You are currently viewing a new version of our website. To view the old version click .
Cancers
  • Article
  • Open Access

19 August 2025

Clinical, Histopathological, Dermoscopic Features, and BRAF, NRAS, and Cell Cycle Genes’ Mutation Status in Cutaneous Melanoma

,
,
,
,
,
,
,
,
and
1
Department of Medical Surgical and Health Sciences, University of Trieste, Strada di Fiume 447, 34129 Trieste, Italy
2
Department of Medical Oncology, Centro di Riferimento Oncologico di Aviano (CRO) IRCCS, via Gallini 2, 33081 Aviano, Italy
3
Unit of Cancer Epidemiology, Centro di Riferimento Oncologico di Aviano (CRO) IRCCS, via Gallini 2, 33081 Aviano, Italy
4
Unit of Cancer Genetics, Istituto di Ricerca Genetica e Biomedica—Consiglio Nazionale delle Ricerche (IRGB-CNR), Traversa La Crucca 3, 07100 Sassari, Italy
This article belongs to the Special Issue Melanoma: Clinical Trials and Translational Research

Simple Summary

In this study cutaneous melanomas were evaluated to identify the correlation between clinical, histopathological, dermoscopic features, and BRAF, NRAS, and cell cycle genes’ mutational status. BRAF mutation was more frequently observed in ulcerated melanomas with a high mitotic rate ≥ 5 n/mm2 (a measure of how fast melanoma cells are growing), while NRAS mutation was associated with amelanotic/hypomelanotic (subtype with little or no pigmentation) and nodular melanoma. The risk of diagnosing cell cycle gene-mutated melanomas was significantly increased in presence of vascular patterns, linear irregular, polymorphous vessels, and milky red globules/areas (vessel types seen in melanomas). Our findings suggest that, conversely to non-mutated melanomas, BRAF, NRAS, and cell cycle gene-mutated melanomas were significantly associated with clinical, histopathological, and dermoscopic characteristics underlying a more aggressive melanoma phenotype. The potential clinical relevance of this study is that our findings might identify melanoma cases that could respond to anti-angiogenic therapies.

Abstract

Background/Objectives: The clinical, histopathological, and dermoscopic features may be associated with melanoma mutational status. The aims of the study were to assess the clinical, histopathological, and dermoscopic features of melanoma to identify their correlation with BRAF, NRAS, and cell cycle genes’ mutational status in melanoma. Methods: The clinical, histopathological information, dermoscopic images, and genomic DNA of 55 histopathologically diagnosed primary cutaneous melanomas were retrospectively analyzed. Next-generation sequencing (NGS) assays were conducted on the Ion GeneStudio S5 platform (Thermo Fisher Scientific, Waltham, MA, USA), using the Ion AmpliSeq™ Italian Melanoma Intergroup Somatic Panel. Results: Overall, 55 melanomas, including 30 superficial spreading, 24 nodular, and 1 naevoid, were analyzed. BRAF mutation was more frequently observed in ulcerated melanoma (16/23; 69.6%), with mitotic rate ≥ 5 n/mm2 (8/11; 72.7%), while NRAS mutation was more common in amelanotic/hypomelanotic (8/17; 70.0%) and nodular melanoma (10/24; 41.7%). Dermoscopically, shiny white structures (OR = 3.50; 95% confidence interval: 1.13–10.84) were associated with BRAF-mutated melanomas, whereas a homogeneous disorganized pattern was associated with NRAS-mutated melanomas (OR = 6.96; 1.49–32.53). The risk of diagnosing cell cycle gene-mutated melanomas was significantly increased in presence of vascular patterns (OR = 4.50; 1.33–15.20), linear irregular (OR = 3.75; 1.18–11.92), polymorphous vessels (OR = 4.05; 1.27–12.97), and milky red globules/areas (OR = 3.14; 1.00–9.89). The blue-white veil was significantly associated with P53 mutation (OR = 35.84; 2.01–640.2). Conclusions: Conversely to Wild Type, BRAF, NRAS, and cell cycle gene-mutated melanomas were significantly associated with clinical and dermoscopic features underlying a more aggressive melanoma phenotype. The vascular pattern, linear irregular, polymorphous vessels, and milky-red globules/areas may be considered predictors of cell cycle mutated melanomas.

1. Introduction

The clinical, histopathological, and dermoscopic features of melanoma may be associated with melanoma mutation status [1]. BRAF mutation is more frequently found in superficial spreading melanoma/low-cumulative sun damage (Low-CSD) melanomas arising on non-chronic sun-damaged skin; differently, NRAS mutation is more frequent in nodular type and melanoma arising on chronic sun-damaged skin [2]. Somatic mutations in the oncogenes BRAF and NRAS result in activation of the intracellular mitogen-activated protein kinase (MAPK) pathway that is involved in melanoma pathogenesis [3].
The BRAF oncogene encodes a serine–threonine kinase, a key component of the MAPK signaling pathway, leading to increased cell proliferation and survival because of overactivation of the MAPK pathway [3]. Somatic mutations in the V600 codon of BRAF have been found in 35–50% of melanomas and the amino acid substitution from a valine to a glutamic acid at codon 600 (V600E) accounts for 74–92% of BRAF mutations in melanoma [4]. The somatic mutation in the NRAS oncogene was reported in 28% of primary and metastatic melanoma; NRAS encodes GTP-binding proteins located upstream of the BRAF within the MAPK pathway [4].
The somatic mutations in the cell cycle genes, such as CCND1, CDKN2A, CDK4, and TP53 that play a crucial role in cell cycle control and tumor suppression, may also be involved in melanoma pathogenesis [3,4]. CCND1 and CDK4, key cell cycle regulators, are often overexpressed in melanomas, leading to uncontrolled cell proliferation [3]. The CDKN2A acts as a tumour suppressor that regulate the cell cycle and its inactivation, commonly observed in melanomas, results in unchecked cell cycle progression [3]. The TP53, another tumour suppressor gene, is responsible for DNA damage response control and apoptosis regulation [3]. Mutations in these genes are linked to melanoma initiation and progression, demonstrating the intricate balance between cell cycle proteins and melanoma pathogenesis.
In this retrospective multicenter study we investigated the association between selected genes’ mutational status and clinical, histopathological, and dermoscopic features in primary cutaneous melanomas, focusing on BRAF, NRAS, and cell cycle genes such as CCND1, CDKN2A, CDK4, and TP53. This study may have a great prognostic significance, identifying potentially “high-risk” melanoma on dermoscopic evaluation, with relevant clinical implications. This may be useful in deciding the type of follow-up that is provided as well as in identifying melanoma cases that could respond to anti-angiogenic therapies or treatment aimed at modifying the immunogenic status of the tumor microenvironment.

2. Materials and Methods

We collected 55 cases of histopathologically confirmed primary cutaneous melanoma from five Italian Melanoma Intergroup centers between May 2003 and January 2017. This case series included 30 superficial spreading melanoma (SSM)/Low-CSD melanoma, 24 nodular melanoma (NM, n = 24), and one nevoid melanoma. Each center provided clinical (i.e., gender, age at diagnosis, melanoma site) and conventional histopathological data (i.e., histotype, Breslow thickness in mm, ulceration, mitotic rate [n/mm2], tumor infiltrating lymphocytes [TILs], regression, sentinel lymph node) together with dermoscopic images. All centers provided representative formalin-fixed-paraffin-embedded (FFPE) tissue samples, retrieved from pathological archives of the institutions participating in the study. By January 2023, all data from the five centers were merged into a database at the Unit of Cancer Epidemiology of the Centro di Riferimento Oncologico di Aviano (Italy). In agreement with privacy regulations, data were pseudonymized using a new identification number linking patient clinical data and dermoscopic images.
All dermoscopic images were randomly sorted and evaluated by a panel of three blinded dermatologists, experts in dermoscopy, to assess the presence or absence of specific dermoscopic criteria using a standardized form (Table S1). Lesions were assessed using dermoscopic features associated with melanoma [5,6] and a consensus was met when 3/3 or 2/3 dermatologists agreed.
The study was approved by the Ethics Committee of Friuli Venezia Giulia (protocol code CEUR-Sper-082-CRO approved on 11 October 2017).

2.1. Mutation Analysis

Genomic DNA was isolated from representative FFPE tissue samples by GeneRead DNA FFPE Kit (QIAGEN, Hilden, Germany), which was based on particular lytic conditions to overcome inhibitory effects caused by formalin deamination of nucleic acids. For some SSM samples, only a limited amount of good-quality genomic DNA was isolated.
Next-generation sequencing (NGS) assays were conducted on the Ion GeneStudio S5 platform (Thermo Fisher Scientific, Waltham, MA, USA), using the Ion AmpliSeq™ IMI Somatic Panel, which was constituted by a highly multiplexed target selection of 25 genes involved in CM pathogenesis. Isolated genomic DNA and corresponding libraries were accurately quantified before sequence runs using quantification methods, such as Nanodrop 2000 and Qubit dsDNA HS spectrophotometers (Invitrogen, Life Technologies, Carlsbad, CA, USA).
The targeted sequencing panel (343 amplicons, with a coverage range of 125–175 bp) was designed to encompass the entire coding sequencing of five genes (CDKN2A, ARID2, BAP1, CCND1, MAP2K1) and the activating mutations into the exons mainly involved in tumorigenesis for twenty other candidate driver genes (BRAF, K-/H-/N-RAS, KIT, CDK4, TP53, PTEN, PIK3CA, RB1, MET, MITF, NF1, GNAQ, GNA11, ERBB4, NOTCH1, KDR, DDX3X, PPP6C). Just as an example, the gene regions included in the NGS-based analysis were the exons 11 and 15 for BRAF, the exons 1, 3–7, and 9 for TP53, and the exons 1, 3, 5–8 for PTEN. The complete list of gene exons covered by our NGS panel was reported in a previous report [7]. Total coverage of all targeted loci was ≥100 reads per amplicon and 5% allele frequency. The cell cycle genes analyzed in this study were CCND1, CDKN2A, CDK4, and TP53.
The Torrent Suite software version 5.12.3 (Thermo Fisher Scientific, Waltham, MA, USA) was used to analyze and classify the raw signal data after a successful sequencing reaction. Variant calls were further analyzed by the Ion Reporter™ Software (version 5.20) using a customized panel analysis workflow that allows for variant filtering and annotation using COSMIC version 92, Single Nucleotide Polymorphism Database build 151, PolyPhen-2 and SIFT, and Varsome (www.varsome.com; accessed on 31 July 2025). Amino acid predictions were carried out using in silico prediction algorithms SIFT and PolyPhen-2 to predict potential deleterious effects on protein function. The clinical significance of all identified variants was examined using the standards and guidelines for the interpretation of sequence variants recommended by the American College of Medical Genetics and Genomics (Laboratory Quality Assurance Committee) and the Association for Molecular Pathology.

2.2. Statistical Analysis

Clinical, histopathological, and dermoscopic features were reported as absolute frequencies and percentages; differences in the distribution of these features across mutational status were evaluated through Fisher’s exact test. The association of dermoscopic features with mutational status was evaluated through odds ratio (OR), with a corresponding 95% confidence interval (CI), calculated by means of an unconditional logistic regression model. Considering the small sample size, only univariate models were considered. Although statistical significance was claimed only for p < 0.05, in consideration of the small sample size, results with p < 0.10 were also reported as potential associations.

3. Results

The study included 55 primary cutaneous melanomas from 55 patients (27 men, 28 women) with a median age of 54 years (range 27–81 years). Clinically, 37 melanomas were pigmented, whereas 17 cases were amelanotic/hypomelanotic melanoma (AHM); datum was missing in one case. The anatomical sites were the trunk (n = 26), lower limbs (n = 15), upper limbs (n = 10), and other specified subsites (n = 4).
Table 1 shows the clinical and histopathological features according to mutational status in selected genes: BRAF mutation was reported in 25 cases (45.5%), NRAS in 12 cases (21.8%), and mutation in cell cycle genes in 20 cases (36.4%); 12 melanomas were wild type (WT) for all genes in the panel. Detailed gene mutational status of each patient is reported in Table S2. WT status for all genes was reported more frequently among pigmented than AHM (32.4% and 0.0%, respectively; p = 0.011), among SSM than nodular melanomas (33.3% and 8.3%; p = 0.046), in Breslow thickness ≤ 1 mm than >4 mm (40.0% and 0.0%; p = 0.028), non-ulcerated than ulcerated melanoma (34.4% and 4.4%; p = 0.007), and in melanomas with a mitotic rate < 2 than ≥5 n/mm2 (40.7% and 9.1%; p = 0.003). Conversely, BRAF mutation was more frequently observed in ulcerated than non-ulcerated melanomas (69.6% and 28.1%; p = 0.003) and in melanomas with mitotic rate ≥ 5 than <2 n/mm2 (72.7% and 22.2%; p = 0.003). By contrast, NRAS mutation was associated with AHM (40.0% versus 10.8% in pigmented melanoma; p = 0.005) and with NM (41.7% versus 3.3% in SSM; p = 0.001). No differences in the prevalence of BRAF, NRAS, and cell cycle gene mutations were found according to sex, age, and anatomical sites.
Table 1. Sociodemographic and clinical characteristics according to mutational status.
Table 2 shows the univariate associations between the dermoscopic features and gene mutational status, which were statistically significant at p < 0.10. BRAF-mutated melanoma was significantly associated with the presence of shiny white structures (OR = 3.50, 95% CI: 1.13–10.84; p = 0.030). Conversely, a homogeneous disorganized pattern was significantly associated with increased risk of NRAS mutated melanoma (OR = 6.96, 95% CI: 1.49–32.53; p = 0.014), whereas a multicomponent pattern was significantly associated with a reduced risk of NRAS mutated melanoma (OR = 0.16, 95% CI: 0.03–0.83; p = 0.029).
Table 2. Dermoscopic features according to mutational status in selected genes.
The risk of harboring a mutation in at least one of the cell cycle genes was significantly increased in the presence of vascular pattern (OR = 4.50, 95% CI: 1.33–15.20; p = 0.015), linear irregular vessels (OR = 3.75, 95% CI: 1.18–11.92), polymorphous vessels (OR = 4.05, 95% CI: 1.27–12.97), and milky red globules/areas (OR = 3.14, 95% CI: 1.00–9.89; p = 0.050). TP53 was the most frequently mutated gene within the cell cycle genes, reported in 11 out of 20 patients with mutations in cell cycle genes. Interestingly, TP53 mutation was significantly associated with the presence of the blue-white veil (OR = 35.84, 95% CI: 2.01–640.2; p = 0.004).

4. Discussion

The most striking results of our study were that BRAF and NRAS mutated melanomas were significantly associated with conventional poor prognostic variables than WT melanomas, such as ulceration, higher mitotic rate, NM histotype, and AHM subtype [8,9,10,11]. In line with previous reports, we found that the histological ulceration—the third most powerful indicator of survival after melanoma thickness and mitotic activity [8,9]—was significantly more frequent in BRAF-mutated than in melanoma with other genes mutated or wild type [12,13]. Furthermore, in our study, BRAF-mutated melanomas tended to have higher Breslow thickness and higher mitotic rate.
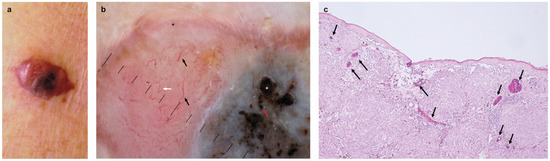
In agreement with Lee et al. [2], we found a significantly greater frequency of NM histotype in NRAS-mutated melanomas (Figure 1). In addition, we found that NRAS-mutated melanomas were significantly associated with AHM subtype (Figure 2). Some authors have reported that five-year survival was worse in NM than in SSM and in AHM compared to pigmented melanoma [10,11]. The poorer prognosis in patients with AHM was probably related to higher tumor stage at diagnosis, since AHM was more likely to be misdiagnosed than pigmented melanoma [11]. Interestingly, in our study, WT melanomas were significantly associated with pigmented, thinner, and non-ulcerated SSM. Therefore, we underline the association of BRAF- and NRAS-mutated melanomas with clinicopathologic features underlying a more aggressive melanoma phenotype.
Figure 1. NRAS and TP53 mutated nodular melanoma (NM), 2.3 mm-thick, mitotic rate ≥ 1 n/mm2 on the left arm of a 60-year-old woman. (a) Clinical image shows a black-blue reddish symmetrical nodule. (b) At dermoscopic examination, the lesion was typified by an overall homogeneous disorganized pattern consisting of blue-white veil, areas of black and blue pigmentation (small black arrow), and atypical vessels (black stars) (10× magnification). (c) Histologically, nested melanophages at the base and between dermal aggregates of atypical melanocytes under a slightly thickened epidermis (hematoxylin-eosin, 5× magnification). Inset, detail of nested melanophages (25× magnification).
Figure 2. NRAS- and cell cycle (CCND1 gene)-mutated melanoma, 4.9 mm-thick, and mitotic rate/mm2 = 11, on the forearm of an 80-year-old woman. (a) In the clinical image (inset) a blue-reddish plaque can be observed. (b) Magnified detail of polymorphous vascular pattern at dermoscopic examination characterized by serpentine (small black arrow), hairpin vessels (small white arrow), and milky-red areas (black star). In addition, black globules (small red arrow) and blotches (white star) can be observed (10× magnification). (c) Histologically, dilated capillaries (arrows) beneath the epidermis and between tumor dermal aggregates can be seen (hematoxylin-eosin, 10× magnification).
Furthermore, the present study highlights associations between the prevalence of dermoscopic features and melanoma mutational status. Firstly, the homogeneous disorganized pattern was directly significantly associated with NRAS-mutated melanoma (Figure 1), whereas the multicomponent pattern was inversely associated with NRAS-mutated melanoma. These results are in agreement with previous reports that found the homogeneous disorganized pattern was related to NM, while the multicomponent pattern was associated with SSM [14,15,16].
In BRAF-mutated melanomas, we also found a significantly higher frequency of shiny white structures that reflect de novo synthesis or remodeling of collagen in the papillary dermis as a response to melanoma of the fibroblast and stroma [17,18]. Therefore, shiny white lines may be the expression of histologic regression changes, suggesting the role of BRAF in immunopathogenesis [12].
Interestingly, we found a significantly greater frequency of the blue-whitish veil in TP53-mutated melanoma (Figure 1). The presence of a blue-white veil has been highly correlated with thicker, ulcerated melanomas and a mitotic rate ≥ 1 n/mm2 [19,20]. From a histopathological point of view, the blue-whitish veil feature corresponds to nests of pigmented atypical melanocytes in the dermis under a thickened epidermis, reflecting the higher proliferative activity of these melanomas. Moreover, NM may exhibit dermal melanophages, usually associated with a moderate degree of inflammation, dermoscopically correlated with areas of blue pigmentation (Figure 1).
The association of dermoscopic features with mutation in cell cycle genes is a new and innovative finding of the present study. Indeed, such mutations were significantly associated with the presence of vascular pattern, linear irregular, polymorphous vessels, and milky-red globules/areas; dilated capillaries beneath the epidermis and between dermal aggregates of atypical melanocytes can be seen in Figure 2. Neoangiogenesis is the formation of new blood vessels from pre-existing “quiescent” vasculatures, occurring during tumor growth in the presence of pro-angiogenic factors secreted by melanoma and/or as the reaction to hypoxia [21,22]. The rapid proliferation of melanocytes separates cells from the vasculature, leading to increasing demands of oxygen and nutrient demands that require new vessels to support the continued tumor growth [23]. Hypoxia may activate Hypoxia-Inducible Factor-1 alpha (HIF-1α), encoded by the HIF-1A gene. HIF-1α is a regulator of O2 homeostasis and an inducer of various pro-angiogenic factors, the most important of which is vascular endothelial growth factor-A (VEFG-A) [23,24]. In conditions of hypoxia, HIF-1α is translocated into the nucleus and activates the expression of genes involved in angiogenesis together with genes involved in metabolism, cellular proliferation, and metastasis, leading to melanoma progression [23,24]. The hypoxia status and the loss of the tumor-suppressive function of p53 are two common biological events in solid tumors [25].
Neoangiogenesis plays an essential role in development and growth of melanoma; a high-density vascular network is associated with the evolution of atypical intraepidermal melanocytic to melanoma in situ [26]. From a dermoscopic point of view, the increased vascular volume appears as milky-red areas and/or vascular structures that may be linked with melanoma thickness [27,28]. The presence of vascular pattern, linear irregular vessels, polymorphous vessels, and milky-red globules/area—predictors of cell cycle genes mutated melanomas—is suggestive of intermediate-thick melanomas [28,29]. Moreover, these vessels and blue-whitish veil were closely related to the neoplastic proliferation of cell cycle mutated melanomas and they were found to be associated with thicker lesions and with the risk of melanoma recurrence [19,20,30]. Conversely to WT, cell cycle genes and TP53 mutated melanomas were significantly associated with dermoscopic features underlying a more aggressive phenotype. Furthermore, dermoscopy may also have an important prognostic significance in predicting melanoma with high metastatic potential. Indeed, the blue-whitish veil, milky-red areas, and low pigmentation found in amelanotic melanoma were considered prognostic criteria for distant metastasis [31,32,33,34].
The small sample size is to be acknowledged among study limitations since it impacts study power and the possibility of conducting multivariable analyses. However, the availability of mutational status together with a comprehensive dermoscopic profile is challenging, limiting the sample size of similar studies.

5. Conclusions

In synthesis, we found that increased vascularization, linear irregular vessels, polymorphous vessels, and milky-red globules/areas may be considered predictors of mutations in cell cycle genes. Conversely to WT melanomas, those harboring a mutation in BRAF, NRAS, or cell cycle reported clinical and dermoscopic features underlying a more aggressive phenotype. Despite the small size of our study being a limitation, these findings may be of considerable prognostic impact, somehow predicting the disease behavior of the different melanoma “types” and identifying patients at greater risk of relapse. This could be useful in tailoring follow-up programmes. In addition, these findings might identify melanoma cases that could respond to anti-angiogenic therapies or treatments aimed at modifying the immunogenic status of the tumor microenvironment.

Supplementary Materials

The following supporting information can be downloaded at https://www.mdpi.com/article/10.3390/cancers17162688/s1, Table S1: Form for dermoscopic evaluation. Table S2: Individual gene mutational status of study patients.

Author Contributions

Conceptualization, M.A.P., J.P. and G.P.; methodology, M.A.P., G.P., J.P., M.C.S., A.M., S.S. (Sara Simi), P.P. (Panagiotis Paliogiannis), C.P., P.C., V.C., M.T.C., M.L., M.C., G.M., A.C., M.G., I.S., F.P., S.B. and D.M.; formal analysis, J.P.; data curation, M.A.P., J.P., M.C.S., A.M., S.S. (Sara Simi), P.P. (Panagiotis Paliogiannis), V.C., S.A., P.P. (Paola Pasquini), S.S. (Sandro Sulfaro), M.C., M.F., G.B.M., A.C. and S.B.; investigation, C.P., P.C., M.T.C., M.L., G.M., G.B.M., I.S., F.P., M.G., S.A., M.F. and D.M.; writing—original draft, M.A.P.; writing—review and editing, M.A.P., J.P., M.C.S., A.M., S.S. (Sara Simi), P.P. (Panagiotis Paliogiannis), C.P., P.C., V.C., S.A., P.P. (Paola Pasquini), M.T.C., S.S. (Sandro Sulfaro), M.L., M.C., G.M., M.F., G.B.M., A.C., M.G., I.S., F.P., S.B., D.M. and G.P. All authors have read and agreed to the published version of the manuscript.

Funding

This work was partly supported by the Italian Ministry of Health (Ricerca Corrente). This work was partially funded by the Sardinian Regional Government (Regione Autonoma della Sardegna, RAS) and by the Associazione “I Colori di Francesco”.

Institutional Review Board Statement

The study was conducted in accordance with the Declaration of Helsinki, and approved by the Board of Ethics of Friuli Venezia Giulia (protocol code CEUR-Sper-082-CRO approved on 11 October 2017).

Data Availability Statement

The datasets generated and/or analyzed during the current study are available from the corresponding author on reasonable request.

Acknowledgments

The authors wish to thank Francesca Battistella and Nancy Michilin, Scientific and Patients’ Library, Centro di Riferimento Oncologico di Aviano (CRO) IRCCS, for technical support.

Conflicts of Interest

The authors declare no conflicts of interest. The funders had no role in the design of the study; in the collection, analyses, or interpretation of data; in the writing of the manuscript; or in the decision to publish the results.

Abbreviations

The following abbreviations are used in this manuscript:
AHMAmelanotic/hypomelanotic melanoma
CIConfidence interval
CSDCumulative sun damage
FFPEFormalin-fixed-paraffin-embedded
HIF-1αHypoxia-Inducible Factor-1 alpha
MAPKMitogen-activated protein kinase
NGSNext-generation sequencing
NMNodular melanoma
OROdds ratio
SSMSuperficial spreading melanoma
TILsTumor-infiltrating lymphocytes
VEGF-AVascular endothelial growth factor-A
WTWild-type

References

  1. Yélamos, O.; Braun, R.P.; Liopyris, K.; Wolner, Z.J.; Kerl, K.; Gerami, P.; Marghoob, A.A. Usefulness of Dermoscopy to Improve the Clinical and Histopathologic Diagnosis of Skin Cancers. J. Am. Acad. Dermatol. 2019, 80, 365–377. [Google Scholar] [CrossRef]
  2. Lee, J.-H.; Choi, J.-W.; Kim, Y.-S. Frequencies of BRAF and NRAS Mutations Are Different in Histological Types and Sites of Origin of Cutaneous Melanoma: A Meta-Analysis. Br. J. Dermatol. 2011, 164, 776–784. [Google Scholar] [CrossRef]
  3. The Cancer Genome Atlas Network. Genomic Classification of Cutaneous Melanoma. Cell 2015, 161, 1681–1696. [Google Scholar] [CrossRef]
  4. Tan, J.-M.; Tom, L.N.; Soyer, H.P.; Stark, M.S. Defining the Molecular Genetics of Dermoscopic Naevus Patterns. Dermatology 2019, 235, 19–34. [Google Scholar] [CrossRef]
  5. Yelamos, O.; Braun, R.P.; Liopyris, K.; Wolner, Z.J.; Kerl, K.; Gerami, P.; Marghoob, A.A. Dermoscopy and dermatopathology correlates of cutaneous neoplasms. J. Am. Acad. Dermatol. 2019, 80, 341–363. [Google Scholar] [CrossRef]
  6. Marghoob, A.A.; Braun, R.; Jaimes, N. Atlas of Dermoscopy, 3rd ed.; CRC Press: Boca Raton, FL, USA, 2023. [Google Scholar]
  7. Manca, A.; Paliogiannis, P.; Colombino, M.; Casula, M.; Lissia, A.; Botti, G.; Caracò, C.; Ascierto, P.A.; Sini, M.C.; Palomba, G.; et al. Mutational concordance between primary and metastatic melanoma: A next-generation sequencing approach. J. Transl. Med. 2019, 17, 289. [Google Scholar] [CrossRef] [PubMed]
  8. Gershenwald, J.E.; Scolyer, R.A.; Hess, K.R.; Sondak, V.K.; Long, G.V.; Ross, M.I.; Lazar, A.J.; Faries, M.B.; Kirkwood, J.M.; McArthur, G.A.; et al. Melanoma Staging: Evidence-Based Changes in the American Joint Committee on Cancer Eighth Edition Cancer Staging Manual. CA Cancer J. Clin. 2017, 67, 472–492. [Google Scholar] [CrossRef] [PubMed]
  9. Gershenwald, J.E.; Scolyer, R.A. Melanoma Staging: American Joint Committee on Cancer (AJCC) 8th Edition and Beyond. Ann. Surg. Oncol. 2018, 25, 2105–2110. [Google Scholar] [CrossRef] [PubMed]
  10. Allais, B.S.; Beatson, M.; Wang, H.; Shahbazi, S.; Bijelic, L.; Jang, S.; Venna, S. Five-Year Survival in Patients with Nodular and Superficial Spreading Melanomas in the US Population. J. Am. Acad. Dermatol. 2021, 84, 1015–1022. [Google Scholar] [CrossRef]
  11. Strazzulla, L.C.; Li, X.; Zhu, K.; Okhovat, J.-P.; Lee, S.J.; Kim, C.C. Clinicopathologic, Misdiagnosis, and Survival Differences between Clinically Amelanotic Melanomas and Pigmented Melanomas. J. Am. Acad. Dermatol. 2019, 80, 1292–1298. [Google Scholar] [CrossRef]
  12. Pozzobon, F.C.; Puig-Butillé, J.A.; González-Alvarez, T.; Carrera, C.; Aguilera, P.; Alos, L.; Badenas, C.; Grichnik, J.M.; Malvehy, J.; Puig, S. Dermoscopic Criteria Associated with BRAF and NRAS Mutation Status in Primary Cutaneous Melanoma. Br. J. Dermatol. 2014, 171, 754–759. [Google Scholar] [CrossRef]
  13. Bombonato, C.; Ribero, S.; Pozzobon, F.C.; Puig-Butille, J.A.; Badenas, C.; Carrera, C.; Malvehy, J.; Moscarella, E.; Lallas, A.; Piana, S.; et al. Association between Dermoscopic and Reflectance Confocal Microscopy Features of Cutaneous Melanoma with BRAF Mutational Status. J. Eur. Acad. Dermatol. Venereol. 2017, 31, 643–649. [Google Scholar] [CrossRef]
  14. Pizzichetta, M.A.; Kittler, H.; Stanganelli, I.; Bono, R.; Cavicchini, S.; De Giorgi, V.; Ghigliotti, G.; Quaglino, P.; Rubegni, P.; Argenziano, G.; et al. Pigmented Nodular Melanoma: The Predictive Value of Dermoscopic Features Using Multivariate Analysis. Br. J. Dermatol. 2015, 173, 106–114. [Google Scholar] [CrossRef] [PubMed]
  15. Kalkhoran, S.; Milne, O.; Zalaudek, I.; Puig, S.; Malvehy, J.; Kelly, J.W.; Marghoob, A.A. Historical, Clinical, and Dermoscopic Characteristics of Thin Nodular Melanoma. Arch. Dermatol. 2010, 146, 311–318. [Google Scholar] [CrossRef] [PubMed]
  16. Segura, S.; Pellacani, G.; Puig, S.; Longo, C.; Bassoli, S.; Guitera, P.; Palou, J.; Menzies, S.; Seidenari, S.; Malvehy, J. In Vivo Microscopic Features of Nodular Melanomas: Dermoscopy, Confocal Microscopy, and Histopathologic Correlates. Arch. Dermatol. 2008, 144, 1311–1320. [Google Scholar] [CrossRef]
  17. Pizzichetta, M.A.; Canzonieri, V.; Soyer, P.H.; Rubegni, P.; Talamini, R.; Massone, C. Negative Pigment Network and Shiny White Streaks: A Dermoscopic-Pathological Correlation Study. Am. J. Dermatopathol. 2014, 36, 433–438. [Google Scholar] [CrossRef]
  18. Balagula, Y.; Braun, R.P.; Rabinovitz, H.S.; Dusza, S.W.; Scope, A.; Liebman, T.N.; Mordente, I.; Siamas, K.; Marghoob, A.A. The Significance of Crystalline/Chrysalis Structures in the Diagnosis of Melanocytic and Nonmelanocytic Lesions. J. Am. Acad. Dermatol. 2012, 67, 194.e1–194.e8. [Google Scholar] [CrossRef] [PubMed]
  19. Rodríguez-Lomba, E.; Lozano-Masdemont, B.; Nieto-Benito, L.M.; Hernández de la Torre, E.; Suárez-Fernández, R.; Avilés-Izquierdo, J.A. Dermoscopic Predictors of Tumor Thickness in Cutaneous Melanoma: A Retrospective Analysis of 245 Melanomas. Dermatol. Pract. Concept. 2021, 11, e2021059. [Google Scholar] [CrossRef]
  20. Deinlein, T.; Arzberger, E.; Zalaudek, I.; Massone, C.; Garcias-Ladaria, J.; Oliveira, A.; Schulter, G.; Hofmann-Wellenhof, R. Dermoscopic Characteristics of Melanoma According to the Criteria “Ulceration” and “Mitotic Rate” of the AJCC 2009 Staging System for Melanoma. PLoS ONE 2017, 12, e0174871. [Google Scholar] [CrossRef]
  21. Cho, W.C.; Jour, G.; Aung, P.P. Role of Angiogenesis in Melanoma Progression: Update on Key Angiogenic Mechanisms and Other Associated Components. Semin. Cancer Biol. 2019, 59, 175–186. [Google Scholar] [CrossRef]
  22. Cazzato, G.; Ingravallo, G.; Ribatti, D. Angiogenesis Still Plays a Crucial Role in Human Melanoma Progression. Cancers 2024, 16, 1794. [Google Scholar] [CrossRef]
  23. Malekan, M.; Ebrahimzadeh, M.A.; Sheida, F. The Role of Hypoxia-Inducible Factor-1alpha and Its Signaling in Melanoma. Biomed. Pharmacother. 2021, 141, 111873. [Google Scholar] [CrossRef]
  24. Meierjohann, S. Hypoxia-Independent Drivers of Melanoma Angiogenesis. Front. Oncol. 2015, 5, 102. [Google Scholar] [CrossRef]
  25. Zhang, C.; Liu, J.; Wang, J.; Zhang, T.; Xu, D.; Hu, W.; Feng, Z. The Interplay Between Tumor Suppressor P53 and Hypoxia Signaling Pathways in Cancer. Front. Cell Dev. Biol. 2021, 9, 648808. [Google Scholar] [CrossRef]
  26. Rocha, L.K.F.L.; Vilain, R.E.; Scolyer, R.A.; Lo, S.N.; Drummond, M.; Star, P.; Fogarty, G.B.; Hong, A.M.; Guitera, P. Confocal Microscopy, Dermoscopy, and Histopathology Features of Atypical Intraepidermal Melanocytic Proliferations Associated with Evolution to Melanoma in Situ. Int. J. Dermatol. 2022, 61, 167–174. [Google Scholar] [CrossRef]
  27. Pizzichetta, M.A.; Kittler, H.; Stanganelli, I.; Ghigliotti, G.; Corradin, M.T.; Rubegni, P.; Cavicchini, S.; De Giorgi, V.; Bono, R.; Alaibac, M.; et al. Dermoscopic Diagnosis of Amelanotic/Hypomelanotic Melanoma. Br. J. Dermatol. 2017, 177, 538–540. [Google Scholar] [CrossRef]
  28. Deinlein, T.; Longo, C.; Schulter, G.; Pizzichetta, M.A.; Zalaudek, I. The Prevailing Dermoscopic Vascular Pattern in Melanoma Is Influenced by Tumour Thickness and Pigmentation Type. Br. J. Dermatol. 2020, 182, 1049–1050. [Google Scholar] [CrossRef]
  29. Sgouros, D.; Lallas, A.; Kittler, H.; Zarras, A.; Kyrgidis, A.; Papageorgiou, C.; Puig, S.; Scope, A.; Argenziano, G.; Zalaudek, I.; et al. Dermatoscopic Features of Thin (≤2 Mm Breslow Thickness) vs. Thick (>2 Mm Breslow Thickness) Nodular Melanoma and Predictors of Nodular Melanoma versus Nodular Non-Melanoma Tumours: A Multicentric Collaborative Study by the International Dermoscopy Society. J. Eur. Acad. Dermatol. Venereol. 2020, 34, 2541–2547. [Google Scholar] [CrossRef] [PubMed]
  30. Kashani-Sabet, M.; Sagebiel, R.W.; Ferreira, C.M.M.; Nosrati, M.; Miller, J.R. Tumor Vascularity in the Prognostic Assessment of Primary Cutaneous Melanoma. J. Clin. Oncol. 2002, 20, 1826–1831. [Google Scholar] [CrossRef] [PubMed]
  31. Depasquale, I.; Thompson, W.D. Microvessel Density for Melanoma Prognosis. Histopathology 2005, 47, 186–194. [Google Scholar] [CrossRef] [PubMed]
  32. Lallas, K.; Kyrgidis, A.; Chrysostomidis, A.; Vakirlis, E.; Apalla, Z.; Lallas, A. Clinical, Dermatoscopic, Histological and Molecular Predictive Factors of Distant Melanoma Metastasis: A Systematic Review and Meta-Analysis. Crit. Rev. Oncol. Hematol. 2024, 202, 104458. [Google Scholar] [CrossRef] [PubMed]
  33. Ryu, G.W.; Choi, Y.D.; Ryu, Y.J.; Lee, J.-B.; Shin, M.-H.; Yun, S.J. Risk Factors Affecting the First Metastasis of Acral Melanoma: Low-Pigmentation Independently Predicts a First Lung Metastasis. J. Am. Acad. Dermatol. 2021, 84, 1739–1742. [Google Scholar] [CrossRef] [PubMed]
  34. Ryu, G.W.; Choi, Y.D.; Jin, S.; Chung, I.-J.; Shin, M.-H.; Yun, S.J. Volar Location and Degree of Pigmentation Are Associated with Poor Survival and First Metastasis Pattern in Acral Melanoma. Pigment. Cell Melanoma Res. 2021, 34, 1094–1104. [Google Scholar] [CrossRef] [PubMed]
Disclaimer/Publisher’s Note: The statements, opinions and data contained in all publications are solely those of the individual author(s) and contributor(s) and not of MDPI and/or the editor(s). MDPI and/or the editor(s) disclaim responsibility for any injury to people or property resulting from any ideas, methods, instructions or products referred to in the content.

Article Metrics

Citations

Article Access Statistics

Multiple requests from the same IP address are counted as one view.