0.00710618 | −1.32814 |
| 27 | hsa-miR-7843-3p | 0.0236484 | −1.32518 |
| 28 | hsa-miR-4520b-3p | 0.0143208 | −1.31254 |
| 29 | ENSG00000212347 | 0.0331977 | −1.3101 |
| 30 | ENSG00000268513 | 0.0331977 | −1.3101 |
| 31 | ENSG00000251878 | 0.0300967 | −1.30726 |
| 32 | ENSG00000252409 | 0.0269747 | −1.30663 |
| 33 | U57 | 0.0104552 | −1.30431 |
| 34 | hsa-miR-449c-3p | 0.0491754 | −1.30052 |
| Transcript ID (Array Design) | p-Value | Fold-Change (Exososmes_15-HETE vs. Control) Upregulated miRNAs | |
| 1 | hsa-mir-2114 | 0.00499041 | 1.30162 |
| 2 | mgU6-53B | 0.0386137 | 1.3021 |
| 3 | HBII-52-22 | 0.0361741 | 1.30235 |
| 4 | hsa-mir-424 | 0.00438885 | 1.30605 |
| 5 | HBII-52-26 | 0.0425845 | 1.3122 |
| 6 | hsa-miR-8079 | 0.0123932 | 1.31341 |
| 7 | hsa-mir-3910-2 | 0.0325295 | 1.31768 |
| 8 | ENSG00000201025 | 0.0165037 | 1.32395 |
| 9 | hsa-mir-8058 | 0.00374253 | 1.32408 |
| 10 | ENSG00000238544 | 0.00376291 | 1.32674 |
| 11 | hsa-miR-617 | 0.0491327 | 1.32751 |
| 12 | hsa-miR-141-3p | 0.036113 | 1.32897 |
| 13 | hsa-miR-3928-3p | 0.0155404 | 1.33317 |
| 14 | ACA67B | 0.0119016 | 1.33334 |
| 15 | hsa-miR-7846-3p | 0.0219211 | 1.33451 |
| 16 | hsa-miR-6857-3p | 0.0199351 | 1.33525 |
| 17 | ENSG00000252096 | 0.00802232 | 1.33957 |
| 18 | hsa-miR-1227-3p | 0.00133352 | 1.3439 |
| 19 | hsa-miR-5008-5p | 0.00391714 | 1.34884 |
| 20 | hsa-mir-4489 | 0.0216809 | 1.34958 |
| 21 | hsa-miR-187-5p | 0.0260663 | 1.34968 |
| 22 | hsa-miR-3677-5p | 0.00231678 | 1.35441 |
| 23 | hsa-mir-4632 | 0.0100516 | 1.3616 |
| 24 | hsa-miR-4489 | 0.0239144 | 1.37448 |
| 25 | hsa-miR-202-5p | 0.0224492 | 1.378 |
| 26 | ENSG00000202268 | 0.0466552 | 1.38082 |
| 27 | hsa-miR-3616-3p | 0.0322928 | 1.38249 |
| 28 | hsa-mir-1185-2 | 0.0109365 | 1.38865 |
| 29 | hsa-mir-1185-1 | 0.0109365 | 1.38865 |
| 30 | hsa-miR-4714-3p | 0.0205829 | 1.4008 |
| 31 | hsa-miR-1538 | 0.0235173 | 1.40268 |
| 32 | hsa-miR-433-3p | 0.00703121 | 1.40465 |
| 33 | hsa-miR-5690 | 0.0142904 | 1.40597 |
| 34 | hsa-miR-6738-5p | 0.0156754 | 1.44312 |
| 35 | hsa-miR-3120-5p | 0.0473806 | 1.45883 |
| 36 | hsa-miR-4740-3p | 0.0426094 | 1.46464 |
| 37 | hsa-miR-4726-3p | 0.0012146 | 1.47058 |
| 38 | hsa-mir-1825 | 0.0440976 | 1.49861 |
| 39 | hsa-mir-4491 | 0.00512187 | 1.50735 |
| 40 | hsa-miR-6131 | 0.0299504 | 1.54204 |
| 41 | hsa-mir-6765 | 0.00453891 | 1.55079 |
| 42 | hsa-miR-3181 | 0.0300586 | 1.55837 |
| 43 | hsa-miR-1973 | 0.0480557 | 1.68636 |
| 44 | hsa-miR-637 | 0.039217 | 1.9771 |
| 45 | hsa-miR-6875-5p | 0.041488 | 2.38165 |
| miRNA | IPA Analysis Target Genes | Fold Change |
|---|---|---|
| Exosomal miRNAs involved in Hypoxia signaling | ||
| hsa-let-7b-5p | CSNK1D | −1.712 |
| hsa-miR-5189-5p | TP53 | 1.782 |
| hsa-miR-140-5p | VEGFA | 1.001 |
| hsa-miR-143-3p | MDM2 | 1.17 |
| hsa-miR-5195-3p | MDM2 | 1.505 |
| hsa-miR-155-5p | UBE2J1 | 1.722 |
| hsa-miR-16-5p | HSP90B1, JUN, UBE2S, VEGFA | 2.44 |
| hsa-miR-20a-5p | CREB1, PTEN, VEGFA | 2.295 |
| hsa-miR-185-5p | AKT1 | 1.596 |
| hsa-miR-3619-5p | ATF4, PTEN | −1.478 |
| hsa-miR-222-3p | PTEN | 1.363 |
| hsa-miR-23a-3p | PTEN | −1.74 |
| hsa-miR-31-5p | HIF1A | 1.494 |
| hsa-miR-494-3p | PTEN | 1.464 |
| Exosomal miRNAs involved in HIF1a signaling | ||
| hsa-let-7b-5p | HRAS, KRAS, NRAS, Ras | −1.712 |
| hsa-miR-99b-5p | FGFR3 | 1.364 |
| hsa-miR-124-3p | MAPK14, PGF | 1.404 |
| hsa-miR-125b-5p | TP53 | 1.137 |
| hsa-miR-5189-5p | AKT2, TP53 | 1.782 |
| hsa-miR-5195-3p | IRS1, MAPK7, MDM2, MMP1 | 1.505 |
| hsa-miR-16-5p | FGFR1, GRB2, JUN, MAPK3, VEGFA | 2.44 |
| hsa-miR-20a-5p | MMP3, VEGFA | 2.295 |
| hsa-miR-185-5p | AKT1 | 1.596 |
| hsa-miR-31-5p | HIF1A | 1.494 |
| Exosomal miRNAs involved in VEGF signaling | ||
| hsa-let-7b-5p | BCL2L1, HRAS, KRAS, NRAS, Ras | −1.712 |
| hsa-miR-99b-5p | FGFR3 | 1.364 |
| hsa-miR-124-3p | PGF, ROCK1 | 1.404 |
| hsa-miR-5189-5p | AKT2 | 1.782 |
| hsa-miR-138-5p | ROCK2 | 1.561 |
| hsa-miR-5195-3p | IRS1 | 1.505 |
| hsa-miR-155-5p | FOXO3 | 1.722 |
| hsa-miR-16-5p | BCL2, FGFR1, GRB2, MAP2K1, MAPK3, RAF1, VEGFA | 2.44 |
| hsa-miR-20a-5p | BCL2, VEGFA | 2.295 |
| hsa-miR-181c-5p | BCL2, KRAS | −1.312 |
| Exosomal miRNAs involved in inhibition of angiogenesis | ||
| hsa-let-7b-5p | CASP3, TGFBR1, THBS1 | −1.712 |
| hsa-miR-124-3p | MAPK14 | 1.404 |
| hsa-miR-125b-5p | TP53 | 1.137 |
| hsa-miR-5189-5p | AKT2, TP53 | 1.782 |
| hsa-miR-141-3p | MAP2K4 | 1.329 |
| hsa-miR-155-5p | CD47 | 1.722 |
| hsa-miR-16-5p | JUN, MAP2K4, VEGFA | 2.44 |
| hsa-miR-20a-5p | TGFBR2, VEGFA | 2.295 |
| hsa-miR-185-5p | AKT1 | 1.596 |
| hsa-miR-92a-3p | MAP2K4 | −1.498 |
| Exosomal miRNAs involved in eNOS signaling | ||
| hsa-let-7b-5p | CASP3 | −1.712 |
| hsa-miR-99b-5p | FGFR3 | 1.364 |
| hsa-miR-124-3p | CAV1, DNM2, PGF, PRKD1 | 1.404 |
| hsa-miR-5189-5p | AKT2 | 1.782 |
| hsa-miR-5195-3p | CCNA2, IRS1 | 1.505 |
| hsa-miR-155-5p | PRKCI | 1.722 |
| hsa-miR-16-5p | FGFR1, GRB2, HSP90B1, HSPA1A/HSPA1B, SLC7A1, VEGFA | 2.44 |
| hsa-miR-20a-5p | ESR1, VEGFA | 2.295 |
| hsa-miR-181c-5p | ESR1 | −1.312 |
| hsa-miR-182-5p | ADCY6 | 1.31 |
| hsa-miR-185-5p | AKT1 | 1.596 |
| hsa-miR-22-3p | ESR1 | 1.403 |
| hsa-miR-222-3p | ESR1, PIK3R1 | 1.363 |
| Exosomal miRNAs involved in iNOS signaling | ||
| hsa-let-7b-5p | HMGA1, TLR4 | −1.712 |
| hsa-miR-124-3p | MAPK14, RELA | 1.404 |
| hsa-miR-155-5p | IKBKE, MYD88 | 1.722 |
| hsa-miR-16-5p | HMGA1, JUN | 2.44 |
| hsa-miR-20a-5p | JAK1 | 2.295 |
| hsa-miR-222-3p | FOS | 1.363 |
| Exosomal miRNAs involved in ER stress | ||
| hsa-let-7b-5p | CASP3 | −1.712 |
| hsa-miR-125b-5p | CASP7 | 1.137 |
| hsa-miR-127-3p | XBP1 | −1.092 |
| hsa-miR-133a-3p | CASP9 | 1.015 |
| hsa-miR-16-5p | ATF6 | 2.44 |
| hsa-miR-16-5p | HSP90B1 | 2.44 |
| hsa-miR-3619-5p | ATF4 | −1.478 |
| hsa-miR-503-5p | ATF6 | −1.274 |
| Exosomal miRNAs involved in AMPK signaling | ||
| hsa-let-7b-5p | CCND1, GYS1 | −1.712 |
| hsa-miR-99b-5p | FGFR3, MTOR, RPTOR | 1.364 |
| hsa-miR-124-3p | AK2, MAPK14 | 1.404 |
| hsa-miR-5189-5p | AKT2 | 1.782 |
| hsa-miR-5195-3p | CCNA2, IRS1 | 1.505 |
| hsa-miR-155-5p | ARID2, CCND1, FOXO3 | 1.722 |
| hsa-miR-16-5p | CCND1, FGFR1, GRB2, PPP2R5C | 2.44 |
| hsa-miR-20a-5p | CCND1, CDKN1A, CREB1 | 2.295 |
| hsa-miR-185-5p | AKT1 | 1.596 |
| hsa-miR-193b-3p | CCND1 | 1.77 |
| hsa-miR-3619-5p | ATF4 | −1.478 |
| hsa-miR-222-3p | FOXO3, PIK3R1, PPP2R2A | 1.363 |
| hsa-miR-31-5p | PPP2R2A | 1.494 |
| hsa-miR-92a-3p | CDKN1A | −1.498 |
| Exosomal miRNAs involved in Inflammasome pathway | ||
| hsa-let-7b-5p | TLR4 | −1.712 |
| hsa-miR-155-5p | MYD88 | 1.722 |
| hsa-miR-16-5p | PANX1 | 2.44 |
| hsa-miR-20a-5p | CXCL8 | 2.295 |
| Exosomal miRNAs involved in Apoptosis | ||
| hsa-let-7b-5p | BCL2L1, CASP3, CCND1, CDK6, HRAS, KRAS, MYC, NRAS, Ras, SLC25A13, TGFBR1, TLR4, VIM | −1.712 |
| hsa-miR-99b-5p | FGFR3, IGF1R, MTOR | 1.364 |
| hsa-miR-103a-3p | CCNE1, CDK6, CRKL, NFIA | 1.681 |
| hsa-miR-124-3p | AHR, AHRR, ALDH9A1, CDK2, CDK4, CDK6, CEBPA, CHP1, CYP1B1, DFFB, ELF4, ELK3, F11R, ITGB1, MAPK14, MYH9, NFATC1, NFIC, PARP16, PRKD1, RARG, RELA, ROCK1, SP1, STAT3, TJP2, TNFRSF21, TRIP11, TUBB6, VAMP3 | 1.404 |
| hsa-miR-5189-5p | AKT2, TP53 | 1.782 |
| hsa-miR-138-5p | ALDH1A2, TERT | 1.561 |
| hsa-miR-141-3p | CTNNB1, CYP1B1, MAP2K4, STAT5B, TGFB2, YAP1 | 1.329 |
| hsa-miR-5195-3p | CCNA2, CDK4, DDR1, DFFA, F11R, IGF1R, IRS1, MAPK7, MDM2, MYC, PARP8, PPP3CA | 1.505 |
| hsa-miR-152-3p | CCKBR | −1.353 |
| hsa-miR-155-5p | CCND1, CEBPB, CLDN1, CTNNB1, ETS1, FADD, FOXO3, GNA13, IKBKE, INPP5D, MYD88, PRKCI, RHOA, RIPK1, SOCS1, TAB2, TNFRSF10A, VAMP3 | 1.722 |
| hsa-miR-16-5p | BCL2, CCND1, CCND3, CCNE1, CDK6, CHEK1, CLDN12, EGFR, FGFR1, GRB2, GSTM4, HSP90B1, IGF1, IGF1R, IGF2R, ITGA2, JUN, MAP2K1, MAP2K4, MAPK3, MCL1, NAPG, NFIA, PDCD6IP, PPP2R5C, RAF1, VTI1B | 2.44 |
| hsa-miR-20a-5p | BCL2, BCL2L11, BMPR2, CCND1, CDKN1A, CREB1, CXCL8, E2F1, ESR1, JAK1, MAP3K12, MEF2D, NCOA3, PAK5, PTEN, RB1, RBL2, S1PR1, STAT3, TGFBR2, TLR7, TNF, VIM | 2.295 |
| hsa-miR-185-5p | AKT1, CCNE1, CDC42, CDK6, RHOA | 1.596 |
| hsa-miR-191-5p | IL6, TLR3 | 2.58 |
| hsa-miR-210-3p | FGFRL1 | 1.438 |
| hsa-miR-210-3p | PTPN1 | 1.438 |
| hsa-miR-3619-5p | BAX, PTEN | −1.478 |
| hsa-miR-22-3p | ESR1, PPARA, SRF | 1.403 |
| hsa-miR-92a-3p | BCL2L11, BMPR2, CCNE2, CDKN1A, ITGA5, MAP2K4, PTEN | −1.498 |
| Exosomal miRNAs involved in mTOR signaling | ||
| hsa-let-7b-5p | EIF3J, EIF4G2, HMOX1, HRAS, KRAS, NRAS, Ras, RHOB, RHOG | −1.712 |
| hsa-miR-99b-5p | FGFR3, MTOR, RPTOR | 1.364 |
| hsa-miR-124-3p | PGF, PRKD1, RHOG | 1.404 |
| hsa-miR-5189-5p | AKT2 | 1.782 |
| hsa-miR-138-5p | RHOC | 1.561 |
| hsa-miR-5195-3p | EIF4E, IRS1 | 1.505 |
| hsa-miR-152-3p | RPS6KA5 | −1.353 |
| hsa-miR-155-5p | PRKCI, RHEB, RHOA | 1.722 |
| hsa-miR-16-5p | EIF4E, FGFR1, GRB2, HMOX1, MAPK3, PPP2R5C, RHOT1, VEGFA | 2.44 |
| hsa-miR-20a-5p | VEGFA | 2.295 |
| hsa-miR-181c-5p | KRAS | −1.312 |
| hsa-miR-185-5p | AKT1, RHOA | 1.596 |
| hsa-miR-222-3p | DDIT4, DIRAS3, PIK3R1, PPP2R2A | 1.363 |
| hsa-miR-31-5p | HIF1A, PPP2R2A | 1.494 |
| hsa-miR-494-3p | HMOX1 | 1.464 |
| Exosomal miRNAs involved in Autophagy | ||
| hsa-let-7b-5p | VPS39 | −1.712 |
| hsa-miR-99b-5p | MTOR | 1.364 |
| hsa-miR-5195-3p | LAMP2 | 1.505 |
| hsa-miR-155-5p | ATG3 | 1.722 |
| hsa-miR-16-5p | ATG9A., BCL2, SQSTM1 | 2.44 |
| hsa-miR-20a-5p | BCL2 | 2.295 |
| hsa-miR-181c-5p | BCL2 | −1.312 |
Disclaimer/Publisher’s Note: The statements, opinions and data contained in all publications are solely those of the individual author(s) and contributor(s) and not of MDPI and/or the editor(s). MDPI and/or the editor(s) disclaim responsibility for any injury to people or property resulting from any ideas, methods, instructions or products referred to in the content. |
© 2024 by the authors. Licensee MDPI, Basel, Switzerland. This article is an open access article distributed under the terms and conditions of the Creative Commons Attribution (CC BY) license (https://creativecommons.org/licenses/by/4.0/).
Share and Cite
Elmasry, K.; Habib, S.; Helwa, I.; Khaled, M.L.; Ibrahim, A.S.; Tawfik, A.; Al-Shabrawey, M. Possible Role of Endothelial-Derived Cellular and Exosomal-miRNAs in Lipid-Mediated Diabetic Retinopathy: Microarray Studies. Cells 2024, 13, 1886. https://doi.org/10.3390/cells13221886
Elmasry K, Habib S, Helwa I, Khaled ML, Ibrahim AS, Tawfik A, Al-Shabrawey M. Possible Role of Endothelial-Derived Cellular and Exosomal-miRNAs in Lipid-Mediated Diabetic Retinopathy: Microarray Studies. Cells. 2024; 13(22):1886. https://doi.org/10.3390/cells13221886
Chicago/Turabian StyleElmasry, Khaled, Samar Habib, Inas Helwa, Mariam Lotfy Khaled, Ahmed S. Ibrahim, Amany Tawfik, and Mohamed Al-Shabrawey. 2024. "Possible Role of Endothelial-Derived Cellular and Exosomal-miRNAs in Lipid-Mediated Diabetic Retinopathy: Microarray Studies" Cells 13, no. 22: 1886. https://doi.org/10.3390/cells13221886
APA StyleElmasry, K., Habib, S., Helwa, I., Khaled, M. L., Ibrahim, A. S., Tawfik, A., & Al-Shabrawey, M. (2024). Possible Role of Endothelial-Derived Cellular and Exosomal-miRNAs in Lipid-Mediated Diabetic Retinopathy: Microarray Studies. Cells, 13(22), 1886. https://doi.org/10.3390/cells13221886

