Propagation of Pistacia lentiscus var. Chia Genotypes and Determination of Their Ornamental Traits Combined with a Genetic Analysis Using ISSR Markers
Abstract
1. Introduction
2. Materials and Methods
2.1. Plant Material
2.2. Rooting of Shoot Cuttings
2.3. Germination of Seeds
2.4. Morphological Traits Recording
2.5. Genomic DNA Extraction and PCR Amplification Conditions
2.6. Correlation of Morphological Traits with ISSR Markers
3. Results and Discussion
3.1. Asexual Propagation
3.2. Sexual Propagation
3.3. Morphological Analysis of the Traits
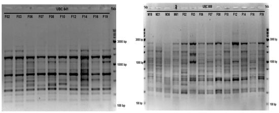
3.4. Genetic Analysis of the Genotypes
3.5. Correlation of Morphological Traits with ISSR Markers
4. Conclusions
Supplementary Materials
Author Contributions
Funding
Institutional Review Board Statement
Informed Consent Statement
Data Availability Statement
Acknowledgments
Conflicts of Interest
Abbreviations
| AFLP | Amplified fragment length polymorphism |
| GA3 | Gibberellic acid |
| gDNA | Genomic DNA |
| IRAP | Inter-retrotransposon amplified polymorphism |
| ISSR | Inter simple sequence repeat |
| ITS | Internal transcribed spacer |
| K-IBA | Potassium salt of indolebutyric acid |
| MRA | Multiple regression analysis |
| PCoA | Principal coordinates analysis |
| PCR | Polymerase chain reaction |
| PIC | Polymorphism information content |
| RAPD | Random amplified polymorphic DNA |
| SSR | Simple sequence repeat |
| UPGMA | Unweighted paired group method analysis |
References
- Al-Saghir, M.G.; Porter, D.M. Taxonomic revision of the genus Pistacia L. (Anacardiaceae). Am. J. Plant Sci. 2012, 3, 12–32. [Google Scholar] [CrossRef]
- Bozorgi, M.; Memariani, Z.; Mobli, M.; Salehi-Surmaghi, M.H.; Shams-Ardekani, M.R.; Rahimi, R. Five Pistacia species (P. vera, P. atlantica, P. terebinthus, P. khinjuk and P. lentiscus): A review of their traditional uses, phytochemistry, and pharmacology. Sci. World J. 2013, 2013, 219815. [Google Scholar] [CrossRef] [PubMed]
- Boratynski, A.; Browicz, K.; Zielinski, J. Chorology of Trees and Shrubs in Greece; Institute of Dendrology, Polish Academy of Sciences: Kornik, Poland, 1992; p. 286. [Google Scholar]
- Browicz, K. Pistacia lentiscus cv. Chia (Anacardiaceae) on Chios Island. Plant Syst. Evol. 1987, 155, 189–195. [Google Scholar] [CrossRef]
- Papada, E.; Kaliora, A.C. Antioxidant and anti-inflammatory properties of mastiha: A review of preclinical and clinical studies. Antioxidants 2019, 8, 208. [Google Scholar] [CrossRef] [PubMed]
- Tzani, A.; Doulamis, I.P.; Konstantopoulos, P.; Tzivras, D.; Perrea, D.N. Chios mastic gum, the natural “tears” with lipid-lowering and anti-atherosclerotic properties: A new drug candidate? Hell. J. Atheroscler. 2018, 9, 1–4. [Google Scholar]
- Alvarez, S.; Rodriguez, P.; Broetto, F.; Sanchez-Blanco, M.J. Long term responses and adaptive strategies of Pistacia lentiscus under moderate and severe deficit irrigation and salinity: Osmotic and elastic adjustment, growth, ion uptake and photosynthetic activity. Agric. Water Manag. 2018, 202, 253–262. [Google Scholar] [CrossRef]
- Cristiano, G.; De Mastro, G.; Fracchiolla, M.; Lasorella, C.; Tufarelli, V.; De Lucia, B.; Cazzato, E. Morphological characteristics of different mastic tree (Pistacia lentiscus L.) accessions in response to salt stress under nursery conditions. J. Plant Sci. 2016, 11, 75–80. [Google Scholar]
- Mascarello, C.; Fascella, G.; Zizzo, G.V.; Mantovani, E.; Ruffoni, B. In vivo and in vitro propagation of Pistacia lentiscus L. Acta Hortic. 2007, 764, 299–306. [Google Scholar] [CrossRef]
- Macdonald, B. Practical Woody Plant Propagation for Nursery Growers; Timber Press: Portland, OR, USA, 2006; p. 669. [Google Scholar]
- Piotto, B.; Bartolini, G.; Bussotti, F.; Asensio, A.A.C.; Garcia, C.; Chessa, I.; Ciccarese, C.; Ciccarese, L.; Crosti, R.; Cullum, F.J.; et al. Fact sheets on the propagation of Mediterranean trees and shrubs from seed. In Seed Propagation of Mediterranean Trees and Shrubs; Piotto, B., Di Noi, A., Eds.; APAT: Roma, Italy, 2003; pp. 11–51. [Google Scholar]
- Piotto, B. Influence of scarification and prechilling on the germination of Pistacia lentiscus. Seed Sci. Technol. 1995, 23, 659–663. [Google Scholar]
- Abu-Qaoud, H. Effect of scarification, gibberellic acid and stratification on seed germination of three Pistacia species. An-Najah Univ. J. Res. A 2007, 21, 1–11. [Google Scholar]
- Garcia-Fayos, P.; Verdu, M. Soil seed bank, factors controlling germination and establishment of a Mediterranean shrub: Pistacia lentiscus L. Acta Oecol. 1998, 19, 357–366. [Google Scholar] [CrossRef]
- Isfendiyaroglu, M. Propagation of Mastic Tree: From Seed to Tissue Culture. In Proceedings of the 4 th International Symposium of Medicinal and Aromatic Plants, Izmir, Turkey, 2–4 October 2018; pp. 209–213. [Google Scholar]
- Mulas, M.; Abeltino, P.; Brigaglia, N. Evaluation of Pistacia lentiscus L. genetic resources to select ecotypes having high efficiency in the colonization of marginal lands. Acta Hortic. 1998, 457, 279–286. [Google Scholar] [CrossRef]
- Joley, L.E.; Opitz, K.W. Further experience with propagation of Pistacia. Comb. Proc. Intern. Plant Prop. Soc. 1971, 21, 67–76. [Google Scholar]
- Kostas, S.; Hatziloukas, E.; Hatzilazarou, S.; Economou, A.S. Efficient vegetative propagation of various clones of mastic tree (Pistacia lentiscus ‘Chia’) through rooting of shoot cuttings. Acta Hortic. 2019, 1242, 739–742. [Google Scholar] [CrossRef]
- Zografou, P.; Linos, A.; Hagidimitriou, M. Genetic diversity among different genotypes of Pistacia lentiscus var. Chia (mastic tree). Options Mediterr. 2010, 94, 159–163. [Google Scholar]
- Abuduli, A.; Aydin, Y.; Sakiroglu, M.; Onay, A.; Ercisli, S.; Uncuoglu, A.A. Molecular evaluation of genetic diversity in wild-type mastic tree (Pistacia lentiscus L.). Biochem. Genet. 2016, 54, 619–635. [Google Scholar] [CrossRef]
- Turhan-Serttas, P.T.; Ozcan, T. Variations studied by ISSR and IRAP markers in mastic tree (Pistacia lentiscus L.) from Turkey. Trakya Univ. J. Nat. Sci. 2018, 19, 147–157. [Google Scholar] [CrossRef][Green Version]
- Kafkas, S.; Perl-Treves, R. Interspecific relationships in Pistacia based on RAPD fingerprinting. HortScience 2002, 37, 168–171. [Google Scholar] [CrossRef]
- Kafkas, S. Phylogenetic analysis of the genus Pistacia by AFLP markers. Plant Syst. Evol. 2006, 262, 113–124. [Google Scholar] [CrossRef]
- Snedecor, G.W.; Cochran, W.C. Statistical Methods, 7th ed.; The Iowa State University Press: Ames, IA, USA, 1980; p. 507. [Google Scholar]
- Klockars, A.; Sax, G. Multiple Comparisons; Sage Publications: Newbury Park, CA, USA, 1986; p. 87. [Google Scholar]
- ISTA (International Seed Testing Association). International rules for seed testing. Seed Sci. Technol. 1999, 27, 333. [Google Scholar]
- Barone, E.; Padulosi, S.; Van Mele, P. Descriptors for Pistachio (Pistaciavera L.); International Plant Genetic Resources Institute (IPGRI): Rome, Italy, 1997; pp. 20–23. [Google Scholar]
- Araújo, F.S.; Pacheco, M.V.; Vieira, F.A.; Ferrari, C.S.; Félix, F.C.; Chagas, K.P.T. ISSR molecular markers for the study of the genetic diversity of Mimosa caesalpiniaefolia Benth. Idesia 2016, 34, 47–52. [Google Scholar] [CrossRef]
- Khaled, A.G.A.; Motawea, M.H.; Said, A.A. Identification of ISSR and RAPD markers linked to yield traits in bread wheat under normal and drought conditions. J. Gen. Eng. Biotech. 2015, 13, 243–252. [Google Scholar] [CrossRef] [PubMed]
- Pharmawati, M.; Yan, G.; Finnegan, P.M. Molecular variation and fingerprinting of Leucadendron cultivars (Proteaceae) by ISSR markers. Ann. Bot. 2005, 95, 1163–1170. [Google Scholar] [CrossRef] [PubMed]
- Nei, M. Genetic distance between populations. Am. Nat. 1972, 106, 283–292. [Google Scholar] [CrossRef]
- Tamura, K.; Dudley, J.; Nei, M.; Kumar, S. MEGA 4: Molecular evolutionary genetics analysis (MEGA) software version 4.0. Mol. Biol. Evol. 2007, 24, 1596–1599. [Google Scholar] [CrossRef]
- Peakall, R.O.D.; Smouse, P.E. GENALEX 6: Genetic analysis in Excel. Population genetic software for teaching and research. Mol. Ecol. Notes 2006, 6, 288–295. [Google Scholar] [CrossRef]
- Nei, M.; Li, W.H. Mathematical model for studying genetic variation in terms of restriction endonucleases. Proc. Natl. Acad. Sci. USA 1979, 76, 5269–5273. [Google Scholar] [CrossRef]
- Botstein, D.; White, R.L.; Skolnick, M.; Davis, R.W. Construction of a genetic linkage map in man using restriction fragment length polymorphisms. Am. J. Hum. Genet. 1980, 32, 314. [Google Scholar]
- Virk, P.S.; Ford-Lloyd, B.V.; Jackson, M.T.; Pooni, H.S.; Clemeno, T.P.; Newbury, H.J. Predicting quantitative variation within rice germplasm using molecular markers. Heredity 1996, 76, 296–304. [Google Scholar] [CrossRef]
- Khadivi-Khub, A. Regression association analysis of fruit traits with molecular markers in cherries. Plant Syst. Evol. 2014, 300, 1163–1173. [Google Scholar] [CrossRef]
- Kar, P.K.; Srivastava, P.P.; Awasthi, A.K.; Urs, S.R. Genetic variability and association of ISSR markers with some biochemical traits in mulberry (Morus spp.) genetic resources available in India. Tree Genet. Genomes 2008, 4, 75–83. [Google Scholar] [CrossRef]
- Ganopoulos, I.V.; Kazantzis, K.; Chatzicharisis, I.; Karayiannis, I.; Tsaftaris, A.S. Genetic diversity, structure and fruit trait associations in Greek sweet cherry cultivars using microsatellite based (SSR/ISSR) and morpho-physiological markers. Euphytica 2011, 181, 237–251. [Google Scholar] [CrossRef]
- Pignatti, G.; Crobeddu, S. Effects of rejuvenation on cutting propagation of Mediterranean shrub species. Forest@-J. Silvic. Forest Ecol. 2005, 2, 290. [Google Scholar] [CrossRef]
- Isfendiyaroglu, M. Effects of some physical and biochemical factors on the rooting of mastic tree (Pistacia lentiscus var. chia Duham.) cuttings. J. Agric. Fac. Ege Univ. 2003, 40, 25–32. [Google Scholar]
- Baskin, C.C.; Baskin, J.M. Seeds: Ecology, Biogeography, and Evolution of Dormancy and Germination; Academic Press: Cambridge, MA, USA, 1998; p. 666. [Google Scholar]
- Pipinis, E.; Milios, E.; Tomazos, N.; Smiris, P. Breaking dormancy and germination of Cotinus coggygria Scop. seeds by means of sulphuric acid scarification, cold stratification and gibberellic acid. Silva Balcanica 2014, 15, 38–46. [Google Scholar]
- Pipinis, E.; Milios, E.; Aslanidou, M.; Mavrokordopoulou, O.; Efthymiou, E.; Smiris, P. Effects of sulphuric acid scarification, cold stratification and plant growth regulators on the germination of Rhus coriaria L. seeds. J. Environ. Prot. Ecol. 2017, 18, 544–552. [Google Scholar]











| Code | Area | Gender | Cultivar | Coordinates Χ | Coordinates Y |
|---|---|---|---|---|---|
| 2F | Sikilia | Female | - | 680268Ε | 4237306Ν |
| 3F | Kadi Petra | Female | - | 680051Ε | 4236549Ν |
| 6F | Fragma | Female | - | 679009Ε | 4234120Ν |
| 7F | Fragma | Female | - | 679005Ε | 4234099Ν |
| 8F | Fragma | Female | - | 678999Ε | 4234138Ν |
| 10F | Kini | Female | - | 679736Ε | 4235717Ν |
| 12F | Lilika | Female | - | 680375Ε | 4231255Ν |
| 14F | Agios Nikolaos | Female | - | 681586Ε | 4232578Ν |
| 16F | Kataraktis | Female | - | 683195Ε | 4237363Ν |
| 19F | Pyrgi | Female | - | 675817Ε | 4232291Ν |
| 1M | Metochi | Male | ‘Mavroschinos’ | 677700E | 4230294N |
| 6M | Rouchouni | Male | ‘Mavroschinos’ | 682558E | 4236737N |
| 7M | AgiosGiannis | Male | ‘Votomos’ | 679714E | 4235678N |
| 8M | Loupadiotis | Male | ‘Psilophyllos’ | 680325E | 4234579N |
| 10M | Schinari | Male | ‘Maroulitis’ | 684075E | 4240009N |
| 15M | Kroulos | Male | ‘Platiphyllos’ | 675399E | 4231913N |
| 18M | Grapti | Male | ‘Psilophyllos’ | 680694E | 4237690N |
| 21M | Agios Minas | Male | ‘Maroulitis’ | 684897E | 4241130N |
| 36M | DitiaMonastiri | Male | ‘Platiphyllos’ | 676043E | 4226922N |
| 61M | P. Monolia | Male | ‘Votomos’ | 681112E | 4235848N |
| Description | |||||
|---|---|---|---|---|---|
| Morphological Traits | 1 | 2 | 3 | 4 | 5 |
| 1. Growth habit | Erect | Semi-erect | Spreading | Drooping | |
| 2. Leaf length | In cm, measured from the base of petiole to the tip of terminal leaflets | ||||
| 3. Leaf width | In cm, measured at the widest part | ||||
| 4. Number of leaflets | Number of leaflets of composite leaf | ||||
| 5. Terminal leaflets length | In cm, measured from the base to the tip of terminal leaflets | ||||
| 6. Terminal leaflets width | In cm, measured at the widest part of terminal leaflets | ||||
| 7. Terminal leaflets shape | Broad lanceolate | Elliptic | Ovate | Round ovate | Roundish |
| 8. Terminal leaflets apex | Acuminate | Mucronate | Mucronulate | Obtuse | Retuse |
| 9. Terminal leaflets base | Attenuate | Obtuse | Truncate | Oblique | |
| 10. Plant height | Small | Medium | Big | ||
| 11. Plant diameter | Small | Medium | Big | ||
| 12. Fruit yielding, in females | Low | Medium | High | ||
| 13. Seed size, in females | In mm, measured at the longest part | ||||
| Number of Roots | Length of Roots (cm) | |||||||
|---|---|---|---|---|---|---|---|---|
| K-IBA Concentration (g·L−1) | K-IBA Concentration (g·L−1) | |||||||
| Genotype | 0 (Control) | 4 | 8 | 16 | 0 (Control) | 4 | 8 | 16 |
| 1M | 1.80b* | 4.72a | 4.41a | 4.89a | 3.20b* | 6.11a | 5.88a | 5.78a |
| 6M | 1.67b | 4.60a | 3.91a | 4.36a | 2.33b | 6.00a | 4.55a | 5.36a |
| 7M | 2.00b | 5.23a | 4.71a | 4.38a | 2.50b | 5.91a | 6.00a | 6.38a |
| 8M | 2.00b | 4.64a | 4.95a | 5.00a | 2.00b | 6.28a | 6.32a | 6.14a |
| 10M | - | 4.88a | 4.10a | 4.55a | - | 4.75a | 5.70a | 5.64a |
| 15M | 1.67b | 3.73a | 4.50a | 4.80a | 2.67c | 4.09b | 4.50ab | 6.20a |
| 18M | - | 4.83a | 3.33a | 4.50a | - | 4.83a | 5.67a | 4.25a |
| 21M | - | 4.72a | 4.50a | 5.17a | - | 6.28a | 6.33a | 5.33a |
| 36M | 1.75b | 4.25a | 5.15a | 4.40a | 2.25b | 6.00a | 6.08a | 5.20a |
| 61M | - | 4.62a | 4.85a | 4.22a | - | 6.33a | 6.25a | 6.00a |
| 2F | 2.00b | 5.00a | 4.43a | 4.20a | 3.00b | 5.65a | 6.29a | 6.00a |
| 3F | - | 4.36a | 4.20a | 4.75a | - | 5.91a | 5.80a | 6.25a |
| 6F | - | 4.56a | 4.91a | 4.91a | - | 6.44a | 6.09a | 5.45a |
| 7F | - | 4.25a | 5.60a | - | - | 5.75a | 5.80a | - |
| 8F | - | 5.00a | - | - | - | 6.00a | - | - |
| 10F | - | 4.29a | 4.60a | - | - | 5.43a | 6.00a | - |
| 12F | - | 3.78a | 4.86a | 4.82a | - | 5.71a | 5.57a | 5.88a |
| 14F | - | 4.60a | 4.50a | 5.09a | - | 5.40a | 5.88a | 6.35a |
| 16F | - | 4.67a | 4.00a | 5.00a | - | 6.22a | 6.13a | 6.38a |
| 19F | 1.83b | 4.75a | 4.67a | 4.36a | 3.50b | 5.88a | 6.22a | 6.21a |
| Average | 2.19b | 4.57a | 4.54a | 4.67a | 2.94b | 5.75a | 5.84a | 5.85a |
| Primer | Sequence | Nt | Tm (°C) | Size Min–Max (bp) | No. of Amplified Bands | No. of Polymorphic Bands | Polymorphic Ratio | PIC |
|---|---|---|---|---|---|---|---|---|
| UBC 807 | AGAGAGAGAGAGAGAGT | 17 | 50.4 | 50–3230 | 27 | 20 | 74% | 0.27 |
| UBC 808 | AGAGAGAGAGAGAGAGC | 17 | 52.8 | 250–2440 | 17 | 13 | 76% | 0.26 |
| UBC 811 | GAGAGAGAGAGAGAGAC | 17 | 52.8 | 130–2290 | 27 | 23 | 85% | 0.31 |
| UBC 818 | CACACACACACACACAG | 17 | 52.8 | 180–1350 | 14 | 14 | 100% | 0.35 |
| UBC 827 | ACACACACACACACACG | 17 | 52.8 | 270–2370 | 16 | 12 | 75% | 0.26 |
| UBC 834 | GAGAGAGAGAGAGAGAYT | 18 | 52.6 | 240–2280 | 18 | 18 | 100% | 0.40 |
| UBC 841 | GAGAGAGAGAGAGAGAYC | 18 | 54.8 | 110–2370 | 19 | 14 | 74% | 0.26 |
| UBC 856 | ACACACACACACACACYA | 18 | 52.5 | 220–3300 | 25 | 21 | 84% | 0.29 |
| ISSR Markers (alleles) | r | R2 | Standard Error | Standardized Beta Coefficients | t Value | p Value | |
|---|---|---|---|---|---|---|---|
| Terminal leaflets length | UBC841440 | 0.717 | 0.514 | 0.072 | 0.531 | 6.253 | 0.000 |
| +UBC856320 | 0.840 | 0.706 | 0.056 | 0.302 | 3.982 | 0.001 | |
| +UBC808750 | 0.894 | 0.799 | 0.063 | −0.393 | −5.021 | 0.000 | |
| +UBC811130 | 0.940 | 0.884 | 0.090 | 0.252 | 3.423 | 0.004 | |
| +UBC8561340 | 0.967 | 0.935 | 0.059 | 0.254 | 3.300 | 0.005 | |
| Number of leaflets | UBC827980 | 0.509 | 0.259 | 0.188 | −0.790 | −7.467 | 0.000 |
| +UBC8563300 | 0.671 | 0.451 | 0.413 | 0.702 | 6.354 | 0.000 | |
| +UBC834720 | 0.861 | 0.741 | 0.166 | 0.542 | 5.356 | 0.000 | |
| +UBC856260 | 0.926 | 0.857 | 0.164 | −0.352 | −3.491 | 0.003 | |
| Terminal leaflets apex | UBC811250 | 0.566 | 0.320 | 0.257 | 0.367 | 3.577 | 0.003 |
| +UBC841730 | 0.760 | 0.578 | 0.253 | 0.459 | 5.233 | 0.000 | |
| +UBC818330 | 0.862 | 0.743 | 0.269 | −0.330 | −3.829 | 0.002 | |
| +UBC8111450 | 0.914 | 0.836 | 0.329 | 0.414 | 4.397 | 0.001 | |
| +UBC841570 | 0.949 | 0.901 | 0.306 | −0.322 | −3.038 | 0.009 | |
| Gender | UBC8412370 | 0.734 | 0.538 | 0.048 | −0.763 | −16.543 | 0.000 |
| +UBC856570 | 0.863 | 0.744 | 0.053 | −0.537 | −11.149 | 0.000 | |
| +UBC8081350 | 0.929 | 0.863 | 0.052 | −0.323 | −6.786 | 0.000 | |
| +UBC811250 | 0.974 | 0.949 | 0.049 | 0.356 | 7.286 | 0.000 | |
| +UBC808750 | 0.986 | 0.972 | 0.056 | −0.172 | −3.378 | 0.005 | |
| Rooting of cuttings with 8 g·L−1 K-IBA | UBC8341490 | 0.828 | 0.685 | 2.906 | −1.081 | −11.348 | 0.000 |
| +UBC827680 | 0.939 | 0.883 | 2.906 | 0.449 | 4.711 | 0.003 | |
| +UBC807600 | 0.978 | 0.956 | 2.466 | 0.281 | 3.187 | 0.019 |
Publisher’s Note: MDPI stays neutral with regard to jurisdictional claims in published maps and institutional affiliations. |
© 2021 by the authors. Licensee MDPI, Basel, Switzerland. This article is an open access article distributed under the terms and conditions of the Creative Commons Attribution (CC BY) license (http://creativecommons.org/licenses/by/4.0/).
Share and Cite
Kostas, S.; Hatzilazarou, S.; Pipinis, E.; Vasileiadis, A.; Magklaras, P.; Smyrnioudis, I.; Vasilakis, T.; Chazakis, M.; Anastasiadi, V.; Ziogou, F.-T.; et al. Propagation of Pistacia lentiscus var. Chia Genotypes and Determination of Their Ornamental Traits Combined with a Genetic Analysis Using ISSR Markers. Agronomy 2021, 11, 205. https://doi.org/10.3390/agronomy11020205
Kostas S, Hatzilazarou S, Pipinis E, Vasileiadis A, Magklaras P, Smyrnioudis I, Vasilakis T, Chazakis M, Anastasiadi V, Ziogou F-T, et al. Propagation of Pistacia lentiscus var. Chia Genotypes and Determination of Their Ornamental Traits Combined with a Genetic Analysis Using ISSR Markers. Agronomy. 2021; 11(2):205. https://doi.org/10.3390/agronomy11020205
Chicago/Turabian StyleKostas, Stefanos, Stefanos Hatzilazarou, Elias Pipinis, Anastasios Vasileiadis, Panagiotis Magklaras, Ilias Smyrnioudis, Tilemachos Vasilakis, Michalis Chazakis, Vasiliki Anastasiadi, Fotios-Theocharis Ziogou, and et al. 2021. "Propagation of Pistacia lentiscus var. Chia Genotypes and Determination of Their Ornamental Traits Combined with a Genetic Analysis Using ISSR Markers" Agronomy 11, no. 2: 205. https://doi.org/10.3390/agronomy11020205
APA StyleKostas, S., Hatzilazarou, S., Pipinis, E., Vasileiadis, A., Magklaras, P., Smyrnioudis, I., Vasilakis, T., Chazakis, M., Anastasiadi, V., Ziogou, F.-T., Kotoula, A., Afendra, A.-S., Hatziloukas, E., & Economou, A. (2021). Propagation of Pistacia lentiscus var. Chia Genotypes and Determination of Their Ornamental Traits Combined with a Genetic Analysis Using ISSR Markers. Agronomy, 11(2), 205. https://doi.org/10.3390/agronomy11020205

