Per-Irradiation Monitoring by kV-2D Acquisitions in Stereotactic Treatment of Spinal and Non-Spinal Bony Metastases Using an On-Board Imager of a Linear Accelerator
Simple Summary
Abstract
1. Introduction
2. Materials and Methods
2.1. Phantom Study
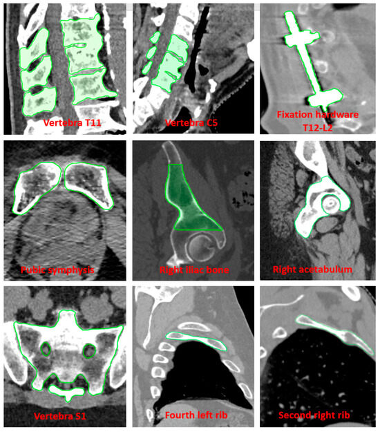
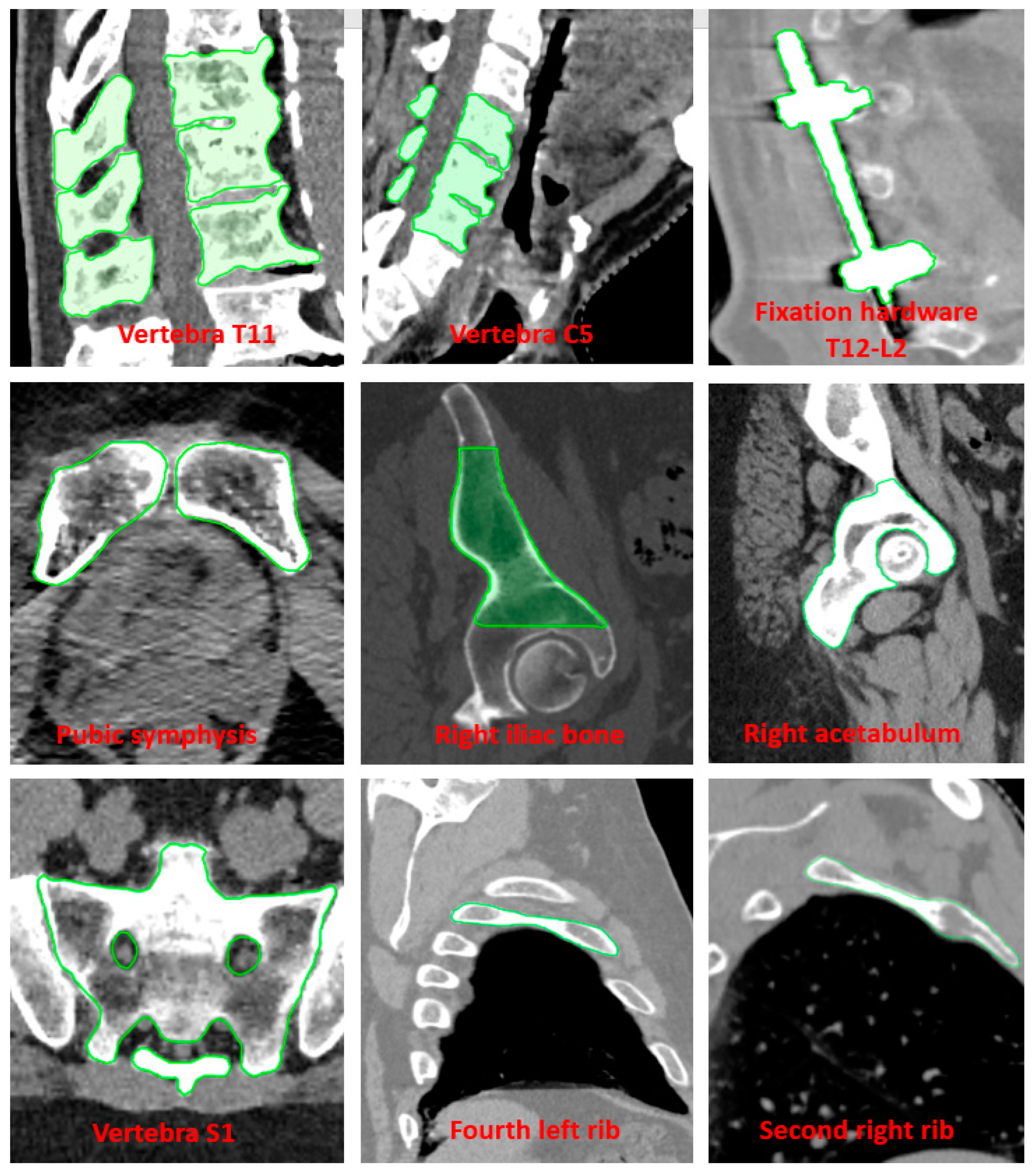
2.2. Patient Study
2.3. Analysis Method
3. Results
3.1. Phantom Study
3.2. Patient Study
4. Discussion
5. Conclusions
Author Contributions
Funding
Institutional Review Board Statement
Informed Consent Statement
Data Availability Statement
Conflicts of Interest
References
- Gong, Y.; Xu, L.; Zhuang, H.; Jiang, L.; Wei, F.; Liu, Z.; Li, Y.; Yu, M.; Ni, K.; Liu, X. Efficacy and safety of different fractions in stereotactic body radiotherapy for spinal metastases: A systematic review. Cancer Med. 2019, 8, 6176–6184. [Google Scholar] [CrossRef]
- De la Pinta, C. SBRT in non-spine bone metastases: A literature review. Med. Oncol. 2020, 37, 119. [Google Scholar] [CrossRef]
- Palma, D.A.; Olson, R.; Harrow, S.; Gaede, S.; Louie, A.V.; Haasbeek, C.; Mulroy, L.; Lock, M.; Rodrigues, G.B.; Yaremko, B.P.; et al. Stereotactic Ablative Radiotherapy for the Comprehensive Treatment of Oligometastatic Cancers: Long-Term Results of the SABR-COMET Phase II Randomized Trial. J. Clin. Oncol. Off. J. Am. Soc. Clin. Oncol. 2020, 38, 2830–2838. [Google Scholar] [CrossRef] [PubMed]
- Pougnet, I.; Jaegle, E.; Garcia, R.; Tessier, F.; Faivre, J.C.; Louvel, G.; Gross, E.; Gonzague, L.; Benchalal, M.; Ducteil, A.; et al. État des lieux de la radiothérapie en conditions stéréotaxiques vertébrale en France en 2016 [Spinal stereotactic body radiotherapy: French assessment in 2016]. Cancer Radiother. J. Soc. Fr. Radiother. Oncol. 2017, 21, 276–285. [Google Scholar] [CrossRef]
- Bhattacharya, I.S.; Hoskin, P.J. Stereotactic body radiotherapy for spinal and bone metastases. Clin. Oncol. 2015, 27, 298–306. [Google Scholar] [CrossRef] [PubMed]
- Guckenberger, M.; Mantel, F.; Gerszten, P.C.; Flickinger, J.C.; Sahgal, A.; Létourneau, D.; Grills, I.S.; Jawad, M.; Fahim, D.K.; Shin, J.H.; et al. Safety and efficacy of stereotactic body radiotherapy as primary treatment for vertebral metastases: A multi-institutional analysis. Radiat. Oncol. 2014, 9, 226. [Google Scholar] [CrossRef] [PubMed]
- Wang, H.; Shiu, A.; Wang, C.; O’Daniel, J.; Mahajan, A.; Woo, S.; Liengsawangwong, P.; Mohan, R.; Chang, E.L. Dosimetric effect of translational and rotational errors for patients undergoing image-guided stereotactic body radiotherapy for spinal metastases. Int. J. Radiat. Oncol. Biol. Phys. 2008, 71, 1261–1271. [Google Scholar] [CrossRef] [PubMed]
- Hadj Henni, A.; Gensanne, D.; Roge, M.; Hanzen, C.; Bulot, G.; Colard, E.; Thureau, S. Evaluation of inter- and intra-fraction 6D motion for stereotactic body radiation therapy of spinal metastases: Influence of treatment time. Radiat. Oncol. 2021, 16, 168. [Google Scholar] [CrossRef] [PubMed]
- Li, W.; Sahgal, A.; Foote, M.; Millar, B.-A.; Jaffray, D.A.; Letourneau, D. Impact of immobilization on intrafraction motion for spine stereotactic body radiotherapy using cone beam computed tomography. Int. J. Radiat. Oncol. Biol. Phys. 2012, 84, 520–526. [Google Scholar] [CrossRef]
- Agazaryan, N.; Tenn, S.E.; Desalles, A.A.F.; Selch, M.T. Image-guided radiosurgery for spinal tumors: Methods, accuracy and patient intrafraction motion. Phys. Med. Biol. 2008, 53, 1715–1727. [Google Scholar] [CrossRef] [PubMed]
- Hadj Henni, A.; Gensanne, D.; Bulot, G.; Roge, M.; Mallet, R.; Colard, E.; Daras, M.; Hanzen, C.; Thureau, S. ExacTrac X-ray 6D imaging during stereotactic body radiation therapy of spinal and nonspinal metastases. Technol. Cancer Res. Treat. 2023, 22, 15330338231210786. [Google Scholar] [CrossRef] [PubMed]
- Kurup, G. CyberKnife: A new paradigm in radiotherapy. J. Med. Phys. 2010, 35, 63–64. [Google Scholar] [CrossRef]
- Montgomery, C.; Collins, M. An evaluation of the BrainLAB 6D ExacTrac/Novalis Tx system for image-guided intracranial radiotherapy. J. Radiother. Pract. 2017, 16, 326–333. [Google Scholar] [CrossRef]
- Covington, E.L.; Fiveash, J.B.; Wu, X.; Brezovich, I.; Willey, C.D.; Riley, K.; Popple, R.A. Optical surface guidance for submillimeter monitoring of patient position during frameless stereotactic radiotherapy. J. Appl. Clin. Med. Phys. 2019, 20, 91–98. [Google Scholar] [CrossRef] [PubMed]
- Covington, E.L.; Stanley, D.N.; Fiveash, J.B.; Thomas, E.M.; Marcrom, S.R.; Bredel, M.; Willey, C.D.; Riley, K.O.; Popple, R.A. Surface guided imaging during stereotactic radiosurgery with automated delivery. J. Appl. Clin. Med. Phys. 2020, 21, 90–95. [Google Scholar] [CrossRef] [PubMed]
- Bell, L.J.; Eade, T.; Kneebone, A.; Hruby, G.; Alfieri, F.; Bromley, R.; Grimberg, K.; Barnes, M.; Booth, J.T. Initial experience with intra-fraction motion monitoring using Calypso guided volumetric modulated arc therapy for definitive prostate cancer treatment. J. Med. Radiat. Sci. 2017, 64, 25–34. [Google Scholar] [CrossRef]
- Kupelian, P.; Willoughby, T.; Mahadevan, A.; Djemil, T.; Weinstein, G.; Jani, S.; Enke, C.; Solberg, T.; Flores, N.; Liu, D.; et al. Multi-institutional clinical experience with the Calypso System in localization and continuous, real-time monitoring of the prostate gland during external radiotherapy. Int. J. Radiat. Oncol. Biol. Phys. 2007, 67, 1088–1098. [Google Scholar] [CrossRef]
- Hyde, D.; Lochray, F.; Korol, R.; Davidson, M.; Wong, C.S.; Ma, L.; Sahgal, A. Spine stereotactic body radiotherapy utilizing cone-beam CT image-guidance with a robotic couch: Intrafraction motion analysis accounting for all six degrees of freedom. Int. J. Radiat. Oncol. Biol. Phys. 2012, 82, e555–e562. [Google Scholar] [CrossRef] [PubMed]
- Finnigan, R.; Lamprecht, B.; Barry, T.; Jones, K.; Boyd, J.; Pullar, A.; Burmeister, B.; Foote, M. Inter- and intra-fraction motion in stereotactic body radiotherapy for spinal and paraspinal tumours using cone-beam CT and positional correction in six degrees of freedom. J. Med. Imaging Radiat. Oncol. 2016, 60, 112–118. [Google Scholar] [CrossRef]
- Dahele, M.; Slotman, B.; Verbakel, W. Stereotactic body radiotherapy for spine and bony pelvis using flattening filter free volumetric modulated arc therapy, 6D cone-beam CT and simple positioning techniques: Treatment time and patient stability. Acta Oncol. 2016, 55, 795–798. [Google Scholar] [CrossRef]
- Graadal Svestad, J.; Ramberg, C.; Skar, B.; Paulsen Hellebust, T. Intrafractional motion in stereotactic body radiotherapy of spinal metastases utilizing cone beam computed tomography image guidance. Phys. Imaging Radiat. Oncol. 2019, 12, 1–6. [Google Scholar] [CrossRef]
- Chasseray, M.; Dissaux, G.; Lucia, F.; Boussion, N.; Goasduff, G.; Pradier, O.; Bourbonne, V.; Schick, U. Kilovoltage intrafraction monitoring during normofractionated prostate cancer radiotherapy. Cancer Radiother. 2020, 24, 99–105. [Google Scholar] [CrossRef] [PubMed]
- Korpics, M.C.; Rokni, M.; Degnan, M.; Aydogan, B.; Liauw, S.L.; Redler, G. Utilizing the TrueBeam Advanced Imaging Package to monitor intrafraction motion with periodic kV imaging and automatic marker detection during VMAT prostate treatments. J. Appl. Clin. Med. Phys. 2020, 21, 184–191. [Google Scholar] [CrossRef]
- Koo, J.; Nardella, L.; Degnan, M.; Andreozzi, J.; Yu, H.M.; Penagaricano, J.; Johnstone, P.A.S.; Oliver, D.; Ahmed, K.; Rosenberg, S.A.; et al. Triggered kV Imaging During Spine SBRT for Intrafraction Motion Management. Technol. Cancer Res. Treat. 2021, 20, 15330338211063033. [Google Scholar] [CrossRef] [PubMed]
- GuckenBerger, M.; Meyer, J.; Wilbert, J.; Baier, K.; Bratengeier, K.; Vordermark, D.; Flentje, M. Precision required for dose-escalated treatment of spinal metastases and implications for image-guided radiation therapy (IGRT). Radiother. Oncol. 2007, 84, 56–63. [Google Scholar] [CrossRef] [PubMed]
- Cox, B.W.; Spratt, D.E.; Lovelock, M.; Bilsky, M.H.; Lis, E.; Ryu, S.; Sheehan, J.; Gerszten, P.C.; Chang, E.; Gibbs, I.; et al. International Spine Radiosurgery Consortium consensus guidelines for target volume definition in spinal stereotactic radiosurgery. Int. J. Radiat. Oncol. Biol. Phys. 2012, 83, e597–e605. [Google Scholar] [CrossRef]
- Dunne, E.M.; Sahgal, A.; Lo, S.S.; Bergman, A.; Kosztyla, R.; Dea, N.; Chang, E.L.; Chang, U.K.; Chao, S.T.; Faruqi, S.; et al. International consensus recommendations for target volume delineation specific to sacral metastases and spinal stereotactic body radiation therapy (SBRT). Radiother. Oncol. J. Eur. Soc. Ther. Radiol. Oncol. 2020, 145, 21–29. [Google Scholar] [CrossRef] [PubMed]
- Nguyen, T.K.; Chin, L.; Sahgal, A.; Dagan, R.; Eppinga, W.; Guckenberger, M.; Kim, J.H.; Lo, S.S.; Redmond, K.J.; Siva, S.; et al. International Multi-institutional Patterns of Contouring Practice and Clinical Target Volume Recommendations for Stereotactic Body Radiation Therapy for Non-Spine Bone Metastases. Int. J. Radiat. Oncol. Biol. Phys. 2022, 112, 351–360. [Google Scholar] [CrossRef] [PubMed]
- Kan, M.W.K.; Leung, L.H.T.; Wong, W.; Lam, N. Radiation dose from cone beam computed tomography for image-guided radiation therapy. Int. J. Radiat. Oncol. Biol. Phys. 2008, 70, 272–279. [Google Scholar] [CrossRef] [PubMed]
- Ong, C.L.; Dahele, M.; Cuijpers, J.P.; Senan, S.; Slotman, B.J.; Verbakel, W.F.A.R. Dosimetric impact of intrafraction motion during RapidArc stereotactic vertebral radiation therapy using flattened and flattening filter-free beams. Int. J. Radiat. Oncol. Biol. Phys. 2013, 86, 420–425. [Google Scholar] [CrossRef] [PubMed]
- Cetnar, A.J.; Degnan, M.; Pichler, J.; Jain, S.; Morelli, S.; Thomas, E.; Elder, J.B.; Scharschmidt, T.J.; Palmer, J.D.; Blakaj, D.M. Implementation of triggered kilovoltage imaging for stereotactic radiotherapy of the spine for patients with spinal fixation hardware. Phys. Imaging Radiat. Oncol. 2023, 25, 100422. [Google Scholar] [CrossRef]
- Wu, J.; Wu, J.; Ballangrud, Å.; Mechalakos, J.; Yamada, J.; Lovelock, D.M. Frequency of large intrafractional target motions during spine stereotactic body radiation therapy. Pract. Radiat. Oncol. 2020, 10, e45–e49. [Google Scholar] [CrossRef]
- Bellon, M.R.; Siddiqui, M.S.; Ryu, S.; Chetty, I.J. The effect of longitudinal CT resolution and pixel size (FOV) on target delineation and treatment planning in stereotactic radiosurgery. J. Radiosurg. SBRT 2014, 3, 149–163. [Google Scholar] [PubMed] [PubMed Central]





| Patients | Site Treated | WHO Performance Status | Primary Cancer | Histological Types | Sex | 21 Men |
|---|---|---|---|---|---|---|
| 8 Women | ||||||
| Median Age (Years) (Range) | 71 (47–85) | |||||
| Dose/Fractions | ||||||
| 1 | Sacrum | 0 | Prostate | ADK | 35 Gy/5 fr | |
| 2 | Right iliac wing | 0 | Prostate | ADK | 35 Gy/5 fr | |
| 3 | Acromion | 0 | Breast | CCI | 35 Gy/5 fr | |
| 4 | Right 10th rib | 0 | Prostate | ADK | 35 Gy/5 fr | |
| 5 | Pubic symphysis | 1 | Breast | CCI | 35 Gy/5 fr | |
| 6 | Right ischium | NA | Prostate | ADK | 30 Gy/6 fr | |
| 7 | L5-S1 | 0 | Prostate | ADK | 36 Gy/6 fr | |
| 8 | T5 | 0 | Prostate | ADK | 35 Gy/5 fr | |
| 9 | Right iliac wing | 0 | Prostate | ADK | 35 Gy/5 fr | |
| 10 | L5 | NA | Breast | ADK | 35 Gy/5 fr | |
| 11 | First right rib | 0 | Prostate | ADK | 35 Gy/5 fr | |
| Right 7th rib | 0 | Prostate | ADK | 35 Gy/5 fr | ||
| 12 | Left 10th rib | 0 | Kydney | CCRCC | 35 Gy/5 fr | |
| 13 | Right ischium | 0 | Prostate | ADK | 35 Gy/5 fr | |
| 14 | L4 | 0 | Prostate | ADK | 35 Gy/5 fr | |
| 15 | T12 | 1 | Prostate | ADK | 35 Gy/5 fr | |
| Left 5th rib | 1 | Prostate | ADK | 35 Gy/5 fr | ||
| 16 | T12-L2 post-operative | NA | Breast | CCI | 30 Gy/10 fr | |
| 17 | Right iliac wing | 0 | Prostate | ADK | 35 Gy/5 fr | |
| Right 6th rib | 0 | Prostate | ADK | 35 Gy/5 fr | ||
| Left 6th rib | 0 | Prostate | ADK | 35 Gy/5 fr | ||
| 18 | T12 | 0 | Breast | ADK | 35 Gy/5 fr | |
| 19 | Right ischium | 0 | Prostate | ADK | 35 Gy/5 fr | |
| 20 | T12 | 0 | Prostate | ADK | 35 Gy/5 fr | |
| 21 | Right posterior iliac wing | 0 | Prostate | ADK | 35 Gy/5 fr | |
| Right anterior iliac wing | 0 | Prostate | ADK | 35 Gy/5 fr | ||
| T3 | 0 | Prostate | ADK | 35 Gy/5 fr | ||
| 22 | L1 | 0 | Breast | ADK | 35 Gy/5 fr | |
| 23 | T12 | 0 | Kidney | NET | 35 Gy/5 fr | |
| 24 | C5 | 0 | Prostate | ADK | 35 Gy/5 fr | |
| 25 | Left ischium | 0 | Breast | ADK | 35 Gy/5 fr | |
| 26 | T12 | 0 | Breast | ADK | 35 Gy/5 fr | |
| 27 | T11 | 1 | Prostate | ADK | 35 Gy/5 fr | |
| 28 | T2 | 0 | Prostate | ADK | 35 Gy/5 fr | |
| 29 | T1 | 0 | Prostate | ADK | 35 Gy/5 fr | |
| 92 and 113 kV-CBCT Scenarios for VB and NVB Sites, Respectively | Designation | Threshold | |||||
|---|---|---|---|---|---|---|---|
| 1.0 mm | 1.5 mm | 2.0 mm | 2.5 mm | 3.0 mm | |||
| Beam stop and subsequent kV-CBCT acquisition ≥ threshold | True Positives (TP) | VB | 21 (22.8%) | 14 (15.2%) | 8 (8.7%) 11 (9.7%) | 2 (2.2%) 11 (9.7%) | 1 (1.1%) 4 (3.5%) |
| NVB | 31 (27.4%) | 14 (12.4%) | |||||
| No beam stop and kV-CBCT acquisition at end of arc < threshold | True Negatives (TN) | VB | 42 (45.6%) | 56 (60.9%) | 57 (62.0%) | 59 (64.1%) | 59 (64.1%) |
| NVB | 45 (39.8%) | 62 (54.9%) | 67 (59.3%) | 69 (61.1%) | 70 (61.9%) | ||
| Beam stop and subsequent kV-CBCT acquisition < threshold | False Positives (FP) | VB | 12 (13.0%) | 19 (20.6%) 28 (24.8%) | 25 (27.2%) 31 (27.4%) | 31 (33.7%) 35 (31.0%) | 32 (34.8%) 38 (33.6%) |
| NVB | 11 (9.7%) | ||||||
| No beam stop and kV-CBCT acquisition at end of arc ≥ threshold | False Negatives (FN) | VB | 17 (18.5%) | 3 (3.3%) 9 (8.0%) | 2 (2.2%) 4 (3.5%) | 0 (0.0%) 2 (1.8%) | 0 (0.0%) 1 (0.9%) |
| NVB | 26 (23.0%) | ||||||
Disclaimer/Publisher’s Note: The statements, opinions and data contained in all publications are solely those of the individual author(s) and contributor(s) and not of MDPI and/or the editor(s). MDPI and/or the editor(s) disclaim responsibility for any injury to people or property resulting from any ideas, methods, instructions or products referred to in the content. |
© 2024 by the authors. Licensee MDPI, Basel, Switzerland. This article is an open access article distributed under the terms and conditions of the Creative Commons Attribution (CC BY) license (https://creativecommons.org/licenses/by/4.0/).
Share and Cite
Hadj Henni, A.; Martinage, G.; Lebret, L.; Arhoun, I. Per-Irradiation Monitoring by kV-2D Acquisitions in Stereotactic Treatment of Spinal and Non-Spinal Bony Metastases Using an On-Board Imager of a Linear Accelerator. Cancers 2024, 16, 4267. https://doi.org/10.3390/cancers16244267
Hadj Henni A, Martinage G, Lebret L, Arhoun I. Per-Irradiation Monitoring by kV-2D Acquisitions in Stereotactic Treatment of Spinal and Non-Spinal Bony Metastases Using an On-Board Imager of a Linear Accelerator. Cancers. 2024; 16(24):4267. https://doi.org/10.3390/cancers16244267
Chicago/Turabian StyleHadj Henni, Ahmed, Geoffrey Martinage, Lucie Lebret, and Ilias Arhoun. 2024. "Per-Irradiation Monitoring by kV-2D Acquisitions in Stereotactic Treatment of Spinal and Non-Spinal Bony Metastases Using an On-Board Imager of a Linear Accelerator" Cancers 16, no. 24: 4267. https://doi.org/10.3390/cancers16244267
APA StyleHadj Henni, A., Martinage, G., Lebret, L., & Arhoun, I. (2024). Per-Irradiation Monitoring by kV-2D Acquisitions in Stereotactic Treatment of Spinal and Non-Spinal Bony Metastases Using an On-Board Imager of a Linear Accelerator. Cancers, 16(24), 4267. https://doi.org/10.3390/cancers16244267
