Advances for Managing Pancreatic Cystic Lesions: Integrating Imaging and AI Innovations
Simple Summary
Abstract
1. Introduction
1.1. Challenges in Early Diagnosis of PDAC
1.2. The Potential Role of Artificial Intelligence (AI) in Pancreatic Diseases
2. Pancreatic Cystic Lesions (PCLs)
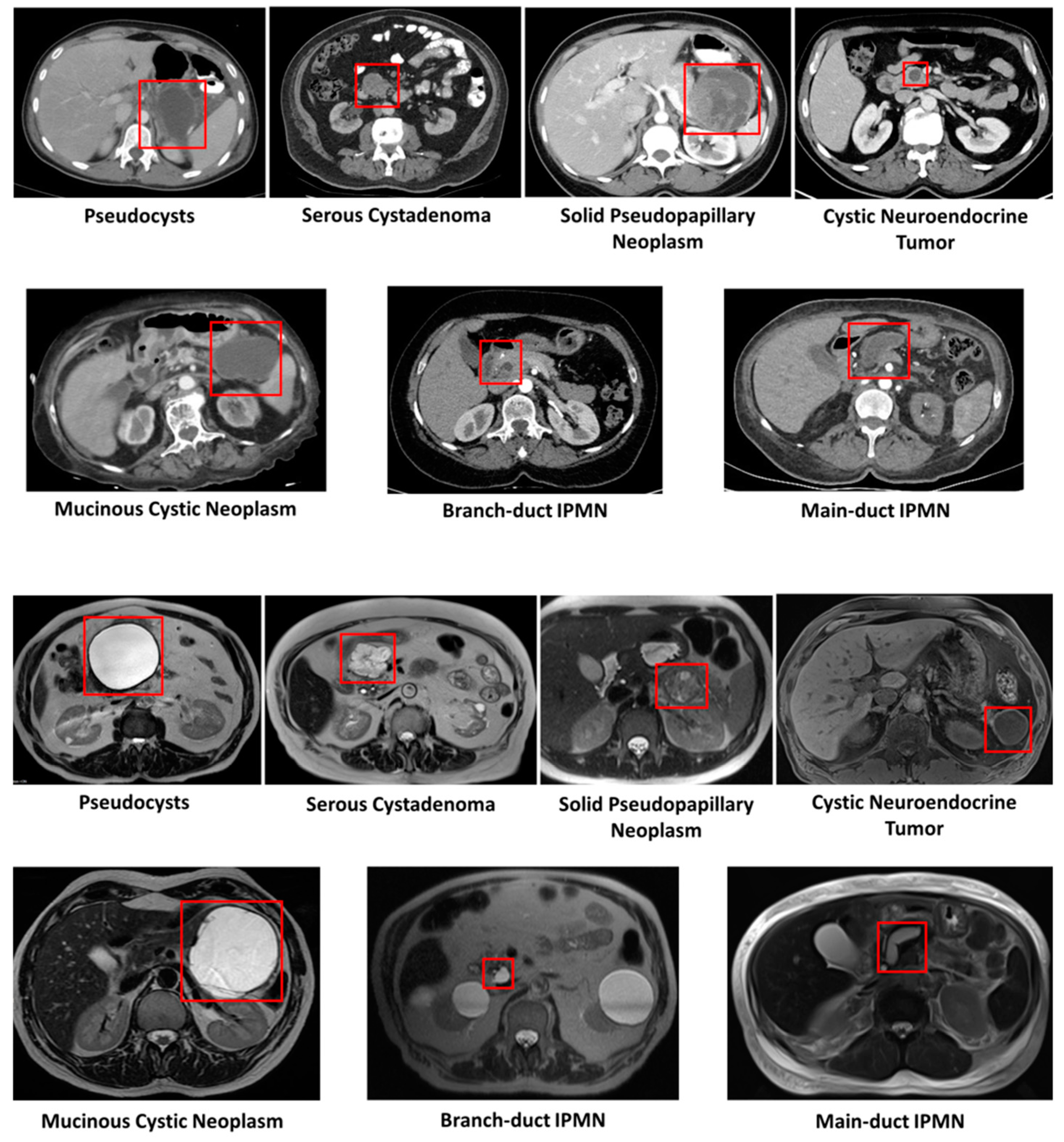
2.1. Clinical and Histopathologic Properties of PCLs
2.2. Radiological Properties of PCLs
3. Current Guidelines for PLC Management
3.1. History and Development of PCL Guidelines
3.2. Overlapping Radiological Risk Factors in PCL Guidelines
3.3. Other Common Risk Factors in PCL Guidelines
3.4. Future Development of Guidelines
3.5. Differing Views in PCL Guidelines
4. Imaging (Radiologic) Tests for PCL Evaluation
4.1. Current Guideline Recommendations for Non-Invasive Imaging
4.2. Current Guideline Recommendations for EUS
4.3. Future Development for Imaging
5. Artificial Intelligence for PCL Management
5.1. CT-Based Studies (Segmentation and Diagnosis)
5.1.1. Segmentation of Pancreas from CT
5.1.2. CT-Based PCL Diagnosis with AI and Radiomics
5.1.3. MRI-Based Studies (Segmentation and Diagnosis)
5.1.4. Segmentation of Pancreas from MRI
5.1.5. MRI-Based PCL Diagnosis with AI and Radiomics
5.1.6. EUS-Based Studies (Segmentation and Diagnosis)
5.1.7. Auto-Segmentation of Pancreatic Cysts from EUS
5.1.8. EUS-Based PCL Diagnosis (Classification)
6. Discussion and Future Prospects
- (1)
- Data scarcity: Obtaining high-quality, labeled datasets for training DL models is a hurdle. Limited data can restrict the model’s ability to generalize effectively and accurately identify subtle early-stage cysts and predict their progress into pancreatic cancer.
- (2)
- Tumor Heterogeneity: Pancreatic cysts exhibit a high degree of variability in their appearance. DL models require vast amounts of diverse data to learn the nuances that differentiate high-risk and low-risk cysts, as well as high-risk cysts versus pancreatic cancerous tumors.
- (3)
- Biological Complexity: Pancreatic cancer is a complex disease driven by intricate biological processes. DL models, while powerful, primarily focus on image features. Integrating additional clinical data, like genetic information, could enhance their ability to detect early signs of the disease.
7. Conclusions
Author Contributions
Funding
Institutional Review Board Statement
Conflicts of Interest
References
- National Cancer Institute Surveillance, Epidemiology, and End Results Program. Cancer Stat Facts: Pancreatic Cancer. Available online: https://seer.cancer.gov/statfacts/html/pancreas.html (accessed on 11 October 2024).
- Stoffel, E.M.; Brand, R.E.; Goggins, M. Pancreatic Cancer: Changing Epidemiology and New Approaches to Risk Assessment, Early Detection, and Prevention. Gastroenterology 2023, 164, 752–765. [Google Scholar] [CrossRef] [PubMed]
- GBD2017 Pancreatic Cancer Collaborators. The global, regional, and national burden of pancreatic cancer and its attributable risk factors in 195 countries and territories, 1990–2017: A systematic analysis for the Global Burden of Disease Study 2017. Lancet Gastroenterol. Hepatol. 2019, 4, 934–947. [Google Scholar] [CrossRef] [PubMed]
- Gaddam, S.; Abboud, Y.; Oh, J.; Samaan, J.S.; Nissen, N.N.; Lu, S.C.; Lo, S.K. Incidence of Pancreatic Cancer by Age and Sex in the US, 2000-2018. JAMA 2021, 326, 2075–2077. [Google Scholar] [CrossRef] [PubMed]
- Huang, B.Z.; Liu, L.; Zhang, J.; Pandol, S.J.; Grossman, S.R.; Setiawan, V.W.; Okwo, C.; Han, B.; Lenz, H.-J.; Hill, R. Rising Incidence and Racial Disparities of Early-Onset Pancreatic Cancer in the United States, 1995–2018. Gastroenterology 2022, 163, 310–312.e1. [Google Scholar] [CrossRef] [PubMed]
- Siegel, R.L.; Miller, K.D.; Wagle, N.S.; Jemal, A. Cancer statistics, 2023. CA Cancer J. Clin. 2023, 73, 17–48. [Google Scholar] [CrossRef]
- Blackford, A.L.; Canto, M.I.; Klein, A.P.; Hruban, R.H.; Goggins, M. Recent Trends in the Incidence and Survival of Stage 1A Pancreatic Cancer: A Surveillance, Epidemiology, and End Results Analysis. JNCI J. Natl. Cancer Inst. 2020, 112, 1162–1169. [Google Scholar] [CrossRef]
- Wood, L.D.; Yurgelun, M.B.; Goggins, M.G. Genetics of Familial and Sporadic Pancreatic Cancer. Gastroenterology 2019, 156, 2041–2055. [Google Scholar] [CrossRef]
- Jiang, J.; Chao, W.-L.; Culp, S.; Krishna, S.G. Artificial Intelligence in the Diagnosis and Treatment of Pancreatic Cystic Lesions and Adenocarcinoma. Cancers 2023, 15, 2410. [Google Scholar] [CrossRef]
- Ayoub, F.; Davis, A.M.; Chapman, C.G. Pancreatic Cysts—An Overview and Summary of Society Guidelines, 2021. JAMA 2021, 325, 391–392. [Google Scholar] [CrossRef]
- Tanaka, M.; Fernández-del Castillo, C.; Kamisawa, T.; Jang, J.Y.; Levy, P.; Ohtsuka, T.; Salvia, R.; Shimizu, Y.; Tada, M.; Wolfgang, C.L. Revisions of international consensus Fukuoka guidelines for the management of IPMN of the pancreas. Pancreatology 2017, 17, 738–753. [Google Scholar] [CrossRef]
- Ohtsuka, T.; Castillo, C.F.-D.; Furukawa, T.; Hijioka, S.; Jang, J.-Y.; Lennon, A.M.; Miyasaka, Y.; Ohno, E.; Salvia, R.; Wolfgang, C.L.; et al. International evidence-based Kyoto guidelines for the management of intraductal papillary mucinous neoplasm of the pancreas. Pancreatology 2023, 24, 255–270. [Google Scholar] [CrossRef] [PubMed]
- Zerboni, G.; Signoretti, M.; Crippa, S.; Falconi, M.; Arcidiacono, P.G.; Capurso, G. Systematic review and meta-analysis: Prevalence of incidentally detected pancreatic cystic lesions in asymptomatic individuals. Pancreatology 2018, 19, 2–9. [Google Scholar] [CrossRef] [PubMed]
- Kromrey, M.-L.; Bülow, R.; Hübner, J.; Paperlein, C.; Lerch, M.M.; Ittermann, T.; Völzke, H.; Mayerle, J.; Kühn, J.-P. Prospective study on the incidence, prevalence and 5-year pancreatic-related mortality of pancreatic cysts in a population-based study. Gut 2017, 67, 138–145. [Google Scholar] [CrossRef] [PubMed]
- Hu, F.; Hu, Y.; Wang, D.; Ma, X.; Yue, Y.; Tang, W.; Liu, W.; Wu, P.; Peng, W.; Tong, T. Cystic Neoplasms of the Pancreas: Differential Diagnosis and Radiology Correlation. Front. Oncol. 2022, 12, 860740. [Google Scholar] [CrossRef] [PubMed]
- Sahani, D.V.; Kambadakone, A.; Macari, M.; Takahashi, N.; Chari, S.; Castillo, C.F.-D. Diagnosis and Management of Cystic Pancreatic Lesions. Am. J. Roentgenol. 2013, 200, 343–354. [Google Scholar] [CrossRef] [PubMed]
- Brugge, W.R. Diagnosis and management of cystic lesions of the pancreas. J. Gastrointest. Oncol. 2015, 6, 375–388. [Google Scholar] [CrossRef]
- Ardeshna, D.R.; Cao, T.; Rodgers, B.; Onongaya, C.; Jones, D.; Chen, W.; Koay, E.J.; Krishna, S.G. Recent advances in the diagnostic evaluation of pancreatic cystic lesions. World J. Gastroenterol. 2022, 28, 624–634. [Google Scholar] [CrossRef]
- Scheiman, J.M.; Hwang, J.H.; Moayyedi, P. American Gastroenterological Association Technical Review on the Diagnosis and Management of Asymptomatic Neoplastic Pancreatic Cysts. Gastroenterology 2015, 148, 824–848.e22. [Google Scholar] [CrossRef]
- LeCun, Y.; Bengio, Y.; Hinton, G. Deep learning. Nature 2015, 521, 436–444. [Google Scholar] [CrossRef]
- Zhang, Z.; Yao, L.; Keles, E.; Velichko, Y.; Bagci, U. Deep Learning Algorithms for Pancreas Segmentation from Radiology Scans. Adv. Clin. Radiol. 2023, 5, 31–52. [Google Scholar] [CrossRef]
- Hussein, S.; Kandel, P.; Bolan, C.W.; Wallace, M.B.; Bagci, U. Lung and Pancreatic Tumor Characterization in the Deep Learning Era: Novel Supervised and Unsupervised Learning Approaches. IEEE Trans. Med. Imaging 2019, 38, 1777–1787. [Google Scholar] [CrossRef] [PubMed]
- Liu, K.-L.; Wu, T.; Chen, P.-T.; Tsai, Y.M.; Roth, H.; Wu, M.-S.; Liao, W.-C.; Wang, W. Deep learning to distinguish pancreatic cancer tissue from non-cancerous pancreatic tissue: A retrospective study with cross-racial external validation. Lancet Digit. Health 2020, 2, e303–e313. [Google Scholar] [CrossRef] [PubMed]
- Yao, L.; Zhang, Z.; Keles, E.; Yazici, C.; Tirkes, T.; Bagci, U. A review of deep learning and radiomics approaches for pancreatic cancer diagnosis from medical imaging. Curr. Opin. Gastroenterol. 2023, 39, 436–447. [Google Scholar] [CrossRef] [PubMed]
- Wu, J.; Wang, Y.; Li, Z.; Miao, H. Accuracy of Fukuoka and American Gastroenterological Association Guidelines for Predicting Advanced Neoplasia in Pancreatic Cyst Neoplasm: A Meta-Analysis. Ann. Surg. Oncol. 2019, 26, 4522–4536. [Google Scholar] [CrossRef]
- Buerlein, R.C.; Shami, V.M. Management of pancreatic cysts and guidelines: What the gastroenterologist needs to know. Ther. Adv. Gastrointest. Endosc. 2021, 14, 26317745211045769. [Google Scholar] [CrossRef]
- Gonda, T.A.; Cahen, D.L.; Farrell, J.J. Pancreatic Cysts. N. Engl. J. Med. 2024, 391, 832–843. [Google Scholar] [CrossRef]
- Jones, M.; Buchanan, A.; Neal, C.; Dennison, A.; Metcalfe, M.; Garcea, G. Imaging of indeterminate pancreatic cystic lesions: A systematic review. Pancreatology 2013, 13, 436–442. [Google Scholar] [CrossRef]
- Abdelkader, A.; Hunt, B.; Hartley, C.P.; Panarelli, N.C.; Giorgadze, T. Cystic Lesions of the Pancreas: Differential Diagnosis and Cytologic-Histologic Correlation. Arch. Pathol. Lab. Med. 2019, 144, 47–61. [Google Scholar] [CrossRef]
- Elta, G.H.; Enestvedt, B.K.; Sauer, B.G.; Lennon, A.M. ACG Clinical Guideline: Diagnosis and Management of Pancreatic Cysts. Am. J. Gastroenterol. 2018, 113, 464–479. [Google Scholar] [CrossRef]
- Caglià, P.; Cannizzaro, M.T.; Tracia, A.; Amodeo, L.; Tracia, L.; Buffone, A.; Amodeo, C.; Cannizzaro, M.A. Cystic pancreatic neuroendocrine tumors: To date a diagnostic challenge. Int. J. Surg. 2015, 21, S44–S49. [Google Scholar] [CrossRef]
- van Huijgevoort, N.C.M.; del Chiaro, M.; Wolfgang, C.L.; van Hooft, J.E.; Besselink, M.G. Diagnosis and management of pancreatic cystic neoplasms: Current evidence and guidelines. Nat. Rev. Gastroenterol. Hepatol. 2019, 16, 676–689. [Google Scholar] [CrossRef] [PubMed]
- Nilsson, L.N.; Keane, M.G.; Shamali, A.; Bocos, J.M.; van Zanten, M.M.; Antila, A.; Gil, C.V.; Del Chiaro, M.; Laukkarinen, J. Nature and management of pancreatic mucinous cystic neoplasm (MCN): A systematic review of the literature. Pancreatology 2016, 16, 1028–1036. [Google Scholar] [CrossRef] [PubMed]
- Compagno, J.; Oertel, J.E. Mucinous Cystic Neoplasms of the Pancreas with Overt and Latent Malignancy (Cystadenocarcinoma and Cystadenoma): A Clinicopathologic Study of 41 Cases. Am. J. Clin. Pathol. 1978, 69, 573–580. [Google Scholar] [CrossRef] [PubMed]
- Yamao, K.; Yanagisawa, A.; Takahashi, K.; Kimura, W.; Doi, R.; Fukushima, N.; Ohike, N.; Shimizu, M.; Hatori, T.; Nobukawa, B.; et al. Clinicopathological Features and Prognosis of Mucinous Cystic Neoplasm With Ovarian-Type Stroma. Pancreas 2011, 40, 67–71. [Google Scholar] [CrossRef]
- Goh, B.K.P.; Tan, Y.; Chung, Y.A.; Chow, P.K.H.; Cheow, P.; Wong, W.; Ooi, L.L.P.J. A Review of Mucinous Cystic Neoplasms of the Pancreas Defined by Ovarian-type Stroma: Clinicopathological Features of 344 Patients. World J. Surg. 2006, 30, 2236–2245. [Google Scholar] [CrossRef]
- Park, J.W.; Jang, J.-Y.; Kang, M.J.; Kwon, W.; Chang, Y.R.; Kim, S.-W. Mucinous cystic neoplasm of the pancreas: Is surgical resection recommended for all surgically fit patients? Pancreatology 2014, 14, 131–136. [Google Scholar] [CrossRef]
- Postlewait, L.M.; Ethun, C.G.; McInnis, M.R.; Merchant, N.; Parikh, A.; Idrees, K.; Isom, C.A.; Hawkins, W.; Fields, R.C.; Strand, M.; et al. Association of Preoperative Risk Factors with Malignancy in Pancreatic Mucinous Cystic Neoplasms. JAMA Surg. 2017, 152, 19–25. [Google Scholar] [CrossRef]
- Miller, F.H.; Vendrami, C.L.; Recht, H.S.; Wood, C.G.; Mittal, P.; Keswani, R.N.; Gabriel, H.; Borhani, A.A.; Nikolaidis, P.; Hammond, N.A. Pancreatic Cystic Lesions and Malignancy: Assessment, Guidelines, and the Field Defect. RadioGraphics 2022, 42, 87–105. [Google Scholar] [CrossRef]
- Chang, Y.R.; Park, J.K.; Jang, J.-Y.; Kwon, W.; Yoon, J.H.; Kim, S.-W. Incidental pancreatic cystic neoplasms in an asymptomatic healthy population of 21,745 individuals. Medicine 2016, 95, e5535. [Google Scholar] [CrossRef]
- Tanaka, S.; Tsujimae, M.; Masuda, A.; Inoue, J.; Inomata, N.; Uemura, H.; Kohashi, S.; Nagao, K.; Masuda, S.; Abe, S.; et al. Metabolic Syndrome Accelerates the Age-Related Increase of Intraductal Papillary Mucinous Neoplasm of the Pancreas. Pancreas 2023, 53, e9–e15. [Google Scholar] [CrossRef]
- Levink, I.; Bruno, M.; Cahen, D. Management of Intraductal Papillary Mucinous Neoplasms: Controversies in Guidelines and Future Perspectives. Curr. Treat. Options Gastroenterol. 2018, 16, 316–332. [Google Scholar] [CrossRef] [PubMed]
- Hackert, T.; Fritz, S.; Klauss, M.; Bergmann, F.; Hinz, U.M.; Strobel, O.; Schneider, L.; Büchler, M.W. Main-duct Intraductal Papillary Mucinous Neoplasm. Ann. Surg. 2015, 262, 875–881. [Google Scholar] [CrossRef] [PubMed]
- Shimizu, Y.; Yamaue, H.; Maguchi, H.; Yamao, K.; Hirono, S.; Osanai, M.; Hijioka, S.; Hosoda, W.; Nakamura, Y.; Shinohara, T.; et al. Predictors of Malignancy in Intraductal Papillary Mucinous Neoplasm of the Pancreas. Pancreas 2013, 42, 883–888. [Google Scholar] [CrossRef] [PubMed]
- Tanaka, M.; Chari, S.; Adsay, V.; Castillo, F.-D.C.; Falconi, M.; Shimizu, M.; Yamaguchi, K.; Yamao, K.; Matsuno, S. International Consensus Guidelines for Management of Intraductal Papillary Mucinous Neoplasms and Mucinous Cystic Neoplasms of the Pancreas. Pancreatology 2006, 6, 17–32. [Google Scholar] [CrossRef]
- Tanaka, M.; Fernández-del Castillo, C.; Adsay, V.; Chari, S.; Falconi, M.; Jang, J.-Y.; Kimura, W.; Levy, P.; Pitman, M.B.; Schmidt, C.M.; et al. International consensus guidelines 2012 for the management of IPMN and MCN of the pancreas. Pancreatology 2012, 12, 183–197. [Google Scholar] [CrossRef]
- Del Chiaro, M.; Verbeke, C.; Salvia, R.; Klöppel, G.; Werner, J.; McKay, C.; Friess, H.; Manfredi, R.; Van Cutsem, E.; Löhr, M.; et al. European experts consensus statement on cystic tumours of the pancreas. Dig. Liver Dis. 2013, 45, 703–711. [Google Scholar] [CrossRef]
- European Study Group on Cystic Tumours of the Pancreas. European evidence-based guidelines on pancreatic cystic neoplasms. Gut 2018, 67, 789–804. [Google Scholar] [CrossRef]
- Vege, S.S.; Ziring, B.; Jain, R.; Moayyedi, P.; Adams, M.A.; Dorn, S.D.; Dudley-Brown, S.L.; Flamm, S.L.; Gellad, Z.F.; Gruss, C.B.; et al. American gastroenterological association institute guideline on the diagnosis and management of asymptomatic neoplastic pancreatic cysts. Gastroenterology 2015, 148, 819–822. [Google Scholar] [CrossRef]
- Megibow, A.J.; Baker, M.E.; Morgan, D.E.; Kamel, I.R.; Sahani, D.V.; Newman, E.; Brugge, W.R.; Berland, L.L.; Pandharipande, P.V. Management of Incidental Pancreatic Cysts: A White Paper of the ACR Incidental Findings Committee. J. Am. Coll. Radiol. 2017, 14, 911–923. [Google Scholar] [CrossRef]
- Goggins, M.; Overbeek, K.A.; Brand, R.; Syngal, S.; Del Chiaro, M.; Bartsch, D.K.; Bassi, C.; Carrato, A.; Farrell, J.; Fishman, E.K.; et al. Management of patients with increased risk for familial pancreatic cancer: Updated recommendations from the International Cancer of the Pancreas Screening (CAPS) Consortium. Gut 2019, 69, 7–17. [Google Scholar] [CrossRef]
- Anand, N.; Sampath, K.; Wu, B.U. Cyst Features and Risk of Malignancy in Intraductal Papillary Mucinous Neoplasms of the Pancreas: A Meta-Analysis. Clin. Gastroenterol. Hepatol. 2013, 11, 913–921. [Google Scholar] [CrossRef] [PubMed]
- Chari, S.T.; Kelly, K.; Hollingsworth, M.A.; Thayer, S.P.; Ahlquist, D.A.; Andersen, D.K.; Batra, S.K.; Brentnall, T.A.; Canto, M.; Cleeter, D.F.; et al. Early Detection of Sporadic Pancreatic Cancer. Pancreas 2015, 44, 693–712. [Google Scholar] [CrossRef] [PubMed]
- Rockacy, M.; Khalid, A. Update on pancreatic cyst fluid analysis. Ann. Gastroenterol. 2013, 26, 122–127. [Google Scholar] [PubMed]
- van der Waaij, L.A.; van Dullemen, H.M.; Porte, R.J. Cyst fluid analysis in the differential diagnosis of pancreatic cystic lesions: A pooled analysis. Gastrointest. Endosc. 2005, 62, 383–389. [Google Scholar] [CrossRef]
- Lopes, C.V. Cyst fluid glucose: An alternative to carcinoembryonic antigen for pancreatic mucinous cysts. World J. Gastroenterol. 2019, 25, 2271–2278. [Google Scholar] [CrossRef]
- McCarty, T.R.; Garg, R.; Rustagi, T. Pancreatic cyst fluid glucose in differentiating mucinous from nonmucinous pancreatic cysts: A systematic review and meta-analysis. Gastrointest. Endosc. 2021, 94, 698–712.e6. [Google Scholar] [CrossRef]
- Ribaldone, D.G.; Bruno, M.; Gaia, S.; Cantamessa, A.; Bragoni, A.; Caropreso, P.; Sacco, M.; Fagoonee, S.; Saracco, G.M.; De Angelis, C. Differential diagnosis of pancreatic cysts: A prospective study on the role of intra-cystic glucose concentration. Dig. Liver Dis. 2020, 52, 1026–1032. [Google Scholar] [CrossRef]
- Singhi, A.D.; McGrath, K.; Brand, R.E.; Khalid, A.; Zeh, H.J.; Chennat, J.S.; Fasanella, K.E.; Papachristou, G.I.; Slivka, A.; Bartlett, D.L.; et al. Preoperative next-generation sequencing of pancreatic cyst fluid is highly accurate in cyst classification and detection of advanced neoplasia. Gut 2017, 67, 2131–2141. [Google Scholar] [CrossRef]
- Rift, C.V.; Melchior, L.C.; Scheie, D.; Hansen, C.P.; Lund, E.L.; Hasselby, J.P. Molecular heterogeneity of pancreatic intraductal papillary mucinous neoplasms and implications for novel endoscopic tissue sampling strategies. J. Clin. Pathol. 2021, 75, 681–686. [Google Scholar] [CrossRef]
- McCarty, T.R.; Paleti, S.; Rustagi, T. Molecular analysis of EUS-acquired pancreatic cyst fluid for KRAS and GNAS mutations for diagnosis of intraductal papillary mucinous neoplasia and mucinous cystic lesions: A systematic review and meta-analysis. Gastrointest. Endosc. 2020, 93, 1019–1033.e5. [Google Scholar] [CrossRef]
- Aziz, H.; Acher, A.W.; Krishna, S.G.; Cloyd, J.M.; Pawlik, T.M. Comparison of Society Guidelines for the Management and Surveillance of Pancreatic Cysts. JAMA Surg. 2022, 157, 723–730. [Google Scholar] [CrossRef] [PubMed]
- Lobo, J.M.; Scheiman, J.M.; Zaydfudim, V.M.; Shami, V.M.; Sauer, B.G. Clinical and Economic Outcomes of Patients Undergoing Guideline-Directed Management of Pancreatic Cysts. Am. J. Gastroenterol. 2020, 115, 1689–1697. [Google Scholar] [CrossRef] [PubMed]
- Kwong, W.T.; Hunt, G.C.; Fehmi, S.M.; Honerkamp-Smith, G.; Xu, R.; Lawson, R.D.; Tang, R.S.; Gonzalez, I.; Krinsky, M.L.; Giap, A.; et al. Low Rates of Malignancy and Mortality in Asymptomatic Patients with Suspected Neoplastic Pancreatic Cysts Beyond 5 Years of Surveillance. Clin. Gastroenterol. Hepatol. 2016, 14, 865–871. [Google Scholar] [CrossRef] [PubMed]
- Sahora, K.; Mino-Kenudson, M.; Brugge, W.; Thayer, S.P.; Ferrone, C.R.; Sahani, D.; Pitman, M.B.; Warshaw, A.L.; Lillemoe, K.D.; Fernandez-del Castillo, C.F. Branch Duct Intraductal Papillary Mucinous Neoplasms: Does cyst size change the tip of the scale? A critical analysis of the revised international consensus guidelines in a large single-institutional series. Ann. Surg. 2013, 258, 466–475. [Google Scholar] [CrossRef] [PubMed]
- Valsangkar, N.P.; Morales-Oyarvide, V.; Thayer, S.P.; Ferrone, C.R.; Wargo, J.A.; Warshaw, A.L.; Fernandez-del Castillo, C. 851 resected cystic tumors of the pancreas: A 33-year experience at the Massachusetts General Hospital. Surgery 2012, 152, S4–S12. [Google Scholar] [CrossRef]
- Lekkerkerker, S.J.; Besselink, M.G.; Busch, O.R.; Verheij, J.; Engelbrecht, M.R.; Rauws, E.A.; Fockens, P.; van Hooft, J.E. Comparing 3 guidelines on the management of surgically removed pancreatic cysts with regard to pathological outcome. Gastrointest. Endosc. 2017, 85, 1025–1031. [Google Scholar] [CrossRef]
- Conroy, T.; Pfeiffer, P.; Vilgrain, V.; Lamarca, A.; Seufferlein, T.; O’reilly, E.; Hackert, T.; Golan, T.; Prager, G.; Haustermans, K.; et al. Pancreatic cancer: ESMO Clinical Practice Guideline for diagnosis, treatment and follow-up. Ann. Oncol. 2023, 34, 987–1002. [Google Scholar] [CrossRef]
- Correa-Gallego, C.; Miyasaka, Y.; Hozaka, Y.; Nishino, H.; Kawamoto, M.; Vieira, D.L.; Ohtsuka, T.; Wolfgang, C. Surveillance after resection of non-invasive intraductal papillary mucinous neoplasms (IPMN). A systematic review. Pancreatology 2023, 23, 258–265. [Google Scholar] [CrossRef]
- Min, J.H.; Kim, Y.K.; Kim, S.K.; Kim, H.; Ahn, S. Intraductal papillary mucinous neoplasm of the pancreas: Diagnostic performance of the 2017 international consensus guidelines using CT and MRI. Eur. Radiol. 2021, 31, 4774–4784. [Google Scholar] [CrossRef]
- Raut, C.P.; Grau, A.M.; Staerkel, G.A.; Kaw, M.; Tamm, E.P.; Wolff, R.A.; Vauthey, J.N.; Lee, J.E.; Pisters, P.W.T.; Evans, D.B. Diagnostic Accuracy of Endoscopic Ultrasound–Guided Fine-Needle Aspiration in Patients with Presumed Pancreatic Cancer. J. Gastrointest. Surg. 2003, 7, 118–128. [Google Scholar] [CrossRef]
- Du, C.; Chai, N.-L.; Linghu, E.-Q.; Li, H.-K.; Sun, L.-H.; Jiang, L.; Wang, X.-D.; Tang, P.; Yang, J. Comparison of endoscopic ultrasound, computed tomography and magnetic resonance imaging in assessment of detailed structures of pancreatic cystic neoplasms. World J. Gastroenterol. 2017, 23, 3184–3192. [Google Scholar] [CrossRef] [PubMed]
- Tirkes, T.; Aisen, A.M.; Cramer, H.M.; Zyromski, N.J.; Sandrasegaran, K.; Akisik, F. Cystic neoplasms of the pancreas; findings on magnetic resonance imaging with pathological, surgical, and clinical correlation. Abdom. Imaging 2014, 39, 1088–1101. [Google Scholar] [CrossRef] [PubMed]
- Kim, J.H.; Eun, H.W.; Park, H.-J.; Hong, S.S.; Kim, Y.J. Diagnostic performance of MRI and EUS in the differentiation of benign from malignant pancreatic cyst and cyst communication with the main duct. Eur. J. Radiol. 2012, 81, 2927–2935. [Google Scholar] [CrossRef]
- Zhong, L.; Chai, N.; Linghu, E.; Li, H.; Yang, J.; Tang, P. A Prospective Study on Contrast-Enhanced Endoscopic Ultrasound for Differential Diagnosis of Pancreatic Cystic Neoplasms. Dig. Dis. Sci. 2019, 64, 3616–3622. [Google Scholar] [CrossRef]
- Konjeti, V.R.; McCarty, T.R.; Rustagi, T. Needle-based Confocal Laser Endomicroscopy (nCLE) for Evaluation of Pancreatic Cystic Lesions. J. Clin. Gastroenterol. 2020, 56, 72–80. [Google Scholar] [CrossRef]
- Krishna, S.G.; Hart, P.A.; DeWitt, J.M.; DiMaio, C.J.; Kongkam, P.; Napoleon, B.; Othman, M.O.; Tan, D.M.Y.; Strobel, S.G.; Stanich, P.P.; et al. EUS-guided confocal laser endomicroscopy: Prediction of dysplasia in intraductal papillary mucinous neoplasms (with video). Gastrointest. Endosc. 2019, 91, 551–563.e5. [Google Scholar] [CrossRef]
- Machicado, J.D.; Chao, W.-L.; Carlyn, D.E.; Pan, T.-Y.; Poland, S.; Alexander, V.L.; Maloof, T.G.; Dubay, K.; Ueltschi, O.; Middendorf, D.M.; et al. High performance in risk stratification of intraductal papillary mucinous neoplasms by confocal laser endomicroscopy image analysis with convolutional neural networks (with video). Gastrointest. Endosc. 2021, 94, 78–87.e2. [Google Scholar] [CrossRef]
- Tacelli, M.; Celsa, C.; Magro, B.; Barchiesi, M.; Barresi, L.; Capurso, G.; Arcidiacono, P.G.; Cammà, C.; Crinò, S.F. Diagnostic performance of endoscopic ultrasound through-the-needle microforceps biopsy of pancreatic cystic lesions: Systematic review with meta-analysis. Dig. Endosc. 2020, 32, 1018–1030. [Google Scholar] [CrossRef]
- Oktay, O.; Schlemper, J.; Le Folgoc, L.; Lee, M.; Heinrich, M.; Misawa, K.; Mori, K.; McDonagh, S.; Hammerla, N.Y.; Kainz, B.; et al. Attention u-net: Learning where to look for the pancreas. arXiv 2018, arXiv:1804.03999. [Google Scholar]
- Ning, Y.; Han, Z.; Zhong, L.; Zhang, C. Automated Pancreas Segmentation Using Recurrent Adversarial Learning. In Proceedings of the 2018 IEEE International Conference on Bioinformatics and Biomedicine (BIBM), Madrid, Spain, 3–6 December 2018; pp. 927–934. [Google Scholar]
- Zhao, N.; Tong, N.; Ruan, D.; Sheng, K. Fully Automated Pancreas Segmentation with Two-Stage 3D Convolutional Neural Networks. In Proceedings of the International Conference on Medical Image Computing and Computer-Assisted Intervention, Shenzhen, China, 13–17 October 2019; Springer: Berlin/Heidelberg, Germany, 2019; pp. 201–209. [Google Scholar] [CrossRef]
- Lim, S.-H.; Kim, Y.J.; Park, Y.-H.; Kim, D.; Kim, K.G.; Lee, D.-H. Automated pancreas segmentation and volumetry using deep neural network on computed tomography. Sci. Rep. 2022, 12, 4075. [Google Scholar] [CrossRef]
- Cai, J.; Lu, L.; Xie, Y.; Xing, F.; Yang, L. Pancreas segmentation in MRI using graph-based decision fusion on convolutional neural networks. In Proceedings of the Medical Image Computing and Computer Assisted Intervention—MICCAI 2017: 20th International Conference, Quebec City, QC, Canada, 11–13 September 2017; Proceedings, Part III, 20. Springer: Berlin/Heidelberg, Germany, 2017; pp. 674–682. [Google Scholar]
- Cai, J.; Lu, L.; Xie, Y.; Xing, F.; Yang, L. Improving Deep Pancreas Segmentation in CT and MRI Images via Recurrent Neural Contextual Learning and Direct Loss Function. arXiv 2017, arXiv:1707.04912. [Google Scholar]
- Asaturyan, H.; Thomas, E.L.; Fitzpatrick, J.; Bell, J.D.; Villarini, B. Advancing Pancreas Segmentation in Multi-protocol MRI Volumes Using Hausdorff-Sine Loss Function. In Machine Learning in Medical Imaging, Proceedings of 10th International Workshop, MLMI 2019, Held in Conjunction with MICCAI 2019, Shenzhen, China, 13 October 2019; Lecture Notes in Computer Science; Springer: Cham, Switzerland, 2019; Volume 11861 LNCS, pp. 27–35. [Google Scholar]
- Salanitri, F.P.; Bellitto, G.; Irmakci, I.; Palazzo, S.; Bagci, U.; Spampinato, C. Hierarchical 3D feature learning forpancreas segmentation. In Proceedings of the Machine Learning in Medical Imaging: 12th International Workshop, MLMI 2021, Held in Conjunction with MICCAI 2021, Strasbourg, France, 27 September 2021; Proceedings 12. Springer: Berlin/Heidelberg, Germany, 2021; pp. 238–247. [Google Scholar]
- Zhang, Z.; Keles, E.; Durak, G.; Taktak, Y.; Susladkar, O.; Gorade, V.; Jha, D.; Ormeci, A.C.; Medetalibeyoglu, A.; Yao, L.; et al. Large-scale multi-center CT and MRI segmentation of pancreas with deep learning. Med. Image Anal. 2024, 99, 103382. [Google Scholar] [CrossRef] [PubMed]
- Clark, K.; Vendt, B.; Smith, K.; Freymann, J.; Kirby, J.; Koppel, P.; Moore, S.; Phillips, S.; Maffitt, D.; Pringle, M.; et al. The Cancer Imaging Archive (TCIA): Maintaining and Operating a Public Information Repository. J. Digit. Imaging 2013, 26, 1045–1057. [Google Scholar] [CrossRef] [PubMed]
- Antonelli, M.; Reinke, A.; Bakas, S.; Farahani, K.; Kopp-Schneider, A.; Landman, B.A.; Litjens, G.; Menze, B.; Ronneberger, O.; Summers, R.M.; et al. The Medical Segmentation Decathlon. Nat. Commun. 2022, 13, 4128. [Google Scholar] [CrossRef]
- Ji, Y.; Bai, H.; Yang, J.; Ge, C.; Zhu, Y.; Zhang, R.; Li, Z.; Zhang, L.; Ma, W.; Wan, X.; et al. Amos: A large-scale abdominal multi-organ benchmark for versatile medical image segmentation. Adv. Neural Inf. Process. Syst. 2022, 35, 36722–36732. [Google Scholar]
- Ma, J.; Zhang, Y.; Gu, S.; Zhu, C.; Ge, C.; Zhang, Y.; An, X.; Wang, C.; Wang, Q.; Liu, X.; et al. AbdomenCT-1K: Is Abdominal Organ Segmentation a Solved Problem? IEEE Trans. Pattern Anal. Mach. Intell. 2021, 44, 6695–6714. [Google Scholar] [CrossRef]
- Luo, X.; Liao, W.; Xiao, J.; Chen, J.; Song, T.; Zhang, X.; Li, K.; Metaxas, D.N.; Wang, G.; Zhang, S. WORD: A large scale dataset, benchmark and clinical applicable study for abdominal organ segmentation from CT image. Med. Image Anal. 2022, 82, 102642. [Google Scholar] [CrossRef]
- Roth, H.R.; Lu, L.; Farag, A.; Shin, H.-C.; Liu, J.; Turkbey, E.; Summers, R.M. Deeporgan: Multi-level deep convolutional networks for automated pancreas segmentation. In Proceedings of the Medical Image Computing and Computer-Assisted Intervention—MICCAI 2015: 18th International Conference, Munich, Germany, 5–9 October 2015; Proceedings, Part I, 18. Springer: Berlin/Heidelberg, Germany, 2015; pp. 556–564. [Google Scholar]
- Isensee, F.; Jaeger, P.F.; Kohl, S.A.A.; Petersen, J.; Maier-Hein, K.H. nnU-Net: A self-configuring method for deep learning-based biomedical image segmentation. Nat. Methods 2020, 18, 203–211. [Google Scholar] [CrossRef]
- Zhang, Z.; Bagci, U. Dynamic linear transformer for 3D biomedical image segmentation. In Machine Learning in Medical Imaging, Proceedings of 13th International Workshop, MLMI 2022, Held in Conjunction with MICCAI 2022, Singapore, 18 September 2022; Springer: Berlin/Heidelberg, Germany, 2022; pp. 171–180. [Google Scholar]
- Qiu, C.; Liu, Z.; Song, Y.; Yin, J.; Han, K.; Zhu, Y.; Liu, Y.; Sheng, V.S. RTUNet: Residual transformer UNet specifically for pancreas segmentation. Biomed. Signal Process. Control 2022, 79, 104173. [Google Scholar] [CrossRef]
- Dmitriev, K.; Kaufman, A.E.; Javed, A.A.; Hruban, R.H.; Fishman, E.K.; Lennon, A.M.; Saltz, J.H. Classification of Pancreatic Cysts in Computed Tomography Images Using a Random Forest and Convolutional Neural Network Ensemble. In Proceedings of the Medical Image Computing and Computer Assisted Intervention—MICCAI 2017, Quebec City, QC, Canada, 11–13 September 2017; Volume 10435, pp. 150–158. [Google Scholar]
- Liang, W.; Tian, W.; Wang, Y.; Wang, P.; Wang, Y.; Zhang, H.; Ruan, S.; Shao, J.; Zhang, X.; Huang, D.; et al. Classification prediction of pancreatic cystic neoplasms based on radiomics deep learning models. BMC Cancer 2022, 22, 1237. [Google Scholar] [CrossRef]
- Chu, L.C.; Park, S.; Soleimani, S.; Fouladi, D.F.; Shayesteh, S.; He, J.; Javed, A.A.; Wolfgang, C.L.; Vogelstein, B.; Kinzler, K.W.; et al. Classification of pancreatic cystic neoplasms using radiomic feature analysis is equivalent to an experienced academic radiologist: A step toward computer-augmented diagnostics for radiologists. Abdom. Imaging 2022, 47, 4139–4150. [Google Scholar] [CrossRef] [PubMed]
- Permuth, J.B.; Choi, J.; Balarunathan, Y.; Kim, J.; Chen, D.-T.; Chen, L.; Orcutt, S.; Doepker, M.P.; Gage, K.; Zhang, G.; et al. Combining radiomic features with a miRNA classifier may improve prediction of malignant pathology for pancreatic intraductal papillary mucinous neoplasms. Oncotarget 2016, 7, 85785–85797. [Google Scholar] [CrossRef] [PubMed]
- Hanania, A.N.; Bantis, L.E.; Feng, Z.; Wang, H.; Tamm, E.P.; Katz, M.H.; Maitra, A.; Koay, E.J. Quantitative imaging to evaluate malignant potential of IPMNs. Oncotarget 2016, 7, 85776–85784. [Google Scholar] [CrossRef] [PubMed]
- Chakraborty, J.; Midya, A.; Gazit, L.; Attiyeh, M.; Langdon-Embry, L.; Allen, P.J.; Do, R.K.G.; Simpson, A.L. CT radiomics to predict high-risk intraductal papillary mucinous neoplasms of the pancreas. Med. Phys. 2018, 45, 5019–5029. [Google Scholar] [CrossRef]
- Si, K.; Xue, Y.; Yu, X.; Zhu, X.; Li, Q.; Gong, W.; Liang, T.; Duan, S. Fully end-to-end deep-learning-based diagnosis of pancreatic tumors. Theranostics 2021, 11, 1982–1990. [Google Scholar] [CrossRef]
- Chen, X.; Chen, Y.; Ma, C.; Liu, X.; Tang, X. Classification of Pancreatic Tumors based on MRI Images using 3D Convolutional Neural Networks. In Proceedings of the ISICDM 2018: The 2nd International Symposium on Image Computing and Digital Medicine, Chengdu, China, 13–14 October 2018; pp. 92–96. [Google Scholar]
- Cheng, S.; Shi, H.; Lu, M.; Wang, C.; Duan, S.; Xu, Q.; Shi, H. Radiomics Analysis for Predicting Malignant Potential of Intraductal Papillary Mucinous Neoplasms of the Pancreas: Comparison of CT and MRI. Acad. Radiol. 2021, 29, 367–375. [Google Scholar] [CrossRef]
- Corral, J.E.; Hussein, S.; Kandel, P.; Bolan, C.W.; Bagci, U.; Wallace, M.B. Deep Learning to Classify Intraductal Papillary Mucinous Neoplasms Using Magnetic Resonance Imaging. Pancreas 2019, 48, 805–810. [Google Scholar] [CrossRef]
- Cui, S.; Tang, T.; Su, Q.; Wang, Y.; Shu, Z.; Yang, W.; Gong, X. Radiomic nomogram based on MRI to predict grade of branching type intraductal papillary mucinous neoplasms of the pancreas: A multicenter study. Cancer Imaging 2021, 21, 26. [Google Scholar] [CrossRef]
- Salanitri, F.P.; Bellitto, G.; Palazzo, S.; Irmakci, I.; Wallace, M.; Bolan, C.; Engels, M.; Hoogenboom, S.; Aldinucci, M.; Bagci, U.; et al. Neural Transformers for Intraductal Papillary Mucosal Neoplasms (IPMN) Classification in MRI images. In Proceedings of the 2022 44th Annual International Conference of the IEEE Engineering in Medicine & Biology Society (EMBC), Glasgow, UK, 11–15 July 2022; pp. 475–479. [Google Scholar]
- Flammia, F.; Innocenti, T.; Galluzzo, A.; Danti, G.; Chiti, G.; Grazzini, G.; Bettarini, S.; Tortoli, P.; Busoni, S.; Dragoni, G.; et al. Branch duct-intraductal papillary mucinous neoplasms (BD-IPMNs): An MRI-based radiomic model to determine the malignant degeneration potential. La Radiol. Medica 2023, 128, 383–392. [Google Scholar] [CrossRef]
- Yao, L.; Zhang, Z.; Demir, U.; Keles, E.; Vendrami, C.; Agarunov, E.; Bolan, C.; Schoots, I.; Bruno, M.; Keswani, R.; et al. Radiomics Boosts Deep Learning Model for IPMN Classification. Mach. Learn. Med. Imaging 2023, 14349, 134–143. [Google Scholar]
- Oh, S.; Kim, Y.-J.; Park, Y.-T.; Kim, K.-G. Automatic Pancreatic Cyst Lesion Segmentation on EUS Images Using a Deep-Learning Approach. Sensors 2021, 22, 245. [Google Scholar] [CrossRef] [PubMed]
- Kuwahara, T.; Hara, K.; Mizuno, N.; Okuno, N.; Matsumoto, S.; Obata, M.; Kurita, Y.; Koda, H.; Toriyama, K.; Onishi, S.; et al. Usefulness of Deep Learning Analysis for the Diagnosis of Malignancy in Intraductal Papillary Mucinous Neoplasms of the Pancreas. Clin. Transl. Gastroenterol. 2019, 10, e00045. [Google Scholar] [CrossRef] [PubMed]
- Nguon, L.S.; Seo, K.; Lim, J.-H.; Song, T.-J.; Cho, S.-H.; Park, J.-S.; Park, S. Deep Learning-Based Differentiation between Mucinous Cystic Neoplasm and Serous Cystic Neoplasm in the Pancreas Using Endoscopic Ultrasonography. Diagnostics 2021, 11, 1052. [Google Scholar] [CrossRef] [PubMed]
- Vilas-Boas, F.; Ribeiro, T.; Afonso, J.; Cardoso, H.; Lopes, S.; Moutinho-Ribeiro, P.; Ferreira, J.; Mascarenhas-Saraiva, M.; Macedo, G. Deep Learning for Automatic Differentiation of Mucinous versus Non-Mucinous Pancreatic Cystic Lesions: A Pilot Study. Diagnostics 2022, 12, 2041. [Google Scholar] [CrossRef]
- Schulz, D.A.H.O.; Heilmaier, M.; Phillip, V.; Treiber, M.; Mayr, U.; Lahmer, T.; Mueller, J.; Demir, I.E.; Friess, H.; Reichert, M.; et al. Accurate prediction of histological grading of intraductal papillary mucinous neoplasia using deep learning. Endoscopy 2022, 55, 415–422. [Google Scholar] [CrossRef]
- Yamashita, R.; Bird, K.; Cheung, P.Y.-C.; Decker, J.H.; Flory, M.N.; Goff, D.; Morimoto, L.N.; Shon, A.; Wentland, A.L.; Rubin, D.L.; et al. Automated Identification and Measurement Extraction of Pancreatic Cystic Lesions from Free-Text Radiology Reports Using Natural Language Processing. Radiol. Artif. Intell. 2022, 4, e210092. [Google Scholar] [CrossRef]
- Zhang, J.; Zhu, L.; Yao, L.; Ding, X.; Chen, D.; Wu, H.; Lu, Z.; Zhou, W.; Zhang, L.; An, P.; et al. Deep-learning–based pancreas segmentation and station recognition system in EUS: Development and validation of a useful training tool (with video). Gastrointest. Endosc. 2020, 92, 874–885.e3. [Google Scholar] [CrossRef]
- Das, A.; Jha, D.; Sanjotra, J.; Susladkar, O.; Sarkar, S.; Rauniyar, A.; Tomar, N.; Sharma, V.; Bagci, U. Ethical Framework for Responsible Foundational Models in Medical Imaging. arXiv 2024. [Google Scholar] [CrossRef]





| Guidelines | 2015 AGA * | 2017 ACR | 2018 ACG | 2018 ESG | 2020 CAPS | 2023 IAP (Kyoto) |
|---|---|---|---|---|---|---|
| Target lesions | Only asymptomatic cysts and MD-IPMNs are excluded * | PCLs | PCLs (mainly IPMNs and MCNs) | PCLs (mainly IPMNs and MCNs) | All pancreatic abnormalities | IPMNs |
| High-risk features | -Cyst size ≥ 3 cm -Dilated main PD -Solid component | -Main PD caliber ≥ 10 mm -Enhancing solid component -Obstructive jaundice with a cyst in the head of pancreas | -Cyst size ≥ 3 cm -Main PD > 5 mm -Change in main PD caliber with upstream pancreatic atrophy -Mural nodule or a solid component -Growth in size ≥ 3 mm/year -Acute pancreatitis due to cyst -Jaundice due to cyst -Elevated Ca-19-9 -Suspicious or positive cytology † | -Main PD ≥ 10 mm -Enhancing mural nodule ≥ 5 mm -Solid component -Jaundice (cyst related) | - Main PD dilatation ≥ 10 mm -Mural nodule -Enhanced solid component -Thickened or enhanced walls - Abrupt change in PD caliber with distal pancreatic atrophy -Symptoms present (pancreatitis, jaundice, pain) -Positive cytology † | -Main PD ≥ 10 mm -Enhancing mural nodule ≥ 5 mm or a solid component -Obstructive jaundice with a cyst in the head of pancreas -Suspicious or positive cytology † |
| Worrisome features | N/D | -Cyst size ≥ 3 cm -Main PD caliber ≥ 7 mm -Thickened/enhancing cyst wall -Non-enhancing mural nodule | N/D | -Cyst size ≥ 4 cm -Main PD 5–9.9 mm -Enhancing mural nodules < 5 mm -Growth rate ≥ 5 mm/year -Acute pancreatitis due to IPMN -Ca-19-9 > 37 U/mL (in the absence of jaundice) -New-onset diabetes mellitus | N/D | -Cyst size ≥ 3 cm -Main PD 5–9 mm -Abrupt change in PD caliber with distal pancreatic atrophy -Enhancing mural nodule < 5 mm -Thickened/enhancing cyst wall -Rapid growth (> 2.5 mm/year) -Pancreatitis due to cyst -Lymphadenopathy -Ca-19-9 elevation -New onset or acute exacerbation of diabetes mellitus within one year ‡ |
| Indications for EUS/FNA | ≥2 high-risk features | High-risk and/or worrisome features | ≥1 high-risk feature -New-onset/worsening diabetes mellitus | High-risk and/or worrisome features (not recommended if diagnosis is already established) | Mural nodule, solid component, or main PD dilatation | Presence of high-risk features ‡ and/or worrisome features |
| Indications for surgery | Cyst with both a solid component and PD dilatation -Concerning features in cytology † -MD-IPMNs, solid-pseudopapillary neoplasms, and cystic neuroendocrine tumors * | High-risk and/or worrisome features | -Main PD involvement -Mural nodule -Suspicious or positive cytology † -All Solid-pseudopapillary neoplasms | Absolute indications: - ≥ 1 high-risk feature -Suspicious or positive cytology † Relative indications: -Patients without comorbidity and ≥1 worrisome feature -Patients with co-morbidities and ≥ 2 worrisome features -All solid-pseudopapillary neoplasms -Cystic pancreatic neuroendocrine tumors > 2 cm | Cysts with high-risk features | - ≥1 high-risk feature -Suspicious or positive cytology † - ≥2 worrisome features ‡ -Repeated acute pancreatitis worsening patient’s quality of life ‡ -Young, fit for surgery |
| Comparison of different guidelines’ recommendations for surveillance of mucinous pancreatic cysts without high-risk/worrisome features. | ||||||
| Imaging methods | MRI | MRI or CT | MRI/MRCP and/or EUS | MRI and/or EUS (along with serum CA-19-9 and clinical evaluation) | MRI/MRCP and/or EUS (along with serum CA-19-9, fasting serum glucose and/or HbA1c evaluation) | MRI/MRCP, CT EUS for further investigation |
| Intervals | <3 cm lesions: In 1 year, then every 2 years ×2 | -Yearly for < 1.5 cm lesions: Yearly 1.5–2.5 cm lesions: Every 6 months × 4, lengthen if stable -> 2.5 cm every year for 10 years, for patients that are > 80 years, every 2 years | -Cysts <1 cm: MRI every 2 years × 4, lengthen if stable -Cysts 1–2 cm: MRI yearly ×3, if stable every 2 years × 4 and then lengthen -Cysts 2–3 cm: MRI or EUS in 6–12 months for 3 years, if stable every 2 years × 4 and then lengthen -> 3 cm lesions: Alternate between MRI and EUS in 6 months × 3 years, if stable every year × 4 and then lengthen -Increase in cysts size and/or new-onset diabetes: MRI or EUS within 6 months; if stable, MRI in 1 year and then return to base surveillance | -Cysts <1.5 cm: Yearly ×3, if stable then every 2 years -Cysts >1.5 cm: Every 6 months ×2, if stable then yearly | - <3 cm lesions: Every year - >3 cm lesions: Every 6 months | - <2 cm lesions: First in 6 months, then every 18 months, if stable ‡ 2–3 cm lesions: 6 months ×2, then every year, if stable ‡ - >3 cm lesions: Every 6 months or with 1–6 month-interval according to estimated risk ‡ |
| Duration | Stop after 5 years if stable | Stop after 10 years if stable or at age 80 Stop if the patient is unfit for surgery | Lifelong, review after age 75 Stop if the patient is unfit for surgery | Lifelong, stop if the patient is unwilling or unfit for surgery | Lifelong | Lifelong Consider stopping for <2 cm cysts without high-risk/worrisome features that are stable after 5 years ‡ Stop if the patient is unfit for surgery or has a life expectance of <10 years |
| Modality | Advantages | Disadvantages |
|---|---|---|
| US | Widely available Cost-effective Real-time imaging Doppler capability No radiation | Limited resolution Operator-dependent Poor visualization in obese patients Limited sensitivity for small or complex cysts |
| CT | Widely available Fast acquisition High resolution | Radiation exposure Limited soft-tissue contrast Contrast medium risk (allergy, kidney injury) |
| MRI/MRCP | Excellent soft-tissue contrast Better cyst characterization Detailed ductal evaluation (MRCP) No radiation | Higher cost Longer scan times Contraindication (intracardiac devices, implants) Limited availability |
| EUS | High resolution Biopsy capability (FNA) Close, detailed imaging | Invasive (required sedation) Procedural risks (infection, bleeding, pancreatitis) Operator-dependent Higher cost |
| PET | Functional imaging for metabolic activity Useful adjunct for malignancy suspicion | Limited specificity Radiation exposure Higher cost Limited availability |
| Study (CTs) | ML Model | Study Type | Number of Patients | Performance (Dice *) % |
| Oktay, 2018 [80] | AttentionUNet | Pancreas body | 82 NIH data | 83.1 ± 3.8% |
| Ning, 2018 [81] | Deep Qnetwork | Pancreas body | 82 NIH data | 86.9 ± 4.9% |
| Zhao, 2019 [82] | Two-stage 3D model | Pancreas body | 82 NIH data | 86.0 ± 4.5% |
| Lim, 2022 [83] | Four individual 3D pancreas segmentation networks | Pancreas body | 1006 in-house CT scans | 84.2% |
| Study (MRIs) | ML Model | Study Type | Number of Patients | Performance (Dice) % |
| Cai, 2016 [84] | Graph-based decision fusion with CNN | Pancreas body | 78 in-house T1 MRI scans | 76.1 ± 8.7% |
| Cai, 2017 [85] | Recurrent neural contextual learning | Pancreas body | 79 in-house T1 MRI scans | 80.5 ± 6.7% |
| Asaturyan, 2019 [86] | A Hausdorff-Sine loss function was used to incorporate anatomical shape information. | Pancreas body | 180 in-house T2-weighted, 120 fat-suppressed MRI scans | 84.1% for T2-weighted, 85.7% for fat-suppressed MRI scans |
| Proietto Salanitri, 2021 [87] | Multiheaded decoder structure | Pancreas body | 40 In-house T2 scans | 77.5 ± 8.6% |
| Zhang [88] | Linear Transformer with nnU-Net (PanSegNet) | Pancreas body | 1350 CT scans and 767 T1 and T2 (made publicly available) | 88.3% for CT, 85.0% for MRI T1, 86.3% for MRI T2. |
| Study (CTs) | ML Model | Classification Type | Number of Patients/Images | Performance |
| Permuth, 2016 [101] | Combined radiomic features on CT imaging and microRNA genomic data | Identifying malignant IPMNs | 38 | AUC: 0.92 Sensitivity: 83% Specificity: 89% |
| Hanania, 2016 [102] | Logistic regression model | IPMN risk prediction | 53 | AUC: 0.96 Sensitivity: 97% Specificity: 88% |
| Dimitriev, 2017 [98] | Bayesian combination of the random forest, CNN classification | Classification of PCLs | 134 | Overall accuracy: 83.6% |
| Chakraborty, 2018 [103] | Random forest and SVM models using radiologic features and five clinical variables | Categorizing IPMNs into low or high-risk | 103 | AUC: 0.77 (radiologic features alone) AUC: 0.81(after including clinical variables) |
| Si, 2021 [104] | Fully end-to-end DL model | Diagnosing pancreatic tumors without manual preprocessing | 170 PDAC,17 IPMN | Accuracy. 100% (IPMNs) and 87.6% (PDACs) Processing Speed: 18.6 s per patient |
| Liang, 2022 [99] | SVM, logistic regression models | Differentiating PCLs | 193 | AUC: 0.92 (Diagnosing SCNs) AUC:0.97 (differentiating between MCNs and IPMNs) |
| Chu, 2022 [100] | Radiomics-based random forest model | Differentiating PCLs | 214 | AUC: 0.94 |
| Study (MRI) | ML Model | Study Type | Number of Patients/Images | Performance |
| Chen, 2018 [105] | 3D CNNs (ResNet18, ResNet34, ResNet52, Inception-ResNet) | Pancreatic cancer classification | 40 (20 normal, 20 pancreatic cancer), 863 MRI images | ResNet18 Accuracy: 91% |
| Cheng, 2018 [106] | Logistic regression, SVM | Comparison of CT and MRI for predicting malignant IPMNs | 60 IPMNs (37 malign, 23 benign) | AUC: 0.811–964 AUC: 0.94 for MRI |
| Corral, 2019 [107] | CNN | IPMN classification | 139 patients | Sensitivity: 75% Specificity: 78% |
| Hussein, 2019 [22] | Supervised and unsupervised deep learning | IPMN classification | 171 MRI images (38 normal, 133 IPMNs) | Sensitivity: 59% Specificity: 69% Unsupervised accuracy: 84.2%, but with limited specificity: 46.5%. |
| Cui, 2021 [108] | Radiomics | BD-IPMN Classification | 202 patients | AUCs of 0.903, 0.884, and 0.876 in the three cohorts. |
| Proietto Salanitri, 2022 [109] | Vision Transformers | IPMN Classification | 139 MRI images | Accuracy: 70% |
| Flammia, 2023 [110] | Radiomics | Classification of High-risk BD-IPMNs | 50 MRI images | AUC: 0.80 |
| Yao, 2023 [111] | Transformers and Radiomics | IPMN Classification | 246 MRI images | Accuracy: 81.9% |
| Study (EUS) | ML Model | Study Type | Number of Patients | Performance |
| Oh, 2021 [112] | CNN (Attention U-net) | PCL Segmentation | 111 | Dice * score of 0.794 IoU score of 0.741 Accuracy: 98.3% |
| Kuwahara, 2019 [113] | CNN (ResNet50) | Differentiation of benign and malignant IPMNs | 50 | Sensitivity: 95.7% Specificity: 92.6% Accuracy: 94.0% (Accuracy of human was 56% and accuracy of a mural nodule presence was 68%) |
| Machicado, 2021 [78] | 2 CNN algorithms SBM (segmentation-based model) and HBM (holistic-based model) for risk stratification | Segmentation of papillary epithelial thickness and darkness (SBM) and Risk Stratification of IPMNs with EUS-nCLE | 35 (18 IPMNs with high-grade dysplasia or carcinoma, 17 IPMNs with low or intermediate-grade dysplasia) | Accuracy SBM: 82.9%, HBM 85.7% Sensitivity SBM: 83.3%, HBM: 83.3% Specificity SBM: 82.4%, HBM: 88.2% |
| Nguon, 2021 [114] | CNN (ResNet50) | Differentiation between MCNs and SCNs | 109 (59 MCN, 49 SCN) | AUC of 0.88 Accuracy: 82.8% Sensitivity: 81.5% Specificity: 84.4% |
| Villa-Boas, 2022 [115] | CNN (Xception model trained on ImageNet) | Classification of PCLs into mucinous (IPMNs, MCNs) and non-mucinous (Pseudocysts, SCNs) types | 28 | AUC: 1 Accuracy: 98.5% Sensitivity: 98.3% Specificity: 98.9% |
| Schulz, 2023 [116] | CNN | Differentiation between benign and malignant IPMNs | 43 | Accuracy: 99.6% |
Disclaimer/Publisher’s Note: The statements, opinions and data contained in all publications are solely those of the individual author(s) and contributor(s) and not of MDPI and/or the editor(s). MDPI and/or the editor(s) disclaim responsibility for any injury to people or property resulting from any ideas, methods, instructions or products referred to in the content. |
© 2024 by the authors. Licensee MDPI, Basel, Switzerland. This article is an open access article distributed under the terms and conditions of the Creative Commons Attribution (CC BY) license (https://creativecommons.org/licenses/by/4.0/).
Share and Cite
Seyithanoglu, D.; Durak, G.; Keles, E.; Medetalibeyoglu, A.; Hong, Z.; Zhang, Z.; Taktak, Y.B.; Cebeci, T.; Tiwari, P.; Velichko, Y.S.; et al. Advances for Managing Pancreatic Cystic Lesions: Integrating Imaging and AI Innovations. Cancers 2024, 16, 4268. https://doi.org/10.3390/cancers16244268
Seyithanoglu D, Durak G, Keles E, Medetalibeyoglu A, Hong Z, Zhang Z, Taktak YB, Cebeci T, Tiwari P, Velichko YS, et al. Advances for Managing Pancreatic Cystic Lesions: Integrating Imaging and AI Innovations. Cancers. 2024; 16(24):4268. https://doi.org/10.3390/cancers16244268
Chicago/Turabian StyleSeyithanoglu, Deniz, Gorkem Durak, Elif Keles, Alpay Medetalibeyoglu, Ziliang Hong, Zheyuan Zhang, Yavuz B. Taktak, Timurhan Cebeci, Pallavi Tiwari, Yuri S. Velichko, and et al. 2024. "Advances for Managing Pancreatic Cystic Lesions: Integrating Imaging and AI Innovations" Cancers 16, no. 24: 4268. https://doi.org/10.3390/cancers16244268
APA StyleSeyithanoglu, D., Durak, G., Keles, E., Medetalibeyoglu, A., Hong, Z., Zhang, Z., Taktak, Y. B., Cebeci, T., Tiwari, P., Velichko, Y. S., Yazici, C., Tirkes, T., Miller, F. H., Keswani, R. N., Spampinato, C., Wallace, M. B., & Bagci, U. (2024). Advances for Managing Pancreatic Cystic Lesions: Integrating Imaging and AI Innovations. Cancers, 16(24), 4268. https://doi.org/10.3390/cancers16244268

