A Novel Polymer-Encapsulated Multi-Imaging Modality Fiducial Marker with Positive Signal Contrast for Image-Guided Radiation Therapy
Abstract
Simple Summary
Abstract
1. Introduction
2. Materials and Methods
2.1. Fiducial Markers
2.2. Phantoms and Fiducial Marker Implantation
2.3. Imaging Acquisition for Phantom
2.4. Artifact Measurement on CT
2.5. Proton Radiation Dose Perturbation Assessment
2.6. Artemis Computer-Assisted Fiducial Marker Implantation for Intraprostatic Tumor Localization
2.7. Acquiring Patient Images
2.8. MRI/CT Image Fusion
2.9. Statistical Analysis
3. Results
3.1. NOVA Marker Visibility in Phantom
3.2. NOVA Marker Artifacts on CT Images
3.3. Gold Anchor, BiomarC, and NOVA Proton Radiation Dose Perturbations
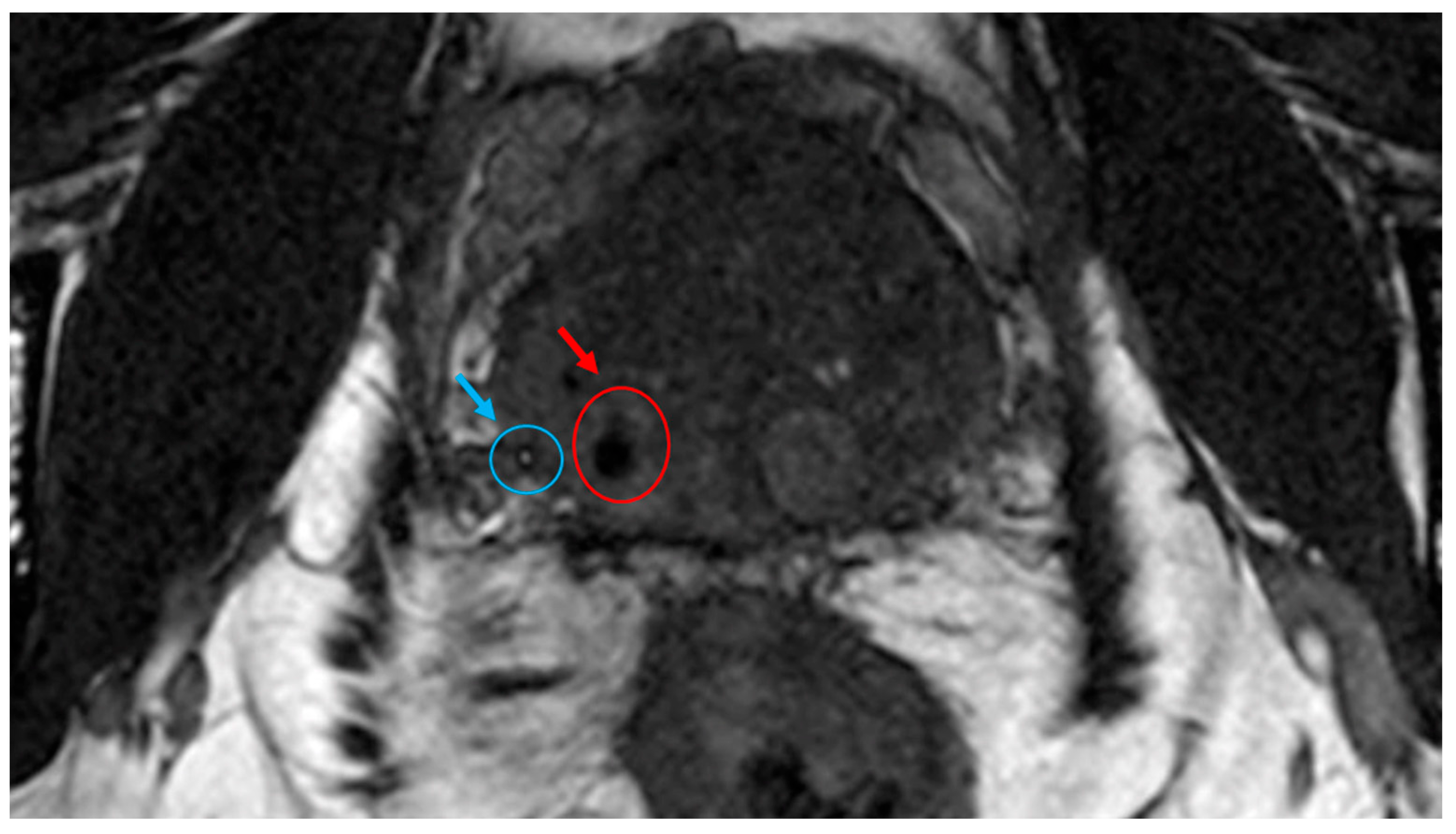
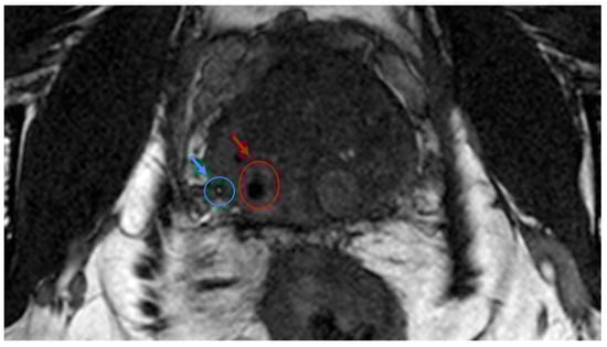
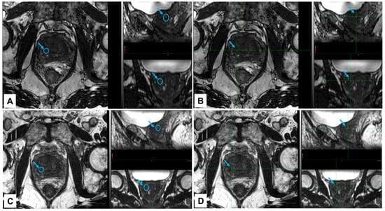
3.4. Visibility of NOVA Markers in a Clinical Case
4. Discussion
5. Conclusions
Author Contributions
Funding
Institutional Review Board Statement
Informed Consent Statement
Data Availability Statement
Acknowledgments
Conflicts of Interest
Appendix A



References
- Serago, C.F.; Buskirk, S.J.; Igel, T.C.; Gale, A.A.; Serago, N.E.; Earle, J.D. Comparison of daily megavoltage electronic portal imaging or kilovoltage imaging with marker seeds to ultrasound imaging or skin marks for prostate localization and treatment positioning in patients with prostate cancer. Int. J. Radiat. Oncol. Biol. Phys. 2006, 65, 1585–1592. [Google Scholar] [CrossRef]
- Deegan, T.; Owen, R.; Holt, T.; Fielding, A.; Biggs, J.; Parfitt, M.; Coates, A.; Roberts, L. Assessment of cone beam CT registration for prostate radiation therapy: Fiducial marker and soft tissue methods. J. Med. Imaging Radiat. Oncol. 2015, 59, 91–98. [Google Scholar] [CrossRef] [PubMed]
- Hoogeman, M.S.; Nuyttens, J.J.; Levendag, P.C.; Heijmen, B.J.M. Time Dependence of Intrafraction Patient Motion Assessed by Repeat Stereoscopic Imaging. Int. J. Radiat. Oncol. Biol. Phys. 2008, 70, 609–618. [Google Scholar] [CrossRef] [PubMed]
- Welsh, J.S.; Berta, C.; Borzillary, S.; Sam, C.; Shickell, D.; Nobile, L.; Greenberg, M.; Weiss, S.; Detorie, N. Fiducial markers implanted during prostate brachytherapy for guiding conformal external beam radiation therapy. Technol. Cancer Res. Treat. 2004, 3, 359–364. [Google Scholar] [CrossRef] [PubMed]
- Hsu, A.; Pawlicki, T.; Luxton, G.; Hara, W.; King, C.R. A Study of Image-Guided Intensity-Modulated Radiotherapy with Fiducials for Localized Prostate Cancer Including Pelvic Lymph Nodes. Int. J. Radiat. Oncol. Biol. Phys. 2007, 68, 898–902. [Google Scholar] [CrossRef] [PubMed]
- Nederveen, A.J.; Dehnad, H.; van der Heide, U.A.; van Moorselaar, R.A.; Hofman, P.; Lagendijk, J.J. Comparison of megavoltage position verification for prostate irradiation based on bony anatomy and implanted fiducials. Radiother. Oncol. 2003, 68, 81–88. [Google Scholar] [CrossRef]
- Pouliot, J.; Aubin, M.; Langen, K.M.; Liu, Y.-M.; Pickett, B.; Shinohara, K.; Roach, M. (Non)-migration of radiopaque markers used for on-line localization of the prostate with an electronic portal imaging device. Int. J. Radiat. Oncol. Biol. Phys. 2003, 56, 862–866. [Google Scholar] [CrossRef]
- Kupelian, P.A.; Willoughby, T.R.; Meeks, S.L.; Forbes, A.; Wagner, T.; Maach, M.; Langen, K.M. Intraprostatic fiducials for localization of the prostate gland: Monitoring intermarker distances during radiation therapy to test for marker stability. Int. J. Radiat. Oncol. Biol. Phys. 2005, 62, 1291–1296. [Google Scholar] [CrossRef]
- Shinohara, K.; Roach, M., 3rd. Technique for implantation of fiducial markers in the prostate. Urology 2008, 71, 196–200. [Google Scholar] [CrossRef]
- McVicar, N.; Popescu, I.A.; Heath, E. Techniques for adaptive prostate radiotherapy. Phys. Med. 2016, 32, 492–498. [Google Scholar] [CrossRef]
- Kishan, A.U.; Ma, T.M.; Lamb, J.M.; Casado, M.; Wilhalme, H.; Low, D.A.; Sheng, K.; Sharma, S.; Nickols, N.G.; Pham, J.; et al. Magnetic Resonance Imaging-Guided vs Computed Tomography-Guided Stereotactic Body Radiotherapy for Prostate Cancer: The MIRAGE Randomized Clinical Trial. JAMA Oncol. 2023, 9, 365–373. [Google Scholar] [CrossRef] [PubMed]
- Bauman, G.; Haider, M.; Van der Heide, U.A.; Ménard, C. Boosting imaging defined dominant prostatic tumors: A systematic review. Radiother. Oncol. 2013, 107, 274–281. [Google Scholar] [CrossRef] [PubMed]
- King, R.B.; Osman, S.O.; Fairmichael, C.; Irvine, D.M.; Lyons, C.A.; Ravi, A.; O’Sullivan, J.M.; Hounsell, A.R.; Mitchell, D.M.; McGarry, C.K.; et al. Efficacy of a rectal spacer with prostate SABR—First UK experience. Br. J. Radiol. 2018, 91, 20170672. [Google Scholar] [CrossRef] [PubMed]
- Beltran, C.; Herman, M.G.; Davis, B.J. Planning Target Margin Calculations for Prostate Radiotherapy Based on Intrafraction and Interfraction Motion Using Four Localization Methods. Int. J. Radiat. Oncol. Biol. Phys. 2008, 70, 289–295. [Google Scholar] [CrossRef] [PubMed]
- Schallenkamp, J.M.; Herman, M.G.; Kruse, J.J.; Pisansky, T.M. Prostate position relative to pelvic bony anatomy based on intraprostatic gold markers and electronic portal imaging. Int. J. Radiat. Oncol. Biol. Phys. 2005, 63, 800–811. [Google Scholar] [CrossRef] [PubMed]
- Osman, S.O.S.; Russell, E.; King, R.B.; Crowther, K.; Jain, S.; McGrath, C.; Hounsell, A.R.; Prise, K.M.; McGarry, C.K. Fiducial markers visibility and artefacts in prostate cancer radiotherapy multi-modality imaging. Radiat. Oncol. 2019, 14, 237. [Google Scholar] [CrossRef] [PubMed]
- Slagowski, J.M.; Colbert, L.E.; Cazacu, I.M.; Singh, B.S.; Martin, R.; Koay, E.J.; Taniguchi, C.M.; Koong, A.C.; Bhutani, M.S.; Herman, J.M.; et al. Evaluation of the Visibility and Artifacts of 11 Common Fiducial Markers for Image Guided Stereotactic Body Radiation Therapy in the Abdomen. Pract. Radiat. Oncol. 2020, 10, 434–442. [Google Scholar] [CrossRef]
- Huang, J.Y.; Newhauser, W.D.; Zhu, X.R.; Lee, A.K.; Kudchadker, R.J. Investigation of dose perturbations and the radiographic visibility of potential fiducials for proton radiation therapy of the prostate. Phys. Med. Biol. 2011, 56, 5287–5302. [Google Scholar] [CrossRef]
- Coronel, E.; Cazacu, I.M.; Sakuraba, A.; Chavez, A.A.L.; Uberoi, A.; Geng, Y.; Tomizawa, Y.; Saftoiu, A.; Shin, E.J.; Taniguchi, C.M.; et al. EUS-guided fiducial placement for GI malignancies: A systematic review and meta-analysis. Gastrointest. Endosc. 2019, 89, 659–670.e18. [Google Scholar] [CrossRef]
- Valentine, K.; Cabrera, T.; Roberge, D. Implanting Metal Fiducials to Guide Stereotactic Liver Radiation: McGill Experience and Review of Current Devices, Techniques and Complications. Technol. Cancer Res. Treat. 2014, 13, 253–258. [Google Scholar] [CrossRef]
- Chow, J.C.L.; Grigorov, G.N. Dose measurements near a non-radioactive gold seed using radiographic film. Phys. Med. Biol. 2005, 50, N227–N234. [Google Scholar] [CrossRef]
- Chow, J.C.L.; Grigorov, G.N. Monte Carlo simulations of dose near a nonradioactive gold seed. Med. Phys. 2006, 33, 4614–4621. [Google Scholar] [CrossRef]
- Giebeler, A.; Fontenot, J.; Balter, P.; Ciangaru, G.; Zhu, R.; Newhauser, W. Dose perturbations from implanted helical gold markers in proton therapy of prostate cancer. J. Appl. Clin. Med. Phys. 2009, 10, 63–70. [Google Scholar] [CrossRef]
- Newhauser, W.; Fontenot, J.; Koch, N.; Dong, L.; Lee, A.; Zheng, Y.; Waters, L.; Mohan, R. Monte Carlo simulations of the dosimetric impact of radiopaque fiducial markers for proton radiotherapy of the prostate. Phys. Med. Biol. 2007, 52, 2937–2952. [Google Scholar] [CrossRef]
- Newhauser, W.D.; Koch, N.C.; Fontenot, J.D.; Rosenthal, S.J.; Gombos, D.S.; Fitzek, M.M.; Mohan, R. Dosimetric impact of tantalum markers used in the treatment of uveal melanoma with proton beam therapy. Phys. Med. Biol. 2007, 52, 3979–3990. [Google Scholar] [CrossRef] [PubMed]
- Ptaszkiewicz, M.; Weber, A.; Swakon, J.; Klosowski, M.; Olko, P.; Bilski, P.; Michalec, B.; Czopyk, L. Dose perturbation behind tantalum clips in ocular proton therapy. Radiat. Meas. 2010, 45, 694–697. [Google Scholar] [CrossRef]
- Cheung, J.; Kudchadker, R.J.; Zhu, X.R.; Lee, A.K.; Newhauser, W.D. Dose perturbations and image artifacts caused by carbon-coated ceramic and stainless steel fiducials used in proton therapy for prostate cancer. Phys. Med. Biol. 2010, 55, 7135–7147. [Google Scholar] [CrossRef] [PubMed]
- Kassim, I.; Joosten, H.; Barnhoorn, J.C.; Heijmen, B.J.M.; Dirkx, M.L.P. Implications of Artefacts Reduction in the Planning CT Originating from Implanted Fiducial Markers. Med. Dosim. 2011, 36, 119–125. [Google Scholar] [CrossRef] [PubMed]
- Blanchard, P.; Ménard, C.; Frank, S.J. Clinical use of magnetic resonance imaging across the prostate brachytherapy workflow. Brachytherapy 2017, 16, 734–742. [Google Scholar] [CrossRef] [PubMed]
- Sanders, J.W.; Venkatesan, A.M.; Levitt, C.A.; Bathala, T.; Kudchadker, R.J.; Tang, C.; Bruno, T.L.; Starks, C.; Santiago, E.; Wells, M.; et al. Fully Balanced SSFP Without an Endorectal Coil for Postimplant QA of MRI-Assisted Radiosurgery (MARS) of Prostate Cancer: A Prospective Study. Int. J. Radiat. Oncol. Biol. Phys. 2021, 109, 614–625. [Google Scholar] [CrossRef]
- Brown, A.P.; Pugh, T.J.; Swanson, D.A.; Kudchadker, R.J.; Bruno, T.L.; Christensen, E.N.; van Vulpen, M.; Frank, S.J. Improving prostate brachytherapy quality assurance with MRI–CT fusion–based sector analysis in a phase II prospective trial of men with intermediate-risk prostate cancer. Brachytherapy 2013, 12, 401–407. [Google Scholar] [CrossRef]
- Slater, J.D.; Rossi, C.J.; Yonemoto, L.T.; Bush, D.A.; Jabola, B.; Levy, R.P.; Grove, R.I.; Preston, W.; Slater, J.M. Proton therapy for prostate cancer: The initial Loma Linda University experience. Int. J. Radiat. Oncol. Biol. Phys. 2004, 59, 348–352. [Google Scholar] [CrossRef] [PubMed]
- Gez, E.; Cederbaum, M.; Yachia, D.; Bar-Deroma, R.; Kuten, A. Dose perturbation due to the presence of a prostatic urethral stent in patients receiving pelvic radiotherapy: An in vitro study. Med. Dosim. 1997, 22, 117–120. [Google Scholar] [CrossRef] [PubMed]
- Schneider, S.; Jølck, R.I.; Troost, E.G.C.; Hoffmann, A.L. Quantification of MRI visibility and artifacts at 3T of liquid fiducial marker in a pancreas tissue-mimicking phantom. Med. Phys. 2018, 45, 37–47. [Google Scholar] [CrossRef] [PubMed]
- Lee, M.-J.; Kim, S.; Lee, S.-A.; Song, H.-T.; Huh, Y.-M.; Kim, D.-H.; Han, S.H.; Suh, J.-S. Overcoming Artifacts from Metallic Orthopedic Implants at High-Field-Strength MR Imaging and Multi-detector CT. RadioGraphics 2007, 27, 791–803. [Google Scholar] [CrossRef] [PubMed]
- Bair, R.J.; Bair, E.; Viswanathan, A.N. A radiopaque polymer hydrogel used as a fiducial marker in gynecologic-cancer patients receiving brachytherapy. Brachytherapy 2015, 14, 876–880. [Google Scholar] [CrossRef] [PubMed]
- Machiels, M.; van Hooft, J.; Jin, P.; Henegouwen, M.I.v.B.; van Laarhoven, H.M.; Alderliesten, T.; Hulshof, M.C. Endoscopy/EUS-guided fiducial marker placement in patients with esophageal cancer: A comparative analysis of 3 types of markers. Gastrointest. Endosc. 2015, 82, 641–649. [Google Scholar] [CrossRef] [PubMed]
- De Blanck, S.R.; Rydhög, J.S.; Larsen, K.R.; Clementsen, P.F.; Josipovic, M.; Aznar, M.C.; Rosenschöld, P.M.A.; Jølck, R.I.; Specht, L.; Andresen, T.L.; et al. Clinical and translational radiation oncology long term safety and visibility of a novel liquid fiducial marker for use in image guided radiotherapy of non-small cell lung cancer. Clin. Transl. Radiat. Oncol. 2018, 13, 24–28. [Google Scholar]
- Nair, V.J.; Szanto, J.; Vandervoort, E.; Henderson, E.; Avruch, L.; Malone, S. Feasibility, detectability and clinical experience with platinum fiducial seeds for MRI/CT fusion and real-time tumor tracking during CyberKnife® stereotactic ablative radiotherapy. J. Radiosurg. SBRT 2015, 3, 315–323. [Google Scholar]
- Gates, L.L.; Gladstone, D.J.; Kasibhatla, M.S.; Marshall, J.F.; Seigne, J.D.; Hug, E.; Hartford, A.C. Prostate localization using serrated gold coil markers [Abstract]. Int. J. Radiat. Oncol. Biol. Phys. 2007, 69 (Suppl. S382), S382. [Google Scholar] [CrossRef]
- Sanders, M.K.; Moser, A.J.; Khalid, A.; Fasanella, K.E.; Zeh, H.J.; Burton, S.; McGrath, K. EUS-guided fiducial placement for stereotactic body radiotherapy in locally advanced and recurrent pancreatic cancer. Gastrointest. Endosc. 2010, 71, 1178–1184. [Google Scholar] [CrossRef]
- Kim, J.H.; Hong, S.S.; Kim, J.H.; Park, H.J.; Chang, Y.W.; Chang, A.R.; Kwon, S.B. Safety and efficacy of ultrasound-guided fiducial marker implantation for CyberKnife radiation therapy. Korean J. Radiol. 2012, 13, 307–313. [Google Scholar] [CrossRef]






Disclaimer/Publisher’s Note: The statements, opinions and data contained in all publications are solely those of the individual author(s) and contributor(s) and not of MDPI and/or the editor(s). MDPI and/or the editor(s) disclaim responsibility for any injury to people or property resulting from any ideas, methods, instructions or products referred to in the content. |
© 2024 by the authors. Licensee MDPI, Basel, Switzerland. This article is an open access article distributed under the terms and conditions of the Creative Commons Attribution (CC BY) license (https://creativecommons.org/licenses/by/4.0/).
Share and Cite
Wang, L.; Sanders, J.; Ward, J.F.; Lee, S.R.; Poenisch, F.; Swanson, D.M.; Sahoo, N.; Zhu, X.R.; Ma, J.; Kudchadker, R.J.; et al. A Novel Polymer-Encapsulated Multi-Imaging Modality Fiducial Marker with Positive Signal Contrast for Image-Guided Radiation Therapy. Cancers 2024, 16, 625. https://doi.org/10.3390/cancers16030625
Wang L, Sanders J, Ward JF, Lee SR, Poenisch F, Swanson DM, Sahoo N, Zhu XR, Ma J, Kudchadker RJ, et al. A Novel Polymer-Encapsulated Multi-Imaging Modality Fiducial Marker with Positive Signal Contrast for Image-Guided Radiation Therapy. Cancers. 2024; 16(3):625. https://doi.org/10.3390/cancers16030625
Chicago/Turabian StyleWang, Li, Jeremiah Sanders, John F. Ward, Stephen R. Lee, Falk Poenisch, David Michael Swanson, Narayan Sahoo, Xiaorong Ronald Zhu, Jingfei Ma, Rajat J. Kudchadker, and et al. 2024. "A Novel Polymer-Encapsulated Multi-Imaging Modality Fiducial Marker with Positive Signal Contrast for Image-Guided Radiation Therapy" Cancers 16, no. 3: 625. https://doi.org/10.3390/cancers16030625
APA StyleWang, L., Sanders, J., Ward, J. F., Lee, S. R., Poenisch, F., Swanson, D. M., Sahoo, N., Zhu, X. R., Ma, J., Kudchadker, R. J., Choi, S. L., Nguyen, Q.-N., Mayo, L. L., Shah, S. J., & Frank, S. J. (2024). A Novel Polymer-Encapsulated Multi-Imaging Modality Fiducial Marker with Positive Signal Contrast for Image-Guided Radiation Therapy. Cancers, 16(3), 625. https://doi.org/10.3390/cancers16030625

