[68Ga]Ga-Pentixafor and Sodium [18F]Fluoride PET Can Non-Invasively Identify and Monitor the Dynamics of Orthodontic Tooth Movement in Mouse Model
Abstract
1. Introduction
2. Materials and Methods
2.1. Study Design and Experimental Animals
2.2. Orthodontic Tooth Movement
2.3. Tracer Synthesis
2.4. Small Animal PET/CT Acquisition, Reconstruction and Quantification
2.5. Ex vivo High-Resolution CT Analysis
2.6. Preparation of Paraffin Sections
2.7. Histology
2.8. Tartrate-Resistant Acid Phosphatase (TRAP) Staining
2.9. CXCR4 Immunohistochemical Staining
2.10. Statistical Analysis
3. Results
3.1. Long Time Orthodontic Tooth Movement Appliance
3.2. Na[18F]F Has an Increased Uptake in the Region under OTM
3.3. [68Ga]-Pentixafor Has an Increased Uptake in Early and Late Phase of OTM
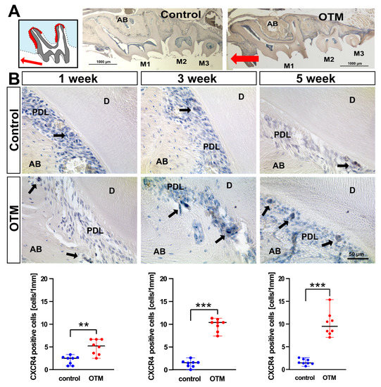
3.4. Increased Presence of CXCR4-Positive Cells in OTM Side Compared to the Untreated Contralateral Jaw Side
3.5. Osteoclastogenesis Increases in All OTM Phases
4. Discussion
5. Conclusions
Author Contributions
Funding
Institutional Review Board Statement
Informed Consent Statement
Data Availability Statement
Acknowledgments
Conflicts of Interest
References
- Nagata, M.; Chu, A.K.Y.; Ono, N.; Welch, J.D.; Ono, W. Single-Cell Transcriptomic Analysis Reveals Developmental Relationships and Specific Markers of Mouse Periodontium Cellular Subsets. Front. Dent. Med. 2021, 2, 679937. [Google Scholar] [CrossRef] [PubMed]
- Aveic, S.; Craveiro, R.B.; Wolf, M.; Fischer, H. Current Trends in In Vitro Modeling to Mimic Cellular Crosstalk in Periodontal Tissue. Adv. Healthc Mater. 2021, 10, e2001269. [Google Scholar] [CrossRef]
- D’Apuzzo, F.; Cappabianca, S.; Ciavarella, D.; Monsurrò, A.; Silvestrini-Biavati, A.; Perillo, L. Biomarkers of Periodontal Tissue Remodeling during Orthodontic Tooth Movement in Mice and Men: Overview and Clinical Relevance. Sci. World J. 2013, 2013, 105873. [Google Scholar] [CrossRef]
- Krishnan, V.; Davidovitch, Z. Cellular, Molecular, and Tissue-Level Reactions to Orthodontic Force. Am. J. Orthod. Dentofac. Orthop. 2006, 129, 469.e1–469.e32. [Google Scholar] [CrossRef] [PubMed]
- Garlet, T.P.; Coelho, U.; Silva, J.S.; Garlet, G.P. Cytokine Expression Pattern in Compression and Tension Sides of the Periodontal Ligament during Orthodontic Tooth Movement in Humans. Eur. J. Oral. Sci. 2007, 115, 355–362. [Google Scholar] [CrossRef]
- Roth, C.E.; Craveiro, R.B.; Niederau, C.; Malyaran, H.; Neuss, S.; Jankowski, J.; Wolf, M. Mechanical Compression by Simulating Orthodontic Tooth Movement in an In Vitro Model Modulates Phosphorylation of AKT and MAPKs via TLR4 in Human Periodontal Ligament Cells. Int. J. Mol. Sci. 2022, 23, 8062. [Google Scholar] [CrossRef] [PubMed]
- Meikle, M.C. The Tissue, Cellular, and Molecular Regulation of Orthodontic Tooth Movement: 100 Years after Carl Sandstedt. Eur. J. Orthod. 2006, 28, 221–240. [Google Scholar] [CrossRef]
- Li, M.; Zhang, C.; Yang, Y. Effects of Mechanical Forces on Osteogenesis and Osteoclastogenesis in Human Periodontal Ligament Fibroblasts. Bone Jt. Res. 2019, 8, 19–31. [Google Scholar] [CrossRef]
- Linkous, E.R.; Trojan, T.M.; Harris, E.F. External Apical Root Resorption and Vectors of Orthodontic Tooth Movement. Am. J. Orthod. Dentofac. Orthop. 2020, 158, 700–709. [Google Scholar] [CrossRef]
- Årtun, J.; van ’t Hullenaar, R.; Doppel, D.; Kuijpers-Jagtman, A.M. Identification of Orthodontic Patients at Risk of Severe Apical Root Resorption. Am. J. Orthod. Dentofac. Orthop. 2009, 135, 448–455. [Google Scholar] [CrossRef]
- Jager, F.; Mah, J.K.; Bumann, A. Peridental Bone Changes after Orthodontic Tooth Movement with Fixed Appliances: A Cone-Beam Computed Tomographic Study. Angle Orthod. 2017, 87, 672–680. [Google Scholar] [CrossRef] [PubMed]
- Li, Y.; Jacox, L.A.; Little, S.H.; Ko, C.C. Orthodontic Tooth Movement: The Biology and Clinical Implications. Kaohsiung J. Med. Sci. 2018, 34, 207–214. [Google Scholar] [CrossRef] [PubMed]
- Krishnan, V.; Davidovitch, Z. The Effect of Drugs on Orthodontic Tooth Movement. Orthod Craniofac. Res. 2006, 9, 163–171. [Google Scholar] [CrossRef]
- Park, P.S.U.; Raynor, W.Y.; Sun, Y.; Werner, T.J.; Rajapakse, C.S.; Alavi, A. 18F-Sodium Fluoride Pet as a Diagnostic Modality for Metabolic, Autoimmune, and Osteogenic Bone Disorders: Cellular Mechanisms and Clinical Applications. Int. J. Mol. Sci. 2021, 22, 6504. [Google Scholar] [CrossRef] [PubMed]
- Jadvar, H.; Desai, B.; Conti, P.S. Sodium 18F-Fluoride PET/CT of Bone, Joint, and Other Disorders. Semin. Nucl. Med. 2015, 45, 58–65. [Google Scholar] [CrossRef]
- Blake, G.M.; Puri, T.; Siddique, M.; Frost, M.L.; Moore, A.E.B.; Fogelman, I. Site Specific Measurements of Bone Formation Using [18F] Sodium Fluoride PET/CT. Quant. Imaging Med. Surg. 2018, 8, 47–59. [Google Scholar] [CrossRef] [PubMed]
- Florea, A.; Morgenroth, A.; Bucerius, J.; Schurgers, L.J.; Mottaghy, F.M. Locking and Loading the Bullet against Micro-Calcification. Eur. J. Prev. Cardiol. 2021, 28, 1370–1375. [Google Scholar] [CrossRef]
- Irkle, A.; Vesey, A.T.; Lewis, D.Y.; Skepper, J.N.; Bird, J.L.E.; Dweck, M.R.; Joshi, F.R.; Gallagher, F.A.; Warburton, E.A.; Bennett, M.R.; et al. Identifying Active Vascular Microcalcification by 18F-Sodium Fluoride Positron Emission Tomography. Nat. Commun. 2015, 6, 1–11. [Google Scholar] [CrossRef] [PubMed]
- Li, X.; Heber, D.; Leike, T.; Beitzke, D.; Lu, X.; Zhang, X.; Wei, Y.; Mitterhauser, M.; Wadsak, W.; Kropf, S.; et al. [68Ga]Pentixafor-PET/MRI for the Detection of Chemokine Receptor 4 Expression in Atherosclerotic Plaques. Eur. J. Nucl. Med. Mol. Imaging 2018, 45, 558–566. [Google Scholar] [CrossRef]
- Bouter, C.; Meller, B.; Sahlmann, C.O.; Staab, W.; Wester, H.J.; Kropf, S.; Meller, J. 68 Ga-Pentixafor PET/CT Imaging of Chemokine Receptor CXCR4 in Chronic Infection of the Bone: First Insights. J. Nucl. Med. 2018, 59, 320–326. [Google Scholar] [CrossRef]
- Li, X.; Yu, W.; Wollenweber, T.; Lu, X.; Wei, Y.; Beitzke, D.; Wadsak, W.; Kropf, S.; Wester, H.J.; Haug, A.R.; et al. [68Ga]Pentixafor PET/MR Imaging of Chemokine Receptor 4 Expression in the Human Carotid Artery. Eur. J. Nucl. Med. Mol. Imaging 2019, 46, 1616–1625. [Google Scholar] [CrossRef] [PubMed]
- Ong, C.K.L.; Walsh, L.J.; Harbrow, D.; Taverne, A.A.R.; Symons, A.L. Orthodontic Tooth Movement in the Prednisolone-Treated Rat. Angle Orthod. 2000, 70, 118–125. [Google Scholar] [PubMed]
- Zhang, D.; Goetz, W.; Braumann, B.; Bourauel, C.; Jaeger, A. Effect of Soluble Receptors to Interleukin-1 and Tumor Necrosis Factor Alpha on Experimentally Induced Root Resorption in Rats. J. Periodontal. Res. 2003, 38, 324–332. [Google Scholar] [CrossRef] [PubMed]
- Jäger, A.; Zhang, D.; Kawarizadeh, A.; Tolba, R.; Braumann, B.; Lossdörfer, S.; Götz, W. Soluble Cytokine Receptor Treatment in Experimental Orthodontic Tooth Movement in the Rat. Eur. J. Orthod. 2005, 27, 1–11. [Google Scholar] [CrossRef] [PubMed]
- Wolf, M.; Ao, M.; Chavez, M.B.; Kolli, T.N.; Thumbigere-Math, V.; Becker, K.; Chu, E.Y.; Jäger, A.; Somerman, M.J.; Foster, B.L. Reduced Orthodontic Tooth Movement in Enpp1 Mutant Mice with Hypercementosis. J. Dent. Res. 2018, 97, 937–945. [Google Scholar] [CrossRef]
- Foster, B.L.; Kuss, P.; Yadav, M.C.; Kolli, T.N.; Narisawa, S.; Lukashova, L.; Cory, E.; Sah, R.L.; Somerman, M.J.; Millán, J.L. Conditional Alpl Ablation Phenocopies Dental Defects of Hypophosphatasia. J. Dent. Res. 2017, 96, 81–91. [Google Scholar] [CrossRef]
- Long, H.; Pyakurel, U.; Wang, Y.; Liao, L.; Zhou, Y.; Lai, W. Interventions for Accelerating Orthodontic Tooth Movement: A Systematic Review. Angle Orthod. 2013, 83, 164–171. [Google Scholar] [CrossRef]
- Fink, D.F.; Smith, R.J. The Duration of Orthodontic Treatment. Am. J. Orthod. Dentofac. Orthop. 1992, 102, 45–51. [Google Scholar] [CrossRef]
- Klein, Y.; Fleissig, O.; Polak, D.; Barenholz, Y.; Mandelboim, O.; Chaushu, S. Immunorthodontics: In Vivo Gene Expression of Orthodontic Tooth Movement. Sci. Rep. 2020, 10, 8172. [Google Scholar] [CrossRef]
- Tanaka, M.; Miyazawa, K.; Tabuchi, M.; Yabumoto, T.; Kadota, M.; Yoshizako, M.; Yamane, C.; Kawatani, M.; Osada, H.; Maeda, H.; et al. Effect of Reveromycin a on Experimental Tooth Movement in OPG−/− Mice. J. Dent. Res. 2012, 91, 771–776. [Google Scholar] [CrossRef]
- Kako, S.; Tabuchi, M.; Miyazawa, K.; Tanaka, M.; Minamoto, C.; Asano, Y.; Kimura, F.; Aoki, Y.; Sato, T.; Kawatani, M.; et al. Does Local Injection of Reveromycin A Inhibit Tooth Movement without Causing Systemic Side Effects? Eur. J. Orthod. 2021, 43, 658–664. [Google Scholar] [CrossRef] [PubMed]
- Kinjo, R.; Kitaura, H.; Ogawa, S.; Ohori, F.; Noguchi, T.; Marahleh, A.; Nara, Y.; Pramusita, A.; Ma, J.; Kanou, K.; et al. Micro-Osteoperforations Induce TNF-α Expression and Accelerate Orthodontic Tooth Movement via TNF-α-Responsive Stromal Cells. Int. J. Mol. Sci. 2022, 23, 2968. [Google Scholar] [CrossRef] [PubMed]
- Fujimura, Y.; Kitaura, H.; Yoshimatsu, M.; Eguchi, T.; Kohara, H.; Morita, Y.; Yoshida, N. Influence of Bisphosphonates on Orthodontic Tooth Movement in Mice. Eur. J. Orthod. 2009, 31, 572–577. [Google Scholar] [CrossRef] [PubMed]
- Yoshimatsu, M.; Shibata, Y.; Kitaura, H.; Chang, X.; Moriishi, T.; Hashimoto, F.; Yoshida, N.; Yamaguchi, A. Experimental Model of Tooth Movement by Orthodontic Force in Mice and Its Application to Tumor Necrosis Factor Receptor-Deficient Mice. J. Bone Miner. Metab 2006, 24, 20–27. [Google Scholar] [CrossRef] [PubMed]
- Kirschneck, C.; Bauer, M.; Gubernator, J.; Proff, P.; Schröder, A. Comparative Assessment of Mouse Models for Experimental Orthodontic Tooth Movement. Sci. Rep. 2020, 10, 12154. [Google Scholar] [CrossRef]
- Haug, A.R.; Leisser, A.; Wadsak, W.; Mitterhauser, M.; Pfaff, S.; Kropf, S.; Wester, H.J.; Hacker, M.; Hartenbach, M.; Kiesewetter-Wiederkehr, B.; et al. Prospective Non-Invasive Evaluation of CXCR4 Expression for the Diagnosis of MALT Lymphoma Using [68Ga]Ga-Pentixafor-PET/MRI. Theranostics 2019, 9, 3653–3658. [Google Scholar] [CrossRef]
- Derlin, T.; Sedding, D.G.; Dutzmann, J.; Haghikia, A.; König, T.; Napp, L.C.; Schütze, C.; Owsianski-Hille, N.; Wester, H.J.; Kropf, S.; et al. Imaging of Chemokine Receptor CXCR4 Expression in Culprit and Nonculprit Coronary Atherosclerotic Plaque Using Motion-Corrected [68Ga]Pentixafor PET/CT. Eur. J. Nucl. Med. Mol. Imaging 2018, 45, 1934–1944. [Google Scholar] [CrossRef]
- Vag, T.; Steiger, K.; Rossmann, A.; Keller, U.; Noske, A.; Herhaus, P.; Ettl, J.; Niemeyer, M.; Wester, H.J.; Schwaiger, M. PET Imaging of Chemokine Receptor CXCR4 in Patients with Primary and Recurrent Breast Carcinoma. EJNMMI Res. 2018, 8, 90. [Google Scholar] [CrossRef]
- Derlin, T.; Jaeger, B.; Jonigk, D.; Apel, R.M.; Freise, J.; Shin, H.O.; Weiberg, D.; Warnecke, G.; Ross, T.L.; Wester, H.J.; et al. Clinical Molecular Imaging of Pulmonary CXCR4 Expression to Predict Outcome of Pirfenidone Treatment in Idiopathic Pulmonary Fibrosis. Chest 2021, 159, 1094–1106. [Google Scholar] [CrossRef]
- Herrmann, K.; Schottelius, M.; Lapa, C.; Osl, T.; Poschenrieder, A.; Hänscheid, H.; Lückerath, K.; Schreder, M.; Bluemel, C.; Knott, M.; et al. First-in-Human Experience of CXCR4-Directed Endoradiotherapy with 177Lu-and 90Y-Labeled Pentixather in Advanced-Stage Multiple Myeloma with Extensive Intra-and Extramedullary Disease. J. Nucl. Med. 2016, 57, 248–251. [Google Scholar] [CrossRef]
- Azad, G.K.; Taylor, B.P.; Green, A.; Sandri, I.; Swampillai, A.; Harries, M.; Kristeleit, H.; Mansi, J.; Goh, V.; Cook, G.J.R. Prediction of Therapy Response in Bone-Predominant Metastatic Breast Cancer: Comparison of [18 F] Fluorodeoxyglucose and [18 F]-Fluoride PET/CT with Whole-Body MRI with Diffusion-Weighted Imaging. Eur. J. Nucl. Med. Mol. Imaging 2019, 46, 821–830. [Google Scholar] [CrossRef] [PubMed]
- Bastawrous, S.; Bhargava, P.; Behnia, F.; Djang, D.S.W.; Haseley, D.R. Newer PET Application with an Old Tracer: Role of 18 F-NaF Skeletal PET/CT in Oncologic Practice1. RadioGraphics 2014, 34, 1295–1316. [Google Scholar] [CrossRef] [PubMed]
- Ongprakobkul, N.; Ishida, Y.; Hatano-Sato, K.; Li, K.; Petdachai, S.; Usumi-Fujita, R.; Hosomichi, J.; Mahatumarat, K.; Ono, T. Effects of Local vs Systemic Administration of CXCR4 Inhibitor AMD3100 on Orthodontic Tooth Movement in Rats. Am. J. Orthod Dentofac. Orthop. 2022, 162, 182–192. [Google Scholar] [CrossRef]
- Shahnazari, M.; Chu, V.; Wronski, T.J.; Nissenson, R.A. Halloran BP CXCL12/CXCR4 Signaling in the Osteoblast Regulates the Mesenchymal Stem Cell and Osteoclast Lineage Populations. FASEB J. 2013, 27, 3505–3513. [Google Scholar] [CrossRef] [PubMed]
- Xing, Q.; de Vos, P.; Faas, M.M.; Ye, Q.; Ren, Y. LPS Promotes Pre-Osteoclast Activity by up-Regulating CXCR4 via TLR-4. J. Dent. Res. 2011, 90, 157–162. [Google Scholar] [CrossRef] [PubMed]
- Even-Sapir, E.; Mishani, E.; Flusser, G.; Metser, U. 18F-Fluoride Positron Emission Tomography and Positron Emission Tomography/Computed Tomography. Semin. Nucl. Med. 2007, 37, 462–469. [Google Scholar] [CrossRef]
- Kang, H.; Lee, M.J.; Park, S.J.; Lee, M.S. Lipopolysaccharide-Preconditioned Periodontal Ligament Stem Cells Induce M1 Polarization of Macrophages through Extracellular Vesicles. Int. J. Mol. Sci. 2018, 19, 3843. [Google Scholar] [CrossRef]
- Sokos, D.; Everts, V.; de Vries, T.J. Role of Periodontal Ligament Fibroblasts in Osteoclastogenesis: A Review. J. Periodontal. Res. 2015, 50, 152–159. [Google Scholar] [CrossRef]
- Wolf, M.; Lossdörfer, S.; Craveiro, R.; Jäger, A. High-Mobility Group Box Protein-1 Released by Human-Periodontal Ligament Cells Modulates Macrophage Migration and Activity in Vitro. Innate Immun. 2014, 20, 688–696. [Google Scholar] [CrossRef]
- Wolf, M.; Lossdörfer, S.; Craveiro, R.; Götz, W.; Jäger, A. Regulation of Macrophage Migration and Activity by High-Mobility Group Box 1 Protein Released from Periodontal Ligament Cells during Orthodontically Induced Periodontal Repair: An in Vitro and in Vivo Experimental Study. J. Orofac. Orthop. 2013, 74, 420–433. [Google Scholar] [CrossRef]
- Wolf, M.; Lossdörfer, S.; Römer, P.; Bastos Craveiro, R.; Deschner, J.; Jäger, A. Anabolic Properties of High Mobility Group Box Protein-1 in Human Periodontal Ligament Cells in Vitro. Mediat. Inflamm. 2014, 2014, 347585. [Google Scholar] [CrossRef]
- Liu, J.; Chen, B.; Bao, J.; Zhang, Y.; Lei, L.; Yan, F. Macrophage Polarization in Periodontal Ligament Stem Cells Enhanced Periodontal Regeneration. Stem Cell Res. 2019, 10, 320. [Google Scholar] [CrossRef] [PubMed]
- He, D.; Liu, F.; Cui, S.; Jiang, N.; Yu, H.; Zhou, Y.; Liu, Y.; Kou, X. Mechanical Load-Induced H2S Production by Periodontal Ligament Stem Cells Activates M1 Macrophages to Promote Bone Remodeling and Tooth Movement via STAT1. Stem Cell Res. 2020, 11, 112. [Google Scholar] [CrossRef] [PubMed]
- Liu, J.; Wang, H.; Zhang, L.; Li, X.; Ding, X.; Ding, G.; Wei, F. Periodontal Ligament Stem Cells Promote Polarization of M2 Macrophages. J. Leukoc Biol. 2022, 111, 1185–1197. [Google Scholar] [CrossRef]
- Zhao, M.; Ma, Q.; Zhao, Z.; Guan, X.; Bai, Y. Periodontal Ligament Fibroblast-Derived Exosomes Induced by Compressive Force Promote Macrophage M1 Polarization via Yes-Associated Protein. Arch. Oral Biol. 2021, 132, 105263. [Google Scholar] [CrossRef] [PubMed]
- Schröder, A.; Käppler, P.; Nazet, U.; Jantsch, J.; Proff, P.; Cieplik, F.; Deschner, J.; Kirschneck, C. Effects of Compressive and Tensile Strain on Macrophages during Simulated Orthodontic Tooth Movement. Mediat. Inflamm. 2020, 2020, 2814015. [Google Scholar] [CrossRef]





Publisher’s Note: MDPI stays neutral with regard to jurisdictional claims in published maps and institutional affiliations. |
© 2022 by the authors. Licensee MDPI, Basel, Switzerland. This article is an open access article distributed under the terms and conditions of the Creative Commons Attribution (CC BY) license (https://creativecommons.org/licenses/by/4.0/).
Share and Cite
Craveiro, R.B.; Florea, A.; Niederau, C.; Brenji, S.; Kiessling, F.; Sahnoun, S.E.M.; Morgenroth, A.; Mottaghy, F.M.; Wolf, M. [68Ga]Ga-Pentixafor and Sodium [18F]Fluoride PET Can Non-Invasively Identify and Monitor the Dynamics of Orthodontic Tooth Movement in Mouse Model. Cells 2022, 11, 2949. https://doi.org/10.3390/cells11192949
Craveiro RB, Florea A, Niederau C, Brenji S, Kiessling F, Sahnoun SEM, Morgenroth A, Mottaghy FM, Wolf M. [68Ga]Ga-Pentixafor and Sodium [18F]Fluoride PET Can Non-Invasively Identify and Monitor the Dynamics of Orthodontic Tooth Movement in Mouse Model. Cells. 2022; 11(19):2949. https://doi.org/10.3390/cells11192949
Chicago/Turabian StyleCraveiro, Rogerio B., Alexandru Florea, Christian Niederau, Sihem Brenji, Fabian Kiessling, Sabri E. M. Sahnoun, Agnieszka Morgenroth, Felix M. Mottaghy, and Michael Wolf. 2022. "[68Ga]Ga-Pentixafor and Sodium [18F]Fluoride PET Can Non-Invasively Identify and Monitor the Dynamics of Orthodontic Tooth Movement in Mouse Model" Cells 11, no. 19: 2949. https://doi.org/10.3390/cells11192949
APA StyleCraveiro, R. B., Florea, A., Niederau, C., Brenji, S., Kiessling, F., Sahnoun, S. E. M., Morgenroth, A., Mottaghy, F. M., & Wolf, M. (2022). [68Ga]Ga-Pentixafor and Sodium [18F]Fluoride PET Can Non-Invasively Identify and Monitor the Dynamics of Orthodontic Tooth Movement in Mouse Model. Cells, 11(19), 2949. https://doi.org/10.3390/cells11192949

