Stereological Estimation of Myocardial Fat and Its Associations with Obesity, Epicardial, and Visceral Adipose Tissue
Abstract
1. Introduction
2. Materials and Methods
2.1. Study Design and Protocol
2.2. Volume Estimation of EAT
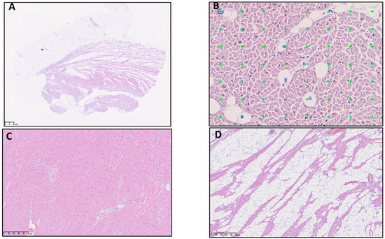
2.3. Stereological Methods
2.4. Statistical Analysis and Ethics
3. Results
4. Discussion
4.1. Myocardial Fat, Sex, and Age
4.2. Myocardial Fat and BMI
4.3. Myocardial Fat, Epicardial Adipose Tissue, and Visceral Adipose Tissue
4.4. Strength and Limitations
4.5. Perspectives
Author Contributions
Funding
Institutional Review Board Statement
Informed Consent Statement
Data Availability Statement
Acknowledgments
Conflicts of Interest
References
- Selthofer-Relatić, K.; Bošnjak, I. Myocardial fat as a part of cardiac visceral adipose tissue: Physiological and pathophysiological view. J. Endocrinol. Investig. 2015, 38, 933–939. [Google Scholar] [CrossRef] [PubMed]
- Harmancey, R.; Wilson, C.R.; Taegtmeyer, H. Adaptation and Maladaptation of the Heart in Obesity. Hypertension 2008, 52, 181–187. [Google Scholar] [CrossRef]
- Lu, Z.; Jiang, Z.; Tang, J.; Lin, C.; Zhang, H. Functions and origins of cardiac fat. FEBS J. 2022. [Google Scholar] [CrossRef] [PubMed]
- Miles, C.; Westaby, J.; Ster, I.C.; Asimaki, A.; Boardman, P.; Joshi, A.; Papadakis, M.; Sharma, S.; Behr, E.R.; Sheppard, M.N. Morphometric characterization of collagen and fat in normal ventricular myocardium. Cardiovasc. Pathol. 2020, 48, 107224. [Google Scholar] [CrossRef] [PubMed]
- Anumonwo, J.M.B.; Herron, T. Fatty Infiltration of the Myocardium and Arrhythmogenesis: Potential Cellular and Molecular Mechanisms. Front. Physiol. 2018, 9, 2. [Google Scholar] [CrossRef]
- Neto, J.E.; Tonet, J.; Frank, R.; Fontaine, G. Arrhythmogenic Right Ventricular Cardiomyopathy/Dysplasia (ARVC/D)-What We Have Learned after 40 Years of the Diagnosis of This Clinical Entity. Arq. Bras. Cardiol. 2019, 112, 91–103. [Google Scholar]
- Ferrara, D.; Montecucco, F.; Dallegri, F.; Carbone, F. Impact of different ectopic fat depots on cardiovascular and metabolic diseases. J. Cell. Physiol. 2019, 234, 21630–21641. [Google Scholar] [CrossRef]
- Tuzzolo, A.; Febres-Aldana, C.A.; Poppiti, R. Severe Myocardial Steatosis. Am. J. Forensic Med. Pathol. 2020, 41, 42–47. [Google Scholar] [CrossRef]
- Kanchan, T.; Acharya, J.; Ram, P.; Khadilkar, U.; Rana, T. Fat infiltration of left ventricle— A rare cause of sudden cardiac death. Medico-Legal J. 2016, 84, 142–144. [Google Scholar] [CrossRef]
- Mühlfeld, C.; Nyengaard, J.R.; Mayhew, T.M. A review of state-of-the-art stereology for better quantitative 3D morphology in cardiac research. Cardiovasc. Pathol. 2010, 19, 65–82. [Google Scholar] [CrossRef]
- Vecchié, A.; Dallegri, F.; Carbone, F.; Bonaventura, A.; Liberale, L.; Portincasa, P.; Frühbeck, G.; Montecucco, F. Obesity phenotypes and their paradoxical association with cardiovascular diseases. Eur. J. Intern. Med. 2018, 48, 6–17. [Google Scholar] [CrossRef]
- Konwerski, M.; Gąsecka, A.; Opolski, G.; Grabowski, M.; Mazurek, T. Role of Epicardial Adipose Tissue in Cardiovascular Diseases: A Review. Biology 2022, 11, 355. [Google Scholar] [CrossRef]
- Banner, J.; Høyer, C.B.; Christensen, M.R.; Gheorghe, A.; Bugge, A.; Ottesen, G.L.; Boel, L.W.T.; Thomsen, J.L.; Kruckow, L.; Jacobsen, C. SURVIVE: Let the dead help the living—an autopsy-based cohort study for mapping risk markers of death among those with severe mental illnesses. Scand. J. Forensic Sci. 2018, 24, 7–17. [Google Scholar] [CrossRef]
- Christensen, M.R.; Bugge, A.; Malik, M.E.; Thomsen, J.L.; Lynnerup, N.; Rungby, J.; Banner, J. Establishing post mortem criteria for the metabolic syndrome: An autopsy based cross-sectional study. Diabetol. Metab. Syndr. 2018, 10, 36. [Google Scholar] [CrossRef]
- Hindsø, L.; Jakobsen, L.S.; Jacobsen, C.; Lynnerup, N.; Banner, J. Epicardial adipose tissue volume estimation by postmortem computed tomography of eviscerated hearts. Forensic Sci. Med. Pathol. 2017, 13, 468–472. [Google Scholar] [CrossRef]
- Gundersen, H.J.G.; Bendtsen, T.F.; Korbo, L.; Marcussen, N.; Møller, A.; Nielsen, K.; Nyengaard, J.R.; Pakkenberg, B.; Sørensen, F.B.; Vesterby, A.; et al. Some new, simple and efficient stereological methods and their use in pathological research and diagnosis. APMIS 1988, 96, 379–394. [Google Scholar] [CrossRef]
- De La Grandmaison, G.L.; Le Bihan, C.; Durigon, M. Assessment of right ventricular lipomatosis by histomorphometry in control adult autopsy cases. Int. J. Legal. Med. 2001, 115, 105–108. [Google Scholar] [CrossRef]
- Dembinski, A.S.; Dobson, J.R.; Wilson, J.E.; Radio, S.J.; Miles, R.R.; Sears, T.D.; McManus, B.M. Frequency, Extent, and Distribution of Endomyocardial Adipose Tissue: Morphometric Analysis of Endomyocardial Biopsy Specimens from 241 Patients. Cardiovasc. Pathol. 1994, 3, 33–41. [Google Scholar] [CrossRef]
- Tansey, D.K.; Aly, Z.; Sheppard, M.N. Fat in the right ventricle of the normal heart. Histopathology 2005, 46, 98–104. [Google Scholar] [CrossRef]
- Fontaine, G.; Fontaliran, F.; Zenati, O.; E Guzman, C.; Rigoulet, J.; Berthier, J.L.; Frank, R. Fat in the heart. A feature unique to the human species? Observational reflections on an unsolved problem. Acta Cardiol. 1999, 54, 189–194. [Google Scholar]
- Burke, A.P.; Farb, A.; Tashko, G.; Virmani, R. Arrhythmogenic Right Ventricular Cardiomyopathy and Fatty Replacement of the Right Ventricular Myocardium: Are They Different Diseases? Circulation 1998, 97, 1571–1580. [Google Scholar] [CrossRef]
- Selthofer-Relatić, K.; Belovari, T.; Bijelić, N.; Kibel, A.; Rajc, J. Presence of Intramyocardial Fat Tissue in the Right Atrium and Right Ventricle – Postmortem Human Analysis. Acta Clin. Croat. 2018, 57, 122–129. [Google Scholar] [CrossRef]
- Kirsch, J.; Johansen, C.K.; Araoz, P.A.; Brady, P.A.; Williamson, E.E.; Glockner, J.F. Prevalence of Fat Deposition Within the Right Ventricular Myocardium in Asymptomatic Young Patients Without Ventricular Arrhythmias. J. Thorac. Imaging 2010, 25, 173–178. [Google Scholar] [CrossRef]
- Jacobi, A.H.; Gohari, A.; Zalta, B.; Stein, M.W.; Haramati, L.B. Ventricular Myocardial Fat. J. Thorac. Imaging 2007, 22, 130–135. [Google Scholar] [CrossRef]
- Sons, H.U.; Hoffmann, V. Epicardial fat cell size, fat distribution and fat infiltration of the right and left ventricle of the heart. Anat. Anzeiger. 1986, 161, 355–373. [Google Scholar]
- Da Silva, R.M.S.; De Mello, R.J.V. Fat deposition in the left ventricle: Descriptive and observacional study in autopsy. Lipids Health Dis. 2017, 16, 86. [Google Scholar] [CrossRef]
- Malavazos, A.E.; Di Leo, G.; Secchi, F.; Lupo, E.N.; Dogliotti, G.; Coman, C.; Morricone, L.; Corsi, M.M.; Sardanelli, F.; Iacobellis, G. Relation of Echocardiographic Epicardial Fat Thickness and Myocardial Fat. Am. J. Cardiol. 2010, 105, 1831–1835. [Google Scholar] [CrossRef]
- Banerjee, R.; Rial, B.; Holloway, C.J.; Lewandowski, A.; Robson, M.D.; Osuchukwu, C.; Schneider, J.E.; Leeson, P.; Rider, O.J.; Neubauer, S. Evidence of a Direct Effect of Myocardial Steatosis on LV Hypertrophy and Diastolic Dysfunction in Adult and Adolescent Obesity. JACC Cardiovasc. Imaging 2015, 8, 1468–1470. [Google Scholar] [CrossRef]
- Ng, A.C.T.; Strudwick, M.; van der Geest, R.J.; Ng, A.C.C.; Gillinder, L.; Goo, S.Y.; Cowin, G.; Delgado, V.; Wang, W.Y.S.; Bax, J.J. Impact of Epicardial Adipose Tissue, Left Ventricular Myocardial Fat Content, and Interstitial Fibrosis on Myocardial Contractile Function. Circ. Cardiovasc. Imaging 2018, 11, e007372. [Google Scholar] [CrossRef]
- Graner, M.; Sirén, R.; Nyman, K.; Lundbom, J.; Hakkarainen, A.; Pentikäinen, M.O.; Lauerma, K.; Lundbom, N.; Adiels, M.; Nieminen, M.S.; et al. Cardiac Steatosis Associates With Visceral Obesity in Nondiabetic Obese Men. J. Clin. Endocrinol. Metab. 2013, 98, 1189–1197. [Google Scholar] [CrossRef]
- Rabkin, S.W. The Relationship Between Epicardial Fat and Indices of Obesity and the Metabolic Syndrome: A Systematic Review and Meta-Analysis. Metab. Syndr. Relat. Disord. 2014, 12, 31–42. [Google Scholar] [CrossRef]
- Kozman, D.; Abramowsky, C.R.; Poulik, J.; Dereje, P.; Bondarenko, L.; Vickery, J.; Dzul, S.; Hanan, A.; Shehata, B.M. Pediatric Right Ventricular Cardiac Steatosis following Immunosuppressive Treatment. Fetal Pediatr. Pathol. 2020, 40, 691–696. [Google Scholar] [CrossRef]
- Buggey, J.; Longenecker, C.T. Heart fat in HIV. Curr. Opin. HIV AIDS 2017, 12, 572–578. [Google Scholar] [CrossRef]




| General Characteristics | Total (n = 115) |
|---|---|
| Men | 66 (57%) |
| Age (years) | 53.4 (21–93) |
| BMI (kg/m2) | 25.4 ± 5.6 |
| Heart weight (g) | 417 (94) |
| Waist-Hip Ratio | 1.0 ± 0.1 |
| Omental fat (g) | 233 (300) |
| Kidney Fat (g) | 419 (399) |
| Schizophrenia | 20 (17%) |
| Antipsychotics | 46 (40%) |
| Metabolic Syndrome | 16 (14%) |
| Manner of Death | Total (n = 115) |
|---|---|
| Natural | 53 (46.1) |
| Accident | 37 (32.2) |
| Suicide | 16 (13.9) |
| Undetermined | 9 (7.8) |
| Causes of Death | |
| Poisoning | 39 (33.9) |
| Cardiovascular | 31 (27.0) |
| Pulmonary | 2 (1.7) |
| Infectious | 2 (1.7) |
| Gastrointestinal | 5 (4.3) |
| Endocrine | 5 (4.3) |
| Trauma | 18 (15.7) |
| Chronic Abuse | 4 (3.5) |
| Central Nervous System | 2 (1.7) |
| Neoplasia | 2 (1.7) |
| Unknown | 5 (4.3) |
| Measurements of Fat | LV Myocardial Fat | RV Myocardial Fat | Epicardial Adipose Tissue | |||
|---|---|---|---|---|---|---|
| BMI (kg/m2) | 0.20 | 0.03 | 0.18 | 0.05 | 0.26 | <0.01 |
| Waist-Hip ratio | 0.16 | 0.08 | 0.13 | 0.17 | 0.29 | <0.01 |
| Omental fat (g) | 0.03 | 0.72 | 0.06 | 0.50 | 0.41 | <0.01 |
| Kidney Fat (g) | 0.12 | 0.20 | 0.05 | 0.60 | 0.53 | <0.01 |
| EAT (ml) | 0.32 | <0.01 | 0.38 | <0.01 | - | - |
Publisher’s Note: MDPI stays neutral with regard to jurisdictional claims in published maps and institutional affiliations. |
© 2022 by the authors. Licensee MDPI, Basel, Switzerland. This article is an open access article distributed under the terms and conditions of the Creative Commons Attribution (CC BY) license (https://creativecommons.org/licenses/by/4.0/).
Share and Cite
Holm, P.H.; Hindsø, L.; Olsen, K.B.; Banner, J. Stereological Estimation of Myocardial Fat and Its Associations with Obesity, Epicardial, and Visceral Adipose Tissue. Cells 2022, 11, 3160. https://doi.org/10.3390/cells11193160
Holm PH, Hindsø L, Olsen KB, Banner J. Stereological Estimation of Myocardial Fat and Its Associations with Obesity, Epicardial, and Visceral Adipose Tissue. Cells. 2022; 11(19):3160. https://doi.org/10.3390/cells11193160
Chicago/Turabian StyleHolm, Pernille Heimdal, Louise Hindsø, Kristine Boisen Olsen, and Jytte Banner. 2022. "Stereological Estimation of Myocardial Fat and Its Associations with Obesity, Epicardial, and Visceral Adipose Tissue" Cells 11, no. 19: 3160. https://doi.org/10.3390/cells11193160
APA StyleHolm, P. H., Hindsø, L., Olsen, K. B., & Banner, J. (2022). Stereological Estimation of Myocardial Fat and Its Associations with Obesity, Epicardial, and Visceral Adipose Tissue. Cells, 11(19), 3160. https://doi.org/10.3390/cells11193160

