Lysosome-Disrupting Agents in Combination with Venetoclax Increase Apoptotic Response in Primary Chronic Lymphocytic Leukemia (CLL) Cells Mediated by Lysosomal Cathepsin D Release and Inhibition of Autophagy
Abstract
1. Introduction
2. Materials and Methods
2.1. Drugs and Stimuli
2.2. Reagents and Antibodies
2.3. Culturing Primary CLL Cells
2.4. Co-Culture and Co-Stimulation Experiments
2.5. Western Blot Analysis
2.6. Flow Cytometry
2.7. Fluorescent Microscopy
2.8. Statistical Analysis and Software
3. Results
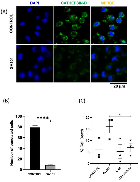
3.1. Obinutuzumab (GA101) and Venetoclax Induces Lysosome Disruption
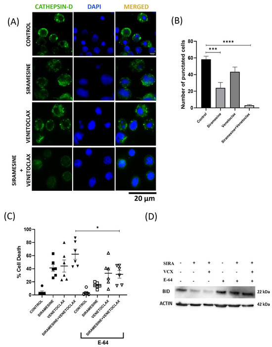
3.2. Lysosome Disruptor Siramesine and Venetoclax Treatment Induces Lysosome Disruption
3.3. Siramesine Increases ROS, but Its Combination with Venetoclax Increases Mitochondrial ROS
3.4. Siramesine Releases Cathepsin D from Lysosomes, and Cathepsin Inhibitor Blocks Siramesine-Induced Cell Death
3.5. Siramesine and Venetoclax Overcome Microenvironmental Protection with IL4 +CD40L and HS-5 Protection against Apoptosis
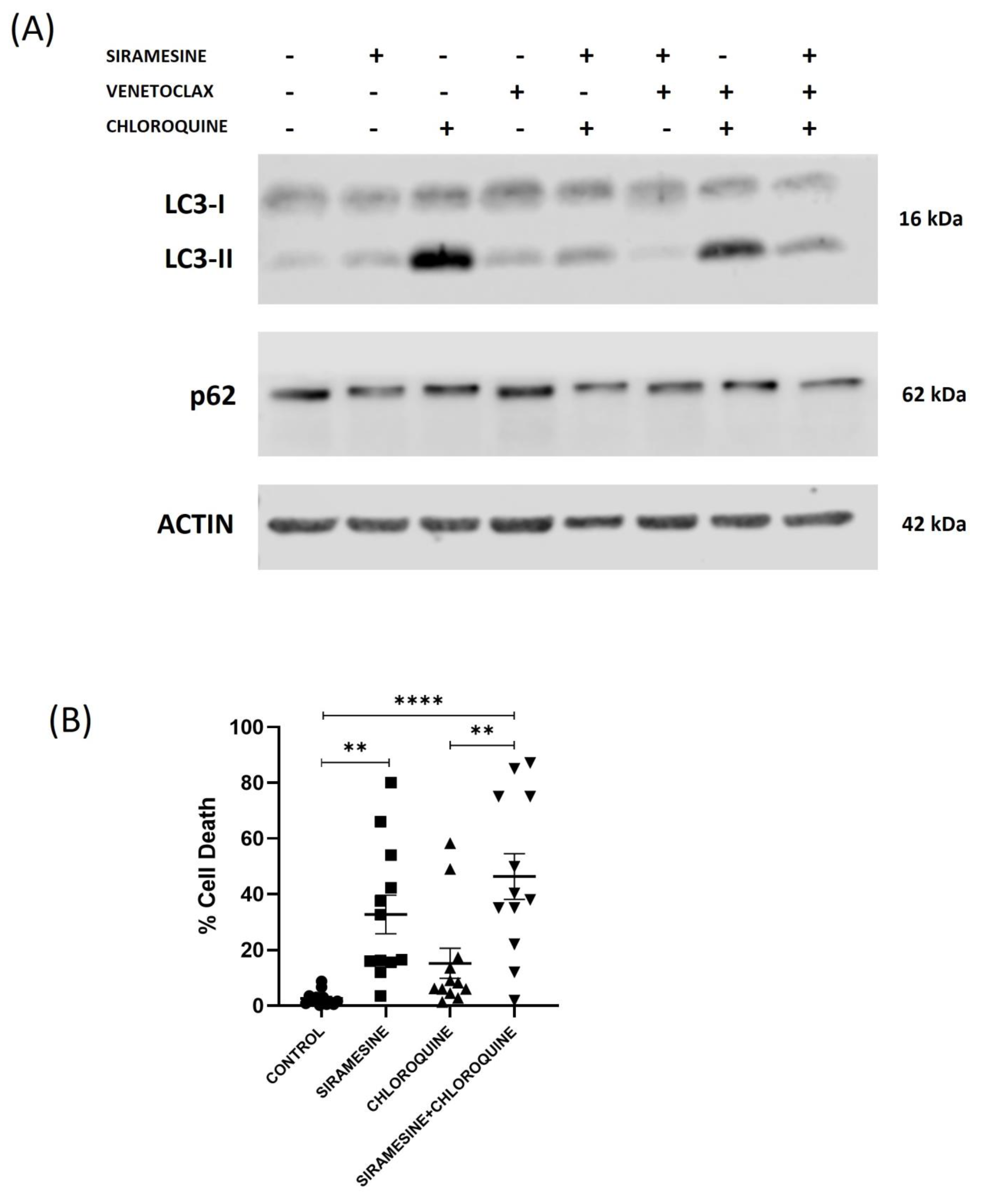
3.6. Siramesine Blocks Autophagy Flux in CLL Cells
4. Discussion
Supplementary Materials
Author Contributions
Funding
Institutional Review Board Statement
Informed Consent Statement
Data Availability Statement
Acknowledgments
Conflicts of Interest
References
- Kay, N.E.; Hamblin, T.J.; Jelinek, D.F.; Dewald, G.W.; Byrd, J.C.; Farag, S.; Lucas, M.; Lin, T. Chronic Lymphocytic Leukemia. Hematology (Am Soc Hematol Educ Program) 2002, 1, 193–213. [Google Scholar] [CrossRef] [PubMed]
- Bewarder, M.; Stilgenbauer, S.; Thurner, L.; Kaddu-Mulindwa, D. Current Treatment Options in CLL. Cancers 2021, 13, 2468. [Google Scholar] [CrossRef] [PubMed]
- Amhaz, G.; Bazarbachi, A.; El-Cheikh, J. Immunotherapy in Indolent Non-Hodgkin’s Lymphoma. Leuk. Res. Rep. 2022, 17, 100325. [Google Scholar] [CrossRef] [PubMed]
- Fürstenau, M.; Eichhorst, B. Novel Agents in Chronic Lymphocytic Leukemia: New Combination Therapies and Strategies to Overcome Resistance. Cancers 2021, 13, 1336. [Google Scholar] [CrossRef] [PubMed]
- Kapoor, I.; Bodo, J.; Hill, B.T.; Hsi, E.D.; Almasan, A. Targeting BCL-2 in B-Cell Malignancies and Overcoming Therapeutic Resistance. Cell Death Dis. 2020, 11, 941. [Google Scholar] [CrossRef] [PubMed]
- Aits, S.; Jäättelä, M. Lysosomal Cell Death at a Glance. J. Cell Sci. 2013, 126, 1905–1912. [Google Scholar] [CrossRef] [PubMed]
- Dielschneider, R.F.; Eisenstat, H.; Mi, S.; Curtis, J.M.; Xiao, W.; Johnston, J.B.; Gibson, S.B. Lysosomotropic Agents Selectively Target Chronic Lymphocytic Leukemia Cells Due to Altered Sphingolipid Metabolism. Leukemia 2016, 30, 1290–1300. [Google Scholar] [CrossRef] [PubMed]
- Zambrano, J.; Yeh, E.S. Autophagy and Apoptotic Crosstalk: Mechanism of Therapeutic Resistance in HER2-Positive Breast Cancer. Breast Cancer Basic Clin. Res. 2016, 10, 13–23. [Google Scholar] [CrossRef] [PubMed]
- Azad, M.B.; Chen, Y.; Gibson, S.B. Regulation of Autophagy by Reactive Oxygen Species (ROS): Implications for Cancer Progression and Treatment. Antioxid. Redox Signal. 2009, 11, 777–790. [Google Scholar] [CrossRef] [PubMed]
- Chen, Y.; Azad, M.B.; Gibson, S.B. Methods for Detecting Autophagy and Determining Autophagy-Induced Cell Death. Can. J. Physiol. Pharmacol. 2010, 88, 285–295. [Google Scholar] [CrossRef] [PubMed]
- Amrein, L.; Soulieres, D.; Johnston, J.B.; Aloyz, R. P53 and Autophagy Contribute to Dasatinib Resistance in Primary CLL Lymphocytes. Leukemia Res. 2011, 35, 99–102. [Google Scholar] [CrossRef] [PubMed]
- Kong, Y.-L.; Pan, B.-H.; Liang, J.-H.; Zhu, H.-Y.; Wang, L.; Xia, Y.; Wu, J.-Z.; Fan, L.; Li, J.-Y.; Xu, W. Chidamide, a Histone Deacetylase Inhibitor, Inhibits Autophagy and Exhibits Therapeutic Implication in Chronic Lymphocytic Leukemia. Aging 2020, 12, 16083–16098. [Google Scholar] [CrossRef] [PubMed]
- Das, S.; Dielschneider, R.; Chanas-LaRue, A.; Johnston, J.B.; Gibson, S.B. Antimalarial Drugs Trigger Lysosome-Mediated Cell Death in Chronic Lymphocytic Leukemia (CLL) Cells. Leukemia Res. 2018, 70, 79–86. [Google Scholar] [CrossRef] [PubMed]
- Dielschneider, R.F.; Henson, E.S.; Gibson, S.B. Lysosomes as Oxidative Targets for Cancer Therapy. Oxidative Med. Cell. Longev. 2017, 2017, 3749157. [Google Scholar] [CrossRef] [PubMed]
- Ostenfeld, M.S.; Hoyer-Hansen, M.; Bastholm, L.; Fehrenbacher, N.; Olsen, O.D.; Groth-Pedersen, L.; Puustinen, P.; Kirkegaard-Sorensen, T.; Nylandsted, J.; Farkas, T.; et al. Anti-Cancer Agent Siramesine Is a Lysosomotropic Detergent That Induces Cytoprotective Autophagosome Accumulation. Autophagy 2008, 4, 487–499. [Google Scholar] [CrossRef]
- Ostenfeld, M.S.; Fehrenbacher, N.; Hoyer-Hansen, M.; Thomsen, C.; Farkas, T.; Jaattela, M. Effective Tumor Cell Death by Sigma-2 Receptor Ligand Siramesine Involves Lysosomal Leakage and Oxidative Stress. Cancer Res. 2005, 65, 8975–8983. [Google Scholar] [CrossRef] [PubMed]
- Villalpando-Rodriguez, G.E.; Blankstein, A.R.; Konzelman, C.; Gibson, S.B. Lysosomal Destabilizing Drug Siramesine and the Dual Tyrosine Kinase Inhibitor Lapatinib Induce a Synergistic Ferroptosis through Reduced Heme Oxygenase-1 (HO-1) Levels. Oxid. Med. Cell Longev. 2019, 2019, 1–14. [Google Scholar] [CrossRef] [PubMed]
- Ma, S.; Henson, E.S.; Chen, Y.; Gibson, S.B. Ferroptosis Is Induced Following Siramesine and Lapatinib Treatment of Breast Cancer Cells. Cell Death Dis. 2016, 7, e2307. [Google Scholar] [CrossRef] [PubMed]
- Chanas-Larue, A.; Villalpando-Rodriguez, G.E.; Henson, E.S.; Johnston, J.B.; Gibson, S.B. Antihistamines Are Synergistic with Bruton’s Tyrosine Kinase Inhibiter Ibrutinib Mediated by Lysosome Disruption in Chronic Lymphocytic Leukemia (CLL) Cells. Leukemia Res. 2020, 96, 106423. [Google Scholar] [CrossRef] [PubMed]
- Boya, P.; Kroemer, G. Lysosomal Membrane Permeabilization in Cell Death. Oncogene 2008, 27, 6434–6451. [Google Scholar] [CrossRef] [PubMed]
- Gulbins, E.; Kolesnick, R.N. It Takes a CAD to Kill a Tumor Cell with a LMP. Cancer Cell 2013, 24, 279–281. [Google Scholar] [CrossRef] [PubMed]
- Česen, M.H.; Repnik, U.; Turk, V.; Turk, B. Siramesine Triggers Cell Death through Destabilisation of Mitochondria, but Not Lysosomes. Cell Death Dis. 2013, 4, e818. [Google Scholar] [CrossRef] [PubMed]
- Jak, M.; van Bochove, G.G.; Reits, E.A.; Kallemeijn, W.W.; Tromp, J.M.; Umana, P.; Klein, C.; Lier, R.A.; van Oers, M.H.; van Eldering, E. CD40 Stimulation Sensitizes CLL Cells to Lysosomal Cell Death Induction by Type II Anti-CD20 MAb GA101. Blood 2011, 118, 5178–5188. [Google Scholar] [CrossRef] [PubMed][Green Version]
- Alduaij, W.; Ivanov, A.; Honeychurch, J.; Cheadle, E.J.; Potluri, S.; Lim, S.H.; Shimada, K.; Chan, C.H.T.; Tutt, A.; Beers, S.A.; et al. Novel Type II Anti-CD20 Monoclonal Antibody (GA101) Evokes Homotypic Adhesion and Actin-Dependent, Lysosome-Mediated Cell Death in B-Cell Malignancies. Blood 2011, 117, 4519–4529. [Google Scholar] [CrossRef] [PubMed]
- Zeng, C.; Rothfuss, J.; Zhang, J.; Chu, W.; Vangveravong, S.; Tu, Z.; Pan, F.; Chang, K.C.; Hotchkiss, R.; Mach, R.H. Sigma-2 Ligands Induce Tumour Cell Death by Multiple Signalling Pathways. Brit. J. Cancer 2012, 106, 693–701. [Google Scholar] [CrossRef] [PubMed]
- Heading, C. Siramesine H Lundbeck. Curr. Opin. Investig. Drugs 2001, 2, 266–270. [Google Scholar] [PubMed]
- Petersen, N.H.; Olsen, O.D.; Groth-Pedersen, L.; Ellegaard, A.M.; Bilgin, M.; Redmer, S.; Ostenfeld, M.S.; Ulanet, D.; Dovmark, T.H.; Lonborg, A.; et al. Transformation-Associated Changes in Sphingolipid Metabolism Sensitize Cells to Lysosomal Cell Death Induced by Inhibitors of Acid Sphingomyelinase. Cancer Cell 2013, 24, 379–393. [Google Scholar] [CrossRef] [PubMed]
- Fehrenbacher, N.; Bastholm, L.; Kirkegaard-Sorensen, T.; Rafn, B.; Bottzauw, T.; Nielsen, C.; Weber, E.; Shirasawa, S.; Kallunki, T.; Jaattela, M. Sensitization to the Lysosomal Cell Death Pathway by Oncogene-Induced down-Regulation of Lysosome-Associated Membrane Proteins 1 and 2. Cancer Res. 2008, 68, 6623–6633. [Google Scholar] [CrossRef] [PubMed]
- Ma, S.; Dielschneider, R.F.; Henson, E.S.; Xiao, W.; Choquette, T.R.; Blankstein, A.R.; Chen, Y.; Gibson, S.B. Ferroptosis and Autophagy Induced Cell Death Occur Independently after Siramesine and Lapatinib Treatment in Breast Cancer Cells. PLoS ONE 2017, 12, e0182921. [Google Scholar] [CrossRef] [PubMed]
- Hallek, M. Chronic Lymphocytic Leukemia: 2017 Update on Diagnosis, Risk Stratification, and Treatment. Am. J. Hematol. 2017, 92, 946–965. [Google Scholar] [CrossRef] [PubMed]
- Česen, M.H.; Pegan, K.; Špes, A.; Turk, B. Lysosomal Pathways to Cell Death and Their Therapeutic Applications. Exp. Cell Res. 2012, 318, 1245–1251. [Google Scholar] [CrossRef] [PubMed]
- ten Hacken, E.; Burger, J.A. Microenvironment Dependency in Chronic Lymphocytic Leukemia: The Basis for New Targeted Therapies. Pharmacol. Therapeut. 2014, 144, 338–348. [Google Scholar] [CrossRef] [PubMed]
- Burger, J.A. Nurture versus Nature: The Microenvironment in Chronic Lymphocytic Leukemia. Hematology 2011, 2011, 96–103. [Google Scholar] [CrossRef] [PubMed]
- Granziero, L.; Ghia, P.; Circosta, P.; Gottardi, D.; Strola, G.; Geuna, M.; Montagna, L.; Piccoli, P.; Chilosi, M.; Caligaris-Cappio, F. Survivin Is Expressed on CD40 Stimulation and Interfaces Proliferation and Apoptosis in B-Cell Chronic Lymphocytic Leukemia. Blood 2001, 97, 2777–2783. [Google Scholar] [CrossRef] [PubMed]
- Seiffert, M.; Stilgenbauer, S.; Döhner, H.; Lichter, P. Efficient Nucleofection of Primary Human B Cells and B-CLL Cells Induces Apoptosis, Which Depends on the Microenvironment and on the Structure of Transfected Nucleic Acids. Leukemia 2007, 21, 1977–1983. [Google Scholar] [CrossRef] [PubMed]
- Meyer, N.; Henkel, L.; Linder, B.; Zielke, S.; Tascher, G.; Trautmann, S.; Geisslinger, G.; Münch, C.; Fulda, S.; Tegeder, I.; et al. Autophagy Activation, Lipotoxicity and Lysosomal Membrane Permeabilization Synergize to Promote Pimozide- and Loperamide-Induced Glioma Cell Death. Autophagy 2021, 17, 3424–3443. [Google Scholar] [CrossRef] [PubMed]
- Zielke, S.; Meyer, N.; Mari, M.; Abou-El-Ardat, K.; Reggiori, F.; van Wijk, S.J.L.; Kögel, D.; Fulda, S. Loperamide, Pimozide, and STF-62247 Trigger Autophagy-Dependent Cell Death in Glioblastoma Cells. Cell Death Dis. 2018, 9, 994. [Google Scholar] [CrossRef] [PubMed]
- Jiang, X.; Huang, K.; Sun, X.; Li, Y.; Hua, L.; Liu, F.; Huang, R.; Du, J.; Zeng, H. Hexamethylene Amiloride Synergizes with Venetoclax to Induce Lysosome-Dependent Cell Death in Acute Myeloid Leukemia. iScience 2024, 27, 108691. [Google Scholar] [CrossRef] [PubMed]
- Yoon, J.Y.; Szwajcer, D.; Ishdorj, G.; Benjaminson, P.; Xiao, W.; Kumar, R.; Johnston, J.B.; Gibson, S.B. Synergistic Apoptotic Response between Valproic Acid and Fludarabine in Chronic Lymphocytic Leukaemia (CLL) Cells Involves the Lysosomal Protease Cathepsin B. Blood Cancer J. 2013, 3, e153. [Google Scholar] [CrossRef] [PubMed]
- Jensen, S.S.; Petterson, S.A.; Halle, B.; Aaberg-Jessen, C.; Kristensen, B.W. Effects of the Lysosomal Destabilizing Drug Siramesine on Glioblastoma in Vitro and in Vivo. BMC Cancer 2017, 17, 178. [Google Scholar] [CrossRef] [PubMed]
- Mijanović, O.; Branković, A.; Panin, A.N.; Savchuk, S.; Timashev, P.; Ulasov, I.; Lesniak, M.S. Cathepsin B: A Sellsword of Cancer Progression. Cancer Lett. 2019, 449, 207–214. [Google Scholar] [CrossRef] [PubMed]
- Honeychurch, J.; Alduaij, W.; Azizyan, M.; Cheadle, E.J.; Pelicano, H.; Ivanov, A.; Huang, P.; Cragg, M.S.; Illidge, T.M. Antibody-Induced Nonapoptotic Cell Death in Human Lymphoma and Leukemia Cells Is Mediated through a Novel Reactive Oxygen Species-Dependent Pathway. Blood 2012, 119, 3523–3533. [Google Scholar] [CrossRef] [PubMed]
- Chavez-Dominguez, R.; Perez-Medina, M.; Lopez-Gonzalez, J.S.; Galicia-Velasco, M.; Aguilar-Cazares, D. The Double-Edge Sword of Autophagy in Cancer: From Tumor Suppression to Pro-Tumor Activity. Front. Oncol. 2020, 10, 578418. [Google Scholar] [CrossRef] [PubMed]
- Chen, Y.; Kost, S.E.F.; Yang, X.; Banerji, V.; Johnston, J.B.; Katyal, S.; Gibson, S.B. Venetoclax Inhibits Autophagy in Chronic Lymphocytic Leukemia Cells. Autophagy Rep. 2023, 2, 2169518. [Google Scholar] [CrossRef]
- Glytsou, C.; Chen, X.; Zacharioudakis, E.; Al-Santli, W.; Zhou, H.; Nadorp, B.; Lee, S.; Lasry, A.; Sun, Z.; Papaioannou, D.; et al. Mitophagy Promotes Resistance to BH3 Mimetics in Acute Myeloid Leukemia. Cancer Discov. 2023, 13, 1656–1677. [Google Scholar] [CrossRef] [PubMed]
- Amrein, L.; Hernandez, T.A.; Ferrario, C.; Johnston, J.; Gibson, S.B.; Panasci, L.; Aloyz, R. Dasatinib Sensitizes Primary Chronic Lymphocytic Leukaemia Lymphocytes to Chlorambucil and Fludarabine In Vitro. Brit. J. Haematol 2008, 143, 698–706. [Google Scholar] [CrossRef] [PubMed]
- Kong, Y.-L.; Huang, Y.; Wu, J.-Z.; Cao, X.; Liang, J.-H.; Xia, Y.; Wu, W.; Cao, L.; Zhu, H.-Y.; Wang, L.; et al. Expression of Autophagy Related Genes in Chronic Lymphocytic Leukemia Is Associated with Disease Course. Leuk. Res. 2018, 66, 8–14. [Google Scholar] [CrossRef] [PubMed]








Disclaimer/Publisher’s Note: The statements, opinions and data contained in all publications are solely those of the individual author(s) and contributor(s) and not of MDPI and/or the editor(s). MDPI and/or the editor(s) disclaim responsibility for any injury to people or property resulting from any ideas, methods, instructions or products referred to in the content. |
© 2024 by the authors. Licensee MDPI, Basel, Switzerland. This article is an open access article distributed under the terms and conditions of the Creative Commons Attribution (CC BY) license (https://creativecommons.org/licenses/by/4.0/).
Share and Cite
Manivannan, M.S.; Yang, X.; Patel, N.; Peters, A.; Johnston, J.B.; Gibson, S.B. Lysosome-Disrupting Agents in Combination with Venetoclax Increase Apoptotic Response in Primary Chronic Lymphocytic Leukemia (CLL) Cells Mediated by Lysosomal Cathepsin D Release and Inhibition of Autophagy. Cells 2024, 13, 1041. https://doi.org/10.3390/cells13121041
Manivannan MS, Yang X, Patel N, Peters A, Johnston JB, Gibson SB. Lysosome-Disrupting Agents in Combination with Venetoclax Increase Apoptotic Response in Primary Chronic Lymphocytic Leukemia (CLL) Cells Mediated by Lysosomal Cathepsin D Release and Inhibition of Autophagy. Cells. 2024; 13(12):1041. https://doi.org/10.3390/cells13121041
Chicago/Turabian StyleManivannan, Madhumita S., Xiaoyan Yang, Nirav Patel, Anthea Peters, James B. Johnston, and Spencer B. Gibson. 2024. "Lysosome-Disrupting Agents in Combination with Venetoclax Increase Apoptotic Response in Primary Chronic Lymphocytic Leukemia (CLL) Cells Mediated by Lysosomal Cathepsin D Release and Inhibition of Autophagy" Cells 13, no. 12: 1041. https://doi.org/10.3390/cells13121041
APA StyleManivannan, M. S., Yang, X., Patel, N., Peters, A., Johnston, J. B., & Gibson, S. B. (2024). Lysosome-Disrupting Agents in Combination with Venetoclax Increase Apoptotic Response in Primary Chronic Lymphocytic Leukemia (CLL) Cells Mediated by Lysosomal Cathepsin D Release and Inhibition of Autophagy. Cells, 13(12), 1041. https://doi.org/10.3390/cells13121041

