Sertoli Cell-Specific Activation of Transforming Growth Factor Beta Receptor 1 Leads to Testicular Granulosa Cell Tumor Formation
Abstract
:1. Introduction
2. Materials and Methods
2.1. Animals
2.2. Genotyping
2.3. Tissue Collection and Processing
2.4. Immunohistochemistry and Immunofluorescence
2.5. Western Blot
2.6. RNA Extraction and Quantitative Reverse Transcription PCR (qRT-PCR)
2.7. Statistical Analysis
3. Results
3.1. Generation of Mice with Sertoli Cell-Specific Activation of TGFBR1
3.2. Sertoli Cell-Specific Activation of TGFBR1 Leads to the Development of Testicular Tumors
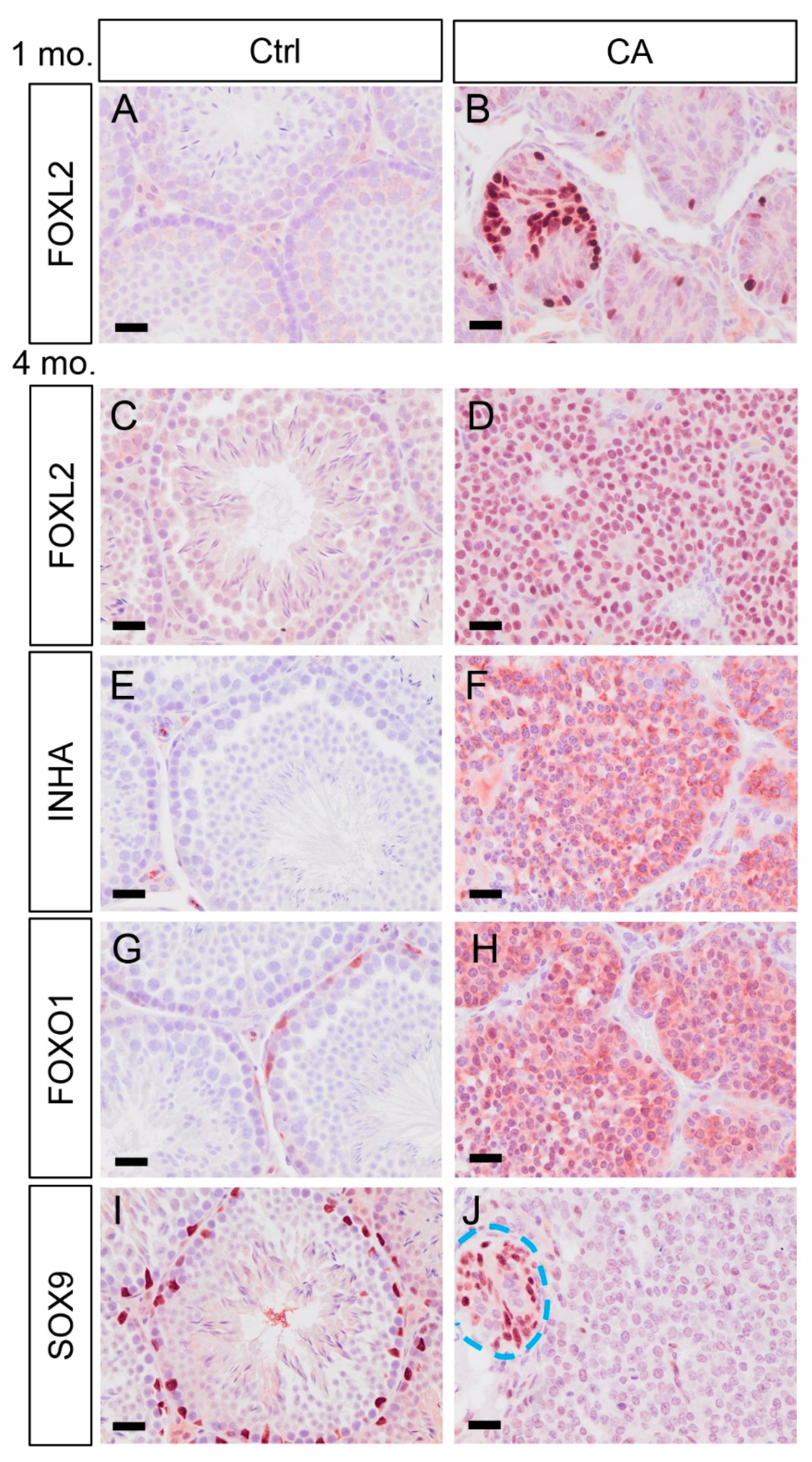
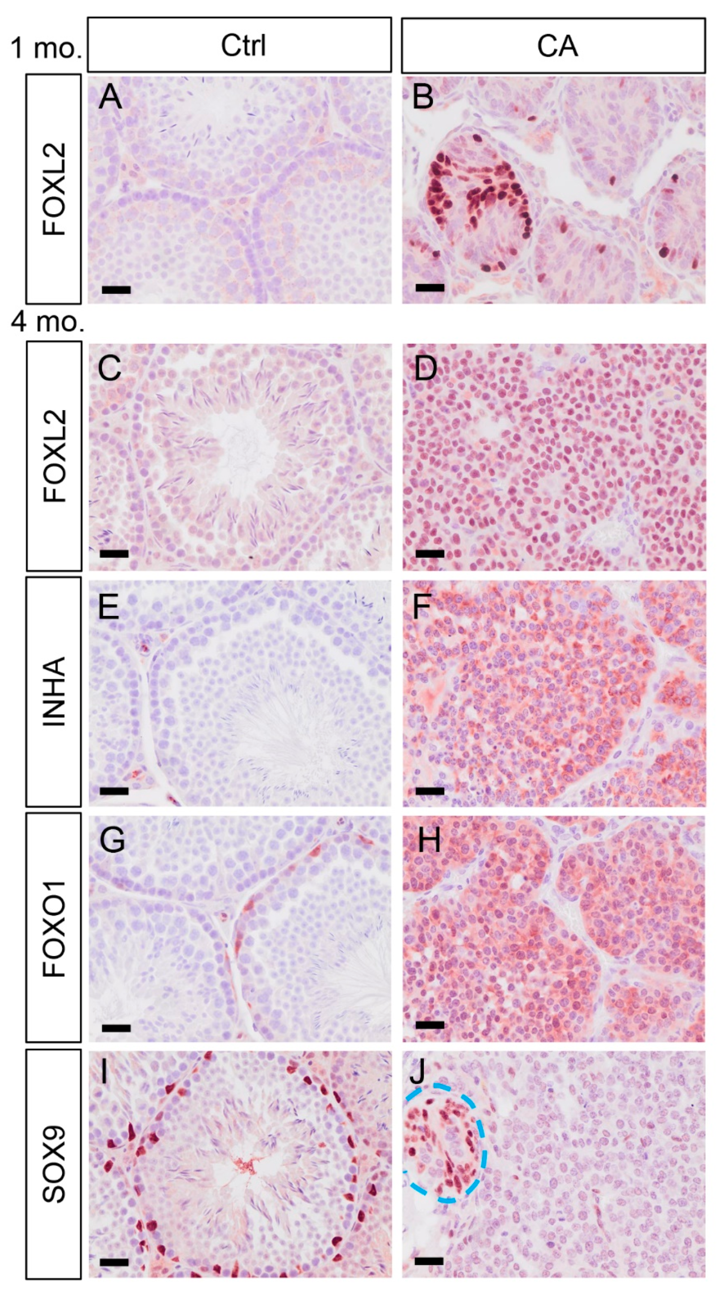
3.3. Testicular Tumors Induced by TGFBR1 Overactivation in Sertoli Cells Resemble Granulosa Cell Tumors
3.4. TGFBR1 Overactivation in Sertoli Cells Promotes Sertoli Cell Proliferation and Transdifferentiation into Granulosa-like Cells
4. Discussion
Supplementary Materials
Author Contributions
Funding
Institutional Review Board Statement
Informed Consent Statement
Data Availability Statement
Acknowledgments
Conflicts of Interest
References
- Jamieson, S.; Fuller, P.J. Molecular pathogenesis of granulosa cell tumors of the ovary. Endocr. Rev. 2012, 33, 109–144. [Google Scholar] [CrossRef] [PubMed]
- Fang, X.; Li, Q. New insights into testicular granulosa cell tumors. Oncol. Lett. 2020, 20, 293. [Google Scholar] [CrossRef] [PubMed]
- Fang, X.; Ni, N.; Gao, Y.; Vincent, D.F.; Bartholin, L.; Li, Q. A novel mouse model of testicular granulosa cell tumors. Mol. Hum. Reprod. 2018, 24, 343–356. [Google Scholar] [CrossRef] [PubMed]
- Lawrence, W.D.; Scully, R.E. Juvenile granulosa cell tumor—Another neoplasm associated with abnormal chromosomes and ambiguous genitalia. A report of three cases. Am. J. Surg. Pathol. 1985, 9, 737–740. [Google Scholar] [CrossRef] [PubMed]
- Raju, U.; Fine, G.; Warrier, R.; Kini, R.; Weiss, L. Congenital testicular juvenile granulosa cell tumor in a neonate with X/XY mosaicism. Am. J. Surg. Pathol. 1986, 10, 577–583. [Google Scholar] [CrossRef] [PubMed]
- Shah, S.P.; Köbel, M.; Senz, J.; Morin, R.D.; Clarke, B.A.; Wiegand, K.C.; Leung, G.; Zayed, A.; Mehl, E.; Kalloger, S.E.; et al. Mutation of FOXL2 in granulosa-cell tumors of the ovary. N. Engl. J. Med. 2009, 360, 2719–2729. [Google Scholar] [CrossRef]
- Lima, J.F.; Jin, L.; de Araujo, A.R.C.; Erikson-Johnson, M.R.; Oliveira, A.M.; Sebo, T.J.; Keeney, G.L.; Medeiros, F. FOXL2 mutations in granulosa cell tumors occurring in males. Arch. Pathol. Lab. Med. 2012, 136, 825–828. [Google Scholar] [CrossRef]
- Massague, J. TGF-β signal transduction. Annu. Rev. Biochem. 1998, 67, 753–791. [Google Scholar] [CrossRef]
- Batlle, E.; Massague, J. Transforming growth factor-β signaling in immunity and cancer. Immunity 2019, 50, 924–940. [Google Scholar] [CrossRef]
- Yeung, T.L.; Leung, C.S.; Wong, K.K.; Samimi, G.; Thompson, M.S.; Liu, J.; Zaid, T.M.; Ghosh, S.; Birrer, M.J.; Mok, S.C. TGF-β modulates ovarian cancer invasion by upregulating CAF-derived versican in the tumor microenvironment. Cancer Res. 2013, 73, 5016–5028. [Google Scholar] [CrossRef]
- Li, Q. Tumor-suppressive signaling in the uterus. Proc. Natl. Acad. Sci. USA 2019, 116, 3367–3369. [Google Scholar] [CrossRef] [PubMed]
- Fang, X.; Gao, Y.; Li, Q. SMAD3 activation: A converging point of dysregulated TGF-Beta superfamily signaling and genetic aberrations in granulosa cell tumor development? Biol. Reprod. 2016, 95, 105. [Google Scholar] [CrossRef] [PubMed]
- Pangas, S.A.; Li, X.; Umans, L.; Zwijsen, A.; Huylebroeck, D.; Gutierrez, C.; Wang, D.; Martin, J.F.; Jamin, S.P.; Behringer, R.R.; et al. Conditional deletion of Smad1 and Smad5 in somatic cells of male and female gonads leads to metastatic tumor development in mice. Mol. Cell. Biol. 2008, 28, 248–257. [Google Scholar] [CrossRef] [PubMed]
- Gao, Y.; Vincent, D.F.; Davis, A.J.; Sansom, O.J.; Bartholin, L.; Li, Q. Constitutively active transforming growth factor β receptor 1 in the mouse ovary promotes tumorigenesis. Oncotarget 2016, 7, 40904–40918. [Google Scholar] [CrossRef] [PubMed]
- Albrecht, K.H.; Eicher, E.M. Evidence that Sry is expressed in pre-Sertoli cells and Sertoli and granulosa cells have a common precursor. Dev. Biol. 2001, 240, 92–107. [Google Scholar] [CrossRef] [PubMed]
- Griswold, M.D. The central role of Sertoli cells in spermatogenesis. Semin. Cell Dev. Biol. 1998, 9, 411–416. [Google Scholar] [CrossRef] [PubMed]
- Mackay, S. Gonadal development in mammals at the cellular and molecular levels. Int. Rev. Cytol. 2000, 200, 47–99. [Google Scholar]
- Skinner, M.K.; Norton, J.N.; Mullaney, B.P.; Rosselli, M.; Whaley, P.D.; Anthony, C.T. Cell-cell interactions and the regulation of testis function. Ann. N. Y. Acad. Sci. 1991, 637, 354–363. [Google Scholar] [CrossRef]
- Boyer, A.; Hermo, L.; Paquet, M.; Robaire, B.; Boerboom, D. Seminiferous tubule degeneration and infertility in mice with sustained activation of WNT/CTNNB1 signaling in sertoli cells. Biol. Reprod. 2008, 79, 475–485. [Google Scholar] [CrossRef]
- Holdcraft, R.W.; Braun, R.E. Androgen receptor function is required in Sertoli cells for the terminal differentiation of haploid spermatids. Development 2004, 131, 459–467. [Google Scholar] [CrossRef]
- Bartholin, L.; Cyprian, F.S.; Vincent, D.; Garcia, C.N.; Martel, S.; Horvat, B.; Berthet, C.; Goddard-Leon, S.; Treilleux, I.; Rimokh, R.; et al. Generation of mice with conditionally activated transforming growth factor Beta signaling through the TβRI/ALK5 receptor. Genesis 2008, 46, 724–731. [Google Scholar] [CrossRef]
- Muzumdar, M.D.; Tasic, B.; Miyamichi, K.; Li, L.; Luo, L. A global double-fluorescent Cre reporter mouse. Genesis 2007, 45, 593–605. [Google Scholar] [CrossRef]
- Fang, X.; Ni, N.; Lydon, J.P.; Ivanov, I.; Bayless, K.J.; Rijnkels, M.; Li, Q. Enhancer of Zeste 2 polycomb repressive complex 2 subunit is required for uterine epithelial integrity. Am. J. Pathol. 2019, 189, 1212–1225. [Google Scholar] [CrossRef]
- Li, Q.; Pangas, S.A.; Jorgez, C.J.; Graff, J.M.; Weinstein, M.; Matzuk, M.M. Redundant roles of SMAD2 and SMAD3 in ovarian granulosa cells in vivo. Mol. Cell. Biol. 2008, 28, 7001–7011. [Google Scholar] [CrossRef]
- Fang, X.; Ni, N.; Gao, Y.; Lydon, J.P.; Ivanov, I.; Rijnkels, M.; Bayless, K.J.; Li, Q. Transforming growth factor beta signaling and decidual integrity in mice. Biol. Reprod. 2020, 103, 1186–1198. [Google Scholar] [CrossRef]
- Wang, X.; Spandidos, A.; Wang, H.; Seed, B. PrimerBank: A PCR primer database for quantitative gene expression analysis, 2012 update. Nucleic Acids Res. 2012, 40, D1144–D1149. [Google Scholar] [CrossRef]
- Livak, K.J.; Schmittgen, T.D. Analysis of relative gene expression data using real-time quantitative PCR and the 2−ΔΔCT Method. Methods 2001, 25, 402–408. [Google Scholar] [CrossRef]
- Gu, W.; Tekur, S.; Reinbold, R.; Eppig, J.J.; Choi, Y.-C.; Zheng, J.Z.; Murray, M.T.; Hecht, N.B. Mammalian male and female germ cells express a germ cell-specific Y-Box protein, MSY2. Biol. Reprod. 1998, 59, 1266–1274. [Google Scholar] [CrossRef]
- Boyer, A.; Paquet, M.; Lague, M.-N.; Hermo, L.; Boerboom, D. Dysregulation of WNT/CTNNB1 and PI3K/AKT signaling in testicular stromal cells causes granulosa cell tumor of the testis. Carcinogenesis 2009, 30, 869–878. [Google Scholar] [CrossRef]
- Petersen, C.; Soder, O. The sertoli cell—A hormonal target and ‘super’ nurse for germ cells that determines testicular size. Horm. Res. 2006, 66, 153–161. [Google Scholar] [CrossRef]
- Rebourcet, D.; O’Shaughnessy, P.J.; Monteiro, A.; Milne, L.; Cruickshanks, L.; Jeffrey, N.; Guillou, F.; Freeman, T.C.; Mitchell, R.T.; Smith, L.B. Sertoli cells maintain Leydig cell number and peritubular myoid cell activity in the adult mouse testis. PLoS ONE 2014, 9, e105687. [Google Scholar] [CrossRef]
- Kidder, G.M.; Vanderhyden, B.C. Bidirectional communication between oocytes and follicle cells: Ensuring oocyte developmental competence. Can. J. Physiol. Pharmacol. 2010, 88, 399–413. [Google Scholar] [CrossRef]
- Rotgers, E.; Jørgensen, A.; Yao, H.H.-C. At the crossroads of fate-somatic cell lineage specification in the fetal gonad. Endocr. Rev. 2018, 39, 739–759. [Google Scholar] [CrossRef]
- Liu, Z.; Ren, Y.A.; Pangas, S.A.; Adams, J.; Zhou, W.; Castrillon, D.H.; Wilhelm, D.; Richards, J.S. FOXO1/3 and PTEN depletion in granulosa cells promotes ovarian granulosa cell tumor development. Mol. Endocrinol. 2015, 29, 1006–1024. [Google Scholar] [CrossRef]
- Cheng, J.-C.; Chang, H.-M.; Qiu, X.; Fang, L.; Leung, P.C. FOXL2-induced follistatin attenuates activin A-stimulated cell proliferation in human granulosa cell tumors. Biochem. Biophys. Res. Commun. 2014, 443, 537–542. [Google Scholar] [CrossRef]
- Rosario, R.; Araki, H.; Print, C.G.; Shelling, A.N. The transcriptional targets of mutant FOXL2 in granulosa cell tumours. PLoS ONE 2012, 7, e46270. [Google Scholar] [CrossRef]
- Belli, M.; Iwata, N.; Nakamura, T.; Iwase, A.; Stupack, D.; Shimasaki, S. FOXL2C134W-induced CYP19 expression via cooperation with SMAD3 in HGrC1 cells. Endocrinology 2018, 159, 1690–1703. [Google Scholar] [CrossRef]
- Weis-Banke, S.E.; Lerdrup, M.; Kleine-Kohlbrecher, D.; Mohammad, F.; Sidoli, S.; Jensen, O.N.; Yanase, T.; Nakamura, T.; Iwase, A.; Stylianou, A.; et al. Mutant FOXL2C134W hijacks SMAD4 and SMAD2/3 to drive adult granulosa cell tumors. Cancer Res. 2020, 80, 3466–3479. [Google Scholar] [CrossRef]
- Llano, E.; Todeschini, A.L.; Felipe-Medina, N.; Corte-Torres, M.D.; Condezo, Y.B.; Sanchez-Martin, M.; López-Tamargo, S.; Astudillo, A.; Puente, X.S.; Pendas, A.M.; et al. The oncogenic FOXL2 C134W mutation is a key driver of granulosa cell tumors. Cancer Res. 2023, 83, 239–250. [Google Scholar] [CrossRef]
- Pilsworth, J.A.; Todeschini, A.L.; Neilson, S.J.; Cochrane, D.R.; Lai, D.; Anttonen, M.; Heikinheimo, M.; Huntsman, D.G.; Veitia, R.A. FOXL2 in adult-type granulosa cell tumour of the ovary: Oncogene or tumour suppressor gene? J. Pathol. 2021, 255, 225–231. [Google Scholar] [CrossRef]
- Shin, E.; Jin, H.; Suh, D.-S.; Luo, Y.; Ha, H.-J.; Kim, T.H.; Hahn, Y.; Hyun, S.; Lee, K.; Bae, J. An alternative miRISC targets a cancer-associated coding sequence mutation in FOXL2. EMBO J. 2021, 40, e108163. [Google Scholar] [CrossRef]
- Leung, D.T.H.; Fuller, P.J.; Chu, S. Impact of FOXL2 mutations on signaling in ovarian granulosa cell tumors. Int. J. Biochem. Cell Biol. 2016, 72, 51–54. [Google Scholar] [CrossRef]
- Kim, J.-H.; Yoon, S.; Park, M.; Park, H.-O.; Ko, J.-J.; Lee, K.; Bae, J. Differential apoptotic activities of wild-type FOXL2 and the adult-type granulosa cell tumor-associated mutant FOXL2 (C134W). Oncogene 2011, 30, 1653–1663. [Google Scholar] [CrossRef]
- Fleming, N.I.; Knower, K.C.; Lazarus, K.A.; Fuller, P.J.; Simpson, E.R.; Clyne, C.D. Aromatase is a direct target of FOXL2: C134W in granulosa cell tumors via a single highly conserved binding site in the ovarian specific promoter. PLoS ONE 2010, 5, e14389. [Google Scholar] [CrossRef]
- Siegmund, S.; Sholl, L.M.; Cornejo, K.M.; Sangoi, A.R.; Otis, C.N.; Mehra, R.; Hirsch, M.S.; Acosta, A.M. Molecular assessment of testicular adult granulosa cell tumor demonstrates significant differences when compared to ovarian counterparts. Mod. Pathol. 2022, 35, 697–704. [Google Scholar] [CrossRef]
- Hao, Y.; Baker, D.; Ten Dijke, P. TGF-β-mediated epithelial-mesenchymal transition and cancer metastasis. Int. J. Mol. Sci. 2019, 20, 2767. [Google Scholar] [CrossRef]
- Zhu, X.; Zhong, J.; Zhao, Z.; Sheng, J.; Wang, J.; Liu, J.; Cui, K.; Chang, J.; Zhao, H.; Wong, S. Epithelial derived CTGF promotes breast tumor progression via inducing EMT and collagen I fibers deposition. Oncotarget 2015, 6, 25320–25338. [Google Scholar] [CrossRef]
- Xu, B.; Bai, Z.; Yin, J.; Zhang, Z. Global transcriptomic analysis identifies SERPINE1 as a prognostic biomarker associated with epithelial-to-mesenchymal transition in gastric cancer. PeerJ 2019, 7, e7091. [Google Scholar] [CrossRef]
- Tao, J.J.; Cangemi, N.A.; Makker, V.; Cadoo, K.A.; Liu, J.F.; Rasco, D.W.; Navarro, W.H.; Haqq, C.M.; Hyman, D.M. First-in-human phase I study of the activin A inhibitor, STM 434, in patients with granulosa cell ovarian cancer and other advanced solid tumors. Clin. Cancer Res. 2019, 25, 5458–5465. [Google Scholar] [CrossRef]
- Allred, C.A.; Heinz, R.E.; Matsumura, Y.; Forostyan, T.V.; Kircher, D.; Sommakia, S.; Welte, T.; Vuttaradhi, V.; Foulks, J.M.; Warner, S.L.; et al. Abstract 1617: TGFBR1 as a novel therapeutic target in adult granulosa cell tumors. Cancer Res. 2023, 83, 1617. [Google Scholar] [CrossRef]
- Kim, B.G.; Malek, E.; Choi, S.H.; Ignatz-Hoover, J.J.; Driscoll, J.J. Novel therapies emerging in oncology to target the TGF-β pathway. J. Hematol. Oncol. 2021, 14, 55. [Google Scholar] [CrossRef] [PubMed]






| Name | Company | Cat.# | Species | IHC/IF | WB |
|---|---|---|---|---|---|
| ACTB | Cell Signaling (Danvers, MA, USA) | 12262 | Mouse | 1:1000 | |
| FOXO1 | Cell Signaling | 2880 | Rabbit | 1:800 | |
| FOXL2 | Abcam (Cambridge, UK) | Ab5096 | Goat | 1:1500 | |
| FOXL2 | Abcam | Ab246511 | Rabbit | 1:500 | |
| GFP | Novus Biologicals (Littleton, CO, USA) | NB600-308SS | Rabbit | 1:1000 | |
| GFP | Cell Signaling | 2956S | Rabbit | 1:50 | |
| HA | Roche (Basel, Switzerland) | 12013819001 | Rat | 1:500 | |
| INHA | Biorad (Hercules, CA, USA) | MCA951ST | Mouse | 1:300 | |
| MSY2 | Abcam | Ab33164 | Rabbit | 1:500 | |
| Non-phospho CTNNB1 | Cell Signaling | 19807 | 1:1500 | ||
| Phospho-SMAD2 | Cell Signaling | 3101 | Rabbit | 1:1000 | |
| Phospho-SMAD3 | Abcam | Ab52903 | Rabbit | 1:2000 | |
| SMAD2 | Cell Signaling | 5339 | Rabbit | 1:1000 | |
| SMAD3 | Abcam | Ab28379 | Rabbit | 1:1000 | |
| SOX9 | Millipore (Burlington, MA, USA) | Ab5535 | Rabbit | 1:2000 |
Disclaimer/Publisher’s Note: The statements, opinions and data contained in all publications are solely those of the individual author(s) and contributor(s) and not of MDPI and/or the editor(s). MDPI and/or the editor(s) disclaim responsibility for any injury to people or property resulting from any ideas, methods, instructions or products referred to in the content. |
© 2023 by the authors. Licensee MDPI, Basel, Switzerland. This article is an open access article distributed under the terms and conditions of the Creative Commons Attribution (CC BY) license (https://creativecommons.org/licenses/by/4.0/).
Share and Cite
Fang, X.; Nie, L.; Putluri, S.; Ni, N.; Bartholin, L.; Li, Q. Sertoli Cell-Specific Activation of Transforming Growth Factor Beta Receptor 1 Leads to Testicular Granulosa Cell Tumor Formation. Cells 2023, 12, 2717. https://doi.org/10.3390/cells12232717
Fang X, Nie L, Putluri S, Ni N, Bartholin L, Li Q. Sertoli Cell-Specific Activation of Transforming Growth Factor Beta Receptor 1 Leads to Testicular Granulosa Cell Tumor Formation. Cells. 2023; 12(23):2717. https://doi.org/10.3390/cells12232717
Chicago/Turabian StyleFang, Xin, Linfeng Nie, Satwikreddy Putluri, Nan Ni, Laurent Bartholin, and Qinglei Li. 2023. "Sertoli Cell-Specific Activation of Transforming Growth Factor Beta Receptor 1 Leads to Testicular Granulosa Cell Tumor Formation" Cells 12, no. 23: 2717. https://doi.org/10.3390/cells12232717
APA StyleFang, X., Nie, L., Putluri, S., Ni, N., Bartholin, L., & Li, Q. (2023). Sertoli Cell-Specific Activation of Transforming Growth Factor Beta Receptor 1 Leads to Testicular Granulosa Cell Tumor Formation. Cells, 12(23), 2717. https://doi.org/10.3390/cells12232717
