Electrospun Polycaprolactone (PCL) Degradation: An In Vitro and In Vivo Study
Abstract
:1. Introduction
2. Materials and Methods
2.1. Electrospun Mesh Preparation
2.2. In Vitro Degradation Profile
2.3. Morphology, Apparent Density, Porosity, and Surface Area
2.4. Weight Loss and Water Uptake
2.5. Thermal Analysis
2.6. Determination of Molecular Weight
2.7. Determination of Wettability through Contact Angle Measurement
2.8. Mechanical Testing
2.9. Subcutaneous Implantation
2.10. Histology by Hematoxylin and Eosin (H&E) Staining
2.11. Statistical Analysis
3. Results
3.1. Physical Characteristics after In Vitro Degradation Studies
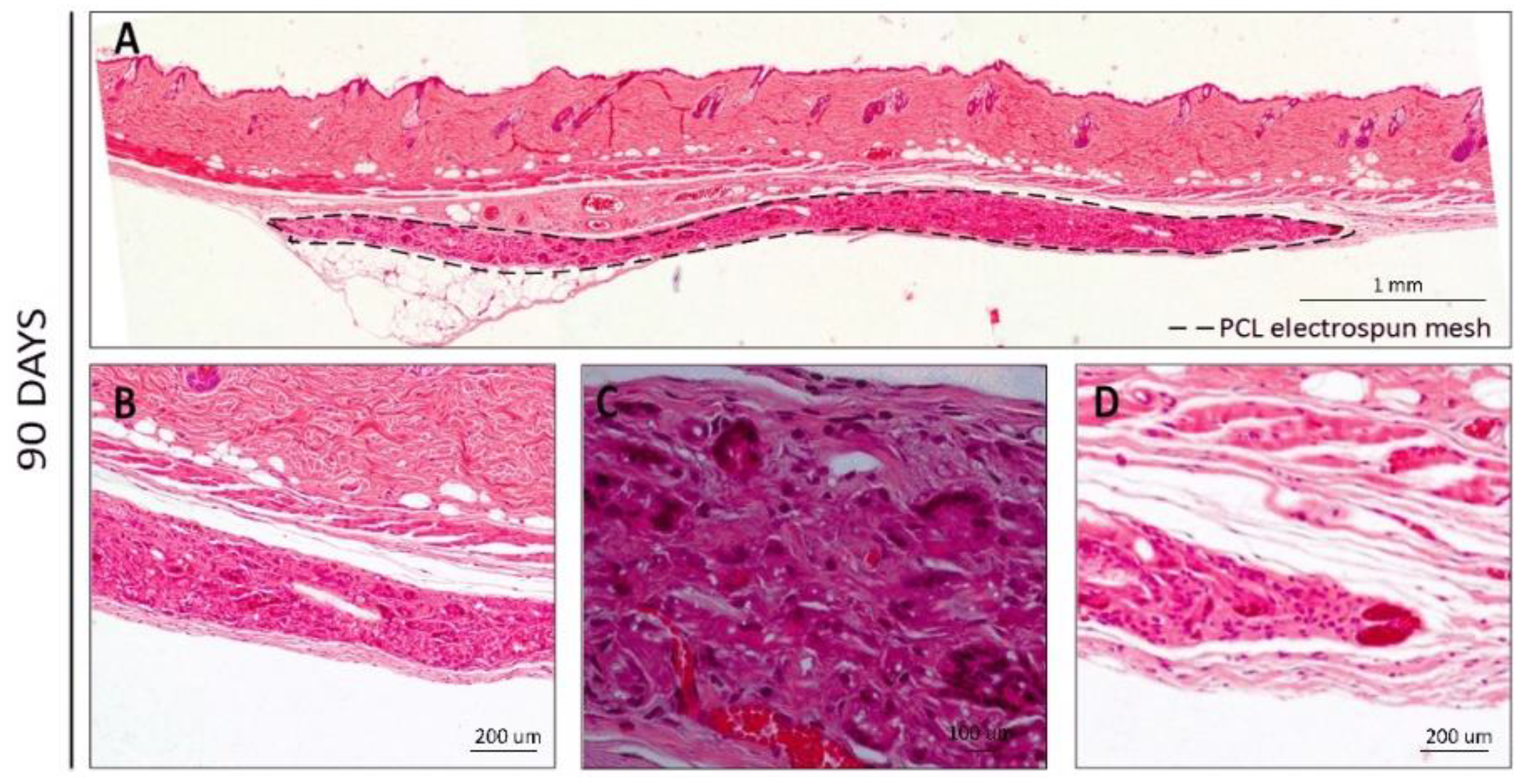
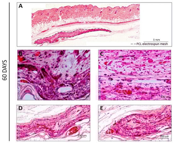
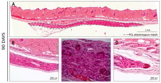
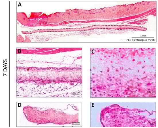
3.2. Behavior after In Vivo Degradation
4. Discussion
5. Conclusions
Author Contributions
Funding
Institutional Review Board Statement
Informed Consent Statement
Data Availability Statement
Acknowledgments
Conflicts of Interest
References
- Dias, J.R.; Baptista-Silva, S.; Sousa, A.; Oliveira, A.L.; Bártolo, P.J.; Granja, P.L. Biomechanical performance of hybrid electrospun structures for skin regeneration. Mater. Sci. Eng. C 2018, 93, 816–827. [Google Scholar] [CrossRef] [PubMed]
- Dias, J.R.; Granja, P.L.; Bártolo, P.J. Advances in electrospun skin substitutes. Prog. Mater. Sci. 2016, 84, 314–334. [Google Scholar] [CrossRef]
- Dias, J.R.; Baptista-Silva, S.; De Oliveira, C.M.T.; Sousa, A.; Oliveira, A.L.; Bártolo, P.J.; Granja, P.L. In situ crosslinked electrospun gelatin nanofibers for skin regeneration. Eur. Polym. J. 2017, 95, 161–173. [Google Scholar] [CrossRef]
- Ferreira, C.A.; Januário, A.P.; Félix, R.; Alves, N.; Lemos, M.F.; Dias, J.R. Multifunctional gelatin/chitosan electrospun wound dressing dopped with Undaria pinnatifida phlorotannin-enriched extract for skin Regeneration. Pharmaceutics 2021, 13, 2152. [Google Scholar] [CrossRef]
- Wang, T.; Zhu, X.K.; Xue, X.T.; Wu, D.Y. Hydrogel sheets of chitosan, honey and gelatin as burn wound dressings. Carbohydr. Polym. 2012, 88, 75–83. [Google Scholar] [CrossRef]
- Bosworth, L.A.; Downes, S. Physicochemical characterization of degrading polycaprolactone scaffolds. Polym. Degrad. Stab. 2010, 95, 2269–2276. [Google Scholar] [CrossRef]
- Okamoto, M.; John, B. Synthetic biopolymer nanocomposites for tissue engineering scaffolds. Prog. Polym. Sci. 2013, 38, 1487–1503. [Google Scholar] [CrossRef]
- Dash, T.K.; Konkimalla, V.B. Poly-є-caprolactone based formulations for drug delivery and tissue engineering: A review. J. Control. Release 2012, 158, 15–33. [Google Scholar] [CrossRef]
- Cipitria, A.; Skelton, A.; Dargaville, T.R.; Dalton, P.D.; Hutmacher, D.W. Design, fabrication and characterization of PCL electrospun scaffolds—A review. J. Mater. Chem. 2011, 21, 9419–9453. [Google Scholar] [CrossRef]
- Patricio, T.; Domingos, M.; Gloria, A.; Bártolo, P. Characterisation of PCL and PCL/PLA scaffolds for tissue engineering. Procedia Cirp. 2013, 5, 110–114. [Google Scholar] [CrossRef]
- Tietz, N.W.; Shuey, D.F. Lipase in serum—The elusive enzyme: An overview. Clin. Chem. 1993, 39, 746–756. [Google Scholar] [CrossRef] [PubMed]
- Gomes, M.E.; Azevedo, H.S.; Moreira, A.R.; Ellä, V.; Kellomäki, M.; Reis, R.L. Starch–poly (ε-caprolactone) and starch–poly (lactic acid) fibre-mesh scaffolds for bone tissue engineering applications: Structure, mechanical properties and degradation behaviour. J. Tissue Eng. Regen. Med. 2008, 2, 243–252. [Google Scholar] [CrossRef] [PubMed]
- He, W.; Ma, Z.; Yong, T.; Teo, W.E.; Ramakrishna, S. Fabrication of collagen-coated biodegradable polymer nanofiber mesh and its potential for endothelial cells growth. Biomaterials 2005, 26, 7606–7615. [Google Scholar] [CrossRef] [PubMed]
- López-Rodríguez, N.; López-Arraiza, A.; Meaurio, E.; Sarasua, J.R. Crystallization, morphology, and mechanical behavior of polylactide/poly (ε-caprolactone) blends. Polym. Eng. Sci. 2006, 46, 1299–1308. [Google Scholar] [CrossRef]
- Crescenzi, V.; Manzini, G.; Calzolari, G.; Borri, C. Thermodynamics of fusion of poly-β-propiolactone and poly-ϵ-caprolactone. comparative analysis of the melting of aliphatic polylactone and polyester chains. Eur. Polym. J. 1972, 8, 449–463. [Google Scholar] [CrossRef]
- Castilla-Cortázar, I.; Más-Estellés, J.; Meseguer-Dueñas, J.M.; Ivirico, J.E.; Marí, B.; Vidaurre, A. Hydrolytic and enzymatic degradation of a poly (ε-caprolactone) network. Polym. Degrad. Stab. 2012, 97, 1241–1248. [Google Scholar] [CrossRef]
- O’brien, F.J. Biomaterials & scaffolds for tissue engineering. Mater. Today 2011, 14, 88–95. [Google Scholar] [CrossRef]
- Leon, C.A.L. New perspectives in mercury porosimetry. Adv. Colloid Interface Sci. 1998, 76, 341–372. [Google Scholar] [CrossRef]
- Garg, T.; Singh, O.; Arora, S.; Murthy, R.S.R. Scaffold: A novel carrier for cell and drug delivery. Crit. Rev.™ Ther. Drug Carr. Syst. 2012, 29, 1–63. [Google Scholar] [CrossRef]
- Freyman, T.M.; Yannas, I.V.; Gibson, L.J. Cellular materials as porous scaffolds for tissue engineering. Prog. Mater. Sci. 2001, 46, 273–282. [Google Scholar] [CrossRef]
- Dhandayuthapani, B.; Yoshida, Y.; Maekawa, T.; Kumar, D.S. Polymeric scaffolds in tissue engineering application: A review. Int. J. Polym. Sci. 2011, 2011, 1–19. [Google Scholar] [CrossRef]
- Liu, S.J.; Kau, Y.C.; Chou, C.Y.; Chen, J.K.; Wu, R.C.; Yeh, W.L. Electrospun PLGA/collagen nanofibrous membrane as early-stage wound dressing. J. Membr. Sci. 2010, 355, 53–59. [Google Scholar] [CrossRef]
- Azevedo, H.S.; Gama, F.M.; Reis, R.L. In vitro assessment of the enzymatic degradation of several starch based biomaterials. Biomacromolecules 2003, 4, 1703–1712. [Google Scholar] [CrossRef] [PubMed]
- Huang, Z.M.; Zhang, Y.Z.; Kotaki, M.; Ramakrishna, S. A review on polymer nanofibers by electrospinning and their applications in nanocomposites. Compos. Sci. Technol. 2003, 63, 2223–2253. [Google Scholar] [CrossRef]
- Greiner, A.; Wendorff, J.H. Electrospinning: A fascinating method for the preparation of ultrathin fibers. Angew. Chem. Int.Ed. 2007, 46, 5670–5703. [Google Scholar] [CrossRef]
- Picciani, P.H.; Medeiros, E.S.; Pan, Z.; Wood, D.F.; Orts, W.J.; Mattoso, L.H.; Soares, B.G. Structural, electrical, mechanical, and thermal properties of electrospun poly (lactic acid)/polyaniline blend fibers. Macromol. Mater. Eng. 2010, 295, 618–627. [Google Scholar] [CrossRef]
- Peng, H.; Ling, J.; Liu, J.; Zhu, N.; Ni, X.; Shen, Z. Controlled enzymatic degradation of poly (ɛ-caprolactone)-based copolymers in the presence of porcine pancreatic lipase. Polym. Degrad. Stab. 2010, 95, 643–650. [Google Scholar] [CrossRef]
- Chanda, M.; Roy, S.K. Plastics Technology Handbook; CRC Press: Boca Raton, FL, USA, 2007. [Google Scholar] [CrossRef]
- Azevedo, H.S.; Reis, R.L. Understanding the Enzymatic Degradation of Biodegradable Polymers and Strategies to Control Their Degradation Rate; Biodegradable Systems in Tissue Engineering and Regenerative Medicine; CRC Press: Boca Raton, FL, USA, 2005; pp. 177–201. [Google Scholar] [CrossRef]
- Vogel, H.G. Age dependence of mechanical and biochemical properties of human skin. I: Stress-strain experiments, skin thickness and biochemical analysis. Bioeng. Ski. 1987, 3, 67–91. [Google Scholar] [CrossRef]
- Jansen, L.H.; Rottier, P.B. Some mechanical properties of human abdominal skin measured on excised strips. Dermatology 1958, 117, 65–83. [Google Scholar] [CrossRef]
- Jacquemoud, C.; Bruyere-Garnier, K.; Coret, M. Methodology to determine failure characteristics of planar soft tissues using a dynamic tensile test. J. Biomech. 2007, 40, 468–475. [Google Scholar] [CrossRef]
- Pan, J.F.; Liu, N.H.; Sun, H.; Xu, F. Preparation and characterization of electrospun PLCL/poloxamer nanofibers and dextran/gelatin hydrogels for skin tissue engineering. PLoS ONE 2014, 9, e0112885. [Google Scholar] [CrossRef] [PubMed]
- Ulery, B.D.; Nair, L.S.; Laurencin, C.T. Biomedical applications of biodegradable polymers. J. Polym. Sci. Part B Polym. Phys. 2011, 49, 832–864. [Google Scholar] [CrossRef] [PubMed]
- Modulevsky, D.J.; Cuerrier, C.M.; Pelling, A.E. Biocompatibility of subcutaneously implanted plant-derived cellulose biomaterials. PLoS ONE 2016, 11, e0157894. [Google Scholar] [CrossRef] [PubMed]
- Trindade, R.; Albrektsson, T.; Tengvall, P.; Wennerberg, A. Foreign body reaction to biomaterials: On mechanisms for buildup and breakdown of osseointegration. Clin. Implant. Dent. Relat. Res. 2016, 18, 192–203. [Google Scholar] [CrossRef]
- Meseguer-Duenas, J.M.; Más-Estellés, J.; Castilla-Cortázar, I.; Escobar Ivirico, J.L.; Vidaurre, A. Alkaline degradation study of linear and network poly (ε-caprolactone). J. Mater. Sci. Mater. Med. 2011, 22, 11–18. [Google Scholar] [CrossRef] [PubMed]
- Uhrich, K.E.; Cannizzaro, S.M.; Langer, R.S.; Shakesheff, K.M. Polymeric systems for controlled drug release. Chem. Rev. 1999, 99, 3181–3198. [Google Scholar] [CrossRef] [PubMed]
- Natu, M.V.; de Sousa, H.C.; Gil, M.H. Influence of polymer processing technique on long term degradation of poly (ε-caprolactone) constructs. Polym. Degrad. Stab. 2013, 98, 44–51. [Google Scholar] [CrossRef]
- Jiang, T.; Zhang, G.; He, W.; Li, H.; Jin, X. The tissue response and degradation of electrospun poly (ε-caprolactone)/poly (trimethylene-carbonate) scaffold in subcutaneous space of mice. J. Nanomater. 2014, 2014, 837695. [Google Scholar] [CrossRef]
- Shi, R.; Xue, J.; Wang, H.; Wang, R.; Gong, M.; Chen, D.; Zhang, L.; Tian, W. Fabrication and evaluation of a homogeneous electrospun PCL–gelatin hybrid membrane as an anti-adhesion barrier for craniectomy. J. Mater. Chem. B 2015, 3, 4063–4073. [Google Scholar] [CrossRef]
- Xue, J.; He, M.; Liang, Y.; Crawford, A.; Coates, P.; Chen, D.; Shi, R.; Zhang, L. Fabrication and evaluation of electrospun PCL–gelatin micro-/nanofiber membranes for anti-infective GTR implants. J. Mater. Chem. B 2014, 2, 6867–6877. [Google Scholar] [CrossRef]
- Bölgen, N.; Menceloğlu, Y.Z.; Acatay, K.; Vargel, İ.B.R.A.H.İ.M.; Pişkin, E. In vitro and in vivo degradation of non-woven materials made of poly (ε-caprolactone) nanofibers prepared by electrospinning under different conditions. J. Biomater. Sci. Polym. Ed. 2005, 16, 1537–1555. [Google Scholar] [CrossRef]
- Hivechi, A.; Bahrami, S.H.; Siegel, R.A. In vitro and in vivo studies of biaxially electrospun poly(caprolactone)/gelatin nanofibers, reinforced with cellulose nanocrystals, for wound healing applications. Cellulose 2020, 27, 5179–5196. [Google Scholar] [CrossRef]
- Khang, A.; Ravishankar, P.; Krishnaswamy, A.; Anderson, P.K.; Cone, S.G.; Liu, Z.; Qian, X.; Balachandran, K. Engineering anisotropic biphasic Janus-type polymer nanofiber scaffold networks via centrifugal jet spinning. J. Biomed. Mater. Res. B Appl. Biomater. 2017, 105, 2455–2464. [Google Scholar] [CrossRef] [PubMed]
- Chakrapani, V.Y.; Gnanamani, A.; Giridev, V.R.; Madhusoothanan, M.; Sekaran, G. Electrospinning of type I collagen and PCL nanofibers using acetic acid. J. Appl. Polym. Sci. 2012, 125, 3221–3227. [Google Scholar] [CrossRef]
- Li, H.; Huang, C.; Jin, X.; Ke, Q. An electrospun poly (ε-caprolactone) nanocomposite fibrous mat with a high content of hydroxyapatite to promote cell infiltration. RSC Adv. 2018, 8, 25228–25235. [Google Scholar] [CrossRef]
- Li, J.J.; Yang, Y.Y.; Yu, D.G.; Du, Q.; Yang, X.L. Fast dissolving drug delivery membrane based on the ultra-thin shell of electrospun core-shell nanofibers. Eur. J. Pharm. Sci. 2018, 15, 195–204. [Google Scholar] [CrossRef]
- Golchin, A.; Mohammad, R.N. Effects of bilayer nanofibrillar scaffolds containing epidermal growth factor on full-thickness wound healing. Polym. Adv. Technol. 2020, 31, 2443–2452. [Google Scholar] [CrossRef]
- Chong, E.J.; Phan, T.T.; Lim, I.J.; Zhang, Y.Z.; Bay, B.H.; Ramakrishna, S.; Lim, C.T. Evaluation of electrospun PCL/gelatin nanofibrous scaffold for wound healing and layered dermal reconstitution. Acta Biomater. 2007, 3, 321–330. [Google Scholar] [CrossRef]






| Structure | Length (mm) | Width (mm) | Thickness (mm) | Surface Area (SA) (mm2) | Volume (mm3) | SA/v (mm−1) |
|---|---|---|---|---|---|---|
| PCL electrospun mesh | 40 | 10 | 0.17 | 97 | 6.8 | 14.3 |
| Sample Type | Degradation Time (Days) | Tm (°C) | Tdeg (°C) | Mn (kDa) | Mw (kDa) | PDI |
|---|---|---|---|---|---|---|
| PCL grain | NA | 63.2 ± 0.4 | 386.8 ± 0.8 | 32.7 ± 9.7 | 45.5 ± 6.6 | 1.7 |
| PCL mesh | NA | 62.7 ± 0.7 | 376.9 ± 1.6 | 41.5 ± 4.2 | 57.8 ± 11.6 | 1.4 |
| PBS | 7 | 63.5 ± 1.0 | 379.1 ± 3.0 | 46.7 ± 3.4 | 60.0 ± 1.5 | 1.3 |
| 14 | 64.3 ± 1.4 | 377.8 ± 1.9 | 47.5 ± 10.3 | 64.6 ± 15.8 | 1.4 | |
| 28 | 64.3 ± 0.4 | 376.9 ± 1.5 | 28.1 ± 6.2 | 50.1 ± 10.3 | 1.8 | |
| 42 | 64.6 ± 1.1 | 381.0 ± 1.3 | 39.0 ± 12.7 | 59.4 ± 18.2 | 1.5 | |
| 63 | 64.5 ± 0.8 | 380.2 ± 0.2 | 25.5 ± 6.5 | 42.6 ± 3.1 | 1.7 | |
| 77 | 64.9 ± 0.6 | 379.1 ± 0.4 | 35.3 ± 12.5 | 48.2 ± 9.9 | 1.4 | |
| 90 | 65.8 ± 0.1 | 381.0 ± 0.3 | 43.7 ± 3.7 | 59.7 ± 3.6 | 1.4 | |
| PBS/lipase | 7 | 64.4 ± 0.5 | 380.7 ± 1.3 | 31.6 ± 11.8 | 48.0 ± 9.7 | 1.5 |
| 14 | 63.9 ± 0.3 | 377.8 ± 3.6 | 37.0 ± 2.0 | 45.3 ± 0.8 | 1.2 | |
| 28 | 64.7 ± 0.3 | 379.0 ± 2.9 | 21.1 ± 5.8 | 33.0 ± 4.1 | 1.6 | |
| 42 | 65.7 ± 0.8 | 375.8 ± 2.2 | 33.0 ± 7.8 | 45.9 ± 1.1 | 1.4 | |
| 63 | 64.5 ± 0.8 | 370.0 ± 4.4 | 26.6 ± 9.0 | 51.0 ± 11.8 | 1.9 | |
| 77 | 65.4 ± 0.6 | 375.1 ± 2.9 | 38.5 ± 24.9 | 57.7 ± 2.9 | 1.5 | |
| 90 | 64.5 ± 0.9 | 374.3 ± 1.3 | 32.7 ± 9.7 | 45.5 ± 6.6 | 1.7 |
Publisher’s Note: MDPI stays neutral with regard to jurisdictional claims in published maps and institutional affiliations. |
© 2022 by the authors. Licensee MDPI, Basel, Switzerland. This article is an open access article distributed under the terms and conditions of the Creative Commons Attribution (CC BY) license (https://creativecommons.org/licenses/by/4.0/).
Share and Cite
Dias, J.R.; Sousa, A.; Augusto, A.; Bártolo, P.J.; Granja, P.L. Electrospun Polycaprolactone (PCL) Degradation: An In Vitro and In Vivo Study. Polymers 2022, 14, 3397. https://doi.org/10.3390/polym14163397
Dias JR, Sousa A, Augusto A, Bártolo PJ, Granja PL. Electrospun Polycaprolactone (PCL) Degradation: An In Vitro and In Vivo Study. Polymers. 2022; 14(16):3397. https://doi.org/10.3390/polym14163397
Chicago/Turabian StyleDias, Juliana R., Aureliana Sousa, Ana Augusto, Paulo J. Bártolo, and Pedro L. Granja. 2022. "Electrospun Polycaprolactone (PCL) Degradation: An In Vitro and In Vivo Study" Polymers 14, no. 16: 3397. https://doi.org/10.3390/polym14163397
APA StyleDias, J. R., Sousa, A., Augusto, A., Bártolo, P. J., & Granja, P. L. (2022). Electrospun Polycaprolactone (PCL) Degradation: An In Vitro and In Vivo Study. Polymers, 14(16), 3397. https://doi.org/10.3390/polym14163397

