Wolbachia Induces Structural Defects Harmful to Drosophila simulans Riverside Spermiogenesis
Abstract
1. Introduction
2. Materials and Methods
2.1. Flies
2.2. Transmission Electron Microscopy
3. Results
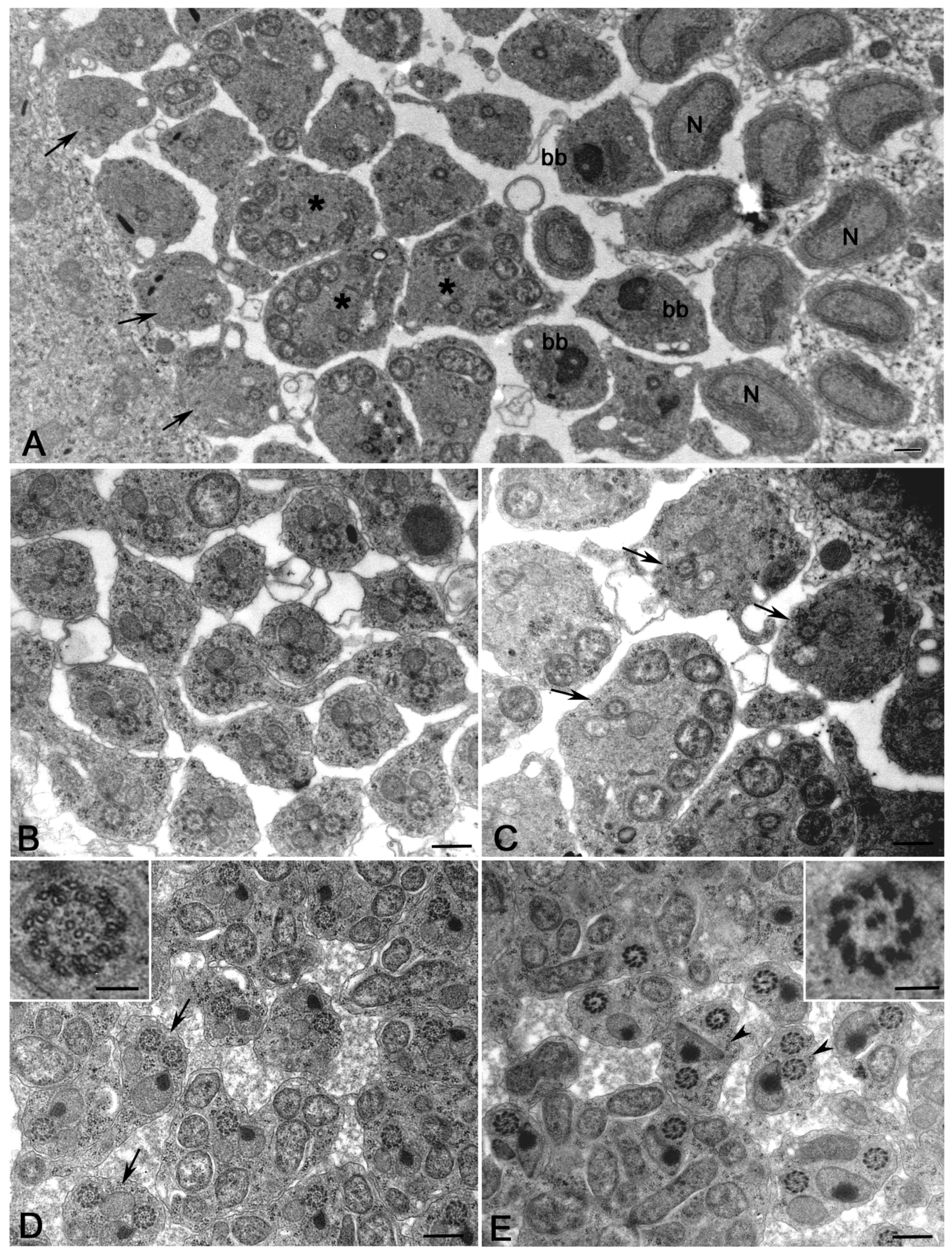
3.1. Spermiogenesis in DSW Flies
3.2. Abnormal Mitochondria in Elongating Spermatids of Mid-Aged DSR Pupae
3.3. Structural Defects of the Growing Axonemes of Late DSR Pupae
3.4. Ciliary Cap Defects in Elongating Spermatids of Late DSR Pupae
3.5. Failures of the Individualization Process in Young Adult DSR Males
3.6. Abnormalities of the Individualized Sperm in Young Adult DSR Males
4. Discussion
5. Conclusions
Author Contributions
Funding
Institutional Review Board Statement
Informed Consent Statement
Data Availability Statement
Acknowledgments
Conflicts of Interest
References
- Slatko, B.E.; Luck, A.N.; Dobson, S.L.; Foster, J.M. Wolbachia endosymbionts and human disease control. Mol. Biochem. Parasitol. 2014, 195, 88–95. [Google Scholar] [CrossRef] [PubMed]
- Ross, P.A.; Turelli, M.; Hoffmann, A.A. Evolutionary Ecology of Wolbachia Releases for Disease Control. Annu Rev Genet. 2019, 53, 93–116. [Google Scholar] [CrossRef] [PubMed]
- Shropshire, J.D.; Leigh, B.; Bordenstein, S.R. Symbiont-mediated cytoplasmic incompatibility: What have we learned in 50 years? Elife 2020. [Google Scholar] [CrossRef] [PubMed]
- Porter, J.; Sullivan, W. The cellular lives of Wolbachia. Nat. Rev. Microbiol. 2023, in press. [Google Scholar] [CrossRef] [PubMed]
- Johnston, K.L.; Hong, W.D.; Turner, J.D.; O’Neill, P.M.; Ward, S.A.; Taylor, M.J. Anti-Wolbachia drugs for filariasis. Trends Parasitol. 2021, 37, 1068–1081. [Google Scholar] [CrossRef]
- Lu, P.; Sun, Q.; Fu, P.; Li, K.; Liang, X.; Xi, Z. Wolbachia Inhibits Binding of Dengue and Zika Viruses to Mosquito Cells. Front. Microbiol. 2020, 11, 1750. [Google Scholar] [CrossRef]
- Sinkins, S.P. Wolbachia and arbovirus inhibition in mosquitoes. Future Microbiol. 2013, 8, 1249–1256. [Google Scholar] [CrossRef]
- Kaur, R.; Shropshire, J.D.; Cross, K.L.; Leigh, B.; Mansueto, A.J.; Stewart, V.; Bordenstein, S.R.; Bordenstein, S.R. Living in the endosymbiotic world of Wolbachia: A centennial review. Cell Host Microbe. 2021, 29, 879–893. [Google Scholar] [CrossRef]
- O’Neill, S.L.; Giordano, R.; Colbert, A.M.; Karr, T.L.; Robertson, H.M. 16S rRNA phylogenetic analysis of the bacterial endosymbionts associated with cytoplasmic incompatibility in insects. Proc. Natl. Acad. Sci. USA 1992, 89, 2699–2702. [Google Scholar] [CrossRef]
- Werren, J.H.; Zhang, W.; Guo, L.R. Evolution and phylogeny of Wolbachia: Reproductive parasites of arthropods. Proc. Biol. Sci. 1995, 261, 55–63. [Google Scholar] [CrossRef]
- Turelli, M.; Katznelson, A.; Ginsberg, P.S. Why Wolbachia-induced cytoplasmic incompatibility is so common. Proc. Natl. Acad. Sci. USA 2022. [Google Scholar] [CrossRef]
- Werren, J.H.; Baldo, L.; Clark, M.E. Wolbachia: Master manipulators of invertebrate biology. Nat. Rev. Microbiol. 2008, 6, 741–751. [Google Scholar] [CrossRef] [PubMed]
- Callaini, G.; Dallai, R.; Riparbelli, M.G. Wolbachia-induced delay of paternal chromatin condensation does not prevent maternal chromosomes from entering anaphase in incompatible crosses of Drosophila simulans. J. Cell Sci. 1997, 110, 271–280. [Google Scholar] [CrossRef] [PubMed]
- Tram, U.; Fredrick, K.; Werren, J.H.; Sullivan, W. Paternal chromosome segregation during the first mitotic division determines Wolbachia-induced cytoplasmic incompatibility phenotype. J. Cell Sci. 2006, 119, 3655–3663. [Google Scholar] [CrossRef] [PubMed]
- Turelli, M. Evolution of incompatibility-inducing microbes and their hosts. Evolution 1994, 48, 1500–1513. [Google Scholar] [CrossRef] [PubMed]
- Turelli, M.; Hoffmann, A.A. Rapid spread of an inherited incompatibility factor in California Drosophila. Nature 1991, 353, 440–442. [Google Scholar] [CrossRef]
- Dobson, S.L.; Bourtzis, K.; Braig, H.R.; Jones, B.F.; Zhou, W.; Rousset, F.; O’Neill, S.L. Wolbachia infections are distributed throughout insect somatic and germ line tissues. Insect Biochem. Mol. Biol. 1999, 29, 153–160. [Google Scholar] [CrossRef]
- Albertson, R.; Tan, V.; Leads, R.R.; Reyes, M.; Sullivan, W.; Casper-Lindley, C. Mapping Wolbachia distributions in the adult Drosophila brain. Cell Microbiol. 2013, 15, 1527–1544. [Google Scholar] [CrossRef]
- Pietri, J.E.; DeBruhl, H.; Sullivan, W. The rich somatic life of Wolbachia. Microbiologyopen 2016, 5, 923–936. [Google Scholar] [CrossRef]
- Strunov, A.; Schneider, D.I.; Albertson, R.; Miller, W.J. Restricted distribution and lateralization of mutualistic Wolbachia in the Drosophila brain. Cell Microbiol. 2017. [Google Scholar] [CrossRef]
- Min, K.T.; Benzer, S. Wolbachia, normally a symbiont of Drosophila, can be virulent, causing degeneration and early death. Proc. Natl. Acad. Sci. USA 1997, 94, 10792–10796. [Google Scholar] [CrossRef] [PubMed]
- Snook, R.R.; Cleland, S.Y.; Wolfner, M.F.; Karr, T.L. Offsetting effects of Wolbachia infection and heat shock on sperm production in Drosophila simulans: Analyses of fecundity, fertility and accessory gland proteins. Genetics 2000, 155, 167–178. [Google Scholar] [CrossRef] [PubMed]
- Awrahman, Z.A.; Champion de Crespigny, F.; Wedell, N. The impact of Wolbachia, male age and mating history on cytoplasmic incompatibility and sperm transfer in Drosophila simulans. J. Evol. Biol. 2014, 27, 1–10. [Google Scholar] [CrossRef] [PubMed]
- Champion de Crespigny, F.E.; Wedell, N. Wolbachia infection reduces sperm competitive ability in an insect. Proc. Biol. Sci. 2006, 273, 1455–1458. [Google Scholar] [CrossRef]
- Beckmann, J.F.; Ronau, J.A.; Hochstrasser, M. A Wolbachia deubiquitylating enzyme induces cytoplasmic incompatibility. Nat. Microbiol. 2017, 2, 17007. [Google Scholar] [CrossRef]
- LePage, D.P.; Metcalf, J.A.; Bordenstein, S.R.; On, J.; Perlmutter, J.I.; Shropshire, J.D.; Layton, E.M.; Funkhouser-Jones, L.J.; Beckmann, J.F.; Bordenstein, S.R. Prophage WO genes recapitulate and enhance Wolbachia-induced cytoplasmic incompatibility. Nature 2017, 543, 243–247. [Google Scholar] [CrossRef]
- Kaur, R.; Leigh, B.A.; Ritchie, I.T.; Bordenstein, S.R. The Cif proteins from Wolbachia prophage WO modify sperm genome integrity to establish cytoplasmic incompatibility. PLoS Biol. 2022, 20, e3001584. [Google Scholar] [CrossRef]
- Horard, B.; Terretaz, K.; Gosselin-Grenet, A.S.; Sobry, H.; Sicard, M.; Landmann, F.; Loppin, B. Paternal transmission of the Wolbachia CidB toxin underlies cytoplasmic incompatibility. Curr. Biol. 2022, 32, 1319–1331.e5. [Google Scholar] [CrossRef]
- Riparbelli, M.G.; Giordano, R.; Callaini, G. Effects of Wolbachia on sperm maturation and architecture in Drosophila simulans Riverside. Mech. Dev. 2007, 124, 699–714. [Google Scholar] [CrossRef]
- Clark, M.E.; Bailey-Jourdain, C.; Ferree, P.M.; England, S.J.; Sullivan, W.; Windsor, D.M.; Werren, J.H. Wolbachia modification of sperm does not always require residence within developing sperm. Heredity 2008, 101, 420–428. [Google Scholar] [CrossRef][Green Version]
- Zhang, H.B.; Cao, Z.; Qiao, J.X.; Zhong, Z.Q.; Pan, C.C.; Liu, C.; Zhang, L.M.; Wang, Y.F. Metabolomics provide new insights.; into mechanisms of Wolbachia-induced paternal defects in Drosophila melanogaster. PLoS Pathog. 2021, 17, e1009859. [Google Scholar] [CrossRef] [PubMed]
- Decotto, E.; Spradling, A.C. The Drosophila ovarian and testis stem cell niches: Similar somatic stem cells and signals. Dev. Cell 2005, 9, 501–510. [Google Scholar] [CrossRef]
- Gottardo, M.; Callaini, G.; Riparbelli, M.G. The cilium-like region of the Drosophila spermatocyte: An emerging flagellum? J. Cell Sci. 2013, 126, 5441–5452. [Google Scholar] [CrossRef] [PubMed]
- Rathke, C.; Baarends, W.M.; Awe, S.; Renkawitz-Pohl, R. Chromatin dynamics during spermiogenesis. Biochim. Biophys. Acta 2014, 1839, 155–168. [Google Scholar] [CrossRef]
- Fabian, L.; Brill, J.A. Drosophila spermiogenesis: Big things come from little packages. Spermatogenesis 2012, 2, 197–212. [Google Scholar] [CrossRef]
- Tokuyasu, K.T.; Peacock, W.J.; Hardy, R.W. Dynamics of spermiogenesis in Drosophila melanogaster. I. Individualization process. Z. Zellforsch. Mikrosk. Anat. 1972, 124, 479–506. [Google Scholar] [CrossRef] [PubMed]
- Fabrizio, J.J.; Hime, G.; Lemmon, S.K.; Bazinet, C. Genetic dissection of sperm individualization in Drosophila melanogaster. Development 1998, 125, 1833–1843. [Google Scholar] [CrossRef]
- Steinhauer, J. Separating from the pack: Molecular mechanisms of Drosophila spermatid individualization. Spermatogenesis 2015, 5, e1041345. [Google Scholar] [CrossRef]
- Clark, M.E.; Veneti, Z.; Bourtzis, K.; Karr, T.L. The distribution and proliferation of the intracellular bacteria Wolbachia during spermatogenesis in Drosophila. Mech. Dev. 2002, 111, 3–15. [Google Scholar] [CrossRef]
- Clark, M.E.; Veneti, Z.; Bourtzis, K.; Karr, T.L. Wolbachia distribution and cytoplasmic incompatibility during sperm development: The cyst as the basic cellular unit of CI expression. Mech. Dev. 2003, 120, 185–198. [Google Scholar] [CrossRef]
- Basiri, M.L.; Ha, A.; Chadha, A.; Clark, N.M.; Polyanovsky, A.; Cook, B.; Avidor-Reiss, T. A migrating ciliary gate compartmentalizes the site of axoneme assembly in Drosophila spermatids. Curr. Biol. 2014, 24, 2622–2631. [Google Scholar] [CrossRef] [PubMed]
- Fingerhut, J.M.; Yamashita, Y.M. mRNA localization mediates maturation of cytoplasmic cilia in Drosophila spermatogenesis. J. Cell Biol. 2020, 219, e202003084. [Google Scholar] [CrossRef]
- Tokuyasu, K.T. Dynamics of spermiogenesis in Drosophila melanogaster. VI. Significance of “onion” nebenkern formation. J. Ultrastruct. Res. 1975, 53, 93–112. [Google Scholar] [CrossRef]
- Riparbelli, M.G.; Persico, V.; Callaini, G. The Microtubule Cytoskeleton during the Early Drosophila Spermiogenesis. Cells 2020, 9, 2684. [Google Scholar] [CrossRef] [PubMed]
- Noguchi, T.; Koizumi, M.; Hayashi, S. Sustained elongation of sperm tail promoted by local remodeling of giant mitochondria in Drosophila. Curr. Biol. 2011, 21, 805–814. [Google Scholar] [CrossRef] [PubMed]
- Dorogova, N.V.; Bolobolova, E.U.; Akhmetova, K.A.; Fedorova, S.A. Drosophila male-sterile mutation emmenthal specifically affects the mitochondrial morphogenesis. Protoplasma 2013, 250, 515–520. [Google Scholar] [CrossRef]
- Laurinyecz, B.; Péter, M.; Vedelek, V.; Kovács, A.L.; Juhász, G.; Maróy, P.; Vígh, L.; Balogh, G.; Sinka, R. Reduced expression of CDP-DAG synthase changes lipid composition and leads to male sterility in Drosophila. Open Biol. 2016, 6, 50169. [Google Scholar] [CrossRef] [PubMed]
- Riparbelli, M.G.; Callaini, G. The Drosophila parkin homologue is required for normal mitochondrial dynamics during spermiogenesis. Dev. Biol. 2007, 303, 108–320. [Google Scholar] [CrossRef]
- Callaini, G.; Riparbelli, M.G.; Dallai, R. The distribution of cytoplasmic bacteria in the early Drosophila embryo is mediated by astral microtubules. J. Cell Sci. 1994, 107, 673–682. [Google Scholar] [CrossRef]
- Ferree, P.M.; Frydman, H.M.; Li, J.M.; Cao, J.; Wieschaus, E.; Sullivan, W. Wolbachia utilizes host microtubules and Dynein for anterior localization in the Drosophila oocyte. PLoS Pathog. 2005, 1, e14. [Google Scholar] [CrossRef]
- Albertson, R.; Casper-Lindley, C.; Cao, J.; Tram, U.; Sullivan, W. Symmetric and asymmetric mitotic segregation patterns influence Wolbachia distribution in host somatic tissue. J. Cell Sci. 2009, 122, 4570–4583. [Google Scholar] [CrossRef] [PubMed]
- Funkhouser-Jones, L.J.; van Opstal, E.J.; Sharma, A.; Bordenstein, S.R. The Maternal Effect Gene Wds Controls Wolbachia Titer in Nasonia. Curr. Biol. 2018, 28, 1692–1702.e6. [Google Scholar] [CrossRef] [PubMed]
- López-Madrigal, S.; Duarte, E.H. Titer regulation in arthropod-Wolbachia symbioses. FEMS Microbiol. Lett. 2019, 366, fnz232. [Google Scholar] [CrossRef] [PubMed]








Disclaimer/Publisher’s Note: The statements, opinions and data contained in all publications are solely those of the individual author(s) and contributor(s) and not of MDPI and/or the editor(s). MDPI and/or the editor(s) disclaim responsibility for any injury to people or property resulting from any ideas, methods, instructions or products referred to in the content. |
© 2023 by the authors. Licensee MDPI, Basel, Switzerland. This article is an open access article distributed under the terms and conditions of the Creative Commons Attribution (CC BY) license (https://creativecommons.org/licenses/by/4.0/).
Share and Cite
Riparbelli, M.G.; Pratelli, A.; Callaini, G. Wolbachia Induces Structural Defects Harmful to Drosophila simulans Riverside Spermiogenesis. Cells 2023, 12, 2337. https://doi.org/10.3390/cells12192337
Riparbelli MG, Pratelli A, Callaini G. Wolbachia Induces Structural Defects Harmful to Drosophila simulans Riverside Spermiogenesis. Cells. 2023; 12(19):2337. https://doi.org/10.3390/cells12192337
Chicago/Turabian StyleRiparbelli, Maria Giovanna, Ambra Pratelli, and Giuliano Callaini. 2023. "Wolbachia Induces Structural Defects Harmful to Drosophila simulans Riverside Spermiogenesis" Cells 12, no. 19: 2337. https://doi.org/10.3390/cells12192337
APA StyleRiparbelli, M. G., Pratelli, A., & Callaini, G. (2023). Wolbachia Induces Structural Defects Harmful to Drosophila simulans Riverside Spermiogenesis. Cells, 12(19), 2337. https://doi.org/10.3390/cells12192337
