Atypical Pelvic Tumors in Children
Simple Summary
Abstract
1. Introduction
2. More Common Pelvic Tumors in Children
3. Atypical Pelvic Tumors in Children
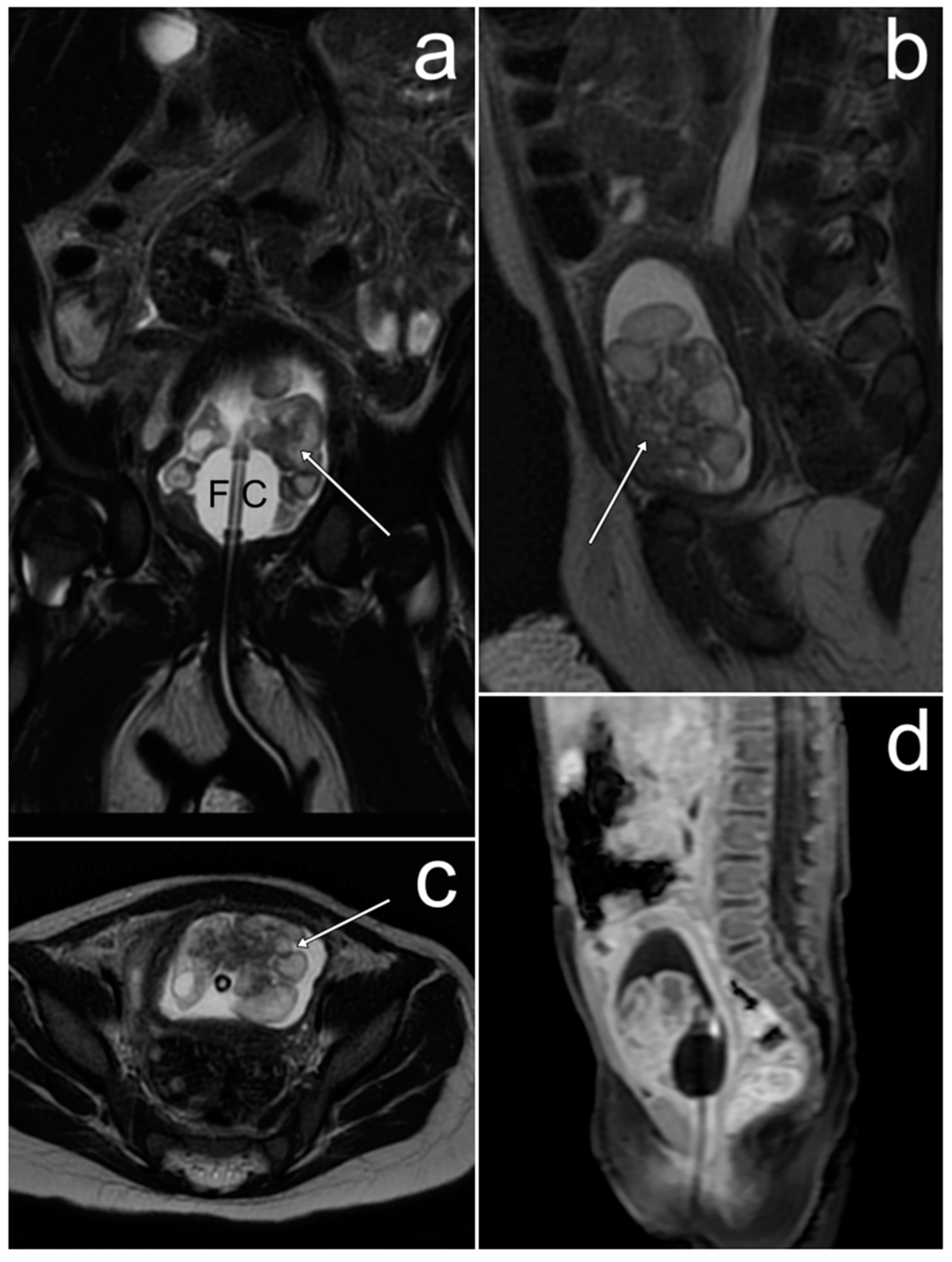
3.1. Small Cell Carcinoma of the Ovary, Hypercalcemic Type
Case Report
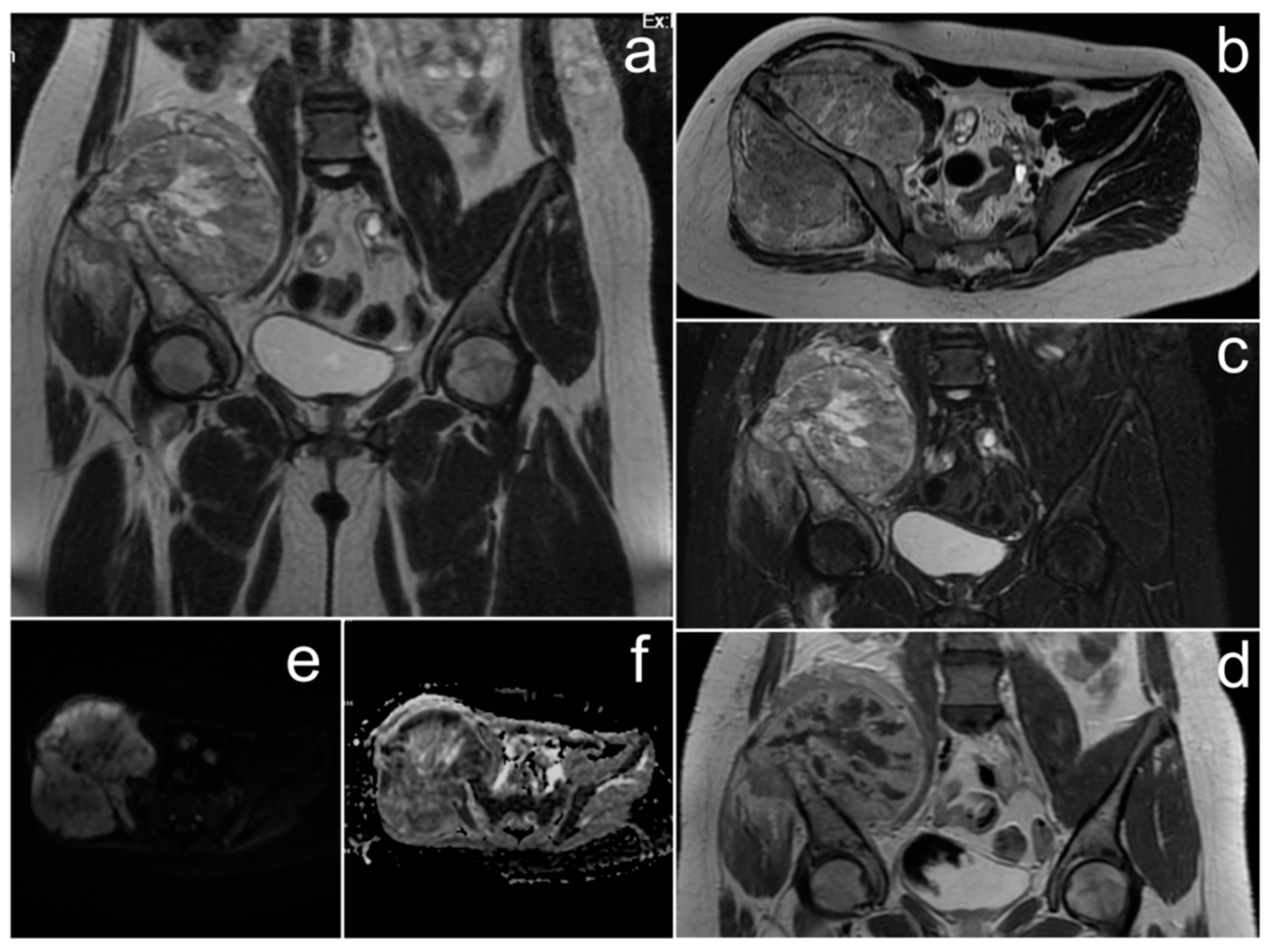
3.2. Ewing Sarcoma/Primitive Neuroectodermal Tumor of the Ovary
Case Report
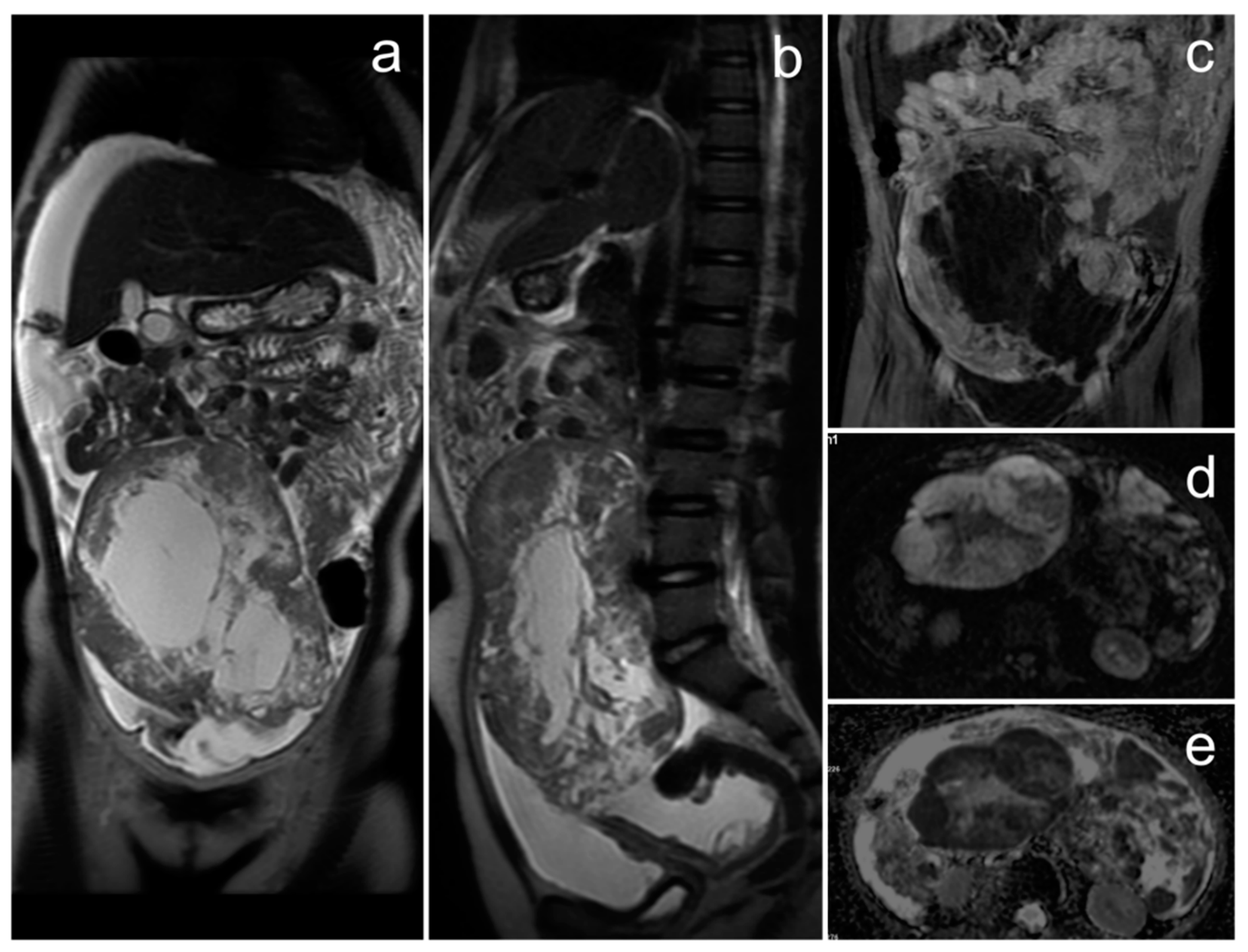
3.3. Diffuse Large B-Cell Lymphoma of the Ovaries
Case Report
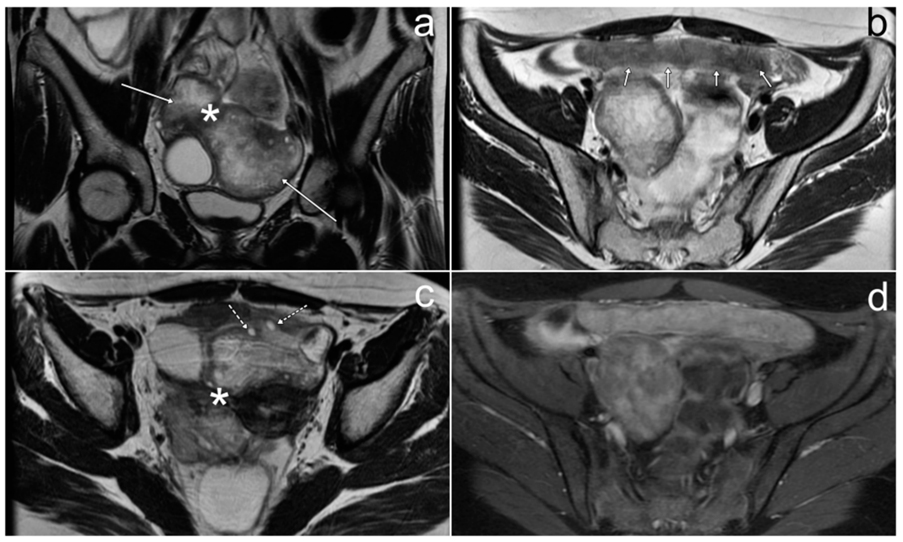
3.4. Ovarian Sertoli–Leydig Cell Tumor with Rhabdomyosarcoma Due to DICER1 Syndrome
Case Report

3.5. Primary Ovarian Angiosarcoma with Peritoneal Metastasis
Case Report
3.6. Cervical Cancer
3.7. Pelvic Neuroblastoma
Case Report
3.8. Pelvic Plexiform Neurofibroma
3.8.1. Case 1
3.8.2. Case 2
3.8.3. Case 3
3.9. Rosai–Dorfman Disease Involving the Pelvic and Inguinal Lymph Nodes
Case Report
4. Conclusions
Author Contributions
Funding
Institutional Review Board Statement
Informed Consent Statement
Data Availability Statement
Conflicts of Interest
References
- Siegel, M.J.; Hoffer, F.A. Magnetic resonance imaging of nongynecologic pelvic masses in children. Magn. Reson. Imaging Clin. N. Am. 2002, 10, 325–344. [Google Scholar] [CrossRef] [PubMed]
- Kwasniewicz, P.; Wieczorek-Pastusiak, J.; Romaniuk-Doroszewska, A.; Bekiesinska-Figatowska, M. Congenital Tumors-Magnetic Resonance Imaging Findings with Focus on Rare Tumors. Cancers 2023, 16, 43. [Google Scholar] [CrossRef] [PubMed]
- Behr, G.G.; Morani, A.C.; Artunduaga, M.; Desoky, S.M.; Epelman, M.; Friedman, J.; Lala, S.V.; Seekins, J.; Towbin, A.J.; Back, S.J. Imaging of pediatric ovarian tumors: A COG Diagnostic Imaging Committee/SPR Oncology Committee White Paper. Pediatr. Blood Cancer 2023, 70 (Suppl. S4), e29995. [Google Scholar] [CrossRef] [PubMed]
- Birbas, E.; Kanavos, T.; Gkrozou, F.; Skentou, C.; Daniilidis, A.; Vatopoulou, A. Ovarian Masses in Children and Adolescents: A Review of the Literature with Emphasis on the Diagnostic Approach. Children 2023, 10, 1114. [Google Scholar] [CrossRef] [PubMed]
- Sahin, H.; Abdullazade, S.; Sanci, M. Mature cystic teratoma of the ovary: A cutting edge overview on imaging features. Insights Imaging 2017, 8, 227–241. [Google Scholar] [CrossRef]
- Castle, J.T.; Levy, B.E.; Allison, D.B.; Rodeberg, D.A.; Rellinger, E.J. Pediatric Rhabdomyosarcomas of the Genitourinary Tract. Cancers 2023, 15, 2864. [Google Scholar] [CrossRef]
- Ward, E.; DeSantis, C.; Robbins, A.; Kohler, B.; Jemal, A. Childhood and adolescent cancer statistics, 2014. CA Cancer J. Clin. 2014, 64, 83–103. [Google Scholar] [CrossRef]
- Sobieraj, P.; Malas, Z.; Issat, T.; Raciborska, A.; Bekiesinska-Figatowska, M. Rhabdomyosarcoma of the genitourinary system in girls—The role of magnetic resonance imagining in diagnosis, treatment monitoring, and follow-up. Ginekol. Pol. 2023, 95, 32–39. [Google Scholar] [CrossRef]
- Wohlmuth, C.; Wohlmuth-Wieser, I. Gynecologic Malignancies in Children and Adolescents: How Common is the Uncommon? J. Clin. Med. 2021, 10, 722. [Google Scholar] [CrossRef]
- Steliarova-Foucher, E.; Colombet, M.; Ries, L.A.G.; Moreno, F.; Dolya, A.; Bray, F.; Hesseling, P.; Shin, H.Y.; Stiller, C.A.; IICC-3 contributors. International incidence of childhood cancer, 2001–10: A population-based registry study. Lancet Oncol. 2017, 18, 719–731. [Google Scholar] [CrossRef]
- Ferguson, J.L.; Turner, S.P. Bone Cancer: Diagnosis and Treatment Principles. Am. Fam. Physician 2018, 98, 205–213. [Google Scholar] [PubMed]
- Lima-Bernardes, F.; Soares, D.M.; Pereira, J.M.; Catarino, I.; Vieira, S.E.; Carvalho, J.D.D. Pelvic Ewing Sarcoma: The Great Mimicker. Rev. Bras. Ortop. 2021, 58, 822–825. [Google Scholar] [CrossRef]
- Atwi, D.; Quinton, M.R.; Kiser, R.M.; Pokala, H.R.; Rooms, L.M.; Yu, Z. Small Cell Carcinoma of the Ovary, Hypercalcemic Type, in a 12-Month-Old Girl. Pediatr. Dev. Pathol. 2021, 24, 493–497. [Google Scholar] [CrossRef] [PubMed]
- Coşkun, Ç.; Kurucu, N.; Usubutun, A.; Soyer, T.; Ozcan, H.N.; Çelik Ertaş, N.B.; Kutluk, T. Small Cell Carcinoma of Ovary, Hypercalcemic Type: A Rare Case Report. J. Pediatr. Adolesc. Gynecol. 2023, 36, 112–115. [Google Scholar] [CrossRef] [PubMed]
- Nasioudis, D.; Chapman-Davis, E.; Frey, M.K.; Caputo, T.A.; Witkin, S.S.; Holcomb, K. Small Cell Carcinoma of the Ovary: A Rare Tumor with a Poor Prognosis. Int. J. Gynecol. Cancer 2018, 28, 932–938. [Google Scholar] [CrossRef]
- Wens, F.S.P.L.; Hulsker, C.C.C.; Fiocco, M.; Zsiros, J.; Smetsers, S.E.; de Krijger, R.R.; van der Steeg, A.F.W.; Zweemer, R.P.; Baas, I.O.; Roes, E.M.; et al. Small Cell Carcinoma of the Ovary, Hypercalcemic Type (SCCOHT): Patient Characteristics, Treatment, and Outcome-A Systematic Review. Cancers 2023, 15, 3794. [Google Scholar] [CrossRef]
- Aggarwal, D.; Gupta, P.; Chhabra, P.; Peters, N.J.; Bansal, D.; Srinivasan, R.; Kakkar, N. Small Cell Carcinoma of Ovary, Hypercalcemic Type: Cytologic, Histopathologic, and Immunohistochemical Landscapes of a Rare Case. J. Pediatr. Adolesc. Gynecol. 2021, 34, 98–102. [Google Scholar] [CrossRef]
- Kopp, L.M.; Desoky, S.; Pugh, J.; Herzog, C.E. Small cell carcinoma of the ovary of the hypercalcemic type presenting in a 5-year-old girl. J. Pediatr. Hematol. Oncol. 2013, 35, 217–218. [Google Scholar] [CrossRef]
- Schleef, J.; Wagner, A.; Kleta, R.; Schaarschmidt, K.; Dockhorn-Dworniczak, B.; Willital, G.; Jürgens, H. Small-cell carcinoma of the ovary of the hypercalcemic type in an 8-year-old girl. Pediatr. Surg. Int. 1999, 15, 431–434. [Google Scholar] [CrossRef]
- Sanders, B.E.; Wolsky, R.; Doughty, E.S.; Wells, K.L.; Ghosh, D.; Ku, L.; Pressey, J.G.; Bitler, B.B.; Brubaker, L.W. Small cell carcinoma of the ovary hypercalcemic type (SCCOHT): A review and novel case with dual germline SMARCA4 and BRCA2 mutations. Gynecol. Oncol. Rep. 2022, 44, 101077. [Google Scholar] [CrossRef]
- Sholler, G.L.; Luks, F.; Mangray, S.; Meech, S.J. Advanced small cell carcinoma of the ovary in a pediatric patient with long-term survival and review of the literature. J. Pediatr. Hematol. Oncol. 2005, 27, 169–172. [Google Scholar] [CrossRef] [PubMed]
- Khosla, D.; Gupta, N.; Koshy, A.; Dalal, A.; Pandey, A.K.; Dimri, K. Ovarian Small Cell Carcinoma of Hypercalcemic Type in an Adolescent Girl. J. Obstet. Gynaecol. India 2019, 69, 60–62. [Google Scholar] [CrossRef] [PubMed]
- Murphey, M.D.; Senchak, L.T.; Mambalam, P.K.; Logie, C.I.; Klassen-Fischer, M.K.; Kransdorf, M.J. From the radiologic pathology archives: Ewing sarcoma family of tumors: Radiologic-pathologic correlation. Radiographics 2013, 33, 803–831. [Google Scholar] [CrossRef] [PubMed]
- Grigoriu, C.; Terzea, D.C.; Lisievici, A.C.; Georgescu, T.A.; Constantin, A.E.; Bacalbaşa, N.; Ducu, I.; Bohîlţea, R.E. Peripheral-type primitive neuroectodermal tumor of the ovary with EWSR1-FLI1 fusion transcript: A case report and brief review of literature. Rom. J. Morphol. Embryol. 2021, 62, 581–586. [Google Scholar] [CrossRef]
- Hou, M.M.; Xi, M.R.; Yang, K.X. A rare case of extraosseous Ewing sarcoma primarily arising in the ovary. Chin. Med. J. 2013, 126, 4597. [Google Scholar] [CrossRef]
- Chao, X.; Bi, Y.; Li, L. Ovarian primary primitive neuroectodermal tumor: A review of cases at PUMCH and in the published literature. Orphanet J. Rare Dis. 2019, 14, 147. [Google Scholar] [CrossRef]
- Nili, F.; Sedighi Moghadam Pour, A.; Moradi Tabriz, H.; Sedighi Moghadam Pour, P.; Saffar, H. Peripheral Primitive Neuroectodermal Tumor of the Ovary: The Report of Two Rare Cases. Iran. J. Pathol. 2018, 13, 467–470. [Google Scholar]
- Yousefi, Z.; Sharifhi, N.; Hasanzadeh, M.; Mottaghi, M.; Bolandy, S. Peripheral primitive neuroectodermal tumor of the pelvis. Iran. J. Med. Sci. 2014, 39, 71–74. [Google Scholar]
- Chu, L.H.; Chang, W.C.; Kuo, K.T.; Sheu, B.C. Primary primitive neuroectodermal tumor of the ovary. Taiwan J. Obstet. Gynecol. 2014, 53, 409–412. [Google Scholar] [CrossRef]
- Li, Y.P.; Chang, K.; Chen, T.W.; Lee, S.P.; Chen, C.A.; Cheng, W.F. Primary Ewing Family of Tumor Arising in the Ovary: A Case Report. Int. J. Gynecol. Pathol. 2019, 38, 470–473. [Google Scholar] [CrossRef]
- Sung, Y.W.; Lin, Y.S.; Chen, Y.T.; Yeh, L.S. Non-Hodgkin’s B-cell lymphoma of the ovary: A case report and review of the literature. Taiwan J. Obstet. Gynecol. 2022, 61, 539–543. [Google Scholar] [CrossRef] [PubMed]
- Gerrity, C.; Mercadel, A.; Alghamdi, A.; Huang, M. Primary ovarian lymphoma: A case report. Gynecol. Oncol. Rep. 2023, 47, 101212. [Google Scholar] [CrossRef] [PubMed]
- Roik, D.; Gadomski, A.; Piotrowski, D.; Bekiesinska-Figatowska, M.; Brzewski, M. Burkitt lymphoma with ovary involvement and diffuse peritoneal lymphomatosis in 17-year-old girl with raised CA 125 level—Case report. Nowa Pediatr. 2011, 15, 15–19. [Google Scholar]
- Islimye Taskın, M.; Gokgozoglu, L.; Kandemır, B. Primary ovarian large B-cell lymphoma. Case Rep. Obstet. Gynecol. 2013, 2013, 493836. [Google Scholar] [CrossRef] [PubMed]
- Kacemi, L.; Chellaoui, M.; Dafiri, R. Non-Hodgkin lymphoma of the calcaneus and ovary in an infant. J. Radiol. 2004, 85, 47–48. [Google Scholar] [CrossRef]
- Lee, A.C.; Chui, C.H. Bilateral Ovarian Burkitt’s Lymphoma: Successful Treatment with Preservation of Ovarian Function. J. Pediatr. Adolesc. Gynecol. 2015, 28, 105–107. [Google Scholar] [CrossRef]
- Li, P.C.; Lim, P.Q.; Hsu, Y.H.; Ding, D.C. Ovarian Diffuse Large B-cell Lymphoma Initially Suspected Dysgerminoma Managed by Laparoscopic Staging Surgery. Gynecol. Minim. Invasive Ther. 2020, 9, 162–165. [Google Scholar] [CrossRef]
- Stepniak, A.; Czuczwar, P.; Szkodziak, P.; Wozniakowska, E.; Wozniak, S.; Paszkowski, T. Primary ovarian Burkitt’s lymphoma: A rare oncological problem in gynaecology: A review of literature. Arch. Gynecol. Obstet. 2017, 296, 653–660. [Google Scholar] [CrossRef]
- Persano, G.; Crocoli, A.; Martucci, C.; Vinti, L.; Cassanelli, G.; Stracuzzi, A.; Cardoni, A.; Inserra, A. Case report: Primary ovarian Burkitt’s lymphoma: A puzzling scenario in pediatric population. Front. Pediatr. 2023, 10, 1072567. [Google Scholar] [CrossRef]
- Miyazaki, N.; Kobayashi, Y.; Nishigaya, Y.; Momomura, M.; Matsumoto, H.; Iwashita, M. Burkitt lymphoma of the ovary: A case report and literature review. J. Obstet. Gynaecol. Res. 2013, 39, 1363–1366. [Google Scholar] [CrossRef]
- Jan, Z.; Khan, A.U.; Ilyas, A.; Faiz, S. Primary Ovarian Burkitts Lymphoma. J. Ayub Med. Coll. Abbottabad 2023, 35, 807–809. [Google Scholar] [CrossRef] [PubMed]
- Zhang, Y.; Ren, M.; Hong, Y.; Zhong, Y.; Cong, X.; Chen, C.; Liu, Z.; Man, Y.; Yang, L. Sertoli-Leydig cell tumor in two siblings with DICER1 syndrome: A case report and literature review. Medicine 2020, 99, 20806. [Google Scholar] [CrossRef] [PubMed]
- Shero, N.; Dhir, A.; Bejarano, P.; Rhode, S.; Goicocechea, J.C. DICER1-related Sertoli-Leydig cell tumor and rhabdomyosarcoma: An evolving disease with a challenging clinical course and treatment: A case report. Case Rep. Womens Health 2024, 41, 00580. [Google Scholar] [CrossRef] [PubMed]
- Koo, J.; Garrington, T.P.; Kerr, K.; Treece, A.L.; Cost, C.R. Pediatric ovarian Sertoli-Leydig cell tumors with heterologous rhabdomyosarcoma elements: Clinical case series and review of the literature. Pediatr. Blood Cancer 2020, 67, 28621. [Google Scholar] [CrossRef]
- Burnik Papler, T.; Frković Grazio, S.; Kobal, B. Sertoli—Leydig cell tumor with retiform areas and overgrowth of rhabdomyosarcomatous elements: Case report and literature review. J. Ovarian Res. 2016, 9, 46. [Google Scholar] [CrossRef]
- Chougule, A.; Singh, P.; Saha, P.K.; Dey, P. Ovarian Sertoli-Leydig cell tumour with rhabdomyosarcoma and borderline mucinous neoplasm. Pathology 2016, 48, 278–281. [Google Scholar] [CrossRef]
- Schultz, K.A.P.; Stewart, D.R.; Kamihara, J.; Bauer, A.J.; Merideth, M.A.; Stratton, P.; Huryn, L.A.; Harris, A.K.; Doros, L.; Field, A.; et al. DICER1 Tumor Predisposition. In GeneReviews® [Internet]; Adam, M.P., Feldman, J., Mirzaa, G.M., Pagon, R.A., Wallace, S.E., Bean, L.J.H., Gripp, K.W., Amemiya, A., Eds.; University of Washington: Seattle, WA, USA, 2014. [Google Scholar]
- Stewart, C.J.; Charles, A.; Foulkes, W.D. Gynecologic Manifestations of the DICER1 Syndrome. Surg. Pathol. Clin. 2016, 9, 227–241. [Google Scholar] [CrossRef]
- Plastini, T.; Staddon, A. Sertoli-Leydig Cell Tumor with Concurrent Rhabdomyosarcoma: Three Case Reports and a Review of the Literature. Case Rep. Med. 2017, 2017, 4587296. [Google Scholar] [CrossRef]
- Xu, Q.; Zou, Y.; Zhang, X.F. Sertoli-Leydig cell tumors of ovary: A case series. Medicine 2018, 97, 12865. [Google Scholar] [CrossRef]
- Chen, J.; Liu, Y.; Zhang, Y.; Wang, Y.; Chen, X.; Wang, Z. Imaging, clinical, and pathologic findings of Sertoli-leydig cell tumors. Sci. Prog. 2021, 104, 368504211009668. [Google Scholar] [CrossRef]
- Thankamony, P.; Chandar, R.; Kattoor, J.; Nair, R.K. Pediatric Primary Ovarian Angiosarcoma: From Rarity to a Realization. J. Pediatr. Adolesc. Gynecol. 2018, 31, 629–631. [Google Scholar] [CrossRef] [PubMed]
- Iljazović, E.; Tomić, S.; Mustedanagić-Mujanović, J.; Karasalihović, Z.; Kuljanin, M.; Fatušić, Z.; Konjić, E.; Husarić, E.; Latifagić, A.; Arnautalić, L. Angiosarcoma of the ovary in an 11 year old girl: Case report and review of the literature. Bosn. J. Basic Med. Sci. 2011, 11, 132–136. [Google Scholar] [CrossRef] [PubMed]
- Rehman, S.; Harikrishna, A.; Silwal, A.; Sumie, B.; Mohamed, S.; Kolhe, N.; Maddi, M.; Huynh, L.; Gutierrez, J.; Annepu, Y.R.; et al. Ovarian angiosarcoma: A systematic review of literature and survival analysis. Ann. Diagn. Pathol. 2024, 73, 152331. [Google Scholar] [CrossRef] [PubMed]
- Johnson, A.M.; Argenta, P.A. Angiosarcoma of the ovary treated with polyadenosine ribose polymerase Inhibition, a case report and review of the literature. Gynecol. Oncol. Rep. 2023, 49, 101264. [Google Scholar] [CrossRef]
- Ye, H.; Lin, M.; Li, R.; Qin, S.; Hou, G.; Chen, H.; Li, X. Primary ovarian angiosarcoma: A rare and recognizable ovarian tumor. J. Ovarian Res. 2021, 14, 21. [Google Scholar] [CrossRef]
- Lee, K.; Chien, T.; Huang, S.; Wang, Y.C.; Jeng, C.M. Radiological Appearance of Primary Ovarian Angiosarcoma in a 79-Year-Old Woman: A Case Report and Literature Review. J. Radiol. Sci. 2013, 38, 105–109. [Google Scholar] [CrossRef]
- Aragon, L.; Terreros, D.; Ho, H.; Greenberg, H.; Kupesic Plavsic, S. Angiosarcoma of the ovary arising in a mucinous cystadenoma. J. Clin. Ultrasound 2011, 39, 351–355. [Google Scholar] [CrossRef]
- Kudela, E.; Nachajova, M.; Biringer, K.; Slavik, P.; Plank, L.; Danko, J. Bilateral ovarian angiosarcoma arising from the mature cystic teratomas—A case report and review of the literature. Int. J. Surg. Case Rep. 2018, 42, 90–93. [Google Scholar] [CrossRef]
- Yonezawa, I.; Waki, M.; Tamura, Y.; Onoda, R.; Narushima, M.; Ishizuka, T.; Tajima, S. Gemcitabine-based regimen for primary ovarian angiosarcoma with MYC amplification. Curr. Oncol. 2014, 21, 782–789. [Google Scholar] [CrossRef]
- Albertin, C.; Johnson, K.A.; Connor, J.P.; Al-Niaimi, A.N. Angiosarcoma originating from an ovarian mature teratoma, a rare disease with complex treatment modalities. Gynecol. Oncol. Case Rep. 2013, 5, 31–33. [Google Scholar] [CrossRef]
- Davidson, B.; Abeler, V.M. Primary ovarian angiosarcoma presenting as malignant cells in ascites: Case report and review of the literature. Diagn. Cytopathol. 2005, 32, 307–309. [Google Scholar] [CrossRef] [PubMed]
- Bujor, I.E.; Lozneanu, L.; Ursache, A.; Cristofor, A.; Scurtu, A.-M.; Plamadeala, P.; Gireada, R.; Mandici, C.E.; Găină, M.A.; Matasariu, D.R. Primary Clear Cell Adenocarcinoma of the Uterine Cervix in a 14-Year-Old Virgin Girl: Case Report. Int. J. Environ. Res. Public Health 2022, 19, 16652. [Google Scholar] [CrossRef] [PubMed]
- Ferreira, R.R.; Batista, C.S.; Millito, C.B.; Alves, G.C.; Vieira, R.R. Advanced Uterine Cervix Squamous Cell Carcinoma in 17 Year Old Adolsecent—Case Report. J. Gynecol. Women’s Health 2018, 8, 555734. [Google Scholar] [CrossRef]
- Evans, M.; Lawson, A.; Jarin, J.D.; Wilson, E.E. Squamous Carcinoma of the Cervix in a 15-Year-Old with Congenital HIV: A Case Report. J. Pediatr. Adolesc. Gynecol. 2021, 34, 234–237. [Google Scholar] [CrossRef]
- Lawson, A.A.; Wilson, E. Cervical cancer in Adolescent with HIV: A Case Report. J. Pediatr. Adolesc. Gynecol. 2019, 32, 197–198. [Google Scholar] [CrossRef]
- Re, G.L.; Cucinella, G.; Zaccaria, G.; Crapanzano, A.; Salerno, S.; Pinto, A.; Casto, A.L.; Chiantera, V. Role of MRI in the Assessment of Cervical Cancer. In Seminars in Ultrasound, CT and MRI; WB Saunders: Carlsbad, CA, USA, 2023; Volume 44, pp. 228–237. [Google Scholar] [CrossRef]
- Mansoori, B.; Khatri, G.; Rivera-Colon, G.; Albuquerque, K.; Lea, J.; Pinho, D.F. Multimodality imaging of uterine cervical malignancies. Am. J. Roentgenol. 2020, 215, 292–304. [Google Scholar] [CrossRef]
- Swift, C.C.; Eklund, M.J.; Kraveka, J.M.; Alazraki, A.L. Updates in Diagnosis, Management, and Treatment of Neuroblastoma. Radiographics 2018, 38, 566–580. [Google Scholar] [CrossRef]
- Nour-Eldin, N.E.; Abdelmonem, O.; Tawfik, A.M.; Naguib, N.N.; Klingebiel, T.; Rolle, U.; Schwabe, D.; Harth, M.; Eltoukhy, M.M.; Vogl, T.J. Pediatric primary and metastatic neuroblastoma: MRI findings: Pictorial review. Magn. Reson. Imaging 2012, 30, 893–906. [Google Scholar] [CrossRef]
- Shields, L.B.E.; Peppas, D.S.; Rosenberg, E. Pelvic neuroblastoma presenting with acute urinary retention and acute kidney injury. Urol. Case Rep. 2019, 23, 82–84. [Google Scholar] [CrossRef]
- Littooij, A.S.; de Keizer, B. Imaging in neuroblastoma. Pediatr. Radiol. 2023, 53, 783–787. [Google Scholar] [CrossRef]
- Rasmussen, A.; Muñiz, A.E.; King, B. Neuroblastoma causing acute urinary retention: A rare presentation. J. Emerg. Med. 2010, 39, 602–606. [Google Scholar] [CrossRef] [PubMed]
- Chen, A.M.; Trout, A.T.; Towbin, A.J. A review of neuroblastoma image-defined risk factors on magnetic resonance imaging. Pediatr. Radiol. 2018, 48, 1337–1347. [Google Scholar] [CrossRef] [PubMed]
- Goo, H.W. Whole-body MRI of neuroblastoma. Eur. J. Radiol. 2010, 75, 306–314. [Google Scholar] [CrossRef]
- Gahr, N.; Darge, K.; Hahn, G.; Kreher, B.W.; von Buiren, M.; Uhl, M. Diffusion-weighted MRI for differentiation of neuroblastoma and ganglioneuroblastoma/ganglioneuroma. Eur. J. Radiol. 2011, 79, 443–446. [Google Scholar] [CrossRef] [PubMed]
- Belakhoua, S.M.; Rodriguez, F.J. Diagnostic Pathology of Tumors of Peripheral Nerve. Neurosurgery 2021, 88, 443–456. [Google Scholar] [CrossRef]
- Messersmith, L.; Krauland, K. Neurofibroma. In StatPearls [Internet]; StatPearls Publishing: Treasure Island, FL, USA, 2024. Available online: https://www.ncbi.nlm.nih.gov/books/NBK539707/ (accessed on 31 January 2024).
- Zulfiqar, M.; Lin, M.; Ratkowski, K.; Gagnon, M.H.; Menias, C.; Siegel, C.L. Imaging Features of Neurofibromatosis Type 1 in the Abdomen and Pelvis. AJR Am. J. Roentgenol. 2021, 216, 241–251. [Google Scholar] [CrossRef]
- Zacharia, T.T.; Jaramillo, D.; Poussaint, T.Y.; Korf, B. MR imaging of abdominopelvic involvement in neurofibromatosis type 1: A review of 43 patients. Pediatr. Radiol. 2005, 35, 317–322. [Google Scholar] [CrossRef]
- Jana, M.; Gamanagatti, S.; Kumar, R.; Aggarwala, S. Pelvic neurofibroma arising from prostate in a case of neurofibromatosis-1. Indian J. Urol. 2011, 27, 415–417. [Google Scholar] [CrossRef]
- Miraglia, E.; Laghi, A.; Moramarco, A.; Giustini, S. Juvenile xanthogranuloma in neurofibromatosis type 1. Prevalence and possible correlation with lymphoproliferative diseases: Experience of a single center and review of the literature. Clin. Ter. 2022, 173, 353–355. [Google Scholar] [CrossRef]
- Ferrari, F.; Masurel, A.; Olivier-Faivre, L.; Vabres, P. Juvenile xanthogranuloma and nevus anemicus in the diagnosis of neurofibromatosis type 1. JAMA Dermatol. 2014, 150, 42–46. [Google Scholar] [CrossRef]
- Ozcan, H.N.; Karcaaltincaba, M.; Oguz, B.; Haliloglu, M. Radiological manifestations of abdominopelvic nerve tumours seen in neurofibromatosis type 1. Clin. Radiol. 2014, 69, 431–435. [Google Scholar] [CrossRef] [PubMed]
- Grover, D.S.B.; Kundra, D.R.; Grover, D.H.; Gupta, D.V.; Gupta, D.R. Imaging diagnosis of plexiform neurofibroma- unravelling the confounding features: A report of two cases. Radiol. Case Rep. 2021, 16, 2824–2833. [Google Scholar] [CrossRef] [PubMed]
- Well, L.; Salamon, J.; Kaul, M.G.; Farschtschi, S.; Herrmann, J.; Geier, K.I.; Hagel, C.; Bockhorn, M.; Bannas, P.; Adam, G.; et al. Differentiation of peripheral nerve sheath tumors in patients with neurofibromatosis type 1 using diffusion-weighted magnetic resonance imaging. Neuro Oncol. 2019, 21, 508–516. [Google Scholar] [CrossRef]
- Tortora, S.; Esposito, A.; Della Pepa, G.; Paternò, M.; Cagnoli, G.A.; Cesaretti, C.; Natacci, F.; Carrafiello, G. Neurofibromatosis Type 1 with Neck and Thoraco-Abdominal Involvement: A Case Series Showing Different Localization and MRI Features. Rep. Med. Imaging 2021, 14, 41–51. [Google Scholar] [CrossRef]
- Karajgikar, J.; Grimaldi, G.; Friedman, B.; Hines, J. Abdominal and pelvic manifestations of Rosai-Dorfman disease: A review of four cases. Clin. Imaging 2016, 40, 1291–1295. [Google Scholar] [CrossRef]
- Hartmann, T.; Solomon, N.; Lerner, G.; Ehrlich, L. Rosai-Dorfman Disease in a Pediatric Patient: Imaging Findings and Pathology with a brief review of the Literature. J. Radiol. Case Rep. 2023, 17, 1–14. [Google Scholar] [CrossRef]
- Mar, W.A.; Yu, J.H.; Knuttinen, M.G.; Horowitz, J.M.; David, O.; Wilbur, A.; Menias, C.O. Rosai-Dorfman Disease: Manifestations Outside of the Head and Neck. AJR Am. J. Roentgenol. 2017, 208, 721–732. [Google Scholar] [CrossRef]















| Tumor Type | Imaging Features | Abnormalities in Laboratory Tests | Clinical Picture |
|---|---|---|---|
| Small cell carcinoma of the ovary, hypercalcemic type | non-specific; unilateral, sizable mass with central necrosis or calcifications | hypercalcemia | symptoms associated with hypercalcemia: polydipsia, constipation, polyuria, bone pain, muscle weakness |
| Ewing sarcoma/primitive neuroectodermal tumor of the ovary | variable; three MRI patterns: (1) large, solid, heterogeneous tumor with restriction diffusion and varying degrees of contrast enhancement, (2) mass consisting of thick-walled cystic lesions with numerous septa, (3) combination of (1) and (2) | - | non-specific; abdominal/pelvic pain, mass in the abdomen/pelvis, weight loss, bloating, irregular periods, abnormal vaginal bleeding, back and lower limb pain |
| Diffuse large B-cell lymphoma of the ovaries | bilateral, homogenous solid masses; “touching” large ovaries, small cysts arranged linearly around the periphery | elevated Ca-125 andLDH levels | non-specific; pain or discomfort in the abdominal cavity, enlarged abdominal circumference, irregular bleeding, B symptoms (fever, night sweats, or weight loss) |
| Ovarian Sertoli–Leydig cell tumor with rhabdomyosarcoma | variable; solid, solid-cystic, or exclusively cystic; T2 signal depends on amount of fibrous stroma; strong enhancement of solid elements in arterial phase | elevated testosterone level | virilization; associated with DICER1 syndrome |
| Primary ovarian angiosarcoma | unilateral, sizable, cystic and solid elements in various proportions; hemorrhage; fibrous component | - | non-specific; asymptomatic or neurological symptoms, abdominal pain and distension |
| Cervical cancer | expansive or infiltrating mass; higher signal intensity than cervical stroma on T2WI, diffusion restriction | - | abnormal vaginal bleeding, vaginal discharge |
| Neuroblastoma | heterogeneous mass due to calcification, hemorrhage, necrosis; strong diffusion restriction | - | asymptomatic palpable mass; urinary retention |
| Plexiform neurofibroma | extensive, infiltrative mass spreading along nerve plexuses; high signal on T2WI; “target sign”; “reverse target sign”; no diffusion restriction | - | usually asymptomatic; associated with neurofibromatosis type 1 |
| Rosai–Dorfman disease involving the pelvic and inguinal lymph nodes | nodal form: significantly enlarged pelvic/inguinal lymph nodes; extranodal form: abnormal presacral mass; diffusion restriction; homogeneous contrast enhancement | - | palpable mass in subcutaneous tissue, fever, weight loss, night sweats, bone pain |
Disclaimer/Publisher’s Note: The statements, opinions and data contained in all publications are solely those of the individual author(s) and contributor(s) and not of MDPI and/or the editor(s). MDPI and/or the editor(s) disclaim responsibility for any injury to people or property resulting from any ideas, methods, instructions or products referred to in the content. |
© 2025 by the authors. Licensee MDPI, Basel, Switzerland. This article is an open access article distributed under the terms and conditions of the Creative Commons Attribution (CC BY) license (https://creativecommons.org/licenses/by/4.0/).
Share and Cite
Sobieraj, P.; Bekiesińska-Figatowska, M. Atypical Pelvic Tumors in Children. Cancers 2025, 17, 619. https://doi.org/10.3390/cancers17040619
Sobieraj P, Bekiesińska-Figatowska M. Atypical Pelvic Tumors in Children. Cancers. 2025; 17(4):619. https://doi.org/10.3390/cancers17040619
Chicago/Turabian StyleSobieraj, Paulina, and Monika Bekiesińska-Figatowska. 2025. "Atypical Pelvic Tumors in Children" Cancers 17, no. 4: 619. https://doi.org/10.3390/cancers17040619
APA StyleSobieraj, P., & Bekiesińska-Figatowska, M. (2025). Atypical Pelvic Tumors in Children. Cancers, 17(4), 619. https://doi.org/10.3390/cancers17040619

