Next Article in Journal
Recognition of Heat-Damaged Corn Seeds Based on Fusion of Laser Ultrasonic Signal and Infrared Image Features
Previous Article in Journal
Harvesting Light: The Interrelation of Spectrum, Plant Density, Secondary Metabolites, and Cannabis sativa L. Yield
 
 
Font Type:
Arial Georgia Verdana
Font Size:
Aa Aa Aa
Line Spacing:
Column Width:
Background:
Article

Using Marker-Assisted Selection to Develop a Drought-Tolerant Rice Line with Enhanced Resistance to Blast and Brown Planthopper

Shanghai Agrobiological Gene Center, No. 2901 Beizhai Road, Shanghai 201106, China
*
Authors to whom correspondence should be addressed.
These authors contributed equally to this work.
Agronomy 2024, 14(11), 2566; https://doi.org/10.3390/agronomy14112566
Submission received: 12 September 2024 / Revised: 22 October 2024 / Accepted: 28 October 2024 / Published: 1 November 2024
(This article belongs to the Section Crop Breeding and Genetics)

Abstract

Rice is a major global staple crop, but rising temperatures and freshwater shortages have made drought one of the most severe abiotic stresses affecting agriculture. Additionally, rice blast disease and brown planthopper infestations significantly impact yields. Therefore, developing water-saving, drought-resistant, high-yielding, and disease-resistant rice varieties is critical for sustainable rice production. The new water-saving and drought-resistant (WDR) rice ‘Huhan 1516’, bred using marker-assisted selection (MAS) and marker-assisted backcrossing (MABC) techniques, addresses these challenges. This variety is highly adaptable to drought-prone and water-scarce regions such as the Yangtze and Huai River basins. With its high yield, drought tolerance, and broad-spectrum resistance to rice blast (conferred by the Pi2 gene) and brown planthopper (BPH), ‘Huhan 1516’ is suitable for various farming systems and environments. Field trials show that this variety outperforms control varieties by 2.2% in yield and exhibits moderate resistance to both rice blast and brown planthopper. ‘Huhan 1516’ has been recognized as a new water-saving and drought-resistant rice variety by the state, and as a released cultivar, it has great potential for market promotion and application.

1. Introduction

Drought, rice blast (Magnaporthe oryzae), and brown planthopper (Nilaparvata lugens) pose significant threats to rice production in China, leading to severe yield losses and impacting food security. Drought, as one of the most serious abiotic stresses, has been increasing in frequency and intensity due to global climate change. In 2022, widespread droughts occurred in several key rice-producing regions of China, including southwestern China, the northern regions, and the middle and lower reaches of the Yangtze River. These droughts, the most severe since 1961, caused rice yields to drop to only 50–60%, with some areas seeing as little as 30% of the expected yield [1]. Such events highlight the critical need to develop high-yielding, drought-tolerant rice varieties to promote sustainable rice production and safeguard China’s food security [2,3,4,5,6].
In addition to the challenges posed by water scarcity, rice blast and brown planthopper infestations further exacerbate rice production losses. Rice blast is one of the most devastating fungal diseases affecting rice crops worldwide, and in China, it has caused significant losses in recent years. Between 2012 and 2021, an average of 3.815 million hectares of rice were affected annually by rice blast, resulting in an average yield loss of 368,000 tons per year [7]. Particularly, in 2014 and 2015, the disease affected more than 5 million hectares annually, leading to actual losses exceeding 500,000 tons [7]. Brown planthopper, another major pest, causes direct damage by feeding on the plant’s sap and indirectly by transmitting viral diseases, such as rice ragged stunt virus, further reducing yields [8,9,10]. Since 2013, the pest has affected an average area of 0.13 billion hectares annually in China, contributing to an average annual rice yield loss of approximately 1.81 million tons [11].
Given the severity of both biotic and abiotic stresses, enhancing rice varieties through breeding programs has become a top priority to ensure sustainable production. Advances in molecular breeding techniques, particularly marker-assisted selection (MAS), have revolutionized the transfer of key resistance genes into new rice varieties. MAS technology offers several advantages over traditional breeding methods, including higher accuracy, increased efficiency, and reduced environmental influence. To illustrate, the Pi2 gene, which confers comprehensive resistance to rice blast, was initially identified and mapped on chromosome 6 by Liu. Subsequently, the researcher developed markers that are closely linked to Pi2, which can be employed in breeding programs [12]. Subsequent studies by Chen led to improvements in the resolution of these markers, thereby enhancing their efficiency in tracking the presence of the Pi2 gene during selection [13]. In addition to Pi2, the closely associated Pi9 gene has also been extensively integrated into breeding programs with the objective of enhancing rice blast resistance. Similarly, the BPH9 gene, which confers resistance to brown planthopper, was mapped by Jena, and it has since been successfully integrated into modern rice varieties through marker-assisted selection (MAS) [6,8,14,15,16,17]. These advancements have significantly contributed to improving rice productivity and resilience, particularly in China.
This study was initiated to address the growing challenges in rice production caused by drought, rice blast, and brown planthopper. We developed a new water-saving and drought-tolerant rice variety, ‘Huhan 1516’, using MAS and marker-assisted backcrossing (MABC). ‘Huhan 1516’ incorporates the Pi2 gene for rice blast resistance and brown planthopper resistance genes, making it a promising candidate for rice cultivation in diverse agro-ecological zones. The variety’s enhanced resistance to drought and pests, combined with its stable yield performance, positions it as a valuable solution for improving rice production sustainability in China and beyond [18].

2. Materials and Methods

2.1. Test Materials

The materials used in this study included a new water-saving and drought-tolerant variety, ‘Huhan 1516’, and a control variety, ‘Hanyou 73’. The primary objective was to evaluate ‘Huhan 1516’ in terms of its drought tolerance, high yield, yield stability, adaptability, and rice quality. To develop ‘Huhan 1516’, we used two parental lines: ‘Huhan 1509’ and W16. ‘Huhan 1509’ carries the Pi2 gene and has demonstrated resistance to rice blast, bacterial leaf blight, and brown planthopper. W16, derived from the hybridization of indica rice materials, exhibits the typical grain shape of indica rice and is known for its good grain quality. Trials for evaluating ‘Huhan 1516’ were conducted over two consecutive years in 13 districts across 9 provinces (cities). The ‘Huhan 1516’ variety certificate was issued in 2022 (Figure S1). In total, 20 regional pilot tests were performed in Anhui, Hubei, Hunan, and 6 additional provinces (cities). The trials were arranged in a completely randomized block design, with three replications. The transplanting method was repeated with 7 rows of 4–5 seedlings per row, with a row spacing of 12 × 30 cm, for a total of 60 rows. ‘Hanyou 73’ was used as the control variety, and the plot size for the regional trials was 13.34 square meters. Yield tests were arranged randomly without replication, and the plot area for yield tests was 333.5 square meters.

2.2. Selection Process

In the summer of 2012, W16 seeds were produced by crossing ‘Jiafuzhan’ with ‘Huanghuazhan’ in Shanghai. In the winter of 2013, F1 seeds were obtained from the cross between ‘Huhan 1509’ and W16. These F1 seeds were then planted in Hainan, where they were crossed back with ‘Huhan 1509’. F0 hybrid seeds were produced by planting the F1 in Shanghai in the summer of 2013 and backcrossing with ‘Huhan 1509’. Subsequently, in the winter of 2013, the F1 backcross generation was planted in Hainan. By the summer of 2014, the F2 generation was planted in dryland fields in Anji, Zhejiang Province, where lines with early resistance were selected and mixed. In total, 10 F5 lines with early tolerance were selected and tested in Hainan during the winter of 2015. Four F5 lines were further selected and compared in Shanghai and Anhui in the summer of 2016. After rigorous evaluation, two strains were chosen for further breeding. In the summer of 2017, rice quality tests were performed in Shanghai, Hunan, and Hubei, while rice blast resistance was evaluated in the Jinggang Mountains and Jinzhai County. Ultimately, a rice line exhibiting water-saving traits, drought resistance, high yield, and good adaptability was selected (Figure 1).

2.3. Identification of Drought Tolerance

In 2020, ‘Huhan 1516’ was assessed for drought tolerance at the flowering stage using a pot experiment at the Fuyang District base of the China Rice Research Institute. Plastic pots with a diameter of 30 cm and a height of 15 cm were used, and each pot was filled with 11 kg of air-dried soil. The soil, collected from the same region, had an organic matter content of 36.1 g/kg, total nitrogen content of 2.70 g/kg, total phosphorus content of 0.62 g/kg, and total potassium content of 20.4 g/kg. Other soil nutrient measurements included available nitrogen (239 mg/kg), available phosphorus (9.8 mg/kg), available potassium (62 mg/kg), and a pH of 6.5. Seedlings were sown on May 12 and transplanted on June 8, with three replications per treatment and two seedlings per pot.
Two water treatments were applied: (1) a control (CK) with shallow water maintained at normal levels, and (2) a drought treatment where water was withheld until the soil moisture level dropped to −50 kPa, which caused the upper leaves of the plants to begin rolling. This drought treatment was sustained for about a week until severe leaf rolling was observed. After rewatering, the plants were allowed to recover and reach full maturity. The main index for identification was the relative seed-setting rate under drought stress, calculated using the following formula:
Relative seed-setting rate (%) = (Seed-setting rate under drought treatment/Seed-setting rate under control (CK)) × 100%.
Drought tolerance was classified according to the Chinese Agricultural Industry Standard, “Technical Specification for Identification of Drought Tolerance of Water-Saving and Drought-Resistant Rice”, with the classification system presented in Table 1. Soil moisture, temperature, and plant growth stages were closely monitored throughout the experiment. The water consumption and irrigation amount of water-saving and drought-resistant rice were measured in ‘Huhan 1516’ and ‘Hanyou 73’, and the test method referenced “A cultivation device for water consumption measurement of water-saving and drought-resistant rice and its method of use” [19]. In the years 2020, 2021, and 2022, two rice varieties, ‘Huhan 1516’ and ‘Hanyou 73’, which are both water-saving and drought-resistant, were tested. The two varieties were transplanted into the cultivation equipment and subjected to six irrigation gradients, with the maximum irrigation amount representing precise quantitative irrigation and the remaining gradients decreasing by 10% of the irrigation amount of the previous gradient. The two varieties were irrigated under these conditions. In accordance with the outcomes of the three-year trial, one representative year should be selected for analysis.

2.4. Identification Method of Natural Induction of Rice Blast

In 2019 and 2020, rice blast resistance was evaluated at six identification sites located in six different provinces. Each experimental plot consisted of 10 rows with 7 plants per row, replicated three times using a randomized block design. Fertilization and water management followed standard field practices. The susceptibility of control materials (CK) varied based on the specific planting environment: WH26 was used in Zhejiang, Xiangwanxian 11 in Hunan and Jiangxi, Guangluai 4 in Hubei, Yuanfengzao in Anhui, and Longheinuo 2 in Fujian. Control plants were placed around the ridge as protection rows and in field operation ditches. Rice blast was evaluated according to the National Identification Standard for Rice Fever in China [20]. Specifically, the disease resistance composite index was calculated by evaluating the incidence of spike blight and the rate of spike blight loss in the rice blast natural induction identification nursery (Table 2). The following formula was used to calculate the comprehensive resistance index of rice blast: Composite Index = Spike plague incidence disease level × 50% + Loss Rate of ear blast disease grade × 50%.

2.5. Identification of Brown Planthopper at the Seedling Stage

The resistance of ‘Huhan 1516’ to brown planthopper was evaluated by the Plant Protection Institute of the China National Rice Research Institute from June to September in 2019 and 2020. The standard SSST method, developed by the International Rice Research Institute (IRRI), was used to assess brown planthopper resistance [21]. After soaking and germination, rice seeds were planted in an appraisal nursery. Each variety had 3 replicates, with 20 plants per replicate. Inoculation was performed at the 2–3-leaf stage, using 5–7 second–third-instar brown planthopper nymphs per plant. When the death rate of the susceptible control variety ‘TN1’ reached approximately 95%, resistance evaluations began. The resistance grading followed IRRI guidelines [22].

2.6. MAS Was Used to Detect the Genes

Functional markers were used to detect the presence of resistance genes related to rice blast and rice quality in BC1F7 population lines. The PCR reaction system (10 μL total volume) consisted of 10.50 ng of DNA template, 1.9 μL of 10× buffer (Aladdin Bio-chemical Technology Co., Ltd., Shanghai, China), 0.5 μL of primers, 0.1 μL of Taq, and ddH2O to 10 μL. The PCR protocol included an initial denaturation step at 94 °C for 3 min, followed by 34 cycles of 94 °C for 30 s, annealing (temperature dependent on the primers) for 30 s, and extension at 72 °C for 1 KB/min, with a final extension at 72 °C for 3 min. Restriction enzyme digestion was performed using 1 μg of PCR product, 1 mL of endonuclease (Solebo Technology Co., Ltd., Beijing, China), and 1 mL of 10× buffer, incubating at 37 °C for 20 min. Primer sequences for detecting resistance genes are shown in Table 3.
The PCR amplification instrument was a Bio-Rad S1000-T100 Gene Amplifier.

2.7. Identification of Rice Quality

After harvest, rice samples were threshed, dried, and stored for 3 months. The brown rice rate, milled rice rate, head rice rate, chalkiness rate, chalkiness size, and chalkiness degree were determined according to the GB/T 17891-2017 standard for high-quality rice.

2.8. RVA (Rapid Visco Analyzer) Profile of Rice Starch

The RVA profile of rice starch was determined using an RVA-TecMaster, following the standard method outlined by the American Association of Cereal Chemists (AACC).

2.9. Determination of Amylose Content in Rice

Amylose content was measured by spectrophotometry according to the method described in “Determination of Amylose in Rice” (NY/T 2639-2014). Milled rice samples weighing approximately 10 g were used for the analysis.

2.10. Statistical Analysis

Phenotypic data and variance were calculated using Excel 2017 (16.0) software. Significant differences between treatments were tested using the Student’s t-test or Fisher’s least significant difference (LSD) test at both the 5% and 1% probability levels. This approach was used to assess differences in traits such as yield, drought tolerance, and resistance to rice blast and brown planthopper between the new cultivar ‘Huhan 1516’ and the control variety.

3. Results

3.1. Main Agronomic Traits and Yield Performance

‘Huhan 1516’ is a medium-maturity rice variety that is both water-saving and drought-resistant. In Shanghai, the variety was planted in a single season, sown on May 23, and entered the milky ripening stage on August 15; the fruiting period lasted for 28 days. It ripened on September 13, with a total fertility period of 114.5 days, which was 0.5 days shorter than that of the control variety ‘Hanyou 73’. The average plant height was 103.2 cm. The average number of effective panicles per hole was 11.6, with an effective panicle length of 25.43 cm. ‘Huhan 1516’ exhibits a moderate plant type, with green bud sheaths, leaf sheaths, and leaves. The stem angle is classified as middle-type, providing the plant with strong elasticity and lodging tolerance. The flag leaf is slightly curled with a light green color, and the color changes noticeably in the later stages of growth. The spike standing characteristic is drooping, and the spike extraction in the secondary branch is good. The color of the spikelet glume is light yellow, and the grains are elongated and spindle-shaped in brown rice, with an average grain length of 6.36 mm (Figure 2 and Table 4).
In 2019, a regional trial of water-saving and drought-resistant rice was conducted by the Yangtze Plain Rice Group. The average yield was 8312.25 kg per hectare, representing a 2.1% increase compared to the control variety (CK). Additionally, the number of effective panicles was 3397 per 1000 hectares, a 36.43% increase over the CK. In 2020, the mean yield per acre was 573.2 kg, showing a 2.3% increase over the CK. The number of effective panicles reached 3593 per 1000 hectares, representing a 28.78% improvement over the CK. Across both years, the average yield per acre was 553.8 kg, with a 2.2% yield increase over the CK, and the number of effective panicles per 1000 hectares reached 3495, a 32.38% increase over the CK (Table 5). From the data analysis of the test results in each test site in Table S1, we concluded that ‘Huhan 1516’ had outstanding comprehensive performance in 20 test sites in six provinces of Anhui, Hubei, Jiangxi Hunan, Fujian and Henan in 2018, with an average of 2 days earlier in the fertility period than the control of ‘Hanyou 73’, and an average increase in yield of 2.11% compared with the control of ‘Hanyou 73’, and the increase in yield reached the level of significance.

3.2. Resistance Analysis

3.2.1. Drought Tolerance Performance and Water Consumption

In a two-year drought resistance evaluation, ‘Huhan 1516’ achieved an average relative seed-setting rate of 63.5% and a drought resistance index of 0.85. In comparison, ‘Hanyou 73’, another water-saving and drought-resistant variety, recorded an average relative seed-setting rate of 61.85% and a drought resistance index of 1.0. Both varieties were classified as ‘Drought-Resistant’ (DR) according to the evaluation criteria (Table 6). Since in the results of the three years of testing, the pattern is basically the same, the results of the data in 2022 were selected for analysis. As shown in Table 7, with the decrease in irrigation amount, ‘Huhan 1516’ showed a significant difference in the decrease in single plant yield when the water consumption was 4707 m3 ha−1, so its water consumption should be the upper gradient of 4707 m3 ha−1, i.e., 5377.5 m3 ha−1, while the water consumption of ‘Hanyou 73’ should be 7105.5 m3 ha−1.

3.2.2. Resistance to Rice Blast

‘Huhan 1516’ was tested for its natural resistance to rice blast in six provinces, including Zhejiang, Hunan, Hubei, Anhui, Fujian, and Jiangxi. Over two years, the average comprehensive resistance index was 4.15, classifying it as ‘Medium Resistant’ (MR). In Fujian, the two-year average comprehensive resistance index was 2.65, classifying it as ‘Highly Resistant’ (HR). By comparison, the control varieties exhibited an average resistance index of 8.5, classified as ‘Highly Susceptible’ (HS) (Table 8).

3.2.3. Resistance to Brown Planthopper

‘Huhan 1516’ was inoculated with brown planthopper at the seedling stage. Over two years, the average damage level from brown planthopper was 5.35, with a resistance level of 5.0, classifying it as ‘Medium Resistant’ (MR). The control variety TN1 had an average damage grade of 9.0, classifying it as ‘Highly Susceptible’ (HS) (Table 9).

3.3. Performance of Rice Quality

In 2020, the rice quality of ‘Huhan 1516’ was compared with ‘Hanyou 73’. The results indicated that ‘Huhan 1516’ exhibited superior brown rice rate, chalkiness, transparency, alkali digestion value, and gel consistency compared to ‘Hanyou 73’. According to the industry standard “Quality of Edible Rice Varieties” (NY/T593-2013), the alkali spreading value for high-quality indica rice should be ≥6.0, and ‘Huhan 1516’ recorded an alkali value of 6.1. As a result, ‘Huhan 1516’ achieved third-grade quality according to the agricultural industry standard (Table 10).

3.4. Functional Gene Analysis of ‘Huhan 1516’

A genome-wide comparison of single nucleotide polymorphisms (SNPs) between ‘Huhan 1509’, ‘Huanghuazhan’, and ‘Huhan 1516’ was conducted to identify functional traits. By analyzing Quantitative Trait Nucleotide (QTN) loci, key genes associated with important agronomic traits were identified. ‘Huhan 1516’ inherited both Pi2 (blast resistance) and BPH9 (brown planthopper resistance) from ‘Huhan 1509’. Furthermore, ‘Huhan 1516’ also inherited desirable traits from ‘Huanghuazhan’, such as genes related to amylose content and rice quality like ALK and AGPlar (Figure 3 and Table S2).
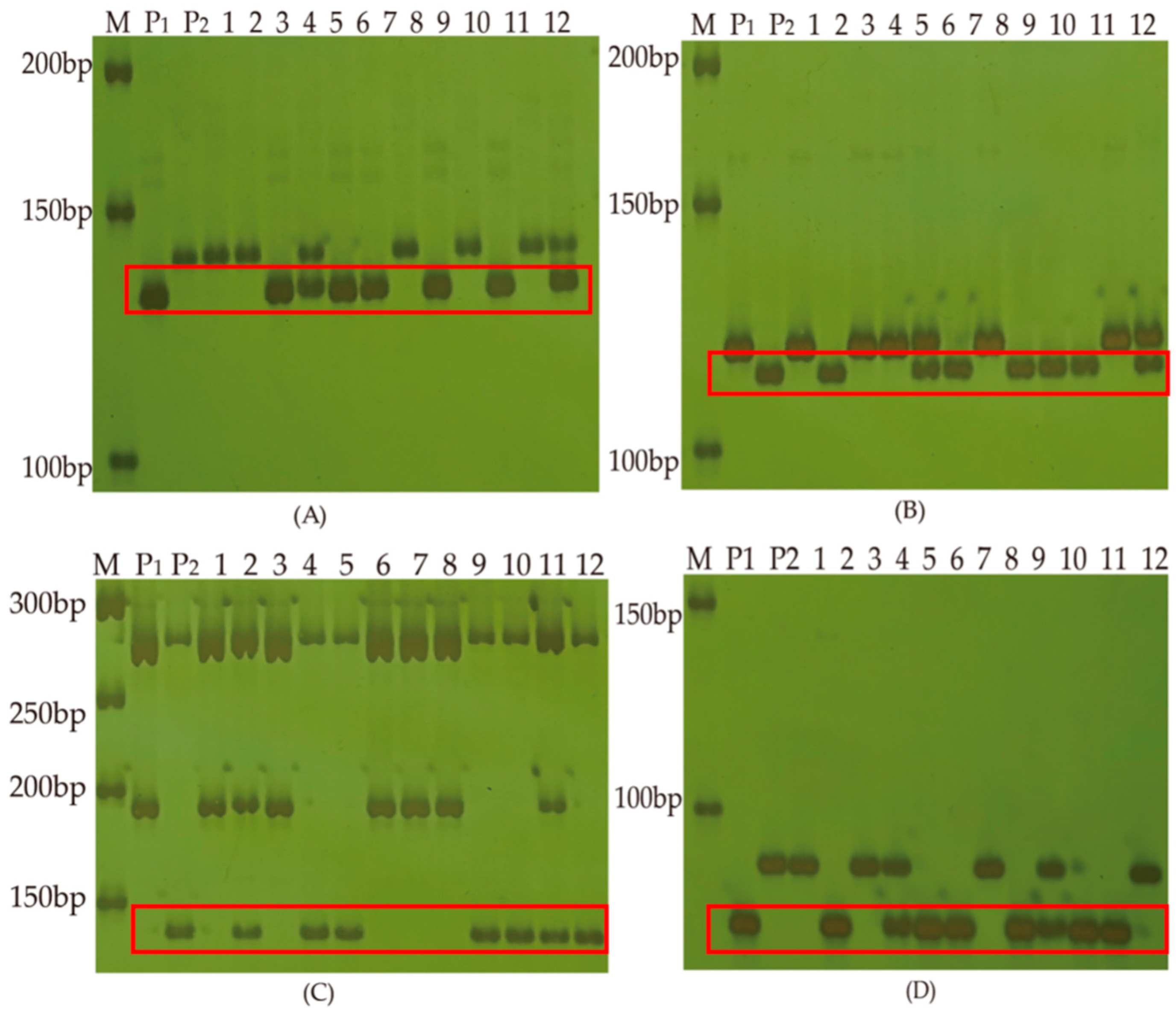
PCR molecular marker validation was performed on four genes from the BC1F7 population. The tenth plant exhibited the alleles of both parents and was identified as the final selection for ‘Hunan 1516’ (Figure 4).

4. Discussion

4.1. High Yield, Good Quality, and Enhanced Resistance: The Molecular Breeding Approach for ‘Huhan 1516’

Rice, as the staple food for more than half of the global population, is under constant threat from pests and diseases, including brown planthopper and rice blast, which can lead to significant yield losses. Developing rice varieties that combine resistance to these biotic stresses with high yield and drought tolerance is essential for sustainable rice production [26,27,28]. In this study, we utilized molecular MAS to enhance breeding efficiency, improving selection accuracy compared to traditional methods [29]. The integration of drought tolerance and biotic resistance traits into ‘Huhan 1516’ was achieved through a combination of shuttle breeding, early screening, and multi-environmental stress evaluations. ‘Huhan 1516’ was developed using key parental lines, ‘Huhan 1509’ and W16, which contributed traits such as early maturity, drought tolerance, high quality, and disease resistance.
Cross-identification in blast nurseries across six provinces and high-yield testing fields in Shanghai, Anhui, Guangxi, and Hubei demonstrated the superior resistance and yield stability of ‘Huhan 1516’. This variety incorporates key traits from both parents, including high yield, wide adaptability, and resistance to rice blast and brown planthopper. Its multi-trait polymerization and wide adaptability make it a promising candidate for large-scale cultivation, especially in regions facing both biotic and abiotic stresses.

4.2. Key Characteristics and Adaptability of ‘Huhan 1516’

‘Huhan 1516’ is characterized by high yield, good quality, and moderate resistance to rice blast. It also possesses early maturity and strong drought and lodging resistance, making it suitable for both direct seeding and dryland farming systems. Regional trials in the Yangtze River Plain and Huaihe River region confirmed its stable performance, with high yields achieved in both single-cropping and rice–wheat stubble systems. Its adaptability to low-yield fields and areas with limited irrigation further underscores its potential for addressing food security concerns in marginal lands.
Compared to other drought-tolerant varieties, ‘Huhan 1516’ offers a unique combination of water-saving, drought resistance, and broad-spectrum disease resistance. Its ability to integrate multiple beneficial traits in a single variety distinguishes it from other varieties that focus on a narrower range of traits.

4.3. Agronomic Practices for ‘Huhan 1516’

‘Huhan 1516’ is well suited for cultivation in both water-seeding and dry-seeding systems, with a recommended planting density of 80,000 seedlings per acre. Standard fertilization and disease management practices, including controlling sheath blight and rice blast, are crucial for optimal performance. This variety’s adaptability to different cultivation systems allows for flexibility in farm management, particularly in regions with varying water availability.

4.4. Limitations and Future Directions

Despite its many advantages, ‘Huhan 1516’ lacks the aromatic qualities that are increasingly demanded by consumers and the market [30,31,32]. To address this, future breeding efforts are already underway to develop fragrant variants of ‘Huhan 1516’ by incorporating fragrance genes, while maintaining its high yield and disease resistance traits.
Additionally, while ‘Huhan 1516’ demonstrated moderate resistance to rice blast and brown planthopper, it may be vulnerable to other pathogens or pests. Further field trials are needed to evaluate its performance under more extreme environmental conditions, such as severe droughts or heavy rainfall. Future research will also focus on employing advanced gene-editing technologies, such as CRISPR/Cas9, to enhance its resistance to a broader range of biotic and abiotic stresses. The combination of biotechnology with traditional breeding methods will be critical in developing future climate-resilient rice varieties that can meet global food security challenges.

Supplementary Materials

The following supporting information can be downloaded at: https://www.mdpi.com/article/10.3390/agronomy14112566/s1, Figure S1: ‘Huhan 1516’ Variety Validation Certificate. Table S1: 2018 ‘Huhan1516’ yield data measured at 20 locations across the country. Table S2: Comparison of genetic data of dominant genes between ‘Huhan 1516’ and its parents.

Author Contributions

Writing—original draft preparation, A.L. and P.Z.; formal analysis, D.K.; investigation, L.W.; funding acquisition, A.Z.; project administration, Y.L. and X.Y.; writing—review and editing, F.W. and L.L. All authors have read and agreed to the published version of the manuscript.

Funding

Shanghai Agricultural Science and Technology Innovation Program (Grant No. T2023202); the earmarked fund for China Agriculture Research System-Rice (CARS-01).

Data Availability Statement

The authors confirm that the data supporting the findings of this study are available within the article.

Conflicts of Interest

The authors declare no conflicts of interest.

References

  1. Zhang, Q. Scientific interpretation of Major drought in the Yangtze River basin in 2022. Dry Weather 2022, 40, 545–548. [Google Scholar]
  2. Passioura, J. The Drought Environment: Physical; Biological and Agricultural Perspective. J. Exp. Bot. 2007, 58, 113–117. [Google Scholar] [CrossRef] [PubMed]
  3. Fageria, N.K. Plant Tissue Test for Determination of Optiacrem Concentration and Uptake of Nitrogen at Different Growth Stages in Lowland Ric. Comacrenications in Soil Science and Plant Analysis. Commun. Soil Sci. Plant Anal. 2003, 34, 259–270. [Google Scholar] [CrossRef]
  4. Gleick, P.H. Water and Conflict: Fresh Water Resources and International Security. Int. Secur. 1993, 18, 79–112. [Google Scholar] [CrossRef]
  5. Gleick, P.H. Basic Water Requirements for Human Activities: Meeting Basic Needs. Water Int. 1996, 21, 83–92. [Google Scholar] [CrossRef]
  6. Henry, A.; IRRI Scientists. Genomics-Assisted Breeding for Drought Tolerance in Rice. Rice 2011, 4, 213–227. [Google Scholar]
  7. Bottrell, D.G.; Schoenly, K.G. Resurrecting the Ghost of Green Revolutions Past: The Brown Planthopper as a Recurring Threat to High-Yielding Rice Production in Tropical Asia. J. Asia-Pac. Entomol. 2012, 15, 122–140. [Google Scholar] [CrossRef]
  8. Fukai, S.; Pantuwan, G.; Jongdee, B.; Cooper, M. Screening for Drought Resistance in Rainfed Lowland Rice. Field Crops Res. 1999, 64, 61–74. [Google Scholar] [CrossRef]
  9. Horgan, F.G.; Srinivasan, T.S.; Bentur, J.S.; Kumar, R.; Bhanu, K.V.; Sarao, P.S.; Wang, H.Y.; Huang, S.H.; Ramal, A.F.; Almazan, M.L. Virulence of Brown Planthopper (Nilaparvata lugens) Populations from South and Southeast Asia against Resistant Rice Varieties. Crop Prot. 2015, 78, 222–231. [Google Scholar] [CrossRef]
  10. Liang, D.; Yu, J.; Song, T.; Zhang, R.; Du, Y.; Yu, M.; Cao, H.; Pan, X.; Qiao, J.; Liu, Y.; et al. A Genome-Wide Alternative Splicing Landscape Specifically Associated with Durable Rice Blast Resistance. Agronomy 2022, 12, 2414. [Google Scholar] [CrossRef]
  11. Fujita, D.; Kohli, A.; Horgan, F.G. Rice Resistance to Planthoppers and Leafhoppers. Crit. Rev. Plant Sci. 2013, 32, 162–191. [Google Scholar] [CrossRef]
  12. Zhuo, F.Y.; Chen, X.X.; Xia, Y.X.; Fu, Q.; Wang, S.; Xu, H.X.; Hu, F.; Zhang, J. The occurrence characteristics of rice diseases and insect pests in our country from 2013 to 2022 are integrated with green control technology. Chin. J. Biol. Control. 2024, 6, 20. [Google Scholar]
  13. Liu, G.; Lu, G.; Zeng, L.; Wang, G.L. Two broad-spectrum blast resistance genes, Pi9(t) and Pi2(t), are physically linked on rice chromosome 6. Mol. Genet. Genom. 2004, 271, 218–226. [Google Scholar] [CrossRef] [PubMed]
  14. Chen, S.; Lin, X.H.; Xu, C.G.; Zhang, Q. Improvement of bacterial blight resistance of ‘Minghui 63’, an elite restorer line of hybrid rice, by molecular marker-assisted selection. Crop Sci. 2007, 47, 1965–1972. [Google Scholar] [CrossRef]
  15. Qu, S.; Liu, G.; Zhou, B.; Bellizzi, M.; Zeng, L.; Dai, L.; Han, B.; Wang, G.L. The broad-spectrum blast resistance gene Pi9 encodes a nucleotide-binding site–leucine-rich repeat protein and is a member of a multigene family in rice. Genetics 2006, 172, 1901–1914. [Google Scholar] [CrossRef]
  16. Jena, K.K.; Jeung, J.U.; Lee, J.H.; Choi, H.C.; Brar, D.S. High-resolution mapping of a new brown planthopper (BPH) resistance gene, BPH9, and marker-assisted selection for BPH resistance in rice. Theor. Appl. Genet. 2006, 112, 288–297. [Google Scholar] [CrossRef]
  17. Mallareddy, M.; Thirumalaikumar, R.; Balasubramanian, P.; Naseeruddin, R.; Nithya, N.; Mariadoss, A.; Eazhilkrishna, N.; Choudhary, A.K.; Deiveegan, M.; Subramanian, E.; et al. Maximizing Water Use Efficiency in Rice Farming: A Comprehensive Review of Innovative Irrigation Management Technologies. Water 2023, 15, 1802. [Google Scholar] [CrossRef]
  18. Dean, R.A.; Talbot, N.J.; Ebbole, D.J.; Farman, M.L.; Mitchell, T.K.; Orbach, M.J.; Thon, M.; Kulkarni, R.; Xu, J.R.; Pan, H.; et al. The Genome Sequence of the Rice Blast Fungus Magnaporthe grisea. Nature 2005, 434, 980–986. [Google Scholar] [CrossRef]
  19. Luo, L.J. Cultivation and industrial development of water-saving and drought-resistant rice. Chin. Rice 2022, 28, 14–19. [Google Scholar]
  20. Bi, J.G.; Liu, G.L.; Zhang, A.N.; Wang, F.M.; Ye, S.F.; Liu, Y.; Yu, X.Q.; Luo, L.J. A cultivation device for measuring water consumption of water-saving and drought-resistant rice and a method for using the same. CN105340658B, 28 May 2019. [Google Scholar]
  21. GB/T 15790-2009; Code for Investigation and Forecast of Rice Blast. State Administration of Quality Supervision, Inspection and Quarantine & Standardization Administration: Beijing, China, 2009.
  22. Heinrichs, E.A. Genetic Evaluation for Insect Resistance in Rice; International Rice Research Institute: Los Banos, Philippines, 1985. [Google Scholar]
  23. International Network for Genetic Evaluation of Rice. Standard Evaluation System for Rice; IRRI, International Rice Research Institute: Los Banos, Philippines, 1996. [Google Scholar]
  24. Gouda, P.K.; Saikumar, S.; Varma, C.M.; Nagesh, K.; Thippeswamy, S.; Shenoy, V.; Mugalodim, S.R.; Shashidhar, H.E. Marker-assisted breeding of Pi-1 and Piz-5 genes imparting resistance to rice blast in PRR 78, restorer line of P usa RH-10 B asmati rice hybrid. Plant Breed. 2013, 132, 61–69. [Google Scholar] [CrossRef]
  25. Xu, L.; You, H.; Zhang, O.; Xiang, X. Genetic effects of soluble starch synthase IV-2 and it with ADP-glucose phosphorylase large unit and pullulanase on rice qualities. Rice 2020, 13, 46. [Google Scholar] [CrossRef] [PubMed]
  26. Chen, Z.; Lu, Y.; Feng, L.; Hao, W.; Li, C.; Yang, Y.; Liu, Q. Genetic dissection and functional differentiation of ALK a and ALKb; two natural alleles of the ALK/SSIIa gene; responding to low gelatinization temperature in rice. Rice 2020, 13, 39. [Google Scholar] [CrossRef] [PubMed]
  27. Wang, Y.; Yue, L.; Yang, N.; Chuan, Z.; Yunna, Z.; Xi, W.; Jun, Y.; Huawei, Z.; Lijing, L.; Yuese, N.; et al. An ERAD-related ubiquitin-conjugating enzyme boosts broad-spectrum disease resistanceand yield in rice. Nat. Food 2023, 4, 774–787. [Google Scholar] [CrossRef] [PubMed]
  28. Veres, A.; Wyckhuys, K.A.; Kiss, J.; Tóth, F.; Burgio, G.; Pons, X.; Avilla, C.; Vidal, S.; Razinger, J.; Bazok, R.; et al. An update of the Worldwide Integrated Assessment (WIA) on systemic pesticides. Part 4: Alternatives in major cropping systems. Environ. Sci. Pollut. Res. 2020, 27, 29867–29899. [Google Scholar]
  29. Imran, M.; Farooq, M.A.; Batool, A.; Shafiq, S.; Junaid, M.; Wang, J.; Tang, X. Impact and mitigation of lead, cadmium and micro/nano plastic in fragrant rice. Environ. Pollut. 2013, 334, 122224. [Google Scholar] [CrossRef]
  30. Liu, G.; Zhu, P.; Liu, Y.; Kong, D.; Wang, J.; Luo, L.; Yu, X. Molecular Marker-Assisted Selection of a New Water-Saving and Drought-Resistant Rice (WDR) Restoration Line, Hanhui 8200, for Enhanced Resistance to Rice Blast. Agronomy 2024, 14, 1504. [Google Scholar] [CrossRef]
  31. Teli, N.A.; Bhat, M.A.; Hussain, A.; Ahangar, M.A.; Ganaie, M.A.; Jehangir, I.A. Response of high valued scented rice to integrated nutrient management under temperate agro climatic conditions. Int. J. Curr. Microbiol. Appl. Sci. 2018, 7, 3496–3502. [Google Scholar] [CrossRef]
  32. Kumar, N.; Kumar, S.; Sravan, U.S.; Singh, S.P. Growth and yield performance of aromatic rice (Oryza sativa L.) as influenced by bio-organics and fertility levels. J. Pharmacogn. Phytochem. 2017, 6, 2131–2136. [Google Scholar]
Figure 1. The breeding pedigree of ‘Huhan 1516’.
Figure 1. The breeding pedigree of ‘Huhan 1516’.
Agronomy 14 02566 g001
Figure 2. Comparison of agronomic traits of three rice varieties, ‘Huhan 1516’, ‘Huhan 1509’, and ‘Huanghuazhan’.
Figure 2. Comparison of agronomic traits of three rice varieties, ‘Huhan 1516’, ‘Huhan 1509’, and ‘Huanghuazhan’.
Agronomy 14 02566 g002
Figure 3. Genes inherited by ‘Huhan 1516’ from its parents, ‘Huhan 1509’ and ‘Huanghuazhan’. The distinctive genes of ‘Huhan 1509’ and ‘Huanghuazhan’ are represented by the yellow and green bars, respectively. The brown bars represent the genes present in both parental lines, with each bar representing a single gene.
Figure 3. Genes inherited by ‘Huhan 1516’ from its parents, ‘Huhan 1509’ and ‘Huanghuazhan’. The distinctive genes of ‘Huhan 1509’ and ‘Huanghuazhan’ are represented by the yellow and green bars, respectively. The brown bars represent the genes present in both parental lines, with each bar representing a single gene.
Agronomy 14 02566 g003
Figure 4. Molecular marker test results showing amplified PCR products for ‘Huhan 1516’. (A) PCR products of parents and offspring were amplified with Pi2 molecular marker; (B) PCR products of parents and offspring were amplified with AGPlar molecular marker; (C) PCR products of parents and offspring were amplified with ALK molecular marker; (D) PCR products of parents and offspring were amplified with SSIIA molecular marker. M: 50 bp marker; P1: ‘Huhan 1509’; P2: ‘Huanghuazhan’; 1–12: PCR products of selected progeny population. The gene sequences have been delineated by the addition of a red square to indicate the corresponding band.
Figure 4. Molecular marker test results showing amplified PCR products for ‘Huhan 1516’. (A) PCR products of parents and offspring were amplified with Pi2 molecular marker; (B) PCR products of parents and offspring were amplified with AGPlar molecular marker; (C) PCR products of parents and offspring were amplified with ALK molecular marker; (D) PCR products of parents and offspring were amplified with SSIIA molecular marker. M: 50 bp marker; P1: ‘Huhan 1509’; P2: ‘Huanghuazhan’; 1–12: PCR products of selected progeny population. The gene sequences have been delineated by the addition of a red square to indicate the corresponding band.
Agronomy 14 02566 g004
Table 1. Methods and grading standards for drought resistance in rice.
Table 1. Methods and grading standards for drought resistance in rice.
Drought ResistanceDrought ClassificationRelative Seed Setting Rate (%)Description
Highly drought-resistant type (HDR)1≥95Compared to the CK, drought stress had little effect on the seed-setting rate, and its relative seed-setting rate was more than 95%.
Drought-resistant (DR)275–95This indicates that the varieties or combinations are more drought-tolerant at the flowering stage, and the relative seed-setting rate is between 75% and 95%, which is slightly affected by drought stress compared to CK.
Medium drought resistance (MDR)355–75This indicates that the varieties or combinations are more tolerant to early flowering, and their seed setting rate is slightly affected by drought stress compared to CK, and the relative seed setting rate is between 55% and 75%.
Unresistant to drought (UR)435–55The seed-setting rate of the tested varieties or combinations decreased greatly after being subjected to early dry stress at the ear stage, and its relative seed-setting rate ranged from 35% to 55%.
Highly unresistant to drought (HUR)5≤35The varieties or combinations were very sensitive to drought at the flowering stage and nearly lost their seed-setting ability after being subjected to drought stress at the heading stage. The relative seed-setting rate was less than 35%.
Table 2. Classification criteria for rice spike blight incidence or rice spike blight loss rate.
Table 2. Classification criteria for rice spike blight incidence or rice spike blight loss rate.
Disease Resistance RatingRice Spike Blight Incidence or Rice Spike Blight Loss Rate
0No disease
1≤5.0%
35.1%~10.0%
510.1%~25.0%
725.1%~50.0%
9≥50.1%
Table 3. Sequences of four marker primers for the identification of genes related to rice quality and resistance to rice blast.
Table 3. Sequences of four marker primers for the identification of genes related to rice quality and resistance to rice blast.
Target GenesPrimer NamePrimer Sequence (5′→3′)Product LengthReferences
Pi2Pi2-FGTGCATGAGTCCAGCTCAAA146 bp[23]
Pi2-RGTGTACTCCCATGGCTGCTC
AGPlarAGPlar M1-FCCTTCAGGTTCAGGCAATCA140 bp[24]
AGPlar M1-RGGAAGGGTGGTGATGTGGAG
ALKALK-GC/TT 1CGTTCGACCCGTTCGAGGACAC144 bp[25]
ALK-GC/TT 2GCCAAGCTTCTTCAGGGAGGCTA
ALK-GC/’TT 3AAGTACAAGGAGAGCTGGAGGGTGC
ALK-GC/TT 4ACATGCCGCGCACCTGGGAA
SSIlaSSIla-FCCAATACCGTAAACTAGCGACTATG90 bp[25]
SSIla-RTACAGGTAGAATGGCAGTGGTG
Table 4. Agronomic and morphological traits of the WDR cultivar ‘Huhan 1516’ based on DUS tests during the 2018 and 2019 crop cycles in Shanghai.
Table 4. Agronomic and morphological traits of the WDR cultivar ‘Huhan 1516’ based on DUS tests during the 2018 and 2019 crop cycles in Shanghai.
DescriptorPhenotype
Flag leafSemi-erect
Leaf blade pubescenceMedium to dense
Leaf ligule lengthExtremely long
Leaf sheath colorGreen
HeightMedium to long (103.20 cm)
Panicle lengthMedium to long (25.43 cm)
Presence of awnsAbsent
Spikelet glume colorPale yellow
Length of hulled grains6.36 mm
Stem angleMiddle
Blade angleIntermediate type
Number of effective panicles in one hole11.60
Full term114.50 d
Table 5. Yield traits of ‘Huhan 1516’ in national regional trial.
Table 5. Yield traits of ‘Huhan 1516’ in national regional trial.
VarietyYearYield (kg ha−1)Effective Panicles (1000 ha−1)Number of Seeds Per SpikeSeed Setting Rate (%)Thousand Seed Weight (g)
‘Huhan 1516’20198017.50 a3397 a145.4 b85.1 a21.9 b
20208607.00 a3593 a151.3 b88.7 a23.3 b
‘Hanyou 73’ (CK)20197852.60 a2490 b178.8 a86.8 a29.4 a
20208413.49 a2790 b161.9 a87.2 a28.7 a
Note: Values in the same column with the same letter indicate no significant difference (p > 0.05), while values with different letters indicate a significant difference (p < 0.05).
Table 6. Two-year evaluation of drought resistance in ‘Huhan 1516’.
Table 6. Two-year evaluation of drought resistance in ‘Huhan 1516’.
VarietyYearRelative Seed-Setting Rate (%)Drought Resistance IndexDrought Resistance Level
‘Huhan 1516’201962.4 a 0.7 b MR
202064.6 a 1.0 a R
‘Hanyou 73’ (CK)201962.4 a 1.0 a R
202061.3 a 1.0 aR
Note: MR: moderate resistance; R: resistance. Values in the same column with the same letter indicate no significant difference (p > 0.05), while values with different letters indicate a significant difference (p < 0.05).
Table 7. Water consumption (m3 ha−1) and yield (g/plant) of two rice varieties.
Table 7. Water consumption (m3 ha−1) and yield (g/plant) of two rice varieties.
Water Treatment Gradient100%90%80%70%60%50%
Irrigation9472.58398.17201.56400.554064726.5
Permeability276166.5963628.519.5
Total water consumption9196.58231.67105.56364.55377.54707
‘Huhan 1516’36.1 a36.5 a34.1 a34.2 a34.2 a31.5 b
‘Hanyou 73’ (CK)37.9 a36.8 a35.4 a34.7 a31.2 b23.7 c
Note: Values in the same column with the same letter indicate no significant difference (p > 0.05), while values with different letters indicate a significant difference (p < 0.05).
Table 8. Comprehensive resistance index to rice blast in ‘Huhan 1516’.
Table 8. Comprehensive resistance index to rice blast in ‘Huhan 1516’.
VarietyYearZhejiangHunanHubeiAnhuiFujianJiangxiAverageEvaluation of Resistance
‘Huhan1516’20195.3 b 4.0 b 5.0 b 5.0 b 2.3 b 4.0 b 4.3 b MR
20204.3 b 5.3 b 5.3 b 2.5 c 3.0 b 3.5 b 4.0 b
‘Hanyou 73’ (CK)20197.5 a 9.0 a 8.5 a 8.8 a 8.5 a 8.5 a 8.5 a HS
20207.6 a 9.0 a 8.4 a8.7 a 8.6 a 8.5 a 8.5 a
Note: MR: moderate resistance; HS: highly susceptible. Values in the same column with the same letter indicate no significant difference (p > 0.05), while values with different letters indicate a significant difference (p < 0.05).
Table 9. Resistance to brown planthopper in ‘Huhan 1516’.
Table 9. Resistance to brown planthopper in ‘Huhan 1516’.
VarietyYearLevel of VictimizationResistance LevelEvaluation of Resistance
‘Huhan 1516’20195.7 b5.0 bMR
20205.0 b5.0 bMR
‘TN1′ (CK)20199.0 a9.0 aHS
20209.0 a9.0 aHS
Note: MR: moderate resistance; HS: highly susceptible. Values in the same column with the same letter indicate no significant difference (p > 0.05), while values with different letters indicate a significant difference (p < 0.05).
Table 10. Yield traits of Huhan 1516 in the national regional trial.
Table 10. Yield traits of Huhan 1516 in the national regional trial.
VarietyYearBrown Rice Percentage (%)Head Rice Percentage (%)Chalkiness Degree (%)TranslucencyAlkali Spreading ValueGel Consistency (mm)Amylose Content (%)Ratio of Length to Width
‘Huhan 1516’202079.1 ± 2.862.7 ± 3.14.3 ± 0.51.0 ± 0.26.1 ± 0.571.0 ± 4.116.2 ± 1.23.2 ± 0.2
‘Hanyou 73’ (CK)202078.9 ± 2.368 ± 1.59.4 ± 0.82.0 ± 0.34.9 ± 0.373.0 ± 3.514.4 ± 0.83.1 ± 0.1
Disclaimer/Publisher’s Note: The statements, opinions and data contained in all publications are solely those of the individual author(s) and contributor(s) and not of MDPI and/or the editor(s). MDPI and/or the editor(s) disclaim responsibility for any injury to people or property resulting from any ideas, methods, instructions or products referred to in the content.

Share and Cite

MDPI and ACS Style

Li, A.; Zhu, P.; Kong, D.; Wang, L.; Zhang, A.; Liu, Y.; Yu, X.; Luo, L.; Wang, F. Using Marker-Assisted Selection to Develop a Drought-Tolerant Rice Line with Enhanced Resistance to Blast and Brown Planthopper. Agronomy 2024, 14, 2566. https://doi.org/10.3390/agronomy14112566

AMA Style

Li A, Zhu P, Kong D, Wang L, Zhang A, Liu Y, Yu X, Luo L, Wang F. Using Marker-Assisted Selection to Develop a Drought-Tolerant Rice Line with Enhanced Resistance to Blast and Brown Planthopper. Agronomy. 2024; 14(11):2566. https://doi.org/10.3390/agronomy14112566

Chicago/Turabian Style

Li, Ao, Peiwen Zhu, Deyan Kong, Lei Wang, Anning Zhang, Yi Liu, Xinqiao Yu, Lijun Luo, and Feiming Wang. 2024. "Using Marker-Assisted Selection to Develop a Drought-Tolerant Rice Line with Enhanced Resistance to Blast and Brown Planthopper" Agronomy 14, no. 11: 2566. https://doi.org/10.3390/agronomy14112566

APA Style

Li, A., Zhu, P., Kong, D., Wang, L., Zhang, A., Liu, Y., Yu, X., Luo, L., & Wang, F. (2024). Using Marker-Assisted Selection to Develop a Drought-Tolerant Rice Line with Enhanced Resistance to Blast and Brown Planthopper. Agronomy, 14(11), 2566. https://doi.org/10.3390/agronomy14112566

Note that from the first issue of 2016, this journal uses article numbers instead of page numbers. See further details here.

Article Metrics

Back to TopTop