Evaluation of Vincamine Loaded with Silver Nanoparticles as a New Potential Therapeutic Agent Against Ehrlich’s Solid Carcinoma in Mice
Abstract
1. Introduction
2. Materials and Methods
2.1. Drugs and Chemicals
2.2. Chemical Synthesis of Silver Nanoparticles
2.3. Biogenic Synthesis of VCN-AgNPs
2.4. Animals and Experimental Design
2.5. Determination of Total Body Weight (BW), Tumor Weight (TW), and Tumor Volume
tumors)] × 100%.
2.6. Determination of the Median Survival Time (MST) and the Percentage Increase in the Median Life Span (%IMLS)
2.7. Evaluation of Oxidant and Antioxidant Markers
2.8. Molecular Studies for the Evaluation of the Expression Rates of Bcl-2, Bax, and Casp-3 in ESC Tissues
2.9. Immunohistochemical Analysis (IHC)
2.10. Determination of Tumor Necrosis Factor-α (TNF-α), Interleukin-1 Beta (IL-1β), and Vascular Endothelial Growth Factor (VEGF) in ESC Tissues by the ELISA Technique
2.11. Histopathological Examination
2.12. Statistical Analysis
3. Results
3.1. Nanoparticle Characterization
3.2. Effect of VCN-AgNPs on Body Weight, Tumor Weight, Tumor Volume, and Tumor Growth Inhibition Index (T/C%)
3.3. Effect of VCN-AgNPs on MST and %IMLS
3.4. Effect of VCN-AgNPs on the Oxidant/Antioxidant Status
3.5. Effect of VCN-AgNPs on Apoptotic and Antiapoptotic Markers
3.6. Results of Immunohistochemical Examination
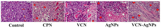
3.7. Effect of VCN-AgNPs on the Histology of ESC Tissues
3.8. Effect of VCN-AgNPs on VEGF, IL-1β, and TNF-α
4. Discussion
5. Conclusions
Author Contributions
Funding
Institutional Review Board Statement
Informed Consent Statement
Data Availability Statement
Conflicts of Interest
References
- Frick, C.; Rumgay, H.; Vignat, J.; Ginsburg, O.; Nolte, E.; Bray, F.; Soerjomataram, I. Quantitative estimates of preventable and treatable deaths from 36 cancers worldwide: A population-based study. Lancet Glob. Health 2023, 11, e1700–e1712. [Google Scholar] [CrossRef] [PubMed]
- Patra, J.K.; Das, G.; Fraceto, L.F.; Campos, E.V.R.; del Pilar Rodriguez-Torres, M.; Acosta-Torres, L.S.; Diaz-Torres, L.A.; Grillo, R.; Swamy, M.K.; Sharma, S.; et al. Nano based drug delivery systems: Recent developments and future prospects. J. Nanobiotechnol. 2018, 16, 71. [Google Scholar] [CrossRef] [PubMed]
- Othman, M.S.; Al-Bagawi, A.H.; Obeidat, S.T.; Fareid, M.A.; Habotta, O.A.; Moneim, A.E.A. Antitumor activity of zinc nanoparticles synthesized with berberine on human epithelial colorectal adenocarcinoma (caco-2) cells through acting on cox-2/nf-kb and p53 pathways. Anticancer Agents Med. Chem. 2022, 22, 2002–2010. [Google Scholar] [CrossRef]
- Almeer, R.S.; Albasher, G.; Alotibi, F.; Alarifi, S.; Ali, D.; Alkahtani, S. Ziziphus spina-christi Leaf Extract Suppressed Mercury Chloride-Induced Nephrotoxicity via Nrf2-Antioxidant Pathway Activation and Inhibition of Inflammatory and Apoptotic Signaling. Oxidative Med. Cell. Longev. 2019, 2019, 5634685. [Google Scholar] [CrossRef]
- Qin, R.; You, F.-M.; Zhao, Q.; Xie, X.; Peng, C.; Zhan, G.; Han, B. Naturally derived indole alkaloids targeting regulated cell death (RCD) for cancer therapy: From molecular mechanisms to potential therapeutic targets. J. Hematol. Oncol. 2022, 15, 133. [Google Scholar] [CrossRef]
- Dhyani, P.; Quispe, C.; Sharma, E.; Bahukhandi, A.; Sati, P.; Attri, D.C.; Szopa, A.; Sharifi-Rad, J.; Docea, A.O.; Mardare, I.; et al. Anticancer potential of alkaloids: A key emphasis to colchicine, vinblastine, vincristine, vindesine, vinorelbine and vincamine. Cancer Cell Int. 2022, 22, 206. [Google Scholar] [CrossRef]
- Othman, M.S.; Aboelnaga, S.M.; Habotta, O.A.; Moneim, A.E.A.; Hussein, M.M. The Potential Therapeutic Role of Green-Synthesized Selenium Nanoparticles Using Carvacrol in Human Breast Cancer MCF-7 Cells. Appl. Sci. 2023, 13, 7039. [Google Scholar] [CrossRef]
- Dong, J.; Carpinone, P.L.; Pyrgiotakis, G.; Demokritou, P.; Moudgil, B.M. Synthesis of Precision Gold Nanoparticles Using Turkevich Method. KONA Powder Part. J. 2020, 37, 224–232. [Google Scholar] [CrossRef]
- El-Khadragy, M.; Alolayan, E.M.; Metwally, D.M.; El-Din, M.F.S.; Alobud, S.S.; Alsultan, N.I.; Alsaif, S.S.; Awad, M.A.; Abdel Moneim, A.E. Clinical efficacy associated with enhanced antioxidant enzyme activities of silver nanoparticles biosynthesized using moringa oleifera leaf extract, against cutaneous leishmaniasis in a murine model of leishmania major. Int. J. Environ. Res. Public Health 2018, 15, 1037. [Google Scholar] [CrossRef]
- Alaaeldin, R.; Mohyeldin, R.H.; Bekhit, A.A.; Gomaa, W.; Zhao, Q.L.; Fathy, M. Vincamine ameliorates epithelial-mesenchymal transition in bleomycin-induced pulmonary fibrosis in rats; targeting tgf-beta/mapk/snai1 pathway. Molecules 2023, 28, 4665. [Google Scholar] [CrossRef]
- Rageh, M.M.; El-Gebaly, R.H.; Afifi, M.M. Antitumor activity of silver nanoparticles in Ehrlich carcinoma-bearing mice. Naunyn-Schmiedeberg’s Arch. Pharmacol. 2018, 391, 1421–1430. [Google Scholar] [CrossRef] [PubMed]
- Rajkapoor, B.; Sankari, M.; Sumithra, M.; Anbu, J.; Harikrishnan, N.; Gobinath, M.; Suba, V.; Balaji, R. Antitumor and cytotoxic effects of phyllanthus polyphyllus on ehrlich ascites carcinoma and human cancer cell lines. Biosci. Biotechnol. Biochem. 2007, 71, 2177–2183. [Google Scholar] [CrossRef] [PubMed]
- Faustino-Rocha, A.; Oliveira, P.A.; Pinho-Oliveira, J.; Teixeira-Guedes, C.; Soares-Maia, R.; da Costa, R.G.; Colaço, B.; Pires, M.J.; Colaço, J.; Ferreira, R.; et al. Estimation of rat mammary tumor volume using caliper and ultrasonography measurements. Lab Anim. 2013, 42, 217–224. [Google Scholar] [CrossRef]
- Hather, G.; Liu, R.; Bandi, S.; Mettetal, J.; Manfredi, M.; Shyu, W.-C.; Donelan, J.; Chakravarty, A. Growth Rate Analysis and Efficient Experimental Design for Tumor Xenograft Studies. Cancer Inform. 2023, 13, 65–72. [Google Scholar] [CrossRef]
- Metwally, F.M.; El-Mezayen, H.A.; Abdel Moneim, A.E.; Sharaf, N.E. Anti-tumor effect of Azadirachta indica (neem) on murine solid Ehrlich carcinoma. Acad. J. Cancer Res. 2014, 7, 38–45. [Google Scholar]
- Sun, Y.; Oberley, L.W.; Li, Y. A simple method for clinical assay of superoxide dismutase. Clin. Chem. 1988, 34, 497–500. [Google Scholar] [CrossRef]
- Lück, H. Catalase. In Methods of Enzymatic Analysis; Elsevier: Amsterdam, The Netherlands, 1965; pp. 885–894. [Google Scholar]
- Factor, V.M.; Kiss, A.; Woitach, J.T.; Wirth, P.J.; Thorgeirsson, S.S. Disruption of Redox Homeostasis in the Transforming Growth Factor-α/c-myc Transgenic Mouse Model of Accelerated Hepatocarcinogenesis. J. Biol. Chem. 1998, 273, 15846–15853. [Google Scholar] [CrossRef]
- Weydert, C.J.; Cullen, J.J. Measurement of superoxide dismutase, catalase and glutathione peroxidase in cultured cells and tissue. Nat. Protoc. 2010, 5, 51–66. [Google Scholar] [CrossRef]
- Ozer, H.; Yenicesu, G.; Arici, S.; Cetin, M.; Tuncer, E.; Cetin, A. Immunohistochemistry with apoptotic-antiapoptotic proteins (p53, p21, bax, bcl-2), c-kit, telomerase, and metallothionein as a diagnostic aid in benign, borderline, and malignant serous and mucinous ovarian tumors. Diagn. Pathol. 2012, 7, 124. [Google Scholar] [CrossRef]
- Wilkinson, L.; Gathani, T. Understanding breast cancer as a global health concern. Br. J. Radiol. 2022, 95, 20211033. [Google Scholar] [CrossRef]
- Ren, Y.; DeRose, K.; Li, L.; Gallucci, J.C.; Yu, J.; Kinghorn, A.D. Vincamine, from an antioxidant and a cerebral vasodilator to its anticancer potential. Bioorg. Med. Chem. 2023, 92, 117439. [Google Scholar] [CrossRef] [PubMed]
- Al-Rashed, S.; Baker, A.; Ahmad, S.S.; Syed, A.; Bahkali, A.H.; Elgorban, A.M.; Khan, M.S. Vincamine, a safe natural alkaloid, represents a novel anticancer agent. Bioorg. Chem. 2021, 107, 104626. [Google Scholar] [CrossRef] [PubMed]
- Verma, A.; Yadav, P.; Rajput, S.; Verma, S.; Arora, S.; Kumar, R.; Bhatti, J.S.; Khurana, A.; Navik, U. ALK and ERBB2 Protein Inhibition is Involved in the Prevention of Lung Cancer Development by Vincamine. Anti-Cancer Agents Med. Chem. 2023, 23, 1587–1595. [Google Scholar] [CrossRef] [PubMed]
- Shimizu, K.; Murata, T.; Watanabe, Y.; Sato, C.; Morita, H.; Tagawa, T. Characterization of phosphodiesterase 1 in human malignant melanoma cell lines. Anticancer Res. 2009, 29, 1119–1122. [Google Scholar]
- Koyama, K.; Hirasawa, Y.; Hosoya, T.; Hoe, T.C.; Chan, K.-L.; Morita, H. Alpneumines A–H, new anti-melanogenic indole alkaloids from Alstonia pneumatophora. Bioorg. Med. Chem. 2010, 18, 4415–4421. [Google Scholar] [CrossRef]
- El Bialy, B.E.; Hamouda, R.A.; Khalifa, K.S.; Hamza, H.A. Cytotoxic Effect of Biosynthesized Silver Nanoparticles on Ehrlich Ascites Tumor Cells in Mice. Int. J. Pharmacol. 2017, 13, 134–144. [Google Scholar] [CrossRef]
- Othman, M.M.; Obeidat, S.; Al-Bagawi, A.; Fareid, M.; El-Borady, O.; Kassab, R.; Moneim, A.A. Evaluation of the Potential Role of Silver Nanoparticles Loaded with Berberine in Improving Anti-Tumor Efficiency. Pharm. Sci. 2022, 28, 86–93. [Google Scholar] [CrossRef]
- Grebinyk, A.; Yashchuk, V.; Bashmakova, N.; Gryn, D.; Hagemann, T.; Naumenko, A.; Kutsevol, N.; Dandekar, T.; Frohme, M. A new triple system DNA-Nanosilver-Berberine for cancer therapy. Appl. Nanosci. 2019, 9, 945–956. [Google Scholar] [CrossRef]
- Avalos, A.; Haza, A.I.; Mateo, D.; Morales, P. Cytotoxicity and ROS production of manufactured silver nanoparticles of different sizes in hepatoma and leukemia cells. J. Appl. Toxicol. 2013, 34, 413–423. [Google Scholar] [CrossRef]
- Zhang, T.; Wang, L.; Chen, Q.; Chen, C. Cytotoxic Potential of Silver Nanoparticles. Yonsei Med. J. 2014, 55, 283–291. [Google Scholar] [CrossRef]
- Gurunathan, S.; Han, J.W.; Eppakayala, V.; Jeyaraj, M.; Kim, J.-H. Cytotoxicity of Biologically Synthesized Silver Nanoparticles in MDA-MB-231 Human Breast Cancer Cells. BioMed. Res. Int. 2013, 2013, 535796. [Google Scholar] [CrossRef] [PubMed]
- Al-Brakati, A.; Alsharif, K.F.; Alzahrani, K.J.; Kabrah, S.; Al-Amer, O.; Oyouni, A.A.; Habotta, O.A.; Lokman, M.S.; Bauomy, A.A.; Kassab, R.B.; et al. Using Green Biosynthesized Lycopene-Coated Selenium Nanoparticles to Rescue Renal Damage in Glycerol-Induced Acute Kidney Injury in Rats. Int. J. Nanomed. 2021, 16, 4335–4349. [Google Scholar] [CrossRef] [PubMed]
- Mavrogiannis, A.V.; Kokkinopoulou, I.; Kontos, C.K.; Sideris, D.C. Effect of Vinca Alkaloids on the Expression Levels of microRNAs Targeting Apoptosis-related Genes in Breast Cancer Cell Lines. Curr. Pharm. Biotechnol. 2019, 19, 1076–1086. [Google Scholar] [CrossRef] [PubMed]
- Fleury, C.; Mignotte, B.; Vayssière, J.-L. Mitochondrial reactive oxygen species in cell death signaling. Biochimie 2002, 84, 131–141. [Google Scholar] [CrossRef]
- Sriram, M.I.; Kanth, S.B.; Kalishwaralal, K.; Gurunathan, S. Antitumor activity of silver nanoparticles in Dalton’s lymphoma ascites tumor model. Int. J. Nanomed. 2010, 5, 753–762. [Google Scholar]
- Shen, J.; Xu, S.; Zhou, H.; Liu, H.; Jiang, W.; Hao, J.; Hu, Z. Il-1beta induces apoptosis and autophagy via mitochondria pathway in human degenerative nucleus pulposus cells. Sci. Rep. 2017, 7, 41067. [Google Scholar]
- Sundararajan, R.; Cuconati, A.; Nelson, D.; White, E. Tumor necrosis factor-alpha induces bax-bak interaction and apoptosis, which is inhibited by adenovirus e1b 19k. J. Biol. Chem. 2001, 276, 45120–45127. [Google Scholar] [CrossRef]
- Ankarcrona, M.; Dypbukt, J.M.; Brune, B.; Nicotera, P. Interleukin-1 beta-induced nitric oxide production activates apoptosis in pancreatic rinm5f cells. Exp. Cell Res. 1994, 213, 172–177. [Google Scholar] [CrossRef]
- Kobos, L.; Alqahtani, S.; Xia, L.; Coltellino, V.; Kishman, R.; McIlrath, D.; Perez-Torres, C.; Shannahan, J. Comparison of silver nanoparticle-induced inflammatory responses between healthy and metabolic syndrome mouse models. J. Toxicol. Environ. Health Part A 2020, 83, 249–268. [Google Scholar] [CrossRef]
- Ebabe Elle, R.; Gaillet, S.; Vidé, J.; Romain, C.; Lauret, C.; Rugani, N.; Cristol, J.P.; Rouanet, J.M. Dietary exposure to silver nanoparticles in Sprague–Dawley rats: Effects on oxidative stress and inflammation. Food Chem. Toxicol. 2013, 60, 297–301. [Google Scholar] [CrossRef]
- Elnfarawy, A.A.; Nashy, A.E.; Abozaid, A.M.; Komber, I.F.; Elweshahy, R.H.; Abdelrahman, R.S. Vinpocetine attenuates thioacetamide-induced liver fibrosis in rats. Hum. Exp. Toxicol. 2020, 40, 355–368. [Google Scholar] [CrossRef] [PubMed]
- Sheikpranbabu, S.; Kalishwaralal, K.; Venkataraman, D.; Eom, S.H.; Park, J.; Gurunathan, S. Silver nanoparticles inhibit vegf-and il-1beta-induced vascular permeability via src dependent pathway in porcine retinal endothelial cells. J. Nanobiotechnol. 2009, 7, 8. [Google Scholar] [CrossRef] [PubMed]
- Franková, J.; Pivodová, V.; Vágnerová, H.; Juráňová, J.; Ulrichová, J. Effects of Silver Nanoparticles on Primary Cell Cultures of Fibroblasts and Keratinocytes in a Wound-Healing Model. J. Appl. Biomater. Funct. Mater. 2016, 14, 137–142. [Google Scholar] [CrossRef] [PubMed]








| Genes | Forward Primer Sequence (5′->3′) | Reverse Primer Sequence (5′->3′) |
|---|---|---|
| GAPDH | AATGGGCAGCCGTTAGGAAA | GCGCCCAATACGACCAAATC |
| BCl-2 | CCTATCTGGGCCACAAGTGAA | ACAGCCTGCAGCTTTGTTTC |
| BAX | CATGGGCTGGACATTGGACT | AAAGTAGGAGAGGAGGCCGT |
| Casp-3 | GCGGATGGGTGCTATTGTGA | ACACAGCCACAGGTATGAGC |
| Necrosis | Apoptosis | Neovascularization | Inflammatory Cell Infiltration | |
|---|---|---|---|---|
| Control | + | + | +++ | + |
| CPN | ++++ | +++ | + | ++ |
| VCN | +++ | ++ | ++ | + |
| AgNPs | +++ | +++ | + | ++ |
| VCN+AgNPs | ++++ | ++++ | + | +++ |
Disclaimer/Publisher’s Note: The statements, opinions and data contained in all publications are solely those of the individual author(s) and contributor(s) and not of MDPI and/or the editor(s). MDPI and/or the editor(s) disclaim responsibility for any injury to people or property resulting from any ideas, methods, instructions or products referred to in the content. |
© 2024 by the authors. Licensee MDPI, Basel, Switzerland. This article is an open access article distributed under the terms and conditions of the Creative Commons Attribution (CC BY) license (https://creativecommons.org/licenses/by/4.0/).
Share and Cite
Dahran, N.; Othman, M.S.; Ghoniem, M.E.; Samak, M.A.; Elabbasy, M.T.; Obeidat, S.T.; Aleid, G.M.; Abo Elnaga, S.; Khaled, A.M.; Altaleb, A.A.; et al. Evaluation of Vincamine Loaded with Silver Nanoparticles as a New Potential Therapeutic Agent Against Ehrlich’s Solid Carcinoma in Mice. Cells 2024, 13, 1762. https://doi.org/10.3390/cells13211762
Dahran N, Othman MS, Ghoniem ME, Samak MA, Elabbasy MT, Obeidat ST, Aleid GM, Abo Elnaga S, Khaled AM, Altaleb AA, et al. Evaluation of Vincamine Loaded with Silver Nanoparticles as a New Potential Therapeutic Agent Against Ehrlich’s Solid Carcinoma in Mice. Cells. 2024; 13(21):1762. https://doi.org/10.3390/cells13211762
Chicago/Turabian StyleDahran, Naief, Mohamed S. Othman, Mohamed E. Ghoniem, Mai A. Samak, Mohamed T. Elabbasy, Sofian T. Obeidat, Ghada M. Aleid, Shimaa Abo Elnaga, Azza M. Khaled, Aya A. Altaleb, and et al. 2024. "Evaluation of Vincamine Loaded with Silver Nanoparticles as a New Potential Therapeutic Agent Against Ehrlich’s Solid Carcinoma in Mice" Cells 13, no. 21: 1762. https://doi.org/10.3390/cells13211762
APA StyleDahran, N., Othman, M. S., Ghoniem, M. E., Samak, M. A., Elabbasy, M. T., Obeidat, S. T., Aleid, G. M., Abo Elnaga, S., Khaled, A. M., Altaleb, A. A., & Abdel Moneim, A. E. (2024). Evaluation of Vincamine Loaded with Silver Nanoparticles as a New Potential Therapeutic Agent Against Ehrlich’s Solid Carcinoma in Mice. Cells, 13(21), 1762. https://doi.org/10.3390/cells13211762

