Optimizing Waterborne Polyacrylate Coating for Controlled-Release Fertilizer Using a Wurster Fluidized Bed and Its Effects on Rice Yield
Abstract
1. Introduction
2. Materials and Methods
2.1. Preparation of Polyacrylic Model Films
2.2. Preparation of Polymer-Coated Fertilizers
2.3. Characterization of Model and Coated Films
2.4. Nutrient Release from the Coated Fertilizer in Water
2.5. Rice Yield Performance Assessment
2.6. Statistical Analysis
3. Results
3.1. Traits of Model Films
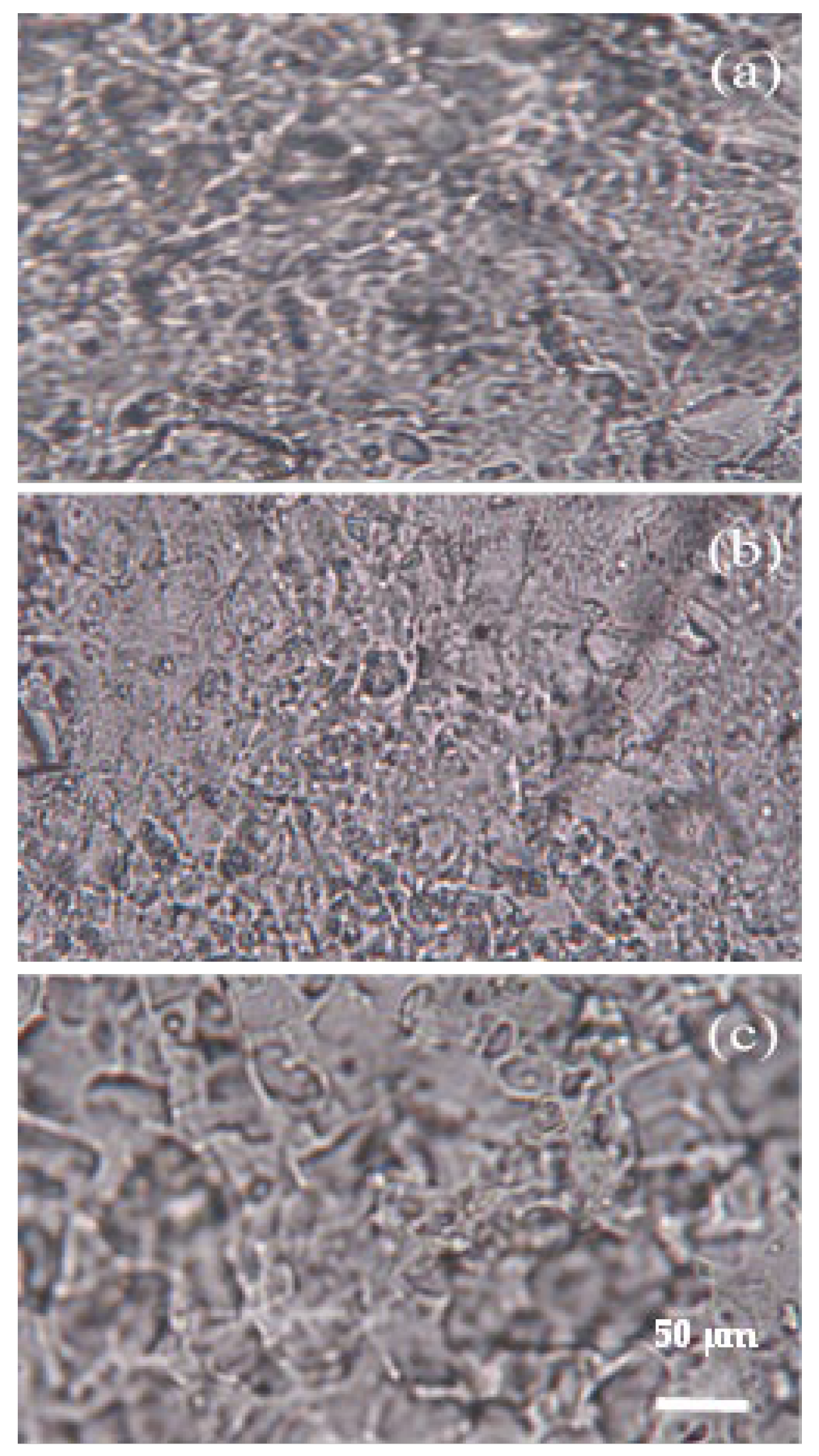
3.2. Surface Morphology and Spectral Characterization of Coated Films
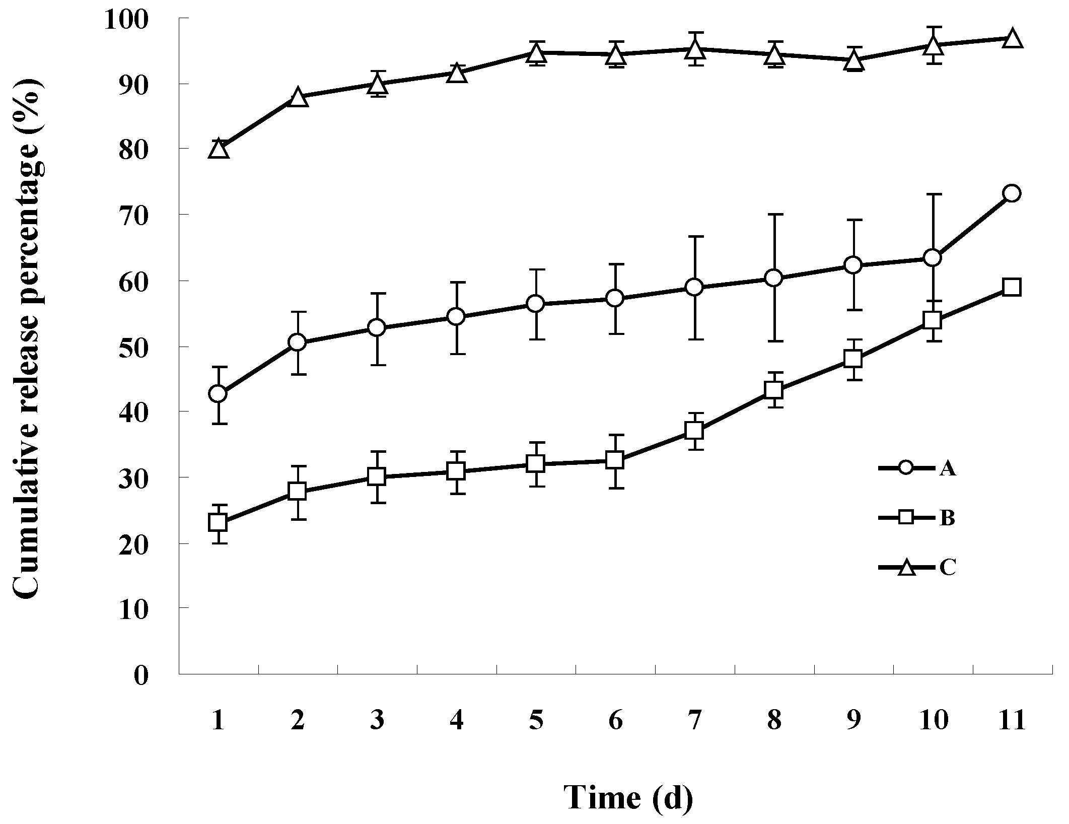
3.3. Nutrient Release in Water
3.4. Effects of Different Slow-/Controlled-Release Fertilizers on Rice Yield
4. Discussion
4.1. Impacts of Cross-Linker and Temperature on the Swelling Capacity
4.2. Impacts of Tg on the Coating
4.3. FTIR-PAS Analysis
4.4. Nutrient Release of Polyacrylate-Coated Fertilizers
4.5. Rice Yield
5. Conclusions
Supplementary Materials
Author Contributions
Funding
Institutional Review Board Statement
Data Availability Statement
Acknowledgments
Conflicts of Interest
Abbreviations
| CRF | Controlled release fertilizer |
| SRF | Slow release fertilizer |
| NPK | Nitrogen, phosphorus and potassium |
| SAPs | superabsorbent polymers |
| PAs | Poly(acrylates) |
| N | nitrogen |
| TGW | Thousand-grain weight |
References
- Ye, H.; Li, H.; Wang, C.; Yang, J.; Huang, G.; Meng, X.; Zhou, Q. Degradable polyester/urea inclusion complex applied as a facile and environment-friendly strategy for slow-release fertilizer: Performance and mechanism. Chem. Eng. J. 2020, 381, 122704. [Google Scholar] [CrossRef]
- Ramli, R.A. Slow release fertilizer hydrogels: A review. Polym. Chem. 2019, 10, 6073–6090. [Google Scholar] [CrossRef]
- Scott, N.R.; Chen, H.; Cui, H. Nanotechnology applications and implications of agrochemicals toward sustainable agriculture and food systems. J. Agric. Food Chem. 2018, 66, 6451–6456. [Google Scholar] [CrossRef]
- Bailey-Serres, J.; Parker, J.E.; Ainsworth, E.A.; Oldroyd, G.E.D.; Schroeder, J.I. Genetic strategies for improving crop yields. Nature 2019, 575, 109–118. [Google Scholar] [CrossRef] [PubMed]
- Chen, K.E.; Chen, H.Y.; Tseng, C.S.; Tsay, Y.F. Improving nitrogen use efficiency by manipulating nitrate remobilization in plants. Nat. Plants 2020, 6, 1126–1135. [Google Scholar] [CrossRef]
- An, X.; Wu, Z.; Qin, H.; Liu, X.; He, Y.; Xu, X.; Li, T.; Yu, B. Integrated co-pyrolysis and coating for the synthesis of a new coated biochar-based fertilizer with enhanced slow-release performance. J. Clean. Prod. 2021, 283, 124642. [Google Scholar] [CrossRef]
- Wang, C.; Luo, D.; Zhang, X.; Huang, R.; Cao, Y.; Liu, G.; Zhang, Y.; Wang, H. Biochar-based slow-release of fertilizers for sustainable agriculture: A mini review. Environ. Sci. Ecotechnol. 2022, 10, 100167. [Google Scholar] [CrossRef]
- Gil-Ortiz, R.; Naranjo, M.A.; Ruiz-Navarro, A.; Atares, S.; García, C.; Zotarelli, L.; Bautista, A.S.; Vicente, O. Enhanced agronomic efficiency using a new controlled-released, polymeric-coated nitrogen fertilizer in rice. Plants 2020, 9, 1183. [Google Scholar] [CrossRef]
- Messiga, A.J.; Dyck, K.; Ronda, K.; van Baar, K.; Haak, D.; Yu, S.; Dorais, M. Nutrients leaching in response to long-term fertigation and broadcast nitrogen in blueberry production. Plants 2020, 9, 1530. [Google Scholar] [CrossRef] [PubMed]
- Guo, J.H.; Liu, X.J.; Zhang, Y.; Shen, J.L.; Han, W.X.; Zhang, W.F.; Christie, P.; Goulding, K.W.T.; Vitousek, P.M.; Zhang, F.S. Significant acidification in major Chinese croplands. Science 2010, 327, 1008–1010. [Google Scholar] [CrossRef]
- Govil, S.; Long, N.V.D.; Escribà-Gelonch, M.; Hessel, V. Controlled-release fertiliser: Recent developments and perspectives. Ind. Crops Prod. 2024, 219, 119160. [Google Scholar] [CrossRef]
- Dong, S.Q.; Cao, B.; Wang, X.X.; Liang, L.N.; Zou, G.Y.; Yuan, L.; Chen, Y.H. Fully bio-based polyurethane coating for environmentally friendly controlled release fertilizer: Construction, degradation mechanism and effect on plant growth. Ind. Crops Prod. 2025, 225, 120437. [Google Scholar] [CrossRef]
- Karnakar, R.R.; Shankapal, P.P.; Suryawanshi, R.D.; Gite, V.V. Coating of urea granules with epoxidised vegetable oil cured by triethylenetetramine for control release: A green approach. Mater. Today Proc. 2022, 60, 1165–1171. [Google Scholar] [CrossRef]
- Kassem, I.; Ablouh, E.; El Bouchtaoui, F.; Jaouahar, M.; El Achaby, M. Polymer coated slow/controlled release granular fertilizers: Fundamentals and research trends. Prog. Mater. Sci. 2024, 144, 101269. [Google Scholar] [CrossRef]
- Shaviv, A. Advances in controlled–release fertilizer. Adv. Agro. 2001, 71, 1–49. [Google Scholar]
- Wang, C.; Li, H.; Shen, Y.; Du, L.; Yang, Z.; He, Z.; Liu, Y.; Zhou, C.; Li, P. Self-healing modification of bio-based polyurethane coated fertilizers with aromatic disulfide compounds to enhance the controlled release of nitrogen. Polymer 2025, 335, 128812. [Google Scholar] [CrossRef]
- Ren, W.; Li, X.; Liu, T.; Chen, N.; Xin, M.; Qi, Q.; Liu, B. Controlled-release fertilizer improved sunflower yield and nitrogen use efficiency by promoting root growth and water and nitrogen capacity. Ind. Crops Prod. 2025, 226, 120671. [Google Scholar] [CrossRef]
- Rindt, D.W.; Blouin, G.M.; Getsinger, J.G. Sulfur coating on nitrogen fertilizer to reduce dissolution rate. J. Agric. Food Chem. 1968, 16, 773–778. [Google Scholar] [CrossRef]
- Blouin, G.M.; Rindt, D.W.; Moore, O.E. Sulfur-coated fertilizers for controlled release: Pilot plant production. J. Agric. Food Chem. 1971, 19, 801–808. [Google Scholar] [CrossRef]
- Fertahi, S.; Ilsouk, M.; Zeroual, Y.; Oukarroum, A.; Barakat, A. Recent trends in organic coating based on biopolymers and biomass for controlled and slow release fertilizers. J. Control. Release 2021, 330, 341–361. [Google Scholar] [CrossRef]
- Devassine, M.; Henry, F.; Guerin, P.; Briand, X. Coating of fertilizers by degradable polymers. Int. J. Pharm. 2002, 242, 399–404. [Google Scholar] [CrossRef]
- Pérez-García, S.; Fernández-Pérez, M.; Villafranca-Sánchez, M.; González-Pradas, E.; Flores-Céspedes, F. Controlled release of ammonium nitrate from ethylcellulose coated formulation. Ind. Eng. Chem. Res. 2007, 46, 3304–3311. [Google Scholar] [CrossRef]
- Jarosiewicz, A.; Tomaszewska, M. Controlled-release NPK fertilizer encapsulated by polymeric. J. Agric. Food Chem. 2003, 51, 413–417. [Google Scholar] [CrossRef]
- Costa, M.M.E.; Cabral-Albuquerque, E.C.M.; Alves, T.L.M.; Pinto, J.C.; Fialho, R.L. Use of polyhydroxybutyrate and ethylcellulose for coating of urea granules. J. Agric. Food Chem. 2013, 61, 9984–9991. [Google Scholar] [CrossRef] [PubMed]
- Azeem, B.; Kushaari, K.; Man, Z.B.; Basit, A.; Thanh, T.H. Review on materials & methods to produce controlled release coated urea fertilizer. J. Control. Release 2014, 181, 11–21. [Google Scholar] [CrossRef]
- Yang, X.; Cao, Y.; Jiang, R. Effect of atomization on membrane structure and characteristics during manufacture of polymer coated controlled-release fertilizer. Chin. J. Chem. Eng. 2008, 59, 778–784. [Google Scholar]
- Ahmad, S.; Ashraf, S.M.; Riaz, U.; Zafar, S. Development of novel waterborne poly(1-naphthy lamine) /poly(vinylalcohol)-resorcinol formaldehyde-cured corrosion resistant composite coatings. Prog. Org. Coat. 2008, 62, 32–39. [Google Scholar] [CrossRef]
- Shen, Y.; Zhao, C.; Zhou, J.; Du, C. Application of waterborne acrylic emulsions in coated controlled release fertilizer using reacted layer technology. Chin. J. Chem. Eng. 2015, 23, 309–314. [Google Scholar] [CrossRef]
- An, X.; Yu, J.; Yu, J.; Tahmasebi, A.; Wu, Z.; Liu, X.; Yu, B. Incorporation of biochar into semi-interpenetrating polymer networks through graft co-polymerization for the synthesis of new slow-release fertilizers. J. Clean. Prod. 2020, 272, 122731. [Google Scholar] [CrossRef]
- Rashidzadeh, A.; Olad, A. Slow-released NPK fertilizer encapsulated by NaAlg-gpoly(AA-co AAm)/MMT superabsorbent nanocomposite. Carbohydr. Polym. 2014, 114, 269–278. [Google Scholar] [CrossRef]
- Wilske, B.; Bai, M.; Lindenstruth, B.; Bach, M.; Rezaie, Z.; Frede, H.G.; Breuer, L. Biodegradability of a polyacrylate superabsorbent in agricultural soil. Environ. Sci. Pollut. Res. 2013, 21, 9453–9460. [Google Scholar] [CrossRef]
- Zhou, Z.; Shen, Y.; Du, C.; Zhou, J.; Qin, Y.; Wu, Y. Economic and soil environmental benefits of using controlled-release bulk blending urea in the north china plain. Land Degrad. Dev. 2017, 28, 2370–2379. [Google Scholar] [CrossRef]
- Shen, Y.; Wang, B.; Zhu, S.; Xie, W.; Wang, S.; Zhao, X. Single application of a new polymer-coated urea improves yield while mitigates environmental issues associated with winter wheat grown in rice paddy soil. Field Crops Res. 2022, 285, 108592. [Google Scholar] [CrossRef]
- Ardra Ashok, K.P.; Saeed, P.A.; Smitha, M.; Sujith, A. Polyvinyl alcohol-soy protein isolate hydrogels: Controlled release of fertilizer and matrix nutrients for sustainable agriculture. J. Clean. Prod. 2024, 451, 141827. [Google Scholar] [CrossRef]
- Zhao, C.; Shen, Y.; Du, C.; Zhou, J.; Wang, H.; Chen, X. Evaluation of waterborne coating for controlled-release fertilizer using Wurster fluidized bed. Ind. Eng. Chem. Res. 2010, 49, 9644–9647. [Google Scholar] [CrossRef]
- Shi, H.; Liang, D.; Deng, H.; Xie, F.; Chen, Z.; Chen, Y.; Lu, Q.; Liu, X.; Zhang, C. Biobased superhydrophobic polymer coatings for slow-release fertilizers via a UV-curing encapsulation method. Ind. Crops Prod. 2022, 188, 115580. [Google Scholar] [CrossRef]
- Dušek, K.; Dušková-Smrčková, M. Network structure formation during crosslinking of organic coating systems. Prog. Polym. Sci. 2000, 25, 1215. [Google Scholar] [CrossRef]
- Shen, Y.; Du, C.; Zhou, J.; Wang, H.; Chen, X. Development of water-borne coated fertilizer using reacted layer technology. Soil Fert. China 2009, 6, 47. [Google Scholar]
- Ruth, H.E.; Horst, H.G.; Christian, B. In situ DRIFT characterization of organic matter composition on soil structural surfaces. Soil Sci. Soc. Am. J. 2009, 73, 531–540. [Google Scholar]
- Wang, B.; Shen, Y.; Xie, W.; Zhu, S.; Zhao, X.; Wang, S. FeIII-tannic acid-modified waterborne polymer-coated urea has agronomic, environmental and economic benefits in flooded rice paddy. J. Clean. Prod. 2021, 321, 129013. [Google Scholar] [CrossRef]






| Code | Fertilizer Type | Nutrient Content |
|---|---|---|
| F1 | Anhui Plasma Research Institute’s nano-fertilizer | N19-P11-K18 |
| F2 | Shenyang Ecology Institute’s rice-specific fertilizer | N26-P11-K11 |
| F3 | Institute of Soil and Fertilizer, Guangdong Academy of Agricultural Sciences: slow/controlled-release BB fertilizer | N23-P7-K20 |
| F4 | Sulfur-coated urea from Kingenta. | N43 |
| F5 | Nanjing Institute of Soil Science’s controlled-release fertilizer | N16-P10-K13 |
| F6 | Conventional compound fertilizer | N46-P12-K60 |
| Materials | A | B | C | A+ | B+ | C+ |
|---|---|---|---|---|---|---|
| Sample weight (mg) | 7.96 | 6.42 | 6.06 | 6.41 | 6.40 | 5.52 |
| Tg (°C) | 10.23 | 14.87 | 25.81 | 10.95 | 15.34 | 27.86 |
| Delta Cp (J/g . °C) | 0.26 | 0.24 | 0.29 | 0.23 | 0.24 | 0.30 |
| Year | Code | Panicle Number (thousand·ha−1) | Grain Number per Panicle | Seed Setting Rate (%) | TGW (g) | Theoretical Yield (t·ha−1) |
|---|---|---|---|---|---|---|
| 2019 | F1 | 3021 ± 108 a | 110 ± 13 ab | 81.1 ± 2.7 a | 27.65 ± 0.34 a | 7.45 ± 0.21 ab |
| F2 | 2985 ± 101 a | 101 ± 15 b | 84.9 ± 2.9 a | 27.98 ± 0.46 a | 7.16 ± 0.25 b | |
| F3 | 2870 ± 168 a | 105 ± 16 b | 80.4 ± 4.8 a | 26.69 ± 0.71 b | 6.47 ± 0.15 c | |
| F4 | 2889 ± 160 a | 103 ± 19 b | 74.8 ± 4.3 b | 26.52 ± 0.62 b | 5.90 ± 0.21 c | |
| F5 | 3025 ± 115 a | 119 ± 11 a | 81.9 ± 2.2 a | 26.74 ± 0.41 b | 7.88 ± 0.11 a | |
| F6 | 2892 ± 170 a | 105 ± 18 b | 75.1 ± 5.4 b | 26.53 ± 0.40 b | 6.05 ± 0.23 c | |
| 2020 | F1 | 3135 ± 132 a | 114 ± 11 ab | 82.9 ± 3.1 a | 29.32 ± 0.34 a | 8.63 ± 0.13 ab |
| F2 | 3105 ± 126 a | 110 ± 12 b | 86.5 ± 2.9 a | 29.28 ± 0.46 a | 8.64 ± 0.18 ab | |
| F3 | 2790 ± 130 a | 119 ± 14 ab | 81.2 ± 3.6 a | 29.39 ± 0.51 a | 7.90 ± 0.15 b | |
| F4 | 2895 ± 146 a | 123 ± 16 a | 75.3 ± 4.3 b | 28.35 ± 0.42 b | 7.60 ± 0.21 b | |
| F5 | 3225 ± 112 a | 126 ± 10 a | 83.8 ± 2.2 a | 28.94 ± 0.32 ab | 9.84 ± 0.11 a | |
| F6 | 3000 ± 151 a | 117 ± 16 ab | 76.6 ± 5.4 b | 28.65 ± 0.56 ab | 7.72 ± 0.23 b |
Disclaimer/Publisher’s Note: The statements, opinions and data contained in all publications are solely those of the individual author(s) and contributor(s) and not of MDPI and/or the editor(s). MDPI and/or the editor(s) disclaim responsibility for any injury to people or property resulting from any ideas, methods, instructions or products referred to in the content. |
© 2025 by the authors. Licensee MDPI, Basel, Switzerland. This article is an open access article distributed under the terms and conditions of the Creative Commons Attribution (CC BY) license (https://creativecommons.org/licenses/by/4.0/).
Share and Cite
Zhao, C.; Huang, X.; Wang, J.; Du, C. Optimizing Waterborne Polyacrylate Coating for Controlled-Release Fertilizer Using a Wurster Fluidized Bed and Its Effects on Rice Yield. Polymers 2025, 17, 2816. https://doi.org/10.3390/polym17212816
Zhao C, Huang X, Wang J, Du C. Optimizing Waterborne Polyacrylate Coating for Controlled-Release Fertilizer Using a Wurster Fluidized Bed and Its Effects on Rice Yield. Polymers. 2025; 17(21):2816. https://doi.org/10.3390/polym17212816
Chicago/Turabian StyleZhao, Cong, Xuefang Huang, Juanling Wang, and Changwen Du. 2025. "Optimizing Waterborne Polyacrylate Coating for Controlled-Release Fertilizer Using a Wurster Fluidized Bed and Its Effects on Rice Yield" Polymers 17, no. 21: 2816. https://doi.org/10.3390/polym17212816
APA StyleZhao, C., Huang, X., Wang, J., & Du, C. (2025). Optimizing Waterborne Polyacrylate Coating for Controlled-Release Fertilizer Using a Wurster Fluidized Bed and Its Effects on Rice Yield. Polymers, 17(21), 2816. https://doi.org/10.3390/polym17212816

