Abstract
Articular cartilage defects represent an inciting factor for future osteoarthritis (OA) and degenerative joint disease progression. Despite multiple clinically available therapies that succeed in providing short term pain reduction and restoration of limited mobility, current treatments do not reliably regenerate native hyaline cartilage or halt cartilage degeneration at these defect sites. Novel therapeutics aimed at addressing limitations of current clinical cartilage regeneration therapies increasingly focus on allogeneic cells, specifically mesenchymal stem cells (MSCs), as potent, banked, and available cell sources that express chondrogenic lineage commitment capabilities. Innovative tissue engineering approaches employing allogeneic MSCs aim to develop three-dimensional (3D), chondrogenically differentiated constructs for direct and immediate replacement of hyaline cartilage, improve local site tissue integration, and optimize treatment outcomes. Among emerging tissue engineering technologies, advancements in cell sheet tissue engineering offer promising capabilities for achieving both in vitro hyaline-like differentiation and effective transplantation, based on controlled 3D cellular interactions and retained cellular adhesion molecules. This review focuses on 3D MSC-based tissue engineering approaches for fabricating “ready-to-use” hyaline-like cartilage constructs for future rapid in vivo regenerative cartilage therapies. We highlight current approaches and future directions regarding development of MSC-derived cartilage therapies, emphasizing cell sheet tissue engineering, with specific focus on regulating 3D cellular interactions for controlled chondrogenic differentiation and post-differentiation transplantation capabilities.
1. Introduction
A plethora of therapies are clinically available for treating articular cartilage defects, all seeking to improve outcomes and mitigate osteoarthritis (OA) in the global population [1,2,3,4]. Advanced approaches employ cells prepared in vitro to increase control of cell populations, phenotypes, and dosing, with the goal of achieving more reliable hyaline cartilage regeneration [5,6]. Mesenchymal stem cells (MSCs) have been thoroughly researched as cell sources for cartilage tissue engineering due to accessibility, extended in vitro expansion capabilities, and chondrogenic lineage capacity [7,8,9,10]. However, MSC therapies are often limited by poor survival, engraftment, and control of MSC chondrogenic differentiation fate in vivo [7,11]. Therefore, one unique method of advanced cartilage regeneration aims to prepare MSC-derived cartilage constructs that express hyaline-like characteristics at the time of transplantation with the goal of more rapidly and reliably replacing damaged hyaline articular cartilage [12].
To prepare these MSC-derived pre-differentiated cartilage therapies, design considerations must include both the extent and stability of in vitro chondrogenesis and in vivo transplantation capabilities to ensure robust and lasting hyaline regeneration. MSC chondrogenic potential is known to be increased in three-dimensional (3D) structures [13,14,15,16]; therefore, development of tailored 3D constructs that promote transition of cells toward stable hyaline-like cartilage in vitro is crucial for success. Three-dimensional structures influence chondrogenesis in part by increasing 3D cellular interactions compared to two dimensional (2D) constructs [17,18]. As a result, developing a 3D platform that optimizes and controls these cellular interactions should subsequently improve the final construct’s hyaline-chondral characteristics.
Even when cells are successfully differentiated, delivery and retention in the joint represent two major translational hurdles. Traditional suspended cell injections for cartilage regeneration demonstrate no homing ability if injected intravenously and poor engraftment and cellular retention at injured or diseased sites even when administered directly to the synovial space, offering only transient pain reduction [8,19,20]. Recent data show only ~3% cellular retention in the knee joint a few days post-injection with very few cells attached to the cartilage surface [8]. Obvious limitations in cell delivery result in inconsistent and suboptimal regeneration in vivo. Therefore, many current cell therapies utilize support materials to maintain cellular localization at the injury or defect sites [21,22]. Unfortunately, these additional support materials present added biocompatibility concerns [23]. As a result, MSC cartilage tissue engineering research has increasingly trended toward developing scaffold-free platforms that not only offer superior in vitro chondrogenic differentiation and optimized control 3D cellular interactions, but also support direct, unassisted delivery for robust engraftment with improved surgical versatility. Of these approaches, cell sheet tissue engineering specifically presents a unique scaffold-free platform that retains endogenous 3D cellular interactions and tissue-like organization for promoting stable in vitro hyaline-like chondrogenesis, while preserving intact adhesion molecules along the transplantation surface for direct in vivo transplantation [12,24,25]. The goal of this review is to discuss current and future directions in the development of tissue-engineered 3D MSC-derived hyaline cartilage, emphasizing cell sheet tissue engineering, with specific focus on controlled chondrogenic differentiation through 3D cellular interactions and post-differentiation engraftment capabilities.
2. Hyaline Cartilage Structure and Function
Hyaline articular cartilage is an avascular and aneural tissue that covers articulating surfaces, such as the knee, and has minimal intrinsic ability to regenerate without intervention. Hyaline cartilage structure and function (Figure 1) have been thoroughly reviewed in recent literature [9,26,27,28,29,30]. Briefly, it has a unique architecture and biochemical composition, comprising a sole cell type, chondrocytes, and their deposited extracellular matrix (ECM). Hyaline cartilage is characterized by predominantly rounded chondrocytes, organized in lacunae, at low cellular density, and the ECM deposited by these chondrocytes is rich in collagens type II, type IX, and type XI in addition to aggrecan, hyaluronic acid, glycosaminoglycans (GAGs), and other proteoglycans. The structure and relationship between the type II collagen and proteoglycans play a crucial role in providing hyaline cartilage’s shock absorbing functionality through releasing and absorbing water in response to joint loading. Distinct from hyaline cartilage, fibrocartilage, a common clinical outcome from chondral defect therapies, is characterized by dense-packed, aligned collagen fibrils (rich in type I relative to type II collagen) lacking robust dynamic compression capabilities of hyaline cartilage [27,31,32]. To successfully develop hyaline cartilage replacement therapies, tissue-engineered cartilage constructs must satisfy key design specifications relative to native hyaline cartilage: be biocompatible, comprise viable rounded chondrocytes in lacunae structures, contain ECM rich in type II collagen, aggrecan, and sulfated proteoglycans and lacking type I and X collagens and MMP13, be able to integrate with the native cartilage, and be able to survive repeated loading within the knee joint.
Figure 1.
Hyaline cartilage structure and biochemical composition. Schematic representation of hyaline cartilage zonal structure and variable cellular distribution, morphology, collagen organization, and biochemical composition. Created with BioRender.com (accessed on 1 March 2021).
3. Current Clinical Cartilage Regeneration Therapies
Articular cartilage defects are increasingly responsible for morbidity and compromised quality of life in the global population and remain a significant precursor to osteoarthritis (OA) [28,33,34,35]. Based on a compelling need to regenerate durable cartilage in these defects, the past several decades witnessed numerous new therapeutic strategies designed to restore functional hyaline cartilage, increase patient quality of life, and reduce degenerative joint disease progression [21,28,36,37]. A multitude of clinical therapeutic options are currently available for treating chondral and osteochondral articular cartilage defects, thoroughly summarized in recent reviews [1,2,3,4]. These therapies include arthroscopic debridement, osteochondral allograft transplant (OCA), osteochondral autograft transplantation (OAT), mosaicplasty, and marrow stimulation techniques, among others [1,2,3,4]. Optimal therapy selection depends on numerous factors such as grade and location of the defect, patient age, and desired activity level.
For most smaller focal chondral defects, marrow stimulation, such as microfracture, is often the first-line treatment option [1,2,38]. Microfracture involves mechanical stimulation of the subchondral bone to repopulate the defect with autologous bone marrow that contains populations of regenerative stem cells [39]. Microfracture has shown clinical success in filling small focal chondral defects of the knee (<3.6 cm2) and reducing pain short-term [40,41]. However, long-term follow-up data show that regenerated cartilage tissue is predominantly fibrocartilage with subsequent higher failure after two to five years [40,42,43]. Limitations of microfracture are often attributed to the low relative population of endogenous multipotent stem cells recruited to blood clots that fill the defect post-surgery, hindering the therapy’s regenerative capacity [44].
Advanced approaches to regenerate native cartilage in chondral defects aim to specifically prepare the patients’ own chondral cells (autologous chondrocytes from cartilage biopsy) ex vivo to support greater control of cell culture population, phenotype, and dosing upon re-implantation, with the goal of more reliable hyaline cartilage regeneration and enduring function in vivo. Autologous chondrocytes are the primary cell source used in these clinical cell-based cartilage regeneration therapies because chondrocytes are the primary cell source in articular cartilage [28,29]. Significantly, autologous cell sourcing presents few immunological hurdles based on the patient being both the donor and recipient of the ex vivo-processed cells. The first cell-based approach to treat articular cartilage defects—autologous chondrocyte implantation (ACI)—was FDA-approved in 1997 [45] with several new “generations” of ACI reported recently [1,28,44,46,47]. ACI harvests autologous chondrocytes from a healthy, low load-bearing area of the patient’s cartilage, followed by cell expansion ex vivo, and then staged reimplantation of the expanded cells back to the defect as suspended cell injections under a sutured periosteal flap [22]. Unlike microfracture, ACI provides more reliable and improved pain reduction and mobility outcomes at 5-year follow-ups [48,49]. Further development of this therapy led to the use of porcine collagen support membranes for matrix-supported autologous cultured chondrocyte therapy (MACI) [22], FDA-approved in 2016 [50]. The collagen support membrane is intended to preserve chondrocyte characteristics during culture and retain cells in the defect site during transplantation. MACI has shown some in vivo therapeutic benefit in treating chondral defects [22,49,51,52]. Short-term 2-year clinical follow-ups reported 75% of tissue filling the defects was hyaline-like [53], and long-term 15-year follow-ups showed increases in Lysholm [54], International Knee Documentation Committee (IKDC) [55], and Tegner activity [56] scores compared to preoperative baselines [57]. However, superiority of MACI relative to ACI remains controversial. In randomized trials with 2-year follow-ups, no significant improvements (IKDC and Tegner activity scores) were noted for MACI compared to ACI, with ACI reporting slightly better International Cartilage Repair Society (ICRS) [58] and Lysholm functionality scores [1,3,22,59,60]. Few additional cell-based therapies have gained clinical approval in recent decades around the world, but ACI and MACI remain the only cell and tissue engineering cartilage therapies approved in the U.S. (Table 1). Hundreds more are currently in the clinical trial pipeline [1,21,61] (www.clinicaltrials.gov; accessed on 1 March 2021).
Table 1.
Clinically approved cell and tissue engineered cartilage regeneration therapies.
4. Limitations of Current Autologous Cell-Based Cartilage Regeneration Therapies
Despite clinical availability of several generations of these autologous cell-based cartilage regeneration therapies, clinical outcomes remain heterogeneous and unconvincing, and difficulties persist in enabling broader patient population applications [1,4,43,76]. One primary limitation of these therapies is reliance on autologous chondrocyte cell sourcing. Chondrocytes are known to dedifferentiate during in vitro culture and expansion, transitioning during preparation from their mature phenotype to fibroblast-like phenotypes, and also exhibit limited capacity for in vitro expansion before becoming senescent [1,2]. Autologous sourcing of these chondrocytes also introduces patient burden through multiple surgeries, donor site morbidity, and extended time between donation and treatment. Additionally, cell quality and quantity from autologous sources are donor-dependent, increasing procedural cost and complexity [6,25,45,77,78], and making it difficult, if not impossible, to predict, control, and standardize therapeutic potency [19,79]. Due to these limitations, further efforts focus on selecting improved, appropriate cell sources for cartilage tissue engineering and regenerative purposes. Greater consistency and control over cellular characteristics are needed to ensure reliable chondrogenic construct production and understand implant performance. Moreover, these sources should ideally be broadly applicable and efficacious for treating a wide range of patient populations [4,19,48,80,81].
5. Allogeneic Mesenchymal Stem Cells as Promising Cell Sources for Cartilage Applications
Developing tissue-engineered constructs for articular cartilage focal defect therapies increasingly focuses on transitioning from non-standard, heterogeneous autologous to standardized allogeneic cell sourcing [21,79,82]. In contrast to autologous cell sourcing issues, allogeneic cells offer greater control over cell quality and characteristics, improved accessibility, and potentially broader use [5,6,83]. Allogeneic sourcing also permits greater in vitro expansion capacity, and cells with various profiles and characteristics can be profiled, selected, validated, and banked, enabling “off-the-shelf” products [5,6,83]. Concerns regarding allogeneic cell immune rejection remain. However, with a long history of osteochondral allografting [38,84] and new insights into immune-matching [85,86], paired with reported immunomodulatory characteristics of certain allogeneic cell sources [87,88], translational prospects for human allogeneic cells are seemingly more feasible.
Advanced cell-based therapies also seek to replace chondrocytes with MSCs as the chondrogenic cell source. Chondrocyte sourcing is tissue-specific, whereas MSCs are adult progenitor cells isolated from a variety of tissues (e.g., bone marrow, adipose, dental pulp, umbilical cord, etc.), offering a widely accessible cell source [14,15,87,89]. Additionally, chondrocytes are limited by de-differentiation during culture and passaging, while MSCs exhibit strong capacity for in vitro expansion while maintaining their identity and unique capacity for in vitro self-renewal [11,16,82,88,90]. Although not standardized, MSC identity is generally confirmed via several accepted surface markers: CD90+, CD44+, CD73+, CD105+, CD11−, CD34−, CD45− [91,92]. When selecting appropriate MSC sources it is important to account and test for reduced in vitro self-renewal and differentiation capacities induced by extensive passaging, occurring at different rates for different MSCs [11,83,93,94,95]. Specific to chondral regeneration, MSCs have utility for fabricating cartilage in vitro based on their multilineage differentiation potential, including the capacity to transition to chondrocytes [15,16,87,88]. Many reports have described undifferentiated MSC therapies exhibiting some therapeutic efficacy in delaying cartilage degeneration and reducing pain [8,19,96,97]. However, in vitro and in vivo MSC differentiation fate and maintenance are still not easily controlled, limiting these therapies’ capabilities to induce lasting cartilage regeneration [7,20,98]. Advanced approaches in MSC-based cartilage regeneration aim to employ allogeneic MSC sources and exploit innate MSC chondrogenic potential to better control their differentiation in vitro, preparing hyaline-like transplantable constructs for rapid structural cartilage regeneration through direct tissue replacement in vivo, applicable to a broader range of patients with a more consistent cell-based product.
6. Three-Dimensional Culture for MSC Chondrogenesis
MSC-derived hyaline-like cartilage constructs prepared in vitro actively exploit recent advances in 3D culture systems (Figure 2).
Figure 2.
Categories of three-dimensional culture platforms for in vitro mesenchymal stem cell (MSC) differentiation. Cellular interactions (yellow linkers) and surface interface adhesion molecules (green markers) among the constructs varies in response to biomaterials and construct cellular organization. Created with BioRender.com (accessed on 1 March 2021).
MSC multipotency enables directed cell differentiation to hyaline-like chondrocyte phenotypes in vitro within 3D cultures both with and without supporting biomaterials [14,15,16,87]. Successful MSC chondrogenesis is generally verified by detecting positive expression of hyaline cartilage markers within the cells and their deposited ECM (e.g., Sox9, sulfated proteoglycans, type II collagen, and aggrecan) [7,16,99,100]. A persisting limitation in MSC chondrogenesis is the expression of transient hyaline-like cartilage phenotypes with the inevitable and undesired transition toward hypertrophic or fibrocartilage phenotypes [7,8,9,44]. Therefore, hyaline differentiation must also exhibit persistent negative marker expression of type X and type 1 collagens and MMP13 [7,16,99,100]. Researchers have long noted that 3D culture conditions and 3D cellular interactions are essential for inducing and maintaining this stable hyaline-like chondrogenesis [7,14,18,99,101,102,103,104]. Standard 2D culture conditions limit chondrogenesis because they are unable to promote requisite 3D cellular interactions and structures associated with chondrogenic condensation and further maturation [17,105,106]. Unlike traditional adherent 2D cell culture methods, 3D culture platforms allow cells to assume rounded morphologies associated with mature chondrocytes [13,107,108] and promote 3D cellular interactions, mimicking early condensation stages during cartilage development and playing an important role in stabilizing terminally differentiated cartilage [13,99,101].
In addition to three-dimensionality, appropriate culture conditions are critical for inducing MSC chondrogenesis. Cartilage tissue’s innate avascularity results in a naturally hypoxic environment that directly impacts chondrogenic development and cellular functionality [27,109,110]. Likewise, experimentally recapitulating this low oxygen environment in vitro, via hypoxic culture conditions (1–7% O2), is essential for eliciting hyaline-like ECM deposition [27,111,112,113,114]. In vitro hypoxic culture specifically upregulates type II collagen and aggrecan synthesis for both chondrocytes and MSCs [27,111,114]. As such, in vitro MSC chondrogenic differentiation generally utilizes 3D cultures, chondrogenic induction media, and humidified hypoxic culture conditions [7,115].
The most common method for assessing MSC chondrogenic potential in vitro employs spheroids [116], usually as pellet or micromass cultures [14,15,16]. Beyond their simplicity of fabrication, these cultures allow cells to self-aggregate and assume rounded morphologies while establishing 3D cellular interactions necessary for chondrogenesis [14,15,16,117,118]. Although pellet cultures allow cells to assume rounded morphologies, these cultures regularly produce heterogenous tissue in vitro that does not mimic native cartilage in structure, phenotype, or function. Such heterogeneity is often attributed to media and oxygen diffusion limitations influencing 3D cellular interactions, resulting in variable differentiation between the pellet’s periphery and hypoxic core [119,120,121].
In an attempt to offer improved control over cell differentiation, many MSC differentiation platforms employ natural or synthetic biomaterial scaffolds, such as collagens, alginates, hyaluronic acid, agarose, chitosan, decellularized “native” ECM, and polyglycolic acid (PGA)/polylactic acid (PLA), to accommodate cells in 3D structures and promote MSC chondrogenic differentiation [107,122,123]. These biomaterial scaffolds permit a high degree of control over 3D construct architecture, a key component in controlling MSC chondrogenesis [124,125]. Extensive work is reported for further tailoring these biomaterial scaffolds, via fabrication techniques (e.g., bioprinting, electrospinning, molding, etc.) and combinations of cell ligands and binding motifs, macro- and micro- structure, stiffness, and other biomaterials properties [23,98,107,123,126,127,128] seeking to promote and maintain cellular interactions and functionality, supporting transitions toward hyaline-like phenotypes [23,122,129]. However, these approaches are often limited by poor cell–cell communication due to interruptive scaffold materials hindering requisite direct cell–cell and cell-ECM interactions, hyaline-like cell transitions, and reliable hyaline-like phenotypic preservation [23,124,129].
Scaffold-free approaches offer increasing benefits compared to scaffold-based methods, supporting MSC differentiation in 3D conditions, within their endogenous ECM and in continuous, direct 3D contact, promoting necessary cellular interactions without scaffold interference [23]. Scaffold-free cell-based constructs can also accommodate higher cell densities than scaffold-based approaches, and despite native cartilage’s intrinsic low cell density [30,130], cell-dense constructs are recognized as necessary for promoting in vitro MSC chondrogenesis [15,118,131,132]. Recently proposed advanced scaffold-free methods employ high-density seeding cultures that create disc-like cartilage constructs in vitro by seeding MSCs into porous cell culture inserts at very high concentrations [100,133,134,135,136]. These high-density 3D cultures induce more homogenous chondrogenesis compared to pellet cultures, and produce more ergonomic implant forms to more completely fill cartilage defects [100,133,134,135]. However, these approaches are hindered by exorbitant cell seeding densities and limited control over cellular interactions in culture, based solely on cell aggregation forced by over-confluence [100,133,134,135,136]. Such high-density 3D constructs are sometimes referred to as “cell sheets” [134,135], but differ significantly from temperature-responsive culture dish (TRCD) derived cell sheets discussed in Section 8 and Section 9 based on their (1) three-dimensionality achieved solely through over-confluent culture, and (2) harvest methods reliant on mechanical detachment that damage the cultured construct’s adhesion interface. Despite extensive work focused on promoting in vitro hyaline-like chondrogenesis within a wide range of 3D culture constructs, these platforms are still broadly unable to sufficiently control both structure and 3D cellular interactions, hindering resulting chondrogenic stability and homogeneity in vitro.
7. Transplantation Capabilities of 3D MSC Chondrogenic Cultures
Even when 3D culture platforms achieve hyaline-like chondrogenesis in vitro, these resulting cellular constructs are still unable to directly adhere and interface with host tissues in vivo. Most constructs require additional transplantation support materials (e.g., suturing, fibrin glue, periosteal flap, etc.), increasing biocompatibility concerns and disrupting direct communication between the transplanted cells and host tissue [19,27,137,138]. Limited unassisted in vivo tissue engraftment is often attributed to chondrogenic constructs’ inadequate endogenous expression of surface adhesion molecules [12,80,107,123,124,129,139]. Poor in vivo tissue site engraftment leads to construct delamination, loss of transplanted cell viability, mechanical instability, and decreased integration with host tissue, common precursors for fibrocartilage tissue formation [26] and suboptimal pre-clinical in vivo outcomes [8,27,31,140,141]. Discrepancies between in vitro and in vivo pre-clinical results may be partly due to the high variability among animal models employed [142,143,144,145,146,147], but inferior engraftment and retention remain driving factors of pre-clinical failure regardless of the model employed [26].
Cartilage tissue transplant failure is also attributed to insufficient interfacial properties [148]. Native hyaline cartilage exhibits a low coefficient of friction at the joint interface, allowing free sliding of adjacent cartilage surfaces under high pressure during joint articulation [149,150]. To successfully replace hyaline cartilage at focal defect sites, transplanted cartilage constructs must be able to not only adhere and engraft into the defect site, but also present a suitable articulating surface that mitigates excessive frictional forces during joint function. As superficial chondrocytes naturally produce lubricating agents, such as lubricin and hyaluronic acid [31,151], some approaches focus on functionalizing the cells within 3D structures to tailor their secretion abilities and recreate this lubricated articular surface [7,152]. Other approaches, specifically those employing cell-seeded hydrogels, focus on selecting scaffold biomaterials with low intrinsic coefficients of friction [31,153]. However, the inability of current constructs to both strongly adhere and recapitulate this lubrication interface increases associated friction during articulation, causing pain, abnormal stress and wear on the transplant, and increased risk of tissue delamination [149].
Despite 3D cell delivery platforms being designed to create hyaline-like chondrogenic constructs capable of engraftment and retention at the defect site, to date, no platform has yielded robust evidence of success, necessitating further investigation in controlled clinical trials to verify translational potential of these therapies [1,21,23,154]. A clear unmet need persists for improved 3D MSC platforms that not only control 3D cellular interactions in vitro to reliably yield more stable hyaline-like cartilage constructs, but also enhance their adhesion for mechanical and physiological integration in vivo to better address current translational limitations in MSC-based cartilage regeneration.
8. Cell Sheet Technology as a Transplantable 3D Tissue-Like Platform
Cell sheet technology supports fabrication of transplantable, scaffold-free, 3D, tissue-like cell constructs [155,156,157,158,159] (Figure 3).
Figure 3.
Cell sheet fabrication leads to increased three-dimensional (3D) cellular interactions and intact adhesion molecules at the construct surface [156,157,160,161]. Temperature-mediated cell detachment from poly(N-isopropylacrylamide) (PIPAAm)-grafted temperature-responsive culture dishes (TRCDs) enhances cellular interactions (yellow linkers) through spontaneous post-detachment sheet contraction and retains intact surface adhesion molecules (green markers). Created with BioRender.com (accessed on 1 March 2021).
The cell sheet technology developed by Okano et al. employs poly(N-isopropylacrylamide) (PIPAAm)-grafted temperature-responsive culture dishes (TRCDs) that facilitate cell adhesion and growth at 37 °C [158,159,160]. Below the PIPAAm lower critical solution temperature (32 °C), cells spontaneously detach from the culture surface, bypassing typical culture requirements for damaging enzymatic cell harvesting [160,162]. This temperature-mediated detachment retains endogenous cell–cell and cell-ECM interactions and preserves cellular environments, allowing cultured cells to be harvested as intact cell sheets [83,156,157,160,162,163,164]. As cells are seeded and grown under adherent 2D conditions, this abrupt temperature-mediated detachment prompts established cytoskeletal filaments and retained ECM to naturally contract when released from culture surfaces [165,166]. This post-detachment cell sheet contraction spontaneously yields 3D, multi-nuclei thick, scaffold-free cell sheet structures [12,161]. Cell sheet three-dimensionality can be further controlled by cell sheet layering to produce tissues of specified thicknesses and cellular densities, even combining cell sheets from different cell sources [157,167,168,169,170]. Cell sheet post-detachment contraction and layering both increase 3D cellular interactions, areas of hypoxia within the construct, and functionality relative to suspended cells and 2D conditions [167,171,172].
In addition to promoting 3D architecture with increased 3D cellular interactions, cell sheets naturally retain innate surface receptors, ECM, and tissue adhesion capabilities, allowing spontaneous engraftment to tissue sites and rapid initiation of direct cell–cell communication [156,157]. Cell sheets fabricated from a wide range of cell sources have been applied to a multiple tissue targets and show significant adhesion and localization capabilities [157,173,174]. Specifically, for cartilage regeneration therapies, significant translational work has focused on cell sheet technology approaches for repairing and replacing hyaline cartilage using various cell sources and preparation methods (Table 2).
Table 2.
Cell sheet tissue engineering cartilage regeneration studies.
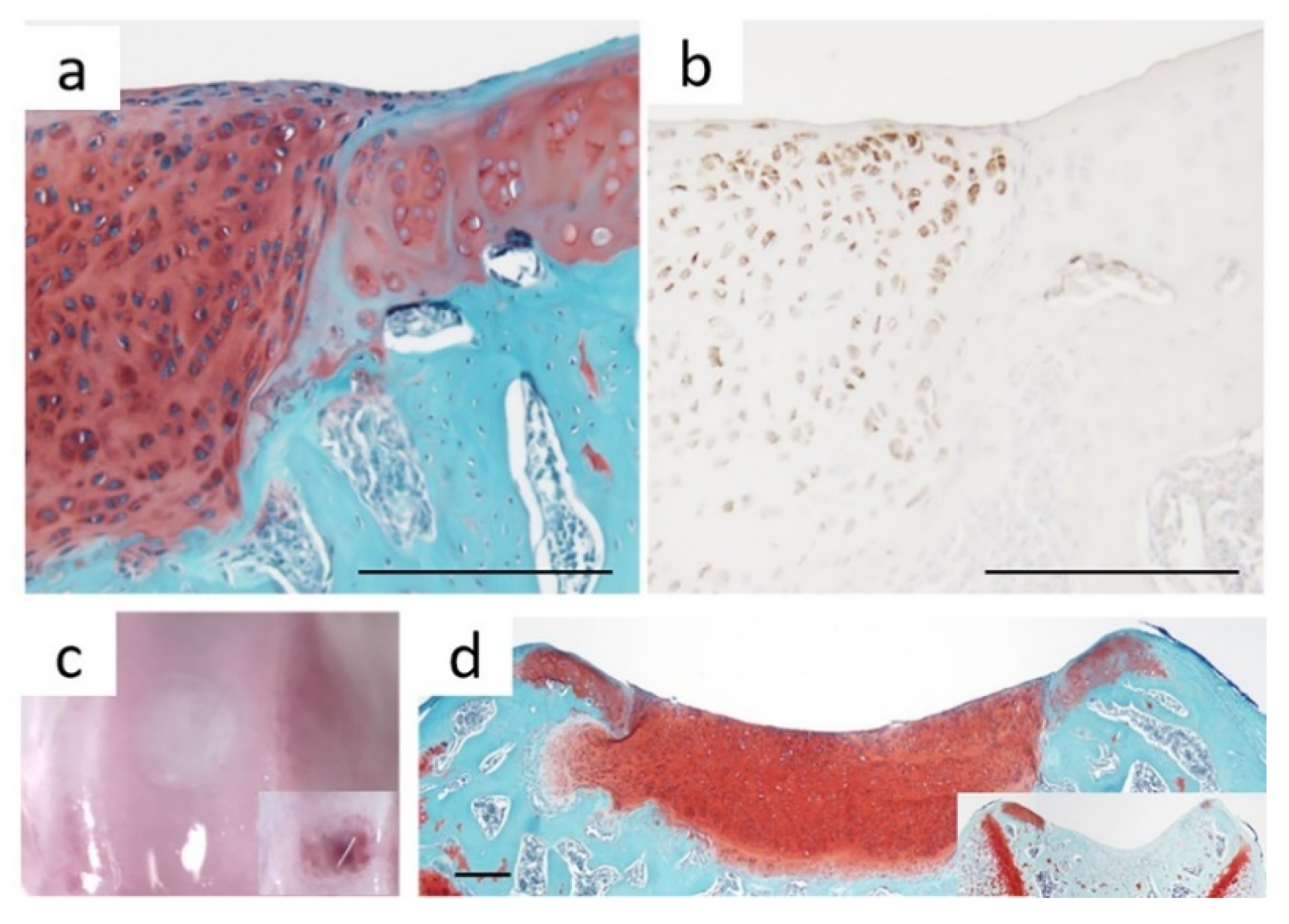
Cell sheet technology employing chondrocyte sources has shown preliminary success in both pre-clinical models and small cohort clinical studies [24,25,173,175,176,177,180,181,182,183,184]. Chondrocyte sheets adhere directly and spontaneously to cartilage tissue via retained endogenous ECM and adhesion proteins. Notably, this strength of defect site adhesion for the undifferentiated chondrocyte sheets is sufficient to allow initial defect retention without suturing, and to withstand knee joint mechanical forces while maintaining long-term localization of transplanted cells [24,173,177,180,182,185]. This engraftment capability facilitates successful chondrocyte sheet induction of hyaline-like cartilage regeneration in articular cartilage focal chondral defects by 4 weeks post-transplantation [24,25,173,177,180,181,182] (Figure 4a–d).
Figure 4.
Cell sheets adhere, remain localized, and induce cartilage regeneration in vivo without any additional support materials. Histological and immunohistochemical staining of rat knee cross-sections 4-weeks post cartilage sheet transplantation show close interfacing with the native cartilage and (a) areas of positive hyaline-like regeneration (Safranin-O), correlating to (b) retention and viability of human cells (hVimentin—brown color) in trochlear groove chondral defects. Regenerated tissue filling the defect at 4 weeks post-transplantation (c) macroscopically and (d) histologically (Safranin-O) (right corner boxes shows defect only controls) resembles native cartilage. Scale bars = 200 μm. Adapted and reprinted from Kondo M., Kameishi S., Grainger D. W. & Okano T. Novel therapies using cell sheets engineered from allogeneic mesenchymal stem/stromal cells. Adapted with permission from Emerg. Top. Life Sci. 4 (6): 677–689 (2020). Copyright 2020 Portland Press.
9. Three-Dimensional MSC Sheets as In Vitro Platforms for Fabricating Transplantable Hyaline-Like Cartilage
Emerging cell sheet approaches prepare in vitro chondrogenically differentiated MSC sheets that are directly transplantable in vivo, which should support more rapid hyaline cartilage replacement at defect sites for future in vivo regenerative therapies. Reliable fabrication of 3D MSC sheets increases cell–cell interactions, promotes hyaline-like chondrogenesis, and retains construct adhesion capabilities [12], all of which are essential to support robust and direct replacement of damaged or missing hyaline cartilage. Sheet-enhanced 3D cellular interactions specifically benefit MSC chondrogenesis in vitro, resulting in stable hyaline-like phenotypes and delayed hypertrophic transitions compared to standard pellet cultures [12]. Cell sheet 3D manipulation affords greater control over the induction of pro-chondrogenic 3D cell–cell and cell-ECM interactions and increased control of the final chondrogenic cell sheet characteristics (Figure 5).
Figure 5.
Cell sheet manipulation techniques using TRCDs increase cellular communication and ECM characteristics related to enhanced in vitro chondrogenesis potential. Cell sheet manipulation techniques include (a) spontaneous, post-detachment cell sheet contraction and (b) sheet multilayering utilizing either contracted or non-contracted cell sheets [157,167,168,169,170,171,173]. These manipulation techniques increase chondrogenic potential of the MSCs as shown with (a) Safranin O staining and (b) Type II collagen immunohistochemical (IHC) staining. For graphs in (a), error bars represent means ± standard deviations (** p < 0.01). (a) Adapted and reprinted from Thorp H., Kim K., Kondo M., Grainger D. W. & Okano T. Fabrication of hyaline-like cartilage constructs using mesenchymal stem cell sheets. Adapted with permission from Sci. Rep. 10, (2020). Copyright 2020 Springer Nature. (b) Adapted and reprinted from Waki S., Yuji H., Tatsuya S., Masayuki Y., Akihiro U., Teruo O. Chondrocyte Differentiation of Human Endometrial Gland-Derived MSCs in Layered Cell Sheets. Adapted with permission from Sci. World J., Article ID 359109, (2013). Copyright 2013 Hindawi. Created in part with BioRender.com (accessed on 1 March 2021).
Cell sheet technology employs multiple manipulation techniques for promoting specific pro-chondrogenic interactions. Post-detachment cell sheet contraction, occurring spontaneously following temperature-mediated detachment from adherent culture, and sheet multilayering are primary strategies used to control and influence cellular interactions and MSC chondrogenic differentiation in scaffold-free cell sheet forms [25,157,167,168,169,170,171,172] (Figure 5a). Cell sheet contraction can be modified by changing cell seeding density, culture time, MSC source, or use of removable support membranes [155,166,167,186]. Cell sheet multilayering has also been utilized extensively in various cell sheet tissue engineering applications [167,169,170,187,188]. Specifically, multilayering chondrocyte sheets has been shown to directly increase 3D cellular interactions, promoting enhanced chondrogenic characteristics within those sheets [173,178,179]. Moreover, layering endometrial cell sheets increased glycosaminoglycan and collagen development within as little as 24 h [171] (Figure 5b). This multilayering manipulation should facilitate similar control of 3D cellular interactions within MSC-derived sheets, as well as construct thickness and density. These factors directly impact the oxygen tension and hypoxic conditions within the MSC construct, stimulating more controlled transitions to hyaline-like phenotypes in vitro. Multilayering may also prompt more rapid chondrogenesis, decreasing MSC-derived hypertrophic characteristics commonly associated with extended in vitro media induction [18,103].
In addition to promoting stable hyaline-like chondrogenesis in vitro, MSC sheets retain strong adhesion capabilities after chondrogenic differentiation [12]. Post-differentiation temperature-mediated harvest does not damage cell sheet characteristics, thereby allowing maintenance of critical adhesion molecule expression for cells along the basal side of the sheet. MSC-derived hyaline-like cell sheets can strongly adhere to fresh ex vivo cartilage tissue and rapidly initiate mechanical and biochemical signaling interactions between the cell sheet and adjacent native cartilage [12]. Based on previous adhesion studies conducted with chondrocyte sheets [173] and their successful integration and maintained adhesion in vivo [24,177,180,182], these adhesion capabilities of chondrogenically differentiated MSC sheets are expected to promote similar stable engraftment and enhanced cellular communication in this environment.
Cell sheet in vitro chondrogenesis studies support prior assertions that three-dimensional cell interactions play essential roles in fabrication and stability of in vitro hyaline-like cartilage. Furthermore, cell sheet manipulation techniques allow greater control over these 3D cellular interactions and related hypoxic culture conditions, while maintaining known cell sheet adhesion capabilities. Additional application of hypoxic culture conditions for chondrogenic induction not only significantly increases the MSC sheets’ chondrogenic capacity, but should also condition them for the hypoxic in vivo environment, allowing greater retention of cellular functionality post-transplantation. These chondrogenic capacity and adhesion capabilities position MSC cell sheet technology as a prospective next-generation platform for fabricating future translational allogeneic MSC therapies offering direct, unassisted transplantation of hyaline-like cartilage constructs for improved future articular cartilage regeneration. To improve upon current cell-based approaches for cartilage regeneration in human defects, these implanted MSC-derived cartilage sheets will have to demonstrate key regenerative behaviors in vivo, notably: complete filling of the focal defect, lateral and basal integration with the host tissue, lasting retention of hyaline-like phenotypes within the defect, and mechanical properties similar to native cartilage once integrated.
10. Summary
Articular cartilage defects represent inciting events and a significant cause of degenerative joint disease with inevitable progression to generalized OA [28,33,34,35]. Although many clinical therapies exist for treating these defects, none achieve lasting, robust regeneration of hyaline cartilage [1,4,43,76]. Advanced cell therapy products are continually being developed to address the limitations of current clinical therapies, but few have shown much clinical promise to date in practically addressing diverse chondral defects [1,21,23,154]. Overall, tissue engineering cartilage therapies are still largely limited in their control over in vitro cellular interactions necessary for producing robust hyaline-like cartilage and inconsistent in vivo engraftment, hindering integration with the host tissue and lasting replacement of hyaline cartilage [23,124,129]. Some 3D MSC-based approaches, specifically those employing banked, standardized allogeneic MSCs within scaffold-free 3D constructs, offer very promising platforms for producing cartilage constructs in vitro via controlled 3D structures and key cellular interactions that are capable of inducing reliable, rapid regeneration of hyaline-like cartilage in vivo in articular cartilage focal defects.
Although in vitro chondrogenic differentiation is extensively published for pellet cultures, cell seeded scaffolds, and scaffold-free high-density seeding cultures [14,15,16,87], these 3D constructs are limited in their abilities to achieve both robust hyaline-like differentiation and direct, unassisted transplantation to defect sites [1,21,23,154]. To address these concerns, cell sheet tissue engineering constructs afford improved control of 3D cellular interactions, maintenance of chondrogenic characteristics via established manipulation techniques, and optimize endogenous adhesion abilities [83,156,157,160,162,163,164]. To date, autologous chondrocyte cell sheets have exhibited experimental and some clinical success in adhering, surviving, and inducing regeneration in articular cartilage defects [24,173,177,180,182,185,189]. These data provide an important precedent for further development of cell sheet therapies that support more rapid cartilage regeneration. The chondral regeneration field is currently transitioning toward the creation of single-stage, immediately available cell-based chondral restoration options [21]. In this vein, cell sheet tissue engineering employing allogeneic MSCs presents a unique platform capable of (1) producing stable in vitro hyaline-like cartilage from banked MSCs, (2) providing an off-the-shelf, pre-validated cartilage tissue construct without biomaterials support, and (3) maintaining and sustaining endogenous cellular adhesion and signaling for direct transplantation to cartilage tissues applicable to a broad patient population.
11. Future Perspectives
Despite decades of research on tissue engineering and MSC chondrogenesis, current chondrogenic approaches are largely unable to reliably create stable hyaline-like cartilage in vitro that is directly transplantable in vivo to a broad patient population. However, cell sheet tissue engineering offers a unique scaffold-free platform to facilitate enhanced in vitro hyaline-like differentiation, to support direct in vivo transplantation to defects without biomaterials support. Combining cell sheet technology with allogeneic MSC sourcing, specifically for MSCs that have been screened for cell potency and differentiation capacity, should facilitate more rapid and reliable cartilage regeneration for a broader patient population.
Although hundreds of MSC-derived cell therapy clinical trials are ongoing, no MSC-based regenerative medicine applications have clinical validation for cartilage regeneration. While causes for failure with these MSC therapies are not fully understood, the current inability to properly control cellular interactions and cellular phenotypes in vitro to reliably yield stable hyaline-like cartilage, combined with poor tissue site engraftment and retention in vivo necessary to restore normal cartilage functional properties through mechanical and biochemical signaling, are central hypotheses. To improve upon cell-based and MSC therapies, specific considerations and attention must be paid to (1) selecting and validating appropriate cell sources, essential to regulatory and manufacturing challenges during translation, (2) the importance of three dimensionality in tissue-like structures and its role in inducing and maintaining 3D cellular interactions required for stable in vitro hyaline like chondrogenesis, (3) robust engraftment and integration of the transplanted construct with host tissue, and (4) the long-term stability of hyaline features in vivo without reversion to fibrocartilage. Focusing on these essential performance specifications will support progress in developing MSC-derived therapies that are both transplantable and phenotypically stable as hyaline-like cartilage to robustly regenerating hyaline articular cartilage at the site of articular cartilage defects.
Furthermore, future approaches may additionally enhance MSC chondrogenic potential and robust tissue regeneration and integration through the use of CRISPR or other gene editing techniques [91,190,191,192] to bias MSCs using guided genetic instructions. Incorporating these modified allogeneic MSCs into established transplantable 3D cell sheets could yield even more robust hyaline-like tissues with greater regenerative potential, but will likely face greater regulatory scrutiny and manufacturing hurdles in their path to clinical approval [45,78,193,194].
Author Contributions
H.T. prepared review outline, conducted literature searches, wrote main manuscript text, and prepared all figures. K.K. prepared review outline, assisted with preparation of main manuscript text, and supervised, reviewed, and edited final manuscript. T.O. and D.W.G. advised on review outline and T.O., M.K., T.M., and D.W.G. supervised, reviewed, and edited final manuscript. All authors have read and agreed to the published version of the manuscript.
Funding
This work was supported in part by the University Technology Acceleration Grant (UTAG) from the Utah Science, Technology, and Research (USTAR) program and a Whitaker International Fellowship from the Institute of International Education (IIE).
Institutional Review Board Statement
Not Applicable.
Informed Consent Statement
Not Applicable.
Acknowledgments
Referenced cell sheet data were cited from research conducted at The Cell Sheet Tissue Engineering Center at the University of Utah (CSTEC@Utah), Tokyo Women’s Medical University, and Tokai University. We thank S. Bou-Ghannam for continued technical advice. We acknowledge pioneering contributions of M. Sato and his team (Tokai University, Japan) in establishing cell sheet cartilage regeneration preclinical and clinical precedents, and T. Shimizu and T. Iwata (Tokyo Women’s Medical University, Japan) for contributing to ongoing collaborative information exchange relevant to cell sheet technology.
Conflicts of Interest
T.O. holds equity in CellSeed, Inc. (Japan) and is an inventor/developer designated on the patent for Cell Seed’s commercialized temperature-responsive cultureware. No other competing financial interests exist and all authors declare that they have no other competing interests.
References
- Makris, E.A.; Gomoll, A.H.; Malizos, K.N.; Hu, J.C.; Athanasiou, K.A. Repair and Tissue Engineering Techniques for Articular Cartilage. Nat. Rev. Rheumatol. 2015, 11, 21–34. [Google Scholar] [CrossRef]
- Memon, A.R.; Quinlan, J.F. Surgical Treatment of Articular Cartilage Defects in the Knee: Are We Winning? Adv. Orthop. 2012, 2012. [Google Scholar] [CrossRef]
- Falah, M.; Nierenberg, G.; Soudry, M.; Hayden, M.; Volpin, G. Treatment of Articular Cartilage Lesions of the Knee. Int. Orthop. 2010, 621–630. [Google Scholar] [CrossRef]
- Rodeo, S.A. Cell Therapy in Orthopaedics: Where Are We in 2019? Bone Jt. J. 2019, 361–364. [Google Scholar] [CrossRef]
- Abou-El-Enein, M.; Elsanhoury, A.; Reinke, P. Overcoming Challenges Facing Advanced Therapies in the EU Market. Cell Stem Cell 2016, 293–297. [Google Scholar] [CrossRef]
- Haddock, R.; Lin-Gibson, S.; Lumelsky, N.; McFarland, R.; Roy, K.; Saha, K.; Zhang, J.; Zylberberg, C. Manufacturing Cell Therapies: The Paradigm Shift in Health Care of This Century. NAM Perspect. 2017, 7. [Google Scholar] [CrossRef]
- Somoza, R.A.; Welter, J.F.; Correa, D.; Caplan, A.I. Chondrogenic Differentiation of Mesenchymal Stem Cells: Challenges and Unfulfilled Expectations. Tissue Eng. Part B Rev. 2014, 20, 596–608. [Google Scholar] [CrossRef] [PubMed]
- Barry, F. MSC Therapy for Osteoarthritis: An Unfinished Story. J. Orthop. Res. 2019, 1229–1235. [Google Scholar] [CrossRef]
- Goldring, M.B. Chondrogenesis, Chondrocyte Differentiation, and Articular Cartilage Metabolism in Health and Osteoarthritis. Ther. Adv. Musculoskelet. Dis. 2012, 4, 269–285. [Google Scholar] [CrossRef] [PubMed]
- Pittenger, M.F.; Discher, D.E.; Péault, B.M.; Phinney, D.G.; Hare, J.M.; Caplan, A.I. Mesenchymal Stem Cell Perspective: Cell Biology to Clinical Progress. NPJ Regen. Med. 2019, 1–15. [Google Scholar] [CrossRef] [PubMed]
- Kim, K.; Bou-Ghannam, S.; Kameishi, S.; Oka, M.; Grainger, D.W.; Okano, T. Allogeneic Mesenchymal Stem Cell Sheet Therapy: A New Frontier in Drug Delivery Systems. J. Control. Release 2021, 330, 696–704. [Google Scholar] [CrossRef] [PubMed]
- Thorp, H.; Kim, K.; Kondo, M.; Grainger, D.W.; Okano, T. Fabrication of Hyaline-like Cartilage Constructs Using Mesenchymal Stem Cell Sheets. Sci. Rep. 2020, 10. [Google Scholar] [CrossRef]
- Blain, E.J. Involvement of the Cytoskeletal Elements in Articular Cartilage Homeostasis and Pathology. Int. J. Exp. Pathol. 2009, 1–15. [Google Scholar] [CrossRef]
- Johnstone, B.; Hering, T.M.; Caplan, A.I.; Goldberg, V.M.; Yoo, J.U. In Vitro Chondrogenesis of Bone Marrow-Derived Mesenchymal Progenitor Cells. Exp. Cell Res. 1998, 238, 265–272. [Google Scholar] [CrossRef] [PubMed]
- Pittenger, M.F.; Mackay, A.M.; Beck, S.C.; Jaiswal, R.K.; Douglas, R.; Mosca, J.D.; Moorman, M.A.; Simonetti, D.W.; Craig, S.; Marshak, D.R. Multilineage Potential of Adult Human Mesenchymal Stem Cells. Science 1999, 284, 143–147. [Google Scholar] [CrossRef]
- Mackay, A.M.; Beck, S.C.; Murphy, J.M.; Barry, F.P.; Chichester, C.O.; Pittenger, M.F. Chondrogenic Differentiation of Cultured Human Mesenchymal Stem Cells from Marrow. Tissue Eng. 1998, 4, 415–428. [Google Scholar] [CrossRef]
- Merceron, C.; Portron, S.; Masson, M.; Lesoeur, J.; Fellah, B.H.; Gauthier, O.; Geffroy, O.; Weiss, P.; Guicheux, J.; Vinatier, C. The Effect of Two- and Three-Dimensional Cell Culture on the Chondrogenic Potential of Human Adipose-Derived Mesenchymal Stem Cells after Subcutaneous Transplantation with an Injectable Hydrogel. Cell Transplant. 2011, 20, 1575–1588. [Google Scholar] [CrossRef] [PubMed]
- Zhang, T.; Wen, F.; Wu, Y.; Goh, G.S.H.; Ge, Z.; Tan, L.P.; Hui, J.H.P.; Yang, Z. Cross-Talk between TGF-Beta/SMAD and Integrin Signaling Pathways in Regulating Hypertrophy of Mesenchymal Stem Cell Chondrogenesis under Deferral Dynamic Compression. Biomaterials 2015, 38, 72–85. [Google Scholar] [CrossRef]
- Goldberg, A.; Mitchell, K.; Soans, J.; Kim, L.; Zaidi, R. The Use of Mesenchymal Stem Cells for Cartilage Repair and Regeneration: A Systematic Review. J. Orthop. Surg. Res. 2017, 12, 1–30. [Google Scholar] [CrossRef]
- Gomez-Salazar, M.; Gonzalez-Galofre, Z.N.; Casamitjana, J.; Crisan, M.; James, A.W.; Péault, B. Five Decades Later, Are Mesenchymal Stem Cells Still Relevant? Front. Bioeng. Biotechnol. 2020, 148. [Google Scholar] [CrossRef] [PubMed]
- Negoro, T.; Takagaki, Y.; Okura, H.; Matsuyama, A. Trends in Clinical Trials for Articular Cartilage Repair by Cell Therapy. NPJ Regen. Med. 2018, 3, 17. [Google Scholar] [CrossRef] [PubMed]
- Kon, E.; Filardo, G.; Di Martino, A.; Marcacci, M. ACI and MACI. J. Knee Surg. 2012, 17–22. [Google Scholar] [CrossRef]
- Zhang, L.; Hu, J.; Athanasiou, K.A. The Role of Tissue Engineering in Articular Cartilage Repair and Regeneration. Crit. Rev. Biomed. Eng. 2009, 37, 1–57. [Google Scholar] [CrossRef] [PubMed]
- Sato, M.; Yamato, M.; Hamahashi, K.; Okano, T.; Mochida, J. Articular Cartilage Regeneration Using Cell Sheet Technology. Anat. Rec. 2014, 297, 36–43. [Google Scholar] [CrossRef]
- Kondo, M.; Kameishi, S.; Grainger, D.W.; Okano, T. Novel Therapies Using Cell Sheets Engineered from Allogeneic Mesenchymal Stem/Stromal Cells. Emerg. Top. Life Sci. 2020. [Google Scholar] [CrossRef]
- Benjamin, M.; Ralphs, J. Biology of Fibrocartilage Cells. Int. Rev. Cytol. 2004, 233, 1–45. [Google Scholar] [CrossRef]
- Armiento, A.R.; Alini, M.; Stoddart, M.J. Articular Fibrocartilage–Why Does Hyaline Cartilage Fail to Repair? Adv. Drug Deliv. Rev. 2019, 146, 289–305. [Google Scholar] [CrossRef] [PubMed]
- Minas, T. A Primer in Cartilage Repair. J. Bone Jt. Surg. Br. 2012, 94, 1482–1486. [Google Scholar] [CrossRef] [PubMed]
- Sophia Fox, A.J.; Bedi, A.; Rodeo, S.A. The Basic Science of Articular Cartilage: Structure, Composition, and Function. Sports Health 2009, 1, 461–468. [Google Scholar] [CrossRef] [PubMed]
- Kamisan, N.; Naveen, S.V.; Ahmad, R.E.; Tunku, K. Chondrocyte Density, Proteoglycan Content and Gene Expressions from Native Cartilage Are Species Specific and Not Dependent on Cartilage Thickness: A Comparative Analysis between Rat, Rabbit and Goat. BMC Vet. Res. 2013, 9. [Google Scholar] [CrossRef]
- Armiento, A.R.; Stoddart, M.J.; Alini, M.; Eglin, D. Biomaterials for Articular Cartilage Tissue Engineering: Learning from Biology. Acta Biomater. 2018, 65, 1–20. [Google Scholar] [CrossRef]
- Gharpuray, V.M. Fibrocartilage. In Handbook of Biomaterial Properties, 2nd ed.; Springer: New York, NY, USA, 2016; Volume 171, pp. 45–54. [Google Scholar] [CrossRef]
- Ferket, B.S.; Feldman, Z.; Zhou, J.; Oei, E.H.; Bierma-Zeinstra, S.M.A.; Mazumdar, M. Impact of Total Knee Replacement Practice: Cost Effectiveness Analysis of Data from the Osteoarthritis Initiative. BMJ 2017, 356, 1–12. [Google Scholar] [CrossRef] [PubMed]
- Schinhan, M.; Gruber, M.; Vavken, P.; Dorotka, R.; Samouh, L.; Chiari, C.; Gruebl-Barabas, R.; Nehrer, S. Critical-Size Defect Induces Unicompartmental Osteoarthritis in a Stable Ovine Knee. J. Orthop. Res. 2012, 30, 214–220. [Google Scholar] [CrossRef] [PubMed]
- Houck, D.A.; Kraeutler, M.J.; Belk, J.W.; Frank, R.M.; McCarty, E.C.; Bravman, J.T. Do Focal Chondral Defects of the Knee Increase the Risk for Progression to Osteoarthritis? A Review of the Literature. Orthop. J. Sports Med. 2018. [Google Scholar] [CrossRef]
- Gomoll, A.H.; Farr, J.; Gillogly, S.D.; Kercher, J.; Minas, T. Surgical Management of Articular Cartilage Defects of the Knee. J. Bone Jt. Surg. Am. 2010, 92, 2470–2490. [Google Scholar]
- Akkiraju, H.; Nohe, A. Role of Chondrocytes in Cartilage Formation, Progression of Osteoarthritis and Cartilage Regeneration. J. Dev. Biol. 2016, 3, 177. [Google Scholar] [CrossRef] [PubMed]
- Marcacci, M.; Filardo, G.; Kon, E. Treatment of Cartilage Lesions: What Works and Why? Injury 2013, 44 (Suppl. 1), S11–S15. [Google Scholar] [CrossRef]
- Steadman, J.R.; Rodkey, W.G.; Singleton, S.B.; Briggs, K.K. Microfracture Technique for Full-Thickness Chondral Defects: Technique and Clinical Results. Oper. Tech. Orthop. 1997, 7, 300–304. [Google Scholar] [CrossRef]
- Gao, L.; Orth, P.; Cucchiarini, M.; Madry, H. Autologous Matrix-Induced Chondrogenesis: A Systematic Review of the Clinical Evidence. Am. J. Sports Med. 2019, 222–231. [Google Scholar] [CrossRef]
- Mithoefer, K.; McAdams, T.; Williams, R.J.; Kreuz, P.C.; Mandelbaum, B.R. Clinical Efficacy of the Microfracture Technique for Articular Cartilage Repair in the Knee: An Evidence-Based Systematic Analysis. Database Abstr. Rev. Eff. Qual. Rev. 2009, 38. [Google Scholar] [CrossRef]
- Solheim, E.; Hegna, J.; Inderhaug, E.; Øyen, J.; Harlem, T.; Strand, T. Results at 10–14 Years after Microfracture Treatment of Articular Cartilage Defects in the Knee. Knee Surg. Sports Traumatol. Arthrosc. 2016, 24, 1587–1593. [Google Scholar] [CrossRef]
- Gobbi, A.; Karnatzikos, G.; Kumar, A. Long-Term Results after Microfracture Treatment for Full-Thickness Knee Chondral Lesions in Athletes. Knee Surg. Sports Traumatol. Arthrosc. 2014, 22, 1986–1996. [Google Scholar] [CrossRef]
- Dewan, A.K.; Gibson, M.A.; Elisseeff, J.H.; Trice, M.E. Evolution of Autologous Chondrocyte Repair and Comparison to Other Cartilage Repair Techniques. Biomed. Res. Int. 2014, 2014, 1–11. [Google Scholar] [CrossRef] [PubMed]
- McGowan, K.B.; Stiegman, G. Regulatory Challenges for Cartilage Repair Technologies. Cartilage 2013, 4, 4–11. [Google Scholar] [CrossRef]
- Ahmed, T.A.E.; Hincke, M.T. Strategies for Articular Cartilage Lesion Repair and Functional Restoration. Tissue Eng. Part B Rev. 2010, 16, 305–329. [Google Scholar] [CrossRef] [PubMed]
- Hunziker, E.B.; Lippuner, K.; Keel, M.J.B.; Shintani, N. An Educational Review of Cartilage Repair: Precepts & Practice-Myths & Misconceptions-Progress & Prospects. Osteoarthr. Cartil. 2015, 334–350. [Google Scholar] [CrossRef]
- Kraeutler, M.J.; Belk, J.W.; Purcell, J.M.; McCarty, E.C. Microfracture versus Autologous Chondrocyte Implantation for Articular Cartilage Lesions in the Knee: A Systematic Review of 5-Year Outcomes. Am. J. Sports Med. 2017, 46, 995. [Google Scholar] [CrossRef] [PubMed]
- DiBartola, A.C.; Wright, B.M.; Magnussen, R.A.; Flanigan, D.C. Clinical Outcomes after Autologous Chondrocyte Implantation in Adolescents’ Knees: A Systematic Review. Arthrosc. J. Arthrosc. Relat. Surg. 2016, 32, 1905–1916. [Google Scholar] [CrossRef]
- FDA Approves First Autologous Cellularized Scaffold for the Repair of Cartilage Defects of the Knee. 2016. Available online: https://cartilage.org/news/fda-approves-first-autologous-cellularized-scaffold-for-the-repair-of-cartilage-defects-of-the-knee/ (accessed on 1 March 2021).
- Jones, C.W.; Willers, C.; Keogh, A.; Smolinski, D.; Fick, D.; Yates, P.J.; Kirk, T.B.; Zheng, M.H. Matrix-Induced Autologous Chondrocyte Implantation in Sheep: Objective Assessments Including Confocal Arthroscopy. J. Orthop. Res. 2008, 26, 292–303. [Google Scholar] [CrossRef]
- Ebert, J.R.; Robertson, W.B.; Woodhouse, J.; Fallon, M.; Zheng, M.H.; Ackland, T.; Wood, D.J. Clinical and Magnetic Resonance Imaging-Based Outcomes to 5 Years after Matrix-Induced Autologous Chondrocyte Implantation to Address Articular Cartilage Defects in the Knee. Am. J. Sports Med. 2011, 39, 753–763. [Google Scholar] [CrossRef]
- Zheng, M.H.; Willers, C.; Kirilak, L.; Yates, P.; Xu, J.; Wood, D.; Shimmin, A. Matrix-Induced Autologous Chondrocyte Implantation (MACI®): Biological and Histological Assessment. Tissue Eng. 2007, 13, 737–746. [Google Scholar] [CrossRef]
- Smith, H.J.; Richardson, J.B.; Tennant, A. Modification and Validation of the Lysholm Knee Scale to Assess Articular Cartilage Damage. Osteoarthr. Cartil. 2009, 17, 53–58. [Google Scholar] [CrossRef]
- Barber-Westin, S.D.; Noyes, F.R. The International Knee Documentations Committee Rating System. In Noyes’ Knee Disorders: Surgery, Rehabilitation, Clinical Outcomes; Elsevier: Amsterdam, The Netherlands, 2010; pp. e28–e47. [Google Scholar] [CrossRef]
- Hambly, K. The Use of the Tegner Activity Scale for Articular Cartilage Repair of the Knee: A Systematic Review. Knee Surg. Sports Traumatol. Arthrosc. 2011, 19, 604–614. [Google Scholar] [CrossRef] [PubMed]
- Gille, J.; Behrens, P.; Schulz, A.P.; Oheim, R.; Kienast, B. Matrix-Associated Autologous Chondrocyte Implantation: A Clinical Follow-Up at 15 Years. Cartilage 2016, 7, 309–315. [Google Scholar] [CrossRef] [PubMed]
- Van den Borne, M.P.J.; Raijmakers, N.J.H.; Vanlauwe, J.; Victor, J.; de Jong, S.N.; Bellemans, J.; Saris, D.B.F. International Cartilage Repair Society (ICRS) and Oswestry Macroscopic Cartilage Evaluation Scores Validated for Use in Autologous Chondrocyte Implantation (ACI) and Microfracture. Osteoarthr. Cartil. 2007, 15, 1397–1402. [Google Scholar] [CrossRef]
- Bartlett, W.; Skinner, J.A.; Gooding, C.R.; Carrington, R.W.J.; Flanagan, A.M.; Briggs, T.W.R.; Bentley, G. Autologous Chondrocyte Implantation versus Matrix-Induced Autologous Chondrocyte Implantation for Osteochondral Defects of the Knee. A Prospective, Randomised Study. J. Bone Jt. Surg. Ser. B 2005, 87, 640–645. [Google Scholar] [CrossRef]
- Zeifang, F.; Oberle, D.; Nierhoff, C.; Richter, W.; Moradi, B.; Schmitt, H. Autologous Chondrocyte Implantation Using the Original Periosteum-Cover Technique versus Matrix-Associated Autologous Chondrocyte Implantation: A Randomized Clinical Trial. Am. J. Sports Med. 2010, 38, 924–933. [Google Scholar] [CrossRef]
- Kim, Y.S.; Smoak, M.M.; Melchiorri, A.J.; Mikos, A.G. An Overview of the Tissue Engineering Market in the United States from 2011 to 2018. Tissue Eng. Part A 2019, 25, 1–8. [Google Scholar] [CrossRef]
- BlueCross BlueShield. ACI (Carticel) Phased Out; BlueCross BlueShield: Chicago, IL, USA, 2018; Available online: https://www.bluecrossnc.com/sites/default/files/document/attachment/services/public/pdfs/medicalpolicy/autologous_chondrocyte_implantation.pdf (accessed on 1 March 2021).
- Rheinstein, P.H.; Adbari, B. Significant FDA Approvals in 1997. Am. Fam. Physician 1998, 57, 2865. [Google Scholar]
- Ministry of Food and Drug Safety. Chondron|Ministry of Food and Drug Safety. Available online: https://www.mfds.go.kr/eng/brd/m_30/view.do?seq=70954 (accessed on 1 March 2021).
- European Medicines Agency. ChondroCelect|European Medicines Agency (Withdrawal); European Medicines Agency: Amsterdam, The Netherlands, 2016; Available online: https://www.ema.europa.eu/en/documents/public-statement/public-statement-chondrocelect-withdrawal-marketing-authorisation-european-unionen.pdf (accessed on 1 March 2021).
- European Medicines Agency. ChondroCelect|European Medicines Agency. Available online: https://www.ema.europa.eu/en/medicines/human/EPAR/chondrocelect (accessed on 1 March 2021).
- Medipost. MEDIPOST Clears Product Approval Renewal of CARTISTEM by the Ministry of Food and Drug Safety (MFDS). Available online: http://www.medi-post.com/stem-cell-therapeutic/2019/03/36443/ (accessed on 1 March 2021).
- Sakakibara, N. J-TEC Received Government Approval to Manufacture and Sell Autologous Cultured Cartilage JACC® in Japan. 2012. Available online: http://www.jpte.co.jp/english/ir/library/JACC_20120730E.pdf (accessed on 1 March 2021).
- NIHR. NOVOCART 3D for Articular Cartilage Defects of the Knee; NIHR: London, UK, 2019. Available online: http://www.io.nihr.ac.uk/wp-content/uploads/2019/09/13181-Autologous-Chondrocyte-Implant-for-Articular-Cartilage-Defects-V1.0-SEP2019-NON-CONF.pdf (accessed on 1 March 2021).
- European Medicines Agency. Maci|European Medicines Agency. Available online: https://www.ema.europa.eu/en/medicines/human/EPAR/maci (accessed on 1 March 2021).
- U.S. Food and Drug Administration. MACI (Autologous Cultured Chondrocytes on a Porcine Collagen Membrane)|FDA. Available online: https://www.fda.gov/vaccines-blood-biologics/cellular-gene-therapy-products/maci-autologous-cultured-chondrocytes-porcine-collagen-membrane (accessed on 1 March 2021).
- Australian Department of Health-Therapeutic Goods Administration. Ortho-ACI|Australian Department of Health. Available online: https://www.ebs.tga.gov.au/servlet/xmlmillr6?dbid=ebs/PublicHTML/pdfStore.nsf&docid=289402&agid=(PrintDetailsPublic)&actionid=1 (accessed on 1 March 2021).
- European Medicines Agency. Spherox|European Medicines Agency. Available online: https://www.ema.europa.eu/en/medicines/human/EPAR/spherox (accessed on 1 March 2021).
- prnewswire.com. Korea Approves the World’s First Cell and Gene Therapy for Knee Osteoarthritis. Available online: https://www.prnewswire.com/news-releases/korea-approves-the-worlds-first-cell-and-gene-therapy-for-knee-osteoarthritis-300486969.html (accessed on 1 March 2021).
- Won Shin, J. Invossa Approval Revoked As Korea Confirms False Data Submission. 2019. Available online: https://pink.pharmaintelligence.informa.com/PS125369 (accessed on 1 March 2021).
- Crawford, D.; Deberardino, T.; Williams, R. NeoCart, an Autologous Cartilage Tissue Implant, Compared with Microfracture for Treatment of Distal Femoral Cartilage Lesions. J. Bone Jt. Surg. 2012, 94, 979–989. [Google Scholar] [CrossRef] [PubMed]
- Simaria, A.S.; Hassan, S.; Varadaraju, H.; Rowley, J.; Warren, K.; Vanek, P.; Farid, S.S. Allogeneic Cell Therapy Bioprocess Economics and Optimization: Single-Use Cell Expansion Technologies. Biotechnol. Bioeng. 2014, 111, 69–83. [Google Scholar] [CrossRef]
- Heathman, T.R.; Nienow, A.W.; McCall, M.J.; Coopman, K.; Kara, B.; Hewitt, C.J. The Translation of Cell-Based Therapies: Clinical Landscape and Manufacturing Challenges. Regen. Med. 2015, 49–64. [Google Scholar] [CrossRef]
- Trounson, A.; McDonald, C. Stem Cell Therapies in Clinical Trials: Progress and Challenges. Cell Stem Cell 2015, 17. [Google Scholar] [CrossRef]
- Mekhileri, N.V.; Lim, K.S.; Brown, G.C.J.; Mutreja, I.; Schon, B.S.; Hooper, G.J.; Woodfield, T.B.F. Automated 3D Bioassembly of Micro-Tissues for Biofabrication of Hybrid Tissue Engineered Constructs. Biofabrication 2018, 10. [Google Scholar] [CrossRef]
- Musumeci, G.; Loreto, C.; Castorina, S.; Imbesi, R.; Leonardi, R.; Castrogiovanni, P. Current Concepts in the Treatment of Cartilage Damage. A Review. Ital. J. Anat. Embryol. 2013, 118, 189–203. [Google Scholar]
- Park, Y.-B.; Ha, C.-W.; Rhim, J.H.; Lee, H.-J. Stem Cell Therapy for Articular Cartilage Repair: Review of the Entity of Cell Populations Used and the Result of the Clinical Application of Each Entity. Am. J. Sports Med. 2018, 46, 2540–2552. [Google Scholar] [CrossRef] [PubMed]
- Kim, K.; Bou-Ghannam, S.; Thorp, H.; Grainger, D.W.; Okano, T. Human Mesenchymal Stem Cell Sheets in Xeno-Free Media for Possible Allogenic Applications. Sci. Rep. 2019, 9, 1–12. [Google Scholar] [CrossRef] [PubMed]
- León, S.A.; Mei, X.Y.; Safir, O.A.; Gross, A.E.; Kuzyk, P.R. Long-Term Results of Fresh Osteochondral Allografts and Realignment Osteotomy for Cartilage Repair in the Knee. Bone Jt. J. 2019, 101-B, 46–52. [Google Scholar] [CrossRef] [PubMed]
- Kot, M.; Baj-Krzyworzeka, M.; Szatanek, R.; Musiał-Wysocka, A.; Suda-Szczurek, M.; Majka, M. The Importance of HLA Assessment in “off-the-Shelf” Allogeneic Mesenchymal Stem Cells Based-Therapies. Int. J. Mol. Sci. 2019, 20, 5680. [Google Scholar] [CrossRef]
- García-Sancho, J.; Sánchez, A.; Vega, A.; Noriega, D.C.; Nocito, M. Influence of HLA Matching on the Efficacy of Allogeneic Mesenchymal Stromal Cell Therapies for Osteoarthritis and Degenerative Disc Disease. Transplant. Direct 2017, 3, e205. [Google Scholar] [CrossRef] [PubMed]
- Caplan, A.I. Mesenchymal Stem Cells. J. Orthop. Res. 1991, 9, 641–650. [Google Scholar] [CrossRef] [PubMed]
- Caplan, A.I.; Sorrell, J.M. The MSC Curtain That Stops the Immune System. Immunol. Lett. 2015. [Google Scholar] [CrossRef]
- Dominici, M.; Le Blanc, K.; Mueller, I.; Slaper-Cortenbach, I.; Marini, F.; Krause, D.S.; Deans, R.J.; Keating, A.; Prockop, D.J.; Horwitz, E.M. Minimal Criteria for Defining Multipotent Mesenchymal Stromal Cells. The International Society for Cellular Therapy Position Statement. Cytotherapy 2006, 8, 315–317. [Google Scholar] [CrossRef]
- Harrell, C.R.; Markovic, B.S.; Fellabaum, C.; Arsenijevic, A.; Volarevic, V. Mesenchymal Stem Cell-Based Therapy of Osteoarthritis: Current Knowledge and Future Perspectives. Biomed. Pharmacother. 2019, 109, 2318–2326. [Google Scholar] [CrossRef] [PubMed]
- Lee, W.Y.; Wang, B. Cartilage Repair by Mesenchymal Stem Cells: Clinical Trial Update and Perspectives. J. Orthop. Transl. 2017, 76–88. [Google Scholar] [CrossRef] [PubMed]
- Schachtele, S.; Clouser, C.; Aho, J. Markers and Methods to Validate Mesenchymal Stem Cell Identity, Potency, and Quality. R&D Syst. White Pap. 2018. Available online: https://www.rndsystems.com/resources/articles/markers-and-methods-verify-mesenchymal-stem-cell-identity-potency-and-quality (accessed on 4 February 2021).
- Martin, C.; Olmos, É.; Collignon, M.L.; De Isla, N.; Blanchard, F.; Chevalot, I.; Marc, A.; Guedon, E. Revisiting MSC Expansion from Critical Quality Attributes to Critical Culture Process Parameters. Process Biochem. 2017, 59, 231–243. [Google Scholar] [CrossRef]
- Bravery, C.A.; Carmen, J.; Fong, T.; Oprea, W.; Hoogendoorn, K.H.; Woda, J.; Burger, S.R.; Rowley, J.A.; Bonyhadi, M.L.; Van’T Hof, W. Potency Assay Development for Cellular Therapy Products: An ISCT* Review of the Requirements and Experiences in the Industry. Cytotherapy 2013, 9–19.e9. [Google Scholar] [CrossRef] [PubMed]
- 95. FDA.; CBER. Draft Guidance for Industry: Potency Tests for Cellular and Gene Therapy Products. Biotechnol. Law Rep. 2011. [CrossRef]
- Squillaro, T.; Peluso, G.; Galderisi, U. Clinical Trials with Mesenchymal Stem Cells: An Update. Cell Transplant. 2016, 25, 829–848. [Google Scholar] [CrossRef] [PubMed]
- Merckx, G.; Bronckaers, A.; Hilkens, P.; Ratajczak, J.; Lo Monaco, M.; Clegg, P.; Vandeweerd, J.-M.; Gervois, P.; Lambrichts, I. Stem Cells for Cartilage Repair: Preclinical Studies and Insights in Translational Animal Models and Outcome Measures. Stem Cells Int. 2018, 2018, 1–22. [Google Scholar] [CrossRef]
- Saidova, A.A.; Vorobjev, I.A. Lineage Commitment, Signaling Pathways, and the Cytoskeleton Systems in Mesenchymal Stem Cells. Tissue Eng. Part B Rev. 2019, 26, 13–25. [Google Scholar] [CrossRef]
- Yamashita, A.; Nishikawa, S.; Rancourt, D.E. Identification of Five Developmental Processes during Chondrogenic Differentiation of Embryonic Stem Cells. PLoS ONE 2010, 5, e10998. [Google Scholar] [CrossRef] [PubMed]
- Murdoch, A.D.; Grady, L.M.; Ablett, M.P.; Katopodi, T.; Meadows, R.S.; Hardingham, T.E. Chondrogenic Differentiation of Human Bone Marrow Stem Cells in Transwell Cultures: Generation of Scaffold-Free Cartilage. Stem Cells 2007, 25, 2786–2796. [Google Scholar] [CrossRef]
- Xu, J.; Wang, W.; Ludeman, M.; Cheng, K.; Hayami, T.; Lotz, J.C.; Kapila, S. Chondrogenic Differentiation of Human Mesenchymal Stem Cells in Three-Dimensional Alginate Gels. Tissue Eng. Part A 2008, 14, 667–680. [Google Scholar] [CrossRef] [PubMed]
- Liu, Y.; Jiang, X.; Zhang, X.; Chen, R.; Sun, T.; Fok, K.L.; Dong, J.; Tsang, L.L.; Yi, S.; Ruan, Y.; et al. Dedifferentiation-Reprogrammed Mesenchymal Stem Cells with Improved Therapeutic Potential. Stem Cells 2011, 29, 2077–2089. [Google Scholar] [CrossRef]
- Mueller, M.B.; Fischer, M.; Zellner, J.; Berner, A.; Dienstknecht, T.; Prantl, L.; Kujat, R.; Nerlich, M.; Tuan, R.S.; Angele, P. Hypertrophy in Mesenchymal Stem Cell Chondrogenesis: Effect of TGF-β Isoforms and Chondrogenic Conditioning. Cells Tissues Organs 2010, 192, 158–166. [Google Scholar] [CrossRef] [PubMed]
- Deng, Y.; Lei, G.; Lin, Z.; Yang, Y.; Lin, H.; Tuan, R.S. Engineering Hyaline Cartilage from Mesenchymal Stem Cells with Low Hypertrophy Potential via Modulation of Culture Conditions and Wnt/β-Catenin Pathway. Biomaterials 2019, 192, 569–578. [Google Scholar] [CrossRef]
- DeLise, A.M.; Fischer, L.; Tuan, R.S. Cellular Interactions and Signaling in Cartilage Development. Osteoarthr. Cartil. 2000, 8, 309–334. [Google Scholar] [CrossRef]
- Watts, A.E.; Ackerman-Yost, J.C.; Nixon, A.J. A Comparison of Three-Dimensional Culture Systems to Evaluate in Vitro Chondrogenesis of Equine Bone Marrow-Derived Mesenchymal Stem Cells. Tissue Eng. Part A 2013, 19, 2275–2283. [Google Scholar] [CrossRef]
- Li, Y.Y.; Choy, T.H.; Ho, F.C.; Chan, P.B. Scaffold Composition Affects Cytoskeleton Organization, Cell-Matrix Interaction and the Cellular Fate of Human Mesenchymal Stem Cells upon Chondrogenic Differentiation. Biomaterials 2015, 52, 208–220. [Google Scholar] [CrossRef] [PubMed]
- Sasazaki, Y.; Seedhom, B.B.; Shore, R. Morphology of the Bovine Chondrocyte and of Its Cytoskeleton in Isolation and in Situ: Are Chondrocytes Ubiquitously Paired through the Entire Layer of Articular Cartilage? Rheumatology 2008, 47, 1641–1646. [Google Scholar] [CrossRef]
- McMurtrey, R.J. Analytic Models of Oxygen and Nutrient Diffusion, Metabolism Dynamics, and Architecture Optimization in Three-Dimensional Tissue Constructs with Applications and Insights in Cerebral Organoids. Tissue Eng. Part C Methods 2016, 22, 221–249. [Google Scholar] [CrossRef]
- Samal, J.R.K.; Rangasami, V.K.; Samanta, S.; Varghese, O.P.; Oommen, O.P. Discrepancies on the Role of Oxygen Gradient and Culture Condition on Mesenchymal Stem Cell Fate. Adv. Healthc. Mater. 2021, 2002058. [Google Scholar] [CrossRef] [PubMed]
- Shang, J.; Liu, H.; Li, J.; Zhou, Y. Roles of Hypoxia During the Chondrogenic Differentiation of Mesenchymal Stem Cells. Curr. Stem Cell Res. Ther. 2014, 9, 141–147. [Google Scholar] [CrossRef]
- Bae, H.C.; Park, H.J.; Wang, S.Y.; Yang, H.R.; Lee, M.C.; Han, H.S. Hypoxic Condition Enhances Chondrogenesis in Synovium-Derived Mesenchymal Stem Cells. Biomater. Res. 2018, 22, 28. [Google Scholar] [CrossRef]
- Malladi, P.; Xu, Y.; Chiou, M.; Giaccia, A.J.; Longaker, M.T. Effect of Reduced Oxygen Tension on Chondrogenesis and Osteogenesis in Adipose-Derived Mesenchymal Cells. Am. J. Physiol. Cell Physiol. 2006, 290. [Google Scholar] [CrossRef] [PubMed]
- Lafont, J.E.; Talma, S.; Hopfgarten, C.; Murphy, C.L. Hypoxia Promotes the Differentiated Human Articular Chondrocyte Phenotype through SOX9-Dependent and -Independent Pathways. J. Biol. Chem. 2008, 283, 4778–4786. [Google Scholar] [CrossRef]
- Vater, C.; Kasten, P.; Stiehler, M. Culture Media for the Differentiation of Mesenchymal Stromal Cells. Acta Biomater. 2011, 463–477. [Google Scholar] [CrossRef] [PubMed]
- Achilli, T.M.; Meyer, J.; Morgan, J.R. Advances in the Formation, Use and Understanding of Multi-Cellular Spheroids. Expert Opin. Biol. Ther. 2012, 1347–1360. [Google Scholar] [CrossRef]
- Sekiya, I.; Vuoristo, J.T.; Larson, B.L.; Prockop, D.J. In Vitro Cartilage Formation by Human Adult Stem Cells from Bone Marrow Stroma Defines the Sequence of Cellular and Molecular Events during Chondrogenesis. Proc. Natl. Acad. Sci. USA 2002, 99, 4397–4402. [Google Scholar] [CrossRef]
- Zhang, L.; Su, P.; Xu, C.; Yang, J.; Yu, W.; Huang, D. Chondrogenic Differentiation of Human Mesenchymal Stem Cells: A Comparison between Micromass and Pellet Culture Systems. Biotechnol. Lett. 2010, 32, 1339–1346. [Google Scholar] [CrossRef]
- Tamamura, Y.; Otani, T.; Kanatani, N.; Koyama, E.; Kitagaki, J.; Komori, T.; Yamada, Y.; Costantini, F.; Wakisaka, S.; Pacifici, M.; et al. Developmental Regulation of Wnt/β-Catenin Signals Is Required for Growth Plate Assembly, Cartilage Integrity, and Endochondral Ossification. J. Biol. Chem. 2005, 280, 19185–19195. [Google Scholar] [CrossRef] [PubMed]
- Li, J.; Dong, S. The Signaling Pathways Involved in Chondrocyte Differentiation and Hypertrophic Differentiation. Stem Cells Int. 2016, 2016, 1–12. [Google Scholar] [CrossRef] [PubMed]
- Dong, Y.F.; Soung, D.Y.; Schwarz, E.M.; O’Keefe, R.J.; Drissi, H. Wnt Induction of Chondrocyte Hypertrophy through the Runx2 Transcription Factor. J. Cell. Physiol. 2006, 208, 77–86. [Google Scholar] [CrossRef]
- Madeira, C.; Santhagunam, A.; Salgueiro, J.B.; Cabral, J.M.S. Advanced Cell Therapies for Articular Cartilage Regeneration. Trends Biotechnol. 2015, 35–42. [Google Scholar] [CrossRef]
- Vinatier, C.; Mrugala, D.; Jorgensen, C.; Guicheux, J.; Noël, D. Cartilage Engineering: A Crucial Combination of Cells, Biomaterials and Biofactors. Trends Biotechnol. 2009, 307–314. [Google Scholar] [CrossRef]
- Tatman, P.D.; Gerull, W.; Sweeney-Easter, S.; Davis, J.I.; Gee, A.O.; Kim, D.-H. Multiscale Biofabrication of Articular Cartilage: Bioinspired and Biomimetic Approaches. Tissue Eng. Part B Rev. 2015, 21, 543–559. [Google Scholar] [CrossRef] [PubMed]
- Du, Y.; Liu, H.; Yang, Q.; Wang, S.; Wang, J.; Ma, J.; Noh, I.; Mikos, A.G.; Zhang, S. Selective Laser Sintering Scaffold with Hierarchical Architecture and Gradient Composition for Osteochondral Repair in Rabbits. Biomaterials 2017, 137, 37–48. [Google Scholar] [CrossRef] [PubMed]
- Di Bella, C.; Duchi, S.; O’Connell, C.D.; Blanchard, R.; Augustine, C.; Yue, Z.; Thompson, F.; Richards, C.; Beirne, S.; Onofrillo, C.; et al. In Situ Handheld Three-Dimensional Bioprinting for Cartilage Regeneration. J. Tissue Eng. Regen. Med. 2018, 12, 611–621. [Google Scholar] [CrossRef]
- Ansari, M.; Eshghanmalek, M. Biomaterials for Repair and Regeneration of the Cartilage Tissue. Bio-Des. Manuf. 2019, 2, 41–49. [Google Scholar] [CrossRef]
- Bernhard, J.C.; Vunjak-Novakovic, G. Should We Use Cells, Biomaterials, or Tissue Engineering for Cartilage Regeneration? Stem Cell Res. Ther. 2016, 56. [Google Scholar] [CrossRef]
- Campos, Y.; Almirall, A.; Fuentes, G.; Bloem, H.L.; Kaijzel, E.L.; Cruz, L.J. Tissue Engineering: An Alternative to Repair Cartilage. Tissue Eng. Part B Rev. 2019, 357–373. [Google Scholar] [CrossRef] [PubMed]
- Bobacz, K.; Erlacher, L.; Smolen, J.; Soleiman, A.; Graninger, W.B. Chondrocyte Number and Proteoglycan Synthesis in the Aging and Osteoarthritic Human Articular Cartilage. Ann. Rheum. Dis. 2004, 63, 1618–1622. [Google Scholar] [CrossRef] [PubMed]
- Mahboudi, H.; Kazemi, B.; Soleimani, M. Comparison between High Cell-Density Culture Systems for Chondrogenic Differentiation and Articular Cartilage Reconstruction of Human Mesenchymal Stem Cells: A Literature Review. Regen. Reconstr. Restor. 2017, 2, 7–15. [Google Scholar] [CrossRef]
- Mcbeath, R.; Pirone, D.M.; Nelson, C.M.; Bhadriraju, K.; Chen, C.S. Cell Shape, Cytoskeletal Tension, and RhoA Regulate Stem Cell Lineage Commitment. Dev. Cell 2004, 6, 483–495. [Google Scholar] [CrossRef]
- Jubel, A.; Andermahr, J.; Schiffer, G.; Fischer, J.; Rehm, K.E.; Stoddart, M.J.; Häuselmann, H.J. Transplantation of de Novo Scaffold-Free Cartilage Implants into Sheep Knee Chondral Defects. Am. J. Sports Med. 2008, 36, 1555–1564. [Google Scholar] [CrossRef]
- Jang, J.; Lee, J.; Lee, E.; Lee, E.A.; Son, Y. Disc-Type Hyaline Cartilage Reconstruction Using 3D-Cell Sheet Culture of Human Bone Marrow Stromal Cells and Human Costal Chondrocytes and Maintenance of Its Shape and Phenotype after Transplantation. Tissue Eng. Regen. Med. 2016, 13, 352–363. [Google Scholar] [CrossRef] [PubMed]
- Itokazu, M.; Wakitani, S.; Mera, H.; Tamamura, Y.; Sato, Y.; Takagi, M.; Nakamura, H. Transplantation of Scaffold-Free Cartilage-Like Cell-Sheets Made from Human Bone Marrow Mesenchymal Stem Cells for Cartilage Repair: A Preclinical Study. Cartilage 2016, 7, 361–372. [Google Scholar] [CrossRef] [PubMed]
- Elder, S.H.; Cooley, A.J.; Borazjani, A.; Sowell, B.L.; To, H.; Tran, S.C. Production of Hyaline-like Cartilage by Bone Marrow Mesenchymal Stem Cells in a Self-Assembly Model. Tissue Eng. Part A 2009, 15, 3025–3036. [Google Scholar] [CrossRef]
- Wood, J.J.; Malek, M.A.; Frassica, F.J.; Polder, J.A.; Mohan, A.K.; Bloom, E.T.; Braun, M.M.; Coté, T.R. Autologous Cultured Chondrocytes: Adverse Events Reported to the United States Food and Drug Administration. J. Bone Jt. Surg. Am. 2006, 88, 503–507. [Google Scholar] [CrossRef]
- Middendorf, J.M.; Griffin, D.J.; Shortkroff, S.; Dugopolski, C.; Kennedy, S.; Siemiatkoski, J.; Cohen, I.; Bonassar, L.J. Mechanical Properties and Structure-Function Relationships of Human Chondrocyte-Seeded Cartilage Constructs after in Vitro Culture. J. Orthop. Res. 2017, 35, 2298–2306. [Google Scholar] [CrossRef] [PubMed]
- Meyer, U.; Wiesmann, H.P.; Libera, J.; Depprich, R.; Naujoks, C.; Handschel, J. Cartilage Defect Regeneration by Ex Vivo Engineered Autologous Microtissue-Preliminary Results. In Vivo 2012, 26, 251–257. [Google Scholar]
- Iwasa, J.; Engebretsen, L.; Shima, Y.; Ochi, M. Clinical Application of Scaffolds for Cartilage Tissue Engineering. Knee Surg. Sports Traumatol. Arthrosc. 2009, 17, 561–577. [Google Scholar] [CrossRef]
- Malinin, T.; Ouellette, E.A. Articular Cartilage Nutrition Is Mediated by Subchondral Bone: A Long-Term Autograft Study in Baboons. Osteoarthr. Cartil. 2000, 8, 483–491. [Google Scholar] [CrossRef]
- Chu, C.R.; Szczodry, M.; Bruno, S. Animal Models for Cartilage Regeneration and Repair. Tissue Eng. Part B Rev. 2010, 16. [Google Scholar] [CrossRef] [PubMed]
- Pfeifer, C.G.; Fisher, M.B.; Carey, J.L.; Mauck, R.L. Impact of Guidance Documents on Translational Large Animal Studies of Cartilage Repair. Sci. Transl. Med. 2015, 7, 310re9. [Google Scholar] [CrossRef] [PubMed]
- Gregory, M.H.; Capito, N.; Kuroki, K.; Stoker, A.M.; Cook, J.L.; Sherman, S.L. A Review of Translational Animal Models for Knee Osteoarthritis. Arthritis 2012. [Google Scholar] [CrossRef]
- Goetz, J.E.; Fredericks, D.; Petersen, E.; Rudert, M.J.; Baer, T.; Swanson, E.; Roberts, N.; Martin, J.; Tochigi, Y. A Clinically Realistic Large Animal Model of Intra-Articular Fracture That Progresses to Post-Traumatic Osteoarthritis. Osteoarthr. Cartil. 2015. [Google Scholar] [CrossRef]
- Ahern, B.J.; Parvizi, J.; Boston, R.; Schaer, T.P. Preclinical Animal Models in Single Site Cartilage Defect Testing: A Systematic Review. Osteoarthr. Cartil. 2009, 17. [Google Scholar] [CrossRef] [PubMed]
- Hoemann, C.; Kandel, R.; Roberts, S.; Saris, D.B.F.; Creemers, L.; Mainil-Varlet, P.; Méthot, S.; Hollander, A.P.; Buschmann, M.D. International Cartilage Repair Society (ICRS) Recommended Guidelines for Histological Endpoints for Cartilage Repair Studies in Animal Models and Clinical Trials. Cartilage 2011, 2, 153–172. [Google Scholar] [CrossRef]
- Klein, J. Chemistry: Repair or Replacement–A Joint Perspective. Science 2009, 323, 47–48. [Google Scholar] [CrossRef]
- Wong, B.L.; Bae, W.C.; Chun, J.; Gratz, K.R.; Lotz, M.; Sah, R.L. Biomechanics of Cartilage Articulation: Effects of Lubrication and Degeneration on Shear Deformation. Arthritis Rheum. 2008, 58, 2065–2074. [Google Scholar] [CrossRef] [PubMed]
- Unsworth, A.; Dowson, D.; Wright, V. The Frictional Behavior of Human Synovial Joints–Part 1: Natural Joints. J. Lubr. Technol. 1975, 97, 369–376. [Google Scholar] [CrossRef]
- Patel, J.M.; Wise, B.C.; Bonnevie, E.D.; Mauck, R.L. A Systematic Review and Guide to Mechanical Testing for Articular Cartilage Tissue Engineering. Tissue Eng. Part C Methods 2019, 593–608. [Google Scholar] [CrossRef]
- Nakagawa, Y.; Muneta, T.; Otabe, K.; Ozeki, N.; Mizuno, M.; Udo, M.; Saito, R.; Yanagisawa, K.; Ichinose, S.; Koga, H.; et al. Cartilage Derived from Bone Marrow Mesenchymal Stem Cells Expresses Lubricin in Vitro and in Vivo. PLoS ONE 2016, 11, e0148777. [Google Scholar] [CrossRef] [PubMed]
- Lin, W.; Kluzek, M.; Iuster, N.; Shimoni, E.; Kampf, N.; Goldberg, R.; Klein, J. Cartilage-Inspired, Lipid-Based Boundary-Lubricated Hydrogels. Science 2020, 370, 335–338. [Google Scholar] [CrossRef] [PubMed]
- Davatchi, F.; Abdollahi, B.S.; Mohyeddin, M.; Shahram, F.; Nikbin, B. Mesenchymal Stem Cell Therapy for Knee Osteoarthritis. Preliminary Report of Four Patients. Int. J. Rheum. Dis. 2011, 14, 211–215. [Google Scholar] [CrossRef]
- Haraguchi, Y.; Shimizu, T.; Yamato, M.; Okano, T. Concise Review: Cell Therapy and Tissue Engineering for Cardiovascular Disease. Stem Cells Transl. Med. 2012, 1, 136–141. [Google Scholar] [CrossRef]
- Yang, J.; Yamato, M.; Shimizu, T.; Sekine, H.; Ohashi, K.; Kanzaki, M.; Ohki, T.; Nishida, K.; Okano, T. Reconstruction of Functional Tissues with Cell Sheet Engineering. Biomaterials 2007, 5033–5043. [Google Scholar] [CrossRef]
- Yang, J.; Yamato, M.; Kohno, C.; Nishimoto, A.; Sekine, H.; Fukai, F.; Okano, T. Cell Sheet Engineering: Recreating Tissues without Biodegradable Scaffolds. Biomaterials 2005, 26. [Google Scholar] [CrossRef]
- Li, M.; Ma, J.; Gao, Y.; Yang, L. Cell Sheet Technology: A Promising Strategy in Regenerative Medicine. Cytotherapy 2019, 21, 3–16. [Google Scholar] [CrossRef] [PubMed]
- Owaki, T.; Shimizu, T.; Yamato, M.; Okano, T. Cell Sheet Engineering for Regenerative Medicine: Current Challenges and Strategies. Biotechnol. J. 2014, 904–914. [Google Scholar] [CrossRef]
- Yamada, N.; Okano, T.; Sakai, H.; Karikusa, F.; Sawasaki, Y.; Sakurai, Y. Thermo-responsive Polymeric Surfaces; Control of Attachment and Detachment of Cultured Cells. Die Makromol. Chem. Rapid Commun. 1990, 11, 571–576. [Google Scholar] [CrossRef]
- Kobayashi, J.; Kikuchi, A.; Aoyagi, T.; Okano, T. Cell Sheet Tissue Engineering: Cell Sheet Preparation, Harvesting/Manipulation, and Transplantation. J. Biomed. Mater. Res. Part A 2019, 107, 955–967. [Google Scholar] [CrossRef]
- Kushida, A.; Yamato, M.; Konno, C.; Kikuchi, A.; Sakurai, Y.; Okano, T. Decrease in Culture Temperature Releases Monolayer Endothelial Cell Sheets Together with Deposited Fibronectin Matrix from Temperature-Responsive Culture Surfaces. J. Biomed. Mater. Res. 1999, 45, 355–362. [Google Scholar] [CrossRef]
- Matsuda, N.; Shimizu, T.; Yamato, M.; Okano, T. Tissue Engineering Based on Cell Sheet Technology. Adv. Mater. 2007, 19, 3089–3099. [Google Scholar] [CrossRef]
- Nakao, M.; Kim, K.; Nagase, K.; Grainger, D.W.; Kanazawa, H.; Okano, T. Phenotypic Traits of Mesenchymal Stem Cell Sheets Fabricated by Temperature-Responsive Cell Culture Plate: Structural Characteristics of MSC Sheets. Stem Cell Res. Ther. 2019, 10, 353. [Google Scholar] [CrossRef]
- Ingber, D.E.; Dike, L.; Hansen, L.; Karp, S.; Liley, H.; Maniotis, A.; McNamee, H.; Mooney, D.; Plopper, G.; Sims, J.; et al. Cellular Tensegrity: Exploring How Mechanical Changes in the Cytoskeleton Regulate Cell Growth, Migration, and Tissue Pattern during Morphogenesis. Int. Rev. Cytol. 1994, 150, 173–224. [Google Scholar] [CrossRef] [PubMed]
- Wei, Q.; Reidler, D.; Shen, M.Y.; Huang, H. Keratinocyte Cytoskeletal Roles in Cell Sheet Engineering. BMC Biotechnol. 2013, 13, 17. [Google Scholar] [CrossRef] [PubMed]
- Tsuda, Y.; Shimizu, T.; Yamato, M.; Kikuchi, A.; Sasagawa, T.; Sekiya, S.; Kobayashi, J.; Chen, G.; Okano, T. Cellular Control of Tissue Architectures Using a Three-Dimensional Tissue Fabrication Technique. Biomaterials 2007, 28. [Google Scholar] [CrossRef]
- Kikuchi, T.; Shimizu, T.; Wada, M.; Yamato, M.; Okano, T. Automatic Fabrication of 3-Dimensional Tissues Using Cell Sheet Manipulator Technique. Biomaterials 2014, 35. [Google Scholar] [CrossRef]
- Williams, C.; Xie, A.W.; Yamato, M.; Okano, T.; Wong, J.Y. Stacking of Aligned Cell Sheets for Layer-by-Layer Control of Complex Tissue Structure. Biomaterials 2011, 32, 5625–5632. [Google Scholar] [CrossRef]
- Haraguchi, Y.; Shimizu, T.; Sasagawa, T.; Sekine, H.; Sakaguchi, K.; Kikuchi, T.; Sekine, W.; Sekiya, S.; Yamato, M.; Umezu, M.; et al. Fabrication of Functional Three-Dimensional Tissues by Stacking Cell Sheets in Vitro. Nat. Protoc. 2012, 7, 850–858. [Google Scholar] [CrossRef] [PubMed]
- Sekine, W.; Haraguchi, Y.; Shimizu, T.; Yamato, M.; Umezawa, A.; Okano, T. Chondrocyte Differentiation of Human Endometrial Gland-Derived MSCs in Layered Cell Sheets. Sci. World J. 2013, 2013. [Google Scholar] [CrossRef] [PubMed]
- Mitani, G.; Sato, M.; Lee, J.I.; Kaneshiro, N.; Ishihara, M.; Ota, N.; Kokubo, M.; Sakai, H.; Kikuchi, T.; Mochida, J. The Properties of Bioengineered Chondrocyte Sheets for Cartilage Regeneration. BMC Biotechnol. 2009, 9, 17. [Google Scholar] [CrossRef] [PubMed]
- Kaneshiro, N.; Sato, M.; Ishihara, M.; Mitani, G.; Sakai, H.; Mochida, J. Bioengineered Chondrocyte Sheets May Be Potentially Useful for the Treatment of Partial Thickness Defects of Articular Cartilage. Biochem. Biophys. Res. Commun. 2006, 349, 723–731. [Google Scholar] [CrossRef]
- Sekine, H.; Shimizu, T.; Dobashi, I.; Matsuura, K.; Hagiwara, N.; Takahashi, M.; Kobayashi, E.; Yamato, M.; Okano, T. Cardiac Cell Sheet Transplantation Improves Damaged Heart Function via Superior Cell Survival in Comparison with Dissociated Cell Injection. Tissue Eng. Part A 2011, 17, 2973–2980. [Google Scholar] [CrossRef]
- Shimizu, R.; Kamei, N.; Adachi, N.; Hamanishi, M.; Kamei, G.; Mahmoud, E.E.; Nakano, T.; Iwata, T.; Yamato, M.; Okano, T.; et al. Repair Mechanism of Osteochondral Defect Promoted by Bioengineered Chondrocyte Sheet. Tissue Eng. Part A 2014, 21, 1131–1141. [Google Scholar] [CrossRef]
- Ito, S.; Sato, M.; Yamato, M.; Mitani, G.; Kutsuna, T.; Nagai, T.; Ukai, T.; Kobayashi, M.; Kokubo, M.; Okano, T.; et al. Repair of Articular Cartilage Defect with Layered Chondrocyte Sheets and Cultured Synovial Cells. Biomaterials 2012, 33, 5278–5286. [Google Scholar] [CrossRef]
- Ebihara, G.; Sato, M.; Yamato, M.; Mitani, G.; Kutsuna, T.; Nagai, T.; Ito, S.; Ukai, T.; Kobayashi, M.; Kokubo, M.; et al. Cartilage Repair in Transplanted Scaffold-Free Chondrocyte Sheets Using a Minipig Model. Biomaterials 2012, 33, 3846–3851. [Google Scholar] [CrossRef]
- Hamahashi, K.; Sato, M.; Yamato, M.; Kokubo, M.; Mitani, G.; Ito, S.; Nagai, T.; Ebihara, G.; Kutsuna, T.; Okano, T.; et al. Studies of the Humoral Factors Produced by Layered Chondrocyte Sheets. J. Tissue Eng. Regen. Med. 2015, 9, 24–30. [Google Scholar] [CrossRef]
- Kokubo, M.; Sato, M.; Yamato, M.; Mitani, G.; Kutsuna, T.; Ebihara, G.; Okano, T.; Mochida, J. Characterization of Chondrocyte Sheets Prepared Using a Co-Culture Method with Temperature-Responsive Culture Inserts. J. Tissue Eng. Regen. Med. 2016, 10, 486–495. [Google Scholar] [CrossRef]
- Takahashi, T.; Sato, M.; Toyoda, E.; Maehara, M.; Takizawa, D.; Maruki, H.; Tominaga, A.; Okada, E.; Okazaki, K.; Watanabe, M. Rabbit Xenogeneic Transplantation Model for Evaluating Human Chondrocyte Sheets Used in Articular Cartilage Repair. J. Tissue Eng. Regen. Med. 2018, 12, 2067–2076. [Google Scholar] [CrossRef]
- Takizawa, D.; Sato, M.; Okada, E.; Takahashi, T.; Maehara, M.; Tominaga, A.; Sogo, Y.; Toyoda, E.; Watanabe, M. Regenerative Effects of Human Chondrocyte Sheets in a Xenogeneic Transplantation Model Using Immune-Deficient Rats. J. Tissue Eng. Regen. Med. 2020, 14, 1296–1306. [Google Scholar] [CrossRef] [PubMed]
- Sato, M.; Yamato, M.; Mitani, G.; Takagaki, T.; Hamahashi, K.; Nakamura, Y.; Ishihara, M.; Matoba, R.; Kobayashi, H.; Okano, T.; et al. Combined Surgery and Chondrocyte Cell-Sheet Transplantation Improves Clinical and Structural Outcomes in Knee Osteoarthritis. NPJ Regen. Med. 2019, 4. [Google Scholar] [CrossRef] [PubMed]
- Takatori, N.; Sato, M.; Toyoda, E.; Takahashi, T.; Okada, E.; Maehara, M.; Watanabe, M. Cartilage Repair and Inhibition of the Progression of Cartilage Degeneration after Transplantation of Allogeneic Chondrocyte Sheets in a Nontraumatic Early Arthritis Model. Regen. Ther. 2018, 9, 24–31. [Google Scholar] [CrossRef] [PubMed]
- Toyoda, E.; Sato, M.; Takahashi, T.; Maehara, M.; Okada, E.; Wasai, S.; Watanabe, M.; Iijima, H.; Nonaka, K.; Kawaguchi, Y. Transcriptomic and Proteomic Analyses Reveal the Potential Mode of Action of Chondrocyte Sheets in Hyaline Cartilage Regeneration. Int. J. Mol. Sci. 2020, 21, 149. [Google Scholar] [CrossRef] [PubMed]
- Yokoyama, M.; Sato, M.; Umezawa, A.; Mitani, G.; Takagaki, T.; Yokoyama, M.; Kawake, T.; Okada, E.; Kokubo, M.; Ito, N.; et al. Assessment of the Safety of Chondrocyte Sheet Implantation for Cartilage Regeneration. Tissue Eng. Part C Methods 2016, 22, 59–68. [Google Scholar] [CrossRef]
- Kim, K.; Bou-Ghannam, S.; Okano, T. Cell Sheet Tissue Engineering for Scaffold-Free Three-Dimensional (3D) Tissue Reconstruction. In Methods in Cell Biology; Academic Press Inc.: Cambridge, MA, USA; Elsevier: Cambridge, MA, USA, 2020; Volume 157, pp. 143–167. [Google Scholar] [CrossRef]
- Patel, N.G.; Zhang, G. Stacked Stem Cell Sheets Enhance Cell-Matrix Interactions. Organogenesis 2014, 10, 170–176. [Google Scholar] [CrossRef]
- Kim, K.; Utoh, R.; Ohashi, K.; Kikuchi, T.; Okano, T. Fabrication of Functional 3D Hepatic Tissues with Polarized Hepatocytes by Stacking Endothelial Cell Sheets in Vitro. J. Tissue Eng. Regen. Med. 2017, 11, 2071–2080. [Google Scholar] [CrossRef] [PubMed]
- Maehara, M.; Sato, M.; Toyoda, E.; Takahashi, T.; Okada, E.; Kotoku, T.; Watanabe, M. Characterization of Polydactyly-Derived Chondrocyte Sheets versus Adult Chondrocyte Sheets for Articular Cartilage Repair. Inflamm. Regen. 2017, 37, 1–10. [Google Scholar] [CrossRef] [PubMed]
- Madry, H.; Kaul, G.; Cucchiarini, M.; Stein, U.; Zurakowski, D.; Remberger, K.; Menger, M.D.; Kohn, D.; Trippel, S.B. Enhanced Repair of Articular Cartilage Defects in Vivo by Transplanted Chondrocytes Overexpressing Insulin-like Growth Factor I (IGF-I). Gene Ther. 2005, 12, 1171–1179. [Google Scholar] [CrossRef] [PubMed]
- Alkaya, D.; Gurcan, C.; Kilic, P.; Yilmazer, A.; Gurman, G. Where Is Human-Based Cellular Pharmaceutical R&D Taking Us in Cartilage Regeneration? 3 Biotech 2020, 1–13. [Google Scholar] [CrossRef]
- Farhang, N.; Davis, B.; Weston, J.; Ginley-Hidinger, M.; Gertz, J.; Bowles, R.D. Synergistic CRISPRa-Regulated Chondrogenic Extracellular Matrix Deposition without Exogenous Growth Factors. Tissue Eng. Part A 2020, 26, 1169–1179. [Google Scholar] [CrossRef]
- Sridharan, B.; Sharma, B.; Detamore, M.S. A Road Map to Commercialization of Cartilage Therapy in the United States of America. Tissue Eng. Part B Rev. 2015, 22, 15–33. [Google Scholar] [CrossRef]
- Schacker, M.; Seimetz, D. From Fiction to Science: Clinical Potentials and Regulatory Considerations of Gene Editing. Clin. Transl. Med. 2019, 8, 27. [Google Scholar] [CrossRef]
Publisher’s Note: MDPI stays neutral with regard to jurisdictional claims in published maps and institutional affiliations. |
© 2021 by the authors. Licensee MDPI, Basel, Switzerland. This article is an open access article distributed under the terms and conditions of the Creative Commons Attribution (CC BY) license (http://creativecommons.org/licenses/by/4.0/).




