Incidental Findings in Lung Cancer Screening
Abstract
Simple Summary
Abstract
1. Introduction
2. General Rule for IFs in LDCT
3. Intrathoracic—Intrapulmonary
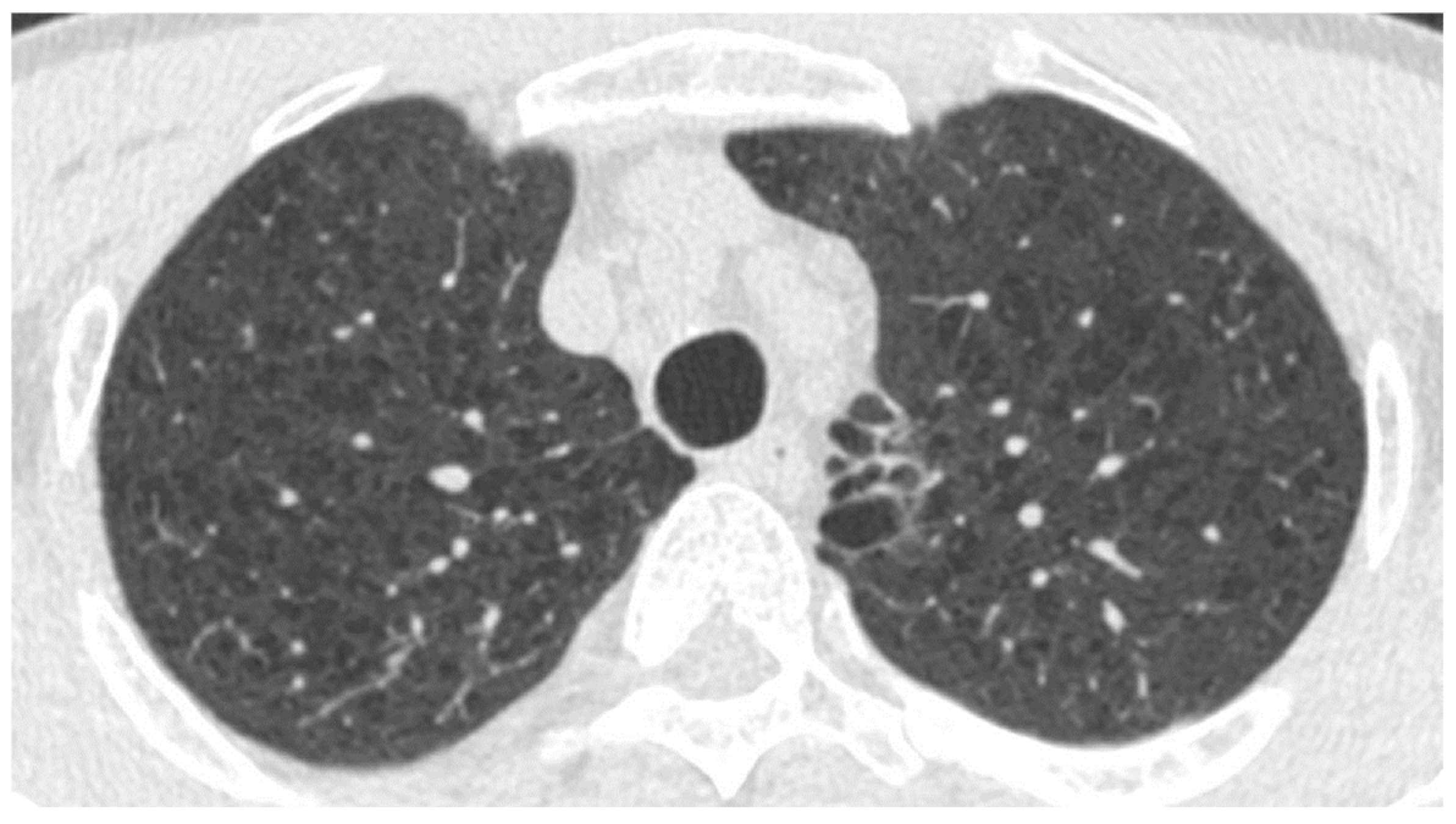
3.1. Common Findings
3.2. Interstitial Lung Diseases (ILDs)
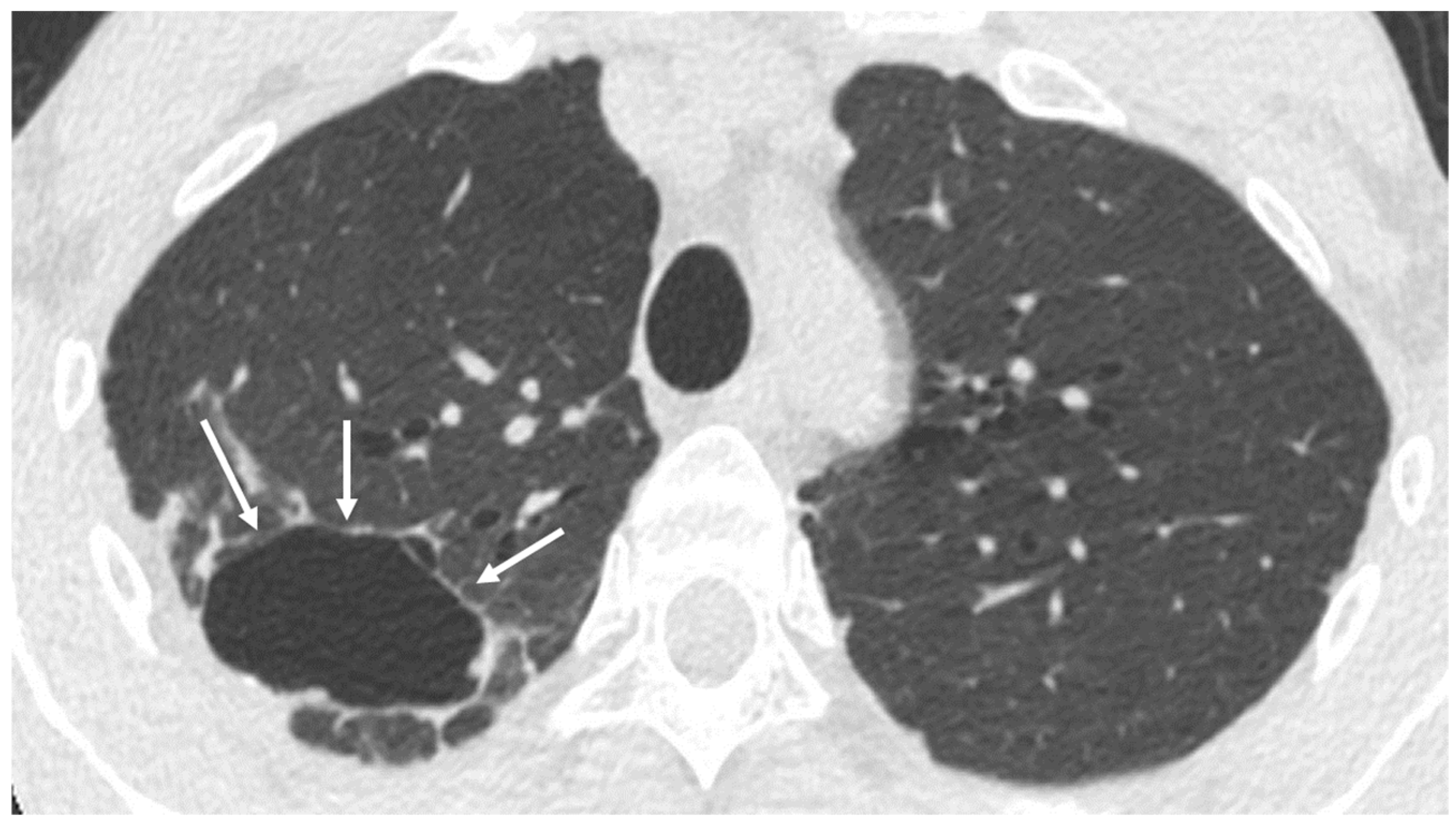
3.3. Bronchiectasis
3.4. Cystic Lung Disease
4. Intrathoracic–Extrapulmonary
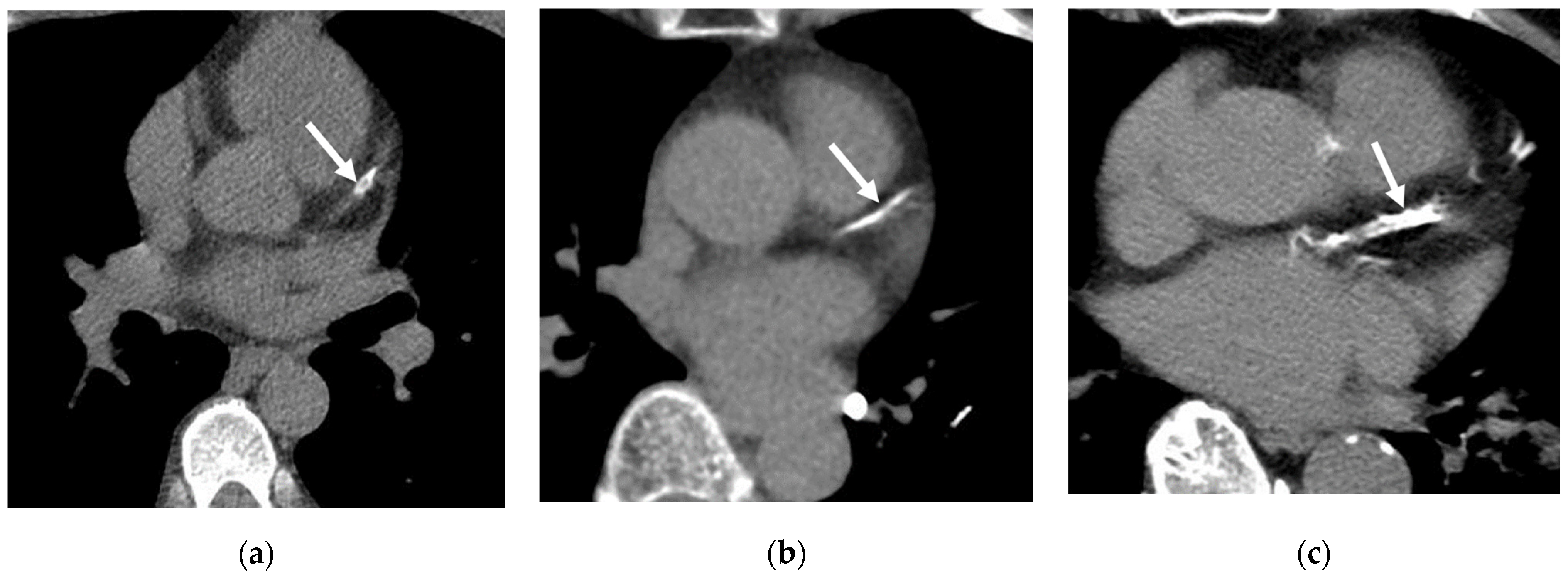
4.1. Coronary Artery Calcifications (CAC)
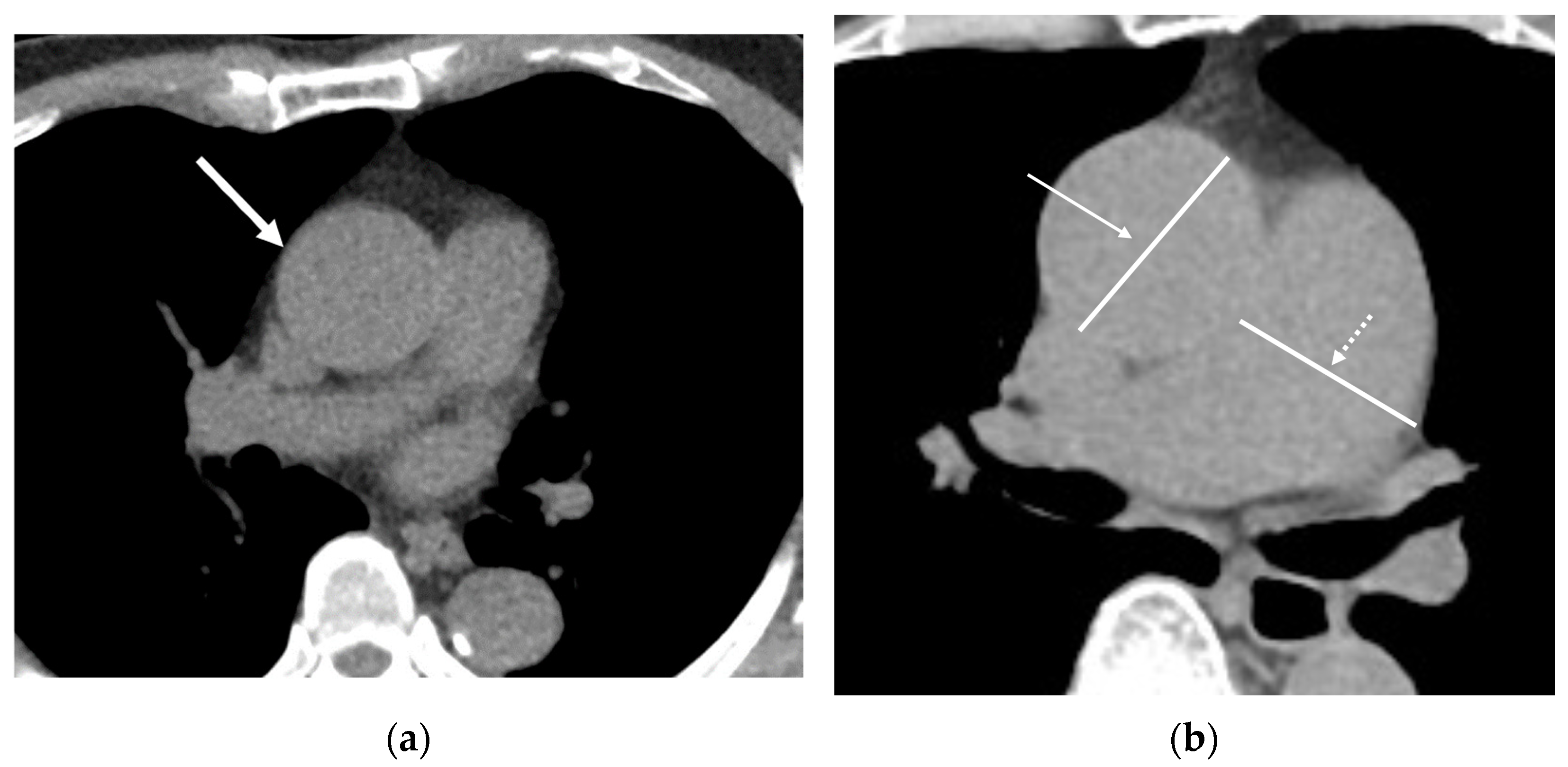
4.2. Aorta and Pulmonary Artery
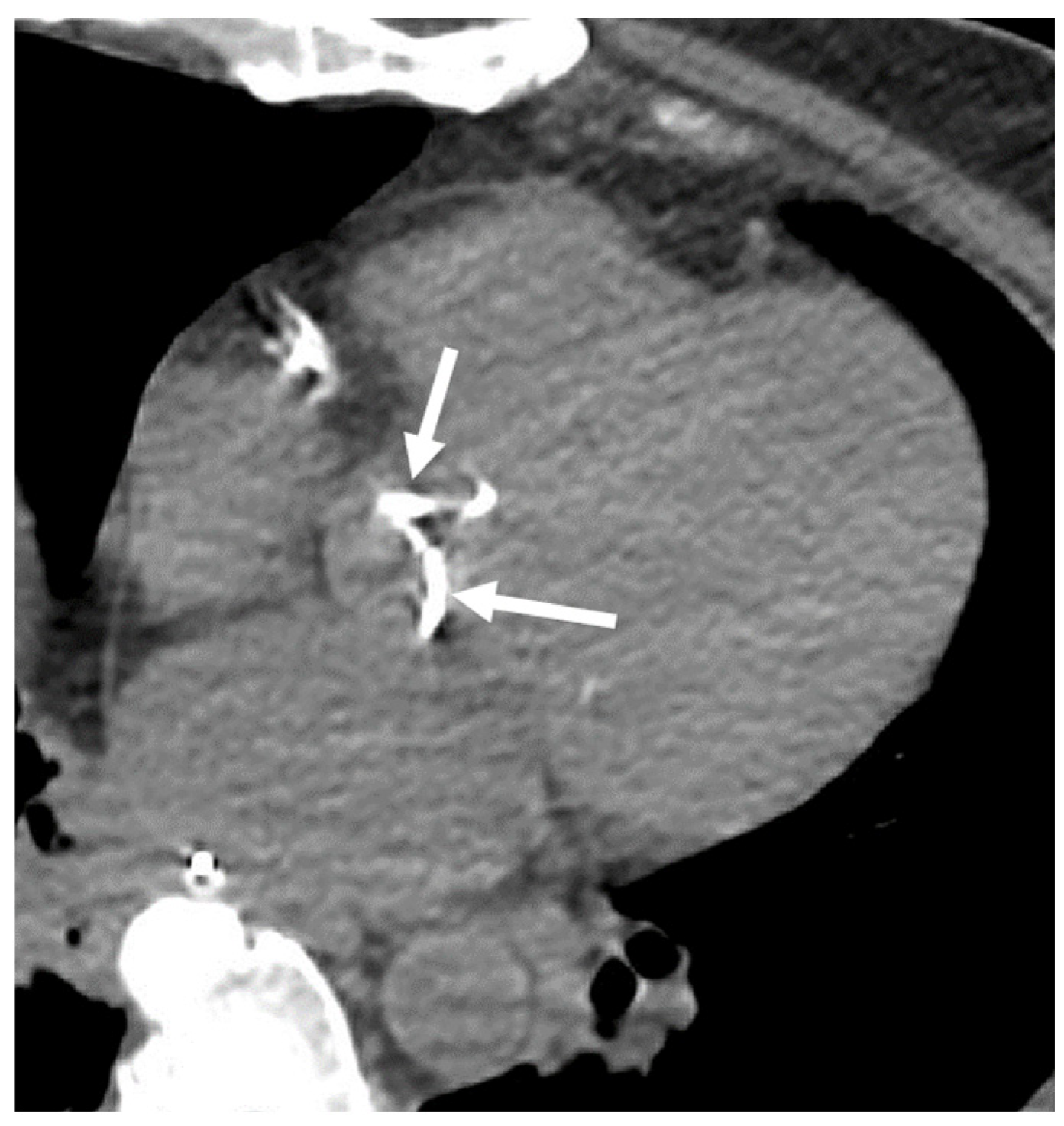
4.3. Aortic Valve Calcification (AVC)
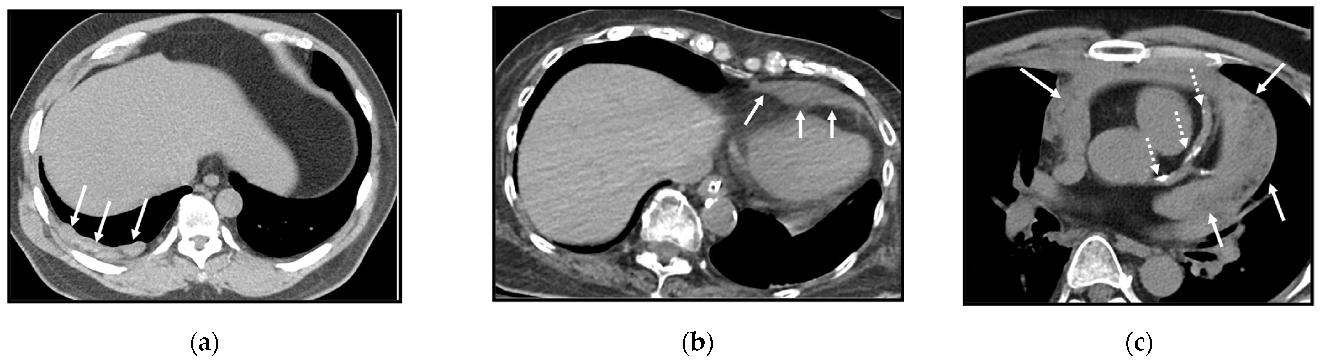
4.4. Pleura and Pericardium
4.5. Thymus
4.6. Mediastinal Lymph Nodes
4.7. Esophagus
5. Extrathoracic
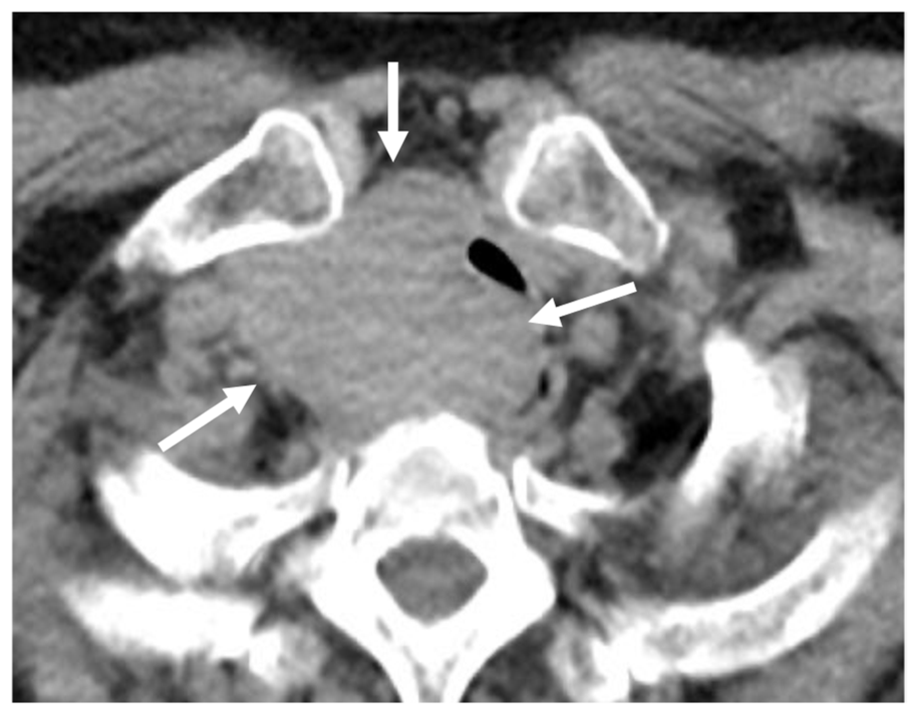
5.1. Neck (Thyroid)
5.2. Breast
5.3. Upper Abdomen
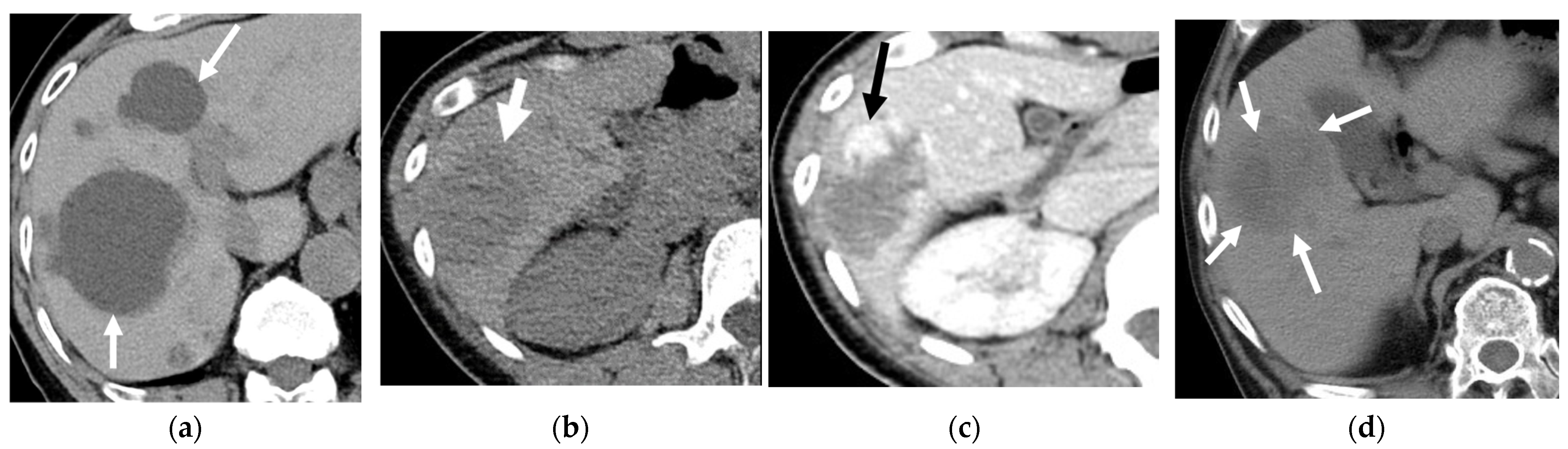
5.3.1. Liver
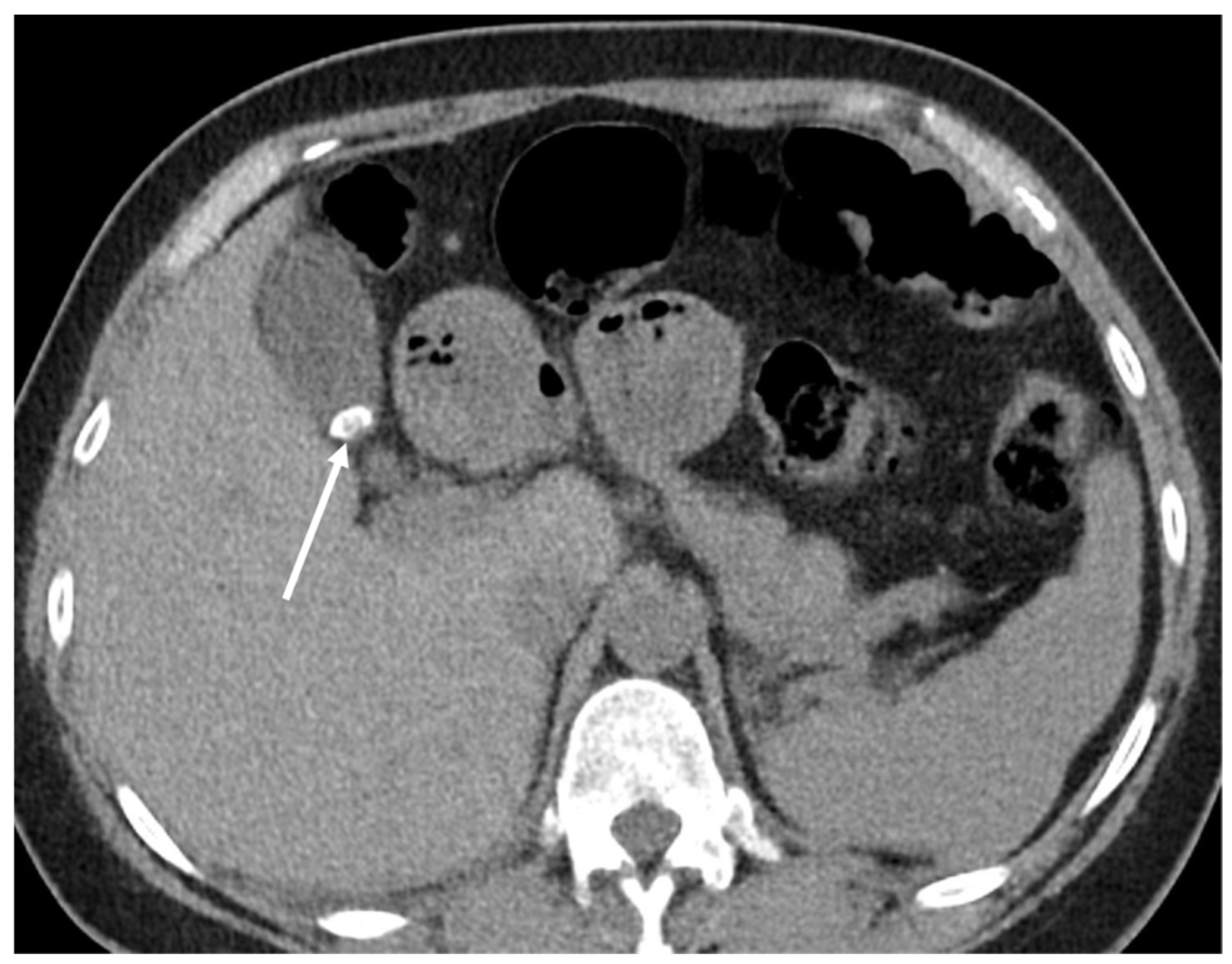
5.3.2. Adrenal Gland
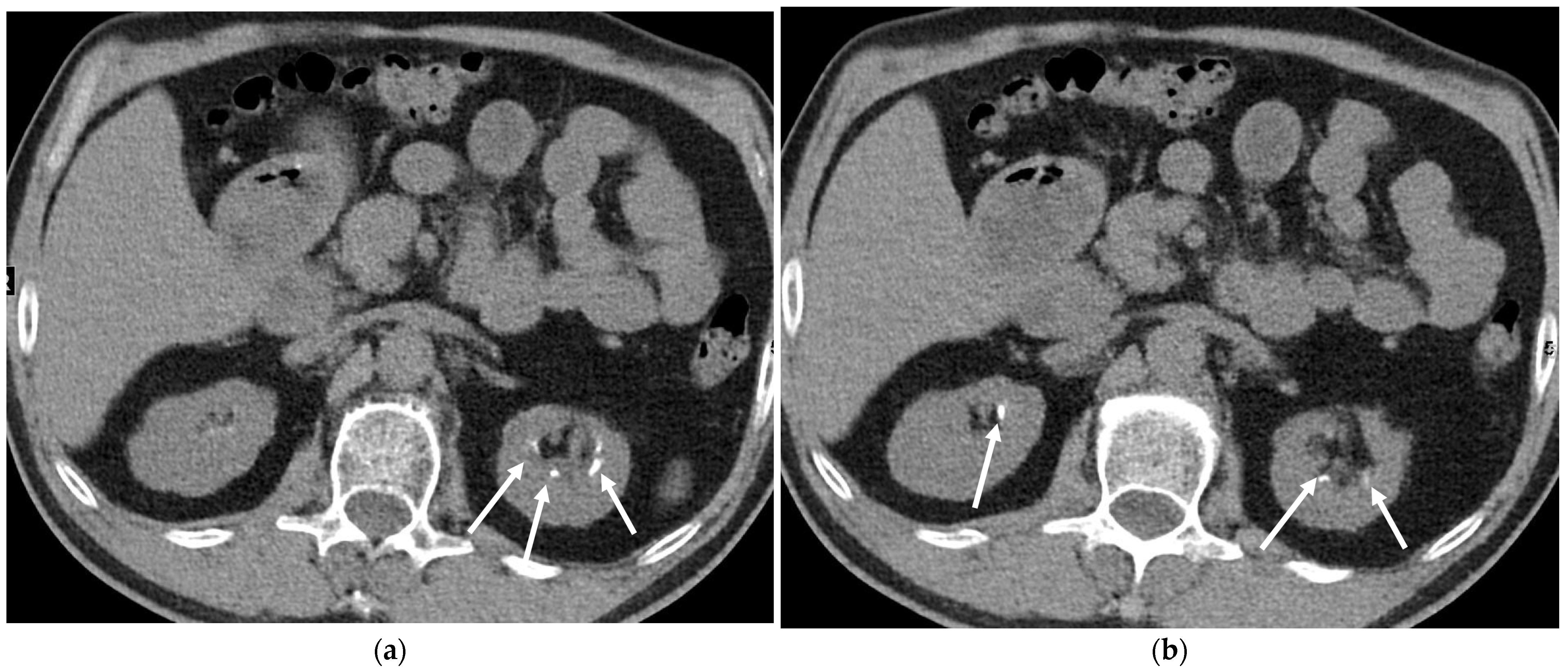
5.3.3. Kidney
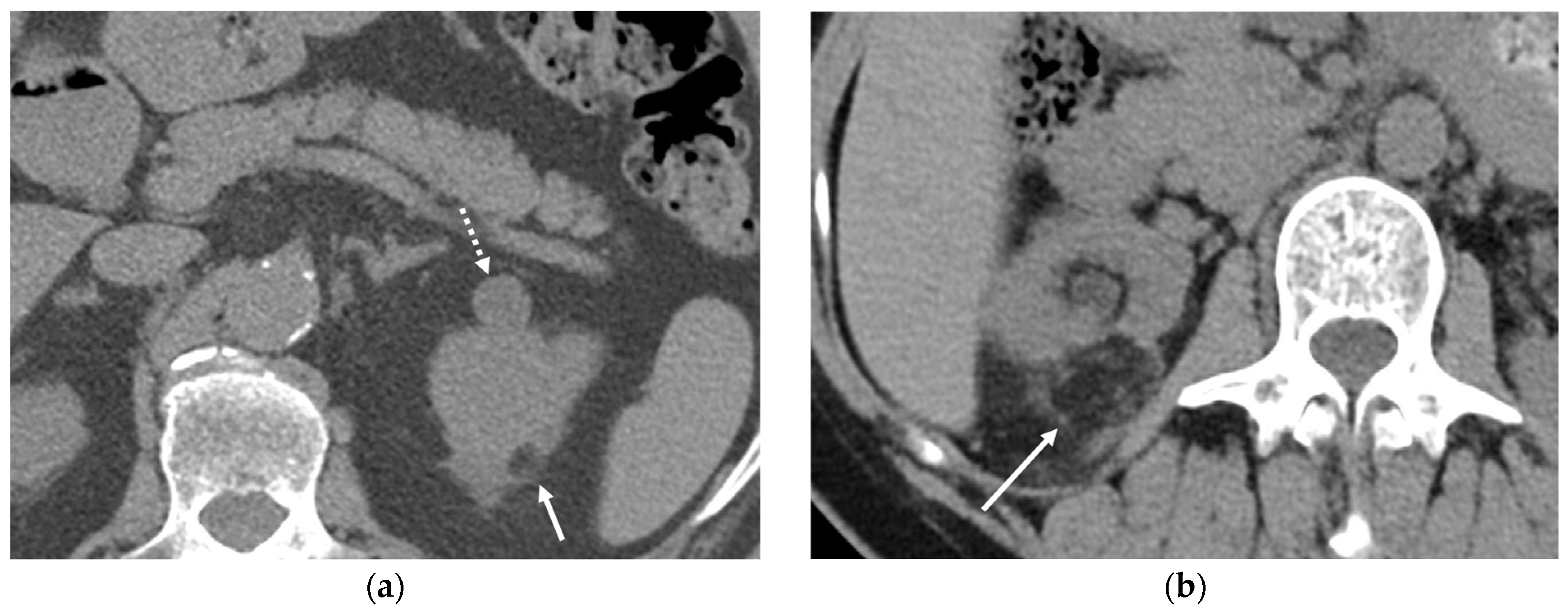
5.3.4. Pancreas
5.4. Bone
6. Summary of Critical Values and Significant Findings Needing Further Surveillance
7. Future Directions
- A standardized terminology and reporting system for IFs would significantly enhance communication between radiologists and clinicians, or even between institutions for patients seeking a second opinion. This can ensure accurate risk assessment and consistent management strategies.
- Developing risk stratification models that incorporate both IF characteristics and individual risk factors, such as age, smoking history, and cardiovascular comorbidities, could lead to more personalized management strategies.
- Artificial intelligence (AI)-based tools hold the promise of improving workflow efficiency and enhancing detection and risk stratification for LDCT [43]. This could involve developing AI algorithms that utilize computer-aided detection (CAD) systems to improve detection sensitivity and/or utilize radiomic features for the accurate characterization of IFs. Such advancements could streamline the interpretation process, improve diagnostic accuracy, and ultimately lead to better patient management.
- Longitudinal studies could be conducted to evaluate the long-term impact of IFs on patient outcomes, including the risks of overdiagnosis and overtreatment. Understanding these long-term effects will be crucial for refining LCS guidelines and optimizing the balance of benefits and harms for individual patients.
8. Conclusions
Author Contributions
Funding
Conflicts of Interest
References
- The National Lung Screening Trial Research Team; Aberle, D.R.; Adams, A.M.; Berg, C.D.; Black, W.C.; Clapp, J.D.; Fagerstrom, R.M.; Gareen, I.F.; Gatsonis, C.; Marcus, P.M.; et al. Reduced Lung-Cancer Mortality with Low-Dose Computed Tomographic Screening. N. Engl. J. Med. 2011, 365, 395–409. [Google Scholar] [CrossRef] [PubMed]
- Wolf, A.M.D.; Oeffinger, K.C.; Shih, T.Y.; Walter, L.C.; Church, T.R.; Fontham, E.T.H.; Elkin, E.B.; Etzioni, R.D.; Guerra, C.E.; Perkins, R.B.; et al. Screening for Lung Cancer: 2023 Guideline Update from the American Cancer Society. CA Cancer J. Clin. 2024, 74, 50–81. [Google Scholar] [CrossRef] [PubMed]
- Gareen, I.F.; Gutman, R.; Sicks, J.; Tailor, T.D.; Hoffman, R.M.; Trivedi, A.N.; Flores, E.; Underwood, E.; Cochancela, J.; Chiles, C. Significant Incidental Findings in the National Lung Screening Trial. JAMA Intern. Med. 2023, 183, 677–684. [Google Scholar] [CrossRef]
- Jonas, D.E.; Reuland, D.S.; Reddy, S.M.; Nagle, M.; Clark, S.D.; Weber, R.P.; Enyioha, C.; Malo, T.L.; Brenner, A.T.; Armstrong, C.; et al. Screening for Lung Cancer with Low-Dose Computed Tomography. JAMA 2021, 325, 971–987. [Google Scholar] [CrossRef] [PubMed]
- Christensen, J.; Prosper, A.E.; Wu, C.C.; Chung, J.; Lee, E.; Elicker, B.; Hunsaker, A.R.; Petranovic, M.; Sandler, K.L.; Stiles, B.; et al. ACR Lung-RADS V2022: Assessment Categories and Management Recommendations. J. Am. Coll. Radiol. 2024, 21, 473–488. [Google Scholar] [CrossRef] [PubMed]
- Dyer, D.S.; White, C.; Thomson, C.C.; Gieske, M.R.; Kanne, J.P.; Chiles, C.; Parker, M.S.; Menchaca, M.; Wu, C.C.; Kazerooni, E.A. A Quick Reference Guide for Incidental Findings on Lung Cancer Screening CT Examinations. J. Am. Coll. Radiol. 2023, 20, 162–172. [Google Scholar] [CrossRef] [PubMed]
- Winter, D.H.; Manzini, M.; Salge, J.M.; Busse, A.; Jaluul, O.; Filho, W.J.; Mathias, W.; Terra-Filho, M. Aging of the Lungs in Asymptomatic Lifelong Nonsmokers: Findings on HRCT. Lung 2015, 193, 283–290. [Google Scholar] [CrossRef]
- Lynch, D.A.; Sverzellati, N.; Travis, W.D.; Brown, K.K.; Colby, T.V.; Galvin, J.R.; Goldin, J.G.; Hansell, D.M.; Inoue, Y.; Johkoh, T.; et al. Diagnostic Criteria for Idiopathic Pulmonary Fibrosis: A Fleischner Society White Paper. Lancet Respir. Med. 2018, 6, 138–153. [Google Scholar] [CrossRef] [PubMed]
- Munden, R.F.; Black, W.C.; Hartman, T.E.; MacMahon, H.; Ko, J.P.; Dyer, D.S.; Naidich, D.; Rossi, S.E.; McAdams, H.P.; Goodman, E.M.; et al. Managing Incidental Findings on Thoracic CT: Lung Findings. A White Paper of the ACR Incidental Findings Committee. J. Am. Coll. Radiol. 2021, 18, 1267–1279. [Google Scholar] [CrossRef]
- Dou, S.; Zheng, C.; Cui, L.; Xie, M.; Wang, W.; Tian, H.; Li, K.; Liu, K.; Tian, X.; Wang, X.; et al. High Prevalence of Bronchiectasis in Emphysema-Predominant COPD Patients. Int. J. Chronic Obstr. Pulm. Dis. 2018, 13, 2041–2047. [Google Scholar] [CrossRef]
- Maselli, D.J.; Yen, A.; Wang, W.; Okajima, Y.; Dolliver, W.R.; Mercugliano, C.; Anzueto, A.; Restrepo, M.I.; Aksamit, T.R.; Basavaraj, A.; et al. Small Airway Disease and Emphysema Are Associated with Future Exacerbations in Smokers with CT-Derived Bronchiectasis and COPD: Results from the COPDGene Cohort. Radiology 2021, 300, 706–714. [Google Scholar] [CrossRef] [PubMed]
- Arnett, D.K.; Blumenthal, R.S.; Albert, M.A.; Buroker, A.B.; Goldberger, Z.D.; Hahn, E.J.; Himmelfarb, C.D.; Khera, A.; Lloyd-Jones, D.; McEvoy, J.W.; et al. 2019 ACC/AHA Guideline on the Primary Prevention of Cardiovascular Disease. Circulation 2019, 140, e596–e646. [Google Scholar] [CrossRef] [PubMed]
- Lin, Y.; Lin, G.; Peng, M.-T.; Kuo, C.-T.; Wan, Y.-L.; Cherng, W.-J. The Role of Artificial Intelligence in Coronary Calcium Scoring in Standard Cardiac Computed Tomography and Chest Computed Tomography with Different Reconstruction Kernels. J. Thorac. Imaging 2024, 39, 111–118. [Google Scholar] [CrossRef] [PubMed]
- Wan, Y.-L.; Tsay, P.-K.; Wu, P.W.; Juan, Y.-H.; Tsai, H.-Y.; Lin, C.-Y.; Yeh, C.-S.; Wang, C.-H.; Chen, C.-C. Impact of Filter Convolution and Displayed Field of View on Estimation of Coronary Agatston Scores in Low-Dose Lung Computed Tomography. Int. J. Cardiol. 2017, 236, 451–457. [Google Scholar] [CrossRef] [PubMed]
- Chiles, C.; Duan, F.; Gladish, G.W.; Ravenel, J.G.; Baginski, S.G.; Snyder, B.S.; DeMello, S.; Desjardins, S.S.; Munden, R.F.; For the NLST Study Team. Association of Coronary Artery Calcification and Mortality in the National Lung Screening Trial: A Comparison of Three Scoring Methods. Radiology 2015, 276, 82–90. [Google Scholar] [CrossRef]
- Munden, R.F.; Carter, B.W.; Chiles, C.; MacMahon, H.; Black, W.C.; Ko, J.P.; McAdams, H.P.; Rossi, S.E.; Leung, A.N.; Boiselle, P.M.; et al. Managing Incidental Findings on Thoracic CT: Mediastinal and Cardiovascular Findings. A White Paper of the ACR Incidental Findings Committee. J. Am. Coll. Radiol. 2018, 15, 1087–1096. [Google Scholar] [CrossRef] [PubMed]
- Hiratzka, L.F.; Bakris, G.L.; Beckman, J.A.; Bersin, R.M.; Carr, V.F.; Casey, D.E.; Eagle, K.A.; Hermann, L.K.; Isselbacher, E.M.; Kazerooni, E.A.; et al. 2010 ACCF/AHA/AATS/ACR/ASA/SCA/SCAI/SIR/STS/SVM Guidelines for the Diagnosis and Management of Patients with Thoracic Aortic Disease. Circulation 2010, 121, e266–e369. [Google Scholar] [CrossRef]
- Mahammedi, A.; Oshmyansky, A.; Hassoun, P.M.; Thiemann, D.R.; Siegelman, S.S. Pulmonary Artery Measurements in Pulmonary Hypertension. J. Thorac. Imaging 2013, 28, 96–103. [Google Scholar] [CrossRef] [PubMed]
- Stewart, B.F.; Siscovick, D.; Lind, B.K.; Gardin, J.M.; Gottdiener, J.S.; Smith, V.E.; Kitzman, D.W.; Otto, C.M. Clinical Factors Associated with Calcific Aortic Valve Disease. Cardiovascular Health Study. J. Am. Coll. Cardiol. 1997, 29, 630–634. [Google Scholar] [CrossRef]
- Messika-Zeitoun, D.; Bielak, L.F.; Peyser, P.A.; Sheedy, P.F.; Turner, S.T.; Nkomo, V.T.; Breen, J.F.; Maalouf, J.; Scott, C.; Tajik, A.J.; et al. Aortic Valve Calcification. Arter. Thromb. Vasc. Biol. 2007, 27, 642–648. [Google Scholar] [CrossRef]
- Lee, S.-E.; Sung, J.M.; Andreini, D.; Al-Mallah, M.H.; Budoff, M.J.; Cademartiri, F.; Chinnaiyan, K.; Choi, J.H.; Chun, E.J.; Conte, E.; et al. Association between Aortic Valve Calcification Progression and Coronary Atherosclerotic Plaque Volume Progression in the PARADIGM Registry. Radiology 2021, 300, 202630. [Google Scholar] [CrossRef] [PubMed]
- Li, M.J.; Hsu, W.C.; Huang, T.Y.; Chen, H.Y.; Khurelsukh, K.; Hsieh, Y.C.; Lin, G.; Lin, Y.; Wan, Y.L. Analysis of 200 Cases of Coronary Computed Tomography Angiography Using 256 or 320-row Scanners: A Single Center Study in Taiwan. J. Radiol. Sci. 2024, 49, 45–52. [Google Scholar] [CrossRef]
- Henschke, C.I.; Lee, I.-J.; Wu, N.; Farooqi, A.; Khan, A.; Yankelevitz, D.; Altorki, N.K. CT Screening for Lung Cancer: Prevalence and Incidence of Mediastinal Masses. Radiology 2006, 239, 586–590. [Google Scholar] [CrossRef]
- Araki, T.; Nishino, M.; Gao, W.; Dupuis, J.; Hunninghake, G.M.; Murakami, T.; Washko, G.R.; O’Connor, G.T.; Hatabu, H. Normal Thymus in Adults: Appearance on CT and Associations with Age, Sex, BMI and Smoking. Eur. Radiol. 2016, 26, 15–24. [Google Scholar] [CrossRef] [PubMed]
- Gil, B.N.; Ran, K.; Tamar, G.; Shmuell, F.; Eli, A. Prevalence of Significant Noncardiac Findings on Coronary Multidetector Computed Tomography Angiography in Asymptomatic Patients. J. Comput. Assist. Tomogr. 2007, 31, 1–4. [Google Scholar] [CrossRef] [PubMed]
- Vierikko, T.; Jarvenpaa, R.; Autti, T.; Oksa, P.; Huuskonen, M.; Kaleva, S.; Laurikka, J.; Kajander, S.; Paakkola, K.; Saarelainen, S.; et al. Chest CT Screening of Asbestos-Exposed Workers: Lung Lesions and Incidental Findings. Eur. Respir. J. 2006, 29, 78–84. [Google Scholar] [CrossRef]
- Farrell, R.; Egger, K.M.; Moss, S. S3272 Incidental Esophageal Abnormalities Found on Lung Cancer Screening by Low-Dose Computed Tomography: Should They Be Scoped? Am. J. Gastroenterol. 2021, 116, S1348. [Google Scholar] [CrossRef]
- Grady, A.T.; Sosa, J.A.; Tanpitukpongse, T.P.; Choudhury, K.R.; Gupta, R.T.; Hoang, J.K. Radiology Reports for Incidental Thyroid Nodules on CT and MRI: High Variability across Subspecialties. Am. J. Neuroradiol. 2015, 36, 397–402. [Google Scholar] [CrossRef] [PubMed]
- SEER*Explorer: An Interactive Website for SEER Cancer Statistics [Internet]. Surveillance Research Program, National Cancer Institute. Available online: https://seer.cancer.gov/explorer/ (accessed on 6 June 2024).
- Hoang, J.K.; Langer, J.E.; Middleton, W.D.; Wu, C.C.; Hammers, L.W.; Cronan, J.J.; Tessler, F.N.; Grant, E.G.; Berland, L.L. Managing Incidental Thyroid Nodules Detected on Imaging: White Paper of the ACR Incidental Thyroid Findings Committee. J. Am. Coll. Radiol. 2015, 12, 143–150. [Google Scholar] [CrossRef]
- Tessler, F.N.; Middleton, W.D.; Grant, E.G.; Hoang, J.K.; Berland, L.L.; Teefey, S.A.; Cronan, J.J.; Beland, M.D.; Desser, T.S.; Frates, M.C.; et al. ACR Thyroid Imaging, Reporting and Data System (TI-RADS): White Paper of the ACR TI-RADS Committee. J. Am. Coll. Radiol. 2017, 14, 587–595. [Google Scholar] [CrossRef]
- Kola, E.; Gjata, A.; Kola, I.; Guy, A.; Musa, J.; Biba, V.; Filaj, V.; Horjeti, E.; Nakuci, D.; Cobo, A.; et al. Ectopic Thyroid Tissue in the Anterior Mediastinum along with a Normally Located Gland. Radiol. Case Rep. 2021, 16, 3191–3195. [Google Scholar] [CrossRef] [PubMed]
- Hummel, J.; Wachsmann, J.; Carrick, K.; Oz, O.K.; Mathews, D.; Peng, F. Ectopic Thyroid Tissue in the Mediastinum Characterized by Histology and Functional Imaging with I-123 SPECT/CT. Case Rep. Radiol. 2017, 2017, 9084207. [Google Scholar] [CrossRef] [PubMed]
- Bunch, P.M.; Randolph, G.W.; Brooks, J.A.; George, V.; Cannon, J.; Kelly, H.R. Parathyroid 4D CT: What the Surgeon Wants to Know. RadioGraphics 2020, 40, 1383–1394. [Google Scholar] [CrossRef]
- Moyle, P.; Sonoda, L.; Britton, P.; Sinnatamby, R. Incidental Breast Lesions Detected on CT: What Is Their Significance? Br. J. Radiol. 2010, 83, 233–240. [Google Scholar] [CrossRef] [PubMed]
- Gore, R.M.; Pickhardt, P.J.; Mortele, K.J.; Fishman, E.K.; Horowitz, J.M.; Fimmel, C.J.; Talamonti, M.S.; Berland, L.L.; Pandharipande, P.V. Management of Incidental Liver Lesions on CT: A White Paper of the ACR Incidental Findings Committee. J. Am. Coll. Radiol. 2017, 14, 1429–1437. [Google Scholar] [CrossRef]
- Klysik, D.L. Nicholas Stence and Kavita Garg Michal Incidental Non-Cardiovascular, Non-Pulmonary Findings Identified in a Low-Dose CT Lung Cancer Screening Population: Prevalence and Clinical Implications. Int. J. Radiol. Imaging Technol. 2015, 1, 2–6. [Google Scholar] [CrossRef]
- Mayo-Smith, W.W.; Song, J.H.; Boland, G.L.; Francis, I.R.; Israel, G.M.; Mazzaglia, P.J.; Berland, L.L.; Pandharipande, P.V. Management of Incidental Adrenal Masses: A White Paper of the ACR Incidental Findings Committee. J. Am. Coll. Radiol. 2017, 14, 1038–1044. [Google Scholar] [CrossRef]
- Herts, B.R.; Silverman, S.G.; Hindman, N.M.; Uzzo, R.G.; Hartman, R.P.; Israel, G.M.; Baumgarten, D.A.; Berland, L.L.; Pandharipande, P.V. Management of the Incidental Renal Mass on CT: A White Paper of the ACR Incidental Findings Committee. J. Am. Coll. Radiol. 2018, 15, 264–273. [Google Scholar] [CrossRef]
- Buckens, C.F.; Graaf, Y.v.d.; Verkooijen, H.M.; Mali, W.P.; Isgum, I.; Mol, C.P.; Verhaar, H.J.; Vliegenthart, R.; Oudkerk, M.; van Aalst, C.M.; et al. Osteoporosis Markers on Low-Dose Lung Cancer Screening Chest Computed Tomography Scans Predict All-Cause Mortality. Eur. Radiol. 2015, 25, 132–139. [Google Scholar] [CrossRef]
- Zhang, J.; Luo, X.; Zhou, R.; Guo, C.; Xu, K.; Qu, G.; Zou, L.; Yao, W.; Lin, S.; Zhang, Z. The Suitable Population for Opportunistic Low Bone Mineral Density Screening Using Computed Tomography. Clin. Interv. Aging 2024, 19, 807–815. [Google Scholar] [CrossRef]
- Sala, F.; Dapoto, A.; Morzenti, C.; Firetto, M.C.; Valle, C.; Tomasoni, A.; Sironi, S. Bone Islands Incidentally Detected on Computed Tomography: Frequency of Enostosis and Differentiation from Untreated Osteoblastic Metastases Based on CT Attenuation Value. Br. J. Radiol. 2019, 92, 20190249. [Google Scholar] [CrossRef] [PubMed]
- Cellina, M.; Cacioppa, L.M.; Cè, M.; Chiarpenello, V.; Costa, M.; Vincenzo, Z.; Pais, D.; Bausano, M.V.; Rossini, N.; Bruno, A.; et al. Artificial Intelligence in Lung Cancer Screening: The Future Is Now. Cancers 2023, 15, 4344. [Google Scholar] [CrossRef] [PubMed]





















Disclaimer/Publisher’s Note: The statements, opinions and data contained in all publications are solely those of the individual author(s) and contributor(s) and not of MDPI and/or the editor(s). MDPI and/or the editor(s) disclaim responsibility for any injury to people or property resulting from any ideas, methods, instructions or products referred to in the content. |
© 2024 by the authors. Licensee MDPI, Basel, Switzerland. This article is an open access article distributed under the terms and conditions of the Creative Commons Attribution (CC BY) license (https://creativecommons.org/licenses/by/4.0/).
Share and Cite
Lin, Y.; Khurelsukh, K.; Li, I.-G.; Wu, C.-T.; Wu, Y.-M.; Lin, G.; Toh, C.-H.; Wan, Y.-L. Incidental Findings in Lung Cancer Screening. Cancers 2024, 16, 2600. https://doi.org/10.3390/cancers16142600
Lin Y, Khurelsukh K, Li I-G, Wu C-T, Wu Y-M, Lin G, Toh C-H, Wan Y-L. Incidental Findings in Lung Cancer Screening. Cancers. 2024; 16(14):2600. https://doi.org/10.3390/cancers16142600
Chicago/Turabian StyleLin, Yenpo, Khulan Khurelsukh, I-Gung Li, Chen-Te Wu, Yi-Ming Wu, Gigin Lin, Cheng-Hong Toh, and Yung-Liang Wan. 2024. "Incidental Findings in Lung Cancer Screening" Cancers 16, no. 14: 2600. https://doi.org/10.3390/cancers16142600
APA StyleLin, Y., Khurelsukh, K., Li, I.-G., Wu, C.-T., Wu, Y.-M., Lin, G., Toh, C.-H., & Wan, Y.-L. (2024). Incidental Findings in Lung Cancer Screening. Cancers, 16(14), 2600. https://doi.org/10.3390/cancers16142600

