You are currently viewing a new version of our website. To view the old version click .
Catalysts
  • Article
  • Open Access

26 November 2021

An Alkalothermophilic Amylopullulanase from the Yeast Clavispora lusitaniae ABS7: Purification, Characterization and Potential Application in Laundry Detergent

,
,
,
,
,
,
and
1
Departement des Sciences Naturelles, Ecole Normale Supérieure-ENS-Assia Djebar, Constantine 25000, Algeria
2
Laboratoire de Génie Microbiologique et Applications, Faculté des Sciences Naturelles et de la Vie, Université des Frères Mentouri, Constantine 25000, Algeria
3
Institut de la Nutrition, de l’Alimentation et des Technologies Agro-Alimentaires—INAATA, Université des Frères Mentouri, Constantine 25000, Algeria
4
Laboratoire de Transformations Intégrées de la Matière Renouvelable, Département Génie des Procédés, Université de Technologie de Compiègne, Alliance Sorbonne Université, CEDEX, 60205 Compiègne, France
This article belongs to the Special Issue Enzymes and Biocatalysis

Abstract

In the present study, α-amylase and pullulanase from Clavispora lusitaniae ABS7 isolated from wheat seeds were studied. The gel filtration and ion-exchange chromatography revealed the presence of α-amylase and pullulanase activities in the same fraction with yields of 23.88% and 21.11%, respectively. SDS-PAGE showed a single band (75 kDa), which had both α-amylase (independent of Ca2+) and pullulanase (a calcium metalloenzyme) activities. The products of the enzymatic reaction on pullulan were glucose, maltose, and maltotriose, whereas the conversion of starch produced glucose and maltose. The α-amylase and pullulanase had pH optima at 9 and temperature optima at 75 and 80 °C, respectively. After heat treatment at 100 °C for 180 min, the pullulanase retained 42% of its initial activity, while α-amylase maintained only 38.6%. The cations Zn2+, Cu2+, Na+, and Mn2+ increased the α-amylase activity. Other cations Hg2+, Mg2+, and Ca2+ were stimulators of pullulanase. Urea and Tween 80 inhibited both enzymes, whereas EDTA only inhibited pullulanase. In addition, the amylopullulanase retained its activity in the presence of various commercial laundry detergents. The performance of the alcalothermostable enzyme of Clavispora lusitaniae ABS7 qualified it for the industrial use, particularly in detergents, since it had demonstrated an excellent stability and compatibility with the commercial laundry detergents.

1. Introduction

According to the catalytic reactions, the International Enzymes Commission has categorized seven classes of enzymes: EC1, oxidoreductases; EC2, transferases; EC3, hydrolases; EC4, lyases; EC5, isomerases; EC6, ligases; and EC7, translocases [1]. Among hydrolases, amylases produced by fungi are the most widely used commercial enzymes to meet the ever-increasing demands of the global enzyme market. They are widely used in industry and have been of a great interest in the food, detergent, pharmacy, textile, paper, and bioethanol industries [2,3,4]. The global industrial enzymes market should increase to $7.0 billion by 2023 compared to $5.5 billion in 2018 at a compound annual growth rate of 4.9% for the period 2018–2023 [5].
In automatic dishwasher and laundry, detergent formulations are fortified with alkaline amylases (higher than 8.0) [6,7] to improve the ability of the detergents to remove tough stains, making the detergent environmentally friendly [8]. Detergent enzymes represent one of the largest and most successful applications of modern industrial biotechnology since they account for about 40% of the total worldwide enzyme production [9].
In the formulation of the enzymatic detergent, amylases are the second enzyme used after proteases, and about 90% of liquid detergents contain these enzymes [10]. Amylases are usually produced using bacteria such as Bacillus licheniformis and molds such as Aspergillus oryzae and Aspergillus niger. However, few studies have been done on the production of these in yeasts.
On an industrial scale, submerged fermentation (SMF) and solid-state fermentation (SSF) are frequently used for the production of microbial amylases. SMF is used to produce bio products from a broth medium such as molasses or a liquid medium. This method provides remarkable humidity, which is crucial for the growth of microorganisms; it allows easy sterilization, controllable temperature, and pH, etc. [11].
SSF is used for the production of amylases from easily recycled solid wastes (as cheap substrate) such as wheat bran, potato peels, citrus waste, and paper. This method provides low humidity, and it requires simple equipment. However, SSF is slower than SMF in the utilization of substrates by microorganisms [11]. In our work, we used liquid fermentation because the waste used as the basic medium for the production of amylopullulanase is whey.
Purification of glycosyl hydrolases such as amylases has been reported in some fungi. For the purification of amylases, their concentration using precipitation with ammonium sulfate followed by dialysis or by solvents such as acetone is recommended before chromatography. The enzymes were purified using gel filtration chromatography and/or ion exchange chromatography and then characterized [12,13,14,15].
Since the application of amylase is increasing in various industrial areas, the demand for novel amylases, mainly thermostable amylolytic enzymes, is increasing worldwide in industry [16]. The advantages of using thermostable amylases in industrial processes include the low risk of contamination, the cost of external cooling, and high diffusion rate [17].
In Algeria, in order to improve the economy by reducing the cost of enzymes, it would be interesting to produce thermostable amylases. In this light, this study describes the purification, characterization, and potential application in detergent of the amylopullulanase (α-amylase and pullulanase activities) from Clavispora lusitaniae ABS7. To the best of our knowledge, this study is the first research on the purification and characterization of amylopullulanase from a yeast strain.

2. Results and Discussion

The yeast strain Clavispora lusitaniae ABS7 has presented a clear lysis zone for both enzymes. As the inductor, starch was used for the α-amylase activity (YPSA medium) and pullulan for pullulanase (YPPA medium). In their presence, the amylolytic yeast secretes α-amylase and pullulanase will diffuse and hydrolyze starch (YPSA medium) (Figure 1A) and pullulan (YPPA medium) (Figure 1B) to form a clear halo around the colonies [18].
Figure 1. Lysis zones of starch (A) and pullulan (B) in the presence of amylolytic enzymes produced by Clavispora lusitaniae ABS7.
According to Ramachandran et al. [19], out of 150 starch assimilating yeasts in nature, only a few strains were able to hydrolyze both α-1,4 and α-1,6 linkages carbohydrate polymers such as Lipomyces kononenkoae and Cryptococcus sp. S-2 [20].

2.1. Purification of Enzymes

Clavispora lusitaniae ABS7 produced α-amylase and pullulanase activities of 346,340 IU and 325,900 IU, respectively, in the enzymatic extract after lyophilization. The use of acetone precipitation led to the concentration of protein with an increase in the specific activity of the α-amylase from 79.97 to 352.41 U/mg and of the pullulanase from 75.25 to 291.33 U/mg with recoveries of 45.79% and 40.23%, respectively (Table 1).
Table 1. A summary of the purification of the amylolytic enzyme produced by C. lusitaniae ABS7.
Sephacryl S-200 gel filtration chromatography allowed an increase of the α-amylase and pullulanase specific activities of 17 and 15 times, respectively. However, the best α-amylase activity was found in the second peak (Figure 2).
Figure 2. Chromatographic profile of α-amylase and pullulanase on Sephacryl S-200.
The elution in the DEAE cellulose column (Figure 3) showed the existence of three protein fractions containing the α-amylase activity.
Figure 3. Chromatographic profile of α-amylase and pullulanase DEAE cellulose.
In addition to the α-amylase activity, the second peak also contains a pullulanase activity (Figure 3). Table 1 shows that the specific activity of α-amylase and pullulanase increased 50 and 44 times with recoveries of 23.9% and 21%, respectively. Consequently, the second peak was the most interesting with a total amylolytic activity that hydrolyses o α-1,4 and α-1,6 bonds.

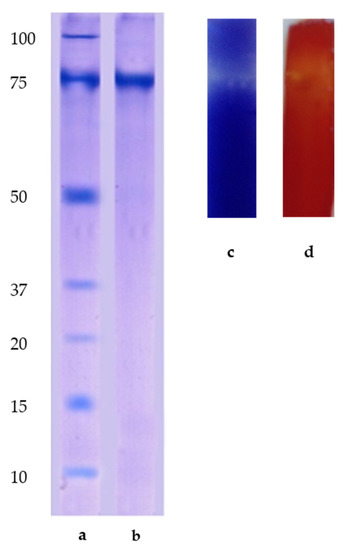
2.2. SDS-PAGE Analysis

SDS-PAGE analysis of the purified enzyme showed a single protein band with an apparent molecular weight of 75 kDa (Figure 4a,b). This indicates that the purified enzyme is a monomer. Vishnu et al. [21] described a monomeric enzyme of L amylophilus GV6 of 90 kDa corresponding to a pullulanase Type I.
Figure 4. SDS-PAGE electrophoretic profile of the purified enzyme. Revelation of protein bands by Coomassie blue. (a) Marker proteins, (b) amylopullulanase of Clavirospora lusitaniae ABS 7, (c) revelation with the lugol, and (d) revelation with the Congo red.
According to the bibliographies, the molecular mass of the purified amylopullulanase varies between 74 and 450 kDa [22], and that of pullulanases varies between 54 and 134 kDa [23]. Kar et al. [24] revealed that the purified amylopullulanase produced from Streptomyces erumpens MTCC 7317 had a molecular mass 45.0 kDa.
The revelation with lugol and Congo red showed that this single band possesses both α-amylase and pullulanasic activities (Figure 4c,d). The amylolytic enzyme from our yeast strain Clavispora lusitaniae ABS7 appears to be a bi-functional amylopullulanase enzyme with two active sites for α-amylase and pullulanase.
It was found that on SDS-PAGE, the alkaline amylopullulanase from Bacillus sp. KSM-1378, showed a single protein with two different active sites, one to hydrolyze-1,4 bonds and the other to cut α-1,6 bonds [25]. The same results were obtained with the same enzyme of Clostridium thermohydrosulfuricum, Bacillus circulans F-2, L. amylophilus GV6, and Thermoanaerobacter ethanolicus [21,26,27,28,29], while the study of an alkaline amylopullulanase from alkalophilic Bacillus sp. KSM-1378 has shown that the two catalytic activities of the enzyme involve two different active sites [30].

2.3. Thin Layer Chromatography (TLC)

In order to confirm the presence of the two amylolytic enzymes, α-amylase and pullulanase, as well as their hydrolysis products (derived from starch and pullulan), a TLC was carried out with the purified enzyme. After incubation with pullulan, the purified enzyme produced exclusively a mixture of glucose, maltose, and maltotriose identified by TLC (Figure 5). The enzyme attacked both glycoside α-1,6 and α-1,4 linkages of pullulan and other branched polysaccharides such as starch to produce glucose and maltose (Figure 5).
Figure 5. TLC chromatography and analysis of hydrolyzed products from starch and pullulan. 1—glucose, 2—maltose, 3—maltotriose, 4—the enzyme and starch, and 5—the enzyme and pullulan.
It can be suggested that the enzymatic mechanism of glucose and maltose formation from pullulan occurs after the hydrolysis of α-1,6 bonds, which gives maltotriose. The latter will be hydrolyzed to glucose and maltose. The cleavage of α-1,6 bonds of starch amylopectin gave chains of maltodextrins much longer than those of maltotriose. It is likely that the maltotriose chains are hydrolyzed faster to produce exclusively glucose and maltose [22]. On the other hand, the main product from starch is obviously maltose [4].
The electrophoretic profile by SDS-PAGE showed a single band with both α-amylase and pullulanase activities; this result was also confirmed by TLC. The studied enzyme was revealed as an endo-type enzyme and thus it is a pullulanase of Type II or amylopullulanase [31,32]. It was found that pullulanase of Bacillus cereus H1.5 cannot attack dextran, which contains α-1,6 bonds; however, it hydrolyzes pullulan into maltotriose (the main product) and other polysaccharides such as starch into maltose and glucose. Therefore, it can be classified as a Type II pullulanase or amylopullulanase [31]. Leveque et al. [33] showed that all thermostable pullulanases from thermophilic archaea are of Type II, whereas no amylopullulanase Type I has been characterized in these thermophilic microorganisms.

2.4. Physicochemical Parameters of the Studied Enzymes

2.4.1. Effect of Temperature on the Amylopullulanase Activity

The influence of temperature on the activity of alkaline amylopullulanase with pullulan and starch as substrates was determined by measuring the activity at different temperatures from 40 to 100 °C at pH 9.
The activity of the enzymes highly depends on the temperature (highly significant difference with F = 6 (p < 0.001) for the amylase and F = 10.3 (p = 0.000) for the pullulanase). The pullulanase and α-amylase activities of the studied yeast strain C. lusitaniae ABS7 exhibited optimum temperatures of 80 and 75 °C, respectively (Figure 6). De Souza and Magalhães [4] found that, among the ten species of yeasts and molds studied, none showed an optimum enzymatic activity up to 75 °C.
Figure 6. Effect of temperature on the (a) α-amylase and (b) pullulanase activities.
Moreover, the study of Nakamura et al. [34] revealed that C. lusitaniae produced a phytase with an optimum temperature of 70 °C.
The temperature for optimal α-amylase activity was 70 °C for Lipomyces kononenkoae [35], 40 °C for Schwanniomyces alluvius [36], 50 °C for Cryptococcus flavus [37], and 55 °C for Sporidiobolus pararoseus PH-Gra1 [38]. The optimum temperatures of the purified α-amylase from Bacillus substilis, B. licheniformis AI20, and Haloarcula sp. were found to be 45, 60–80, and 35–40 °C, respectively [39,40].
A previous work [41] reported the optimal temperature and pH of amylopullulanase from Streptococcus infantarius ssp. as 37 °C and 6.8, respectively.
The temperature optima for both pullulanase and amylase activities from Thermoanaerobacter strain B6A was 75 °C [42]. The Pullulanase Type II from Bacillus cereus H1.5 [31] and from Thermococcus hydrothermalis [43] showed optimal activity at 55 and 105 °C, respectively. The optimum temperatures for the pullulanase action from Aerobacter aerogenes [44] and from alkalophilic Bacillus sp. S-1 [45] were 50 and 60 °C, respectively.

2.4.2. Effect of pH on α-Amylase and Pullulanase Activities

Analysis of the experimental results of the two activities by the (ANOVA) method reveals that the pH considerably affects the α-amylase activity (F = 63.2 (p = 0.000)) and the pullulanase activity (F = 60 (p = 0.001)). The alpha amylase and the pullulanase of the yeast Clavispora lusitaniae ABS7 presented a wide range of activity from pH 5 to 12, with an optimum pH of 9 (Figure 7). Beyond this pH value, a decline in activities is observed.
Figure 7. Effect of pH on the α-amylase activity (a) and pullulanase (b).
Different studies found the optimum pH of 5 to 6; 5 is very common for bacterial pullulanase such as Exiguobacterium acetylicum, Thermoanaerobacter strain B6A, Pyrococcus furiosus, Pyrococcus woesei, and Thermococcus strain TY [46,47]. Furthermore, Kim et al. [45], described a Type I pullulanase of a mesophilic and alkalophilic bacteria Bacillus sp. S-1 with an optimum pH range from 8 to 10. Additionally, Asha et al. [48] showed that the optimum pH of the purified alkaline pullulanase isolated from Bacillus halodurans was found to be 10.
Microbial thermostable amylases have the optimum pH ranging from 5 to 10.5 [49]. The extracellular amylase from the yeast Schwanniomyces alluvius had an optimum pH of 6.3 [36]. The amylase from Lipomyces kononenkoae was monomeric, with an optimum pH of 4.5 to 5.0 [35]. The amylase activity of Cryptococcus flavus was optimal at pH 5.5 [37] and that of Sporidiobolus pararoseus PH-Gra1 at pH 6.5 [38]. The optimal pH of the purified amylases from Bacillus substilis [39], B. licheniformis AI20 [40], and Streptomyces sp. Al-Dhabi-46 [15] was found to be 6.0, 6–7.5, and 8, respectively.
The Talaromyces pinophilus α-amylase (TpAA) was most active at pH 4.0–5.0 [50] and the maximum activity of α-amylase from Trichoderma harzianum against soluble starch was determined at pH 4.5 and 40 °C [51].

2.4.3. Study of Thermal Stability of α-Amylase and Pullulanase Activities

The thermal stability of the enzyme was studied after incubation at different temperatures (75 and 100 °C for amylase and 80 and 100 °C for pullulanase) for 30–180 min at pH 9 for both activities.
The results show that the α-amylase maintained 51.76% of its initial activity after 120 min of incubation at 100 °C and 88% after 3 h at 75 °C. However, a decrease of about 61.4% of its activity after 180 min of incubation at 100 °C was registered (Figure 8).
Figure 8. Stability of the α-amylase (a) and pullulanase (b) activities of the purified enzyme.
For pullulanase activity, the enzyme kept 53.4% and 42% of its initial activity after incubation at 100 °C for 120 and 180 min, respectively. In addition, the enzyme maintained 91% of its activity after 180 min of incubation at 80 °C.
From the above analysis, it can be revealed that the α-amylase and pullulanase activities retain more than 50% of their initial activities after heat-treatments at 75 and 85 °C for 2 h, respectively.
In fact, the amylase resistance to thermal denaturation can be explained by the presence of calcium in the medium, which stabilizes the enzyme and increases its activity [48,52]. The substrate also has a stabilizing effect on the enzyme [53]. The thermostability of the studied α-amylase and pullulanase is also due to the presence of certain groups of amino acids and their sequence (Cyst, Tyr, Ser, Glu, Asp, Arg, Lys, and Leu) [53]. Declerck et al. [54] revealed that the amylases tend to adjust their conformational flexibility to achieve optimal catalytic efficiency in the temperature range that are supposedly functional. The thermophilic proteins are generally more rigid than psychrophilic proteins and more flexible than their mesophilic homologous [55].
Protein molecules do not have a fixed structure; nevertheless, they exhibit a dynamic character with a conformational flexibility [56]. Several studies [57] performed on mesophilic and thermophilic proteins suggested that sufficient molecular flexibility (via atomic movements) exists to facilitate the conformational changes, necessary for enzymatic activity (for example, fixing and releasing the substrate, etc.).

2.5. Effect of Different Salts and Chemical Reagents on the α-Amylase and Pullulanase Activities of C. lusitaniae ABS7

2.5.1. Effect of Salts

The effect of various metal ions on the α-amylase and pullulanase activities is shown in Figure 9. ANOVA of the experimental results shows that the α-amylase and the pullulanase are affected by salts (F = 288.62 (p = 0.000) and F = 408.89 (p = 0.000), respectively). The pullulanase activity of C. lusitaniae ABS7 was decreased by Zn2+, Mn2+, and Na+, while that of α-amylase was increased by 25.62%, 20.28%, and 39.73%, respectively. The results indicated that Fe2+ inhibited the activity of both enzymes with a decrease of 20%, 19% for α-amylase and 20.46% for pullulanase. On the other hand, the Cu2+ ions stimulated the α-amylase activity and slightly inhibited the pullulanase activity (3.62%). In addition, the α-amylase activity was slightly decreased by Mg2+ (0.6%) and Ca2+ and Hg2+ (11.17%), while these ions stimulated the pullulanase activity.
Figure 9. Effect of salts on α-amylase and pullulanase activities.
Asha and al. [48] showed that Cu2+, Zn2+, Mn2+ caused a decrease in alkaline pullulanase activity of Bacillus halodurans, while Ca2+ had a stimulating effect on the enzyme. Thus, Ca2+ might be required for stabilization and maintenance of the enzyme conformation. Mrudula et al. [32] have shown that 5 mM of Mg2+, Ca2+, Cu2+, Fe3+, Zn2+, Hg2+, Cd2+, and Li2+ ions inhibit both the α-amylase and pullulanase activities of Clostridium thermosulfurogenes SVM17. The results of Qiao et al. [46] indicate that the activity of the Exiguobacterium acetylicum pullulanase increases in the presence of Fe2+ and Mn2+ and decreases in the presence of Cu2+.
It has been revealed that calcium ions increase the amylase activity [31,33,58] and maintain the initial activity of α-amylase of the yeast Cryptococcus flavus [59] and Cryptococcus sp. S-2 [20]. The thermal stability of Streptomyces avermitilis α-amylase [60] and Bacillus cereus H1.5 pullulanase [31] is increased by calcium ions because they render the protein molecule more rigid. In addition, the calcium-stabilizing effect on the thermostability of the enzyme can be explained by the release of hydrophobic residues in the protein [58].
Vishnu et al. [21] showed a 2.5 mM CaCl2 increase the α-amylase and pullulanase activities of Lactobacillus amylophilus GV6, whereas at 5 mM, it becomes an inhibitor of both enzymes.
The moderate inhibition of α-amylase and pullulanase by these ions was observed in other studies on α-amylase from several bacteria species such as Bacillus sp. LI711 [61], as well as the pullulanase of B. stearothermophilus KP1064 [62].
Lin et al. [17] explain that the inhibitory effect caused by Hg2+ and Cu2+ ions on the Bacillus sp. TS23 α-amylase activity may be due to the competition between the exogenous cations and the cations associated with the proteins, leading to a decrease in activity. The differential behavior of the activities of α-amylase and pullulanase regarding certain metal ions (such as Ca2+, Hg2+, and Mg2+) may be due to the presence of two different active sites, one for the α-amylase and the other for the pullulanase [63]. Compared to the control, the effect of divalent ions on amylolytic activity showed that the presence of Mg2+ increased amylolytic activity by 146%, while Mn2+, Fe3+, Ca2+, and Na+ increased amylolytic activity to 141%, 116%, 112%, and 111%, respectively [41]. It is known that most amylases are considered metalloenzymes, which are enzymes that require metal ions (usually Ca2+) to maintain their stable native structure. However, there are metal-activated amylases that require Ca2+ only during catalytic activity as well as Ca2+-independent amylases [64].
Some extracellular amylases are not activated by Ca2+ [65]; others are activated and stabilized by other divalent metal ions such as B. licheniformis 2618 amylase, which requires Mg2+ [66]. With the exception of Hg2+, which partially inhibited the L. amylophilus NRRL B-4437 and L. amylovorus ATCC 33,620 α-amylase, various metal ions, such as 1 mM Ca2+, Cu2+, and Ba2+, stimulated the L. amylophilus amylase activity while they inhibited the L. amylovorus α-amylase activity [67]. The activity of α-amylase from Thermomyces lanuginosus F1 increased in the presence of Mn2+, Co2+, Ca2+, Zn2+, and Fe2+ [68].

2.5.2. Influence of Different Chemical Reagents

The influence of different chemical reagents on the α-amylase and pullulanase activities was also studied (Figure 10). The effect of those chemical reagents on the two activities is very significant, F = 1089.63 (p = 0.000) for the amylase and F = 259.98 (p = 0.0001) for the pullulanase. It was noticed that the inhibitory effect of the urea is more important on the α-amylase than on pullulanase activities. In contrast to that of tween 80, it is less strong on α-amylase than on pullulanase. The absence of inhibition of α-amylase by EDTA, a strong chelating agent of metal, suggested that the isolated enzyme could not be a metalloenzyme. The presence of CaCl2 has no effect on the α-amylase activity (Figure 9). It allows concluding that Ca2+ ions are not necessary for the activity of this α-amylase and probably important for its stability and the maintenance of its conformation.
Figure 10. Effect of different chemical reagents on α-amylase and pullulanase activities.
In contrast, EDTA inhibits pullulanase activity, with a 35% loss of its residual activity. This result indicates that the pullulanase is a metalloenzyme and the activity is CaCl2 dependent. This is due to the presence of calcium ions, which increases the activity (Figure 9). Iefuji et al. [20] reported the null effect of EDTA on the yeast α-amylase in the yeast Cryptococcus sp. S-2. It appears that SDS and mercaptoethanol inhibit both amylase and pulllanasic activities from Clavispora lusitaniae ABS7.
Arabaci and Arikan [69] found that EDTA has no effect on the amylopullulanase of Geobacillus thermoleovorans NPI, while 5% marcaptoethanol inhibits it. The study of Ara et al. [25] showed that SDS inhibits the amylase activity of Bacillus sp. KSM-1378. The inhibitory effect of urea, guanidine-HCl, and disodium EDTA on α-amylase was also revealed in Thermomyces lanuginosus F1 [68].

2.6. Compatibility Test with Various Commercial Laundry Detergents

The α-amylase and pullulanase activities of C. lusitaniae ABS7 show significant compatibility with all detergents in commercial detergents (Figure 11). A highly significant difference with F = 277.10 (p = 0.000) for the α-amylase and F= 258.41 (p = 0.000) for the pullulanase was noted.
Figure 11. Stability and compatibility of α-amylase and pullulanase activities of Clavispora lusitaniae ABS7.
The amylases are used in the detergents to degrade the residues of foods such as potatoes, chocolate, etc., to dextrins and other smaller oligosaccharides. The suitability of any hydrolytic enzymes for inclusion in detergent formulation depends on its stability and compatibility with detergent ingredients. In the presence of commercial detergents such as Chat, Ariel, Test, Omo, and Isis, the alkaline α-amylase maintained 130%, 97%, 115%, 75%, and 98%, respectively, of its initial activity. Similarly, the alkaline pullulanase preserved 125%, 94%, 104%, 72%, and 90% of its initial activity.
The α-amylase activity was at a maximum with the laundry detergent chat at 45 °C. The stability of any enzyme in detergent formulations mainly depends on different components, such as surfactants, bleaching agents, and stabilizers used in the detergent formulations [70]. Consequently, partial loss of α-amylase activity in certain detergents can be attributed to the inhibitory effect of one or several components of these detergents.
On the other hand, some components of the detergent may have a stimulatory effect on α-amylase and pullulanase of C. lusitaniae ABS7 [70] (increase in enzymatic activity in the presence of detergent compared to that of the control without detergent). The observation for other hydrolytic enzymes in the presence of detergent components has already been reported [70].

2.7. Wash Performance Analysis

Stain removal ability to the purified alkaline amylopullulanase was evaluated by using chocolate and jam stained on cotton tissues. Figure 12 shows that treatment of the chocolate–jam stains by detergent (Chat) supplemented with the purified alkaline amylopullulanase resulted in a perfect elimination of stains from cotton fabrics compared to stain removal by detergent or enzyme alone.
Figure 12. Test analysis of washing performance of the chocolate–jam stain on the pieces of tissue washed; (a) control (tap water), (b) enzyme (500 IU), (c) detergent (7 mg/mL); (d) enzyme (500 IU) + detergent (7 mg/mL).
Finally, the results of this study show that the studied amylopullulanase presented an excellent stability and a significant compatibility with the commercial laundry detergents at 45 °C (usually used for washing). This is favorable for its inclusion in the formulations for automatic dishwashers and laundries. In this light, the Clavispora lusitaniae ABS7 can be exploited industrially as a microbial cell factory for high-level alkalothermostable amylopullulanase, which could possibly represent a potential alternative to the use of other detergent enzymes that are not able to work properly in an alkaline environment.

3. Materials and Methods

3.1. Yeast

Yeast strain ABS7 was isolated at the Microbiological Engineering and Applications Laboratory, Mentouri University, Constantine, Algeria, from wheat grains (Triticum turgidum var. Durum) cultivated and stored in an arid region (Biskra, Algerian Sahara). The yeast was identified as Clavispora lusitaniae ABS7 by Microbiology and Molecular Genetics Laboratory at INRA–CNRS, Thiverval-Grignon, France. The yeast was maintained on YPGA agar slants comprised of yeast extract 1%, glucose 2%, peptone 1%, and agar 1.5%. Cultures were maintained at 30 °C for 24 h and then stored at 4 or −80 °C in Cryo-Beads.

3.1.1. Ability of Yeasts to Produce Amylolytic Enzymes

The ability of Clavispora lusitaniae ABS7 to produce alpha-amylase and pullulanase was obtained by the agar diffusion method (plate–test–agar). This method is a semi-quantitative method, which is described as follows: In Petri dishes containing 40 mL of YPSA (for amylase) and YPPA (for pullulanase) medium containing 0.05% chloramphenicol (to avoid any contamination), a well 6 mm in diameter is hollowed out using the inverted end of the Pasteur pipette, and 60 μL of the yeast suspension is placed therein. After incubation at 40 °C for 48 h, the hydrolysis zones are revealed after the addition of 10 mL of Lugol, which gives a transparent zone compared to the blue zones containing unhydrolyzed starch. For the pullulanase activity, 10 mL of Congo red 1% is added. After 15 min, successive rinses with NaCl (1N) are carried out to remove the excess dye, until a transparent zone appears; areas containing unhydrolyzed pullulan are shown in red (18). The composition of YPPA is as follows: yeast extract 1%, pullulan 2%, peptone 1%, and agar 1.5% and that of YPSA is yeast extract 1%, starch 2%, peptone 1%, and agar 1.5%

3.1.2. Study of the Inoculum

For preparation of the inoculum, 40 mL of YPGA medium was poured into 250 mL Erlens Meyers and inoculated with a pure strain of Clavispora lusitaniae ABS7. After incubation for 48 h at 40 °C, 50 mL of sterile distilled water was added, and the cell suspension was obtained by manual stirring.
The cell count was performed by direct counting using a Thoma cell (0.1 mm, 1/400 mm2). An inoculum of 2.5 × 106 cells/mL was used.

3.2. Culture Media

3.2.1. Base Medium

The culture medium used is based on whey at pH 4.46, obtained from the manufacture of cheeses. Whey contains the soluble components of milk: lactose, proteins, mineral salts, and traces of fat [53].
The one that is used in our work is supplied by the dairy of the Rkima brothers, industrial zone Palma, Constantine. It is stored at 4 °C for a short period of 24–48 h or at −20 °C for a longer period.

3.2.2. Whey Processing

The whey was filtered through the gauze to remove impurities. Before use, the whey underwent a thermocoagulation treatment under the combined action of pH (adjusted to 4.6) and temperature at 100 °C for 30 min in order to precipitate the caseins, which will was then removed by centrifugation at 4000× g for 15 min (or by filtration). The supernatant or the filtrate (100% without dilution) constituted the base medium and was used to prepare the culture medium [71].

3.3. Production of α-Amylase and Pullulanase in Fermenter

In a Fermenter 2 L (Sartorius, Dourdan, France), C. lusitaniae ABS7 was cultured in an optimized whey-based medium. Different substances were added to the basal medium, such as starch: 3.34 g/L, yeast extract: 0.429 g/L, salt solution (KH2PO4: 850 mg/L, K2HPO4: 150 mg/L, MgSO4, 7H2O: 500 mg/L and CaCl2 6H2O: 100 mg/L): 9.5 mL/L, and trace elements solution (CuSO4, 5H2O: 40 µg/L, KI: 100 µg/L, FeCl3, 6H2O: 200 µg/L and MnSO4, 4H2O: 400 µg/L): 4.65 mL/L. The incubation was carried out at 54 °C for 40 h with stirring at 135 rpm [72].

3.4. Enzyme Activity and Protein Concentration Assays

The extracellular α-amylase and pullulanase activities were measured by incubating 0.5 mL of an appropriately diluted enzyme sample with 0.5 mL of 1% (w/v) starch solution or pullulan solution in Tris HCl buffer pH 7, 8 at 40 °C for 30 min, respectively. The reaction was stopped using 3,5-dinitrosalicylic acid. One unit of α-amylase or pullulanase activity was defined as the amount of enzyme that produced reducing sugar equivalent to 1 μmoles of maltose/min [73]. Protein concentration was measured using the method of Lowry [74] using the bovine serum albumin as standard.

3.5. Purification of the Enzyme

After 28 h of incubation, the cells were removed by centrifugation at 8000× g for 30 min at 4 °C. The supernatant was lyophilized. The lyophilizate was re-dissolved in 0.2 M Tris HCl pH 8 buffer and was used as the enzyme source.

3.5.1. Protein Precipitation with Acetone

The cell-free extract from fermentation broth was partially purified by the acetone precipitation method [48]. Four times, the volume of chilled acetone was added to the extract, and it was left to precipitate overnight at −20 °C. A pellet was obtained by centrifugation at 10.000 rpm for 10 min. The pellet was dissolved in a minimum quantity of 0.2 M Tris HCl buffer (pH 8). Acetone precipitated sample was redissolved in the same buffer.

3.5.2. Sephacryl S200 Chromatography

A total of 2.7 mL of the enzyme preparation was applied to the Sephacryl S200 (Fisher, Illkirch-Graffenstaden, France) column (1 m × 1.6 cm), equilibrated with 0.2 M Tris HCl buffer (pH 8). The elution was carried out with the same buffer, at a flow rate of 0.5 mL/min. Fractions of 2 mL were collected. On each collected fraction, the optical density at 280 nm and the α-amylase and pullulanase activities were measured. The active fractions were pooled and concentrated.

3.5.3. Ion Exchange Chromatography

One mL of the concentrated enzyme was applied directly to DEAE cellulose (Sigma-Aldrich, St. Quentin Fallavier, France), a column (10 × 1 cm) previously equilibrated with Tris HCl buffer 0.2 M (pH 8). After washing through all unbound protein, the enzyme was eluted using the same buffer containing 1.5 M NaCl at a flow rate of 0.5 mL/min. Elution is performed with a gradient of in 0.2 M Tris HCl buffer at pH 8. Fractions of 2 mL were collected at a flow rate of 0.5 mL/min. The active fractions were pooled and concentrated with a 10 kDa membrane cut-off.

3.6. Electrophoresis SDS PAGE

The molecular weight of the pure protein was estimated by SDS-PAGE on 10% homogeneous polyacrylamide gel [75].

3.7. Thin Layer Chromatography (TLC)

The purified enzyme was incubated at 40 °C with 1% pullulan or starch. Samples were withdrawn after 6 h and, subjected to thin-layer chromatography (TLC aluminum sheets silica gel 60 F254) (Merck, Darmstadt, Germany). Each sample was analyzed using butanol/acetic acid/water (3:1:1, v/v/v) as the solvent system and methanol/sulfuric acid (1:1, v/v) as developing reagents. Glucose, maltose, and maltotriose were used as standards.

3.8. Enzyme Characterization

3.8.1. Effect of Temperature on Amylase Activity

The optimal temperature for the activity of the enzyme was determined at temperatures of 20 to 100 °C with an increment of 5 °C [76].

3.8.2. Effects of pH on Amylase Activity

The effect of pH on the enzyme activity was determined by incubating the purified enzyme between pH 5 and 12 using the standard assay condition. The buffers used were 0.5 M citrate-Na2HPO4 buffer (pH 5), 0.02 M phosphate buffer (pH 6–8), and 0.1 M glycine-NaOH buffer (pH 8.5–12) [31].

3.8.3. Thermostability

Temperature stability of the α-amylase activity was tested by pre-incubating the enzyme at 75 and 100 °C and that of the pullulanase at 80 and 100 °C at various times ranging from 0 to 180 min.
The enzyme solution was distributed using the same volume in separate tubes, which were heated together in a water bath at a carefully controlled temperature. The different samples were removed one after the other at predetermined times and instantly cooled in an ice bath. After each heat treatment, the α-amylase and pullulanase activities were measured [76].

3.9. Effect of Metals Ions and Chelating Agent

The effect of metal ions on the α-amylase and pullulanase activities was determined by adding 5 mM of different ions to the standard assay. The used metals were FeCl3, the ZnSO4, HgCl2, CuSO4, MgCl2, CaCl2, NaCl, and MnCl2. Each metal ion was separately incubated with alkaline amylopullulase at 60 °C for 30 min in 0.2 M Tris HCl buffer (pH 8) and then the α-amylase and pullulanase activities were measured. The activity of the enzyme alone in the same buffer and pH was taken to be 100%.
Moreover, other chemical substances are tested such as EDTA at 2 mM, urea (2 M), SDS at 1% (w/v), β-marcaptoéthanol (1%), and Tween 80 (1%) on both enzymatic activities. The enzymatic activities were determined by pre-incubating the enzyme in the presence of each reagent at 40 °C at pH 8.

3.10. Compatibility Test with Various Commercial Laundry Detergents

To confirm the potential of alkaline amylopullulanase from C. lusitaniae ABS7 as a laundry detergent additive, we tested its compatibility and stability towards some commercial laundry detergents available in the local market, such as Ariel, Cat, Test, Omo, and Isis. Before the enzyme stability test, the detergent solutions (7 mg/mL) were preheated to 100 °C for 60–90 min to destroy the endogenous enzyme activity [77]. Then, the detergent and enzyme were mixed in a ratio of 1:1 (v/v) and incubated at 45 °C for 1 h, and the residual activity was determined. The enzyme activity of a control (without detergent), incubated under the similar conditions, was taken as 100% [77].

3.11. Analysis of the Wash Performance

To determine the effectiveness of purified alkaline amylopullulanase for its use as a bio-detergent additive, wash performance was evaluated by determining the ability of the enzyme to remove the chocolate stain on cotton fabrics. The chocolate was heated to 70 °C and was used with jam as an application on clean cotton fabrics (7 × 7 cm) dried overnight in a hot air oven [77].
To test the wash performance, every piece of the dirty clothes was dipped in Erlenmeyer flasks containing:
(A)
25 mL of tap water (control).
(B)
20 mL of tap water and 5.0 mL of the purified alkaline amylopullulanase (500 U/mL).
(C)
20 mL of tap water and 5.0 mL of heated detergent (7 mg/mL).
(D)
20 mL of tap water and 5.0 mL of heated detergent (7 mg/mL), containing 500 U/mL of the purified alkaline enzyme.
All flasks were incubated at 37 °C for 60 min stirring 200 rpm. After incubation, the tissue pieces are removed, rinsed with water, and dried [77,78].

4. Conclusions

This study allowed us to isolate an amylolytic yeast Clavispora lusitaniae ABS, which possesses both α-amylase and pullulanase extracellular activities. This property thus provides it with the ability to hydrolyze the α-1,4 and α-1,6 glycosidic bonds of polysaccharides. These two activities are probably localized in two distinct active sites of a Type II amylopullulanase with saccharifying power. Pullulanase is a calcium-dependent metalloenzyme. The activity of α-amylase is independent of calcium, although it is essential for its stability and for the maintenance of the structure of the enzyme.
Clavispora lusitaniae ABS7, isolated from wheat grains from an arid Saharan zone, is thermophilic and alkalophilic and produces enzymes that are thermostable and active in an alkaline environment. The properties of the amylopullulanase of Clavispora lusitaniae ABS7 designate it for industrial application, more particularly in the field of the “starch” and detergent industries. Studies of its compatibility with various commercial laundry detergents have shown that it offers excellent stability and compatibility with commercial detergents. The amylopullulanase from Clavispora lusitaniae ABS was better-suited to different industrial processes such as starch and laundry detergent industries.

Author Contributions

S.D.D. performed the experiments and wrote the paper; L.B., F.Z.K.L., A.A.K. and T.N. helped in data interpretation; A.P. and Z.M. supervised the study; L.G. contributed the laboratory, reagents, and materials. All authors have read and agreed to the published version of the manuscript.

Funding

This research was funded by the Algerian Ministry of Higher Education and Scientific Research, Project Code F2501/24/06.

Data Availability Statement

Data is contained within this article.

Acknowledgments

This work would not have been possible without funding from the Algerian Ministry of Higher Education and Scientific Research and the skills of Bouchara Jean Philippe, Functional Unit of Parasitology—Mycology, and of Saunier Monique, University of Angers. We also thank Nelly Cochet, University of Technology of Compiègne, for her support.

Conflicts of Interest

The authors declare no conflict of interest.

References

  1. Tao, Z.; Dong, B.; Teng, Z.; Zhao, Y. The Classification of Enzymes by Deep Learning. IEEE Access 2020, 8, 89802–89811. [Google Scholar] [CrossRef]
  2. Balakrishnan, M.; Jeevarathinam, G.; Kumar, S.K.S.; Muniraj, I.; Uthandi, S. Optimization and scale-up of α-amylase production by Aspergillus oryzae using solid-state fermentation of edible oil cakes. BMC Biotechnol. 2021, 21, 33. [Google Scholar] [CrossRef] [PubMed]
  3. Pandey, G.; Munguambe, D.M.; Tharmavaram, M.; Rawtani, D.; Agrawal, Y.K. Halloysite nanotubes—An efficient ‘nano-support’ for the immobilization of α-amylase. Appl. Clay Sci. 2017, 136, 184–191. [Google Scholar] [CrossRef]
  4. De Souza, P.M.; Magalhães, P.O. Application of microbial α-amylase in industry—A review. Braz. J. Microbiol. 2010, 41, 850–861. [Google Scholar] [CrossRef] [PubMed]
  5. BBC Research, Global Markets for Enzymes in Industrial Applications. Available online: https://www.bccresearch.com/market-research/biotechnology/global-markets-for-enzymes-in-industrial-applications-bio030k.html (accessed on 1 October 2018).
  6. Kim, T.U.; Gu, B.G.; Jeong, J.Y.; Byun, S.M.; Shin, Y.C. Purification and characterization of maltotetraose forming alkaline Bacillus strain GM 8901. Appl. Environ. Microbiol. 1995, 61, 3105–3112. [Google Scholar] [CrossRef]
  7. Far, B.E.; Ahmadi, Y.; Khosroushahi, A.Y.; Dilmaghani, A. Microbial Alpha-Amylase Production: Progress, Challenges and Perspectives. Adv. Pharm. Bull. 2020, 10, 350–358. [Google Scholar] [CrossRef]
  8. Hmidet, N.; Jemil, N.; Nasri, M. Simultaneous production of alkaline amylase and biosurfactant by Bacillus methylotrophicus DCS1: Application as detergent additive. Biodegradation 2018, 30, 247–258. [Google Scholar] [CrossRef]
  9. Ito, S.; Kobayashi, T.; Ozaki, K. Development of Detergent Enzymes. J. Appl. Glycosci. 2000, 47, 243–251. [Google Scholar] [CrossRef][Green Version]
  10. Mitidieri, S.; Souza Martinelli, A.H.; Schrank, A.; Vainstein, M.H. Enzymatic detergent formulation containing amylase from Aspergillus niger: A comparative study with commercial detergent formulations. Bioresour. Technol. 2006, 97, 1217–1224. [Google Scholar] [CrossRef]
  11. Raul, D.; Biswas, T.; Mukhopadhyay, S.; Das, S.K.; Gupta, S. Production and partial purification of alpha Amylase from Bacillus subtilis (MTCC 121) using solid state fermentation. Biochem. Res. Int. 2014, 2014, 568141. [Google Scholar] [CrossRef] [PubMed]
  12. Djekrif, D.S.; Gheribi, A.Z.; Meraihi, Z.; Bennamoun, L. Application of a statistical design to the optimization of culture medium for α-amylase production by Aspergillus niger ATCC 16404 grown on orange waste powder. J. Food Eng. 2006, 73, 190–197. [Google Scholar] [CrossRef]
  13. Siroosi, M.; Borjian, B.F.; Amoozegar, M.A.; Babavalian, H.; Hassanshahian, M. Halophilic Amylase Production and Purification from Haloarcula sp. Strain D61. Biointerface Res. Appl. Chem. 2021, 11, 7382–7392. [Google Scholar]
  14. Naidu, K.; Maseko, S.; Kruger, G.; Lin, J. Purification and characterization of α-amylase from Paenibacillus sp. D9 and Escherichia coli recombinants. Biocatal. Biotransf. 2020, 38, 124–134. [Google Scholar] [CrossRef]
  15. Al-Dhabi, N.A.; Esmail, G.A.; Ghilan, A.K.M.; Arasu, M.V.; Duraipandiyan, V.; Ponmurugan, K. Isolation and purification of starch hydrolysing amylase from Streptomyces sp. Al-Dhabi-46 obtained from the Jazan region of Saudi Arabia with industrial applications. J. King Saud Univ. Sci. 2020, 32, 1226–1232. [Google Scholar] [CrossRef]
  16. Simair, A.A.; Qureshi, A.S.; Khushk, I.; Ali, C.H.; Lashari, S.; Bhutto, M.A.; Mangrio, G.S.; Lu, C. Production and Partial Characterization of α-Amylase Enzyme from Bacillus sp. BCC 01-50 and Potential Applications. BioMed Res. Int. 2017, 2017, 9173040. [Google Scholar] [CrossRef]
  17. Lin, L.L.; Chyau, C.C.; Hsu, W.H. Production and properties of a raw starch degrading amylase from the thermophilic and alkaliphilic Bacillus sp. TS23. Biotechnol. Appl. Biochem. 1998, 28, 61–68. [Google Scholar]
  18. Moubasher, H.; Wahsh, S.S.; El-Kassem, N.A. Purification of pullulanase from Aureobasidium pullulans. Microbiology 2010, 79, 759–766. [Google Scholar] [CrossRef]
  19. Ramachandran, N. Amylolytic enzymes from the yeast Lipomyces kononenkoae. Biologia 2005, 60, 103–110. [Google Scholar]
  20. Iefuji, H.; Chino, M.; Kato, M.; Iimura, Y. Raw-starch-digesting and thermostable α-amylase from the yeast Cryptococcus sp. S-2: Purification, characterization, cloning and sequencing. Biochem. J. 1996, 318, 989–996. [Google Scholar] [CrossRef]
  21. Vishnu, C.; Naveena, B.J.; Altaf, M.D.; Venkateshwar, M.; Reddy, G. Amylopullulanase—A novel enzyme of L. amylophilus GV6 in direct fermentation of starch to L(+) lactic acid. Enzyme Microb. Technol. 2006, 38, 545–550. [Google Scholar] [CrossRef]
  22. Zareian, S.; Khajeh, K.; Ranjbar, B.; Dabirmanesh, B.; Ghollasi, M.; Mollania, N. Purification and characterization of a novel amylopullulanase that converts pullulan to glucose, maltose, and maltotriose and starch to glucose and maltose. Enzyme Microb. Technol. 2010, 46, 57–63. [Google Scholar] [CrossRef]
  23. Wasko, A.; Polak-Berecka, M.; Targonski, Z. Purification and characterization of Pullulanase from lactococcus lactis. Prep. Biochem. Biotechnol. 2011, 41, 252–261. [Google Scholar] [CrossRef] [PubMed]
  24. Kar, S.; Ray, R.C.; Mohapatra, U.B. Purification, characterization and application of thermostable amylopullulanase from Streptomyces erumpens MTCC 7317 under submerged fermentation. Ann. Microbiol. 2012, 62, 931–937. [Google Scholar] [CrossRef]
  25. Ara, K.; Saeki, K.; Igarashi, K.; Takaiwa, M.; Uemura, T.; Hagihara, H.; Kawai, S.; Ito, S. Purification and characterization of an alkaline amylopullulanase with both α-1,4 and α-1,6 hydrolytic activiy from alkalophilic Bacillus sp. KSM-1378. Biochim. Biophys. Acta (BBA) Gen. Subj. 1995, 1243, 315–324. [Google Scholar] [CrossRef]
  26. Kim, C.H.; Kim, Y.S. Substrate specificity and detailed characterization of a bifunctional amylase-pullulanase enzyme from Bacillus circulans F2 having two different active sites on one polypeptide. Eur. J. Biochem. 1995, 227, 687–693. [Google Scholar] [CrossRef]
  27. Melasniemi, H. Characterization of a-amylase and pullulanase activities of Clostridium thermohydrosulfuricum. Biochem. J. 1987, 246, 193–197. [Google Scholar] [CrossRef] [PubMed]
  28. Kim, C.-H.; Kim, D.-S.; Taniguchi, H.; Maruyama, Y. Purification of a amylase-pullulanase bifunctional enzyme by high-performance size-exclusion and hydrophobic-interaction chromatography. J. Chromatogr. A 1990, 512, 131–137. [Google Scholar] [CrossRef]
  29. Mathupala, S.P.; Lowe, S.E.; Podkovyrov, S.M.; Zeikus, J.G. Sequencing of the amylopullulanase (apu) gene of Thermoanaerobacter ethanolicus 39E, and identification of the active site by site-directed mutagenesis. J. Biol. Chem. 1993, 268, 16332–16344. [Google Scholar] [CrossRef]
  30. Ara, K.; Igarashi, K.; Saeki, K.; Ito, S. An Alkaline Amylopullulanase from Alkalophilic Bacillus sp. KSM-1378; Kinetic Evidence for Two Independent Active Sites for the α-1,4 and α-1,6 Hydrolytic Reactions. Biosci. Biotechnol. Biochem. 1995, 59, 662–666. [Google Scholar] [CrossRef]
  31. Hii, L.S.; Ling, T.C.; Mohamad, R.; Ariff, A.B. Characterization of Pullulanase Type II from Bacillus cereus H1.5. Am. J. Biochem. Biotechnol. 2009, 5, 170–179. [Google Scholar] [CrossRef]
  32. Mrudula, S.; Gopal, R.; Seenayya, G. Purification and characterization of highly thermostable amylopullulanase from a thermophilic, anaerobic bacterium Clostridium thermosulfurogenes SVM17. Malays. J. Microbiol. 2011, 7, 97–106. [Google Scholar] [CrossRef]
  33. Lévêque, E.; Janeček, Š.; Haye, B.; Belarbi, A. Thermophilic archaeal amylolytic enzymes. Enzyme Microb. Technol. 2000, 26, 3–14. [Google Scholar] [CrossRef]
  34. Nakamura, Y.; Fukuhara, H.; Sano, K. Secreted Phytase Activities of Yeasts. Biosci. Biotechnol. Biochem. 2000, 64, 841–844. [Google Scholar] [CrossRef]
  35. Prieto, J.A.; Bort, B.R.; Martínez, J.; Randez-Gil, F.; Buesa, C.; Sanz, P. Purification and characterization of a new alpha-amylase of intermediate thermal stability from the yeast Lipomyces kononenkoae. Biochem. Cell Biol. 1995, 73, 41–49. [Google Scholar] [CrossRef]
  36. Simões-Mendes, B. Purification and characterization of the extracellular amylases of the yeast Schwanniomyces alluvius. Can. J. Microbiol. 1984, 30, 1163–1170. [Google Scholar] [CrossRef]
  37. Wanderley, K.J.; Torres, F.A.G.; Moraes, L.M.P.; Ulhoa, C.J. Biochemical characterization of α-amylase from the yeast Cryptococcus flavus. FEMS Microbiol. Lett. 2004, 231, 165–169. [Google Scholar] [CrossRef]
  38. Kwon, Y.M.; Choi, H.S.; Lim, J.Y.; Jang, H.S.; Chung, D. Characterization of Amylolytic Activity by a Marine-Derived Yeast Sporidiobolus pararoseus PH-Gra1. Mycobiology 2020, 48, 195–203. [Google Scholar] [CrossRef]
  39. Demirkan, E. Production, purification, and characterization of α-amylase by Bacillus subtilis and its mutant derivates. Turk. J. Biol. 2011, 35, 705–712. [Google Scholar]
  40. Abdel-Fattah, Y.R.; Soliman, N.A.; El-Toukhy, N.M.; El-Gendi, H.; Ahmed, R.S. Production, Purification, and Characterization of Thermostable α-Amylase Produced by Bacillus licheniformis Isolate AI20. J. Chem. 2013, 2013, 673173. [Google Scholar] [CrossRef]
  41. Rodríguez-Saavedra, C.; Rodríguez-Sanoja, R.; Guillén, D.; Wacher, C.; Díaz-Ruiz, G. Streptococcus infantarius 25124 isolated from pozol produces a high molecular weight amylopullulanase, a key enzyme for niche colonization. Amylase 2021, 5, 1–12. [Google Scholar] [CrossRef]
  42. Saha, B.C.; Lamed, R.; Lee, C.Y.; Mathupala, S.P.; Zeikus, J.G. Characterization of an endo-Acting Amylopullulanase from Thermoanaerobacter Strain B6A. Appl. Environ. Microbiol. 1990, 56, 881–886. [Google Scholar] [CrossRef]
  43. Erra-Pujada, M.; Chang-Pi-Hin, F.; Debeire, P.; Duchiron, F.; O’Donohue, J. Purification and properties of the catalytic domain of the thermostable pullulanase Type II from Thermococcus hydrothermalis. Biotechnol. Lett. 2001, 23, 1273–1277. [Google Scholar] [CrossRef]
  44. Ueda, S.; Ohba, R. Purification, Crystallization and Some Properties o-Extracellular Pullulanase from Aerobacter aerogenes. Agric. Biol. Chem. 1972, 36, 2381–2391. [Google Scholar] [CrossRef][Green Version]
  45. Kim, C.H.; Choi, H.I.; Lee, D.S. Purification and Biochemical Properties of an Alkaline Pullulanase from Alkalophilic Bacillus sp. S-l. Biosci. Biotechnol. Biochem. 1993, 57, 1632–1637. [Google Scholar] [CrossRef]
  46. Qiao, Y.; Peng, Q.; Yan, J.; Wang, H.; Ding, H.; Shi, B. Gene cloning and enzymatic characterization of alkali-tolerant Type I pullulanase from Exiguobacterium acetylicum. Lett. Appl. Microbiol. 2015, 60, 52–59. [Google Scholar] [CrossRef] [PubMed]
  47. Hii, S.L.; Tan, J.S.; Ling, T.C.; Ariff, A.B. Pullulanase: Role in Starch Hydrolysis and Potential Industrial Applications. Enzyme Res. 2012, 2012, 921362. [Google Scholar] [CrossRef]
  48. Asha, R.; Niyonzima, F.N.; Sunil, S.M. Purification and properties of pullulanase from Bacillus halodurans. Int. Res. J. Biol. Sci. 2013, 2, 35–43. [Google Scholar]
  49. Lim, S.J.; Hazwani-Oslan, S.N.; Oslan, S.N. Purification and characterisation of thermostable α-amylases from microbial sources. BioResources 2019, 15, 2005–2029. [Google Scholar] [CrossRef]
  50. Xian, L.; Wang, F.; Luo, X.; Feng, Y.L.; Feng, J.X. Purification and Characterization of a Highly Efficient Calcium-Independent α-Amylase from Talaromyces pinophilus 1-95. PLoS ONE 2015, 10, e0121531. [Google Scholar] [CrossRef]
  51. Mohamed, S.A.; Azhar, E.I.; Ba-Akdah, M.M.; Tashk, N.R.; Kumosani, T.A. Production, purification and characterization of α-amylase from Trichoderma harzianum grown on mandarin peel. Afr. J. Microbiol. Res. 2011, 5, 930–940. [Google Scholar] [CrossRef][Green Version]
  52. Saini, R.; Saini, H.S.; Dahiya, A. Amylases: Characteristics and industrial applications. J. Pharmacogn. Phytochem. 2017, 6, 1865–1871. [Google Scholar]
  53. Larpent, J.P.; Larpent-Gourgaud, M. Mémento Technique de Microbiologie, 3rd ed.; Lavoisier-Tec & Doc: Paris, France, 1997; Volume 8, pp. 217–240. [Google Scholar]
  54. Declerck, N.; Machius, M.; Joyet, P.; Wiegand, G.; Huber, R.; Gaillardin, C. Hyperthermostabilization of Bacillus licheniformis α-amylase and modulation of its stability over a 50°C temperature range. Protein Eng. Des. Sel. 2003, 16, 287–293. [Google Scholar] [CrossRef]
  55. Lonhienne, T.; Zoidakis, J.; Vorgias, C.E.; Feller, G.; Gerday, C.; Bouriotis, V. Modular structure, local flexibility and cold-activity of a novel chitobiase from a psychrophilic antarctic bacterium. J. Mol. Biol. 2001, 310, 291–297. [Google Scholar] [CrossRef]
  56. Unsworth, L.D.; van der Oost, J.; Koutsopoulos, S. Hyperthermophilic enzymes—Stability, activity and implementation strategies for high temperature applications: Properties and applications of hyperthermozymes. FEBS J. 2007, 274, 4044–4056. [Google Scholar] [CrossRef]
  57. Koutsopoulos, S.; van der Oost, J.; Norde, W. Temperature-dependent structural and functional features of a hyperthermostable enzyme using elastic neutron scattering: Dynamics of a Hyperthermostable Enzyme. Proteins 2005, 61, 377–384. [Google Scholar] [CrossRef]
  58. Al-Quadan, F.; Akel, H.; Natshi, R. Characteristics of a novel, highly acid- and thermo-stable amylase from thermophilic Bacillus strain HUTBS62 under different environmental conditions. Ann. Microbiol. 2011, 61, 887–892. [Google Scholar] [CrossRef]
  59. Galdino, A.S.; Silva, R.N.; Lottermann, M.T.; Alvares, A.C.M.; Moraes, L.M.P.D.; Torres, F.A.G.; Freitas, S.M.D.; Ulhoa, C.J. Biochemical and Structural Characterization of Amy1: An Alpha-Amylase from Cryptococcus flavus Expressed in Saccharomyces cerevisiae. Enzyme Res. 2011, 2011, 157294. [Google Scholar] [CrossRef]
  60. Hwang, S.Y.; Nakashima, K.; Okai, N.; Okazaki, F.; Miyake, M.; Harazono, K.; Ogino, C.; Kondo, A. Thermal Stability and Starch Degradation Profile of α-Amylase from Streptomyces avermitilis. Biosci. Biotechnol. Biochem. 2013, 77, 2449–2453. [Google Scholar] [CrossRef] [PubMed]
  61. Bernhardsdotter, E.C.M.J.; Ng, J.D.; Garriott, O.K.; Pusey, M.L. Enzymic properties of an alkaline chelator-resistant α-amylase from an alkaliphilic Bacillus sp. isolate L1711. Process Biochem. 2005, 40, 2401–2408. [Google Scholar] [CrossRef]
  62. Suzuki, Y.; Imai, T. Bacillus stearothermophilus KP 1064 pullulan hydrolase. Appl. Microbiol. Biotechnol. 1985, 21, 20–26. [Google Scholar] [CrossRef]
  63. Rüdiger, A.; Jorgensen, P.L.; Antranikian, G. Isolation and characterization of a heat-stable pullulanase from the hyperthermophilic archaeon Pyrococcus woesei after cloning and expression of its gene in Escherichia coli. Appl. Environ. Microbiol. 1995, 61, 567–575. [Google Scholar] [CrossRef] [PubMed]
  64. Zohra, R.R.; Qader, S.A.; Pervez, S.; Aman, A. Influence of different metals on the activation and inhibition of α-amylase from thermophilic Bacillus firmus KIBGE-IB28. Pak. J. Pharm. Sci. 2016, 29, 1275–1278. [Google Scholar] [PubMed]
  65. Freer, S.N. Purification and characterization of the extracellular alpha-amylase from Streptococcus bovis JB1. Appl. Environ. Microbiol. 1993, 59, 1398–1402. [Google Scholar] [CrossRef]
  66. Divakaran, D.; Chandran, A.; Pratap Chandran, R. Comparative study on production of a-Amylase from Bacillus licheniformis strains. Braz. J. Microbiol. 2011, 42, 1397–1404. [Google Scholar] [CrossRef]
  67. Pompeyo, C.; Gomez, M.; Gasparian, S.; Morlon-Guyot, J. Comparison of amylolytic properties of Lactobacillus amylovorus and of Lactobacillus amylophilus. Appl. Microbiol. Biotechnol. 1993, 40, 266–269. [Google Scholar] [CrossRef]
  68. Odibo, F.J.C.; Ulbrich-Hofmann, R. Thermostable α-Amylase and Glucoamylase from Thermomyces lanuginosus F1. Acta Biotechnol. 2001, 21, 141–153. [Google Scholar] [CrossRef]
  69. Arabacı, N.; Arıkan, B. Isolation and characterization of a cold-active, alkaline, detergent stable α-amylase from a novel bacterium Bacillus subtilis N8. Prep. Biochem. Biotechnol. 2018, 48, 419–426. [Google Scholar] [CrossRef] [PubMed]
  70. Joo, H.S.; Chang, C.S. Production of an oxidant and SDS-stable alkaline protease from an alkaophilic Bacillus clausii I-52 by submerged fermentation: Feasibility as a laundry detergent additive. Enzyme Microb. Technol. 2006, 38, 176–183. [Google Scholar] [CrossRef]
  71. Lorient, D.; Closs, B.; Courthaudon, J.L. Connaissances nouvelles sur les propriétés fonctionnelles des protéines du lait et des dérivés. Lait 1991, 71, 141–171. [Google Scholar] [CrossRef]
  72. DJekrif, D.S.; Gillmann, L.; Cochet, N.; Bennamoun, L.; Ait-Kaki, A.; Labbani, K.; Nouadri, T.; Meraihi, Z. Optimization of thermophilic pullulanase and α-amylase production by amylolytic yeast. Int. J. Micro. Biol. Res. 2014, 6, 559–569. [Google Scholar]
  73. Bernfeld, P. Amylase α and β. In Methods in Enzymology; Colowick, S.P., Kaplan, O.N., Eds.; Academic Press: New York, NY, USA, 1955; pp. 140–146. [Google Scholar]
  74. Lowry, O.H.; Rosebrough, N.; Farr, A.; Randall, R.J. Protein measurement with the folin phenol reagent. J. Biol. Chem. 1951, 193, 265–275. [Google Scholar] [CrossRef]
  75. Laemmli, U.K. Cleavage of Structural Proteins during the Assembly of the Head of Bacteriophage T4. Nature 1970, 227, 680–685. [Google Scholar] [CrossRef] [PubMed]
  76. Arikan, B. Highly thermostable, thermophilic, alkaline, SDS and chelator resistant amylase from a thermophilic Bacillus sp. isolate A3-15. Bioresour. Technol. 2008, 99, 3071–3076. [Google Scholar] [CrossRef]
  77. Hmidet, N.; Ali, N.E.-H.; Haddar, A.; Kanoun, S.; Alya, S.K.; Nasri, M. Alkaline proteases and thermostable α-amylase co-produced by Bacillus licheniformis NH1: Characterization and potential application as detergent additive. Biochem. Eng. J. 2009, 47, 71–79. [Google Scholar] [CrossRef]
  78. Rameshkumar, A.; Sivasudha, T. Optimization of Nutritional Constitute for Enhanced Alpha amylase Production Using by Solid State Fermentation Technology. Int. J. Microbiol. Res. 2011, 2, 143–148. [Google Scholar]
Publisher’s Note: MDPI stays neutral with regard to jurisdictional claims in published maps and institutional affiliations.

Article Metrics

Citations

Article Access Statistics

Multiple requests from the same IP address are counted as one view.