Cascading Old Yellow Enzyme, Alcohol Dehydrogenase and Glucose Dehydrogenase for Selective Reduction of (E/Z)-Citral to (S)-Citronellol
Abstract
:1. Introduction
2. Results and Discussion
2.1. Selection of Old Yellow Enzyme with High Activity and Strict (S)-Enantioselectivity
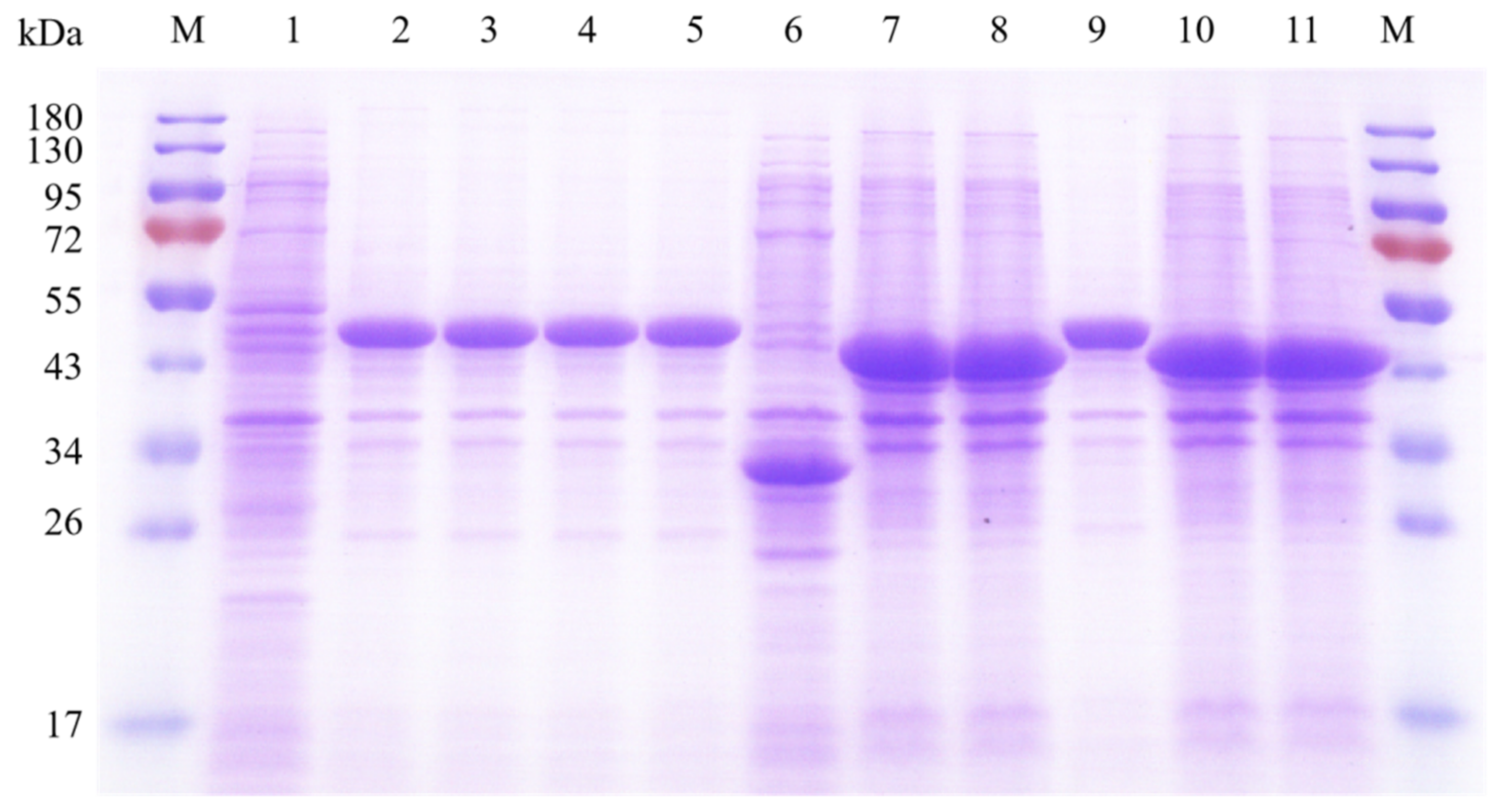
2.2. Co-Expression of Old Yellow Enzyme NemR-PS, Alcohol Dehydrogenase YsADH, and Glucose Dehydrogenase BmGDHM6
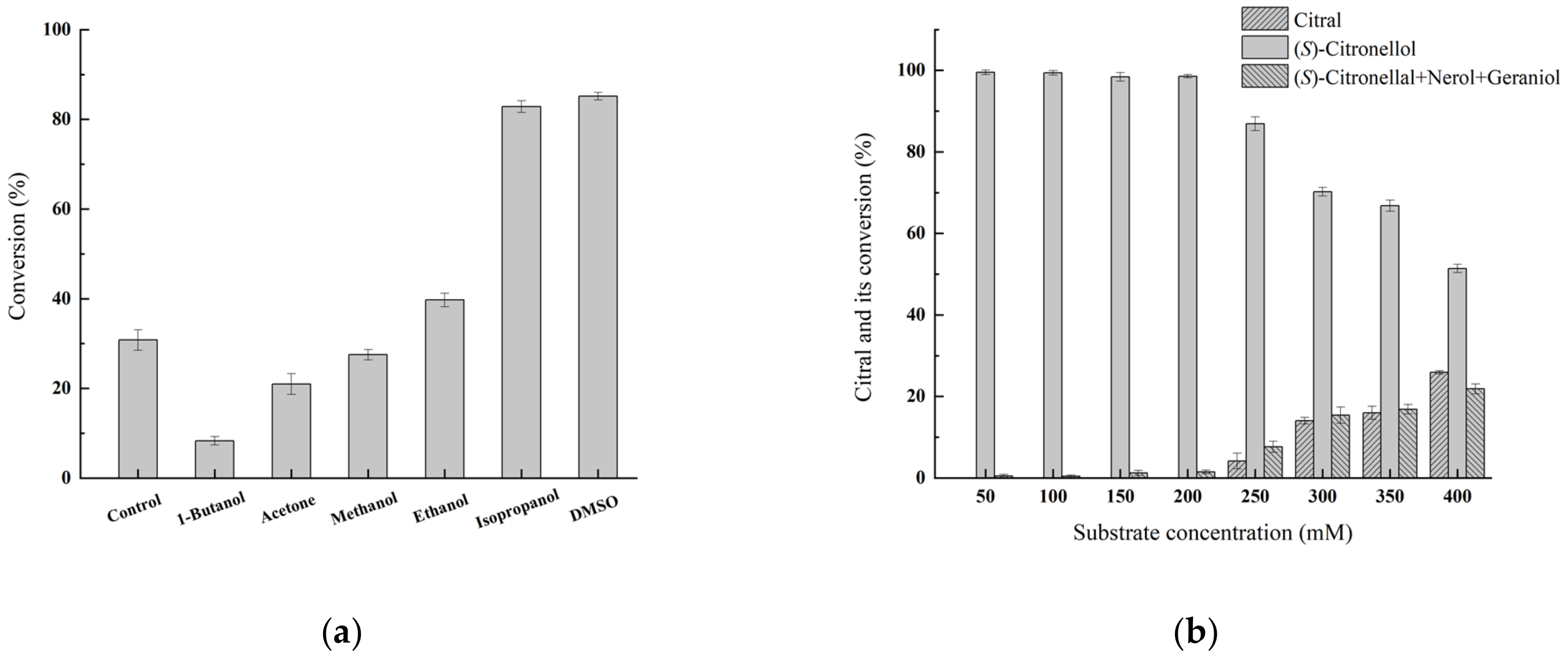
2.3. Investigation of Key Factors Affecting Selective Reduction of (E/Z)-Citral to (S)-Citronellol
2.4. Suppression of (S)-Citronellal Accumulation in Selective Reduction of (E/Z)-Citral to (S)-Citronellol
3. Materials and Methods
3.1. Chemicals, Genes and Organisms
3.2. Selection of Old Yellow Enzyme with High Activity and (S)-Enantioselectivity
3.3. Co-Expression of YsADH, NemR-PS and BmGDHM6 in E. coli BL21 (DE3)
3.4. Enzyme Assays for YsADH, NemR-PS, and BmGDHM6 in Cell-Free Extracts
3.5. Key Factors on Double Reduction of (E/Z)-Citral to (S)-Citronellol
3.6. Suppression of (S)-Citronellal Accumulation through the Feeding of Cells Expressing YsADH or BmGDHM6
3.7. The Optimized Procedure for the Enzymatic Synthesis of (S)-Citronellol
3.8. GC, GC-MS, and NMR Analyses
4. Conclusions
Supplementary Materials
Author Contributions
Funding
Conflicts of Interest
References
- Lapczynski, A.; Bhatia, S.P.; Letizia, C.S.; Api, A.M. Fragrance material review on dl-citronellol. Food Chem. Toxicol. 2008, 46, S103–S109. [Google Scholar] [CrossRef]
- Santos, P.L.; Matos, J.P.S.C.F.; Picot, L.; Almeidac, J.R.G.S.; Quintansa, J.S.S.; Quintans-Júnior, L.J. Citronellol, a monoterpene alcohol with promising pharmacological activities—A systematic review. Food Chem. Toxicol. 2019, 123, 459–469. [Google Scholar] [CrossRef] [PubMed]
- Corey, E.J.; Ensley, H.E.; Suggs, J.W. A Convenient Synthesis of (S)-(-)-Pulegone from (-)-Citronellol. J. Org. Chem. 1976, 41, 380–381. [Google Scholar] [CrossRef]
- Breitenbach, R.; Chiu, C.K.-F.; Massett, S.S.; Meltz, M.; Murtiashaw, C.W.; Pezzullo, S.L.; Staigers, T. A Practical Synthesis of 3(S)-Methyl-Heptanoic Acid from (S)-Citronellol. Tetrahedron Asymmetry 1996, 7, 435–442. [Google Scholar] [CrossRef]
- Yamamoto, T.; Matsuda, H.; Utsumi, Y.; Hagiwara, T.; Kanisawa, T. Synthesis and odor of optically active rose oxide. Tetrahedron Lett. 2002, 43, 9077–9080. [Google Scholar] [CrossRef]
- Majumder, A.B.; Shah, S.; Gupta, M.N. Enantioselective transacetylation of (R,S)-β-citronellol by propanol rinsed immobilized Rhizomucor miehei lipase. Chem. Cent. J. 2007, 1, 10. [Google Scholar] [CrossRef] [PubMed] [Green Version]
- Aramendia, M.A.; Borau, V.; Jimenez, C.; Marinas, J.M.; Porras, A.; Urbano, F.J. Selective Liquid-Phase Hydrogenation of Citral over Supported Palladium. J. Catal. 1997, 172, 46–54. [Google Scholar] [CrossRef]
- Yu, W.; Liu, H.; Liu, M.; Liu, Z. Selective hydrogenation of citronellal to citronellol over polymer-stabilized noble metal colloids. React. Funct. Polym. 2000, 44, 21–29. [Google Scholar] [CrossRef]
- Mäki-Arvela, P.; Tiainen, L.-P.; Lindblad, M.; Demirkan, K.; Kumar, N.; Sjöholm, R.; Ollonqvist, T.; Väyrynen, J.; Salmi, T.; Murzin, D.Y. Liquid-phase hydrogenation of citral for production of citronellol: Catalyst selection. Appl. Catal. A Gen. 2003, 241, 271–288. [Google Scholar] [CrossRef]
- Arifin, A.A.; Don, M.M.; Uzir, M.K. Baker’s yeast mediated biotransformation of geraniol into citronellol using a continuous-closed-gas-loop bioreactor (CCGLB) system. Biochem. Eng. J. 2011, 56, 219–224. [Google Scholar] [CrossRef]
- Jiang, G.; Yao, M.; Wang, Y.; Xiao, W.; Yuan, Y. A “push-pull-restrain” strategy to improve citronellol production in Saccharomyces cerevisiae. Metab. Eng. 2021, 66, 51–59. [Google Scholar] [CrossRef]
- Tavanti, M.; Parmeggiani, F.; Castellanos, J.R.G.; Mattevi, A.; Turner, N.J. One-Pot Biocatalytic Double Oxidation of α-Isophorone for the Synthesis of Ketoisophorone. ChemCatChem 2017, 9, 3338–3348. [Google Scholar] [CrossRef]
- Zheng, L.; Lin, J.; Zhang, B.; Kuang, Y.; Wei, D. Identification of a yeast old yellow enzyme for highly enantioselective reduction of citral isomers to (R)-citronellal. Bioresour. Bioprocess. 2018, 5, 9. [Google Scholar] [CrossRef] [Green Version]
- Ying, X.; Yu, S.; Huang, M.; Wei, R.; Meng, S.; Cheng, F.; Yu, M.; Ying, M.; Zhao, M.; Wang, Z. Engineering the Enantioselectivity of Yeast Old Yellow Enzyme OYE2y in Asymmetric Reduction of (E/Z)-Citral to (R)-Citronellal. Molecules 2019, 24, 1057. [Google Scholar] [CrossRef] [PubMed] [Green Version]
- Ying, X.; Wang, Y.; Xiong, B.; Wu, T.; Xie, L.; Yu, M.; Wang, Z. Characterization of an Allylic/Benzyl Alcohol Dehydrogenase from Yokenella sp. Strain WZY002, an Organism Potentially Useful for the Synthesis of α,β-Unsaturated Alcohols from Allylic Aldehydes and Ketones. Appl. Environ. Microbiol. 2014, 80, 2399–2409. [Google Scholar] [CrossRef] [PubMed] [Green Version]
- Bulut, D.; Duangdee, N.; Gröger, H.; Berkessel, A.; Hummel, W. Screening, Molecular Cloning, and Biochemical Characterization of an Alcohol Dehydrogenase from Pichia pastoris Useful for the Kinetic Resolution of a Racemic β-Hydroxy-β-trifluoromethyl Ketone. ChemBioChem 2016, 17, 1–11. [Google Scholar] [CrossRef]
- Zheng, Y.; Yin, H.; Yu, D.; Chen, X.; Tang, X.; Zhang, X.; Xue, Y.; Wang, Y.; Liu, Q. Recent advances in biotechnological applications of alcohol dehydrogenases. Appl. Microbiol. Biotechnol. 2017, 101, 987–1001. [Google Scholar] [CrossRef]
- Hummel, W.; Gröger, H. Strategies for regeneration of nicotinamide coenzymes emphasizing self-sufficient closed-loop recycling systems. J. Biotechnol. 2014, 191, 22–31. [Google Scholar] [CrossRef]
- Wolken, W.A.M.; ten Have, R.; van der Werf, M.J. Amino Acid-Catalyzed Conversion of Citral: Cis-trans Isomerization and Its Conversion into 6-Methyl-5-hepten-2-one and Acetaldehyde. J. Agric. Food Chem. 2000, 48, 5401–5405. [Google Scholar] [CrossRef]
- Brenna, E.; Gatti, F.G.; Monti, D.; Parmeggiani, F.; Serra, S. Stereochemical outcome of the biocatalysed reduction of activated tetrasubstituted olefifins by old yellow enzymes 1–3. Adv. Synth. Catal. 2012, 354, 105–112. [Google Scholar] [CrossRef]
- Biermann, M.; Bakonyi, D.; Hummel, W.; Gröger, H. Design of recombinant whole-cell catalysts for double reduction of C=C and C=O bonds in enals and application in the synthesis of Guerbet alcohols as industrial bulk chemicals for lubricants. Green Chem. 2017, 19, 405–410. [Google Scholar] [CrossRef]
- Ricca, E.; Brucher, B.; Schrittwieser, J.H. Multi-Enzymatic Cascade Reactions: Overview and Perspectives. Adv. Synth. Catal. 2011, 353, 2239–2262. [Google Scholar] [CrossRef]
- Ying, X.; Wang, C.; Shao, S.; Wang, Q.; Zhou, X.; Bai, Y.; Chen, L.; Lu, C.; Zhao, M.; Wang, Z. Efficient Oxidation of Methyl Glycolate to Methyl Glyoxylate Using a Fusion Enzyme of Glycolate Oxidase, Catalase and Hemoglobin. Catalysts 2020, 10, 943. [Google Scholar] [CrossRef]
- Qiao, Y.; Wang, C.; Zeng, Y.; Wang, T.; Qiao, J.; Lu, C.; Wang, Z.; Ying, X. Efficient whole-cell oxidation of α,β-unsaturated alcohols to α,β-unsaturated aldehydes through the cascade biocatalysis of alcohol dehydrogenase, NADPH oxidase and hemoglobin. Microb. Cell Fact. 2021, 20, 17. [Google Scholar] [CrossRef]
- Kratzer, R.; Woodley, J.M.; Nidetzky, B. Rules for biocatalyst and reaction engineering to implement effective, NAD(P)H-dependent, whole cell bioreductions. Biotechnol. Adv. 2015, 33, 1641–1652. [Google Scholar] [CrossRef] [PubMed] [Green Version]
- Manageiro, V.; Sampaio, D.A.; Pereira, P.; Rodrigues, P.; Vieira, L.; Palos, C.; Caniça, M. Draft Genome Sequence of the First NDM-1-Producing Providencia stuartii Strain Isolated in Portugal. GenomeA 2015, 3, e01077-15. [Google Scholar] [CrossRef] [PubMed] [Green Version]
- Qian, W.; Ou, L.; Li, C.; Pan, J.; Xu, J.; Chen, Q.; Zheng, G. Evolution of Glucose Dehydrogenase for Cofactor Regeneration in Bioredox Processes with Denaturing Agents. ChemBioChem 2020, 21, 2680–2688. [Google Scholar] [CrossRef]
- Amato, E.D.; Stewart, J.D. Applications of protein engineering to members of the old yellow enzyme family. Biotechnol. Adv. 2015, 33, 624–631. [Google Scholar] [CrossRef] [PubMed] [Green Version]
- Shi, Q.; Wang, H.; Liu, J.; Li, S.; Guo, J.; Li, H.; Jia, X.; Huo, H.; Zheng, Z.; You, S.; et al. Old yellow enzymes: Structures and structure-guided engineering for stereocomplementary bioreduction. Appl. Microbiol. Biotechnol. 2020, 104, 8155–8170. [Google Scholar] [CrossRef]
- Bougioukou, D.J.; Walton, A.Z.; Stewart, J.D. Towards preparative-scale, biocatalytic alkene reductions. Chem. Commun. 2010, 46, 8558–8560. [Google Scholar] [CrossRef]
- Hall, M.; Stueckler, C.; Ehammer, H.; Pointner, E.; Oberdorfer, G.; Gruber, K.; Hauer, B.; Stuermer, R.; Kroutil, W.; Macheroux, P.; et al. Asymmetric bioreduction of C=C bonds using enoate reductases OPR1, OPR3 and YqjM: Enzyme-based stereocontrol. Adv. Synth. Catal. 2008, 350, 411–418. [Google Scholar] [CrossRef]
- Ceroni, F.; Algar, R.; Stan, G.; Ellis, T. Quantifying cellular capacity identifies gene expression designs with reduced burden. Nat. Methods 2015, 12, 415–418. [Google Scholar] [CrossRef] [PubMed] [Green Version]
- Zahradník, J.; Kolenko, P.; Palyzová, A.; Cerný, J.; Koláová, L.; Kyslíková, E.; Mareová, H.; Grulich, M.; Nunvar, J.; Šulc, M.; et al. The crystal structure of XdpB, the bacterial old yellow enzyme, in an FMN-free form. PLoS ONE 2018, 13, e0195299. [Google Scholar] [CrossRef] [Green Version]
- Peters, C.; Frasson, D.; Sievers, M.; Buller, R.M.U. Novel Old Yellow Enzyme Subclasses. Chembiochem 2019, 20, 1569–1577. [Google Scholar] [CrossRef] [PubMed]
- Gandomkar, S.; Jost, E.; Loidolt, D.; Swoboda, A.; Pickl, M.; Elaily, W.; Daniel, B.; Fraaije, M.W.; Macheroux, P.; Kroutil, W. Biocatalytic Enantioselective Oxidation of Sec-Allylic Alcohols with Flavin-Dependent Oxidases. Adv. Synth. Catal. 2019, 361, 5264–5271. [Google Scholar] [CrossRef] [Green Version]
- Schmölzer, K.; Mädje, K.; Nidetzky, B.; Kratzer, R. Bioprocess design guided by in situ substrate supply and product removal: Process intensification for synthesis of (S)-1-(2-chlorophenyl)ethanol. Bioresour. Technol. 2012, 108, 216–223. [Google Scholar] [CrossRef] [PubMed] [Green Version]
- Leuenberger, H.G.W.; Boguth, W.; Barner, R.; Schmid, M.; Zell, R. Total Synthesis of Natural α-Tocopherol. I. Preparation of Bifunctional Optically Active Precursors for the Synthesis of the Side Chain by Means of Microbiological Transformations. Helv. Chim. Acta 1979, 62, 455–463. [Google Scholar] [CrossRef]
- Shapiro, A.L.; Viñuela, E.; Maizel, J.V. Molecular weight estimation of polypeptide chains by electrophoresis in SDS-polyacrylamide gels. Biochem. Biophys. Res. Commun. 1967, 28, 815–820. [Google Scholar] [CrossRef]
- Smith, P.K.; Krohn, R.I.; Hermanson, G.T.; Mallia, A.K.; Gartner, F.H.; Provenzano, M.D.; Fujimoto, E.K.; Goeke, N.M.; Olson, B.J.; Klenk, D.C. Measurement of protein using bicinchoninic acid. Anal. Biochem. 1985, 150, 76–85. [Google Scholar] [CrossRef]







| Old Yellow Enzyme | GenBank Accession No. | Strain | Relative Activity (%) 1 | e.e. (%) 2 |
|---|---|---|---|---|
| OYE3 | P41816.2 | S. cerevisiae S288C | 13.2 ± 0.7 | 23.6 ± 1.6 (R) |
| OYE2p | AJV32222.1 | S. cerevisiae YJM1341 | 19.8 ± 0.6 | 93.5 ± 1.9 (R) |
| OYE2y | QDX15144.1 | S. cerevisiae CICC1060 | 26.1 ± 0.8 | 47.5 ± 1.5 (R) |
| OYE2y-HG 3 | QDX15144.1 | S. cerevisiae CICC1060 | 33.9 ± 1.3 | 96.6 ± 2.1 (R) |
| NemR-SG | WP_052967635.1 | Shigella sonnei SS046 | 63.8 ± 2.1 | >99 (S) |
| NemR-CK | ASE84833.1 | Citrobacter koseri | 70.6 ± 1.5 | >99 (S) |
| NemR-CR | CBG88182.1 | Citrobacter rodentium ICC168 | 77.7 ± 3.0 | >99 (S) |
| NemR-CT | CBA30573.1 | Cronobacter turicensis Z3032 | 82.0 ± 2.7 | >99 (S) |
| NemR-CS | AMH14450.1 | Citrobacter sp. FDAARGOS156 | 93.2 ± 3.3 | >99 (S) |
| NemR-PS | KNZ86848.1 | Providencia stuartii | 100 | >99 (S) |
| Strain | Expression of Enzyme(s) | YsADH (U/mg) | NemR-PS (U/mg) | BmGDHM6 (U/mg) |
|---|---|---|---|---|
| E. coli BL21 DE(3)/pET28b-YsADH | YsADH | 0.47 ± 0.02 | − | − |
| E. coli BL21 DE(3)/pET28b-NemR-Ps | NemR-PS | − | 0.17 ± 0.02 | − |
| E. coli BL21 DE(3)/pET28b-BmGDHM6 | BmGDHM6 | − | − | 0.34 ± 0.03 |
| E. coli BL21 DE(3)/pACYCDuet-1-YsADH | YsADH | 0.45 ± 0.03 | ||
| E. coli BL21 DE(3)/pACYCDuet-1-YsADH-NemR-PS | YsADH and NemR-PS | 0.32 ± 0.01 | 0.15 ± 0.02 | − |
| E. coli BL21 DE(3)/pACYCDuet-1-YsADH-NemR-PS/pET28b-BmGDHM6 | YsADH, NemR-PS and BmGDHM6 | 0.20 ± 0.01 | 0.13 ± 0.01 | 0.19 ± 0.02 |
Publisher’s Note: MDPI stays neutral with regard to jurisdictional claims in published maps and institutional affiliations. |
© 2021 by the authors. Licensee MDPI, Basel, Switzerland. This article is an open access article distributed under the terms and conditions of the Creative Commons Attribution (CC BY) license (https://creativecommons.org/licenses/by/4.0/).
Share and Cite
Jia, Y.; Wang, Q.; Qiao, J.; Feng, B.; Zhou, X.; Jin, L.; Feng, Y.; Yang, D.; Lu, C.; Ying, X. Cascading Old Yellow Enzyme, Alcohol Dehydrogenase and Glucose Dehydrogenase for Selective Reduction of (E/Z)-Citral to (S)-Citronellol. Catalysts 2021, 11, 931. https://doi.org/10.3390/catal11080931
Jia Y, Wang Q, Qiao J, Feng B, Zhou X, Jin L, Feng Y, Yang D, Lu C, Ying X. Cascading Old Yellow Enzyme, Alcohol Dehydrogenase and Glucose Dehydrogenase for Selective Reduction of (E/Z)-Citral to (S)-Citronellol. Catalysts. 2021; 11(8):931. https://doi.org/10.3390/catal11080931
Chicago/Turabian StyleJia, Yunpeng, Qizhou Wang, Jingjing Qiao, Binbin Feng, Xueting Zhou, Lijun Jin, Yingting Feng, Duxia Yang, Chenze Lu, and Xiangxian Ying. 2021. "Cascading Old Yellow Enzyme, Alcohol Dehydrogenase and Glucose Dehydrogenase for Selective Reduction of (E/Z)-Citral to (S)-Citronellol" Catalysts 11, no. 8: 931. https://doi.org/10.3390/catal11080931
APA StyleJia, Y., Wang, Q., Qiao, J., Feng, B., Zhou, X., Jin, L., Feng, Y., Yang, D., Lu, C., & Ying, X. (2021). Cascading Old Yellow Enzyme, Alcohol Dehydrogenase and Glucose Dehydrogenase for Selective Reduction of (E/Z)-Citral to (S)-Citronellol. Catalysts, 11(8), 931. https://doi.org/10.3390/catal11080931

