Collection of Rare Peripheral Nerve Tumors—Insights from the German Registry
Abstract
Simple Summary
Abstract
1. Introduction
2. Materials and Methods
2.1. The Peripheral Nerve Tumor Register (PNTR)
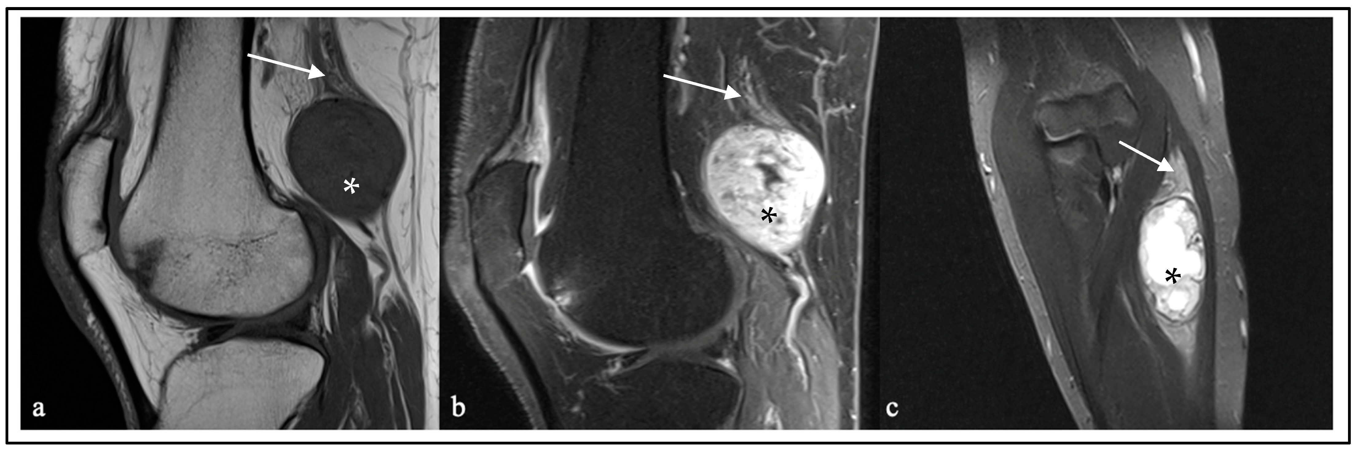
2.2. Imaging: Magnetic Resonance Imaging and Ultrasound
2.3. Data Collection
3. Results
3.1. Histological Examination
3.2. Neurological Symptoms and Pain
3.3. Imaging Findings
3.4. Surgical Treatment and Outcome
3.5. Dropouts
3.6. Supplementary Material
4. Discussion
4.1. Demographic Data
4.2. Clinical Symptoms
4.3. Surgery
4.4. Pathological Analysis
4.5. Imaging
4.6. Possible Indicators for Malignisation
4.7. Limitations
5. Conclusions
Supplementary Materials
Author Contributions
Funding
Institutional Review Board Statement
Informed Consent Statement
Data Availability Statement
Conflicts of Interest
References
- Debs, P.; Fayad, L.M.; Ahlawat, S. MR Neurography of Peripheral Nerve Tumors and Tumor-Mimics. Semin. Roentgenol. 2022, 57, 232–240. [Google Scholar] [CrossRef]
- Miettinen, M.M.; Antonescu, C.R.; Fletcher, C.D.; Kim, A.; Lazar, A.J.; Quezado, M.M.; Reilly, K.M.; Stemmer-Rachamimov, A.; Stewart, D.R.; Viskochil, D.; et al. Histopathologic evaluation of atypical neurofibromatous tumors and their transformation into malignant peripheral nerve sheath tumor in patients with neurofibromatosis 1—A consensus overview. Hum. Pathol. 2017, 67, 1–10. [Google Scholar] [CrossRef]
- Lenartowicz, K.A.; Monie, D.D.; Amrami, K.K.; Klein, C.J.; Giannini, C.; Spinner, R.J. Hybrid tumors with perineurioma components: A systematic review of the literature and illustrative case. Acta Neurochir. 2023, 165, 935–945. [Google Scholar] [CrossRef]
- Uerschels, A.-K.; Dengler, N.F.; Chihi, M.; Lenkeit, A.; Dinger, T.F.; Jabbarli, R.; Sure, U.; Hagenacker, T.; Wrede, K.H.; Gembruch, O. Benign peripheral nerve sheath tumors: An interdisciplinary diagnostic and therapeutic challenge. Neurosurg. Rev. 2023, 46, 205. [Google Scholar] [CrossRef]
- Brand, C.; Pedro, M.T.; Pala, A.; Heinen, C.; Scheuerle, A.; Braun, M.; Antoniadis, G. Perineurioma: A Rare Entity of Peripheral Nerve Sheath Tumors. J. Neurol. Surg. Part A Central Eur. Neurosurg. 2022, 83, 1–5. [Google Scholar] [CrossRef] [PubMed]
- Rodriguez, F.J.; Folpe, A.L.; Giannini, C.; Perry, A. Pathology of peripheral nerve sheath tumors: Diagnostic overview and update on selected diagnostic problems. Acta Neuropathol. 2012, 123, 295–319. [Google Scholar] [CrossRef] [PubMed]
- Woertler, K. Tumors and Tumor-Like Lesions of Peripheral Nerves. Semin. Musculoskelet. Radiol. 2010, 14, 547–558. [Google Scholar] [CrossRef]
- Lefebvre, G.; Le Corroller, T. Ultrasound and MR imaging of peripheral nerve tumors: The state of the art. Skelet. Radiol. 2022, 52, 405–419. [Google Scholar] [CrossRef] [PubMed]
- Pedro, M.T.; Antoniadis, G.; Scheuerle, A.; Pham, M.; Wirtz, C.R.; Koenig, R.W. Intraoperative high-resolution ultrasound and contrast-enhanced ultrasound of peripheral nerve tumors and tumorlike lesions. Neurosurg. Focus 2015, 39, E5. [Google Scholar] [CrossRef]
- Dengler, N.F.; Scholz, C.; Beck, J.; Uerschels, A.-K.; Sure, U.; Scheller, C.; Strauss, C.; Martin, D.; Schackert, G.; Heinen, C.; et al. Rationale and design of the peripheral nerve tumor registry: An observational cohort study. Neurol. Res. 2022, 45, 81–85. [Google Scholar] [CrossRef]
- Misdraji, J.; Ino, Y.; Louis, D.N.; Rosenberg, A.E.; Chiocca, E.A.; Harris, N.L. Primary Lymphoma of Peripheral Nerve: Report of four cases. Am. J. Surg. Pathol. 2000, 24, 1257–1265. [Google Scholar] [CrossRef] [PubMed]
- Roncaroli, F.; Poppi, M.; Riccioni, L.; Frank, F. Primary Non-Hodgkin’s Lymphoma of the Sciatic Nerve Followed by Localization in the Central Nervous System: Case Report and Review of the Literature. Neurosurgery 1997, 40, 618–622. [Google Scholar] [CrossRef] [PubMed]
- Descamps, M.J.L.; Barrett, L.; Groves, M.; Yung, L.; Birch, R.; Murray, N.M.F.; Linch, D.C.; Lunn, M.P.T.; Reilly, M.M. Primary sciatic nerve lymphoma: A case report and review of the literature. J. Neurol. Neurosurg. Psychiatry 2006, 77, 1087–1089. [Google Scholar] [CrossRef] [PubMed]
- Uerschels, A.-K.; Krogias, C.; Junker, A.; Sure, U.; Wrede, K.H.; Gembruch, O. Modern treatment of perineuriomas: A case-series and systematic review. BMC Neurol. 2020, 20, 55. [Google Scholar] [CrossRef]
- Beteiligung, U. Diagnostik und Therapie Peripherer Nerventumoren S2k-Leitlinie der Deutschen Gesellschaft für Neuro-Chirurgie; Deutschen Gesellschaft der Plastischen, Rekonstruktiven und Ästhetischen Chirurgen Deutschen Gesellschaft für Hand-chirurgie: Berlin, Germany, 2022. [Google Scholar]
- Rhodes, S.D.; He, Y.; Smith, A.; Jiang, L.; Lu, Q.; Mund, J.; Li, X.; Bessler, W.; Qian, S.; Dyer, W.; et al. Cdkn2a (Arf) loss drives NF1-associated atypical neurofibroma and malignant transformation. Hum. Mol. Genet. 2019, 28, 2752–2762. [Google Scholar] [CrossRef]
- Tao, J.; Sun, D.; Dong, L.; Zhu, H.; Hou, H. Advancement in research and therapy of NF1 mutant malignant tumors. Cancer Cell Int. 2020, 20, 492. [Google Scholar] [CrossRef]
- Louis, D.N.; Perry, A.; Reifenberger, G.; Von Deimling, A.; Figarella-Branger, D.; Cavenee, W.K.; Ohgaki, H.; Wiestler, O.D.; Kleihues, P.; Ellison, D.W. The 2016 World Health Organization Classification of Tumors of the Central Nervous System: A summary. Acta Neuropathol. 2016, 131, 803–820. [Google Scholar] [CrossRef]
- Louis, D.N.; Perry, A.; Wesseling, P.; Brat, D.J.; Cree, I.A.; Figarella-Branger, D.; Hawkins, C.; Ng, H.K.; Pfister, S.M.; Reifenberger, G.; et al. The 2021 WHO Classification of Tumors of the Central Nervous System: A summary. Neuro-Oncology 2021, 23, 1231–1251. [Google Scholar] [CrossRef] [PubMed]
- Röhrich, M.; Koelsche, C.; Schrimpf, D.; Capper, D.; Sahm, F.; Kratz, A.; Reuss, J.; Hovestadt, V.; Jones, D.T.W.; Bewerunge-Hudler, M.; et al. Methylation-based classification of benign and malignant peripheral nerve sheath tumors. Acta Neuropathol. 2016, 131, 877–887. [Google Scholar] [CrossRef]
- Hemerková, P.; Matulová, H.; Vališ, M.; Soukup, J.; Kanta, M.; Jandura, J. Synovial sarcoma of the tibial nerve–Case report of a rare tumor in a rare location requiring early diagnosis. BMC Neurol. 2023, 23, 65. [Google Scholar] [CrossRef]
- Liu, J.; Zhang, K.; Yang, X.; Yu, C. A rare case of synovial sarcoma mimicking benign peripheral nerve-sheath tumor. Asian J. Surg. 2024, 47, 1667–1668. [Google Scholar] [CrossRef] [PubMed]
- Abreu, E.; Aubert, S.; Wavreille, G.; Gheno, R.; Canella, C.; Cotten, A. Peripheral tumor and tumor-like neurogenic lesions. Eur. J. Radiol. 2013, 82, 38–50. [Google Scholar] [CrossRef] [PubMed]
- Salamon, J.; Veldhoen, S.; Apostolova, I.; Bannas, P.; Yamamura, J.; Herrmann, J.; Friedrich, R.E.; Adam, G.; Mautner, V.F.; Derlin, T. 18F-FDG PET/CT for detection of malignant peripheral nerve sheath tumours in neurofibromatosis type 1: Tumour-to-liver ratio is superior to an SUVmax cut-off. Eur. Radiol. 2013, 24, 405–412. [Google Scholar] [CrossRef] [PubMed]
- Tovmassian, D.; Razak, M.A.; London, K. The Role of [18F]FDG-PET/CT in Predicting Malignant Transformation of Plexiform Neurofibromas in Neurofibromatosis-1. Int. J. Surg. Oncol. 2016, 2016, 6162182. [Google Scholar] [CrossRef] [PubMed]
- Nishida, Y.; Ikuta, K.; Ito, S.; Urakawa, H.; Sakai, T.; Koike, H.; Ito, K.; Imagama, S. Limitations and benefits of FDG-PET/CT in NF1 patients with nerve sheath tumors: A cross-sectional/longitudinal study. Cancer Sci. 2021, 112, 1114–1122. [Google Scholar] [CrossRef] [PubMed]
- Nielsen, G.P.; Stemmer-Rachamimov, A.O.; Ino, Y.; Møller, M.B.; Rosenberg, A.E.; Louis, D.N. Malignant Transformation of Neurofibromas in Neurofibromatosis 1 Is Associated with CDKN2A/p16 Inactivation. Am. J. Pathol. 1999, 155, 1879–1884. [Google Scholar] [CrossRef]
- Higham, C.S.; Dombi, E.; Rogiers, A.; Bhaumik, S.; Pans, S.; Connor, S.E.J.; Miettinen, M.; Sciot, R.; Tirabosco, R.; Brems, H.; et al. The characteristics of 76 atypical neurofibromas as precursors to neurofibromatosis 1 associated malignant peripheral nerve sheath tumors. Neuro-Oncology 2018, 20, 818–825. [Google Scholar] [CrossRef]


| Pathological Diagnosis | Neurological Symptoms | Pain | ||||
|---|---|---|---|---|---|---|
| Motor Deficits T1 | Sensor Deficits T1 | Motor Deficits T2 | Sensor Deficits T2 | Rest Pain T1 | Stress Pain T1 | |
| Intrinsic PNT | ||||||
| HPNST (n = 14) | 4 (29%) | 4 (29%) | 5 (36%) | 11 (79%) | ||
| MPNST (n = 13) | 6 (46%) | 7 (54%) | 7 (54%) | 10 (77%) | 9 (69%) | 9 (69%) |
| Perineurioma (n = 17) | 16 (94%) | 10 (59%) | 16 (94%) | 10 (59%) | 3 (18%) | 8 (47%) |
| ANNUBP (n = 1) | 1 (100%) | 1 (100%) | ||||
| Extrinsic PNT | ||||||
| Metastasis (n = 1) | 1 (100%) | 1 (100%) | 1 (100%) | 1 (100%) | ||
| Lymphoma (n = 3) | 2 (67%) | 2 (67%) | 2 (67%) | 2 (67%) | 1 (33%) | 2 (67%) |
| Amyloidoma (n = 1) | 1 (100%) | 1 (100%) | 1 (100%) | 1 (100%) | 1 (100%) | 1 (100%) |
| Hemangioma (n = 2) | 1 (50%) | 2 (100%) | 1 (50%) | 2 (100%) | 1 (50%) | 1 (50%) |
| Angiomatosis (n = 1) | 1 (100%) | 1 (100%) | 1 (100%) | |||
| Capillary hemangioma (n = 1) | 1 (100%) | 1 (100%) | 1 (100%) | 1 (100%) | ||
| EHE (n = 1) | 1 (100%) | |||||
| SFT (n = 2) | 2 (100%) | 2 (100%) | ||||
| Lymphangioma (n = 2) | 2 (100%) | 1 (50%) | 1 (50%) | |||
| Desmoid (n = 1) | 1 (100%) | 1 (100%) | 1 (100%) | 1 (100%) | 1 (100%) | |
| Myopericytoma (n = 1) | 1 (100%) | |||||
| Diagnosis | MRI Features | Lesion Component in T2 | ||||
|---|---|---|---|---|---|---|
| Size * (mm), Range, Mean | Contrast Enhancement (n, %) | Invasion (n, %) | Cystic (n, %) | Ih (n, %) | H (n, %) | |
| Intrinsic PNTs | ||||||
| HPNST (n = 13) | 19–76 (41) | 13 (100%) | 0 | 5 (38%) | 12 (92.3%) | 1 (8%) |
| HPNST (S/NF) (n = 11) | 19–76 (40) | 11 (100%) | 0 | 4 (36%) | 10 (91%) | 1 (9%) |
| HPNST (S/P) (n = 2) | 23–71 (47) | 2 (100%) | 0 | 1 (50%) | 2 (100%) | 0 |
| MPNST (n = 13) | 27–96 (57) | 13 (100%) | 3 (23%) | 7 (53%) | 12 (92%) | 1 (8%) |
| Perineurioma (n = 17) | 15–190 (72) | 17 (100%) | 0 | 14 (82%) Enlarged fascicles and/or change in calibers | ||
| ANNUBP (n = 1) | 52 | 1 (100%) | 0 | 0 | 1 (100%) | 0 |
| Extrinsic PNTs | ||||||
| Metastatic tumor (n = 1) | 80 | 1 (100%) | 1 (100%) | 1 (100%) | 1 (100%) | 0 |
| Lymphoma (n = 3) | 21–120 (81) | 3 (100%) | 2 (67%) | 0 | 3 (100%) | 0 |
| Amyloidoma (n = 1) | 29 | 1 (100%) | 0 | 0 | 0 | 1 (100%) |
| Hemangioma (n = 1) | 140 | 1 (100%) | 1 (100%) | 1 (190%) | 1 (100%) | |
| Angiomatosis (n = 1) | 12 | 0 | 0 | 0 | 0 | 1 (100%) |
| Capillary hemangioma (n = 1) | 7 | 0 | 0 | 0 | 0 | 1 (100%) |
| EHE (n = 1) | 28 | 1 (100%) | 1 (100%) | 1 (100%) | 1 (100%) | |
| SFT (n = 2) | 29–57 (43) | 2 (100%) | 0 | 2 (100%) | ||
| Lymphangioma (n = 2) | 48–82 (65) | 2 (100%), honeycomb-like | 0 | 2 (100%), honeycomb-like | 0 | |
| Desmoid (n = 1) | 49 | 1 (100%) | 1 (100%) | 0 | 0 | 1 (100%) |
| Myopericytoma (n = 1) | 10 | 1 (100%) | 0 | 0 | 0 | 1 (100%) |
| Histopathological Diagnosis | Ultrasound | |||||
|---|---|---|---|---|---|---|
| Echogenicity | Type | |||||
| Iso (n, %) | Hypo (n, %) | Hyper (n, %) | A (n, %) | B (n, %) | C (n, %) | |
| Intrinsic PNTs | ||||||
| HPNST (S/NF) (n = 3) | 1 (33%) | 2 (67%) | 3 (100%) | |||
| MPNST (n = 7) | 1 (8%) | 6 (46%) | 7 (100%) | |||
| Perineurioma (n = 10) | 2 (20%) | 8 (80%) | 10 (100%) | |||
| ANNUBP (n = 1) | 1 (100%) | 1 (100%) | ||||
| Extrinsic PNTs | ||||||
| Lymphoma (n = 1) | 1 (100%) | 1 (100%) | ||||
| Amyloidoma (n = 1) | 1 (100%) | 1 (100%) | ||||
| Hemangioma (n = 1) | 1 (100%) | 1 (100%) | ||||
| Angiomatosis (n = 1) | 1 (100%) | 1 (100%) | ||||
| Capillary hemangioma (n = 1) | 1 (100%) | 1 (100%) | ||||
| EHE (n = 1) | 1 (100%) | 1 (100%) | ||||
| Histopathological Diagnosis | Extent of Removal | Adjuvant Treatment | Outcome | Follow-Up | ||
|---|---|---|---|---|---|---|
| Biopsy (n, %) | Partial Resection (n, %) | Total Resection (n, %) | (Mean, Months) | |||
| Intrinsic PNTs | ||||||
| HPNST (n = 14) | 14 (100%) | none | NR, n = 14 | 12 | ||
| MPNST (n = 13) | 2 (15%) | 7 (54%) | 4 (31%) | individual | R, n = 1 | 29 |
| SD, n = 3 | ||||||
| P, n = 1 | ||||||
| D, n = 4 | ||||||
| LFU, n = 4 | ||||||
| Perineurioma (n = 17) | 17 (100%) | none | SD, n = 17 | 39 | ||
| ANNUBP (n = 1) | 1 (100%) | no | NR, n = 1 | 6 | ||
| Extrinsic PNTs | ||||||
| Metastatic tumor (n = 1) | 1 (100%) | individual | D, n = 1 | 6 | ||
| Lymphoma (n = 3) | 1 (33%) | 1 (33%) | 1 (33%) | individual | SD, n = 2 | 48 |
| LFU, n = 1 | ||||||
| Amyloidoma (n = 1) | 1 (100%) | Antibody therapy | SD, n = 1 | 3 | ||
| Hemangioma (n = 2) | 2 (100%) | no | NR, n = 2 | 31 | ||
| Angiomatosis (n = 1) | 1 (100%) | no | SD, n = 1 | 18 | ||
| Capillary hemangioma (n = 1) | 1 (100%) | no | SD, n = 1 | 3 | ||
| EHE (n = 1) | 1 (100%) | no | SD, n = 1 | 3 | ||
| SFT (n = 2) | 2 (100%) | no | NR, n = 2 | 9 | ||
| Lymphangioma (n = 2) | 1 (50%) | 1 (50%) | no | SD, n = 2 | 12 | |
| Desmoid (n = 1) | 1 (100%) | Sorafenib | SD, n = 1 | 18 | ||
| Myoperizytoma (n = 1) | 1 (100%) | no | NR, n = 1 | 3 | ||
Disclaimer/Publisher’s Note: The statements, opinions and data contained in all publications are solely those of the individual author(s) and contributor(s) and not of MDPI and/or the editor(s). MDPI and/or the editor(s) disclaim responsibility for any injury to people or property resulting from any ideas, methods, instructions or products referred to in the content. |
© 2024 by the authors. Licensee MDPI, Basel, Switzerland. This article is an open access article distributed under the terms and conditions of the Creative Commons Attribution (CC BY) license (https://creativecommons.org/licenses/by/4.0/).
Share and Cite
Grübel, N.; Antoniadis, G.; Uerschels, A.-K.; Gembruch, O.; Marschal, V.; Deininger, S.; König, R.; Pala, A.; Bremer, J.; Dengler, N.F.; et al. Collection of Rare Peripheral Nerve Tumors—Insights from the German Registry. Cancers 2024, 16, 2599. https://doi.org/10.3390/cancers16142599
Grübel N, Antoniadis G, Uerschels A-K, Gembruch O, Marschal V, Deininger S, König R, Pala A, Bremer J, Dengler NF, et al. Collection of Rare Peripheral Nerve Tumors—Insights from the German Registry. Cancers. 2024; 16(14):2599. https://doi.org/10.3390/cancers16142599
Chicago/Turabian StyleGrübel, Nadja, Gregor Antoniadis, Anne-Kathrin Uerschels, Oliver Gembruch, Vera Marschal, Stefanie Deininger, Ralph König, Andrej Pala, Juliane Bremer, Nora F. Dengler, and et al. 2024. "Collection of Rare Peripheral Nerve Tumors—Insights from the German Registry" Cancers 16, no. 14: 2599. https://doi.org/10.3390/cancers16142599
APA StyleGrübel, N., Antoniadis, G., Uerschels, A.-K., Gembruch, O., Marschal, V., Deininger, S., König, R., Pala, A., Bremer, J., Dengler, N. F., Reuter, M., Wirtz, C. R., & Pedro, M. T., on behalf of the Peripheral Nerve Tumor Study. (2024). Collection of Rare Peripheral Nerve Tumors—Insights from the German Registry. Cancers, 16(14), 2599. https://doi.org/10.3390/cancers16142599

