Upper Urinary Tract Stereotactic Body Radiotherapy Using a 1.5 Tesla Magnetic Resonance Imaging-Guided Linear Accelerator: Workflow and Physics Considerations
Simple Summary
Abstract
1. Introduction
2. Materials and Methods
2.1. Patient Selection
2.2. Simulation
2.3. Treatment Planning
2.4. Online Plan Adaptation and Treatment Delivery
3. Results
3.1. Adaptive Plan and Treatment Delivery
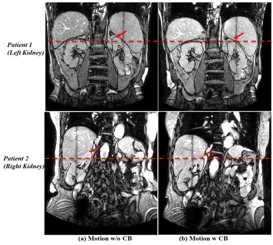
3.2. Motion Management with the Compression Belt
3.3. Patient Outcomes
4. Discussion
5. Conclusions
Author Contributions
Funding
Institutional Review Board Statement
Informed Consent Statement
Data Availability Statement
Acknowledgments
Conflicts of Interest
References
- Ingrosso, G.; Becherini, C.; Francolini, G.; Lancia, A.; Alì, E.; Caini, S.; Teriaca, M.A.; Marchionni, A.; Filippi, A.R.; Livi, L.; et al. Stereotactic Body Radiotherapy (SBRT) in Combination with Drugs in Metastatic Kidney Cancer: A Systematic Review. Crit. Rev. Oncol./Hematol. 2021, 159, 103242. [Google Scholar] [CrossRef]
- Rich, B.J.; Noy, M.A.; Dal Pra, A. Stereotactic Body Radiotherapy for Localized Kidney Cancer. Curr. Urol. Rep. 2022, 23, 371–381. [Google Scholar] [CrossRef] [PubMed]
- Yamamoto, T.; Kawasaki, Y.; Umezawa, R.; Kadoya, N.; Matsushita, H.; Takeda, K.; Ishikawa, Y.; Takahashi, N.; Suzuki, Y.; Takeda, K.; et al. Stereotactic Body Radiotherapy for Kidney Cancer: A 10-Year Experience from a Single Institute. J. Radiat. Res. 2021, 62, 533–539. [Google Scholar] [CrossRef] [PubMed]
- Evaluation of Kidney Motion and Target Localization in Abdominal SBRT Patients—Sonier—2016—Journal of Applied Clinical Medical Physics—Wiley Online Library. Available online: https://aapm.onlinelibrary.wiley.com/doi/full/10.1120/jacmp.v17i6.6406 (accessed on 21 November 2024).
- Capitanio, U.; Montorsi, F. Renal Cancer. Lancet 2016, 387, 894–906. [Google Scholar] [CrossRef] [PubMed]
- Lagendijk, J.J.W.; Raaymakers, B.W.; van Vulpen, M. The Magnetic Resonance Imaging-Linac System. Semin. Radiat. Oncol. 2014, 24, 207–209. [Google Scholar] [CrossRef] [PubMed]
- Liney, G.P.; Whelan, B.; Oborn, B.; Barton, M.; Keall, P. MRI-Linear Accelerator Radiotherapy Systems. Clin. Oncol. 2018, 30, 686–691. [Google Scholar] [CrossRef]
- Lagendijk, J.J.W.; Raaymakers, B.W.; Raaijmakers, A.J.E.; Overweg, J.; Brown, K.J.; Kerkhof, E.M.; van der Put, R.W.; Hårdemark, B.; van Vulpen, M.; van der Heide, U.A. MRI/Linac Integration. Radiother. Oncol. 2008, 86, 25–29. [Google Scholar] [CrossRef]
- Zhao, Y.; Chen, X.; McDonald, B.; Yu, C.; Mohamed, A.S.R.; Fuller, C.D.; Court, L.E.; Pan, T.; Wang, H.; Wang, X.; et al. A Transformer-Based Hierarchical Registration Framework for Multimodality Deformable Image Registration. Comput. Med. Imaging Graph. 2023, 108, 102286. [Google Scholar] [CrossRef]
- Kishan, A.U.; Ma, T.M.; Lamb, J.M.; Casado, M.; Wilhalme, H.; Low, D.A.; Sheng, K.; Sharma, S.; Nickols, N.G.; Pham, J.; et al. Magnetic Resonance Imaging–Guided vs Computed Tomography–Guided Stereotactic Body Radiotherapy for Prostate Cancer: The MIRAGE Randomized Clinical Trial. JAMA Oncol. 2023, 9, 365–373. [Google Scholar] [CrossRef]
- Chuong, M.D.; Clark, M.A.; Henke, L.E.; Kishan, A.U.; Portelance, L.; Parikh, P.J.; Bassetti, M.F.; Nagar, H.; Rosenberg, S.A.; Mehta, M.P.; et al. Patterns of Utilization and Clinical Adoption of 0.35 Tesla MR-Guided Radiation Therapy in the United States—Understanding the Transition to Adaptive, Ultra-Hypofractionated Treatments. Clin. Transl. Radiat. Oncol. 2023, 38, 161–168. [Google Scholar] [CrossRef]
- Tetar, S.U.; Bohoudi, O.; Senan, S.; Palacios, M.A.; Oei, S.S.; van der Wel, A.M.; Slotman, B.J.; van Moorselaar, R.J.A.; Lagerwaard, F.J.; Bruynzeel, A.M.E. The Role of Daily Adaptive Stereotactic MR-Guided Radiotherapy for Renal Cell Cancer. Cancers 2020, 12, 2763. [Google Scholar] [CrossRef] [PubMed]
- Winkel, D.; Bol, G.H.; Kroon, P.S.; van Asselen, B.; Hackett, S.S.; Werensteijn-Honingh, A.M.; Intven, M.P.W.; Eppinga, W.S.C.; Tijssen, R.H.N.; Kerkmeijer, L.G.W.; et al. Adaptive Radiotherapy: The Elekta Unity MR-Linac Concept. Clin. Transl. Radiat. Oncol. 2019, 18, 54–59. [Google Scholar] [CrossRef]
- Gupta, A.; Dunlop, A.; Mitchell, A.; McQuaid, D.; Nill, S.; Barnes, H.; Newbold, K.; Nutting, C.; Bhide, S.; Oelfke, U.; et al. Online Adaptive Radiotherapy for Head and Neck Cancers on the MR Linear Accelerator: Introducing a Novel Modified Adapt-to-Shape Approach. Clin. Transl. Radiat. Oncol. 2022, 32, 48–51. [Google Scholar] [CrossRef]
- de Mol van Otterloo, S.R.; Christodouleas, J.P.; Blezer, E.L.A.; Akhiat, H.; Brown, K.; Choudhury, A.; Eggert, D.; Erickson, B.A.; Faivre-Finn, C.; Fuller, C.D.; et al. The MOMENTUM Study: An International Registry for the Evidence-Based Introduction of MR-Guided Adaptive Therapy. Front. Oncol. 2020, 10, 1328. [Google Scholar] [CrossRef]
- Jassar, H.; Tai, A.; Chen, X.; Keiper, T.D.; Paulson, E.; Lathuilière, F.; Bériault, S.; Hébert, F.; Savard, L.; Cooper, D.T.; et al. Real-Time Motion Monitoring Using Orthogonal Cine MRI during MR-Guided Adaptive Radiation Therapy for Abdominal Tumors on 1.5 T MR-Linac. Med. Phys. 2023, 50, 3103–3116. [Google Scholar] [CrossRef]
- Baker, R.; Han, G.; Sarangkasiri, S.; DeMarco, M.; Turke, C.; Stevens, C.W.; Dilling, T.J. Clinical and Dosimetric Predictors of Radiation Pneumonitis in a Large Series of Patients Treated With Stereotactic Body Radiation Therapy to the Lung. Int. J. Radiat. Oncol. Biol. Phys. 2013, 85, 190–195. [Google Scholar] [CrossRef]
- Javadi, S.; Eckstein, J.; Ulizio, V.; Palm, R.; Reddy, K.; Pearson, D. Evaluation of the Use of Abdominal Compression of the Lung in Stereotactic Radiation Therapy. Med. Dosim. 2019, 44, 365–369. [Google Scholar] [CrossRef]
- Moreira, A.; Li, W.; Berlin, A.; Carpino-Rocca, C.; Chung, P.; Conroy, L.; Dang, J.; Dawson, L.A.; Glicksman, R.M.; Hosni, A.; et al. Prospective Evaluation of Patient-Reported Anxiety and Experiences with Adaptive Radiation Therapy on an MR-Linac. Tech. Innov. Patient Support Radiat. Oncol. 2024, 29, 100240. [Google Scholar] [CrossRef]
- Bohoudi, O.; Bruynzeel, A.M.E.; Senan, S.; Cuijpers, J.P.; Slotman, B.J.; Lagerwaard, F.J.; Palacios, M.A. Fast and Robust Online Adaptive Planning in Stereotactic MR-Guided Adaptive Radiation Therapy (SMART) for Pancreatic Cancer. Radiother. Oncol. 2017, 125, 439–444. [Google Scholar] [CrossRef]
- Cusumano, D.; Boldrini, L.; Dhont, J.; Fiorino, C.; Green, O.; Güngör, G.; Jornet, N.; Klüter, S.; Landry, G.; Mattiucci, G.C. Artificial Intelligence in Magnetic Resonance Guided Radiotherapy: Medical and Physical Considerations on State of Art and Future Perspectives. Phys. Medica 2021, 85, 175–191. [Google Scholar] [CrossRef]
- Li, Z.; Zhang, W.; Li, B.; Zhu, J.; Peng, Y.; Li, C.; Zhu, J.; Zhou, Q.; Yin, Y. Patient-Specific Daily Updated Deep Learning Auto-Segmentation for MRI-Guided Adaptive Radiotherapy. Radiother. Oncol. 2022, 177, 222–230. [Google Scholar] [CrossRef]
- Zhao, Y.; Wang, H.; Yu, C.; Court, L.E.; Wang, X.; Wang, Q.; Pan, T.; Ding, Y.; Phan, J.; Yang, J. Compensation Cycle Consistent Generative Adversarial Networks (Comp-GAN) for Synthetic CT Generation from MR Scans with Truncated Anatomy. Med. Phys. 2023, 50, 4399–4414. [Google Scholar] [CrossRef]
- Zarenia, M.; Zhang, Y.; Sarosiek, C.; Conlin, R.; Amjad, A.; Paulson, E. Deep Learning-Based Automatic Contour Quality Assurance for Auto-Segmented Abdominal MR-Linac Contours. Phys. Med. Biol. 2024, 69, 215029. [Google Scholar] [CrossRef]
- Hall, W.A.; Paulson, E.S.; van der Heide, U.A.; Fuller, C.D.; Raaymakers, B.W.; Lagendijk, J.J.W.; Li, X.A.; Jaffray, D.A.; Dawson, L.A.; Erickson, B.; et al. The Transformation of Radiation Oncology Using Real-Time Magnetic Resonance Guidance: A Review. Eur. J. Cancer 2019, 122, 42–52. [Google Scholar] [CrossRef]
- Siva, S.; Ali, M.; Correa, R.J.M.; Muacevic, A.; Ponsky, L.; Ellis, R.J.; Lo, S.S.; Onishi, H.; Swaminath, A.; McLaughlin, M.; et al. 5-Year Outcomes after Stereotactic Ablative Body Radiotherapy for Primary Renal Cell Carcinoma: An Individual Patient Data Meta-Analysis from IROCK (the International Radiosurgery Consortium of the Kidney). Lancet Oncol. 2022, 23, 1508–1516. [Google Scholar] [CrossRef]
- Siva, S.; Bressel, M.; Sidhom, M.; Sridharan, S.; Vanneste, B.G.L.; Davey, R.; Montgomery, R.; Ruben, J.; Foroudi, F.; Higgs, B.; et al. Stereotactic Ablative Body Radiotherapy for Primary Kidney Cancer (TROG 15.03 FASTRACK II): A Non-Randomised Phase 2 Trial. Lancet Oncol. 2024, 25, 308–316. [Google Scholar] [CrossRef]
- Siva, S.; Louie, A.V.; Kotecha, R.; Barber, M.N.; Ali, M.; Zhang, Z.; Guckenberger, M.; Kim, M.-S.; Scorsetti, M.; Tree, A.C.; et al. Stereotactic Body Radiotherapy for Primary Renal Cell Carcinoma: A Systematic Review and Practice Guideline from the International Society of Stereotactic Radiosurgery (ISRS). Lancet Oncol. 2024, 25, e18–e28. [Google Scholar] [CrossRef]
- Hall, W.A.; Straza, M.W.; Chen, X.; Mickevicius, N.; Erickson, B.; Schultz, C.; Awan, M.; Ahunbay, E.; Li, X.A.; Paulson, E.S. Initial Clinical Experience of Stereotactic Body Radiation Therapy (SBRT) for Liver Metastases, Primary Liver Malignancy, and Pancreatic Cancer with 4D-MRI Based Online Adaptation and Real-Time MRI Monitoring Using a 1.5 Tesla MR-Linac. PLoS ONE 2020, 15, e0236570. [Google Scholar] [CrossRef]
- Turkkan, G.; Bilici, N.; Sertel, H.; Keskus, Y.; Alkaya, S.; Tavli, B.; Ozkirim, M.; Fayda, M. Clinical Utility of a 1.5 T Magnetic Resonance Imaging-Guided Linear Accelerator during Conventionally Fractionated and Hypofractionated Prostate Cancer Radiotherapy. Front. Oncol. 2022, 12, 909402. [Google Scholar] [CrossRef]



| Sequence | T2w 3D | T1w 3D VANE mDixon | Cine MRI for Simulation | Cine MRI for Daily Treatment |
|---|---|---|---|---|
| Scan Technique | Spin echo | Gradient echo | Gradient echo | Gradient echo |
| Imaging Mode | Turbo SE | Radial FFE | Balanced TFE | Balanced TFE |
| Imaging Orientation | Axial | Axial | Sagittal, Coronal | Axial, Sagittal, Coronal |
| Acquisition Type | 3D | 3D | 2D | 2D |
| Image Contrast | T2 | T1 | T2/T1 | T2/T1 |
| Repetition Time (ms) | 1300 | 6.3 | 4.3 | 3.8 |
| Echo Time (ms) | 87 | 1.9/3.6 | 2.2 | 1.9 |
| Flip Angle (°) | 90 | 10 | 40 | 40 |
| Pixel Bandwidth (Hz) | 693 | 857 | 478 | 1085 |
| Echo Train Length (ETL) | 90 | 2 | 68 | 48 |
| Radial Oversampling | NA | 225 | NA | NA |
| Field of View (cm3) | 48 × 48 × 25 | 45 × 45 × 24 | 51 × 51 × 0.6 | 44 × 44 × 0.5 |
| Voxel Size (mm3) | 0.83 × 0.83 × 1 | 0.78 × 0.78 × 1.5 | 0.96 × 0.96 × 6 | 1.3 × 1.3 × 5 |
| Sense Factor | 4 | 1.3 | 3 | 3 |
| Fat Saturation | None | Dixon | None | None |
| Number of Averages | 2 | 1 | 1 | 1 |
| Dynamic Times | 1 | 1 | 100 | >1500 |
| Scan Time (minutes) | 4:00 | 4:30 | 1:04 | >15:00 |
| 36–42 Gy Plans | |
|---|---|
| Liver | D700 cm3 ≤ 15 Gy |
| Dmean ≤ 16 Gy | |
| Spinal Cord | Dmax ≤ 18 Gy |
| D10 cm3 ≤ 15 Gy | |
| Contralateral Kidney | V10 Gy ≤ 10% |
| Small Bowel | Dmax ≤ 28 Gy |
| V12.5 Gy ≤ 30 cm3 | |
| Large Bowel | Dmax ≤ 38 Gy |
| V35 Gy ≤ 1 cm3 | |
| V30 Gy ≤ 10 cm3 | |
| Duodenum | Dmax ≤ 28 Gy |
| Stomach | V22.5 Gy ≤ 4 cm3 |
| Dmax ≤ 28 Gy | |
| Target Kidney-GTV | V10 Gy ≤ 50% (Optional) |
| Chest Wall | D30 cm3 ≤ 30 Gy (Optional) |
Disclaimer/Publisher’s Note: The statements, opinions and data contained in all publications are solely those of the individual author(s) and contributor(s) and not of MDPI and/or the editor(s). MDPI and/or the editor(s) disclaim responsibility for any injury to people or property resulting from any ideas, methods, instructions or products referred to in the content. |
© 2024 by the authors. Licensee MDPI, Basel, Switzerland. This article is an open access article distributed under the terms and conditions of the Creative Commons Attribution (CC BY) license (https://creativecommons.org/licenses/by/4.0/).
Share and Cite
Zhao, Y.; Cozma, A.; Ding, Y.; Perles, L.A.; Reiazi, R.; Chen, X.; Kang, A.; Prajapati, S.; Yu, H.; Subashi, E.D.; et al. Upper Urinary Tract Stereotactic Body Radiotherapy Using a 1.5 Tesla Magnetic Resonance Imaging-Guided Linear Accelerator: Workflow and Physics Considerations. Cancers 2024, 16, 3987. https://doi.org/10.3390/cancers16233987
Zhao Y, Cozma A, Ding Y, Perles LA, Reiazi R, Chen X, Kang A, Prajapati S, Yu H, Subashi ED, et al. Upper Urinary Tract Stereotactic Body Radiotherapy Using a 1.5 Tesla Magnetic Resonance Imaging-Guided Linear Accelerator: Workflow and Physics Considerations. Cancers. 2024; 16(23):3987. https://doi.org/10.3390/cancers16233987
Chicago/Turabian StyleZhao, Yao, Adrian Cozma, Yao Ding, Luis Augusto Perles, Reza Reiazi, Xinru Chen, Anthony Kang, Surendra Prajapati, Henry Yu, Ergys David Subashi, and et al. 2024. "Upper Urinary Tract Stereotactic Body Radiotherapy Using a 1.5 Tesla Magnetic Resonance Imaging-Guided Linear Accelerator: Workflow and Physics Considerations" Cancers 16, no. 23: 3987. https://doi.org/10.3390/cancers16233987
APA StyleZhao, Y., Cozma, A., Ding, Y., Perles, L. A., Reiazi, R., Chen, X., Kang, A., Prajapati, S., Yu, H., Subashi, E. D., Brock, K., Wang, J., Beddar, S., Lee, B., Mohammedsaid, M., Cooper, S., Westley, R., Tree, A., Mohamad, O., ... Yang, J. (2024). Upper Urinary Tract Stereotactic Body Radiotherapy Using a 1.5 Tesla Magnetic Resonance Imaging-Guided Linear Accelerator: Workflow and Physics Considerations. Cancers, 16(23), 3987. https://doi.org/10.3390/cancers16233987

