SMYD3 Modulates AMPK-mTOR Signaling Balance in Cancer Cell Response to DNA Damage
Abstract
:1. Introduction
2. Materials and Methods
2.1. Chemicals
2.2. Cell Line Cultures
2.3. Generation of SMYD3-KO Cell Lines
2.4. Co-Immunoprecipitation Assays
2.5. Immunoblotting
2.6. In Vitro Methylation Assay
2.7. In Silico Methylation Prediction Analysis
2.8. Mass Spectrometry Analysis
2.9. Multiple Sequence Alignment
2.10. Statistical Analysis
3. Results
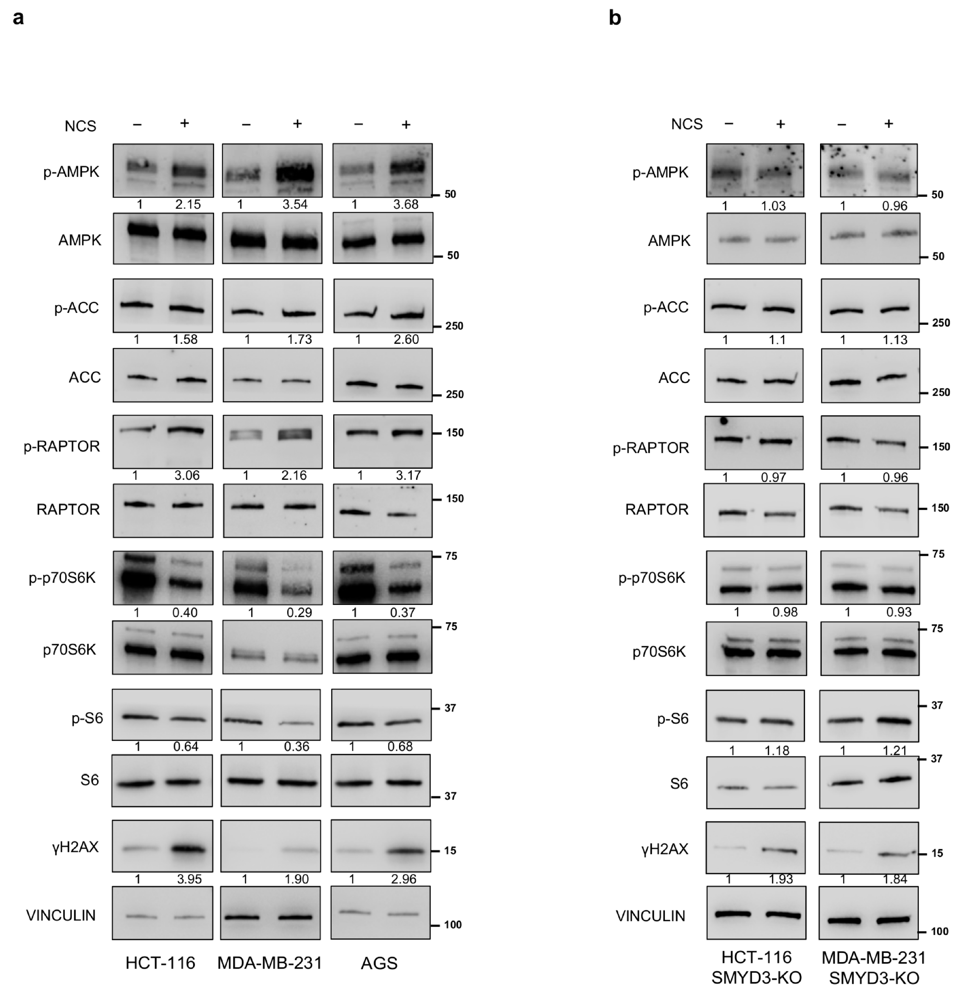
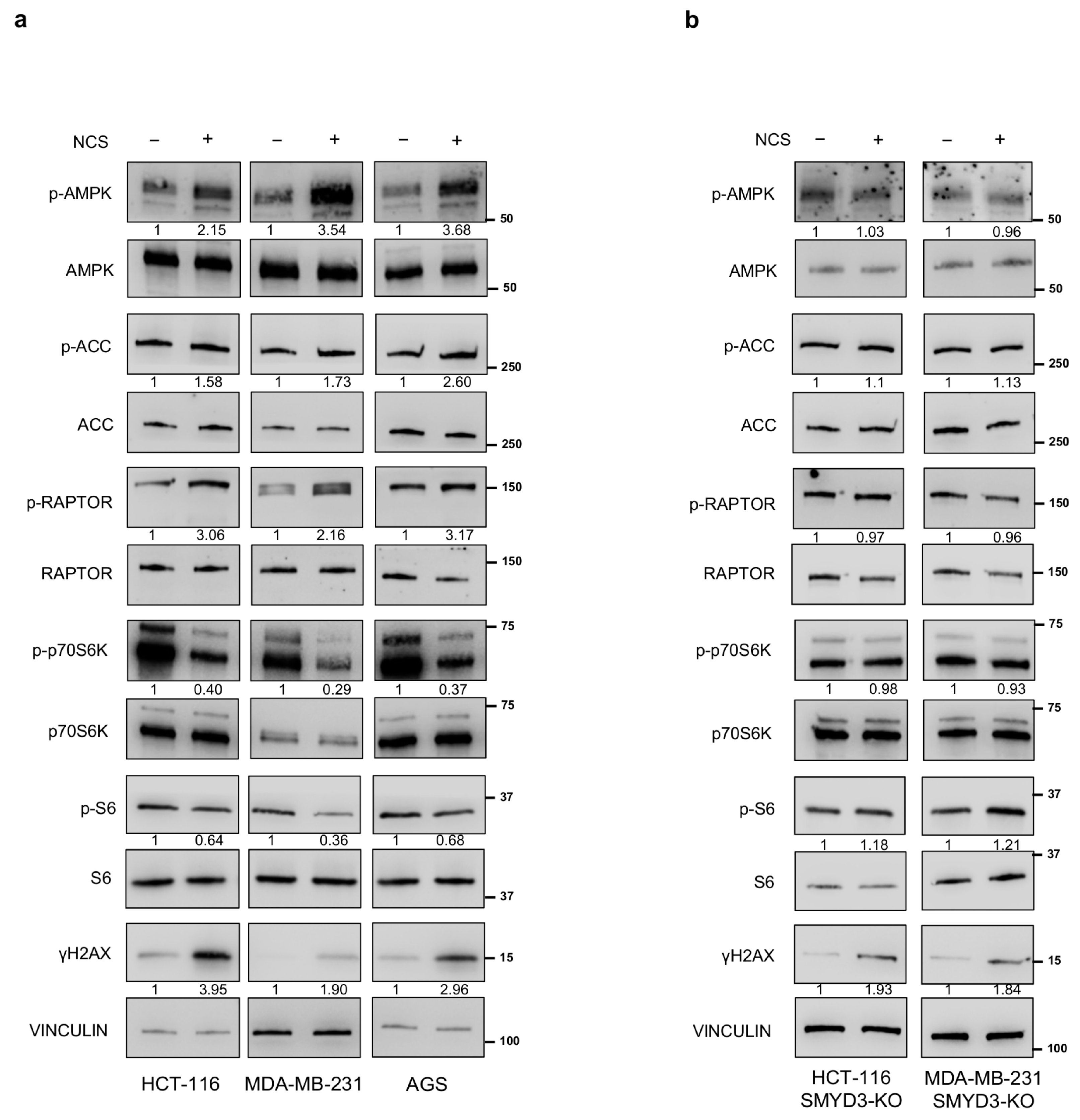
3.1. SMYD3 Is Involved in AMPK-mTOR Signaling Balance during DDR
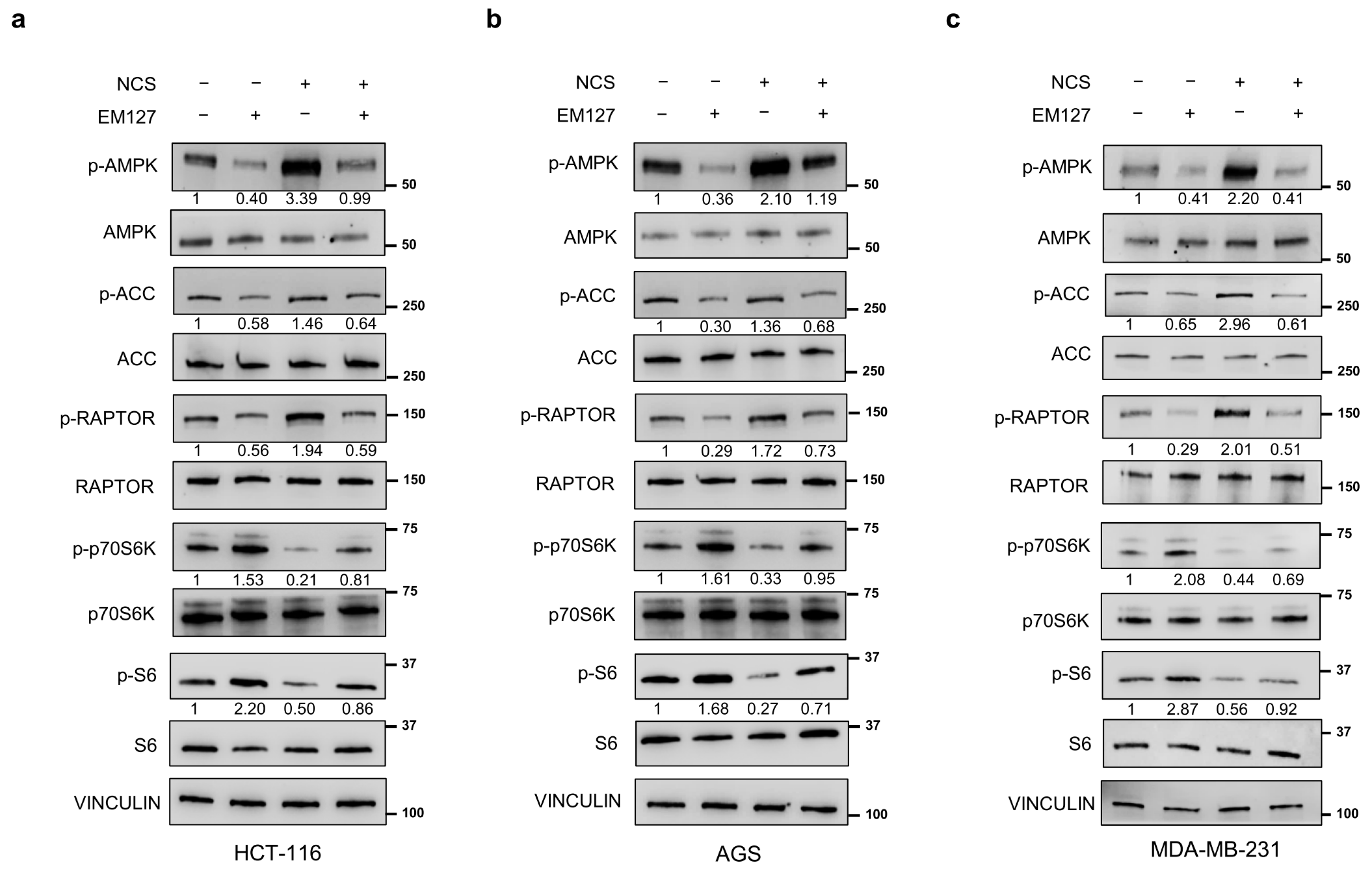
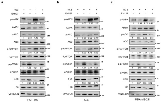
3.2. Pharmacological Inhibition of SMYD3 Affects the AMPK and mTOR Pathways
3.3. SMYD3 Bridges the Gap between the AMPK and mTOR Cascades upon NCS Exposure
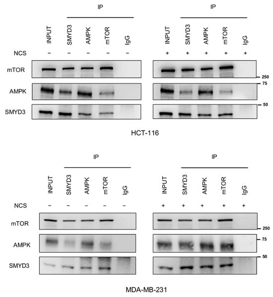
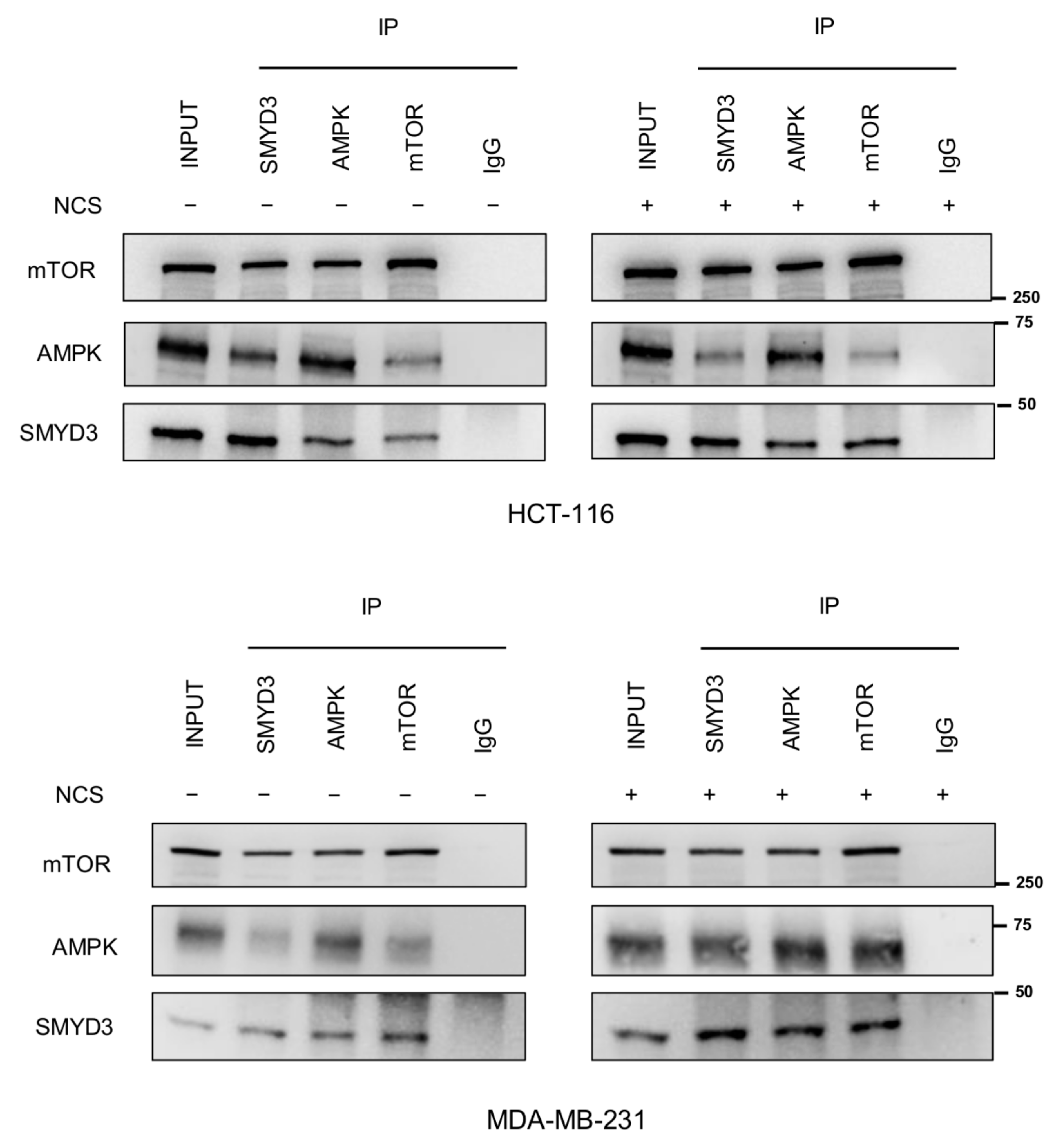
3.4. SMYD3 Forms a Multiprotein Complex with AMPK and mTOR
3.5. SMYD3 Can Directly Methylate AMPK
4. Discussion
5. Conclusions
Author Contributions
Funding
Institutional Review Board Statement
Informed Consent Statement
Data Availability Statement
Acknowledgments
Conflicts of Interest
References
- Tiwari, V.; Wilson, D.M. DNA Damage and Associated DNA Repair Defects in Disease and Premature Aging. Am. J. Hum. Genet. 2019, 105, 237–257. [Google Scholar] [CrossRef] [PubMed]
- De Bont, R.; van Larebeke, N. Endogenous DNA Damage in Humans: A Review of Quantitative Data. Mutagenesis 2004, 19, 169–185. [Google Scholar] [CrossRef] [PubMed]
- Huang, R.; Zhou, P.-K. DNA Damage Repair: Historical Perspectives, Mechanistic Pathways and Clinical Translation for Targeted Cancer Therapy. Signal Transduct. Target. Ther. 2021, 6, 254. [Google Scholar] [CrossRef]
- Thadathil, N.; Hori, R.; Xiao, J.; Khan, M.M. DNA Double-Strand Breaks: A Potential Therapeutic Target for Neurodegenerative Diseases. Chromosome Res. 2019, 27, 345–364. [Google Scholar] [CrossRef]
- Clustered DNA Double-Strand Breaks: Biological Effects and Relevance to Cancer Radiotherapy-PubMed. Available online: https://pubmed.ncbi.nlm.nih.gov/31952359/ (accessed on 5 September 2023).
- Ma, Y.; Vassetzky, Y.; Dokudovskaya, S. mTORC1 Pathway in DNA Damage Response. Biochim. Biophys. Acta Mol. Cell Res. 2018, 1865, 1293–1311. [Google Scholar] [CrossRef] [PubMed]
- Maréchal, A.; Zou, L. DNA Damage Sensing by the ATM and ATR Kinases. Cold Spring Harb. Perspect. Biol. 2013, 5, a012716. [Google Scholar] [CrossRef]
- Selvarajah, J.; Elia, A.; Carroll, V.A.; Moumen, A. DNA Damage-Induced S and G2/M Cell Cycle Arrest Requires mTORC2-Dependent Regulation of Chk1. Oncotarget 2015, 6, 427–440. [Google Scholar] [CrossRef]
- Alexander, A.; Cai, S.-L.; Kim, J.; Nanez, A.; Sahin, M.; MacLean, K.H.; Inoki, K.; Guan, K.-L.; Shen, J.; Person, M.D.; et al. ATM Signals to TSC2 in the Cytoplasm to Regulate mTORC1 in Response to ROS. Proc. Natl. Acad. Sci. USA 2010, 107, 4153–4158. [Google Scholar] [CrossRef]
- Steinberg, G.R.; Carling, D. AMP-Activated Protein Kinase: The Current Landscape for Drug Development. Nat. Rev. Drug Discov. 2019, 18, 527–551. [Google Scholar] [CrossRef]
- Suzuki, A.; Kusakai, G.; Kishimoto, A.; Shimojo, Y.; Ogura, T.; Lavin, M.F.; Esumi, H. IGF-1 Phosphorylates AMPK-Alpha Subunit in ATM-Dependent and LKB1-Independent Manner. Biochem. Biophys. Res. Commun. 2004, 324, 986–992. [Google Scholar] [CrossRef]
- Luo, L.; Huang, W.; Tao, R.; Hu, N.; Xiao, Z.-X.; Luo, Z. ATM and LKB1 Dependent Activation of AMPK Sensitizes Cancer Cells to Etoposide-Induced Apoptosis. Cancer Lett. 2013, 328, 114–119. [Google Scholar] [CrossRef] [PubMed]
- Alexander, A.; Walker, C.L. The Role of LKB1 and AMPK in Cellular Responses to Stress and Damage. FEBS Lett. 2011, 585, 952–957. [Google Scholar] [CrossRef] [PubMed]
- Szewczuk, M.; Boguszewska, K.; Kaźmierczak-Barańska, J.; Karwowski, B.T. The Role of AMPK in Metabolism and Its Influence on DNA Damage Repair. Mol. Biol. Rep. 2020, 47, 9075–9086. [Google Scholar] [CrossRef] [PubMed]
- Duong, H.-Q.; Hwang, J.S.; Kim, H.J.; Seong, Y.-S.; Bae, I. BML-275, an AMPK Inhibitor, Induces DNA Damage, G2/M Arrest and Apoptosis in Human Pancreatic Cancer Cells. Int. J. Oncol. 2012, 41, 2227–2236. [Google Scholar] [CrossRef]
- Shimada, T.; Yabuki, Y.; Noguchi, T.; Tsuchida, M.; Komatsu, R.; Hamano, S.; Yamada, M.; Ezaki, Y.; Hirata, Y.; Matsuzawa, A. The Distinct Roles of LKB1 and AMPK in P53-Dependent Apoptosis Induced by Cisplatin. Int. J. Mol. Sci. 2022, 23, 10064. [Google Scholar] [CrossRef]
- Zhou, Z.; Liu, Y.; Jiang, X.; Zheng, C.; Luo, W.; Xiang, X.; Qi, X.; Shen, J. Metformin Modified Chitosan as a Multi-Functional Adjuvant to Enhance Cisplatin-Based Tumor Chemotherapy Efficacy. Int. J. Biol. Macromol. 2023, 224, 797–809. [Google Scholar] [CrossRef]
- Gwinn, D.M.; Shackelford, D.B.; Egan, D.F.; Mihaylova, M.M.; Mery, A.; Vasquez, D.S.; Turk, B.E.; Shaw, R.J. AMPK Phosphorylation of Raptor Mediates a Metabolic Checkpoint. Mol. Cell 2008, 30, 214–226. [Google Scholar] [CrossRef]
- Panwar, V.; Singh, A.; Bhatt, M.; Tonk, R.K.; Azizov, S.; Raza, A.S.; Sengupta, S.; Kumar, D.; Garg, M. Multifaceted Role of mTOR (Mammalian Target of Rapamycin) Signaling Pathway in Human Health and Disease. Signal Transduct. Target. Ther. 2023, 8, 375. [Google Scholar] [CrossRef]
- Fasano, C.; Lepore Signorile, M.; De Marco, K.; Forte, G.; Sanese, P.; Grossi, V.; Simone, C. Identifying Novel SMYD3 Interactors on the Trail of Cancer Hallmarks. Comput. Struct. Biotechnol. J. 2022, 20, 1860–1875. [Google Scholar] [CrossRef]
- Bernard, B.J.; Nigam, N.; Burkitt, K.; Saloura, V. SMYD3: A Regulator of Epigenetic and Signaling Pathways in Cancer. Clin. Epigenetics 2021, 13, 45. [Google Scholar] [CrossRef]
- Sanese, P.; Fasano, C.; Buscemi, G.; Bottino, C.; Corbetta, S.; Fabini, E.; Silvestri, V.; Valentini, V.; Disciglio, V.; Forte, G.; et al. Targeting SMYD3 to Sensitize Homologous Recombination-Proficient Tumors to PARP-Mediated Synthetic Lethality. iScience 2020, 23, 101604. [Google Scholar] [CrossRef] [PubMed]
- Jiang, Y.; Cong, X.; Jiang, S.; Dong, Y.; Zhao, L.; Zang, Y.; Tan, M.; Li, J. Phosphoproteomics Reveals the AMPK Substrate Network in Response to DNA Damage and Histone Acetylation. Genom. Proteom. Bioinform. 2022, 20, 597–613. [Google Scholar] [CrossRef] [PubMed]
- Feng, Z.; Zhang, H.; Levine, A.J.; Jin, S. The Coordinate Regulation of the P53 and mTOR Pathways in Cells. Proc. Natl. Acad. Sci. USA 2005, 102, 8204–8209. [Google Scholar] [CrossRef] [PubMed]
- Amar-Schwartz, A.; Ben Hur, V.; Jbara, A.; Cohen, Y.; Barnabas, G.D.; Arbib, E.; Siegfried, Z.; Mashahreh, B.; Hassouna, F.; Shilo, A.; et al. S6K1 Phosphorylates Cdk1 and MSH6 to Regulate DNA Repair. Elife 2022, 11, e79128. [Google Scholar] [CrossRef]
- Parenti, M.D.; Naldi, M.; Manoni, E.; Fabini, E.; Cederfelt, D.; Talibov, V.O.; Gressani, V.; Guven, U.; Grossi, V.; Fasano, C.; et al. Discovery of the 4-Aminopiperidine-Based Compound EM127 for the Site-Specific Covalent Inhibition of SMYD3. Eur. J. Med. Chem. 2022, 243, 114683. [Google Scholar] [CrossRef] [PubMed]
- Kim, J.; Yang, G.; Kim, Y.; Kim, J.; Ha, J. AMPK Activators: Mechanisms of Action and Physiological Activities. Exp. Mol. Med. 2016, 48, e224. [Google Scholar] [CrossRef]
- Kazyken, D.; Magnuson, B.; Bodur, C.; Acosta-Jaquez, H.A.; Zhang, D.; Tong, X.; Barnes, T.M.; Steinl, G.K.; Patterson, N.E.; Altheim, C.H.; et al. AMPK Directly Activates mTORC2 to Promote Cell Survival during Acute Energetic Stress. Sci. Signal 2019, 12, eaav3249. [Google Scholar] [CrossRef]
- Garcia, D.; Shaw, R.J. AMPK: Mechanisms of Cellular Energy Sensing and Restoration of Metabolic Balance. Mol. Cell 2017, 66, 789–800. [Google Scholar] [CrossRef]
- Pu, W.; Chu, X.; Guo, H.; Huang, G.; Cui, T.; Huang, B.; Dai, X.; Zhang, C. The Activated ATM/AMPK/mTOR Axis Promotes Autophagy in Response to Oxidative Stress-Mediated DNA Damage Co-Induced by Molybdenum and Cadmium in Duck Testes. Environ. Pollut. 2023, 316, 120574. [Google Scholar] [CrossRef]
- Villanueva-Paz, M.; Cotán, D.; Garrido-Maraver, J.; Oropesa-Ávila, M.; de la Mata, M.; Delgado-Pavón, A.; de Lavera, I.; Alcocer-Gómez, E.; Álvarez-Córdoba, M.; Sánchez-Alcázar, J.A. AMPK Regulation of Cell Growth, Apoptosis, Autophagy, and Bioenergetics. Exp. Suppl. 2016, 107, 45–71. [Google Scholar] [CrossRef]
- Campos, A.; Clemente-Blanco, A. Cell Cycle and DNA Repair Regulation in the Damage Response: Protein Phosphatases Take Over the Reins. Int. J. Mol. Sci. 2020, 21, 446. [Google Scholar] [CrossRef] [PubMed]
- Sanli, T.; Rashid, A.; Liu, C.; Harding, S.; Bristow, R.G.; Cutz, J.-C.; Singh, G.; Wright, J.; Tsakiridis, T. Ionizing Radiation Activates AMP-Activated Kinase (AMPK): A Target for Radiosensitization of Human Cancer Cells. Int. J. Radiat. Oncol. *Biol. *Phys. 2010, 78, 221–229. [Google Scholar] [CrossRef]
- Sanli, T.; Storozhuk, Y.; Linher-Melville, K.; Bristow, R.G.; Laderout, K.; Viollet, B.; Wright, J.; Singh, G.; Tsakiridis, T. Ionizing Radiation Regulates the Expression of AMP-Activated Protein Kinase (AMPK) in Epithelial Cancer Cells: Modulation of Cellular Signals Regulating Cell Cycle and Survival. Radiother. Oncol. 2012, 102, 459–465. [Google Scholar] [CrossRef] [PubMed]
- Sanli, T.; Steinberg, G.R.; Singh, G.; Tsakiridis, T. AMP-Activated Protein Kinase (AMPK) beyond Metabolism. Cancer Biol. Ther. 2014, 15, 156–169. [Google Scholar] [CrossRef]
- Jiang, Y.; Dong, Y.; Luo, Y.; Jiang, S.; Meng, F.-L.; Tan, M.; Li, J.; Zang, Y. AMPK-Mediated Phosphorylation on 53BP1 Promotes c-NHEJ. Cell Rep. 2021, 34, 108713. [Google Scholar] [CrossRef]
- Mihaylova, M.M.; Shaw, R.J. The AMPK Signalling Pathway Coordinates Cell Growth, Autophagy and Metabolism. Nat. Cell Biol. 2011, 13, 1016–1023. [Google Scholar] [CrossRef]
- Nagar, A.; Hahsler, M. Fast Discovery and Visualization of Conserved Regions in DNA Sequences Using Quasi-Alignment. BMC Bioinform. 2013, 14 (Suppl. 11), S2. [Google Scholar] [CrossRef] [PubMed]
- Mafi, S.; Mansoori, B.; Taeb, S.; Sadeghi, H.; Abbasi, R.; Cho, W.C.; Rostamzadeh, D. mTOR-Mediated Regulation of Immune Responses in Cancer and Tumor Microenvironment. Front. Immunol. 2022, 12, 774103. [Google Scholar] [CrossRef] [PubMed]
- Liu, Y.; Zhou, Z.; Hou, J.; Xiong, W.; Kim, H.; Chen, J.; Zheng, C.; Jiang, X.; Yoon, J.; Shen, J. Tumor Selective Metabolic Reprogramming as a Prospective PD-L1 Depression Strategy to Reactivate Immunotherapy. Adv. Mater. 2022, 34, 2206121. [Google Scholar] [CrossRef]
- Nigam, N.; Bernard, B.; Sevilla, S.; Kim, S.; Dar, M.S.; Tsai, D.; Robbins, Y.; Burkitt, K.; Sievers, C.; Allen, C.T.; et al. SMYD3 Represses Tumor-Intrinsic Interferon Response in HPV-Negative Squamous Cell Carcinoma of the Head and Neck. Cell Rep. 2023, 42, 112823. [Google Scholar] [CrossRef]





Disclaimer/Publisher’s Note: The statements, opinions and data contained in all publications are solely those of the individual author(s) and contributor(s) and not of MDPI and/or the editor(s). MDPI and/or the editor(s) disclaim responsibility for any injury to people or property resulting from any ideas, methods, instructions or products referred to in the content. |
© 2023 by the authors. Licensee MDPI, Basel, Switzerland. This article is an open access article distributed under the terms and conditions of the Creative Commons Attribution (CC BY) license (https://creativecommons.org/licenses/by/4.0/).
Share and Cite
Lepore Signorile, M.; Sanese, P.; Di Nicola, E.; Fasano, C.; Forte, G.; De Marco, K.; Disciglio, V.; Latrofa, M.; Pantaleo, A.; Varchi, G.; et al. SMYD3 Modulates AMPK-mTOR Signaling Balance in Cancer Cell Response to DNA Damage. Cells 2023, 12, 2644. https://doi.org/10.3390/cells12222644
Lepore Signorile M, Sanese P, Di Nicola E, Fasano C, Forte G, De Marco K, Disciglio V, Latrofa M, Pantaleo A, Varchi G, et al. SMYD3 Modulates AMPK-mTOR Signaling Balance in Cancer Cell Response to DNA Damage. Cells. 2023; 12(22):2644. https://doi.org/10.3390/cells12222644
Chicago/Turabian StyleLepore Signorile, Martina, Paola Sanese, Elisabetta Di Nicola, Candida Fasano, Giovanna Forte, Katia De Marco, Vittoria Disciglio, Marialaura Latrofa, Antonino Pantaleo, Greta Varchi, and et al. 2023. "SMYD3 Modulates AMPK-mTOR Signaling Balance in Cancer Cell Response to DNA Damage" Cells 12, no. 22: 2644. https://doi.org/10.3390/cells12222644
APA StyleLepore Signorile, M., Sanese, P., Di Nicola, E., Fasano, C., Forte, G., De Marco, K., Disciglio, V., Latrofa, M., Pantaleo, A., Varchi, G., Del Rio, A., Grossi, V., & Simone, C. (2023). SMYD3 Modulates AMPK-mTOR Signaling Balance in Cancer Cell Response to DNA Damage. Cells, 12(22), 2644. https://doi.org/10.3390/cells12222644

