Trypanosoma cruzi DNA Polymerase β Is Phosphorylated In Vivo and In Vitro by Protein Kinase C (PKC) and Casein Kinase 2 (CK2)
Abstract
1. Introduction
2. Materials and Methods
2.1. Immunoaffinity Purification of Tcpolβ
2.2. Protein Expression and Purification
2.3. Phosphorylation Assays
2.4. Phosphoprotein Staining
2.5. Statistics
3. Results
3.1. Immunoaffinity Purification of Tcpolβ from Epimastigotes Cell Extracts
3.2. Phosphorylation Sites on Tcpolβ H Form
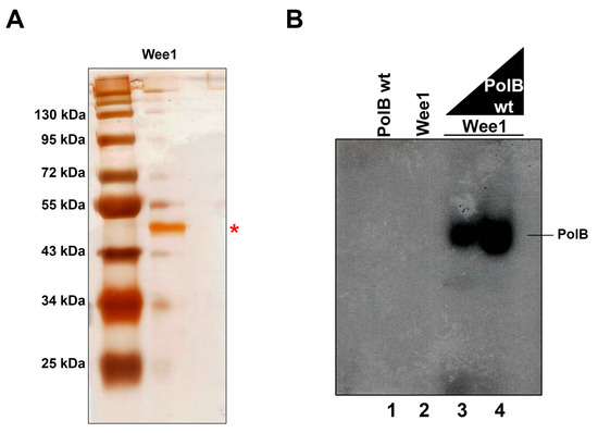
3.3. Protein Kinases Can Phosphorylate Tcpolβ In Vivo
3.4. PKC-like Enzymes Encoded in the T. cruzi Genome
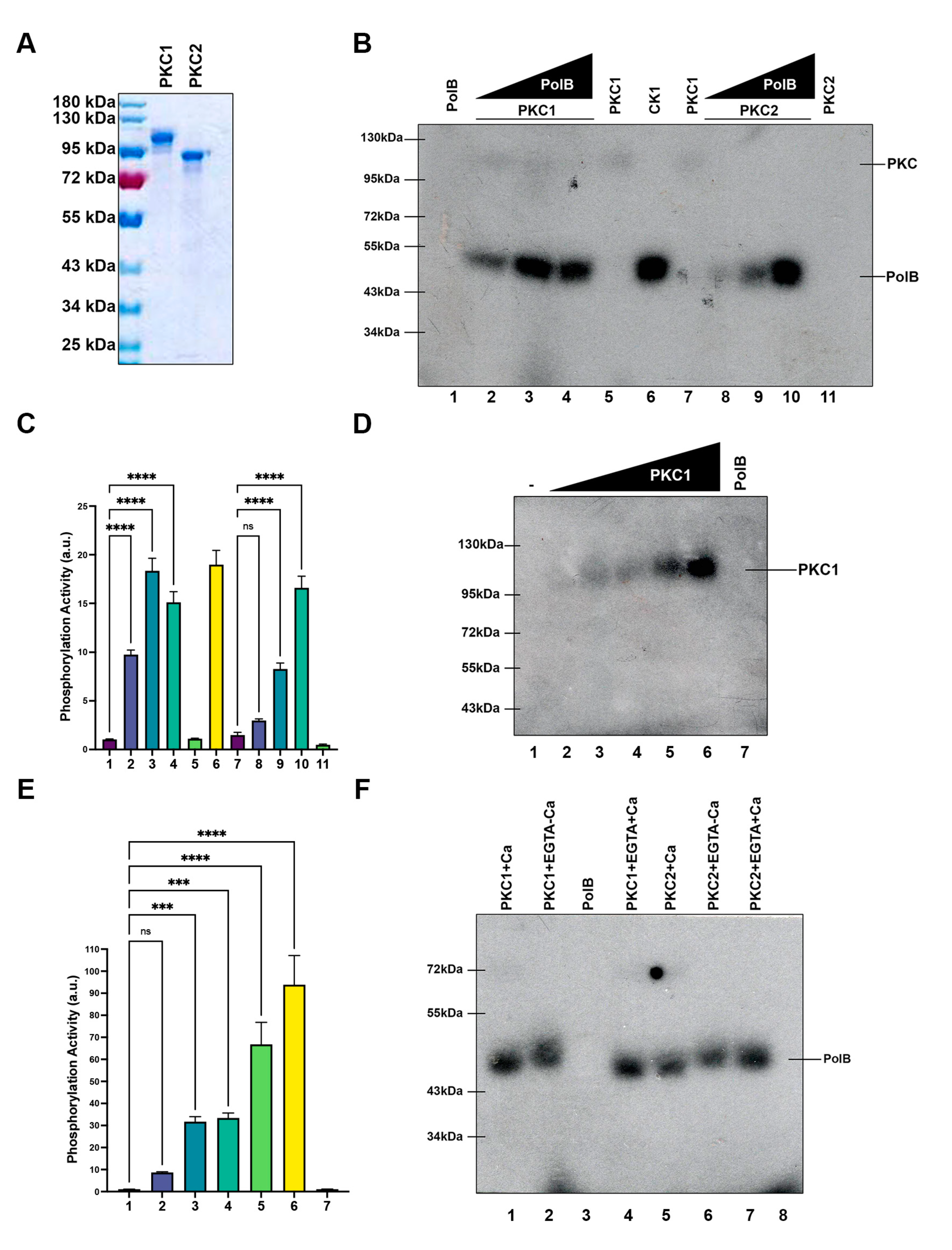
3.5. PKC-like Enzymes from T. cruzi Can Phosphorylate Tcpolβ In Vitro
3.6. Tyrosine Phosphorylation of Tcpolβ
4. Discussion
Supplementary Materials
Author Contributions
Funding
Institutional Review Board Statement
Informed Consent Statement
Data Availability Statement
Conflicts of Interest
References
- Bern, C. Chagas’ Disease. N. Engl. J. Med. 2015, 373, 456–466. [Google Scholar] [CrossRef] [PubMed]
- Cristovão-Silva, A.C.; Brelaz-de-Castro, M.C.A.; Hernandes, M.Z.; Pereira, V.R.A. Chagas Disease: Immunology of the Disease at a Glance. Cytokine Growth Factor Rev. 2021, 62, 15–22. [Google Scholar] [CrossRef] [PubMed]
- Lascano, F.; García Bournissen, F.; Altcheh, J. Review of Pharmacological Options for the Treatment of Chagas Disease. Br. J. Clin. Pharmacol. 2022, 88, 383–402. [Google Scholar] [CrossRef] [PubMed]
- Abras, A.; Ballart, C.; Fernández-Arévalo, A.; Pinazo, M.-J.; Gascón, J.; Muñoz, C.; Gállego, M. Worldwide Control and Management of Chagas Disease in a New Era of Globalization: A Close Look at Congenital Trypanosoma cruzi Infection. Clin. Microbiol. Rev. 2022, 35, e00152-21. [Google Scholar] [CrossRef]
- Schaub, G.A. An Update on the Knowledge of Parasite–Vector Interactions of Chagas Disease. RRTM 2021, 12, 63–76. [Google Scholar] [CrossRef]
- Barrias, E.; Zuma, A.; de Souza, W. Life Cycle of Pathogenic Protists: Trypanosoma cruzi. In Lifecycles of Pathogenic Protists in Humans; de Souza, W., Ed.; Microbiology Monographs; Springer International Publishing: Cham, Switzerland, 2022; Volume 35, pp. 1–97. ISBN 978-3-030-80681-1. [Google Scholar]
- Martín-Escolano, J.; Marín, C.; Rosales, M.J.; Tsaousis, A.D.; Medina-Carmona, E.; Martín-Escolano, R. An Updated View of the Trypanosoma cruzi Life Cycle: Intervention Points for an Effective Treatment. ACS Infect. Dis. 2022, 8, 1107–1115. [Google Scholar] [CrossRef]
- Parsons, M.; Ruben, L. Pathways Involved in Environmental Sensing in Trypanosomatids. Parasitol. Today 2000, 16, 56–62. [Google Scholar] [CrossRef]
- Huang, H. Signal Transduction in Trypanosoma cruzi. In Advances in Parasitology; Elsevier: Amsterdam, The Netherlands, 2011; Volume 75, pp. 325–344. ISBN 978-0-12-385863-4. [Google Scholar]
- Lander, N.; Chiurillo, M.A.; Docampo, R. Signaling Pathways Involved in Environmental Sensing in Trypanosoma cruzi. Mol. Microbiol. 2021, 115, 819–828. [Google Scholar] [CrossRef]
- Araújo, P.R.; Teixeira, S.M. Regulatory Elements Involved in the Post-Transcriptional Control of Stage-Specific Gene Expression in Trypanosoma cruzi: A Review. Mem. Do Inst. Oswaldo Cruz 2011, 106, 257–266. [Google Scholar] [CrossRef]
- Romagnoli, B.A.A.; Holetz, F.B.; Alves, L.R.; Goldenberg, S. RNA Binding Proteins and Gene Expression Regulation in Trypanosoma cruzi. Front. Cell. Infect. Microbiol. 2020, 10, 56. [Google Scholar] [CrossRef]
- Machado-Silva, A.; Cerqueira, P.G.; Grazielle-Silva, V.; Gadelha, F.R.; Peloso, E.d.F.; Teixeira, S.M.R.; Machado, C.R. How Trypanosoma cruzi Deals with Oxidative Stress: Antioxidant Defence and DNA Repair Pathways. Mutat. Res./Rev. Mutat. Res. 2016, 767, 8–22. [Google Scholar] [CrossRef] [PubMed]
- Maldonado, E.; Rojas, D.A.; Morales, S.; Miralles, V.; Solari, A. Dual and Opposite Roles of Reactive Oxygen Species (ROS) in Chagas Disease: Beneficial on the Pathogen and Harmful on the Host. Oxidative Med. Cell. Longev. 2020, 2020, 8867701. [Google Scholar] [CrossRef] [PubMed]
- Lopes, D.d.O.; Schamber-Reis, B.L.F.; Regis-da-Silva, C.G.; Rajão, M.A.; DaRocha, W.D.; Macedo, A.M.; Franco, G.R.; Nardelli, S.C.; Schenkman, S.; Hoffmann, J.-S.; et al. Biochemical Studies with DNA Polymerase β and DNA Polymerase β-PAK of Trypanosoma cruzi Suggest the Involvement of These Proteins in Mitochondrial DNA Maintenance. DNA Repair 2008, 7, 1882–1892. [Google Scholar] [CrossRef] [PubMed]
- Schamber-Reis, B.L.F.; Nardelli, S.; Régis-Silva, C.G.; Campos, P.C.; Cerqueira, P.G.; Lima, S.A.; Franco, G.R.; Macedo, A.M.; Pena, S.D.J.; Cazaux, C.; et al. DNA Polymerase Beta from Trypanosoma cruzi Is Involved in Kinetoplast DNA Replication and Repair of Oxidative Lesions. Mol. Biochem. Parasitol. 2012, 183, 122–131. [Google Scholar] [CrossRef] [PubMed]
- Maldonado, E.; Rojas, D.A.; Moreira-Ramos, S.; Urbina, F.; Miralles, V.J.; Solari, A.; Venegas, J. Expression, Purification, and Biochemical Characterization of Recombinant DNA Polymerase Beta of the Trypanosoma cruzi TcI Lineage: Requirement of Additional Factors and Detection of Phosphorylation of the Native Form. Parasitol. Res. 2015, 114, 1313–1326. [Google Scholar] [CrossRef]
- Rojas, D.A.; Urbina, F.; Moreira-Ramos, S.; Castillo, C.; Kemmerling, U.; Lapier, M.; Maya, J.D.; Solari, A.; Maldonado, E. Endogenous Overexpression of an Active Phosphorylated Form of DNA Polymerase β under Oxidative Stress in Trypanosoma cruzi. PLoS Negl. Trop. Dis. 2018, 12, e0006220. [Google Scholar] [CrossRef]
- Maldonado, E.; Rojas, D.A.; Urbina, F.; Solari, A.T. Cruzi DNA Polymerase Beta (Tcpolβ) Is Phosphorylated in Vitro by CK1, CK2 and TcAUK1 Leading to the Potentiation of Its DNA Synthesis Activity. PLoS Negl. Trop. Dis. 2021, 15, e0009588. [Google Scholar] [CrossRef]
- Zingales, B.; Miles, M.A.; Campbell, D.A.; Tibayrenc, M.; Macedo, A.M.; Teixeira, M.M.G.; Schijman, A.G.; Llewellyn, M.S.; Lages-Silva, E.; Machado, C.R.; et al. The Revised Trypanosoma cruzi Subspecific Nomenclature: Rationale, Epidemiological Relevance and Research Applications. Infect. Genet. Evol. 2012, 12, 240–253. [Google Scholar] [CrossRef]
- Camargo, E.P. Growth and differentiation in Trypanosoma cruzi. i. origin of metacyclic trypanosomes in liquid media. Rev. Inst. Med. Trop. 1964, 6, 93–100. [Google Scholar]
- Gómez, M.L.; Ochatt, C.M.; Kazanietz, M.G.; Torres, H.N.; Téllez-Iñón, M.T. Biochemical and Immunological Studies of Protein Kinase C from Trypanosoma cruzi. Int. J. Parasitol. 1999, 29, 981–989. [Google Scholar] [CrossRef]
- Gómez, M.L.; Erijman, L.; Arauzo, S.; Torres, H.N.; Téllez-Iñón, M.T. Protein Kinase C in Trypanosoma cruzi Epimastigote Forms: Partial Purification and Characterization. Mol. Biochem. Parasitol. 1989, 36, 101–108. [Google Scholar] [CrossRef]
- Keith, K.; Hide, G.; Tait, A. Characterisation of Protein Kinase C like Activities in Trypanosoma Brucei. Mol. Biochem. Parasitol. 1990, 43, 107–116. [Google Scholar] [CrossRef]
- Belaunzarán, M.L.; Lammel, E.M.; Giménez, G.; Wainszelbaum, M.J.; de Isola, E.L.D. Involvement of Protein Kinase C Isoenzymes in Trypanosoma cruzi Metacyclogenesis Induced by Oleic Acid. Parasitol. Res. 2009, 105, 47–55. [Google Scholar] [CrossRef]
- Den Haese, G.J.; Walworth, N.; Carr, A.M.; Gould, K.L. The Wee1 Protein Kinase Regulates T14 Phosphorylation of Fission Yeast Cdc2. MBoC 1995, 6, 371–385. [Google Scholar] [CrossRef] [PubMed]
- Maldonado, E.; Morales-Pison, S.; Urbina, F.; Solari, A. Molecular and Functional Characteristics of DNA Polymerase Beta-Like Enzymes From Trypanosomatids. Front. Cell. Infect. Microbiol. 2021, 11, 670564. [Google Scholar] [CrossRef] [PubMed]
- Brivanlou, A.H.; Darnell, J.E. Signal Transduction and the Control of Gene Expression. Science 2002, 295, 813–818. [Google Scholar] [CrossRef]
- Pokholok, D.K.; Zeitlinger, J.; Hannett, N.M.; Reynolds, D.B.; Young, R.A. Activated Signal Transduction Kinases Frequently Occupy Target Genes. Science 2006, 313, 533–536. [Google Scholar] [CrossRef]
- Vivekanand, P.; Rebay, I. Intersection of Signal Transduction Pathways and Development. Annu. Rev. Genet. 2006, 40, 139–157. [Google Scholar] [CrossRef]
- Shpakov, A.O.; Pertseva, M.N. Chapter 4 Signaling Systems of Lower Eukaryotes and Their Evolution. In International Review of Cell and Molecular Biology; Elsevier: Amsterdam, The Netherlands, 2008; Volume 269, pp. 151–282. ISBN 978-0-12-374554-5. [Google Scholar]
- Schoijet, A.C.; Sternlieb, T.; Alonso, G.D. Signal Transduction Pathways as Therapeutic Target for Chagas Disease. CMC 2019, 26, 6572–6589. [Google Scholar] [CrossRef]
- McCormick, K.; Baillie, G.S. Compartmentalisation of Second Messenger Signalling Pathways. Curr. Opin. Genet. Dev. 2014, 27, 20–25. [Google Scholar] [CrossRef]
- Graves, J.D.; Krebs, E.G. Protein Phosphorylation and Signal Transduction. Pharmacol. Ther. 1999, 82, 111–121. [Google Scholar] [CrossRef]
- Proud, C.G. Phosphorylation and Signal Transduction Pathways in Translational Control. Cold Spring Harb. Perspect. Biol. 2019, 11, a033050. [Google Scholar] [CrossRef] [PubMed]
- Bao, Y.; Weiss, L.M.; Braunstein, V.L.; Huang, H. Role of Protein Kinase A in Trypanosoma cruzi. Infect. Immun. 2008, 76, 4757–4763. [Google Scholar] [CrossRef] [PubMed]
- Bao, Y.; Weiss, L.M.; Ma, Y.F.; Kahn, S.; Huang, H. Protein Kinase A Catalytic Subunit Interacts and Phosphorylates Members of Trans-Sialidase Super-Family in Trypanosoma cruzi. Microbes Infect. 2010, 12, 716–726. [Google Scholar] [CrossRef] [PubMed]
- de Carvalho, T.U.; de Souza, W. Effect of Phorbol-12-Myristate-13-Acetate (PMA) on the Fine Structure of Trypanosoma cruzi and Its Interaction with Activated and Resident Macrophages. Parasitol. Res. 1987, 74, 11–17. [Google Scholar] [CrossRef]
- Chandra, M.; Collins, B.M. The Phox Homology (PX) Domain. In Protein Reviews—Purinergic Receptors; Atassi, M.Z., Ed.; Advances in Experimental Medicine and Biology; Springer International Publishing: Cham, Switzerland, 2018; Volume 1111, pp. 1–17. ISBN 978-3-030-14338-1. [Google Scholar]
- Lakshmi, B.; Mishra, M.; Srinivasan, N.; Archunan, G. Structure-Based Phylogenetic Analysis of the Lipocalin Superfamily. PLoS ONE 2015, 10, e0135507. [Google Scholar] [CrossRef]
- Liu, W.S.; Heckman, C.A. The Sevenfold Way of PKC Regulation. Cell. Signal. 1998, 10, 529–542. [Google Scholar] [CrossRef]
- Scheffzek, K.; Welti, S. Pleckstrin Homology (PH) like Domains—Versatile Modules in Protein-Protein Interaction Platforms. FEBS Lett. 2012, 586, 2662–2673. [Google Scholar] [CrossRef]
- Isakov, N. Protein Kinase C (PKC) Isoforms in Cancer, Tumor Promotion and Tumor Suppression. Semin. Cancer Biol. 2018, 48, 36–52. [Google Scholar] [CrossRef]
- He, S.; Li, Q.; Huang, Q.; Cheng, J. Targeting Protein Kinase C for Cancer Therapy. Cancers 2022, 14, 1104. [Google Scholar] [CrossRef]
- Parsons, M.; Worthey, E.A.; Ward, P.N.; Mottram, J.C. Comparative Analysis of the Kinomes of Three Pathogenic Trypanosomatids: Leishmania Major, Trypanosoma Brucei and Trypanosoma cruzi. BMC Genom. 2005, 6, 127. [Google Scholar] [CrossRef] [PubMed]
- Nakayasu, E.S.; Gaynor, M.R.; Sobreira, T.J.P.; Ross, J.A.; Almeida, I.C. Phosphoproteomic Analysis of the Human Pathogen Trypanosoma cruzi at the Epimastigote Stage. Proteomics 2009, 9, 3489–3506. [Google Scholar] [CrossRef] [PubMed]
- Marchini, F.K.; de Godoy, L.M.F.; Rampazzo, R.C.P.; Pavoni, D.P.; Probst, C.M.; Gnad, F.; Mann, M.; Krieger, M.A. Profiling the Trypanosoma cruzi Phosphoproteome. PLoS ONE 2011, 6, e25381. [Google Scholar] [CrossRef] [PubMed]
- Parsons, M.; Valentine, M.; Deans, J.; Schieven, G.L.; Ledbetter, J.A. Distinct Patterns of Tyrosine Phosphorylation during the Life Cycle of Trypanosoma Brucei. Mol. Biochem. Parasitol. 1991, 45, 241–248. [Google Scholar] [CrossRef]
- Nett, I.R.E.; Davidson, L.; Lamont, D.; Ferguson, M.A.J. Identification and Specific Localization of Tyrosine-Phosphorylated Proteins in Trypanosoma Brucei. Eukaryot. Cell 2009, 8, 617–626. [Google Scholar] [CrossRef][Green Version]
- Berry, L.D.; Gould, K.L. Regulation of Cdc2 Activity by Phosphorylation at T14/Y15. In Progress in Cell Cycle Research; Meijer, L., Guidet, S., Vogel, L., Eds.; Springer: Boston, MA, USA, 1996; pp. 99–105. ISBN 978-1-4613-7693-4. [Google Scholar]
- Santos Júnior, A.d.C.M.d.; Melo, R.M.; Ferreira, B.V.G.; Pontes, A.H.; Lima, C.M.R.d.; Fontes, W.; Sousa, M.V.d.; Lima, B.D.d.; Ricart, C.A.O. Quantitative Proteomics and Phosphoproteomics of Trypanosoma cruzi Epimastigote Cell Cycle. Biochim. Biophys. Acta BBA Proteins Proteom. 2021, 1869, 140619. [Google Scholar] [CrossRef]





Publisher’s Note: MDPI stays neutral with regard to jurisdictional claims in published maps and institutional affiliations. |
© 2022 by the authors. Licensee MDPI, Basel, Switzerland. This article is an open access article distributed under the terms and conditions of the Creative Commons Attribution (CC BY) license (https://creativecommons.org/licenses/by/4.0/).
Share and Cite
Maldonado, E.; Rojas, D.A.; Urbina, F.; Valenzuela-Pérez, L.; Castillo, C.; Solari, A. Trypanosoma cruzi DNA Polymerase β Is Phosphorylated In Vivo and In Vitro by Protein Kinase C (PKC) and Casein Kinase 2 (CK2). Cells 2022, 11, 3693. https://doi.org/10.3390/cells11223693
Maldonado E, Rojas DA, Urbina F, Valenzuela-Pérez L, Castillo C, Solari A. Trypanosoma cruzi DNA Polymerase β Is Phosphorylated In Vivo and In Vitro by Protein Kinase C (PKC) and Casein Kinase 2 (CK2). Cells. 2022; 11(22):3693. https://doi.org/10.3390/cells11223693
Chicago/Turabian StyleMaldonado, Edio, Diego A. Rojas, Fabiola Urbina, Lucía Valenzuela-Pérez, Christian Castillo, and Aldo Solari. 2022. "Trypanosoma cruzi DNA Polymerase β Is Phosphorylated In Vivo and In Vitro by Protein Kinase C (PKC) and Casein Kinase 2 (CK2)" Cells 11, no. 22: 3693. https://doi.org/10.3390/cells11223693
APA StyleMaldonado, E., Rojas, D. A., Urbina, F., Valenzuela-Pérez, L., Castillo, C., & Solari, A. (2022). Trypanosoma cruzi DNA Polymerase β Is Phosphorylated In Vivo and In Vitro by Protein Kinase C (PKC) and Casein Kinase 2 (CK2). Cells, 11(22), 3693. https://doi.org/10.3390/cells11223693

