Anatomic and Clinical Effects of Focal Laser Ablation of the Prostate on Symptomatic Benign Prostatic Hyperplasia
Simple Summary
Abstract
1. Introduction
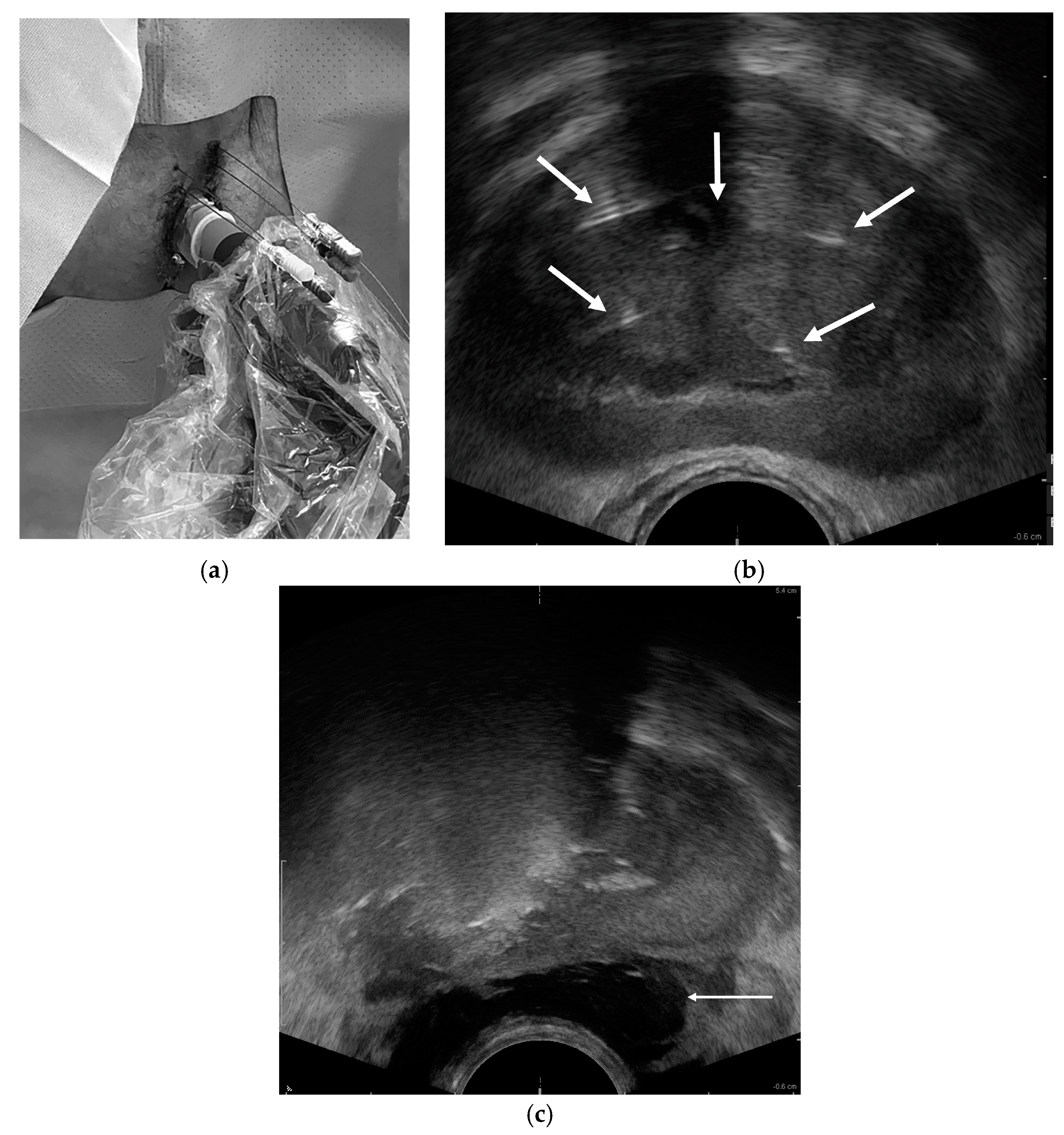
2. Materials and Methods
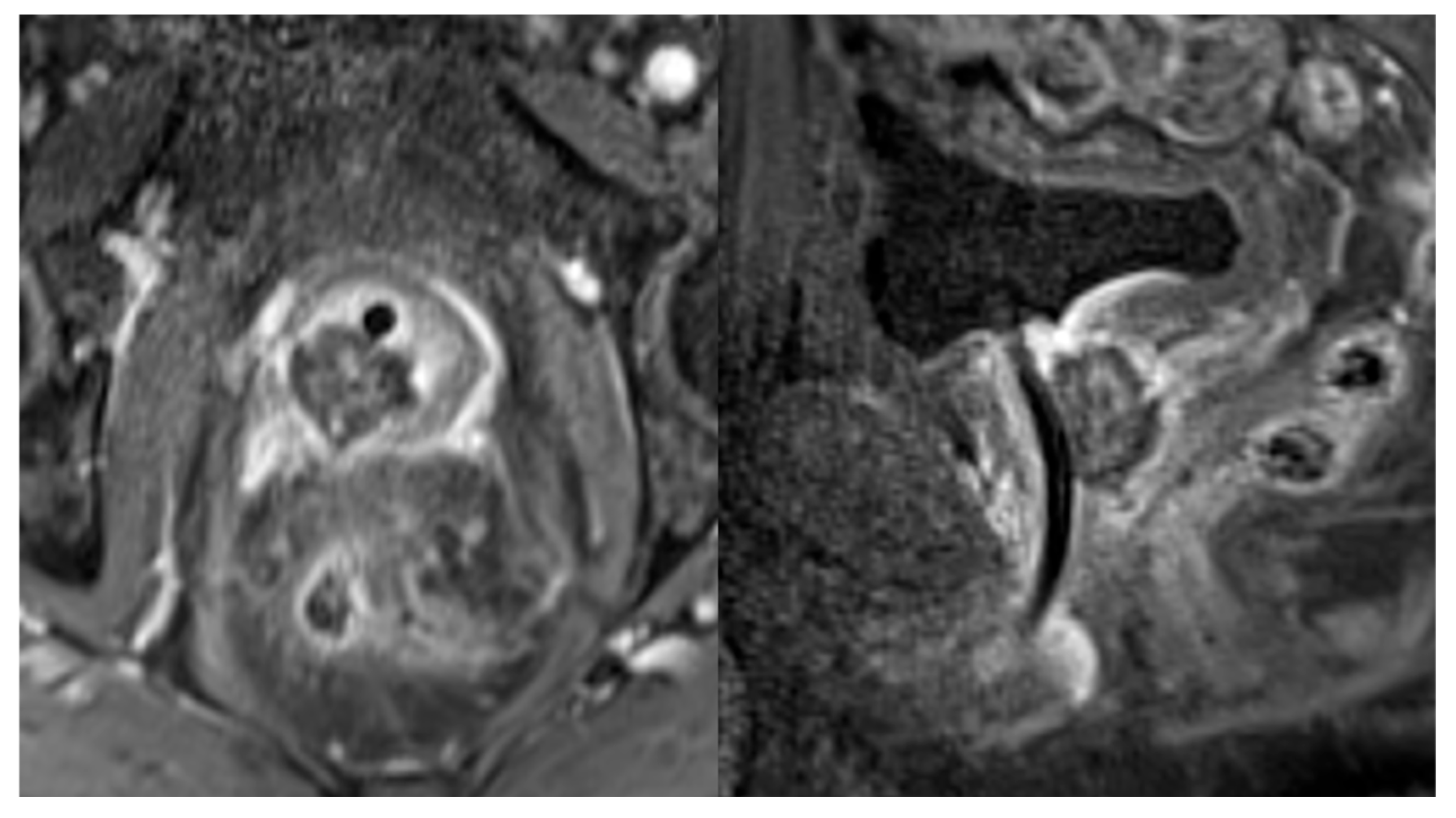
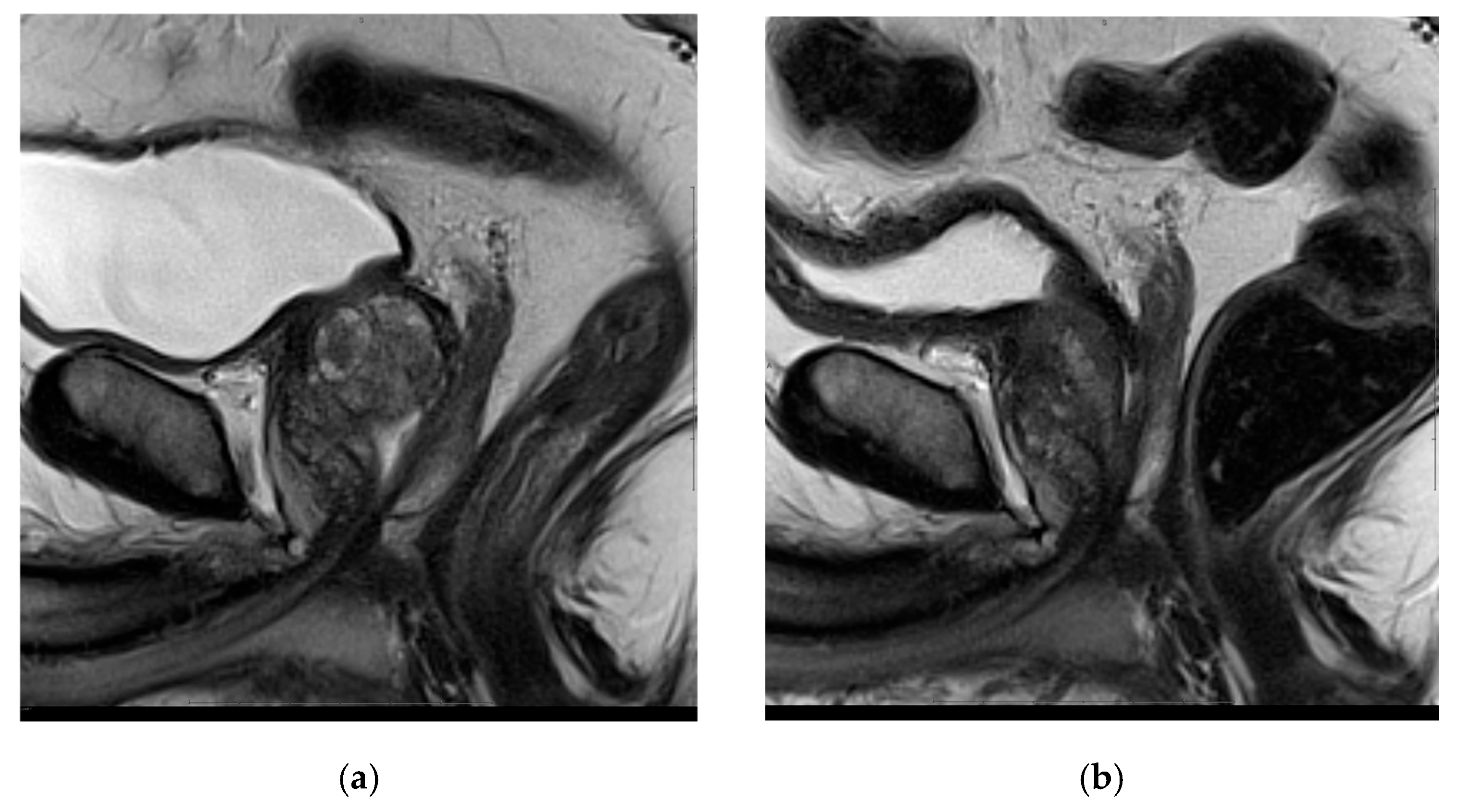
3. Results
4. Discussion
5. Conclusions
Author Contributions
Funding
Institutional Review Board Statement
Informed Consent Statement
Data Availability Statement
Conflicts of Interest
References
- Wei, J.T.; Calhoun, E.; Jacobsen, S.J. Urologic diseases in America project: Benign prostatic hyperplasia. J. Urol. 2005, 173, 1256–1261. [Google Scholar] [CrossRef] [PubMed]
- Sandhu, J.S.; Bixler, B.R.; Dahm, P.; Goueli, R.; Kirkby, E.; Stoffel, J.T.; Wilt, T.J. Management of lower urinary tract symptoms attributed to benign prostatic hyperplasia (BPH): AUA Guideline amendment 2023. J. Urol. 2023, 211, 11–19. [Google Scholar] [CrossRef] [PubMed]
- Cornu, J.N.; Gacci, M.; Hashim, H.; Herrmann, T.R.W.; Malde, S.; Netsch, C.; De Nunzio, C.; Rieken, M.; Sakalis, V.; Tutolo, M.; et al. EAU Guidelines on Non-Neurogenic Male Lower Urinary Tract Symptoms (LUTS). Available online: https://d56bochluxqnz.cloudfront.net/documents/full-guideline/EAU-Guidelines-on-Non-Neurogenic-Male-LUTS-2024.pdf (accessed on 14 November 2024).
- van Kollenburg, R.A.A.; van Riel, L.A.M.J.G.; de Bruin, D.M.; de Rijke, T.M.; Oddens, J.R. Novel minimally invasive treatments for lower urinary tract symptoms: A systematic review and network meta-analysis. Int. Braz. J. Urol. 2023, 49, 411–427. [Google Scholar] [CrossRef] [PubMed]
- Pacella, C.M.; Jiang, T.; Mauri, G. Image-Guided Laser Ablation; Springer Nature: Cham, Switzerland, 2020. [Google Scholar] [CrossRef]
- Tzelves, L.; Nagasubramanian, S.; Pinitas, A.; Juliebø-Jones, P.; Madaan, S.; Sienna, G.; Somani, B. Transperineal laser ablation as a new minimally invasive surgical therapy for benign prostatic hyperplasia: A systematic review of existing literature. Ther. Adv. Urol. 2023, 15, 1–20. [Google Scholar] [CrossRef]
- Cocci, A.; Pezzoli, M.; Bianco, F.; Blefari, F.; Bove, P.; Cornud, F.; De Rienzo, G.; Destefanis, P.; Di Trapani, D.; Giacobbe, A.; et al. Transperineal laser ablation of the prostate as a treatment for benign prostatic hyperplasia and prostate cancer: The results of a Delphi consensus project. Asian J. Urol. 2024, 11, 271–279. [Google Scholar] [CrossRef]
- Pacella, C.M.; Patelli, G.; Iapicca, G.; Manenti, G.; Perretta, T.; Ryan, C.P.; Esposito, R.; Mauri, G. Transperineal laser ablation for percutaneous treatment of benign prostatic hyperplasia: A feasibility study. Results at 6 and 12 months from a retrospective multi-centric study. Prostate Cancer Prostatic Dis. 2020, 23, 356–363. [Google Scholar] [CrossRef]
- Minafra, P.; De Rienzo, G.; Gerbasi, S.; Cindolo, L.; Battaglia, M.; Ditonno, P. Three years outcomes of transperineal laser ablation of the prostate. Minerva Urol. Nephrol. 2023, 75, 471–478. [Google Scholar] [CrossRef]
- Patelli, G.; Altieri, V.M.; Ierardi, A.M.; Carnevale, A.; Chizzoli, E.; Baronchelli, F.; Trimarchi, R.; Carrafiello, G. Transperineal laser ablation of the prostate for symptomatic benign prostatic hyperplasia: Long-term follow-up in 40 patients. J. Vasc. Interv. Radiol. 2024, 35, 1187–1193. [Google Scholar] [CrossRef]
- Wasserman, N.F.; Spilseth, B.; Golzarian, J.; Metzger, G.J. Use of MRI for lobar classification of benign prostatic hyperplasia: Potential phenotypic biomarkers for research on treatment strategies. AJR Am. J. Roentgenol. 2015, 205, 564–571. [Google Scholar] [CrossRef]
- Rosen, R.C.; Cappelleri, J.C.; Smith, M.D.; Lipsky, J.; Peña, B.M. Development and evaluation of an abridged, 5-item version of the International Index of Erectile Dysfuction (IIEF-5) as a diagnostic tool for erectile dysfunction. Int. J. Impot. Res. 1999, 11, 319–326. [Google Scholar] [CrossRef]
- Barry, M.J.; Fowler, F.J., Jr.; O’Leary, M.P.; Bruskewitz, R.C.; Holtgrewe, H.L.; Mebust, W.K.; Cockett, A.T. The American Urological Association symptom index for benign prostatic hyperplasia. The Measurement Committee of the American Urological Association. J. Urol. 1992, 148, 1549–1557. [Google Scholar] [CrossRef] [PubMed]
- Kangasniemi, M.; McNichols, R.J.; Bankson, J.A.; Gowda, A.; Price, R.E.; Hazle, J.D. Thermal therapy of canine cerebral tumors using a 980 nm diode laser with MR temperature-sensitive imaging feedback. Lasers Surg. Med. 2004, 35, 41–50. [Google Scholar] [CrossRef] [PubMed]
- McNichols, R.J.; Kangasniemi, M.; Gowda, A.; Bankson, J.A.; Price, R.E.; Hazle, J.D. Technical developments for cerebral thermal treatment: Water-cooled diffusing laser fibre tips and temperature-sensitive MRI using intersecting image planes. Int. J. Hyperthermia 2004, 20, 45–56. [Google Scholar] [CrossRef] [PubMed]
- McNichols, R.J.; Gowda, A.; Kangasniemi, M.; Bankson, J.A.; Price, R.E.; Hazle, J.D. MR thermometry-based feedback control of laser interstitial thermal therapy at 980 nm. Lasers Surg. Med. 2004, 34, 48–55. [Google Scholar] [CrossRef]
- Svaasand, L.O. Physics of Laser-Induced Hyperthermia. In Optical-Thermal Response of Laser-Irradiated Tissue; Welch, A.J., van Gemert, M.J.C., Eds.; Springer: Boston, MA, USA, 1995. [Google Scholar] [CrossRef]
- Tafuri, A.; Panunzio, A.; De Carlo, F.; Luperto, E.; Di Cosmo, F.; Cavaliere, A.; Rizzo, M.; Tian, Z.; Shakir, A.; De Mitri, R.; et al. Transperineal laser ablation for benign prostatic enlargement: A systematic review and pooled analysis of pilot studies. J. Clin. Med. 2023, 12, 1860. [Google Scholar] [CrossRef]
- Meneghetti, I.; Giardino, D.; Morganti, R.; Marino, V.; Menchini Fabris, F.; Bartoletti, R.; Pinzi, N. A single-operator experience using EchoLaser SoracteLite™ for focal laser ablation of prostate cancer: One more arrow in the quiver for the conservative management of the disease. Arch. Ital. Urol. Androl. 2022, 94, 406–412. [Google Scholar] [CrossRef]
- Sessa, F.; Polverino, P.; Moscardi, L. Transperineal laser ablation of prostate (TPLA™). In Diseases of Prostate—Management Strategies and Emerging Technologies; Intech Open: London, UK, 2024. [Google Scholar] [CrossRef]
- Porto, J.G.; Titus, R.; Camargo, F.; Bhatia, A.; Ahie, N.; Blachman-Braun, R.; Malpani, A.; Lopategui, D.M.; Herrmann, T.R.W.; Marcovich, R.; et al. Minimally invasive techniques in quest of Holy Grail of surgical management of enlarged prostates: A narrative review. World J. Urol. 2024, 42, 35. [Google Scholar] [CrossRef]
- Bertolo, R.; Iacovelli, V.; Cipriani, C.; Carilli, M.; Vittori, M.; Antonucci, M.; Maiorino, F.; Signoretti, M.; Petta, F.; Travaglia, S.; et al. Ejaculatory function following transperineal laser ablation vs TURP for benign prostatic obstruction: A randomized trial. BJU Int. 2023, 132, 100–108. [Google Scholar] [CrossRef]
- Iacovelli, V.; Carilli, M.; Bertolo, R.; Forte, V.; Vittori, M.; Filippi, B.; Di Giovanni, G.; Cipriani, C.; Petta, F.; Maiorino, F.; et al. Transperineal laser ablation for focal therapy of localized prostate cancer: 12-month follow-up outcomes from a single prospective cohort study. Cancers 2024, 16, 2620. [Google Scholar] [CrossRef]
- Manenti, G.; Perretta, T.; Nezzo, M.; Fraioli, R.; Carreri, B.; Gigliotti, P.E.; Micillo, A.; Malizia, A.; Di Giovanni, D.; Ryan, C.P.; et al. Transperineal laser ablation (TPLA) treatment of focal low-intermediate risk prostate cancer. Cancers 2024, 16, 1404. [Google Scholar] [CrossRef]
- van Riel, L.A.M.J.G.; van Kollenburg, R.A.A.; Freund, J.E.; Almasian, M.; Jager, A.; Engelbrecht, M.R.W.; Smit, R.S.; Bekers, E.; Nieuwenhuijzen, J.A.; van Leeuwen, P.J.; et al. Reliable visualization of the treatment effect of transperineal focal laser ablation in prostate cancer patients by magnetic resonance imaging and contrast-enhanced ultrasound imaging. Eur. Urol. Open Sci. 2023, 54, 72–79. [Google Scholar] [CrossRef] [PubMed]
- Manenti, G.; Perretta, T.; Calcagni, A.; Ferrari, D.; Ryan, C.P.; Fraioli, F.; Meucci, R.; Malizia, A.; Iacovelli, V.; Agrò, E.F.; et al. 3-T MRI and clinical validation of ultrasound-guided transperineal laser ablation of benign prostatic hyperplasia. Eur. Radiol. Exp. 2021, 5, 41. [Google Scholar] [CrossRef] [PubMed]
- Laganà, A.; Di Lascio, G.; Di Blasi, A.; Licari, L.C.; Tufano, A.; Flammia, R.S.; De Carolis, A. Ultrasound-guided SoracteLite™ transperineal laser ablation (TPLA) of the prostate for the treatment of symptomatic benign prostatic hyperplasia (BPH): A prospective single-center experience. World J. Urol. 2023, 41, 1157–1162. [Google Scholar] [CrossRef] [PubMed]
- Canat, H.L.; Gurbuz, C.; Bozkurt, M. Transurethral resection of the prostate (TURP) versus transperineal laser ablation (TPLA) due to benign prostatic hyperplasia (BPH): Prospective and comparative study. Int. Urol. Nephrol. 2023, 55, 2747–2752. [Google Scholar] [CrossRef] [PubMed]
- Fernandez-Pascual, F.; Bocchino, A.C.; Balmori, C.; Martin, C.; Bianco, F.J., Jr.; Martinez Salamanca, J.L. Transurethral water vapour thermal therapy (Rezum™) versus transperineal laser ablation of the prostate (TPLA) for the treatment of benign prostatic hyperplasia: A real-world prospective comparative analysis. Eur. Urol. 2023, 83, S334–S335. [Google Scholar] [CrossRef]
- Pacini, M.; Sollazi, E.; Giada, M.; Perotti, P.; Greco, P.; Bartoletti, R.; Zucchi, A.; Rago, R. Transperineal laser ablation (TPLA) and convective water vapour ablation (Rezum) for minimally invasive treatment of BPH: Preliminary 3-month results from a single institutional experience of a randomized controlled trial. Minerva Urol. Nephrol. 2023, 75 (Suppl. S1), 34. [Google Scholar]
- Walser, E.; Nance, A.; Ynalvez, L.; Yong, S.; Aoughsten, J.S.; Eyzaguirre, E.J.; Williams, S.B. Focal laser ablation of prostate cancer: Results in 120 patients with low- to intermediate-risk disease. J. Vasc. Interv. Radiol. 2019, 30, 401–409.e2. [Google Scholar] [CrossRef]
- Cai, H.; Zhu, C.; Fang, J. Ultrasound-guided perineal laser ablation versus prostatic arterial embolization for benign prostatic hyperplasia: Two similar short-term efficacies. Acta Radiol. 2023, 64, 2033–2039. [Google Scholar] [CrossRef]
- Qamhawi, Z.; Little, M.W. The state of evidence in prostate artery embolization. Semin. Intervent. Radiol. 2022, 39, 571–576. [Google Scholar] [CrossRef]
- Malling, B.; Røder, M.A.; Brasso, K.; Forman, J.; Taudorf, M.; Lönn, L. Prostate artery embolisation for benign prostatic hyperplasia: A systematic review and meta-analysis. Eur. Radiol. 2019, 29, 287–298. [Google Scholar] [CrossRef]
- Kuang, M.; Vu, A.; Athreya, S. A systematic review of prostatic artery embolization in the treatment of symptomatic benign prostatic hyperplasia. Cardiovasc. Intervent. Radiol. 2017, 40, 655–663. [Google Scholar] [CrossRef] [PubMed]
- van Riel, L.A.M.J.G.; van Kollenburg, R.A.A.; Vis, A.N.; van Leeuwen, P.J.; de Reijke, T.M.; de Bruin, D.M.; Oddens, J.R. Safety and feasibility of Soractelite transperineal focal laser ablation for prostate cancer and short-term quality of life analysis from a multicenter pilot study. Eur. Urol. Open Sci. 2022, 39, 48–54. [Google Scholar] [CrossRef] [PubMed]
- Lorenzoni, V.; Palla, I.; Manenti, G.; Ditonno, P.; Reijke, T.M.; Turchetti, G. Standard approach and future perspective for the management of benign prostatic hyperplasia from a health-economics point of view: The role of transperineal laser ablation. Front. Urol. 2023, 3, 1100386. [Google Scholar] [CrossRef]




| Variable | Timepoint | Change (%) | p-Value | |
|---|---|---|---|---|
| Baseline | 6 Months Post-Procedure | |||
| PSA (ng/mL), mean ± SD | 10.2 ± 8.9 | 4.3 ± 3.4 | –58 | <0.002 |
| Prostate volume (mL), mean ± SD | 60.5 ± 42.5 | 42.2 ± 27.1 | –30 | 0.008 |
| IPSS, mean ± SD | 18.4 ± 6.5 | 10.4 ± 6.4 | –43 | <0.002 |
| SHIM, mean ± SD | 16.8 ± 7.7 | 16.0 ± 7.8 | <5 | 0.59 |
| Variable | Timepoint | Change (%) | p-Value | |
|---|---|---|---|---|
| Baseline | 12 Months Post-Procedure | |||
| PSA (ng/mL), mean ± SD (n = 53) | 10.5 ± 9.8 | 4.1 ± 3.0 | –61 | <0.002 |
| IPSS, mean ± SD (n = 53) | 17.9 ± 7.0 | 9.9 ± 6.8 | –45 | <0.002 |
| SHIM, mean ± SD (n = 53) | 16.0 ± 7.9 | 15.2 ± 7.4 | <5 | 0.27 |
Disclaimer/Publisher’s Note: The statements, opinions and data contained in all publications are solely those of the individual author(s) and contributor(s) and not of MDPI and/or the editor(s). MDPI and/or the editor(s) disclaim responsibility for any injury to people or property resulting from any ideas, methods, instructions or products referred to in the content. |
© 2025 by the authors. Licensee MDPI, Basel, Switzerland. This article is an open access article distributed under the terms and conditions of the Creative Commons Attribution (CC BY) license (https://creativecommons.org/licenses/by/4.0/).
Share and Cite
Walser, E.M.; Zimmerer, R.; Nance, A.; Masood, I.; Saleem, A. Anatomic and Clinical Effects of Focal Laser Ablation of the Prostate on Symptomatic Benign Prostatic Hyperplasia. Cancers 2025, 17, 475. https://doi.org/10.3390/cancers17030475
Walser EM, Zimmerer R, Nance A, Masood I, Saleem A. Anatomic and Clinical Effects of Focal Laser Ablation of the Prostate on Symptomatic Benign Prostatic Hyperplasia. Cancers. 2025; 17(3):475. https://doi.org/10.3390/cancers17030475
Chicago/Turabian StyleWalser, Eric M., René Zimmerer, Anne Nance, Irfan Masood, and Arsalan Saleem. 2025. "Anatomic and Clinical Effects of Focal Laser Ablation of the Prostate on Symptomatic Benign Prostatic Hyperplasia" Cancers 17, no. 3: 475. https://doi.org/10.3390/cancers17030475
APA StyleWalser, E. M., Zimmerer, R., Nance, A., Masood, I., & Saleem, A. (2025). Anatomic and Clinical Effects of Focal Laser Ablation of the Prostate on Symptomatic Benign Prostatic Hyperplasia. Cancers, 17(3), 475. https://doi.org/10.3390/cancers17030475

