Next Article in Journal
Black Soybean Seed Coat Extract Suppresses Gut Tumorigenesis by Augmenting the Production of Gut Microbiota-Derived Short-Chain Fatty Acids
Next Article in Special Issue
Fluorescence-Guided Surgery for Gliomas: Past, Present, and Future
Previous Article in Journal
Impact of MASLD on Portal Vein Thrombosis Following Hepatectomy for Liver Cancer
Previous Article in Special Issue
Fluorescence-Guided Surgical Techniques in Adult Diffuse Low-Grade Gliomas: State-of-the-Art and Emerging Techniques: A Systematic Review
 
 
Font Type:
Arial Georgia Verdana
Font Size:
Aa Aa Aa
Line Spacing:
Column Width:
Background:
Article

Risk of Postoperative Hemorrhage After Glioma Surgery in Patients with Preoperative Acetylsalicylic Acid

Department of Neurosurgery, Otto-von-Guericke-University Magdeburg, 39120 Magdeburg, Germany
*
Author to whom correspondence should be addressed.
Cancers 2024, 16(22), 3845; https://doi.org/10.3390/cancers16223845
Submission received: 24 October 2024 / Revised: 10 November 2024 / Accepted: 13 November 2024 / Published: 15 November 2024
(This article belongs to the Special Issue Neurosurgical Management of Gliomas)

Simple Summary

Patients with gliomas show an increased risk of spontaneous hemorrhages throughout the disease. Simultaneously, the number of patients taking acetylsalicylic acid (ASA) for primary and secondary prophylaxis is rising in daily clinical practice. In the current study, we evaluate the risks associated with continuing ASA use perioperatively, focusing on hemorrhage and potential thromboembolic events that may arise from discontinuing ASA, particularly in multimorbid patients undergoing glioma surgery. The current findings show that the perioperative use of ASA is not associated with a significantly increased rate of hemorrhagic complications in glioma surgery. Thus, in patients with high stroke or cardiovascular risk, ASA can be continued during elective brain tumor surgery.

Abstract

Background/Objectives: Patients with gliomas show an increased risk of spontaneous hemorrhages throughout the disease. Simultaneously, the number of patients taking acetylsalicylic acid (ASA) for primary and secondary prophylaxis is rising in daily clinical practice, and interrupting ASA intake before elective or emergency intracranial surgery is not always feasible. This study aims to evaluate the risks associated with continuing ASA use perioperatively while focusing on hemorrhage and potential thromboembolic events that may arise from discontinuing ASA, particularly in multimorbid patients undergoing glioma surgery. Methods: The clinical parameters and imaging data of 7149 patients who underwent intracranial surgery in our department over a 10-year period were retrospectively analyzed. Patients were categorized into two groups based on their ASA status: Group 1 (no ASA impact) included those with no ASA use or who discontinued ASA use more than seven days prior to surgery (low stroke or cardiovascular risk), and Group 2 (ASA impact) included those who continued ASA use within seven days prior to operation (high stroke or cardiovascular risk). Results: In this retrospective study, data from 650 patients with various types of glial tumors who underwent surgery between 2008 and 2018 were examined. Of these patients, 50 experienced a postoperative hemorrhage (POH), and 10 required reoperations due to clinical neurological deterioration and increased intracranial pressure caused by the space-occupying effect of the hemorrhage. In the ASA impact group, 2.7% developed POH, compared to 1.3% in the no ASA impact group (p = 0.098). Our analysis did not show a significantly increased risk of POH after surgery, although patients in the ASA impact group had a one- to two-fold higher risk of developing POH overall. Additionally, other factors contributing to postoperative hemorrhage following glioma surgery were investigated and evaluated. Conclusions: In this cohort, the perioperative use of ASA was not associated with an increased rate of hemorrhagic complications after intracranial glioma surgery, although a trend was observed. In patients with high stroke and cardiovascular risk, ASA can be continued during elective brain tumor surgery.

1. Introduction

Gliomas account for about 30% of all primary brain tumors and 80% of malignant brain tumors, and they also cause the most deaths in patients with primary brain tumors [1]. Based on their microscopic appearance and molecular characteristics, gliomas are classified according to the WHO classification of central nervous system (CNS) tumors and are further subdivided into CNS WHO grades 1 to 4, ranging from low to high malignancy [2]. Advances in molecular diagnostics have enabled a deeper understanding of the genetic and molecular characteristics underlying gliomas, paving the way for more personalized treatment strategies. Targeted therapies present promising opportunities to enhance glioma treatment while minimizing side effects. Functional neurosurgical, minimally invasive techniques—particularly focused ultrasound surgery (FUS) and laser interstitial thermal therapy (LITT)—provide the potential for precise and controlled tumor ablation, reducing damage to surrounding healthy brain tissue and supporting improved patient recovery [3]. To subdivide groups of glioblastoma (GBM), which allows for a better understanding of tumor complexity for personalized treatment, one can use clustering algorithms. Advanced analytical methods can be integrated with neuroimaging approaches, such as diffusion imaging and MR spectroscopy, leading to the development of targeted therapeutic strategies for GBM [4].
Intracranial hemorrhage (ICH) can occur in patients with GBM even without anticoagulation therapy due to the presence of angiogenic factors such as vascular endothelial growth factor (VEGF) and matrix metalloproteinases, as well as abnormal blood vessels within the tumor [5,6]. Spontaneous ICH in GBM is estimated to occur at a rate between 6 and 13%. With therapeutic anticoagulation, the incidence of ICH can increase up to three-fold, although there are conflicting data on the extent of this heightened risk [6,7,8,9,10]. POH in neurosurgery is one of the most dangerous complications after craniotomies and is associated with significant morbidity and mortality [11,12,13]. Several factors can negatively influence POH, including disorders of various coagulation factors, peri- and postoperative hypertensive conditions, the type and location of intracranial pathology, and age [11,12,13,14].
Antiplatelet agents like ASA are widely used as anticoagulants, particularly for the primary or secondary prevention of cardiovascular disease [13,15]. In as early as 1979, Merriman et al. showed that using ASA is associated with neurosurgical hemorrhage [9]. In a 5-year retrospective study, Palmer et al. [16] demonstrated that using antiplatelet agents is one of the most common risk factors for developing postoperative hematomas in neurosurgery. ASA increases the risk of bleeding complications during surgery by a factor of 1.5 without increasing mortality [17]. The current guidelines of the European Society of Cardiology (ESC) generally recommend the continued perioperative administration of ASA as part of secondary prevention [18]. In intracranial operations, however, even minor bleeds can lead to high morbidity, making it necessary to discontinue ASA [16,19]. Because ASA increases the risk of bleeding complications during neurosurgical procedures, it has been postulated that the administration of ASA should be paused preoperatively in order to rule out an anti-aggregatory effect [16,20]. The administration of the substance must be paused for seven days before surgery [17]. If ASA is part of primary prophylaxis, treatment can be interrupted perioperatively [18].
Gliomas also confer an elevated risk for the development of venous thromboembolism (VTE) [6,21,22]. Patients with GBM are estimated to have a 15% to 30% chance of developing deep vein thrombosis (DVT) or pulmonary embolism (PE) during their illness [6,23,24,25,26]. Although anticoagulants and platelet aggregation inhibitors are frequently used, data on perioperative management, particularly the preoperative discontinuation or bridging of the medication, are limited. Ultimately, the risk of thrombosis must be weighed individually against an increased tendency toward bleeding [27].
In this study, we examined the risk of POH, especially in predisposed patients after cranial glioma surgery, depending on the histological/cytological grading and location of the tumor, under the influence of ASA taken postoperatively and during the hospital stay. We also assessed the probability of postoperative thromboembolic events following glioma resection, particularly in the subgroup of patients with heightened cardiovascular risk, with and without the influence of ASA.

2. Materials and Methods

The medical records and radiological images of patients who underwent craniocerebral surgery at our institution between 2008 and 2018 were analyzed retrospectively. During this period, a total of 7149 patients received craniocerebral surgery for intracranial tumors, of which 650 surgeries were performed for gliomas. Figure 1 illustrates a flowchart of patients who underwent glioma surgery.
This retrospective review encompassed various patient data, including age, sex, blood group, body mass index (BMI), perioperative ASA administration, hypertension, diabetes, smoking history, cardiovascular disease, kidney disease, chronic inflammation, recurrence of glioma surgery, laboratory parameters, length of hospital stay, histological grading, tumor location, duration of surgery, blood loss, and postoperative complications. Complications during hospitalization were classified according to the system developed by Ibanez et al. as follows:
  • Grade I: non-life-threatening abnormalities that deviated from the usual postoperative course and were managed without invasive procedures.
  • Grade II: complications that required invasive interventions, including surgical, endoscopic, or endovascular procedures.
  • Grade III: life-threatening adverse events that necessitated treatment in an intensive care unit, further divided into IIIa (complications involving single-organ dysfunction) and IIIb (complications involving multiple-organ dysfunction).
  • Grade IV: complications resulting in death.
Unless contraindicated, preoperative and postoperative imaging with contrast-enhanced MRI was performed. Steroids were administered preoperatively when tumor edema or significant space-occupying effects were present. During the surgery, surgeons had access to intraoperative ultrasound, electrophysiological monitoring, and, if necessary, frameless neuronavigation. Tumor characteristics were assessed, including histologic grading, tumor size and location, the history of repeat surgeries, and the extent of resection. The operative parameters considered included blood loss, the duration of the surgery, and the extent of resection.
The Karnofsky Performance Scale (KPS) was used to assess patient status before surgery, while the KPS and the Glasgow Outcome Scale (GOS) were employed postoperatively.
Exclusion criteria included being under 18 years of age, pregnancy, and the use of other antiplatelet agents such as Clopidogrel or anticoagulants like Marcumar. To statistically evaluate the potential impact of ASA on postoperative hemorrhage, Fisher’s exact and Mann–Whitney U tests were applied. Patients were classified into two groups:
  • No ASA impact: patients with no history of ASA use and/or who had not taken ASA for at least 7 days before surgery.
  • ASA impact: patients who had stopped ASA intake less than 7 days before surgery or had not stopped it at all.

2.1. Intracranial Hemorrhage

All postoperative radiological findings were carefully examined for evidence of hemorrhage. The volume of blood was quantified by radiology specialists.
Hemorrhages were classified into the following categories:
  • Hemorrhage within the tumor cavity.
  • Intracerebral hemorrhage.
  • Subarachnoid hemorrhage.
  • Subdural hemorrhage
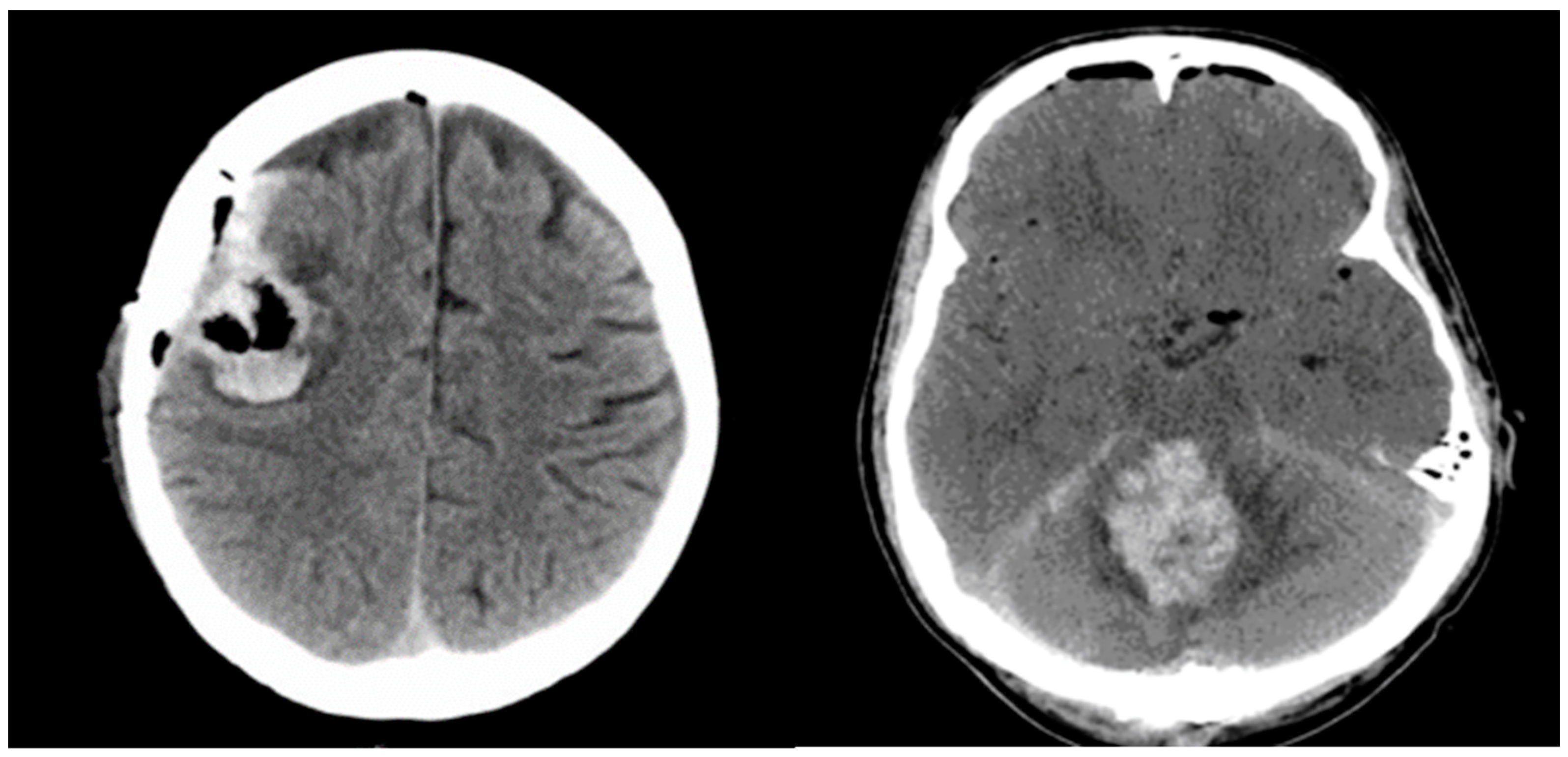
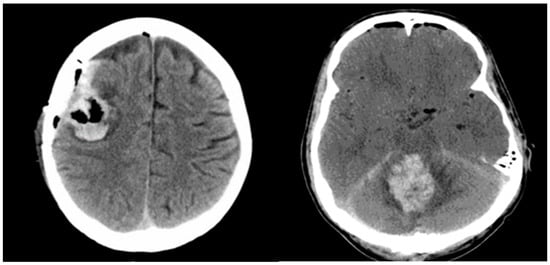
Significant postoperative hemorrhage was defined as bleeding that led to notable neurological symptoms, such as increasing intracranial pressure and space-occupying effects requiring surgical intervention. Symptomatic neurological deficits included focal neurological deficits, headaches, vomiting/nausea, or changes in cognitive function. Figure 2 illustrates two cases of postoperative hemorrhage that required reoperation.

2.2. Statistical Analysis

Categorical variables are presented as counts and percentages, while continuous variables are expressed as medians with interquartile ranges (IQRs), as all continuous variables in this study were non-normally distributed, a fact confirmed by the Kolmogorov–Smirnov test. The association between categorical variables and POH was analyzed using the χ2 or Fisher’s exact test when cell counts were fewer than 5. Differences in continuous variables between patients with and without POH were compared using the Wilcoxon–Mann–Whitney test. Variables found to be significant in the univariate analysis were included as covariates in the multivariate analysis, which was conducted using logistic regression. For variables showing a substantial deviation from a normal distribution, a logarithmic transformation was applied. All statistical analyses were performed using the SAS University Edition software package version 9.4 (SAS Institute, Inc., Cary, NC, USA) and SPSS for Windows version 18.0 (SPSS, Inc., Chicago, IL, USA). Two-sided p-values < 0.05 were considered statistically significant.

3. Results

During the period mentioned above, 650 patients with different types of gliomas underwent surgery. The no ASA impact group included 577 patients (88.8%), and the ASA impact group included 73 patients (11.2%).
A total of 93 patients were on long-term ASA medication prior to surgery. Of these, 20 patients discontinued ASA more than 7 days before the operation. In 73 cases, ASA was stopped less than 7 days before the procedure due to concerns related to stroke and cardiovascular disease, but the elective surgery was still conducted.
POH primarily presented in two forms: intraparenchymal hemorrhage (n = 12) and hemorrhage in the resection cavity (n = 31) following tumor removal. Other forms of POH, such as epidural hematomas (n = 3), subdural hematomas (n = 3), or subarachnoid hemorrhages (n = 1), were less common than the two main types mentioned above.

3.1. Incidence of Postoperative Intracranial Hemorrhage

During the specified period, a total of 50 patients with POH were identified through CCT and/or MRI scans, representing approximately 7.7% of the 650 patients. Only 10 patients (1.5%) with POH experienced clinical deterioration or had space-occupying hemorrhages requiring reoperation (Table 1 and Figure 3). Bivariate statistical analysis showed no significant differences (p = 0.098); in the ASA impact group, 2.7% developed POH, compared to 1.3% in the no ASA impact group. This indicates a trend toward an approximately 2-fold higher incidence of POH in the ASA impact group compared to the group without ASA.
In relation to demographic characteristics and additional data, factors such as sex (p = 0.755), smoking status (p = 0.697), age at the time of surgery (p = 0.952), BMI (p = 0.262), and the American Society of Anesthesiologists classification (p = 0.088) showed no significant impact on postoperative hemorrhage.

3.2. Comorbidities

Preoperative conditions like diabetes (p = 0.391), cardiovascular disease (p = 0.139), hypertension (p = 0.756), coagulopathy (p = 0.819), and chronic inflammation (p = 0.709) did not demonstrate a significant effect on the risk of postoperative hemorrhage.

3.3. Surgical Parameters

Neither the duration of surgery (p = 0.214) nor the intraoperative blood loss (p = 0.250) significantly influenced the risk of postoperative hemorrhage. However, postoperative KPS (p < 0.001) and GOS (p < 0.001) metrics were significant in patients from both groups following hemorrhage. Patients who experienced postoperative hemorrhage were in a worse overall condition after surgery, contributing to the significance of both parameters. Table 2 summarizes the factors influencing postoperative bleeding after glioma surgery. The tumor resection rate also showed no significant difference regarding postoperative hemorrhage between the two groups (p = 0.369).

3.4. Hemorrhage, Tumor Characteristics, and Laboratory Parameters

Tumor characteristics, including histopathological glioma type (p = 0.875), recurrent glioma (p = 0.735), glioma location (frontal, temporal, and skull base) (p = 0.688), and tumor side (p = 0.551), had no significant effect on the risk of postoperative hemorrhage in both patients with and without an ASA impact. Among the laboratory parameters, platelet count (p = 0.037) and C-reactive protein (CRP) levels (p = 0.013) were significantly associated with the development of POH. Table 3 summarizes the relevant preoperative laboratory parameters, histological tumor characteristics, and their impact on POH.

3.5. Patients Taking ASA

The average age of the patients in the ASA impact group was significantly higher at the time of surgery than that in the no ASA impact group (p < 0.001). A total of 307 (47.2%) patients were female, and 343 (52.8%) were male, with no significant difference between the two groups (p = 0.381). The American Society of Anesthesiologists classification score was significantly higher in the ASA impact group (p < 0.001), indicating that these patients had a worse overall condition than those without ASA. However, BMI (p = 0.139) and smoking status (p = 0.571) did not correlate significantly in either group.

3.6. Comorbidities

Arterial hypertension (p < 0.01), cardiovascular disease (p < 0.01), dyslipoproteinemia (p < 0.01), and renal insufficiency (p = 0.06) significantly differed between patients with and without preoperative ASA use. Diabetes mellitus (p = 0.08) also showed a difference, though it was not statistically significant (Table 4).

3.7. VTE and ASA Intake

In the group with no ASA impact, 12 of the 577 patients (2.1%) developed pulmonary artery embolism (PE), while 3 of the 73 patients (4.1%) in the ASA impact group experienced this outcome (Table 5). No significant difference was observed between the two groups (p = 0.232). In our cohort, 14 patients suffered from deep venous thrombosis (DVT), with only 1 of them being on ASA medication (Table 6).

3.8. Complications According to Ibanez Classification

Table 7 presents the frequency of complications in both groups using the Ibanez classification. It showed no significant difference (p = 0.551). However, patients with Ibanez complications classified as IIIa/IIIb were more frequently associated with bleeding.

4. Discussion

Gliomas and meningiomas are among the most common primary brain tumors [2]. Advanced age is a known risk factor for glioma [1]; the only proven risk factor for the development of glioma is exposure to ionizing radiation [28]. Children who suffered from long-term cancer and were treated with brain radiation had an increased risk of brain tumors such as gliomas and meningiomas [29].
The incidence of spontaneous hemorrhages, especially in glioblastomas, is higher in patients on therapeutic anticoagulation and may even increase three-fold [6,7,8,9]. The administration of ASA as an anticoagulant is now widely established as essential for treating various diseases [15]. Postoperative hemorrhage after cranial surgery can have disastrous consequences for the patient [16]. The mortality rate for patients experiencing intracranial postoperative hemorrhage is estimated to be around 30% [16,30,31]. Additionally, studies have shown that postoperative hemorrhage is the leading cause of death following cranial surgery [13,30,32].
The proportion of clinically relevant POHs in our patient population was 1.5%, which is within the range reported in the literature (0.8–6.9%) [32,33]. In our study, we also included all patients who had minimal residual hemorrhage in the resection cavity without any clinical symptoms. The rate of POH varies greatly between studies, depending on the definition [13]. The frequency of hemorrhage in patients with clinical deterioration who required surgery due to bleeding was double in the ASA impact group, at 2.7%, compared to 1.3% in the no ASA impact group. However, there was no significant statistical difference. Our findings are consistent with studies investigating the relationship between ASA and postoperative hemorrhage [34,35,36]. In a recent study, Rahman et al. analyzed patients undergoing craniotomies for intracranial tumors, and they also found no significant differences in the occurrence of postoperative intracranial hemorrhage or thromboembolic systemic complications between those taking ASA and the control group [19].
Several studies on cranial surgery also did not find an increased risk of POH related to surgery per se [19,37,38,39]. In a recent study, we found that the risk of postoperative hemorrhage was higher with preoperative ASA intake for certain tumor entities such as meningiomas [40].
An analysis of patient demographics and additional data revealed no significant differences between the ASA and no ASA impact groups. Some studies found that patients with pre-existing medical conditions had a higher incidence of hemorrhage [9,41]. However, these studies primarily examined the frequency of bleeding in relation to Enoxaparin administration, not ASA.
The age of the patient was identified as a significant factor for postoperative hemorrhage among the demographic data in some studies [30,42].
In Li et al.’s study, platelet counts below 150,000/µL were associated with an increased risk of POH [43]. Chan et al. found that platelet counts below 100,000/µL significantly elevated the risk of POH, which was also the case in our study. Among the laboratory parameters, only the platelet count showed relevance. In a study by Wang et al., INR was identified as a significant laboratory parameter for predicting postoperative intracranial hemorrhage. However, in the present study, INR did not show the same significance level. Patients who experienced postoperative hemorrhage showed a marked deterioration in their overall condition, with significant declines in both GCS and KPS scores following the hemorrhage.
Tumor characteristics, such as the WHO grade, tumor recurrence, and tumor location, did not reveal any significant correlation with the risk of postoperative hemorrhage. This could be due to the small number of patients in our study. The analysis of pre-existing conditions and their impact on postoperative bleeding revealed no significant influence in either group in our study. Most studies have identified hypertension as a significant factor in the development of hemorrhage, while diabetes mellitus, cerebral amyloid angiopathy, and atherosclerosis were generally not found to be significant [13,32]. However, Basali et al. observed that patients with postoperative intracranial hemorrhage had a notably higher rate of intraoperative and pre-hemorrhage hypertension [14].
Deep vein thrombosis (DVT) is a frequent complication in hospitalized and immobilized patients and can lead to pulmonary embolism (PE), which significantly increases the mortality rates of patients [44]. Patients with brain tumors are at an even higher risk of venous thromboembolism (VTE) due to factors such as neurological dysfunction and hypercoagulability [44]. A cohort study of 2638 neurosurgical patients found that the majority of DVTs occurred within the first week following surgery. The use of early subcutaneous heparin was linked to a 43% reduction in DVT incidence without increasing the risk of bleeding at the surgical site [45].
It is estimated that approximately 15% to 30% of patients with glioblastoma will develop DVT or PE over the course of their illness [6]. The reported data on VTE in brain tumor patients after craniotomy show considerable variations. For instance, Chaichana et al. reported a VTE incidence of 3.0% in these patients [46]. In contrast, in another study in which asymptomatic patients were also examined for the presence of VTE after surgery, a VTE incidence of 13.7% was found [47]. It is important to highlight that in our study, only symptomatic patients were further evaluated for thrombosis following glioma surgery. All patients were provided with compression stockings and encouraged to mobilize as early as the first postoperative day. Patients with paresis, who were unable to fully mobilize, still received professional physiotherapy with bedside movement exercises following surgery. Patients with an ASA impact had a pulmonary embolism rate of 4.1%, compared to 2.1% in those without an ASA impact. It is important to note that the higher rate of embolism complications in the ASA impact group is likely due to pre-existing medical conditions rather than the ASA itself, which is probably why these patients were using ASA for primary or secondary prophylaxis. For DVT, the incidence was 1.4% in the ASA impact group and 2.3% in the no ASA impact group. Despite the differing complication rates for DVT and PE, there was no other significant difference between the two groups.

5. Conclusions

Our study is limited by its retrospective design. Future prospective studies should validate these results through multiple assessments, including platelet function tests in patients on preoperative ASA. Additionally, some patients may be non-responders to ASA, and they should be excluded from the study following preoperative testing. A prospective, multicenter study with a larger patient population could overcome these limitations and provide greater statistical power by including more patients and additional subgroups.
The statistical analysis in this study did not show a clear influence of ASA on postoperative bleeding in patients with gliomas after surgery. However, there was a noticeable trend toward postoperative bleeding. Based on the available data, elective surgeries in patients with prior ASA intake should further minimize the risk of POH in ASA patients via early diagnostic imaging, and patients should be monitored more intensively.

Author Contributions

Conceptualization, A.R.; methodology, A.P., N.T. and A.R.; software, N.T.; validation, A.P., N.T. and A.R.; formal analysis, A.P., N.T. and A.R.; investigation, A.P., N.T. and A.R.; resources, A.P., N.T., I.E.S. and A.R.; data curation, N.T. and A.R.; writing—original draft, A.P., N.T. and A.R.; writing—review and editing, K.-P.S., C.A.D., B.N., I.E.S. and A.R.; visualization, A.P., N.T., C.A.D., B.N., I.E.S. and A.R.; supervision, I.E.S. and A.R.; project administration, A.R. All authors have read and agreed to the published version of the manuscript.

Funding

This research received no external funding.

Institutional Review Board Statement

All studies were carried out in accordance with the declaration of Helsinki from 1975, revised in 2013, and were approved by the ethics committee of the Otto-von-Guericke University Magdeburg (R08-24 on 29 September 2024).

Informed Consent Statement

Patient written consent was waived due to the retrospective and anonymous nature of the study.

Data Availability Statement

The datasets obtained and analyzed during the current study are available from the corresponding author upon reasonable request.

Acknowledgments

We would like to express our gratitude to Anke Lux, from the Institute of Biometry and Medical Informatics at Magdeburg University Hospital, for the evaluation and analysis of the statistical data.

Conflicts of Interest

The authors declare no conflicts of interest.

References

  1. Ostrom, Q.T.; Price, M.; Neff, C.; Cioffi, G.; Waite, K.A.; Kruchko, C.; Barnholtz-Sloan, J.S. CBTRUS Statistical Report: Primary Brain and Other Central Nervous System Tumors Diagnosed in the United States in 2016–2020. Neuro-Oncology 2023, 25, iv1–iv99. [Google Scholar] [CrossRef]
  2. Weller, M.; Wen, P.Y.; Chang, S.M.; Dirven, L.; Lim, M.; Monje, M.; Reifenberger, G. Glioma. Nat. Rev. Dis. Primers 2024, 10, 33. [Google Scholar] [CrossRef]
  3. De Simone, M.; Conti, V.; Palermo, G.; De Maria, L.; Iaconetta, G. Advancements in Glioma Care: Focus on Emerging Neurosurgical Techniques. Biomedicines 2023, 12, 8. [Google Scholar] [CrossRef]
  4. De Simone, M.; Iaconetta, G.; Palermo, G.; Fiorindi, A.; Schaller, K.; De Maria, L. Clustering Functional Magnetic Resonance Imaging Time Series in Glioblastoma Characterization: A Review of the Evolution, Applications, and Potentials. Brain Sci. 2024, 14, 296. [Google Scholar] [CrossRef]
  5. Muster, V.; Gary, T. Contrasts in Glioblastoma-Venous Thromboembolism versus Bleeding Risk. Cells 2021, 10, 1414. [Google Scholar] [CrossRef]
  6. Reed-Guy, L.; Desai, A.S.; Phillips, R.E.; Croteau, D.; Albright, K.; O’Neill, M.; Brem, S.; O’Rourke, D.M.; Amankulor, N.M.; Bagley, S.J. Risk of intracranial hemorrhage with direct oral anticoagulants vs low molecular weight heparin in glioblastoma: A retrospective cohort study. Neuro-Oncology 2022, 24, 2172–2179. [Google Scholar] [CrossRef]
  7. Kondziolka, D.; Bernstein, M.; Resch, L.; Tator, C.H.; Fleming, J.F.; Vanderlinden, R.G.; Schutz, H. Significance of hemorrhage into brain tumors: Clinicopathological study. J. Neurosurg. 1987, 67, 852–857. [Google Scholar] [CrossRef]
  8. Porfidia, A.; Giordano, M.; Sturiale, C.L.; D’Arrigo, S.; Donadini, M.P.; Olivi, A.; Ageno, W.; Pola, R. Risk of intracranial bleeding in patients with primary brain cancer receiving therapeutic anticoagulation for venous thromboembolism: A meta-analysis. Brain Behav. 2020, 10, e01638. [Google Scholar] [CrossRef]
  9. Mantia, C.; Uhlmann, E.J.; Puligandla, M.; Weber, G.M.; Neuberg, D.; Zwicker, J.I. Predicting the higher rate of intracranial hemorrhage in glioma patients receiving therapeutic enoxaparin. Blood 2017, 129, 3379–3385. [Google Scholar] [CrossRef]
  10. Jo, J.; Donahue, J.; Sarai, G.; Petroni, G.; Schiff, D. Management of venous thromboembolism in high-grade glioma: Does low molecular weight heparin increase intracranial bleeding risk? Neuro-Oncology 2022, 24, 455–464. [Google Scholar] [CrossRef]
  11. Merriman, E.; Bell, W.; Long, D.M. Surgical postoperative bleeding associated with aspirin ingestion. Report of two cases. J. Neurosurg. 1979, 50, 682–684. [Google Scholar] [CrossRef]
  12. Desai, V.R.; Grossman, R.; Sparrow, H. Incidence of Intracranial Hemorrhage After a Cranial Operation. Cureus 2016, 8, e616. [Google Scholar] [CrossRef]
  13. Seifman, M.A.; Lewis, P.M.; Rosenfeld, J.V.; Hwang, P.Y. Postoperative intracranial haemorrhage: A review. Neurosurg. Rev. 2011, 34, 393–407. [Google Scholar] [CrossRef]
  14. Basali, A.; Mascha, E.J.; Kalfas, I.; Schubert, A. Relation between perioperative hypertension and intracranial hemorrhage after craniotomy. Anesthesiology 2000, 93, 48–54. [Google Scholar] [CrossRef]
  15. Baigent, C.; Blackwell, L.; Collins, R.; Emberson, J.; Godwin, J.; Peto, R.; Buring, J.; Hennekens, C.; Kearney, P.; Meade, T.; et al. Aspirin in the primary and secondary prevention of vascular disease: Collaborative meta-analysis of individual participant data from randomised trials. Lancet 2009, 373, 1849–1860. [Google Scholar] [CrossRef]
  16. Palmer, J.D.; Sparrow, O.C.; Iannotti, F. Postoperative hematoma: A 5-year survey and identification of avoidable risk factors. Neurosurgery 1994, 35, 1061–1064; discussion 1064–1065. [Google Scholar] [CrossRef]
  17. Burger, W.; Chemnitius, J.M.; Kneissl, G.D.; Rücker, G. Low-dose aspirin for secondary cardiovascular prevention—Cardiovascular risks after its perioperative withdrawal versus bleeding risks with its continuation—Review and meta-analysis. J. Intern. Med. 2005, 257, 399–414. [Google Scholar] [CrossRef]
  18. Korte, W.; Cattaneo, M.; Chassot, P.G.; Eichinger, S.; von Heymann, C.; Hofmann, N.; Rickli, H.; Spannagl, M.; Ziegler, B.; Verheugt, F.; et al. Peri-operative management of antiplatelet therapy in patients with coronary artery disease: Joint position paper by members of the working group on Perioperative Haemostasis of the Society on Thrombosis and Haemostasis Research (GTH), the working group on Perioperative Coagulation of the Austrian Society for Anesthesiology, Resuscitation and Intensive Care (ÖGARI) and the Working Group Thrombosis of the European Society for Cardiology (ESC). Thromb. Haemost. 2011, 105, 743–749. [Google Scholar] [CrossRef]
  19. Rahman, M.; Donnangelo, L.L.; Neal, D.; Mogali, K.; Decker, M.; Ahmed, M.M. Effects of Perioperative Acetyl Salicylic Acid on Clinical Outcomes in Patients Undergoing Craniotomy for Brain Tumor. World Neurosurg. 2015, 84, 41–47. [Google Scholar] [CrossRef]
  20. Korinth, M.C. Low-dose aspirin before intracranial surgery—results of a survey among neurosurgeons in Germany. Acta Neurochir. 2006, 148, 1189–1196; discussion 1196. [Google Scholar] [CrossRef]
  21. Timp, J.F.; Braekkan, S.K.; Versteeg, H.H.; Cannegieter, S.C. Epidemiology of cancer-associated venous thrombosis. Blood 2013, 122, 1712–1723. [Google Scholar] [CrossRef]
  22. Perry, J.R. Thromboembolic disease in patients with high-grade glioma. Neuro-Oncology 2012, 14 (Suppl. 4), iv73–iv80. [Google Scholar] [CrossRef]
  23. Yust-Katz, S.; Mandel, J.J.; Wu, J.; Yuan, Y.; Webre, C.; Pawar, T.A.; Lhadha, H.S.; Gilbert, M.R.; Armstrong, T.S. Venous thromboembolism (VTE) and glioblastoma. J. Neuro-Oncol. 2015, 124, 87–94. [Google Scholar] [CrossRef]
  24. Streiff, M.B.; Ye, X.; Kickler, T.S.; Desideri, S.; Jani, J.; Fisher, J.; Grossman, S.A. A prospective multicenter study of venous thromboembolism in patients with newly-diagnosed high-grade glioma: Hazard rate and risk factors. J. Neuro-Oncol. 2015, 124, 299–305. [Google Scholar] [CrossRef]
  25. Brandes, A.A.; Scelzi, E.; Salmistraro, G.; Ermani, M.; Carollo, C.; Berti, F.; Zampieri, P.; Baiocchi, C.; Fiorentino, M.V. Incidence of risk of thromboembolism during treatment high-grade gliomas: A prospective study. Eur. J. Cancer 1997, 33, 1592–1596. [Google Scholar] [CrossRef]
  26. Jenkins, E.O.; Schiff, D.; Mackman, N.; Key, N.S. Venous thromboembolism in malignant gliomas. J. Thromb. Haemost. 2010, 8, 221–227. [Google Scholar] [CrossRef]
  27. Schlitt, A.; Jámbor, C.; Spannagl, M.; Gogarten, W.; Schilling, T.; Zwissler, B. The perioperative management of treatment with anticoagulants and platelet aggregation inhibitors. Dtsch. Arztebl. Int. 2013, 110, 525–532. [Google Scholar] [CrossRef]
  28. Barnholtz-Sloan, J.S.; Ostrom, Q.T.; Cote, D. Epidemiology of Brain Tumors. Neurol. Clin. 2018, 36, 395–419. [Google Scholar] [CrossRef]
  29. Taylor, A.J.; Little, M.P.; Winter, D.L.; Sugden, E.; Ellison, D.W.; Stiller, C.A.; Stovall, M.; Frobisher, C.; Lancashire, E.R.; Reulen, R.C.; et al. Population-based risks of CNS tumors in survivors of childhood cancer: The British Childhood Cancer Survivor Study. J. Clin. Oncol. 2010, 28, 5287–5293. [Google Scholar] [CrossRef]
  30. Wang, C.; Niu, X.; Ren, Y.; Lan, Z.; Zhang, Y. Risk Factors for Postoperative Intracranial Hemorrhage After Resection of Intracranial Tumor in 2259 Consecutive Patients. World Neurosurg. 2019, 129, e663–e668. [Google Scholar] [CrossRef]
  31. Lassen, B.; Helseth, E.; Rønning, P.; Scheie, D.; Johannesen, T.B.; Mæhlen, J.; Langmoen, I.A.; Meling, T.R. Surgical mortality at 30 days and complications leading to recraniotomy in 2630 consecutive craniotomies for intracranial tumors. Neurosurgery 2011, 68, 1259–1268; discussion 1268–1269. [Google Scholar] [CrossRef] [PubMed]
  32. Kalfas, I.H.; Little, J.R. Postoperative hemorrhage: A survey of 4992 intracranial procedures. Neurosurgery 1988, 23, 343–347. [Google Scholar] [CrossRef] [PubMed]
  33. Gerlach, R.; Scheuer, T.; Beck, J.; Woszczyk, A.; Seifert, V.; Raabe, A. Risk of postoperative hemorrhage after intracranial surgery after early nadroparin administration: Results of a prospective study. Neurosurgery 2003, 53, 1028–1034; discussion 1034–1035. [Google Scholar] [CrossRef] [PubMed]
  34. Rashidi, A.; Leins, F.; Sandalcioglu, I.E.; Luchtmann, M. Impact of acetylsalicylic acid (ASA) on postoperative hemorrhage in spinal lumbar surgery: Should preoperative ASA be discontinued for elective surgery? J. Neurol. Sci. 2021, 427, 117508. [Google Scholar] [CrossRef]
  35. Rashidi, A.; Lilla, N.; Skalej, M.; Sandalcioglu, I.E.; Luchtmann, M. Impact of acetylsalicylic acid in patients undergoing cerebral aneurysm surgery—Should the neurosurgeon really worry about it? Neurosurg. Rev. 2021, 44, 2889–2898. [Google Scholar] [CrossRef]
  36. Tonchev, N.; Pinchuk, A.; Dumitru, C.A.; Neyazi, B.; Swiatek, V.M.; Stein, K.P.; Sandalcioglu, I.E.; Rashidi, A. Postoperative Acute Intracranial Hemorrhage and Venous Thromboembolism in Patients with Brain Metastases Receiving Acetylsalicylic Acid Perioperatively. Curr. Oncol. 2024, 31, 4599–4612. [Google Scholar] [CrossRef]
  37. Hanalioglu, S.; Sahin, B.; Sahin, O.S.; Kozan, A.; Ucer, M.; Cikla, U.; Goodman, S.L.; Baskaya, M.K. Effect of perioperative aspirin use on hemorrhagic complications in elective craniotomy for brain tumors: Results of a single-center, retrospective cohort study. J. Neurosurg. 2020, 132, 1529–1538. [Google Scholar] [CrossRef]
  38. Rychen, J.; Saemann, A.; Fingerlin, T.; Guzman, R.; Mariani, L.; Greuter, L.; Soleman, J. Risks and benefits of continuation and discontinuation of aspirin in elective craniotomies: A systematic review and pooled-analysis. Acta Neurochir. 2023, 165, 39–47. [Google Scholar] [CrossRef]
  39. Ullmann, M.; Guzman, R.; Mariani, L.; Soleman, J. The effect of anti-thrombotics on the postoperative bleeding rate in patients undergoing craniotomy for brain tumor. Br. J. Neurosurg. 2024, 38, 798–804. [Google Scholar] [CrossRef]
  40. Pinchuk, A.; Tonchev, N.; Stein, K.P.; Swiatek, V.M.; Dumitru, C.A.; Neyazi, B.; Sandalcioglu, I.E.; Rashidi, A. Impact of Perioperative Acetylsalicylic Acid (ASA) Administration on Postoperative Intracranial Hemorrhage (pICH) and Thromboembolic Events in Patients with Intracranial Meningiomas. J. Clin. Med. 2024, 13, 4523. [Google Scholar] [CrossRef]
  41. Donato, J.; Campigotto, F.; Uhlmann, E.J.; Coletti, E.; Neuberg, D.; Weber, G.M.; Zwicker, J.I. Intracranial hemorrhage in patients with brain metastases treated with therapeutic enoxaparin: A matched cohort study. Blood 2015, 126, 494–499. [Google Scholar] [CrossRef] [PubMed]
  42. Gerlach, R.; Raabe, A.; Scharrer, I.; Meixensberger, J.; Seifert, V. Post-operative hematoma after surgery for intracranial meningiomas: Causes, avoidable risk factors and clinical outcome. Neurol. Res. 2004, 26, 61–66. [Google Scholar] [CrossRef]
  43. Li, D.; Glor, T.; Jones, G.A. Thrombocytopenia and Neurosurgery: A Literature Review. World Neurosurg. 2017, 106, 277–280. [Google Scholar] [CrossRef] [PubMed]
  44. Stein, P.D.; Matta, F.; Hughes, M.J. Hospitalizations for High-Risk Pulmonary Embolism. Am. J. Med. 2021, 134, 621–625. [Google Scholar] [CrossRef] [PubMed]
  45. Khaldi, A.; Helo, N.; Schneck, M.J.; Origitano, T.C. Venous thromboembolism: Deep venous thrombosis and pulmonary embolism in a neurosurgical population. J. Neurosurg. 2011, 114, 40–46. [Google Scholar] [CrossRef] [PubMed]
  46. Chaichana, K.L.; Pendleton, C.; Jackson, C.; Martinez-Gutierrez, J.C.; Diaz-Stransky, A.; Aguayo, J.; Olivi, A.; Weingart, J.; Gallia, G.; Lim, M.; et al. Deep venous thrombosis and pulmonary embolisms in adult patients undergoing craniotomy for brain tumors. Neurol. Res. 2013, 35, 206–211. [Google Scholar] [CrossRef]
  47. Smith, T.R.; Nanney, A.D., 3rd; Lall, R.R.; Graham, R.B.; McClendon, J., Jr.; Lall, R.R.; Adel, J.G.; Zakarija, A.; Cote, D.J.; Chandler, J.P. Development of venous thromboembolism (VTE) in patients undergoing surgery for brain tumors: Results from a single center over a 10 year period. J. Clin. Neurosci. 2015, 22, 519–525. [Google Scholar] [CrossRef]
Figure 1. Of the 7149 patients who underwent surgery at our neurosurgical institute over the past decade, 650 underwent surgery for gliomas. The gliomas were classified according to the WHO classification system.
Figure 1. Of the 7149 patients who underwent surgery at our neurosurgical institute over the past decade, 650 underwent surgery for gliomas. The gliomas were classified according to the WHO classification system.
Cancers 16 03845 g001
Figure 2. Illustrates two cases of postoperative hemorrhage that required reoperation.
Figure 2. Illustrates two cases of postoperative hemorrhage that required reoperation.
Cancers 16 03845 g002
Figure 3. Out of 650 surgical patients with gliomas, 10 patients had a postoperative hemorrhage that required revision surgery due to clinical deterioration and the space-occupying effect of the hemorrhage.
Figure 3. Out of 650 surgical patients with gliomas, 10 patients had a postoperative hemorrhage that required revision surgery due to clinical deterioration and the space-occupying effect of the hemorrhage.
Cancers 16 03845 g003
Table 1. Patients were classified based on the effects of ASA and hemorrhagic complications that required revision surgery. No significant differences were observed between the two groups.
Table 1. Patients were classified based on the effects of ASA and hemorrhagic complications that required revision surgery. No significant differences were observed between the two groups.
Hemorrhage
with Surgery
No Hemorrhagep-Value
N (%)N (%)
ASA Impact
Yes
No



∑ (%)

67 (11.0)
543 (89.0)
610

2 (20.0)
8 (80.0)
10 (100.0)

65 (10.8)
535 (89.2)
600 (100.0)
0.098
Table 2. Patients in both groups were categorized based on demographic data, comorbidities, and surgical parameters, which were analyzed to identify any correlations with hemorrhagic complications. None of these parameters demonstrated a significant impact on postoperative hemorrhage. However, the measurement results (KPS and GOS) showed a significant correlation with clinically relevant postoperative hemorrhage.
Table 2. Patients in both groups were categorized based on demographic data, comorbidities, and surgical parameters, which were analyzed to identify any correlations with hemorrhagic complications. None of these parameters demonstrated a significant impact on postoperative hemorrhage. However, the measurement results (KPS and GOS) showed a significant correlation with clinically relevant postoperative hemorrhage.
ParametersHemorrhage
No Hemorrhage
N 601 (%), Mean # SD
Hemorrhage
with Operation
N 10 (%), Mean # SD
p-Value
Demographic dataSexFemale
Male
286 (47.6)
315 (52.4)
4 (40.0)
6 (60.0)
0.755
Age 58.758.30.952
BMI 27.729.60.262
ASA classificationI
II
III–IV
35 (5.9)
355 (59.4)
210 (34.7)
0 (0.0)
5 (50.0)
5 (50.0)
0.088
SmokerYes
No
84 (23.3)
292 (77.7)
2 (25.5)
6 (75.5)
0.697
Surgical parametersDuration of the operation, [min] 191.5164.100.214
Blood loss [mL] 330.8430.00.250
Duration of stay (days) 14.516.40.684
Glasgow Coma Scale (GCS) 4.12.6<0.001
Karnofsky Performance Scale (KPS) 67.738<0.001
ComorbiditiesHypertensionYes
No
317 (52.7)
284 (47.3)
6 (60.0)
4 (40.0)
0.756
DiabetesType 1/2
No
104 (17.3)
497 (82.7)
3 (30.0)
7 (70.0)
0.391
CoagulopathyYes
No
12 (2.0)
589 (98.0)
0 (00.0)
10 (100.0)
0.819
CardiovascularYes
No
79 (13.1)
522 (86.9)
3 (30.0)
7 (70.0)
0.139
Chronic inflammationYes
No
26 (4.3)
575 (95.7)
0 (0.0)
10 (100.0)
0.709
Table 3. Laboratory parameters and tumor characteristics were analyzed in relation to postoperative hemorrhage. Among them, the thrombin count demonstrated a significant impact on the risk of postoperative hemorrhage. None of the other parameters were relevant risk factors for developing postoperative intracerebral hemorrhage.
Table 3. Laboratory parameters and tumor characteristics were analyzed in relation to postoperative hemorrhage. Among them, the thrombin count demonstrated a significant impact on the risk of postoperative hemorrhage. None of the other parameters were relevant risk factors for developing postoperative intracerebral hemorrhage.
ParametersHemorrhage
No Hemorrhage
N 601 (%), Mean ± SD
Hemorrhage
with Operation
N 10 (%), Mean ± SD
p-Value
Laboratory parametersINR 0.980.980.957
Platelets [10*9/L] 2612120.037
C-reactive protein [mg/L] 6.52.20.013
Leukocytes [Gpt/L] 9.712.00.174
Tumor characteristics
(gliomas)
Recurrenceyes, no165 (27.6)
432 (72.4)
2 (20.0)
8 (80.0)
0.735
Localizationfrontal, temporal parietal, occipital, cerebellar, intra/suprasellar, skull base, CPA202 (33.6)
153 (25.5)
151 (25.1)
61 (10.1)
12 (2.0)
1 (0.2)
19 (3.2)
1 (0.2)
2 (20.0)
5 (50.0)
2 (20.0)
1 (10.0)
0 (0.0)
0 (0.0)
0 (0.0)
0 (0.0)
0.688
Sideleft, middle, right280 (46.6)
35 (5.8)
286 (47.6)
5 (50.0)
0 (0.00)
5 (50.0)
0.551
WHO gradeI
II
III
IV
15 (2.5)
49 (8.2)
61 (10.1)
476 (79.2)
0 (0.0)
1 (10.0)
1 (10.0)
8 (80.0)
0.875
Table 4. Demographic data of the ASA groups revealed that patients in the ASA impact group were older than those in the no ASA impact group; had a worse ASA classification score; and more frequently suffered from comorbidities such as arterial hypertension, cardiovascular disease, and diabetes.
Table 4. Demographic data of the ASA groups revealed that patients in the ASA impact group were older than those in the no ASA impact group; had a worse ASA classification score; and more frequently suffered from comorbidities such as arterial hypertension, cardiovascular disease, and diabetes.
ParametersPreoperative ASA Use
No ASA Impact N 557 (%), Mean ± SDASA Impact
N 73 (%),
Mean ± SD
p-Value
Demographic dataSexFemale
Male
269 (46.6)
308 (53.4)
38 (52.1)
35 (47.9)
0.381
Age 57.669.3<0.001
BMI 27.528.40.139
ASA classificationI
II
III–IV
36 (6.3)
346 (60.3)
192 (33.5)
0 (0.0)
34 (46.6)
39 (53.4)
<0.001
SmokerYes
No
119 (21.2)
442 (78.8)
13 (18.3)
58 (81.7)
0.571
Operational factors and duration of stayDuration of the operation [min] 190203.50.185
Blood loss [mL] 3383860.134
Duration of stay (days) 14.615.30.134
ComorbiditiesHypertensionYes
No
291 (49.6)
286 (47.3)
61(83.6)
12 (16.4)
<0.001
DyslipoproteinemiaYes
No
46 (8.0)
531 (92.0)
17 (23.3)
56 (66.7)
<0.01
Renal failureYes
No
23 (4.0)
554 (96.0)
9 (12.3)
64 (87.7)
0.06
DiabetesType 1/2
No
94 (16.3)
483 (83.7)
21 (28.8)
52 (71.2)
0.08
CoagulopathyYes
No
11 (1.9)
566 (98.1)
2 (2.7)
71 (97.3)
0.520
Cardiovascular diseaseYes
No
59 (10.2)
518 (89.8)
29 (39.7)
44 (60.3)
<0.001
Chronic inflammationYes
No
26 (4.5)
551 (95.5)
4 (5.5)
69 (94.5)
0.765
Table 5. No significant difference was found between the ASA and non-ASA groups regarding post-surgical PE development.
Table 5. No significant difference was found between the ASA and non-ASA groups regarding post-surgical PE development.
PENo PEp-Value
N (%)N (%)
ASA Impact
Yes
No



∑ (%)

73 (100%)
577 (100%)
650

3 (4.1%)
12 (2.1%)
15 (2.3%)

70 (95.9%)
565 (97.9%)
635 (97.7%)
0.232
Table 6. No significant difference was found between the two groups with regard to the development of DVT.
Table 6. No significant difference was found between the two groups with regard to the development of DVT.
DVTNo DVTp-Value
N (%)N (%)

Yes
No



∑ (%)

73 (100%)
577 (100%)
650

1 (1.4%)
13 (2.3%)
14 (2.2%)

72 (98.6%)
564 (97.7%)
636 (97.8%)
0.0504
Table 7. There was no substantial difference between the groups with or without ASA. However, a significant correlation between severe complications was observed, especially in patients with postoperative hemorrhage (p = 0.001).
Table 7. There was no substantial difference between the groups with or without ASA. However, a significant correlation between severe complications was observed, especially in patients with postoperative hemorrhage (p = 0.001).
Surgical Complications According to Ibanez’s Classification * Hemorrhage
ASA PerioperativeTotal
No ASA ImpactASA Impact
Surgical complications0N (%)402 (69.7%)51 (69.9%)453 (69.7%)
ENDIa/IbN (%)115 (19.9%)18 (24.7%)133 (20.5%)
CFS leak/wound infectionIIa/IIbN (%)29 (5.0%)1 (1.4%)30 (4.6%)
HemorrhageIIIa/IIIbN (%)30 (5.2%)3 (4.1%)33 (5.1%)
DeathIVN (%)1 (0.2%)0 (0.0%)1 (0.2%)
TotalN (%)577 (100%)73 (100%)650 (100%)
Disclaimer/Publisher’s Note: The statements, opinions and data contained in all publications are solely those of the individual author(s) and contributor(s) and not of MDPI and/or the editor(s). MDPI and/or the editor(s) disclaim responsibility for any injury to people or property resulting from any ideas, methods, instructions or products referred to in the content.

Share and Cite

MDPI and ACS Style

Pinchuk, A.; Tonchev, N.; Dumitru, C.A.; Neyazi, B.; Stein, K.-P.; Sandalcioglu, I.E.; Rashidi, A. Risk of Postoperative Hemorrhage After Glioma Surgery in Patients with Preoperative Acetylsalicylic Acid. Cancers 2024, 16, 3845. https://doi.org/10.3390/cancers16223845

AMA Style

Pinchuk A, Tonchev N, Dumitru CA, Neyazi B, Stein K-P, Sandalcioglu IE, Rashidi A. Risk of Postoperative Hemorrhage After Glioma Surgery in Patients with Preoperative Acetylsalicylic Acid. Cancers. 2024; 16(22):3845. https://doi.org/10.3390/cancers16223845

Chicago/Turabian Style

Pinchuk, Anatoli, Nikolay Tonchev, Claudia A. Dumitru, Belal Neyazi, Klaus-Peter Stein, I. Erol Sandalcioglu, and Ali Rashidi. 2024. "Risk of Postoperative Hemorrhage After Glioma Surgery in Patients with Preoperative Acetylsalicylic Acid" Cancers 16, no. 22: 3845. https://doi.org/10.3390/cancers16223845

APA Style

Pinchuk, A., Tonchev, N., Dumitru, C. A., Neyazi, B., Stein, K.-P., Sandalcioglu, I. E., & Rashidi, A. (2024). Risk of Postoperative Hemorrhage After Glioma Surgery in Patients with Preoperative Acetylsalicylic Acid. Cancers, 16(22), 3845. https://doi.org/10.3390/cancers16223845

Note that from the first issue of 2016, this journal uses article numbers instead of page numbers. See further details here.

Article Metrics

Back to TopTop