“Small Hepatocytes” in the Liver
Abstract
1. Introduction
2. Growth Capability of Hepatocytes
3. Subpopulation of MHs and Their Distribution in the Liver Lobules
4. SHs In Vitro
4.1. Culture Medium
4.2. Purification of SHs
4.3. Self-Renewal of Hepatic Progenitor Cells
4.4. Characteristics of HPPCs
5. SH in Liver Lobules
5.1. The 2-AAF/PH Model
5.2. d-Galactosamine (GalN) Model
5.3. Retrorsine/PH Model
5.4. Appearance of Intermediate Cells in the Human Liver
6. Growth Regulation of Small Hepatocytes
7. Participation of SHs in Liver Regeneration
7.1. Simple Loss of MHs
7.2. Growth Suppression of MHs
- (1)
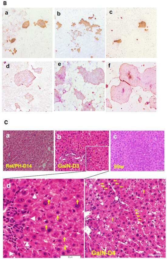
- MH-II is sensitive to Ret, while MH-I is resistant in the case of Ret, as described above. Ret inhibits MH-II proliferation, but it does not affect hepatocytic differentiation function. Therefore, the basic hepatic function can be maintained by residual cells even after 2/3 PH in Ret-treated rats. MH-I actively proliferates to compensate for the lost cells instead of MH-II, resulting in the appearance of SHPCs, to restore the original volume (Figure 5). Therefore, it takes more time to recover the original mass in the Ret-treated animals compared to the untreated ones. Thus, generating new hepatocytes by inducing OCs is unnecessary.
- (2)
- Generally, 2-AAF completely inhibits hepatocyte proliferation after 2/3 PH. This indicates that both MH-I and MH-II cannot proliferate and the lost cells cannot be recovered by the remaining hepatocytes. Therefore, to restore reduced liver function, a strong growth stimulation drives OCs to expand and differentiate into hepatocytes. Increased numbers of OCs are arranged to create a small lumen, and a small number of OCs exist at the proximal end of the ductules (portal side). Cells at the distal portion of the same ductule differentiate into bSHs. Conversely, cell clusters composed of bSHs appear within the lobules in livers treated with high doses of 2-AAF.
- (3)
- The regenerative reaction of the liver after GalN administration is totally different from that after Ret or 2-AAF administration. Pericentral hepatocytes die while surviving hepatocytes are also weakly damaged. Therefore, the growth stimulus after injury is first applied to the bile ducts (CoH), causing the appearance of OCs (Thy1+/Krt19+/CD44− cells) that form small ductules. The growth inhibition of MH-I is weaker than that of MH-II, causing the appearance of CD44+ hepatocytes with a slightly delayed response of MH-I to the growth stimulus. Approximately 3 days after GalN treatment, Thy1+/CD44+ cells appear in the periportal region, whereas MH-I-derived SHs appear in large numbers in the region adjacent to Thy1+/CD44+ cells. This indicates that MH-I-derived SHs (Thy1−/CD44+) are temporarily mixed in the periportal region adjacent to OC-derived SHs (Thy1+/CD44+) cells (Figure 3B). Therefore, the small bile ducts composed of OCs may regress when the number of hepatocytes is restored by both MH-II proliferation and MH-I-derived newly generated hepatocytes. Hence, liver regeneration is thought to be completed.
7.3. Exhaustion of Growth capability of MHs
7.4. Massive Loss of MHs
8. Conclusions
- Not only the remaining MHs but also OCs are activated when many MHs are injured, and both OC-SHs and MH-SHs transiently coexist in the lobule, but MH-SHs mainly contribute to the recovery of MH numbers. Most OC-SHs disappear by apoptosis.
- MH-SHs are relatively larger in size than OC-SHs, and MH-SHs are more differentiated than OC-SHs.
- OC-SHs are more differentiated into BECs than MHs, while MH-SHs are rarely differentiated into BECs.
- OCs are strongly activated, OC-SHs emerge when most MHs are damaged, and the majority of the liver lobules are occupied by OC-derived MHs. However, OC-derived MHs are gradually eliminated and eventually replaced by resident MH-derived cells as surviving MHs gradually proliferate via MH-SHs and regain sufficient function and original mass.
- MH-SHs transplanted into livers may be inserted into hepatic cords much more readily than OC-SHs.
Author Contributions
Funding
Institutional Review Board Statement
Informed Consent Statement
Data Availability Statement
Acknowledgments
Conflicts of Interest
Abbreviations
| 2-AAF | 2-acetylaminofluorene |
| Act | activin |
| Alb-uPA | albumin-urokinase-type plasminogen activator |
| ALF | acute liver failure |
| AFP | α-fetoprotein |
| APOLT | auxiliary partial orthotopic liver transplantation |
| AT | antitrypsin |
| BCs | bile canaliculi |
| BECs | biliary epithelial cells |
| BM-MCs | bone-marrow-derived mesenchymal cells |
| CINC-2 | cytokine-induced neutrophil chemoattractant-2 |
| CoH | Canal of Hering |
| Col-I | type I collagen |
| C/EBP | CCAAT/enhancer binding protein |
| CPS | carbamoylphosphate synthetase |
| Cx | connexin |
| CYP | cytochrome P450 |
| Dex | dexamethasone |
| DHs | ductular hepatocytes |
| Dlk-1 | protein delta homolog 1/preadipocyte factor 1 |
| DMEM | Dulbecco’s modified Eagle medium |
| DMSO | dimethylsulfoxide |
| DRs | ductular reactions |
| ECMs | extracellular matrices |
| EGF | epidermal growth factor |
| EHS | Engelbreth–Holm–Swam |
| EVs | extracellular vesicles |
| EpCAM | epithelial cell adhesion molecule |
| FACS | fluorescence-activating cell sorter |
| FAH | fumarylacetoacetate hydrolase |
| FBS | fetal bovine serum |
| FGF | fibroblast growth factor |
| FHF | fulminant hepatic failure |
| Fst | follistatin |
| GalN | d-galactosamine |
| β-gal | β-galactosidase |
| GdCl3 | gadolinium chloride |
| GS | glutamine synthetase |
| HA | hyaluronic acid |
| HGF | hepatocyte growth factor |
| HiPSCs | human-induced pluripotent stem cells |
| HNF | hepatocyte nuclear factor |
| HPPCs | hepatocytic parental progenitor cells |
| HPPLs | hepatic progenitor cells proliferating on LN |
| ICAM | intercellular cell adhesion molecule |
| IGF | insulin-like growth factor |
| IHs | intermediate hepatocytes |
| IHBC | intermediate hepatobiliary cell |
| KCs | Kupffer cells |
| Krt | keratin |
| L-15 | Leibovitz 15 |
| LECs | liver epithelial cells |
| LGR | leucine-rich orphan G-protein-coupled receptor |
| LN | laminin |
| LSPCs | liver stem/progenitor cells |
| MHN | massive hepatic necrosis |
| MHs | mature hepatocytes |
| MUP-uPA | major urinary protein-urokinase-type plasminogen activator |
| NPCs | non-parenchymal cells |
| OCs | oval cells |
| OTC | ornithine transcarbamylase |
| PH | partial hepatectomy |
| Ret | retrorsine |
| SCF | stem cell factor |
| SECs | sinusoidal endothelial cells |
| SHs | small hepatocytes |
| SHPCs | small hepatocyte-like progenitor cells |
| Tert | telomerase reverse transcriptase |
| TGF | transforming growth factor |
| TNF-α | tumor necrotic factor-α |
References
- Leblond, C.P. Classification of cell populations on the basis of their proliferative behavior. Natl. Cancer Inst. Monogr. 1964, 14, 119–150. [Google Scholar] [PubMed]
- Umar, S. Intestinal Stem Cells. Curr. Gastroenterol. Rep. 2010, 12, 340–348. [Google Scholar] [CrossRef] [PubMed]
- Weinstein, G.D.; McCullough, J.L.; Ross, P. Cell Proliferation in Normal Epidermis. J. Investig. Dermatol. 1984, 82, 623–628. [Google Scholar] [CrossRef]
- Bucher, N.L.R.; Malt, R.A. Regeneration of Liver and Kidney; Little, Brown and Co.: Boston, MA, USA, 1971. [Google Scholar]
- MacDONALD, R.A. “Lifespan” of Liver Cells: Autoradiographic study using tritiated thymidine in normal, cirrhotic, and partially hepatectomized rats. Arch. Intern. Med. 1961, 107, 335–343. [Google Scholar] [CrossRef] [PubMed]
- Steiner, J.W.; Perz, Z.M.; Taichman, L.B. Cell population dynamics in the liver: A review of quantitative morphological techniques applied to the study of physiological and pathological growth. Exp. Mol. Pathol. 1966, 5, 146–181. [Google Scholar] [CrossRef] [PubMed]
- Braun, K.M.; Sandgren, E.P. Cellular Origin of Regenerating Parenchyma in a Mouse Model of Severe Hepatic Injury. Am. J. Pathol. 2000, 157, 561–569. [Google Scholar] [CrossRef]
- Lemire, J.M.; Shiojiri, N.; Fausto, N. Oval cell proliferation and the origin of small hepatocytes in liver injury induced by D-galactosamine. Am. J. Pathol. 1991, 139, 535–552. [Google Scholar]
- Mitaka, T. The current status of primary hepatocyte culture. Int. J. Exp. Pathol. 2002, 79, 393–409. [Google Scholar] [CrossRef]
- Nagy, P.; Thorgeirsson, S.S.; Paku, S.; Kopper, L. 2-acetylaminofluorene dose-dependent differentiation of rat oval cells into hepatocytes: Confocal and electron microscopic studies. Hepatology 2004, 39, 1353–1361. [Google Scholar] [CrossRef]
- Farber, E. Similarities in the sequence of early histological changes induced in the liver of the rat by ethionine, 2-acetylamino-fluorene, and 3′-methyl-4-dimethylaminoazobenzene. Cancer Res. 1956, 16, 142–148. [Google Scholar]
- Alison, M.R. Characterization of the Differentiation Capacity of Rat-Derived Hepatic Stem Cells. Semin. Liver Dis. 2003, 23, 325–336. [Google Scholar] [CrossRef] [PubMed]
- Dabeva, M.D.; Shafritz, D.A. Hepatic Stem Cells and Liver Repopulation. Semin. Liver Dis. 2003, 23, 349–362. [Google Scholar] [CrossRef] [PubMed]
- Grozdanov, P.N.; Yovchev, M.I.; Dabeva, M.D. The oncofetal protein glypican-3 is a novel marker of hepatic progenitor/oval cells. Lab. Investig. 2006, 86, 1272–1284. [Google Scholar] [CrossRef] [PubMed]
- Hixson, D.C.; Faris, R.A.; Thompson, N.L. An Antigenic Portrait of the Liver during Carcinogenesis. Pathobiology 1990, 58, 65–77. [Google Scholar] [CrossRef] [PubMed]
- Jensen, C.H.; Jauho, E.I.; Santoni-Rugiu, E.; Holmskov, U.; Teisner, B.; Tygstrup, N.; Bisgaard, H.C. Transit-Amplifying Ductular (Oval) Cells and Their Hepatocytic Progeny Are Characterized by a Novel and Distinctive Expression of Delta-Like Protein/Preadipocyte Factor 1/Fetal Antigen 1. Am. J. Pathol. 2004, 164, 1347–1359. [Google Scholar] [CrossRef]
- Petersen, B.E.; Goff, J.P.; Greenberger, J.S.; Michalopoulos, G.K. Hepatic oval cells express the hematopoietic stem cell marker thy-1 in the rat. Hepatology 1998, 27, 433–445. [Google Scholar] [CrossRef]
- Dabeva, M.D.; Shafritz, D.A. Activation, proliferation, and differentiation of progenitor cells into hepatocytes in the D-galactosamine model of liver regeneration. Am. J. Pathol. 1993, 143, 1606–1620. [Google Scholar]
- Mitaka, T.; Mikami, M.; Sattler, G.L.; Pitot, H.C.; Mochizuki, Y. Small cell colonies appear in the primary culture of adult rat hepatocytes in the presence of nicotinamide and epidermal growth factor. Hepatology 1992, 16, 440–447. [Google Scholar] [CrossRef]
- Tateno, C.; Yoshizato, K. Long-Term Cultivation of Adult Rat Hepatocytes That Undergo Multiple Cell Divisions and Express Normal Parenchymal Phenotypes. Am. J. Pathol. 1996, 148, 383–392. [Google Scholar]
- Gordon, G.J.; Coleman, W.B.; Hixson, D.C.; Grisham, J.W. Liver Regeneration in Rats with Retrorsine-Induced Hepatocellular Injury Proceeds through a Novel Cellular Response. Am. J. Pathol. 2000, 156, 607–619. [Google Scholar] [CrossRef]
- Roskams, T.A.; Theise, N.D.; Balabaud, C.; Bhagat, G.; Bhathal, P.S.; Bioulac-Sage, P.; Brunt, E.M.; Crawford, J.M.; Crosby, H.A.; Desmet, V.; et al. Nomenclature of the finer branches of the biliary tree: Canals, ductules, and ductular reactions in human livers. Hepatology 2004, 39, 1739–1745. [Google Scholar] [CrossRef] [PubMed]
- Fausto, N. Liver regeneration and repair: Hepatocytes, progenitor cells, and stem cells. Hepatology 2004, 39, 1477–1487. [Google Scholar] [CrossRef] [PubMed]
- Forbes, S.; Vig, P.; Poulsom, R.; Thomas, H.; Alison, M. Hepatic stem cells. J. Pathol. 2002, 197, 510–518. [Google Scholar] [CrossRef] [PubMed]
- Gadd, V.L.; Aleksieva, N.; Forbes, S.J. Epithelial Plasticity during Liver Injury and Regeneration. Cell Stem Cell 2020, 27, 557–573. [Google Scholar] [CrossRef] [PubMed]
- Knight, B.; Matthews, V.B.; Olynyk, J.K.; Yeoh, G.C. Jekyll and Hyde: Evolving perspectives on the function and potential of the adult liver progenitor (oval) cell. BioEssays 2005, 27, 1192–1202. [Google Scholar] [CrossRef] [PubMed]
- Ko, S.; Russell, J.O.; Molina, L.M.; Monga, S.P. Liver Progenitors and Adult Cell Plasticity in Hepatic Injury and Repair: Knowns and Unknowns. Annu. Rev. Pathol. Mech. Dis. 2020, 15, 23–50. [Google Scholar] [CrossRef] [PubMed]
- Michalopoulos, G.K.; Khan, Z. Liver Stem Cells: Experimental Findings and Implications for Human Liver Disease. Gastroenterology 2015, 149, 876–882. [Google Scholar] [CrossRef]
- Miyajima, A.; Tanaka, M.; Itoh, T. Stem/Progenitor Cells in Liver Development, Homeostasis, Regeneration, and Reprogramming. Cell Stem Cell 2014, 14, 561–574. [Google Scholar] [CrossRef]
- Roskams, T. Different types of liver progenitor cells and their niches. J. Hepatol. 2006, 45, 1–4. [Google Scholar] [CrossRef]
- Sell, S. Heterogeneity and plasticity of hepatocyte lineage cells. Hepatology 2001, 33, 738–750. [Google Scholar] [CrossRef]
- Stanger, B.Z. Cellular Homeostasis and Repair in the Mammalian Liver. Annu. Rev. Physiol. 2015, 77, 179–200. [Google Scholar] [CrossRef] [PubMed]
- Thorgeirsson, S.S.; Grisham, J.W. Overview of Recent Experimental Studies on Liver Stem Cells. Semin. Liver Dis. 2003, 23, 303–312. [Google Scholar] [CrossRef] [PubMed]
- Magami, Y.; Azuma, T.; Inokuchi, H.; Kokuno, S.; Moriyasu, F.; Kawai, K.; Hattori, T. Cell proliferation and renewal of normal hepatocytes and bile duct cells in adult mouse liver. Liver Int. 2002, 22, 419–425. [Google Scholar] [CrossRef]
- Hoffman, P.J. Changes in the replication times and patterns of the liver cell during the life of the rat. Exp. Cell Res. 1964, 36, 111–123. [Google Scholar]
- LeBouton, A.; Marchand, R. Changes in the distribution of thymidine-3H labeled cells in the growing liver acinus of neonatal rats. Dev. Biol. 1970, 23, 524–533. [Google Scholar] [CrossRef]
- Marceau, N.; Baribault, H. Dexamethasone and dimethylsulfoxide as distinct regulators of growth and differentiation of cultured suckling rat hepatocytes. J. Cell. Physiol. 1986, 129, 77–84. [Google Scholar] [CrossRef]
- Mitaka, T.; Norioka, K.; Sattler, G.L.; Pitot, H.C.; Mochizuki, Y. Effect of age on the formation of small-cell colonies in cultures of primary rat hepatocytes. Cancer Res. 1993, 53, 3145–3148. [Google Scholar]
- Grisham, J.W. Cellular proliferation in the liver. Recent Results Cancer Res. 1969, 17, 28–43. [Google Scholar]
- Wright, N.; Alison, M. The liver. In The Biology of Epithelial Cell Populations; Clarendon Press: Oxford, UK, 1984; Volume 2, pp. 890–908. [Google Scholar]
- Bucher, N.L.R. Regeneration of mammalian liver. Int. Rev. Cytol. 1963, 15, 245–300. [Google Scholar] [CrossRef]
- Sawada, N.; Ishikawa, T. Reduction of potential for replicative but not unscheduled DNA synthesis in hepatocytes isolated from aged as compared to young rats. Cancer Res. 1988, 48, 1618–1622. [Google Scholar]
- Schapiro, H.; Hotta, S.S.; Outten, W.E.; Klein, A.W. The effect of aging on rat liver regeneration. Cell. Mol. Life Sci. 1982, 38, 1075–1076. [Google Scholar] [CrossRef] [PubMed]
- Stöcker, E.; Heine, W.D. Regeneration of liver parenchyma under normal and pathological conditions. Beitr. Pathol. 1971, 144, 400–408. [Google Scholar] [PubMed]
- Popper, H. Aging and the liver. In Progress in Liver Diseases; Popper, H., Schaffner, F., Eds.; W. B. Saunders Company: Philadelphia, PA, USA, 1986; Volume 8, pp. 659–683. [Google Scholar]
- Mitaka, T.; Sattler, C.A.; Sattler, G.L.; Sargent, L.M.; Pitot, H.C. Multiple cell cycles occur in rat hepatocytes cultured in the presence of nicotinamide and epidermal growth factor. Hepatology 1991, 13, 21–30. [Google Scholar] [CrossRef] [PubMed]
- Sugimoto, S.; Harada, K.; Shiotani, T.; Ikeda, S.; Katsura, N.; Ikai, I.; Mizuguchi, T.; Hirata, K.; Yamaoka, Y.; Mitaka, T.; et al. Hepatic Organoid Formation in Collagen Sponge of Cells Isolated from Human Liver Tissues. Tissue Eng. 2005, 11, 626–633. [Google Scholar] [CrossRef] [PubMed]
- Mitaka, T.; Kojima, T.; Mizuguchi, T.; Mochizuki, Y. Growth and Maturation of Small Hepatocytes Isolated from Adult Rat Liver. Biochem. Biophys. Res. Commun. 1995, 214, 310–317. [Google Scholar] [CrossRef]
- Mitaka, T.; Sato, F.; Mizuguchi, T.; Yokono, T.; Mochizuki, Y. Reconstruction of hepatic organoid by rat small hepatocytes and hepatic nonparenchymal cells. Hepatology 1999, 29, 111–125. [Google Scholar] [CrossRef] [PubMed]
- Fu, Q.; Ohnishi, S.; Suda, G.; Sakamoto, N. Small-molecule inhibitor cocktail promotes the proliferation of pre-existing liver progenitor cells. Stem Cell Rep. 2022, 17, 1589–1603. [Google Scholar] [CrossRef] [PubMed]
- Katsuda, T.; Kawamata, M.; Hagiwara, K.; Takahashi, R.-U.; Yamamoto, Y.; Camargo, F.D.; Ochiya, T. Conversion of Terminally Committed Hepatocytes to Culturable Bipotent Progenitor Cells with Regenerative Capacity. Cell Stem Cell 2016, 20, 41–55. [Google Scholar] [CrossRef]
- Pfändler, M.-A.S.; Höchli, M.; Inderbitzin, D.; Meier, P.J.; Stieger, B. Small hepatocytes in culture develop polarized transporter expression and differentiation. J. Cell Sci. 2004, 117, 4077–4087. [Google Scholar] [CrossRef][Green Version]
- Tanimizu, N.; Ichinohe, N.; Ishii, M.; Kino, J.; Mizuguchi, T.; Hirata, K.; Mitaka, T. Liver Progenitors Isolated from Adult Healthy Mouse Liver Efficiently Differentiate to Functional Hepatocytes In Vitro and Repopulate Liver Tissue. Stem Cells 2016, 34, 2889–2901. [Google Scholar] [CrossRef]
- Wang, J.; Clark, J.B.; Rhee, G.-S.; Fair, J.H.; Reid, L.M.; Gerber, D.A. Proliferation and Hepatic Differentiation of Adult-Derived Progenitor Cells. Cells Tissues Organs 2003, 173, 193–203. [Google Scholar] [CrossRef]
- Wu, J.C.; Merlino, G.; Cveklova, K.; Mosinger, B., Jr.; Fausto, N. Autonomous growth in serum-free medium and production of hepatocellular carcinomas by differentiated hepatocyte lines that overexpress transforming growth factor alpha 1. Cancer Res. 1994, 54, 5964–5973. [Google Scholar] [PubMed]
- Kano, J.; Noguchi, M.; Kodama, M.; Tokiwa, T. The in vitro differentiating capacity of nonparenchymal epithelial cells derived from adult porcine livers. Am. J. Pathol. 2000, 156, 2033–2043. [Google Scholar] [CrossRef]
- Sasaki, K.; Kon, J.; Mizuguchi, T.; Chen, Q.; Ooe, H.; Oshima, H.; Hirata, K.; Mitaka, T. Proliferation of Hepatocyte Progenitor Cells Isolated from Adult Human Livers in Serum-Free Medium. Cell Transplant. 2008, 17, 1221–1230. [Google Scholar] [CrossRef] [PubMed]
- Tateno, C.; Yoshizato, K. Growth and differentiation in culture of clonogenic hepatocytes that express both phenotypes of hepatocytes and biliary epithelial cells. Am. J. Pathol. 1996, 149, 1593–1605. [Google Scholar]
- Ishii, M.; Kino, J.; Ichinohe, N.; Tanimizu, N.; Ninomiya, T.; Suzuki, H.; Mizuguchi, T.; Hirata, K.; Mitaka, T. Hepatocytic parental progenitor cells of rat small hepatocytes maintain self-renewal capability after long-term culture. Sci. Rep. 2017, 7, 46177. [Google Scholar] [CrossRef] [PubMed]
- Heckel, J.L.; Sandgren, E.P.; Degen, J.L.; Palmiter, R.D.; Brinster, R.L. Neonatal bleeding in transgenic mice expressing urokinase-type plasminogen activator. Cell 1990, 62, 447–456. [Google Scholar] [CrossRef] [PubMed]
- Sandgren, E.P.; Palmiter, R.D.; Heckel, J.L.; Daugherty, C.C.; Brinster, R.L.; Degen, J.L. Complete hepatic regeneration after somatic deletion of an albumin-plasminogen activator transgene. Cell 1991, 66, 245–256. [Google Scholar] [CrossRef]
- Rhim, J.A.; Sandgren, E.P.; Degen, J.L.; Palmiter, R.D.; Brinster, R.L. Replacement of Diseased Mouse Liver by Hepatic Cell Transplantation. Science 1994, 263, 1149–1152. [Google Scholar] [CrossRef]
- Grompe, M.; Al-Dhalimy, M.; Finegold, M.; Ou, C.N.; Burlingame, T.; Kennaway, N.G.; Soriano, P. Loss of fumarylacetoacetate hydrolase is responsible for the neonatal hepatic dysfunction phenotype of lethal albino mice. Minerva Anestesiol. 1993, 7, 2298–2307. [Google Scholar] [CrossRef]
- Kelsey, G.; Ruppert, S.; Beermann, F.; Grund, C.; Tanguay, R.M.; Schutz, G. Rescue of mice homozygous for lethal albino deletions: Implications for an animal model for the human liver disease tyrosinemia type 1. Genes Dev. 1993, 7, 2285–2297. [Google Scholar] [CrossRef] [PubMed][Green Version]
- Overturf, K.; Al-Dhalimy, M.; Tanguay, R.; Brantly, M.; Ou, C.-N.; Finegold, M.; Grompe, M. Hepatocytes corrected by gene therapy are selected in vivo in a murine model of hereditary tyrosinaemia type I. Nat. Genet. 1996, 12, 266–273. [Google Scholar] [CrossRef] [PubMed]
- Overturf, K.; Al-Dhalimy, M.; Ou, C.-N.; Finegold, M.; Grompe, M. Serial transplantation reveals the stem-cell-like regenerative potential of adult mouse hepatocytes. Am. J. Pathol. 1997, 151, 1273–1280. [Google Scholar] [PubMed]
- Menthena, A.; Koehler, C.I.; Sandhu, J.S.; Yovchev, M.I.; Hurston, E.; Shafritz, D.A.; Oertel, M. Activin A, p15INK4b Signaling, and Cell Competition Promote Stem/Progenitor Cell Repopulation of Livers in Aging Rats. Gastroenterology 2011, 140, 1009–1020.e8. [Google Scholar] [CrossRef]
- Mitaka, T.; Tsukada, H. Sexual difference in the histochemical characteristics of “altered cell foci” in the liver of aged Fischer 344 rats. Jpn. J. Cancer Res. 1987, 78, 785–790. [Google Scholar] [PubMed]
- Shiojiri, N.; Imai, H.; Goto, S.; Ohta, T.; Ogawa, K.; Mori, M. Mosaic pattern of ornithine transcarbamylase expression in spfash mouse liver. Am. J. Pathol. 1997, 151, 413–421. [Google Scholar] [PubMed]
- DeMars, R.; LeVan, S.L.; Trend, B.L.; Russell, L.B. Abnormal ornithine carbamoyltransferase in mice having the sparse-fur mutation. Proc. Natl. Acad. Sci. USA 1976, 73, 1693–1697. [Google Scholar] [CrossRef]
- Khokha, M.K.; Landini, G.; Iannaccone, P.M. Fractal Geometry in Rat Chimeras Demonstrates That a Repetitive Cell Division Program May Generate Liver Parenchyma. Dev. Biol. 1994, 165, 545–555. [Google Scholar] [CrossRef]
- Ng, Y.-K.; Iannaccone, P.M. Fractal geometry of mosaic pattern demonstrates liver regeneration is a self-similar process. Dev. Biol. 1992, 151, 419–430. [Google Scholar] [CrossRef]
- Kennedy, S.; Rettinger, S.; Flye, W.; Ponder, K.P. Experiments in transgenic mice show that hepatocytes are the source for postnatal liver growth and do not stream. Hepatology 1995, 22, 160–168. [Google Scholar]
- Bralet, M.P.; Branchereau, S.; Brechot, C.; Ferry, N. Cell lineage study in the liver using retroviral mediated gene transfer: Evidence against the streaming of hepatocytes in normal liver. Am. J. Pathol. 1994, 144, 896–905. [Google Scholar] [PubMed]
- Arber, N.; Zalicek, G.; Ariel, I. The streaming liver II. Hepatocyte life history. Liver Int. 1988, 8, 80–87. [Google Scholar] [CrossRef] [PubMed]
- Sell, S. Liver stem cells. Mod. Pathol. 1994, 7, 105–112. [Google Scholar] [CrossRef] [PubMed]
- Sigal, S.H.; Brill, S.; Fiorino, A.S.; Reid, L.M. The liver as a stem cell and lineage system. Am. J. Physiol. Liver Physiol. 1992, 263, G139–G148. [Google Scholar] [CrossRef] [PubMed]
- Zajicek, G.; Oren, R.; Weinreb, M. The streaming liver. Liver Int. 1985, 5, 293–300. [Google Scholar] [CrossRef] [PubMed]
- Block, G.D.; Locker, J.; Bowen, W.C.; Petersen, B.E.; Katyal, S.; Strom, S.C.; Riley, T.; Howard, T.A.; Michalopoulos, G.K. Population expansion, clonal growth, and specific differentiation patterns in primary cultures of hepatocytes induced by HGF/SF, EGF and TGF alpha in a chemically defined (HGM) medium. J. Cell Biol. 1996, 132, 1133–1149. [Google Scholar] [CrossRef] [PubMed]
- Mitaka, T.; Sattler, G.L.; Pitot, H.C. Amino acid-rich medium (Leibovitz L-15) enhances and prolongs proliferation of primary cultured rat hepatocytes in the absence of serum. J. Cell. Physiol. 1991, 147, 495–504. [Google Scholar] [CrossRef]
- Leibovitz, A. THE GROWTH AND MAINTENANCE OF TISSUE–CELL CULTURES IN FREE GAS EXCHANGE WITH THE ATMOSPHERE1. Am. J. Epidemiology 1963, 78, 173–180. [Google Scholar] [CrossRef]
- Seglen, P.O.; Gordon, P.B.; Schwarze, P.E. Autophagy and protein degradation in rat hepatocytes. In Isolation, Characterization, and Use of Hepatocytes; Harris, R.A., Cornell, N.W., Eds.; Elsevier: New York, NY, USA, 1983; pp. 153–163. [Google Scholar]
- Cable, E.E.; Isom, H.C. Exposure of primary rat hepatocytes in long-term DMSO culture to selected transition metals induces hepatocyte proliferation and formation of duct-like structures. Hepatology 1997, 26, 1444–1457. [Google Scholar] [CrossRef]
- Isom, H.C.; Secott, T.; Georgoff, I.; Woodworth, C.; Mummaw, J. Maintenance of differentiated rat hepatocytes in primary culture. Proc. Natl. Acad. Sci. USA 1985, 82, 3252–3256. [Google Scholar] [CrossRef]
- Mitaka, T. Reconstruction of hepatic organoid by hepatic stem cells. J. Hepato-Biliary-Pancreatic Surg. 2002, 9, 697–703. [Google Scholar] [CrossRef] [PubMed]
- Sugimoto, S.; Mitaka, T.; Ikeda, S.; Harada, K.; Ikai, I.; Yamaoka, Y.; Mochizuki, Y. Morphological changes induced by extracellular matrix are correlated with maturation of rat small hepatocytes. J. Cell. Biochem. 2002, 87, 16–28. [Google Scholar] [CrossRef] [PubMed]
- Ikeda, S.; Mitaka, T.; Harada, K.; Sugimoto, S.; Hirata, K.; Mochizuki, Y. Proliferation of rat small hepatocytes after long-term cryopreservation. J. Hepatol. 2002, 37, 7–14. [Google Scholar] [CrossRef] [PubMed]
- Ooe, H.; Kon, J.; Miyamoto, S.; Ozone, Y.; Ninomiya, S.-I.; Mitaka, T. Cytochrome P450 Expression of Cultured Rat Small Hepatocytes after Long-Term Cryopreservation. Drug Metab. Dispos. 2006, 34, 1667–1671. [Google Scholar] [CrossRef] [PubMed]
- Kon, J.; Ooe, H.; Oshima, H.; Kikkawa, Y.; Mitaka, T. Expression of CD44 in rat hepatic progenitor cells. J. Hepatol. 2006, 45, 90–98. [Google Scholar] [CrossRef] [PubMed]
- Goodison, S.; Urquidi, V.; Tarin, D. CD44 cell adhesion molecules. Mol. Pathol. 1999, 52, 189–196. [Google Scholar] [CrossRef] [PubMed]
- Ichinohe, N.; Tanimizu, N.; Ooe, H.; Nakamura, Y.; Mizuguchi, T.; Kon, J.; Hirata, K.; Mitaka, T. Differentiation capacity of hepatic stem/progenitor cells isolated from D -galactosamine-treated rat livers. Hepatology 2012, 57, 1192–1202. [Google Scholar] [CrossRef]
- Kon, J.; Ichinohe, N.; Ooe, H.; Chen, Q.; Sasaki, K.; Mitaka, T. Thy1-Positive Cells Have Bipotential Ability to Differentiate into Hepatocytes and Biliary Epithelial Cells in Galactosamine-Induced Rat Liver Regeneration. Am. J. Pathol. 2009, 175, 2362–2371. [Google Scholar] [CrossRef][Green Version]
- Hansen, B.; Longati, P.; Elvevold, K.; Nedredal, G.-I.; Schledzewski, K.; Olsen, R.; Falkowski, M.; Kzhyshkowska, J.; Carlsson, F.; Johansson, S.; et al. Stabilin-1 and stabilin-2 are both directed into the early endocytic pathway in hepatic sinusoidal endothelium via interactions with clathrin/AP-2, independent of ligand binding. Exp. Cell Res. 2005, 303, 160–173. [Google Scholar] [CrossRef]
- Mouta Carreira, C.; Nasser, S.M.; di Tomaso, E.; Padera, T.P.; Boucher, Y.; Tomarev, S.I.; Jain, R.K. LYVE-1 is not restricted to the lymph vessels: Expression in normal liver blood sinusoids and down-regulation in human liver cancer and cirrhosis. Cancer Res. 2001, 61, 8079–8084. [Google Scholar]
- Chen, Q.; Kon, J.; Ooe, H.; Sasaki, K.; Mitaka, T. Selective proliferation of rat hepatocyte progenitor cells in serum-free culture. Nat. Protoc. 2007, 2, 1197–1205. [Google Scholar] [CrossRef] [PubMed]
- Kleinman, H.K.; McGarvey, M.L.; Liotta, L.A.; Robey, P.G.; Tryggvason, K.; Martin, G.R. Isolation and characterization of type IV procollagen, laminin, and heparan sulfate proteoglycan from the EHS sarcoma. Biochemistry 1982, 21, 6188–6193. [Google Scholar] [CrossRef] [PubMed]
- Nishiuchi, R.; Takagi, J.; Hayashi, M.; Ido, H.; Yagi, Y.; Sanzen, N.; Tsuji, T.; Yamada, M.; Sekiguchi, K. Ligand-binding specificities of laminin-binding integrins: A comprehensive survey of laminin–integrin interactions using recombinant α3β1, α6β1, α7β1 and α6β4 integrins. Matrix Biol. 2006, 25, 189–197. [Google Scholar] [CrossRef] [PubMed]
- Yamada, M.; Sekiguchi, K. Molecular basis of laminin-integrin interactions. Curr. Top. Membr. 2015, 76, 197–229. [Google Scholar] [CrossRef] [PubMed]
- Kikkawa, Y.; Mochizuki, Y.; Miner, J.H.; Mitaka, T. Transient expression of laminin α1 chain in regenerating murine liver: Restricted localization of laminin chains and nidogen-1. Exp. Cell Res. 2005, 305, 99–109. [Google Scholar] [CrossRef] [PubMed]
- Kino, J.; Ichinohe, N.; Ishii, M.; Suzuki, H.; Mizuguchi, T.; Tanimizu, N.; Mitaka, T. Self-Renewal Capability of Hepatocytic Parental Progenitor Cells Derived From Adult Rat Liver Is Maintained Long Term When Cultured on Laminin 111 in Serum-Free Medium. Hepatol. Commun. 2019, 4, 21–37. [Google Scholar] [CrossRef] [PubMed]
- Tanimizu, N.; Kikkawa, Y.; Mitaka, T.; Miyajima, A. α1- and α5-containing Laminins Regulate the Development of Bile Ducts via β1 Integrin Signals. J. Biol. Chem. 2012, 287, 28586–28597. [Google Scholar] [CrossRef]
- Takayama, K.; Nagamoto, Y.; Mimura, N.; Tashiro, K.; Sakurai, F.; Tachibana, M.; Hayakawa, T.; Kawabata, K.; Mizuguchi, H. Long-Term Self-Renewal of Human ES/iPS-Derived Hepatoblast-like Cells on Human Laminin 111-Coated Dishes. Stem Cell Rep. 2013, 1, 322–335. [Google Scholar] [CrossRef]
- Rodin, S.; Domogatskaya, A.; Ström, S.; Hansson, E.M.; Chien, K.R.; Inzunza, J.; Hovatta, O.; Tryggvason, K. Long-term self-renewal of human pluripotent stem cells on human recombinant laminin-511. Nat. Biotechnol. 2010, 28, 611–615. [Google Scholar] [CrossRef]
- Suzuki, A.; Zheng, Y.-W.; Kaneko, S.; Onodera, M.; Fukao, K.; Nakauchi, H.; Taniguchi, H. Clonal identification and characterization of self-renewing pluripotent stem cells in the developing liver. J. Cell Biol. 2002, 156, 173–184. [Google Scholar] [CrossRef]
- Tanimizu, N.; Nishikawa, M.; Saito, H.; Tsujimura, T.; Miyajima, A. Isolation of hepatoblasts based on the expression of Dlk/Pref-1. J. Cell Sci. 2003, 116, 1775–1786. [Google Scholar] [CrossRef] [PubMed]
- Tanimizu, N.; Saito, H.; Mostov, K.; Miyajima, A. Long-term culture of hepatic progenitors derived from mouse Dlk+ hepatoblasts. J. Cell Sci. 2004, 117, 6425–6434. [Google Scholar] [CrossRef] [PubMed]
- Kubota, H.; Reid, L.M. Clonogenic hepatoblasts, common precursors for hepatocytic and biliary lineages, are lacking classical major histocompatibility complex class I antigen. Proc. Natl. Acad. Sci. USA 2000, 97, 12132–12137. [Google Scholar] [CrossRef] [PubMed]
- Font-Burgada, J.; Shalapour, S.; Ramaswamy, S.; Hsueh, B.; Rossell, D.; Umemura, A.; Taniguchi, K.; Nakagawa, H.; Valasek, M.A.; Ye, L.; et al. Hybrid Periportal Hepatocytes Regenerate the Injured Liver without Giving Rise to Cancer. Cell 2015, 162, 766–779. [Google Scholar] [CrossRef]
- Pu, W.; Zhang, H.; Huang, X.; Tian, X.; He, L.; Wang, Y.; Zhang, L.; Liu, Q.; Li, Y.; Li, Y.; et al. Mfsd2a+ hepatocytes repopulate the liver during injury and regeneration. Nat. Commun. 2016, 7, 13369. [Google Scholar] [CrossRef]
- Wang, B.; Zhao, L.; Fish, M.; Logan, C.Y.; Nusse, R. Self-renewing diploid Axin2+ cells fuel homeostatic renewal of the liver. Nature 2015, 524, 180–185. [Google Scholar] [CrossRef]
- Zhao, L.; Jin, Y.; Donahue, K.; Tsui, M.; Fish, M.; Logan, C.Y.; Wang, B.; Nusse, R. Tissue Repair in the Mouse Liver Following Acute Carbon Tetrachloride Depends on Injury-Induced Wnt/β-Catenin Signaling. Hepatology 2019, 69, 2623–2635. [Google Scholar] [CrossRef]
- Huch, M.; Dorrell, C.; Boj, S.F.; Van Es, J.H.; Li, V.S.W.; Van De Wetering, M.; Sato, T.; Hamer, K.; Sasaki, N.; Finegold, M.J.; et al. In vitro expansion of single Lgr5+ liver stem cells induced by Wnt-driven regeneration. Nature 2013, 494, 247–250. [Google Scholar] [CrossRef]
- Lin, S.; Nascimento, E.M.; Gajera, C.R.; Chen, L.; Neuhöfer, P.; Garbuzov, A.; Wang, S.; Artandi, S.E. Distributed hepatocytes expressing telomerase repopulate the liver in homeostasis and injury. Nature 2018, 556, 244–248. [Google Scholar] [CrossRef]
- Planas-Paz, L.; Orsini, V.; Boulter, L.; Calabrese, D.; Pikiolek, M.; Nigsch, F.; Xie, Y.; Roma, G.; Donovan, A.; Marti, P.; et al. The RSPO–LGR4/5–ZNRF3/RNF43 module controls liver zonation and size. Nature 2016, 18, 467–479. [Google Scholar] [CrossRef]
- Ang, C.H.; Hsu, S.H.; Guo, F.; Tan, C.T.; Yu, V.C.; Visvader, J.E.; Chow, P.K.H.; Fu, N.Y. Lgr5+ pericentral hepatocytes are self-maintained in normal liver regeneration and susceptible to hepatocarcinogenesis. Proc. Natl. Acad. Sci. USA 2019, 116, 19530–19540. [Google Scholar] [CrossRef] [PubMed]
- He, L.; Pu, W.; Liu, X.; Zhang, Z.; Han, M.; Li, Y.; Huang, X.; Han, X.; Li, Y.; Liu, K.; et al. Proliferation tracing reveals regional hepatocyte generation in liver homeostasis and repair. Science 2021, 371, 905. [Google Scholar] [CrossRef] [PubMed]
- Matsumoto, T.; Wakefield, L.; Tarlow, B.D.; Grompe, M. In Vivo Lineage Tracing of Polyploid Hepatocytes Reveals Extensive Proliferation during Liver Regeneration. Cell Stem Cell 2019, 26, 34–47.e3. [Google Scholar] [CrossRef]
- May, S.; Müller, M.; Livingstone, C.R.; Skalka, G.L.; Walsh, P.J.; Nixon, C.; Hedley, A.; Shaw, R.; Clark, W.; Voorde, J.V.; et al. Absent expansion of AXIN2+ hepatocytes and altered physiology in Axin2CreERT2 mice challenges the role of pericentral hepatocytes in homeostatic liver regeneration. J. Hepatol. 2023, 78, 1028–1036. [Google Scholar] [CrossRef] [PubMed]
- Reid, L.M. Paradoxes in studies of liver regeneration: Relevance of the parable of the blind men and the elephant. Hepatology 2015, 62, 330–333. [Google Scholar] [CrossRef]
- Sun, T.; Pikiolek, M.; Orsini, V.; Bergling, S.; Holwerda, S.; Morelli, L.; Hoppe, P.S.; Planas-Paz, L.; Yang, Y.; Ruffner, H.; et al. AXIN2+ Pericentral Hepatocytes Have Limited Contributions to Liver Homeostasis and Regeneration. Cell Stem Cell 2019, 26, 97–107.e6. [Google Scholar] [CrossRef]
- Wei, Y.; Wang, Y.G.; Jia, Y.; Li, L.; Yoon, J.; Zhang, S.; Wang, Z.; Zhang, Y.; Zhu, M.; Sharma, T.; et al. Liver homeostasis is maintained by midlobular zone 2 hepatocytes. Science 2021, 371, 906. [Google Scholar] [CrossRef]
- Sigal, S.H.; Gupta, S.; Gebhard, D.F., Jr.; Holst, P.; Neufeld, D.; Reid, L.M. Evidence for a terminal differentiation process in the liver. Differentiation 1995, 59, 35–42. [Google Scholar] [CrossRef]
- Tateno, C.; Takai-Kajihara, K.; Yamasaki, C.; Sato, H.; Yoshizato, K. Heterogeneity of growth potential of adult rat hepatocytesin vitro. Hepatology 2000, 31, 65–74. [Google Scholar] [CrossRef]
- Asahina, K.; Shiokawa, M.; Ueki, T.; Yamasaki, C.; Aratani, A.; Tateno, C.; Yoshizato, K. Multiplicative mononuclear small hepatocytes in adult rat liver: Their isolation as a homogeneous population and localization to periportal zone. Biochem. Biophys. Res. Commun. 2006, 342, 1160–1167. [Google Scholar] [CrossRef][Green Version]
- Zhang, L.; Theise, N.; Chua, M.; Reid, L.M. The stem cell niche of human livers: Symmetry between development and regeneration. Hepatology 2008, 48, 1598–1607. [Google Scholar] [CrossRef]
- Desmet, V.J. Ductal plates in hepatic ductular reactions. Hypothesis and implications. I. Types of ductular reaction reconsidered. Virchows Arch. 2011, 458, 251–259. [Google Scholar] [CrossRef]
- Jelnes, P.; Santoni-Rugiu, E.; Rasmussen, M.; Friis, S.L.; Nielsen, J.H.; Tygstrup, N.; Bisgaard, H.C. Remarkable heterogeneity displayed by oval cells in rat and mouse models of stem cell–mediated liver regeneration. Hepatology 2007, 45, 1462–1470. [Google Scholar] [CrossRef]
- Libbrecht, L.; Roskams, T. Hepatic progenitor cells in human liver diseases. Semin. Cell Dev. Biol. 2002, 13, 389–396. [Google Scholar] [CrossRef]
- Roskams, T.; De Vos, R.; Van Eyken, P.; Myazaki, H.; Van Damme, B.; Desmet, V. Hepatic OV-6 expression in human liver disease and rat experiments: Evidence for hepatic progenitor cells in man. J. Hepatol. 1998, 29, 455–463. [Google Scholar] [CrossRef]
- Heuvel, M.C.V.D.; Slooff, M.J.H.; Visser, L.; Muller, M.; De Jong, K.P.; Poppema, S.; Gouw, A.S.H. Expression of anti-OV6 antibody and anti-N-CAM antibody along the biliary line of normal and diseased human livers. Hepatology 2001, 33, 1387–1393. [Google Scholar] [CrossRef]
- Dezső, K.; Nagy, P.; Paku, S. Human liver regeneration following massive hepatic necrosis: Two distinct patterns. J. Gastroenterol. Hepatol. 2019, 35, 124–134. [Google Scholar] [CrossRef]
- Gouw, A.S.H.; Clouston, A.D.; Theise, N.D. Ductular reactions in human liver: Diversity at the interface. Hepatology 2011, 54, 1853–1863. [Google Scholar] [CrossRef]
- Hakoda, T.; Yamamoto, K.; Terada, R.; Okano, N.; Shimada, N.; Suzuki, T.; Mizuno, M.; Shiratori, Y. A Crucial Role of Hepatocyte Nuclear Factor-4 Expression in the Differentiation of Human Ductular Hepatocytes. Lab. Investig. 2003, 83, 1395–1402. [Google Scholar] [CrossRef]
- Eyken, P.; Desmet, V.J. Cytokeratins and the liver. Liver Int. 2008, 13, 113–122. [Google Scholar] [CrossRef] [PubMed]
- Alison, M.R.; Golding, M.; Sarraf, C.; Edwards, R.; Lalani, E. Liver damage in the rat induces hepatocyte stem cells from biliary epithelial cells. Gastroenterology 1996, 110, 1182–1190. [Google Scholar] [CrossRef]
- Dezső, K.; Papp, V.; Bugyik, E.; Hegyesi, H.; Sáfrány, G.; Bödör, C.; Nagy, P.; Paku, S. Structural analysis of oval-cell-mediated liver regeneration in rats. Hepatology 2012, 56, 1457–1467. [Google Scholar] [CrossRef]
- Evarts, R.P.; Nagy, P.; Marsden, E.; Thorgeirsson, S.S. In situ hybridization studies on expression of albumin and a-fetoprotein during the early stage of neoplastic transformation in rat liver. Cancer Res. 1987, 47, 5469–5475. [Google Scholar]
- Sarraf, C.; Lalani, E.N.; Golding, M.; Anilkumar, T.V.; Poulsom, R.; Alison, M. Cell behavior in the acetylaminofluorene-treated regenerating rat liver. Light. and electron microscopic observations. Am. J. Pathol. 1994, 145, 1114–1126. [Google Scholar]
- DeBaun, J.R.; Rowley, J.Y.; Miller, E.C.; Miller, J.A. Sulfotransferase Activation of N-Hydroxy-2-acetylaminofluorene in Rodent Livers Susceptible and Resistant to this Carcinogen. Exp. Biol. Med. 1968, 129, 268–273. [Google Scholar] [CrossRef]
- Petersen, B.E.; Bowen, W.C.; Patrene, K.D.; Mars, W.M.; Sullivan, A.K.; Murase, N.; Boggs, S.S.; Greenberger, J.S.; Goff, J.P. Bone Marrow as a Potential Source of Hepatic Oval Cells. Science 1999, 284, 1168–1170. [Google Scholar] [CrossRef]
- Dezső, K.; Jelnes, P.; László, V.; Baghy, K.; Bödör, C.; Paku, S.; Tygstrup, N.; Bisgaard, H.C.; Nagy, P. Thy-1 Is Expressed in Hepatic Myofibroblasts and Not Oval Cells in Stem Cell-Mediated Liver Regeneration. Am. J. Pathol. 2007, 171, 1529–1537. [Google Scholar] [CrossRef]
- Dudas, J.; Mansuroglu, T.; Batusic, D.; Saile, B.; Ramadori, G. Thy-1 is an in vivo and in vitro marker of liver myofibroblasts. Cell Tissue Res. 2007, 329, 503–514. [Google Scholar] [CrossRef] [PubMed]
- Bachmann, W.; Harms, E.; Hassels, B.; Henninger, H.; Reuitter, W. Studies on rat liver plasma membrane. Altered protein and phospholipid metabolism after injection of d-galactosamine. Biochem. J. 1977, 166, 455–462. [Google Scholar] [CrossRef] [PubMed]
- Decker, K.; Keppler, D. Galactosamine hepatitis: Key role of the nucleotide deficiency period in the pathogenesis of cell injury and cell death. Rev. Physiol. Biochem. Pharmacol. 1974, 71, 78–106. [Google Scholar] [CrossRef]
- Lesch, R.; Reutter, W.; Keppler, D.; Decker, K. Liver restitution after acute galactosamine hepatitis: Autoradiographic and biochemical studies in rats. Exp. Mol. Pathol. 1970, 12, 58–69. [Google Scholar] [CrossRef] [PubMed]
- Medline, A.; Schaffner, F.; Popper, H. Ultrastructural features in galactosamine-induced hepatitis. Exp. Mol. Pathol. 1970, 12, 201–211. [Google Scholar] [CrossRef] [PubMed]
- Ichinohe, N.; Kon, J.; Sasaki, K.; Nakamura, Y.; Ooe, H.; Tanimizu, N.; Mitaka, T. Growth Ability and Repopulation Efficiency of Transplanted Hepatic Stem Cells, Progenitor Cells, and Mature Hepatocytes in Retrorsine-Treated Rat Livers. Cell Transplant. 2012, 21, 11–22. [Google Scholar] [CrossRef] [PubMed]
- Fiegel, H.C.; Park, J.J.H.; Lioznov, M.V.; Martin, A.; Jaeschke-Melli, S.; Kaufmann, P.M.; Fehse, B.; Zander, A.R.; Kluth, D. Characterization of cell types during rat liver development. Hepatology 2003, 37, 148–154. [Google Scholar] [CrossRef] [PubMed]
- Lázaro, C. Establishment, characterization, and long-term maintenance of cultures of human fetal hepatocytes. Hepatology 2003, 38, 1095–1106. [Google Scholar] [CrossRef] [PubMed]
- Masson, N.M.; Currie, I.S.; Terrace, J.D.; Garden, O.J.; Parks, R.W.; Ross, J.A. Hepatic progenitor cells in human fetal liver express the oval cell marker Thy-1. Am. J. Physiol. Liver Physiol. 2006, 291, G45–G54. [Google Scholar] [CrossRef] [PubMed]
- Oertel, M.; Menthena, A.; Chen, Y.-Q.; Shafritz, D.A. Comparison of hepatic properties and transplantation of Thy-1+ and Thy-1− cells isolated from embryonic day 14 rat fetal liver. Hepatology 2007, 46, 1236–1245. [Google Scholar] [CrossRef] [PubMed]
- McLean, E.K. The toxic actions of pyrrolizidine (senecio) alkaloids. Pharmacol. Rev. 1970, 42, 429–483. [Google Scholar]
- Dabeva, M.D.; Laconi, E.; Oren, R.; Petkov, P.M.; Hurston, E.; Shafritz, D.A. Liver regeneration and a-fetoprotein messenger RNA expression in the retrorsine model for hepatocyte transplantation. Cancer Res. 1998, 58, 5825–5834. [Google Scholar]
- Laconi, E.; Sarma, D.; Pani, P. Transplantation of normal hepatocytes modulates the development of chronic liver lesions induced by a pyrrolizidine alkaloid, lasiocarpinet. Carcinog. 1995, 16, 139–142. [Google Scholar] [CrossRef]
- Laconi, E.; Oren, R.; Mukhopadhyay, D.K.; Hurston, E.; Laconi, S.; Pani, P.; Dabeva, M.D.; Shafritz, D.A. Long-Term, Near-Total Liver Replacement by Transplantation of Isolated Hepatocytes in Rats Treated with Retrorsine. Am. J. Pathol. 1998, 153, 319–329. [Google Scholar] [CrossRef] [PubMed]
- Oren, R.; Dabeva, M.D.; Karnezis, A.N.; Petkov, P.M.; Rosencrantz, R.; Sandhu, J.P.; Moss, S.F.; Wang, S.; Hurston, E.; Laconi, E.; et al. Role of thyroid hormone in stimulating liver repopulation in the rat by transplanted hepatocytes. Hepatology 1999, 30, 903–913. [Google Scholar] [CrossRef] [PubMed]
- Gordon, G.J.; Coleman, W.B.; Grisham, J.W. Bax-mediated apoptosis in the livers of rats after partial hepatectomy in the retrorsine model of hepatocellular injury. Hepatology 2000, 32, 312–320. [Google Scholar] [CrossRef] [PubMed]
- Ichinohe, N.; Ishii, M.; Tanimizu, N.; Kon, J.; Yoshioka, Y.; Ochiya, T.; Mizuguchi, T.; Hirata, K.; Mitaka, T. Transplantation of Thy1+ Cells Accelerates Liver Regeneration by Enhancing the Growth of Small Hepatocyte-Like Progenitor Cells via IL17RB Signaling. Stem Cells 2016, 35, 920–931. [Google Scholar] [CrossRef] [PubMed]
- Best, D.H.; Coleman, W.B. Cells of origin of small hepatocyte-like progenitor cells in the retrorsine model of rat liver injury and regeneration. J. Hepatol. 2008, 48, 369–371. [Google Scholar] [CrossRef]
- Pichard, V.; Ferry, N. Origin of small hepatocyte-like progenitor in retrorsine-treated rats. J. Hepatol. 2008, 48, 368–369. [Google Scholar] [CrossRef]
- Chen, Y.-H.; Chang, M.-H.; Chien, C.-S.; Wu, S.-H.; Yu, C.-H.; Chen, H.-L. Contribution of mature hepatocytes to small hepatocyte-like progenitor cells in retrorsine-exposed rats with chimeric livers. Hepatology 2012, 57, 1215–1224. [Google Scholar] [CrossRef]
- Vig, P.; Russo, F.P.; Edwards, R.J.; Tadrous, P.J.; Wright, N.A.; Thomas, H.C.; Alison, M.R.; Forbes, S.J. The sources of parenchymal regeneration after chronic hepatocellular liver injury in mice. Hepatology 2006, 43, 316–324. [Google Scholar] [CrossRef]
- Avril, A.; Pichard, V.; Bralet, M.-P.; Ferry, N. Mature hepatocytes are the source of small hepatocyte-like progenitor cells in the retrorsine model of liver injury. J. Hepatol. 2004, 41, 737–743. [Google Scholar] [CrossRef]
- Pichard, V.; Aubert, D.; Ferry, N. Direct In Vivo Cell Lineage Analysis in the Retrorsine and 2AAF Models of Liver Injury after Genetic Labeling in Adult and Newborn Rats. PLoS ONE 2009, 4, e7267. [Google Scholar] [CrossRef][Green Version]
- Coleman, W.B.; Best, D.H. Cellular responses in experimental liver injury: Possible cellular origins of regenerative stem-like progenitor cells. Hepatology 2005, 41, 1173–1176. [Google Scholar] [CrossRef]
- Gordon, G.J.; Coleman, W.B.; Grisham, J.W. Temporal Analysis of Hepatocyte Differentiation by Small Hepatocyte-Like Progenitor Cells during Liver Regeneration in Retrorsine-Exposed Rats. Am. J. Pathol. 2000, 157, 771–786. [Google Scholar] [CrossRef] [PubMed]
- Hulla, J.E.; Juchau, M.R. Occurrence and inducibility of cytochrome P 450IIIA in maternal and fetal rats during prenatal development. Biochemistry 1989, 28, 4871–4879. [Google Scholar] [CrossRef] [PubMed]
- Omiecinski, C.J.; Hassett, C.; Costa, P. Developmental expression and in situ localization of the phenobarbital-inducible rat hepatic mRNAs for cytochromes CYP2B1, CYP2B2, CYP2C6, and CYP 3A1. Mol. Pharmacol. 1990, 38, 462–470. [Google Scholar] [PubMed]
- Rich, K.J.; Boobis, A.R. Expression and inducibility of P450 enzymes during liver ontogeny. Microsc. Res. Tech. 1997, 39, 424–435. [Google Scholar] [CrossRef]
- Gordon, G.J.; Coleman, W.B.; Grisham, J.W. Induction of Cytochrome P450 Enzymes in the Livers of Rats Treated with the Pyrrolizidine Alkaloid Retrorsine. Exp. Mol. Pathol. 2000, 69, 17–26. [Google Scholar] [CrossRef]
- Ichinohe, N.; Ishii, M.; Tanimizu, N.; Mizuguchi, T.; Yoshioka, Y.; Ochiya, T.; Suzuki, H.; Mitaka, T. Extracellular vesicles containing miR-146a-5p secreted by bone marrow mesenchymal cells activate hepatocytic progenitors in regenerating rat livers. Stem Cell Res. Ther. 2021, 12, 312. [Google Scholar] [CrossRef]
- Gordon, G.J.; Butz, G.M.; Grisham, J.W.; Coleman, W.B. Isolation, short-term culture, and transplantation of small hepatocyte-like progenitor cells from retrorsine-exposed rats1. Transplantation 2002, 73, 1236–1243. [Google Scholar] [CrossRef]
- Libbrecht, L.; Desmet, V.; Van Damme, B.; Roskams, T. Deep intralobular extension of human hepatic ‘progenitor cells’ correlates with parenchymal inflammation in chronic viral hepatitis: Can ‘progenitor cells’ migrate? J. Pathol. 2000, 192, 373–378. [Google Scholar] [CrossRef]
- Lowes, K.N.; Brennan, B.A.; Yeoh, G.C.; Olynyk, J.K. Oval Cell Numbers in Human Chronic Liver Diseases Are Directly Related to Disease Severity. Am. J. Pathol. 1999, 154, 537–541. [Google Scholar] [CrossRef]
- Roskams, T.; Yang, S.Q.; Koteish, A.; Durnez, A.; DeVos, R.; Huang, X.; Achten, R.; Verslype, C.; Diehl, A.M. Oxidative Stress and Oval Cell Accumulation in Mice and Humans with Alcoholic and Nonalcoholic Fatty Liver Disease. Am. J. Pathol. 2003, 163, 1301–1311. [Google Scholar] [CrossRef]
- Van Eyken, P.; Sciot, R.; Callea, F.; Van Der Steen, K.; Moerman, P.; Desmet, V.J. The development of the intrahepatic bile ducts in man: A keratin-immunohistochemical study. Hepatology 1988, 8, 1586–1595. [Google Scholar] [CrossRef] [PubMed]
- Weng, H.-L.; Cai, X.; Yuan, X.; Liebe, R.; Dooley, S.; Li, H.; Wang, T.-L. Two sides of one coin: Massive hepatic necrosis and progenitor cell-mediated regeneration in acute liver failure. Front. Physiol. 2015, 6, 178. [Google Scholar] [CrossRef] [PubMed]
- Lefkowitch, J.H. The Pathology of Acute Liver Failure. Adv. Anat. Pathol. 2016, 23, 144–158. [Google Scholar] [CrossRef] [PubMed]
- Katoonizadeh, A.; Nevens, F.; Verslype, C.; Pirenne, J.; Roskams, T. Liver regeneration in acute severe liver impairment: A clinicopathological correlation study. Liver Int. 2006, 26, 1225–1233. [Google Scholar] [CrossRef] [PubMed]
- Fujita, M.; Furukawa, H.; Hattori, M.; Todo, S.; Ishida, Y.; Nagashima, K. Sequential Observation of Liver Cell Regeneration after Massive Hepatic Necrosis in Auxiliary Partial Orthotopic Liver Transplantation. Mod. Pathol. 2000, 13, 152–157. [Google Scholar] [CrossRef]
- Chenard-Neu, M.; Boudjema, K.; Bernuau, J.; Degott, C.; Belghiti, J.; Cherqui, D.; Costes, V.; Domergue, J.; Durand, F.; Erhard, J.; et al. Auxiliary liver transplantation: Regeneration of the native liver and outcome in 30 patients with fulminant hepatic failure-a multicenter European study. Hepatology 1996, 23, 1119–1127. [Google Scholar] [CrossRef]
- Quaglia, A.; Portmann, B.C.; Knisely, A.S.; Srinivasan, P.; Muiesan, P.; Wendon, J.; Heneghan, M.A.; O’Grady, J.G.; Samyn, M.; Hadzic, D.; et al. Auxiliary transplantation for acute liver failure: Histopathological study of native liver regeneration. Liver Transplant. 2008, 14, 1437–1448. [Google Scholar] [CrossRef]
- Gerber, M.A.; Thung, S.N.; Shen, S.; Stormeyer, F.W.; Ishak, K. Phenotypic characterization of hepatic proliferation: Antigenic expression by proliferating epithelial cells in fetal liver, massive hepatic necrosis, and nodular transformation of the liver. Am. J. Pathol. 1983, 110, 70–74. [Google Scholar]
- Roskams, T.; Desmet, V. Ductular reaction its diagnostic significance. Semin. Diagn. Pathol. 1998, 15, 259–269. [Google Scholar]
- Sirica, A.E. Ductular hepatocytes. Histol. Histopathol. 1995, 10, 433–456. [Google Scholar] [PubMed]
- Theise, N.D.; Saxena, R.; Portmann, B.C.; Thung, S.N.; Yee, H.; Chiriboga, L.; Kumar, A.; Crawford, J.M. The canals of hering and hepatic stem cells in humans. Hepatology 1999, 30, 1425–1433. [Google Scholar] [CrossRef] [PubMed]
- Marshall, A.; Rushbrook, S.; Davies, S.E.; Morris, L.S.; Scott, I.S.; Vowler, S.L.; Coleman, N.; Alexander, G. Relation between hepatocyte G1 arrest, impaired hepatic regeneration, and fibrosis in chronic hepatitis C virus infection. Gastroenterology 2005, 128, 33–42. [Google Scholar] [CrossRef] [PubMed]
- Wiemann, S.U.; Satyanarayana, A.; Tsahuridu, M.; Tillmann, H.L.; Zender, L.; Klempnauer, J.; Flemming, P.; Franco, S.; Blasco, M.A.; Manns, M.P.; et al. Hepatocyte telomere shortening and senescence are general markers of human liver cirrhosis. FASEB J. 2002, 16, 935–942. [Google Scholar] [CrossRef] [PubMed]
- Aihara, T.; Noguchi, S.; Sasaki, Y.; Nakano, H.; Imaoka, S. Clonal analysis of regenerative nodules in hepatitis C virus-induced liver cirrhosis. Gastroenterology 1994, 107, 1805–1811. [Google Scholar] [CrossRef] [PubMed]
- Lin, W.-R.; Lim, S.-N.; McDonald, S.A.C.; Graham, T.; Wright, V.L.; Peplow, C.L.; Humphries, A.; Kocher, H.M.; Wright, N.A.; Dhillon, A.P.; et al. The histogenesis of regenerative nodules in human liver cirrhosis. Hepatology 2009, 51, 1017–1026. [Google Scholar] [CrossRef] [PubMed]
- Mitaka, T.; Norioka, K.-I.; Nakamura, T.; Mochizuki, Y. Effects of mitogens and co-mitogens on the formation of small-cell colonies in primary cultures of rat hepatocytes. J. Cell. Physiol. 1993, 157, 461–468. [Google Scholar] [CrossRef]
- Sato, H.; Funahashia, M.; Kristensen, D.B.; Tatenoab, C.; Yoshizato, K. Pleiotrophin as a Swiss 3T3 Cell-Derived Potent Mitogen for Adult Rat Hepatocytes. Exp. Cell Res. 1999, 246, 152–164. [Google Scholar] [CrossRef]
- Best, D.H.; Butz, G.M.; Coleman, W.B. Cytokine-dependent activation of small hepatocyte-like progenitor cells in retrorsine-induced rat liver injury. Exp. Mol. Pathol. 2010, 88, 7–14. [Google Scholar] [CrossRef]
- Ichinohe, N.; Tanimizu, N.; Ishigami, K.; Yoshioka, Y.; Fujitani, N.; Ochiya, T.; Takahashi, M.; Mitaka, T. CINC-2 and miR-199a-5p in EVs secreted by transplanted Thy1+ cells activate hepatocytic progenitor cell growth in rat liver regeneration. Stem Cell Res. Ther. 2023, 14, 134. [Google Scholar] [CrossRef]
- Mitaka, T.; Kojima, T.; Norioka, K.-I.; Mochizuki, Y. TGF-.BETA. Completely Blocks the Formation of Small-Cell Colonies: Effects of Mito-inhibitory Factors on the Proliferation of Primary Cultured Rat Hepatocytes. Cell Struct. Funct. 1995, 20, 167–176. [Google Scholar] [CrossRef] [PubMed][Green Version]
- Ooe, H.; Chen, Q.; Kon, J.; Sasaki, K.; Miyoshi, H.; Ichinohe, N.; Tanimizu, N.; Mitaka, T. Proliferation of rat small hepatocytes requires follistatin expression. J. Cell. Physiol. 2011, 227, 2363–2370. [Google Scholar] [CrossRef] [PubMed]
- Michalopoulos, G.K. Liver regeneration: Molecular mechanisms of growth control. FASEB J. 1990, 4, 176–187. [Google Scholar] [CrossRef] [PubMed]
- Kubo, Y. Hepatocyte proliferation induced in rats by lead nitrate is suppressed by several tumor necrosis factor alpha inhibitors. Hepatology 1996, 23, 104–114. [Google Scholar] [CrossRef] [PubMed]
- Ledda-Columbano, G.M.; Columbano, A.; Cannas, A.; Simbula, G.; Okita, K.; Kayano, K.; Kubo, Y.; Katyal, S.L.; Shinozuka, H. Dexamethasone inhibits induction of liver tumor necrosis factor-alpha mRNA and liver growth induced by lead nitrate and ethylene dibromide. Am. J. Pathol. 1994, 145, 951–958. [Google Scholar] [PubMed]
- Nagy, P.; Kiss, A.; Schnur, J.; Thorgeirsson, S.S. Dexamethasone inhibits the proliferation of hepatocytes and oval cells but not bile duct cells in rat liver. Hepatology 1998, 28, 423–429. [Google Scholar] [CrossRef] [PubMed]
- Hully, J.R.; Chang, L.; Schwall, R.H.; Widmer, H.R.; Terrell, T.G.; Gillett, N.A. Induction of apoptosis in the murine liver with recombinant human activin a. Hepatology 1994, 20, 854–862. [Google Scholar] [CrossRef]
- Ichikawa, T.; Zhang, Y.; Kogure, K.; Hasegawa, Y.; Takagi, H.; Mori, M.; Kojima, I. Transforming growth factor β and activin tonically inhibit DNA synthesis in the rat liver. Hepatology 2001, 34, 918–925. [Google Scholar] [CrossRef]
- Kogure, K.; Zhang, Y.-Q.; Maeshima, A.; Suzuki, K.; Kuwano, H.; Kojima, I. The role of activin and transforming growth factor-β in the regulation of organ mass in the rat liver. Hepatology 2000, 31, 916–921. [Google Scholar] [CrossRef]
- Takabe, K.; Wang, L.; Leal, A.M.O.; MacConell, L.A.; Wiater, E.; Tomiya, T.; Ohno, A.; Verma, I.M.; Vale, W. Adenovirus-mediated overexpression of follistatin enlarges intact liver of adult rats. Hepatology 2003, 38, 1107–1115. [Google Scholar] [CrossRef]
- Yasuda, H.; Mine, T.; Shibata, H.; Eto, Y.; Hasegawa, Y.; Takeuchi, T.; Asano, S.; Kojima, I. Activin A: An autocrine inhibitor of initiation of DNA synthesis in rat hepatocytes. J. Clin. Investig. 1993, 92, 1491–1496. [Google Scholar] [CrossRef] [PubMed]
- Rodgarkia-Dara, C.; Vejda, S.; Erlach, N.; Losert, A.; Bursch, W.; Berger, W.; Schulte-Hermann, R.; Grusch, M. The activin axis in liver biology and disease. Mutat. Res. Mol. Mech. Mutagen. 2006, 613, 123–137. [Google Scholar] [CrossRef] [PubMed]
- Kogure, K.; Omata, W.; Kanzaki, M.; Zhang, Y.-Q.; Yasuda, H.; Mine, T.; Kojima, I. A single intraportal administration of follistatin accelerates liver regeneration in partially hepatectomized rats. Gastroenterology 1995, 108, 1136–1142. [Google Scholar] [CrossRef] [PubMed]
- Schneyer, A.; Schoen, A.; Quigg, A.; Sidis, Y. Differential Binding and Neutralization of Activins A and B by Follistatin and Follistatin Like-3 (FSTL-3/FSRP/FLRG). Endocrinology 2003, 144, 1671–1674. [Google Scholar] [CrossRef] [PubMed]
- Schwall, R. Activin induces cell death in hepatocytes in vivo and in vitro. Hepatology 1993, 18, 347–356. [Google Scholar] [CrossRef] [PubMed]
- Chikamatsu, K.; Ishii, H.; Takahashi, G.; Okamoto, A.; Moriyama, M.; Sakakura, K.; Masuyama, K. Resistance to apoptosis-inducing stimuli in CD44+ head and neck squamous cell carcinoma cells. Head Neck 2011, 34, 336–343. [Google Scholar] [CrossRef]
- Zöller, M. CD44: Can a cancer-initiating cell profit from an abundantly expressed molecule? Nat. Rev. Cancer 2011, 11, 254–267. [Google Scholar] [CrossRef]
- Clark, J.B.; Rice, L.; Sadiq, T.; Brittain, E.; Song, L.; Wang, J.; Gerber, D.A. Hepatic progenitor cell resistance to TGF-β1’s proliferative and apoptotic effects. Biochem. Biophys. Res. Commun. 2005, 329, 337–344. [Google Scholar] [CrossRef]
- Ding, W.; Mouzaki, M.; You, H.; Laird, J.C.; Mato, J.; Lu, S.C.; Rountree, C.B. CD133+ liver cancer stem cells from methionine adenosyl transferase 1A-deficient mice demonstrate resistance to transforming growth factor (TGF)-β-induced apoptosis. Hepatology 2008, 49, 1277–1286. [Google Scholar] [CrossRef]
- Miyaoka, Y.; Ebato, K.; Kato, H.; Arakawa, S.; Shimizu, S.; Miyajima, A. Hypertrophy and unconventional cell division of hepatocytes underlie liver regeneration. Curr. Biol. 2012, 22, 1166–1175. [Google Scholar] [CrossRef]







| Hepatoblasts | BECs | Oval Cells (Rodent) | HPPLs | IHBCs (Human) | SHs (MH-I) | MHs (MH-I/II/III) | ||||
|---|---|---|---|---|---|---|---|---|---|---|
| DRs | IHs (Ductular Hepatocytes) | HPPCs | OC-Derived | MH-I-Derived | ||||||
| Ploidy | 2n | 2n | 2n | 2n | 2n | 2n | 2n | 2n | 2n | >2n |
| No. of Nuclei | Mono | Mono | Mono | Mono | Mono | Mono | Mono | Mono | Mono | Mono/Binuclei |
| AFP | ++ | − | + | ND | − | −/+ | + | − | − | − |
| DLK1 | ++ | − | + | − | − | + | + | − | − | − |
| EpCAM | + | ++ | + | − | + | +/− | ± | − | + | − |
| NCAM | − | − | + | ND | + | − | + | − | − | |
| Krt7 | + | + | + | − | − | + | ± | − | − | − |
| Krt19 | + | ++ | ++ | + | ++ | − | ± | − | − | − |
| OV6 | − | ++ | ++ | − | + | + | ND | − | − | − |
| Sox9 | − | ++ | − | ND | UK | UK | ± | − | − | − |
| Thy1 | +/− | − | + | ND | UK | UK | + | + | − | − |
| CD44 | + | ++ | − | ND | UK | UK | ++ | ++ | ++ | − |
| Integrin beta1 | + | ++ | + | + | UK | + | ++ | ++ | ++ | − |
| HNF4α | + | − | − | + | + | + | + | + | ++ | ++ |
| Krt8/18 | + | + | − | + | + | + | + | + | + | ++ |
| Albumin | + | − | − | + | + | + | ++ | ++ | ++ | ++ |
| References | [105,107,119,125] | [15,126,127,128,129,130] | [106] | [22,125,128,131,132,133,134] | [59,100] | [89,91,92] | ||||
| ND: Not Determined | UK: unknown | |||||||||
| BECs, biliary epithelial cells; | ||||||||||
| HPPLs, hepatic progenitor cells proliferating on laminin; | ||||||||||
| IHs, intermediate hepatocytes; | ||||||||||
| IHBCs, intermediate hepatobiliary cells | ||||||||||
| HPPCs, hepatocytic parental progenitor cells; | ||||||||||
| SHs, small hepatocytes; MHs, mature hepatocytes | ||||||||||
| Factors | References | ||||
|---|---|---|---|---|---|
| Paracrine | Stimulators | Mitogens | Growth factors | Hepatocyte growth factor (HGF) | [9,48,191] |
| Epidermal growth factor (EGF) | |||||
| Transforming growth factor (TGF)-a | |||||
| Acidic fibroblast growth factor (aFGF/FGF1) | |||||
| Basic fibroblast growth factor (bFGF/FGF2) | |||||
| Pleiotrophin | [192] | ||||
| Co-mitogens | Cytokines | IL-17B | [158] | ||
| IL-25 | [158] | ||||
| IL-6 | [171,193] | ||||
| Stem cell factor (SCF) | [171] | ||||
| microRNAs (miRs) | miR-146a-5p | [171] | |||
| miR-125b-5p | [194] | ||||
| miR-199a-5p | [194] | ||||
| Inhibitors | Growth factors | Activin A | [195,196] | ||
| TGF-β | [195] | ||||
| Cytokines | Interleukin 1β (IL-1β) | [195] | |||
| Others | * Dexamethasone | [193] | |||
| Autocrine | Stimulators | Growth factors | TGF-α | [191] | |
| Follistatin | [196] | ||||
| Inhibitor | Activin B | [196] |
Disclaimer/Publisher’s Note: The statements, opinions and data contained in all publications are solely those of the individual author(s) and contributor(s) and not of MDPI and/or the editor(s). MDPI and/or the editor(s) disclaim responsibility for any injury to people or property resulting from any ideas, methods, instructions or products referred to in the content. |
© 2023 by the authors. Licensee MDPI, Basel, Switzerland. This article is an open access article distributed under the terms and conditions of the Creative Commons Attribution (CC BY) license (https://creativecommons.org/licenses/by/4.0/).
Share and Cite
Mitaka, T.; Ichinohe, N.; Tanimizu, N. “Small Hepatocytes” in the Liver. Cells 2023, 12, 2718. https://doi.org/10.3390/cells12232718
Mitaka T, Ichinohe N, Tanimizu N. “Small Hepatocytes” in the Liver. Cells. 2023; 12(23):2718. https://doi.org/10.3390/cells12232718
Chicago/Turabian StyleMitaka, Toshihiro, Norihisa Ichinohe, and Naoki Tanimizu. 2023. "“Small Hepatocytes” in the Liver" Cells 12, no. 23: 2718. https://doi.org/10.3390/cells12232718
APA StyleMitaka, T., Ichinohe, N., & Tanimizu, N. (2023). “Small Hepatocytes” in the Liver. Cells, 12(23), 2718. https://doi.org/10.3390/cells12232718

