Sign in to use this feature.

Years

Between: -

Subjects

remove_circle_outline
remove_circle_outline
remove_circle_outline
remove_circle_outline
remove_circle_outline
remove_circle_outline
remove_circle_outline
remove_circle_outline
remove_circle_outline

Journals

remove_circle_outline
remove_circle_outline
remove_circle_outline
remove_circle_outline
remove_circle_outline
remove_circle_outline
remove_circle_outline
remove_circle_outline
remove_circle_outline
remove_circle_outline
remove_circle_outline
remove_circle_outline
remove_circle_outline
remove_circle_outline
remove_circle_outline
remove_circle_outline
remove_circle_outline
remove_circle_outline
remove_circle_outline
remove_circle_outline
remove_circle_outline
remove_circle_outline
remove_circle_outline
remove_circle_outline
remove_circle_outline
remove_circle_outline
remove_circle_outline

Article Types

Countries / Regions

remove_circle_outline
remove_circle_outline
remove_circle_outline
remove_circle_outline
remove_circle_outline
remove_circle_outline

Search Results (4,082)

Search Parameters:
Keywords = CK2

Order results
Result details
Results per page
Select all
Export citation of selected articles as:
18 pages, 2782 KB  
Article
Study on the Mechanism of Cd-Contaminated Soil Remediation Using NaOH–KMnO4–FeCl3 Composite-Modified Biochar for Sustainable Utilization
by Hailong Chang, Shuying Zang and Hanxi Wang
Sustainability 2026, 18(5), 2385; https://doi.org/10.3390/su18052385 - 1 Mar 2026
Viewed by 108
Abstract
Heavy metal pollution is characterized by long-term accumulation and recalcitrance to degradation, which poses a serious threat to soil ecosystems and groundwater environments. To improve the remediation efficiency of biochar for cadmium (Cd)-contaminated soil, this study took unmodified biochar (BC) as the control [...] Read more.
Heavy metal pollution is characterized by long-term accumulation and recalcitrance to degradation, which poses a serious threat to soil ecosystems and groundwater environments. To improve the remediation efficiency of biochar for cadmium (Cd)-contaminated soil, this study took unmodified biochar (BC) as the control and systematically explored the remediation potential of NaOH–KMnO4–FeCl3 composite-modified biochar (GBC). Combined with a Brassica napus L. pot experiment, the effects of modified biochar on soil Cd passivation, soil physicochemical properties, and B. napus biomass were analyzed. After composite modification, GBC had its surface ash removed and exhibited a more regular pore structure, with successful loading of iron–manganese oxides. Although partial changes in the microporous structure caused a decrease in CO2 adsorption, the number of surface-active sites increased. Both biochars significantly increased soil carbon content, nitrogen and phosphorus nutrient levels, and electrical conductivity, while promoting B. napus biomass accumulation and reducing its Cd enrichment. Among them, the GBC-1.5 treatment group exhibited the most significant increase in B. napus biomass, which was 33.66% higher than that of the control group (CK). However, soil pH increased with the increase in BC but decreased with the increase in GBC application rate. In terms of Cd passivation effect, both biochars showed excellent remediation performance. When the application rate was 3%, the Cd passivation rate of the GBC-3 treatment group reached 35.87%, which was 5.29% higher than that of the BC-3 treatment group. The loading of iron–manganese oxides further enhanced the effectiveness and stability of chemical adsorption. This study provides an important reference for achieving sustainable utilization of soil heavy metal remediation. Full article
(This article belongs to the Section Soil Conservation and Sustainability)
Show Figures

Figure 1

22 pages, 2708 KB  
Article
Effects of Microbial Fertilizers on the Properties of Simulated Lunar Soil and Lettuce Growth
by Chuang Mei, Gengxin Xie and Xi Wang
Plants 2026, 15(5), 756; https://doi.org/10.3390/plants15050756 - 1 Mar 2026
Viewed by 172
Abstract
The lunar surface soil (regolith) represents a potential substrate for crop cultivation in future extraterrestrial bases. However, the absence of indigenous microbial activity severely limits nutrient availability in lunar soil. In this study, the effects of three commercial microbial fertilizers on improving simulated [...] Read more.
The lunar surface soil (regolith) represents a potential substrate for crop cultivation in future extraterrestrial bases. However, the absence of indigenous microbial activity severely limits nutrient availability in lunar soil. In this study, the effects of three commercial microbial fertilizers on improving simulated lunar soil and promoting lettuce (Lactuca sativa L.) growth were experimentally evaluated. The results showed that microbial fertilizers significantly increased the contents of available nutrients (N, P, and K) and organic matter in simulated lunar soil, thereby enhancing lettuce growth and biomass accumulation. Compared with the treatment without adding microbial fertilizer application (CK), the aboveground and belowground fresh weights of lettuce increased by up to 91.61% and 89.08%, respectively, under the microbial fertilizer MLQ treatment. In addition, microbial fertilizer treatment increased nutrient accumulation and photosynthetic pigment contents in lettuce, alleviated oxidative stress by improving antioxidant system performance, and consequently enhanced lettuce quality. High-throughput sequencing analysis further revealed that the dominant bacterial genera under these conditions were Bacillus, Glutamicibacter, Acetobacter, Enterococcus, and Microbacterium, while the dominant fungal genera included Saccharomyces, Pichia, and Trigonopsis. These findings provide theoretical support for the development of functional microbial fertilizers tailored for simulating lunar soil. Full article
(This article belongs to the Section Plant Physiology and Metabolism)
Show Figures

Figure 1

25 pages, 7958 KB  
Article
Integrated Sensory and Immune Cell Organization in the Lip Skin of the Goldfish (Carassius auratus, Linnaeus, 1758)
by Hailah M. Almohaimeed, Giacomo Zaccone, Marco Albano, Jorge M. O. Fernandes, Ahmed Ibrahim, Doaa Mokhtar, Manal T. Hussein, Nashmiah S. Alshammari, Tabinda Hasan and Abdelraheim Attaai
Animals 2026, 16(5), 764; https://doi.org/10.3390/ani16050764 - 1 Mar 2026
Viewed by 127
Abstract
This study examines the histological, ultrastructural, and immunohistochemical features of the lip skin of the goldfish (Carassius auratus, Linnaeus, 1758), a sensory-rich region that plays an essential role in feeding and environmental perception. Our findings highlight the coexistence and close association [...] Read more.
This study examines the histological, ultrastructural, and immunohistochemical features of the lip skin of the goldfish (Carassius auratus, Linnaeus, 1758), a sensory-rich region that plays an essential role in feeding and environmental perception. Our findings highlight the coexistence and close association of immune, epithelial, and sensory cells within the epidermis and dermis. For the first time in goldfish, intraepidermal macrophages, eosinophilic granular cells, rodlet cells, Merkel cells, and several specialized sensory structures—neuromasts, taste buds, and tuberous-like sensory units—were simultaneously identified within the same integumentary field. Quantitative morphometry demonstrated a high density of eosinophilic granular cells, rodlet cells, and neuromasts per unit epithelial area, reinforcing the functional specialization of the goldfish lip as a sensory–immune interface. Immunohistochemical markers (CK20, S100, CD68, CD64, CD117, and E-cadherin) were applied as complementary tools to describe phenotypic labeling patterns. These findings are interpreted cautiously as supportive evidence consistent with epithelial, neural-associated, stromal, and immune cell distributions observed morphologically. Transmission electron microscopy further uncovered fine structural details such as synapse-like contacts in taste buds and Merkel cells, dense-core granules in eosinophilic granular cells, and telocyte–nerve fiber associations in the dermis. By integrating cellular, structural, and immunohistochemical perspectives, this study provides a novel descriptive reference for the goldfish lip skin as a region characterized by the close spatial association of sensory and immune-related elements, underscoring its value as a model for vertebrate cutaneous biology and neuroimmunology. Full article
Show Figures

Figure 1

15 pages, 2081 KB  
Article
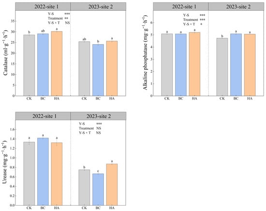
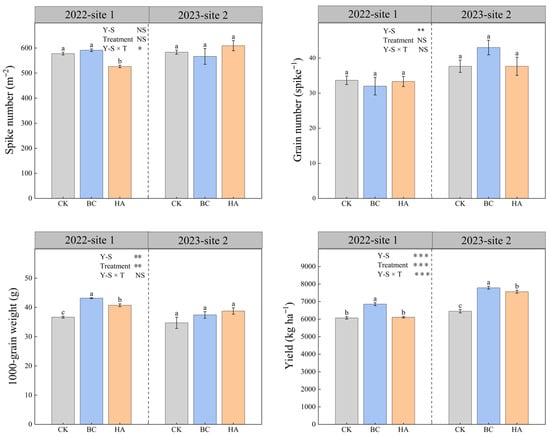
Comparative Effects of Biochar and Humic Acid on the Soil–Wheat System in Mildly Saline Soils
by Leping Bai, Ru Zhang, Shengcai Wu, Bin Liu, Yuyi Li, Xiquan Wang and Baoping Zhao
Agronomy 2026, 16(5), 550; https://doi.org/10.3390/agronomy16050550 (registering DOI) - 28 Feb 2026
Viewed by 114
Abstract
Soil salinization is a major constraint on global crop production. While organic amendments are used in mildly saline soils, their seasonal effects require further study. This research applied biochar (BC) and humic acid (HA) annually in 2022 and 2023 separately, with an unamended [...] Read more.
Soil salinization is a major constraint on global crop production. While organic amendments are used in mildly saline soils, their seasonal effects require further study. This research applied biochar (BC) and humic acid (HA) annually in 2022 and 2023 separately, with an unamended control (CK), to assess impacts on soil quality and wheat yield. BC significantly reduced soil salt content by 28.1% and 17.5% in 2022 and 2023 at a rate of 7.5 Mg·ha−1, while increasing organic matter and total phosphorus. In contrast, HA lowered soil pH by 3.1% in 2022 and enhanced available nitrogen, potassium, and phosphorus. Both BC and HA increased alkaline phosphatase activity by 7.6% and 6.9% in 2023, respectively. Notably, grain yield showed no direct link to soil nutrients but was positively correlated with phosphatase activity in 2023. Consequently, BC did not improve the soil quality index but raised grain yield by 12.9% and 20.7% over two years, primarily via increased 1000-grain weight. In contrast, HA both improved the soil quality index by 16.1% in 2023 and increased grain yield by 17.2%, driven by enhanced aboveground biomass. In conclusion, soil chemical properties and crop productivity were decoupled in these mildly saline–alkaline soils, highlighting the potential for site-specific application of organic amendments. Full article
Show Figures

Figure 1

15 pages, 2233 KB  
Article
From Patient Liver Tissue to Organoids: Establishment of a Translational Platform Using Healthy, Steatotic, and Cirrhotic Tissue Sources
by Robert F. Pohlberger, Katharina S. Hardt, Mark P. Kühnel, Julian Palzer, Johanna Luisa Reinhardt, Oliver Beetz, Felix Oldhafer, Franziska A. Meister, Katja S. Just, Sarah K. Schröder-Lange, Danny Jonigk, Florian W. R. Vondran, Ralf Weiskirchen, Thomas Stiehl and Anjali A. Roeth
Cells 2026, 15(5), 432; https://doi.org/10.3390/cells15050432 - 28 Feb 2026
Viewed by 174
Abstract
Metabolic dysfunction-associated steatotic liver disease (MASLD) and its consequences represent a growing global health burden that urgently requires physiologically relevant in vitro models beyond conventional 2D culture systems. In this study, we report the successful establishment of 45 patient-derived liver organoid lines. These [...] Read more.
Metabolic dysfunction-associated steatotic liver disease (MASLD) and its consequences represent a growing global health burden that urgently requires physiologically relevant in vitro models beyond conventional 2D culture systems. In this study, we report the successful establishment of 45 patient-derived liver organoid lines. These organoids were generated from healthy, steatotic and cirrhotic tissues collected from 207 liver surgeries at RWTH University Hospital Aachen, with an initiation success rate of 82%. The organoids were propagated for at least six passages using an optimized protocol. Multiplex immunofluorescence analysis revealed highly proliferative structures with approximately 40% Ki-67-positive cells expressing hepatocyte (Albumin and HNF4α) and cholangiocyte (CK19) markers. Intermittent LGR5 staining suggested the presence of liver progenitor cell features. Quantitative PCR results confirmed variable HNF4α expression, indicating inter-patient heterogeneity in differentiation status. Time-lapse imaging combined with mathematical modeling uncovered a biphasic growth dynamic with an initial linear expansion in the first 15 h, followed by exponential growth (doubling time ≈ 20.6 h) between 30 and 72 h. Overall, our workflow produced genetically and phenotypically stable liver organoids that recapitulate essential features of various hepatic conditions. This provides a solid foundation for disease modeling, potential drug testing, and quantitative systems biology. Full article
(This article belongs to the Section Tissues and Organs)
Show Figures

Figure 1

24 pages, 2977 KB  
Article
Combined Salt and Heat Stress Aggravates Oxidative Stress and Photosynthetic Damage, Disrupting Carbon and Nitrogen Metabolism and Yield in Rice
by Lin Li, Jie Xu, Jinqi Liu, Wenhao Bi, Yingjiang Li, Aibin He, Xiayu Guo and Zhiyong Ai
Antioxidants 2026, 15(3), 308; https://doi.org/10.3390/antiox15030308 - 28 Feb 2026
Viewed by 160
Abstract
In the context of global climate change, the co-occurrence of salt and heat stress represents a major constraint to rice production, resulting in greater yield penalties than either stress alone. This study aimed to assess the effects of salt and heat stress on [...] Read more.
In the context of global climate change, the co-occurrence of salt and heat stress represents a major constraint to rice production, resulting in greater yield penalties than either stress alone. This study aimed to assess the effects of salt and heat stress on oxidative homeostasis, photosynthetic performance, carbon (C)–nitrogen (N) metabolism, and rice yield. The experiment comprised four treatments, i.e., control (CK), salt (irrigation with 3.9 dS m−1 NaCl solution), heat (exposure to 36 °C/30 °C day/night for 5 days at panicle initiation), and combined salt + heat stress. Results showed that combined stress enhanced reactive oxygen species (ROS) accumulation (i.e., H2O2 content and O2 contents were 1.3 and 1.5 times higher than CK), and the activities of superoxide dismutase (SOD), peroxidase (POD), and catalase (CAT) were increased by 64.6%, 69.5%, and 74.8% higher than CK. At the molecular level, salt + heat stress upregulated antioxidant defense-related genes, i.e., OsAPX2, OsSODCC1, and OsAPX1, while significantly downregulated ion homeostasis-related genes, i.e., OsSOSs, OsHKT1;3, OsHKT1;5, and OsNHX4, and photosynthesis-related genes, i.e., Ospsbo, OsRbcS2, and OsRbcS3, compared with CK. Furthermore, salt + heat stress reduced the activities of C-metabolism enzymes (sucrose phosphate synthase, sucrose synthase, and starch synthase) and N-metabolism enzymes (nitrate reductase, glutamine synthetase, and glutamate synthase), leading to 34.3% and 18.6% lower stem-sheath non-structural carbohydrate accumulation in stem sheath and its translocation rate, respectively, while total N accumulation decreased by 42.9%, as compared with CK. Ultimately, these cascading effects inhibited panicle development and reduced yield. The findings provide a theoretical basis for improving rice tolerance to combined abiotic stresses by targeting oxidative stress mitigation, photosynthetic protection, and key stress-responsive gene regulation. Full article
(This article belongs to the Special Issue Oxidative Stress and Antioxidant Defense in Crop Plants, 2nd Edition)
Show Figures

Figure 1

18 pages, 7157 KB  
Article
High-Throughput Evaluation of Cotton Drought Tolerance Using UAV Multispectral Imagery and XGBoost-Based Machine Learning
by Fuxiang Zhao, Tao Yang, Wei Wang, Wanli Han, Gang Wang, Jinxin Qiao, Xianhui Kong, Li Liu, Aijun Si, Fanlin Wang, Xuwen Wang, Xiyan Yang and Yu Yu
Agronomy 2026, 16(5), 526; https://doi.org/10.3390/agronomy16050526 (registering DOI) - 28 Feb 2026
Viewed by 78
Abstract
Drought stress severely constrains cotton yield and fiber quality, but conventional evaluation methods are inefficient and time-consuming. To address this, we developed a high-throughput, non-destructive phenotyping framework by integrating UAV-based multispectral remote sensing with machine learning, using 225 upland cotton (Gossypium hirsutum [...] Read more.
Drought stress severely constrains cotton yield and fiber quality, but conventional evaluation methods are inefficient and time-consuming. To address this, we developed a high-throughput, non-destructive phenotyping framework by integrating UAV-based multispectral remote sensing with machine learning, using 225 upland cotton (Gossypium hirsutum L.) accessions. The accessions were subjected to well-watered (CK) and drought stress (DS) treatments at the flowering and boll-setting stage. Canopy multispectral imagery (Green/Red/Red_edge/Near-infrared bands) was acquired via DJI Mavic 3 Multispectral UAV, and 16 vegetation indices (VIs) were derived. Concurrently, 15 agronomic and fiber quality traits were measured to calculate drought resistance coefficients (DRCs), which were used for principal component analysis (PCA) and comprehensive drought tolerance index (D) construction. Hierarchical clustering categorized the accessions into 6 drought tolerance grades (Groups I–VI). Variable importance analysis identified GNDVI, NGRVI, and NDRE as the most drought-sensitive VIs (% IncMSE > 11). Among four regression models (LR, KNN, LGBM, XGBoost), XGBoost achieved the best performance for D prediction (test set: R2 = 0.785, RMSE = 0.032, MAE = 0.024). This study demonstrates that UAV multispectral data coupled with XGBoost enables accurate, efficient drought tolerance assessment, providing a robust tool for high-throughput germplasm screening and smart agricultural management. Full article
Show Figures

Figure 1

16 pages, 4035 KB  
Article
Soil Properties and Microbial Community Assemblages in Response to Plastic Film Mulches with Divergent Degradation Characteristics
by Guiliang Wang, Yulin Li, Xu Pan, Aofei Li, Juanjuan Wang, Li Yin, Xiaoping Zeng and Xiaoqing Qian
Microorganisms 2026, 14(3), 553; https://doi.org/10.3390/microorganisms14030553 - 28 Feb 2026
Viewed by 143
Abstract
To identify a suitable plastic film type for broccoli cultivation in the subtropical humid region of southern China, a field experiment was conducted with four treatments, including no film control (CK), reinforced polyethylene film (RF), biodegradable film PBAT + starch (BDF1), and biodegradable [...] Read more.
To identify a suitable plastic film type for broccoli cultivation in the subtropical humid region of southern China, a field experiment was conducted with four treatments, including no film control (CK), reinforced polyethylene film (RF), biodegradable film PBAT + starch (BDF1), and biodegradable film PBAT + PLA (BDF2). Soil physiochemical properties, temperature and humidity dynamics, microbial community structure, and film degradation status were investigated. The results showed that the RF treatment improved available P and K contents, while the BDF2 treatment significantly increased soil organic matter, NH4+-N, water-soluble Ca2+, and Mg2+ contents. The soil temperature followed the order of RF > BDF1 > BDF2 > CK, and the humidity was BDF1 > RF > CK > BDF2, with RF treatment showing a more stable soil temperature, while BDF2 treatment fluctuated the most. There were no significant differences in bacterial diversity among the treatments, while the highest fungal diversity was observed in the BDF2. Water-soluble Mg was the key factor driving the changes in microbial community structure (p < 0.05). The film degradation rate followed BDF2 > BDF1 > RF. Collectively, RF is suitable for targeting short-term yield improvement, while BDF2 has significant advantages in sustainable cultivation in the long-term. Full article
Show Figures

Figure 1

16 pages, 2487 KB  
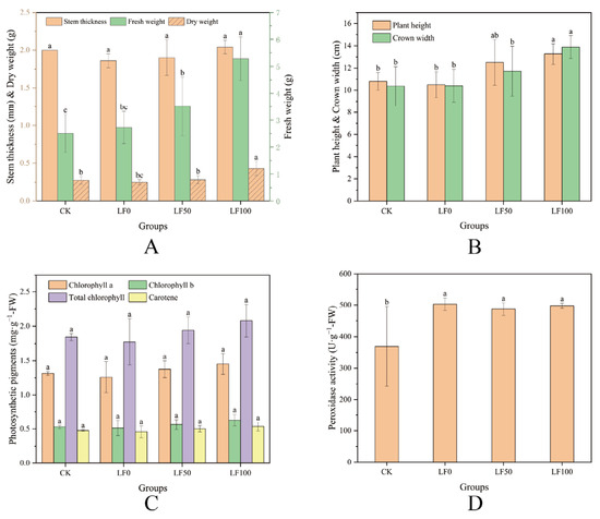
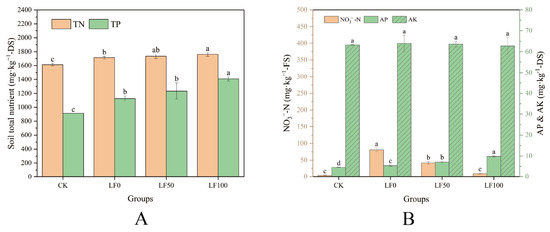
Article
Waste Activated Sludge Alkali–Thermal Hydrolysis Liquid as a Soil Amendment: Effects on Pakchoi Cabbage Growth, Soil Properties, and Microbial Community Structure
by Xiu-Fang Li, Yang Xu, Sheng Qi, Zhen Shi, Jun-Feng Zhao, Zhao-Yong Sun and Yue-Qin Tang
Agronomy 2026, 16(5), 522; https://doi.org/10.3390/agronomy16050522 - 27 Feb 2026
Viewed by 173
Abstract
Alkali–thermal treatment of waste activated sludge (WAS) can produce a liquid fertilizer (LF) rich in plant nutrients and biostimulants. However, studies on its actual effects on plant growth and soil quality during field application remain limited. This study employed pot experiments to investigate [...] Read more.
Alkali–thermal treatment of waste activated sludge (WAS) can produce a liquid fertilizer (LF) rich in plant nutrients and biostimulants. However, studies on its actual effects on plant growth and soil quality during field application remain limited. This study employed pot experiments to investigate the impacts of LF substitution (0%, 50%, 100%) for urea on pakchoi cabbage yield, soil physicochemical properties, and microbial communities. The results demonstrated that the LF100 treatment (complete substitution) exhibited the most favorable performance in terms of both plant yield and soil quality enhancement. Compared to the CK, LF0, and LF50 treatments, the LF100 treatment increased various growth and soil parameters: fresh and dry weights of pakchoi cabbage by 50.31–110.61% and 52.48–72.00%, respectively; total soil nitrogen by 1.54–9.09%; total soil phosphorus by 13.89–54.56%; soil available phosphorus by 37.51–116.88%; as well as soil urease, invertase, and protease activities by 2.73–9.41%, 17.11–32.52%, and 7.14–36.36%, respectively. Meanwhile, soil microbial diversity in all fertilized groups was higher than in CK, and it increased with the rising LF substitution ratios. Furthermore, the dominant phyla of LF100 soil microbial community included Actinobacteriota, Proteobacteria, Acidobacteriota, and Crenarchaeota, encompassing multiple bacterial genera involved in carbon/nitrogen cycling and nitrogen fixation. Thus, this liquid fertilizer carries resource utilization potential as a urea substitute, offering valuable insights for sustainable agricultural development. Full article
Show Figures

Figure 1

17 pages, 2079 KB  
Article
Evaluating the Effects of Electron Beam Irradiation on Coffee Beans and Their Storage Quality
by Chengpiao Tian, Yuan Zhao, Qiulan Huang, Guanru Huang, Shuaimin Liu, Qingjing Cen, Debao Niu and Er-Fang Ren
Foods 2026, 15(5), 815; https://doi.org/10.3390/foods15050815 - 27 Feb 2026
Viewed by 203
Abstract
This study focuses on the storage process of coffee beans, employing electron beam irradiation (EBI) to investigate the comprehensive effects of different irradiation doses on coffee beans and their storage process, including physicochemical indicators, microbial abundance, and flavor compounds. The results showed that [...] Read more.
This study focuses on the storage process of coffee beans, employing electron beam irradiation (EBI) to investigate the comprehensive effects of different irradiation doses on coffee beans and their storage process, including physicochemical indicators, microbial abundance, and flavor compounds. The results showed that a 2 kGy dose of EBI could effectively reduce the total number of bacteria, molds, and yeasts in green coffee beans (GCBs), while a dose of 4 kGy can completely inactivate the bacteria and maintain this effect for one month. Compared with the control sample that has not undergone processing by EBI (CK), the crude fat content of the irradiated samples decreased, accompanied by a significant increase in acid value. After 30 days of storage, compared with the CK-30 sample, EBI treatment significantly reduced both the moisture content and overall brightness value of GCB. The analysis of aroma compounds in roasted coffee beans (RCBs) revealed that substances related to Maillard reaction, caramelization reaction and sugar degradation, such as 2-Furanmethanol and acetic acid, changed in the irradiated samples, but had no significant effect on the characteristic components like caffeine and the aroma detected by the electronic nose. The obtained results provide a scientific basis for applying irradiation technology to the preservation of coffee beans. Full article
(This article belongs to the Special Issue Non-Thermal Processing Technologies for Sustainable Food Processing)
Show Figures

Figure 1

17 pages, 3901 KB  
Article
Desert Physio-Ecological Adaptation of Amorpha fruticosa to Dynamic Shading Under Photovoltaic Panels in a Sandy Region
by Lu Liu, Ruidong Wang, Yong Gao and Yifang Su
Plants 2026, 15(5), 717; https://doi.org/10.3390/plants15050717 - 27 Feb 2026
Viewed by 96
Abstract
The construction of photovoltaic (PV) power stations for sand control in northwestern China has exacerbated the conflict between solar resource utilization and ecosystem fragility, creating urgent ecological challenges that demand immediate solutions. This study investigated Amorpha fruticosa growing under fixed adjustable PV panels [...] Read more.
The construction of photovoltaic (PV) power stations for sand control in northwestern China has exacerbated the conflict between solar resource utilization and ecosystem fragility, creating urgent ecological challenges that demand immediate solutions. This study investigated Amorpha fruticosa growing under fixed adjustable PV panels at the CGN DaLate Photovoltaic Leading Base in the eastern hinterland of the Kubuqi Desert. Through long-term field observations, three shading time gradients were established: heavy shading (HS), light shading (LS), and no shading (CK, control). The results clearly demonstrated that: (1) Plants in the LS treatment exhibited significantly greater plant height, basal diameter, and crown width compared to those in HS and CK, indicating optimal growth status and morphological plasticity. They maintained the highest net photosynthetic rate (Pn) and water use efficiency (WUE), while their intercellular CO2 concentration (Ci) was significantly lower than in CK, effectively mitigating photosynthetic inhibition caused by high light intensity. Total chlorophyll (Chl) content increased significantly with increasing shading intensity, whereas the Chl a/b ratio decreased. (2) The LS treatment yielded the highest nitrogen (N), phosphorus (P), and crude protein (CP) contents, along with a more balanced N:P ratio, suggesting a superior state of nutritional metabolism. Growth indicators showed significant positive correlations with WUE and Chl content, and significant negative correlations with transpiration rate (Tr) and Ci, confirming a synergistic “physiological adaptation-growth optimization” mechanism. Our results demonstrate that light shading represents the optimal condition for the growth and biomass accumulation of A. fruticosa, highlighting its potential as a key species for vegetation restoration in PV power stations within arid ecosystems. These findings not only elucidate the plant’s adaptation mechanisms but also provide a crucial physiological basis for selecting and managing understory vegetation, thereby supporting the optimization of integrative “PV-Ecology” systems for sustainable desert restoration. Full article
(This article belongs to the Section Plant Ecology)
Show Figures

Figure 1

18 pages, 3354 KB  
Article
Establishment and Characterisation of Two Canine Prostate Cancer Cell Lines with Stem Cell Marker Expression
by Michelle M. Story, Brett W. Stringer, Rodney Straw and Chiara Palmieri
Animals 2026, 16(5), 732; https://doi.org/10.3390/ani16050732 - 26 Feb 2026
Viewed by 169
Abstract
Canine prostatic adenocarcinoma is a rare but highly aggressive cancer that is typically diagnosed at an advanced stage, due to the lack of effective screening methods and poor recognition of early lesions. Cancer stem cells are known to drive tumour progression and treatment [...] Read more.
Canine prostatic adenocarcinoma is a rare but highly aggressive cancer that is typically diagnosed at an advanced stage, due to the lack of effective screening methods and poor recognition of early lesions. Cancer stem cells are known to drive tumour progression and treatment resistance in human prostate cancer, but their role in naturally occurring canine disease remains poorly defined. A deeper understanding of the biology of canine prostatic adenocarcinoma is therefore essential to improve prognosis and to develop relevant comparative models. We established and comprehensively characterised two novel canine prostatic adenocarcinoma cell lines, Kodiak and Bobby, with detailed comparison to their tumours of origin and, for Kodiak, xenografts generated in immunodeficient mice. Both lines displayed variable epithelial morphology influenced by culture conditions, and Kodiak xenografts recapitulated key histopathological patterns of the primary tumour. Expression of the luminal epithelial marker CK8/18 and the basal marker CK14 was largely retained across tumour, cell line, and xenograft, whereas the basal markers CK5 and p63, and the urothelial marker UPIII, were diminished or lost during in vitro culture. Evaluation of cancer stem cell-associated markers showed consistent expression of CD44, Nanog, Oct3/4, and Sox2 in the original tumours and cell lines, while CD133, Nestin, and Trop2 were present in the tumours but absent in vitro, indicating selective loss of specific stem-like populations. Media-dependent plasticity was evident in the Bobby line. These models retain key epithelial and stemness features and provide robust platforms for translational prostate cancer research in dogs and humans. Full article
(This article belongs to the Section Companion Animals)
Show Figures

Figure 1

16 pages, 3973 KB  
Article
Effects of Different Reclamation Methods on Soil Aggregate Cementing Agents and Potential Aggregate Formation Mechanisms
by Zhichao Dong, Zhongxiu Sun, Zhenxing Bian, Wenjuan Jin, Yuhan Qiu, Chuqiao Wang, Deyang Guan, Yufei Zhang and Mingzhe Han
Agriculture 2026, 16(5), 513; https://doi.org/10.3390/agriculture16050513 - 26 Feb 2026
Viewed by 112
Abstract
Iron ore tailings have been shown to promote the formation of soil aggregate cementing agents through weathering, thereby influencing soil aggregate formation in reclaimed land. However, their mechanism of action under different reclamation methods remains unclear. This study established a field station in [...] Read more.
Iron ore tailings have been shown to promote the formation of soil aggregate cementing agents through weathering, thereby influencing soil aggregate formation in reclaimed land. However, their mechanism of action under different reclamation methods remains unclear. This study established a field station in the semi-arid region of Northern China to investigate three typical iron ore tailing reclamation methods, including topsoil blending type (DT), sublayer moisture conservation type (JT), and thick-layer tailings type (FT), with adjacent farmland as the control (CK). The analysis of soil organic carbon (SOC) components, soil inorganic carbon (SIC), iron/aluminum oxides, and aggregate composition and stability in the reclaimed soils revealed the evolution patterns of cementing materials and the potential mechanisms driving aggregate formation. The results indicate that the reclamation process promotes the weathering of tailings, with a significant increase in free iron oxide (Fed) content ranging from 19.09% to 41.93%. Iron oxides released from iron ore tailings influenced the reclaimed topsoil through plant litter return processes, resulting in a significantly higher amorphous iron oxide (Feo) content compared to CK. Additionally, the content of crystalline aluminum oxide (Alc) in the DT topsoil showed a significant increase, reaching 2.82 g/kg. The variation in organic and inorganic cementing agents significantly influences aggregate composition and stability, with soil particulate organic carbon (POC), crystalline iron oxide (Fec), Alc, and amorphous aluminum oxide (Alo) identified as the primary agents affecting aggregate formation (p < 0.05). After five years of reclamation, the proportion of DT macroaggregates (>0.25 mm) increased to 42.10%, and both the mean weight diameter (MWD) and the geometric mean diameter (GMD) increased significantly to 2.21 mm and 0.43 mm, respectively. In contrast, JT macroaggregates and microaggregates (0.053–0.25 mm) decreased to 26.88% and 29.01%, respectively, and aggregate stability significantly declined. FT macroaggregates and their stability showed no significant difference compared to CK. The study shows that after years of reclamation, both DT and FT reclamation methods have reached normal farmland levels in terms of aggregate formation and stability, making them practical and valuable reclamation solutions. Full article
(This article belongs to the Section Agricultural Soils)
Show Figures

Figure 1

36 pages, 10024 KB  
Article
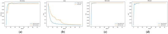
Comparative Performance Analysis of RBF-Hybrid Artificial Neural Networks on Fault Detection in Wastewater Treatment Plants
by Liliana-Maria Ghinea and Marian Barbu
Mathematics 2026, 14(5), 766; https://doi.org/10.3390/math14050766 - 25 Feb 2026
Viewed by 96
Abstract
The efficiency of wastewater treatment plants (WWTPs) highly depends on correctly detecting the anomalies hindering their processes. This study investigates the use of hybrid Artificial Neural Networks (A-NNs) for detecting mechanical faults injected in the Dissolved Oxygen (DO) sensor of a WWTP. The [...] Read more.
The efficiency of wastewater treatment plants (WWTPs) highly depends on correctly detecting the anomalies hindering their processes. This study investigates the use of hybrid Artificial Neural Networks (A-NNs) for detecting mechanical faults injected in the Dissolved Oxygen (DO) sensor of a WWTP. The hybrid networks are obtained by combining Radial Basis Function Neural Network (RBF-NN) with the specific architectures of Feedforward Neural Network (FF-NN), Long Short-Term Memory Neural Network (LSTM-NN) and Convolutional Neural Network (C-NN), respectively. Each hybrid model is tested on several simulated anomaly scenarios containing both normal and faulty operating conditions of the DO sensor, and evaluated using a comprehensive set of classification metrics, including accuracy (A), precision (P), recall (R), F1-score (F1-S), balanced accuracy (BA), Cohen’s Kappa (CK), Matthew’s Correlation Coefficient (MCC), and the areas under the Receiver Operating Characteristic curve (ROC-AUC) and the Precision–Recall curve (PR-AUC). The results show that the LSTM-NN + RBF hybrid consistently outperforms the other two hybrids, achieving accuracy of 96.04%, precision of 96.78%, recall of 89.51%, F1-score of 92.89%, ROC-AUC of 96.01%, PR-AUC of 94.93%, MCC of 90.25%, CK of 90.03% and BA of 94.16%. These results suggest that the proposed LSTM-NN + RBF hybrid is a promising tool for efficiently detecting mechanical faults in a WWTP. Full article
Show Figures

Figure 1

21 pages, 2788 KB  
Article
Enhancement of Disease Resistance in Pengze Crucian Carp (Carassius auratus var. Pengze) by Carvacrol Through Modulation of Intestinal Microbiota and Serum Metabolism
by Yuzhu Wang, Xiaoze Guo, Jingjing Lu, Lingya Li, Yanqiang Tang, Haihong Xiao, Siming Li and Wenshu Liu
Metabolites 2026, 16(3), 151; https://doi.org/10.3390/metabo16030151 - 25 Feb 2026
Viewed by 193
Abstract
Objectives: This study aimed to investigate the regulatory effects of dietary carvacrol on intestinal micro biota composition, serum metabolic profiles, and their association with increased resistance to Aeromonas hydrophila in Pengze crucian carp. Methods: Juvenile fish (5.63 ± 0.35 g) were randomly allocated [...] Read more.
Objectives: This study aimed to investigate the regulatory effects of dietary carvacrol on intestinal micro biota composition, serum metabolic profiles, and their association with increased resistance to Aeromonas hydrophila in Pengze crucian carp. Methods: Juvenile fish (5.63 ± 0.35 g) were randomly allocated into two experimental groups: a control group (CK) fed a basal diet and a treatment group (CA) supplemented with 600 mg/kg microencapsulated carvacrol. Following an 8-week feeding trial, nine specimens per group were sampled for venous blood and intestinal tract collection. Remaining individuals were subjected to a 12-h A. hydrophila challenge prior to identical sample collection. Results: Key findings revealed that carvacrol supplementation induced significant microbial modulations, notably reducing Firmicutes abundance while enhancing Cetobacterium populations by 33.25% compared to controls. Post-challenge analysis demonstrated marked declines in intestinal microbial diversity indices (Observed ASV, Chao1, ACE, and PD whole tree) in the CK group, whereas the CA group maintained stable microbial diversity. Pathogenic genera including Aeromonas, Shewanella, and Vibrio showed significant proliferation in challenged controls, contrasting with maintained microbial homeostasis in carvacrol-fed specimens. Serum metabolomic profiling identified the most significantly altered metabolic pathways associated with carvacrol administration: glycerophospholipid metabolism, linoleic acid metabolism, arachidonic acid metabolism, α-linolenic acid metabolism, GPI-anchor biosynthesis, and autophagy-animal pathways. Conclusions: Our results demonstrate that dietary carvacrol may reinforce intestinal microbial barrier function by optimizing beneficial microbial composition and reducing the proportion of pathogens, and modulate immune-related metabolic pathways critical for host defense, which might be involved in enhanced disease resistance. Full article
(This article belongs to the Special Issue Animal Nutritional Metabolism and Toxicosis Disease, 2nd Edition)
Show Figures

Figure 1

Back to TopTop