The Use of PI-FAB Score in Evaluating mpMRI After Focal Ablation of Prostate Cancer: Is It Reliable? Inter-Reader Agreement in a Tertiary Care Referral University Hospital
Simple Summary
Abstract
1. Introduction
2. Materials and Methods
2.1. Study Design and Patient Population
2.2. HIFU Treatment
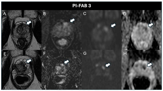
2.3. mpMRI Protocol
2.4. mpMRI Image Analysis
2.5. Fusion Targeted Biopsy After Focal Therapy
2.6. Statistical Analyses
3. Results
4. Discussion
5. Conclusions
Author Contributions
Funding
Institutional Review Board Statement
Informed Consent Statement
Data Availability Statement
Conflicts of Interest
References
- International Agency for Research on Cancer. Prostate Cancer Fact Sheet; WHO: Geneva, Switzerland, 2024; Available online: https://gco.iarc.who.int/media/globocan/factsheets/cancers/27-prostate-fact-sheet.pdf (accessed on 12 September 2024).
- Culp, M.B.; Soerjomataram, I.; Efstathiou, J.A.; Bray, F.; Jemal, A. Recent Global Patterns in Prostate Cancer Incidence and Mortality Rates. Euro. Urol. 2020, 77, 38–52. [Google Scholar] [CrossRef] [PubMed]
- Alberti, A.; Nicoletti, R.; Castellani, D.; Yuan, Y.; Maggi, M.; Dibiliom, E.; Resta, G.R.; Makrides, P.; Sessa, F.; Sebastianelli, A.; et al. Patient-reported Outcome Measures and Experience Measures After Active Surveillance Versus Radiation Therapy Versus Radical Prostatectomy for Prostate Cancer: A Systematic Review of Prospective Comparative Studies. Eur.Urol. Oncol. 2024, 7, 1255–1266. [Google Scholar] [CrossRef]
- Reddy, D.; Peters, M.; Shah, T.T.; van Son, M.; Bertoncelli Tanaka, M.; Huber, P.M.; Lomas, D.; Rakauskas, A.; Miah, S.; Eldred-Evans, D.; et al. Focal therapy using high-intensity focused ultrasound in 1379 men with nonmetastatic prostate cancer: A multi-institute 15-year experience. Eur. Urol. 2022, 81, 407–413. [Google Scholar] [CrossRef]
- Arcot, R.; Polascik, T.J. Evolution of focal therapy in prostate cancer: Past, present and future. Urol. Clin. N. Am. 2022, 49, 129–152. [Google Scholar] [CrossRef] [PubMed]
- Lane, J.A.; Donovan, J.L.; Young, G.J.; Davis, M.; Walsh, E.I.; Avery, K.N.L.; Blazeby, J.M.; Mason, M.D.; Martin, R.M.; Peters, T.J.; et al. Functional and quality of life outcomes of localized prostate cancer treatments (Prostate Testing for Cancer and Treatment [ProtecT] study). BJU Int. 2022, 130, 370–380. [Google Scholar] [CrossRef]
- Ahmed, H.; Pendse, D.; Illing, R.; Allen, C.; van der Meulen, J.H.P.; Emberton, M. Will focal therapy become a standard of care for men with localized prostate cancer? Nat. Rev. Clin. Oncol. 2007, 4, 632–642. [Google Scholar] [CrossRef]
- Nicoletti, R.; Alberti, A.; Castellani, D.; Yee, C.H.; Zhang, K.; Poon, D.M.C.; Ka-Fung Chiu, P.; Campi, R.; Resta, G.R.; Dibilio, E.; et al. Oncological results and cancer control definition in focal therapy for Prostate Cancer: A systematic review. Prostate Cancer Prostatic. Dis. 2024, 27, 623–634. [Google Scholar] [CrossRef] [PubMed]
- Fujihara, A.; Ukimura, O. Focal therapy of localized prostate cancer. Int. J. Urol. 2022, 29, 1254–1263. [Google Scholar] [CrossRef]
- Stabile, A.; Orczyk, C.; Hosking-Jervis, F.; Giganti, F.; Arya, M.; Hindley, R.G.; Dickinson, L.; Allen, C.; Punwani, S.; Jameson, C.; et al. Medium-term oncological outcomes in a large cohort of men treated with either focal or hemi-ablation using high-intensity focused ultrasonography or primay localized prostate cancer. BJU Int. 2019, 124, 431–440. [Google Scholar] [CrossRef]
- Schmid, F.A.; Schindele, D.; Mortezavi, A.; Spitznagel, T.; Sulser, T.; Schostak, M.; Eberli, D. Prospective multicentre study using high intensity focused ultrasound (HIFU) for the focal treatment of prostate cancer; safety outcomes and complications. Urol. Oncol. 2020, 38, 225–230. [Google Scholar] [CrossRef]
- Khandwala, Y.S.; Morisetty, S.; Ghanouni, P.; Fan, R.E.; Soerensen, S.J.C.; Rusu, M.; Sonn, G.A. Evaluation of post-ablation mpMRI as a predictor of residual prostate cancer after focal high intensity focused ultrasound (HIFU) ablation. Urol. Oncol. 2022, 40, 489.e9–489.e17. [Google Scholar]
- Rothberg, M.B.; Enders, J.J.; Kozel, Z.; Gopal, N.; Turkbey, B.; Pinto, P.A. The role of novel imaging in prostate cancer focal therapy:treatment and follow up. Curr. Opin. Urol. 2022, 32, 231–238. [Google Scholar] [PubMed]
- Giganti, F.; Dickinson, L.; Orczyk, C.; Haider, A.; Freeman, A.; Emberton, M.; Allen, C.; Moore, C.M. Prostate Imaging after Focal Ablation (PI-FAB): A Proposal for a Scoring System for Multiparametric MRI of the Prostate After Focal Therapy. Eur. Urol. Oncol. 2023, 6, 629–634. [Google Scholar] [CrossRef]
- Turkbey, B.; Rosenkrantz, A.B.; Haider, M.A.; Padhani, A.R.; Villeirs, G.; Macura, K.J.; Tempany, C.M.; Choyke, P.L.; Cornud, F.; Margolis, D.J.; et al. Prostate Imaging Reporting and Data System Version 2.1: 2019 Update of Prostate Imaging Reporting and Data System Version 2. Eur. Urol. 2019, 76, 340–351. [Google Scholar]
- de Rooij, M.; Allen, C.; Twilt, J.J.; Thijssen, L.C.P.; Asbach, P.; Barrett, T.; Brembilla, G.; Emberton, M.; Gupta, R.T.; Haider, M.A.; et al. PI-QUAL version 2: An update of a standardised scoring system for the assessment of image quality of prostate MRI. Eur. Radiol. 2024, 34, 7068–7079. [Google Scholar] [PubMed]
- Panebianco, V.; Villeirs, G.; Weinreb, J.C.; Turkbey, B.I.; Margolis, D.J.; Richenberg, J.; Schoots, I.G.; Moore, C.M.; Futterer, J.; Macura, K.J.; et al. Prostate magnetic resonance imaging for local recurrence reporting (PI-RR): International Consensus-based Guidelines on multiparametric magnetic resonance imaging or prostate cancer recurrence after radiation therapy and radical prostatectomy. Eur. Urol. Oncol. 2021, 4, 868–876. [Google Scholar] [CrossRef] [PubMed]
- Englman, C.; Maffei, D.; Allen, C.; Kirkham, A.; Albertsen, P.; Kasivisvanathan, V.; Hueb Baroni, R.; Briganti, A.; De Visschere, P.; Dickinson, L.; et al. PRECISE version 2: Updated recommendations for reporting prostate magnetic resonance imaging in patients on active surveillance for prostate cancer. Eur. Urol. 2024, 86, 240–255. [Google Scholar]
- Dias, A.B.; Chang, S.D.; Fennessy, F.M.; Ghafoor, S.; Ghai, S.; Panebianco, V.; Purysko, A.S.; Giganti, F. New prostate MRI scoring systems (PI-QUAL, PRECISE, PI-RR, and PI-FAB): AJR expert panel narrative review. AJR 2025, 224, e2430956. [Google Scholar]
- Gelikman, D.G.; Kenigsberg, A.P.; Mee Law, Y.; Yilmaz, E.C.; Harmon, S.A.; Parikh, S.H.; Hyman, J.A.; Huth, H.; Koller, C.R.; Nethala, D.; et al. Evaluating Diagnostic Accuracy and Inter-reader Agreement of the Prostate Imaging After Focal Ablation Scoring System. Eur. Urol. Open Sci. 2024, 62, 74–80. [Google Scholar] [CrossRef]
- Pausch, A.M.; Elsner, C.; Rupp, N.J.; Eberli, D.; Hötker, A.M. MRI-based monitoring of prostate cancer after HIFU: Inter-reader agreement and diagnostic performance of the PI-FAB score. Eur. J. Radiol. 2024, 175, 111463. [Google Scholar] [PubMed]
- Yee, C.-H.; Chiu, P.K.-F.; Teoh, J.Y.-C.; Ng, C.-F.; Chan, C.-K.; Hou, S.-M. High-Intensity Focused Ultrasound (HIFU) Focal Therapy for Localized Prostate Cancer with MRI-US Fusion Platform. Adv. Urol. 2021, 2021, 7157973. [Google Scholar] [CrossRef]
- Bertelli, E.; Mercatelli, L.; Marzi, C.; Pachetti, E.; Baccini, M.; Barucci, A.; Colantonio, S.; Gherardini, L.; Lattavo, L.; Pascali, M.A.; et al. Machine and Deep Learning Prediction Of Prostate Cancer Aggressiveness Using Multiparametric MRI. Front. Oncol. 2021, 11, 802964. [Google Scholar] [CrossRef] [PubMed]
- Gwet, K.L. Computing inter-rater reliability and its variance in the presence of high agreement. Br. J. Math. Stat. Psychol. 2008, 61, 29–48. [Google Scholar] [CrossRef]
- Gwet, K.L. irrCAC: Computing Chance-Corrected Agreement Coefficients (CAC). 2019. Available online: https://rdrr.io/cran/irrCAC/ (accessed on 16 September 2024).
- Ahn, H.; Hwang, S.I.; Lee, H.J.; Kim, S.Y.; Cho, J.Y.; Lee, H.; Hong, S.K.; Byun, S.S.; Kim, T.M. Diagnostic performance of MRI for prediction of recurrent prostate cancer after high-intensity focused ultrasound: A systematic review and meta-analysis. Prostate Int. 2023, 11, 59–68. [Google Scholar] [CrossRef] [PubMed]
- Mortezavi, A.; Krauter, J.; Gu, A.; Sonderer, J.; Bruhin, J.; Reeve, K.A.; Held, L.; Donati, O.F.; Rupp, N.J.; Moch, H.; et al. Extensive Histological Sampling following Focal Therapy of Clinically Significant Prostate Cancer with High Intensity Focused Ultrasound. J. Urol. 2019, 202, 717–724. [Google Scholar] [CrossRef] [PubMed]
- De Visschere, P.J.L.; Naesens, L.; Libbrecht, L.; Van Praet, C.; Lumen, N.; Fonteyne, V.; Pattyn, E.; Villeirs, G. What kind of prostate cancers do we miss on multiparametric magnetic resonance imaging? Eur. Radiol. 2016, 26, 1098–1107. [Google Scholar] [CrossRef]
- Gwet, K.L. Handbook of Inter-Rater Reliability: The Definitive Guide to Measuring the Extent of Agreement Among Raters; Advanced Analytics, LLC: Fort Wayne, IN, USA, 2014. [Google Scholar]
- Feinstein, A.R.; Cicchetti, D.V. High agreement but low kappa: I. The problems of two paradoxes. J. Clin. Epidemiol. 1990, 43, 551–554. [Google Scholar]




| Variable | Value |
|---|---|
| Mean age ± SD, y | 70.6 ± 8.31 |
| Pre-treatment mean PSA, ng/mL | 7.85 ± 1.21 |
| Post-treatment mean PSA, ng/mL | 4.64 ± 4.2 |
| Pre-treatment PI-RADS, n (%) | |
| 3 | 26 (38.2) |
| 4 | 42 (61.8) |
| (ISUP/WHO) grade group, n (%) | |
| 1 | 61 (89.7) |
| 2 | 7 (10.3) |
| 6 Months | 18 Months | 30 Months | |
|---|---|---|---|
| mpMRI, n | 68 | 30 | 11 |
| PI-FAB 1, n (%) | 64 (94.1) | 30 (100) | 11 (100) |
| PI-FAB 2, n (%) | 1 (1.5) | 0 (0) | 0 (0) |
| PI-FAB 3, n (%) | 3 (4.4) | 0 (0) | 0 (0) |
Disclaimer/Publisher’s Note: The statements, opinions and data contained in all publications are solely those of the individual author(s) and contributor(s) and not of MDPI and/or the editor(s). MDPI and/or the editor(s) disclaim responsibility for any injury to people or property resulting from any ideas, methods, instructions or products referred to in the content. |
© 2025 by the authors. Licensee MDPI, Basel, Switzerland. This article is an open access article distributed under the terms and conditions of the Creative Commons Attribution (CC BY) license (https://creativecommons.org/licenses/by/4.0/).
Share and Cite
Bertelli, E.; Vizzi, M.; Legato, M.; Nicoletti, R.; Paolucci, S.; Ruzga, R.; Giovannelli, S.; Sessa, F.; Serni, S.; Masieri, L.; et al. The Use of PI-FAB Score in Evaluating mpMRI After Focal Ablation of Prostate Cancer: Is It Reliable? Inter-Reader Agreement in a Tertiary Care Referral University Hospital. Cancers 2025, 17, 1031. https://doi.org/10.3390/cancers17061031
Bertelli E, Vizzi M, Legato M, Nicoletti R, Paolucci S, Ruzga R, Giovannelli S, Sessa F, Serni S, Masieri L, et al. The Use of PI-FAB Score in Evaluating mpMRI After Focal Ablation of Prostate Cancer: Is It Reliable? Inter-Reader Agreement in a Tertiary Care Referral University Hospital. Cancers. 2025; 17(6):1031. https://doi.org/10.3390/cancers17061031
Chicago/Turabian StyleBertelli, Elena, Michele Vizzi, Martina Legato, Rossella Nicoletti, Sebastiano Paolucci, Ron Ruzga, Simona Giovannelli, Francesco Sessa, Sergio Serni, Lorenzo Masieri, and et al. 2025. "The Use of PI-FAB Score in Evaluating mpMRI After Focal Ablation of Prostate Cancer: Is It Reliable? Inter-Reader Agreement in a Tertiary Care Referral University Hospital" Cancers 17, no. 6: 1031. https://doi.org/10.3390/cancers17061031
APA StyleBertelli, E., Vizzi, M., Legato, M., Nicoletti, R., Paolucci, S., Ruzga, R., Giovannelli, S., Sessa, F., Serni, S., Masieri, L., Campi, R., Neri, E., Agostini, S., & Miele, V. (2025). The Use of PI-FAB Score in Evaluating mpMRI After Focal Ablation of Prostate Cancer: Is It Reliable? Inter-Reader Agreement in a Tertiary Care Referral University Hospital. Cancers, 17(6), 1031. https://doi.org/10.3390/cancers17061031

