Involvement of the Kinin B1 Receptor in Increased Permeability of Cerebral Microvessels in Rats Subjected to Autoimmune Encephalomyelitis
Abstract
1. Introduction
2. Materials and Methods
2.1. Animal Model and Experimental Design
2.2. Determination of Blood–Brain Barrier (BBB) Integrity
2.3. TEM and Immune–TEM Analyses
2.4. qRT-PCR Analysis
2.5. Western Blot Analysis
2.6. Isolation of the Capillary Fraction
2.7. Immunohistochemical Procedure
2.8. Statistical Analysis
3. Results
3.1. The Influence of DALBK on the Course of the Disease
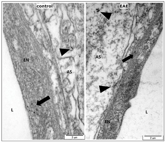
3.2. The BBB Integrity during the Course of EAE–Functional Test and TEM Analysis
3.3. Changes in Expression of TJ Proteins in the Brains of EAE Rats: The Effect of DALBK
3.4. Overexpression of GFAP in Brains of EAE Rats: The Effect of DALBK
4. Discussion
Author Contributions
Funding
Institutional Review Board Statement
Data Availability Statement
Conflicts of Interest
References
- Lassmann, H. Multiple Sclerosis Pathology. Cold Spring Harbor Persp. Med. 2018, 8, a028936. [Google Scholar] [CrossRef] [PubMed]
- Stojanovic, I.R.; Kostic, M.; Ljubisavljevic, S. The role of Glutamate and its Receptors in Multiple Sclerosis. J. Neural Trans. 2014, 121, 945–955. [Google Scholar] [CrossRef] [PubMed]
- Frischer, J.M.; Weigand, S.D.; Guo, Y.; Kale, N.; Parisi, J.E.; Pirko, I.; Mandrekar, J.; Bramow, S.; Metz, I.; Brück, W.; et al. Clinical and Pathological Insights into the Dynamic Nature of the White Matter Multiple Sclerosis Plaque. Ann. Neurol. 2015, 78, 710–721. [Google Scholar] [CrossRef] [PubMed]
- Franciotta, D.; Salvetti, M.; Lolli, F.; Serafini, B.; Aloisi, F. B Cells and Multiple Sclerosis. Lancet Neurol. 2008, 7, 852–858. [Google Scholar] [CrossRef] [PubMed]
- Matthews, P.M. Chronic Inflammation in Multiple śclerosis—Seeing What Was Always There. Nat. Rev. Neurol. 2019, 15, 582–593. [Google Scholar] [CrossRef]
- Muoio, V.; Persson, P.B.; Sendeski, M.M. The Neurovascular Unit–Concept Review. Acta Physiol. 2014, 10, 790–798. [Google Scholar] [CrossRef]
- Serlin, Y.; Shelef, I.; Knyazer, B.; Friedman, A. Anatomy and Physiology of the Blood-Brain Barrier. Semin. Cell Dev. Biol. 2015, 38, 2–6. [Google Scholar] [CrossRef]
- Guevara-Lora, I. Kinin-mediated Inflammation in Neurodegenerative Disorders. Neurochem. Int. 2012, 61, 72–78. [Google Scholar] [CrossRef]
- Bhoola, K.D.; Figueroa, C.D.; Worthy, K. Bioregulation of Kinins: Kallikreins, Kininogens and Kininases. Pharmacol. Rev. 1992, 44, 1–80. [Google Scholar]
- Walker, K.; Perkins, M.; Dray, A. Kinins and Kinin Receptors in the Nervous System. Neurochem. Int. 1995, 26, 1–16. [Google Scholar] [CrossRef]
- Kis, B.; Chen, L.; Ueta, Y.; Busija, D.W. Autocrine Peptide Mediators of Cerebral Endothelial Cells and their Role in the Regulation of Blood-Brain Barrier. Peptides 2006, 27, 211–222. [Google Scholar] [CrossRef] [PubMed]
- Moreau, M.E.; Garbacki, N.; Molinaro, G.; Brown, N.J.; Marceau, F.; Adam, A. The Kallikrein-Kinin System: Current and Future Pharmacological Targets. J. Pharmacol. Sci. 2005, 99, 6–38. [Google Scholar] [CrossRef] [PubMed]
- Schulze-Topphoff, U.; Prat, A.; Prozorovski, T.; Siffrin, V.; Paterka, M.; Herz, J.; Bendix, I.; Ifergan, I.; Schadock, I.; Mori, M.A.; et al. Activation of Kinin Receptor B1 Limits Encephalitogenic T Lymphocyte Recruitment to the Central Nervous System. Nat. Med. 2009, 15, 788–793. [Google Scholar] [CrossRef] [PubMed]
- Germain, L.; Barabe, J.; Galeano, C. Increased Blood Concentration of des-Arg9-bradykinin in Experimental Allergic Encephalomyelitis. J. Neurol. Sci. 1988, 83, 211–217. [Google Scholar] [CrossRef] [PubMed]
- Göbel, K.; Pankratz, S.; Schneider-Hohendorf, T.; Bittner, S.; Schuhmann, M.K.; Langer, H.F.; Stoll, G.; Wiendl, H.; Kleinschnitz, C.; Meuth, S.G. Blockade of the Kinin Receptor B1 Protects from Autoimmune CNS Disease by Reducing Leukocyte Trafficking. J. Autoimmun. 2011, 36, 106–114. [Google Scholar] [CrossRef]
- Podsiadlo, K.; Sulkowski, G.; Dabrowska-Bouta, B.; Struzynska, L. Blockade of the Kinin B1 Receptor Affects the Cytokine/Chemokine Profile in Rat Brain Subjected to Autoimmune Encephalomyelitis. Inflammopharmacology 2017, 25, 459–469. [Google Scholar] [CrossRef]
- Prat, A.; Weinrib, L.; Becher, B.; Poirier, J.; Duquette, P.; Couture, R.; Antel, J.P. Bradykinin B1 Receptor Expression and Function on T Lymphocytes in Active Multiple Sclerosis. Neurology 1999, 53, 2087–2092. [Google Scholar] [CrossRef]
- Dutra, R.C.; Leite, D.F.; Bento, A.F.; Manjavachi, M.N.; Patrício, E.S.; Figueiredo, C.P.; Pesquero, J.B.; Calixto, J.B. The Role of Kinin Receptors in Preventing Neuroinflammation and its Clinical Severity During Experimental Autoimmune Encephalomyelitis in Mice. PLoS ONE 2011, 6, e27875. [Google Scholar] [CrossRef]
- Brusco, I.; Silva, C.R.; Ferreira, J.; Oliveira, S.M. Kinins’ Contribution to Postoperative Pain in an Experimental Animal Model and Its Implications. Brain Sci. 2023, 13, 941. [Google Scholar] [CrossRef]
- Kerschensteiner, M.; Stadelmann, C.; Buddeberg, B.S.; Merkler, D.; Bareyre, F.M.; Anthony, D.C.; Linington, C.; Bruck, W.; Schwab, M.E. Animal Model–Targeting Experimental Autoimmune Encephalomyelitis Lesions to a Predetermined Axonal Tract System Allows for Refined Behavioral Testing in an Animal Model of Multiple Sclerosis. Am. J. Pathol. 2004, 164, 1455–1469. [Google Scholar] [CrossRef]
- de Souza Goldim, M.P.; Della Giustina, A.; Petronilho, F. Using Evans Blue Dye to Determine Blood-Brain Barrier Integrity in Rodents. Curr. Prot. Immunol. 2019, 126, e83. [Google Scholar] [CrossRef] [PubMed]
- Mrsulja, B.B.; Mrsulja, B.J.; Fujimoto, T.; Klatzo, I.; Spatz, M. Isolation of Brain Capillaries: A Simplified Technique. Brain Res. 1976, 110, 361–365. [Google Scholar] [CrossRef] [PubMed]
- Karpus, W.J. Ransohoff RM: Chemokine Regulation of Experimental Autoimmune Encephalomyelitis: Temporal and Spatial Expression Patterns Govern Disease Pathogenesis. J. Immunol. 1998, 161, 2667–2671. [Google Scholar] [CrossRef] [PubMed]
- Banisor, I.; Leist, T.P.; Kalman, B. Involvement of β-chemokines in the Development of Inflammatory Demyelination. J. Neuroinflamm. 2005, 2, 7. [Google Scholar] [CrossRef] [PubMed]
- Fabis, M.J.; Scott, G.S.; Kean, R.B.; Koprowski, H.; Hooper, D.C. Loss of Blood-Brain Barrier Integrity in the Spinal Cord is Common to Experimental Allergic Encephalomyelitis in Knockout Mouse Models. Proc. Natl. Acad. Sci. USA 2007, 104, 5656–5661. [Google Scholar] [CrossRef]
- Brooks, T.A.; Ocheltree, S.M.; Seelbach, M.J.; Charles, R.A.; Nametz, N.; Egleton, R.D.; Davis, T.P. Biphasic Cytoarchitecture and Functional Changes in the BBB Induced by Chronic Inflammatory Pain. Brain Res. 2006, 1120, 172–182. [Google Scholar] [CrossRef][Green Version]
- Uchida, Y.; Sumiya, T.; Tachikawa, M.; Yamakawa, T.; Murata, S.; Yagi, Y.; Sato, K.; Stephan, A.; Ito, K.; Ohtsuki, S.; et al. Involvement of Claudin-11 in Disruption of Blood-Brain, -Spinal Cord, and -Arachnoid Barriers in Multiple Sclerosis. Mol Neurobiol. 2019, 56, 2039–2056. [Google Scholar] [CrossRef]
- Grygorowicz, T.; Dabrowska-Bouta, B.; Struzynska, L. Administration of an Antagonist of P2X7 Receptor to EAE Rats Prevents a Decrease of Expression of Claudin-5 in Cerebral Capillaries. Purin. Signall. 2018, 14, 385–393. [Google Scholar] [CrossRef]
- Dabrowska-Bouta, B.; Sulkowski, G.; Frontczak-Baniewicz, M.; Skalska, J.; Salek, M.; Orzelska-Gorka, J.; Struzynska, L. Ultrastructural and Biochemical Features of Cerebral Microvessels of Adult Rat Subjected to a Low Dose of Silver Nanoparticles. Toxicology 2018, 408, 31–38. [Google Scholar] [CrossRef]
- Roy, S.; Sarkar, C. Ultrastructural Study of Micro-Blood Vessels in Human Brain Tumors and Peritumoral Tissue. J. Neuro-Oncol. 1989, 7, 283–294. [Google Scholar] [CrossRef]
- Argaw, A.T.; Gurfein, B.T.; Zhang, Y.; Zameer, A.; John, G.R. VEGF-mediated Disruption of Endothelial CLN-5 Promotes Blood-Brain Barrier Breakdown. Proc. Natl. Acad. Sci. USA 2009, 106, 1977–1982. [Google Scholar] [CrossRef] [PubMed]
- Proescholdt, M.A.; Jacobson, S.; Tresser, N.; Oldfield, E.H.; Merrill, M.J. Vascular Endothelial Growth Factor is Expressed in Multiple Sclerosis Plaques and Can Induce Inflammatory Lesions in Experimental Allergic Encephalomyelitis in Rats. J. Neuropathol. Exp. Neurol. 2002, 61, 914–925. [Google Scholar] [CrossRef] [PubMed]
- Grygorowicz, T.; Wełniak-Kaminska, M.; Struzynska, L. Early P2X7R-related Astrogliosis in Autoimmune Encephalomyelitis. Mol. Cell. Neurosci. 2016, 74, 1–9. [Google Scholar] [CrossRef] [PubMed]
- Alvarez, J.I.; Saint-Laurent, O.; Godschalk, A.; Terouz, S.; Briels, C.; Larouche, S.; Bourbonnière, L.; Larochelle, C.; Prat, A. Focal Disturbances in the Blood-Brain Barrier are Associated with Formation of Neuroinflammatory Lesions. Neurobiol. Dis. 2015, 74, 14–24. [Google Scholar] [CrossRef] [PubMed]
- Dutra, R.C.; Bento, A.F.; Leite, D.F.P.; Manjavachi, M.N.; Marcon, R.; Bicca, M.A.; Pesquero, J.B.; Calixto, J.B. The Role of Kinin B1 and B 2 Receptors in the Persistent Pain Induced by Experimental Autoimmune Encephalomyelitis (EAE) in Mice: Evidence for the Involvement of Astrocytes. Neurobiol. Dis. 2013, 54, 82–93. [Google Scholar] [CrossRef]
- Zhao, Y.; Chen, C.; Xiao, X.; Fang, L.; Cheng, X.; Chang, Y.; Peng, F.; Wang, J.; Shen, S.; Wu, S.; et al. Teriflunomide Promotes Blood-Brain Barrier Integrity by Upregulating Claudin-1 via the Wnt/beta-catenin Signaling Pathway in Multiple Sclerosis. Mol. Neurobiol. 2024, 61, 1936–1952. [Google Scholar] [CrossRef]







| Parameter | EAE | EAE + DALBK | ||
|---|---|---|---|---|
| 6 d.p.i. | 15 d.p.i. | 6 d.p.i. | 15 d.p.i. | |
| Mean maximal score | 0 | 3.90 ± 0.6 | 0 | 2.85 ± 0.2 * |
| Inductive phase (days) | - | 6 | - | 4 |
| Duration of the disease (days) | - | 16 ± 1.5 | - | 13 ± 0.9 * |
| Body weight at 15 d.p.i. (g) | 158 ± 0.6 | 139 ± 1.3 | 161 ± 0.9 | 147 ± 2.4 |
| Number of animals | 12 | 15 | 12 | 12 |
Disclaimer/Publisher’s Note: The statements, opinions and data contained in all publications are solely those of the individual author(s) and contributor(s) and not of MDPI and/or the editor(s). MDPI and/or the editor(s) disclaim responsibility for any injury to people or property resulting from any ideas, methods, instructions or products referred to in the content. |
© 2024 by the authors. Licensee MDPI, Basel, Switzerland. This article is an open access article distributed under the terms and conditions of the Creative Commons Attribution (CC BY) license (https://creativecommons.org/licenses/by/4.0/).
Share and Cite
Sulkowski, G.; Dąbrowska-Bouta, B.; Frontczak-Baniewicz, M.; Strużyńska, L. Involvement of the Kinin B1 Receptor in Increased Permeability of Cerebral Microvessels in Rats Subjected to Autoimmune Encephalomyelitis. Cells 2024, 13, 1641. https://doi.org/10.3390/cells13191641
Sulkowski G, Dąbrowska-Bouta B, Frontczak-Baniewicz M, Strużyńska L. Involvement of the Kinin B1 Receptor in Increased Permeability of Cerebral Microvessels in Rats Subjected to Autoimmune Encephalomyelitis. Cells. 2024; 13(19):1641. https://doi.org/10.3390/cells13191641
Chicago/Turabian StyleSulkowski, Grzegorz, Beata Dąbrowska-Bouta, Małgorzata Frontczak-Baniewicz, and Lidia Strużyńska. 2024. "Involvement of the Kinin B1 Receptor in Increased Permeability of Cerebral Microvessels in Rats Subjected to Autoimmune Encephalomyelitis" Cells 13, no. 19: 1641. https://doi.org/10.3390/cells13191641
APA StyleSulkowski, G., Dąbrowska-Bouta, B., Frontczak-Baniewicz, M., & Strużyńska, L. (2024). Involvement of the Kinin B1 Receptor in Increased Permeability of Cerebral Microvessels in Rats Subjected to Autoimmune Encephalomyelitis. Cells, 13(19), 1641. https://doi.org/10.3390/cells13191641

