Sign in to use this feature.

Years

Between: -

Subjects

remove_circle_outline
remove_circle_outline
remove_circle_outline
remove_circle_outline
remove_circle_outline
remove_circle_outline
remove_circle_outline
remove_circle_outline

Journals

Article Types

Countries / Regions

Search Results (300)

Search Parameters:
Keywords = neurofibromatosis

Order results
Result details
Results per page
Select all
Export citation of selected articles as:
15 pages, 979 KB  
Article
Small Bowel Gastrointestinal Stromal Tumors: A 15-Year Cohort Study Focusing on Jejuno-Ileal Site-Specific Outcomes and Prognostic Factors
by Yuichi Kojima, Kentaro Tominaga, Yuzo Kawata, Chizuru Kaneko, Shuhei Kondo, Yoshifumi Shimada, Junji Yokoyama, Toshifumi Wakai and Shuji Terai
Cancers 2026, 18(2), 218; https://doi.org/10.3390/cancers18020218 - 9 Jan 2026
Abstract
Background: Site-specific long-term outcomes, including neurofibromatosis type 1 (NF1), Ki-67 prognostic value, and very late recurrences of small bowel gastrointestinal stromal tumors (GISTs), remain inadequately defined. Methods: This retrospective cohort study investigated the clinical characteristics, diagnostic challenges, and long-term outcomes of patients with [...] Read more.
Background: Site-specific long-term outcomes, including neurofibromatosis type 1 (NF1), Ki-67 prognostic value, and very late recurrences of small bowel gastrointestinal stromal tumors (GISTs), remain inadequately defined. Methods: This retrospective cohort study investigated the clinical characteristics, diagnostic challenges, and long-term outcomes of patients with small bowel GISTs. This retrospective, single-center study (2008–2024) analyzed 27 consecutive patients (average age: 62.2 years) with jejunal/ileal GISTs. Clinicopathologic features, diagnostic yield of balloon-assisted enteroscopy (BAE), treatments, and outcomes were evaluated during a 10.2-year median follow-up period. Recurrence-free survival (RFS) and overall survival (OS) were estimated by Kaplan–Meier with log-rank testing. Ki-67 was assessed using MIB-1; a prespecified 5% cut-off was chosen based on prior evidence. Results: Tumor (mean size, 62.4 mm) sites included the jejunum (74.1%) and ileum (25.9%). NF1 was present in 3/27 (11.1%) patients, all with multiple jejunal tumors. Among the 14 patients who underwent BAE, biopsy was attempted in six and yielded a histological diagnosis in one (16.7%). Six patients had recurrence; two died from disease >10 years postoperatively. Five-year OS and RFS were 91.3% and 68.7%, respectively. Adverse RFS was associated with ileal location (p = 0.03), size ≥ 10 cm (p < 0.001), mitoses > 5/50 high-power fields (p = 0.002), and Ki-67 ≥ 5% (p < 0.001). One patient labeled low risk by conventional models had recurrence with Ki-67 = 10%. Another classified as low risk by conventional models experienced recurrence >10 years after surgery, with a Ki-67 index of 10%. Conclusions: Extended, risk-adapted surveillance may be reasonable for small-bowel GISTs, and it may be beneficial to incorporate Ki-67 (≥5%) into site-based risk stratification. These observations remain hypothesis-generating and require validation in larger, multicenter cohorts and prospective studies. Full article
(This article belongs to the Section Cancer Therapy)
12 pages, 752 KB  
Article
Dermoscopy-Guided High-Frequency Ultrasound Imaging of Subcentimeter Cutaneous and Subcutaneous Neurofibromas in Patients with Neurofibromatosis Type 1
by Krisztina Kerekes, Mehdi Boostani, Zseraldin Metyovinyi, Norbert Kiss and Márta Medvecz
J. Clin. Med. 2026, 15(2), 475; https://doi.org/10.3390/jcm15020475 - 7 Jan 2026
Abstract
Background: Neurofibromatosis type 1 (NF1) is an autosomal dominant disorder characterized by cutaneous and subcutaneous neurofibromas, which impact quality of life. Dermoscopy-guided high-frequency ultrasound (DG-HFUS) integrates dermoscopy with 33 MHz ultrasound, enabling precise lesion localization and reproducible measurements. Objective: To characterize neurofibromas [...] Read more.
Background: Neurofibromatosis type 1 (NF1) is an autosomal dominant disorder characterized by cutaneous and subcutaneous neurofibromas, which impact quality of life. Dermoscopy-guided high-frequency ultrasound (DG-HFUS) integrates dermoscopy with 33 MHz ultrasound, enabling precise lesion localization and reproducible measurements. Objective: To characterize neurofibromas in NF1 patients using DG-HFUS and identify imaging parameters for diagnosis, monitoring, and treatment planning. Methods: 14 genetically confirmed NF1 patients underwent DG-HFUS imaging (Dermus SkinScanner). 100 neurofibromas were assessed for size, location, shape, contours, surface, echogenicity, global echogenicity, and posterior acoustic features. Results: Lesions were dermal (79%) or subcutaneous (21%), round (28%), ovoid (63%), or spiked (9%). Mean vertical and lateral diameters were 5.37 ± 2.66 mm and 2.28 ± 1.39 mm. All were hypoechoic; 62% homogeneous, 38% heterogeneous. Margins were well-defined in 57% and poorly defined in 43%. Posterior enhancement occurred in 3% and shadowing in 10%. Conclusions: DG-HFUS provides a detailed, reproducible assessment of neurofibromas, supporting differential diagnosis, surgical planning, and longitudinal monitoring. The evaluated imaging parameters offer objective insights for optimizing NF1 management. Future developments, including 3D reconstruction and AI-assisted analysis, may further enhance its clinical utility. Full article
(This article belongs to the Special Issue Fresh Insights in Skin Disease)
Show Figures

Figure 1

10 pages, 1778 KB  
Case Report
NF1 with Multiple Cardiac Structural Abnormalities Leading to Cerebral Infarction
by Jingwei Ye, Yiyi Jiang, Hanmin Wang and Dan Wang
Diagnostics 2026, 16(1), 163; https://doi.org/10.3390/diagnostics16010163 - 4 Jan 2026
Viewed by 144
Abstract
Background/Objectives: Neurofibromatosis type 1 (NF1) is an autosomal dominant disorder driven by mutations in the NF1 gene, whose pathogenesis centers on the loss of neurofibromin function and subsequent hyperactivation of the RAS/MAPK pathway. Notably, to the best of our knowledge and following [...] Read more.
Background/Objectives: Neurofibromatosis type 1 (NF1) is an autosomal dominant disorder driven by mutations in the NF1 gene, whose pathogenesis centers on the loss of neurofibromin function and subsequent hyperactivation of the RAS/MAPK pathway. Notably, to the best of our knowledge and following a systematic literature search conducted by our research team, no cases of NF1 complicated by severe cardiac structural abnormalities that ultimately lead to cerebral infarction have been reported to date. Thus, it is of paramount importance to avoid missed diagnosis by performing comprehensive cardiac-related examinations in patients with NF1. Case Presentation: A 20-year-old male patient diagnosed with NF1 presented with right-sided limb weakness and was initially identified with cerebral infarction. To clarify the underlying etiology, a comprehensive clinical evaluation was performed, including cardiac imaging assessments (to characterize cardiac structural changes) and whole-exome sequencing (to identify the presence of procoagulant gene mutations). Comprehensive evaluation revealed a spectrum of cardiac structural abnormalities in the patient: aortic valve prolapse with severe regurgitation, non-infective vegetations on the aortic valve leaflets, mild-to-moderate mitral regurgitation, left ventricular hypertrophy and dilation, and left atrial dilation. Whole-exome sequencing detected exclusively a pathogenic variant in the NF1 gene, with no other pathogenic/likely pathogenic variants or thrombophilia-associated polymorphisms being found. Laboratory investigations ruled out infectious etiologies, supporting the notion that NF1-mediated cardiac structural and developmental anomalies are the primary driver of cardiac vegetation formation, given the absence of other identified contributing factors; embolization of one such vegetation ultimately led to both splenic and cerebral infarction. Conclusions: This case emphasizes the necessity of implementing early and proactive cardiac evaluations in patients with NF1. Additionally, for NF1 individuals—particularly those presenting with suggestive vascular or cardiac symptoms—a comprehensive multifactorial assessment of thrombotic risk is critical. Collectively, maintaining clinical vigilance for cardiac abnormalities in NF1 patients and avoiding diagnostic oversight is essential to reduce life-threatening risks. Full article
(This article belongs to the Section Pathology and Molecular Diagnostics)
Show Figures

Figure 1

12 pages, 2603 KB  
Article
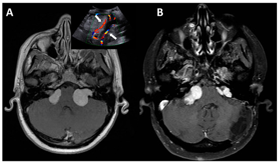
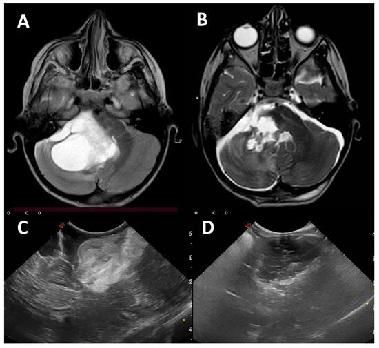
Cerebello-Pontine Angle Tumors in Children: An Update on Challenging Neoplasms
by Luca Massimi, Giuliano Di Monaco, Jacopo Ciccani, Federico Bianchi, Paolo Frassanito and Gianpiero Tamburrini
Diagnostics 2026, 16(1), 131; https://doi.org/10.3390/diagnostics16010131 - 1 Jan 2026
Viewed by 211
Abstract
Introduction: Cerebellopontine angle (CPA) tumors are rare in children. As a result, knowledge on them is still limited, often concerning old series. The goal of this study is to provide an update on these challenging neoplasms by presenting a large series compared with [...] Read more.
Introduction: Cerebellopontine angle (CPA) tumors are rare in children. As a result, knowledge on them is still limited, often concerning old series. The goal of this study is to provide an update on these challenging neoplasms by presenting a large series compared with those available in the literature and focusing on tumor characteristics, molecular pattern, extent of tumor removal, surgical complications, and outcome. Methods: All children with CPA tumors consecutively operated on between 2010 and 2020 (minimum follow-up: 5 years) and with complete follow-up data were considered. Retro-sigmoid approach was used for tumors arising from CPA (group A) while a midline sub-occipital was used for those extending into CPA (Group B). Intraoperative neuronavigation, neuro-monitoring, and ultrasounds were routinely utilized. Results: 48 children (54 tumors) were included (mean age at surgery: 6.9 years, 38% infants, M/F ratio 1.1). Hydrocephalus was present at diagnosis in 27% of cases. Gross total resection of the tumor was obtained in 59% of cases, and subtotal and partial resection in 24% and 17%, respectively. Complications occurred in 25% of cases. Group A was composed of 23 children: the most common tumor was schwannoma (43%) followed by ependymomas, medulloblastoma, AT/RT (13% each), and less common histotypes. Group B was composed of 25 children: ependymomas (60%), AT/RT (20%), medulloblastoma (12%), others (8%). All but one ependymomas belonged to PF-A molecular group, while medulloblastomas were equally divided between WNT and Sonic-Hedgehog. The overall survival rate after a mean 7.2-year follow-up is 71%. A total of 14 patients died because of tumor or disease progression. No statistical differences between the two groups were detected as far as demographic data, tumor growing pattern, extent of tumor removal, complication rate, and overall survival were concerned. Only the mean tumor diameter was significantly longer in group B (3.9 cm vs. 3.3 cm). Apart from some differences in the demography, the extent of tumor removal and complications, no relevant differences were noticed among the series analyzed. Conclusions: Pediatric CPA tumors are uncommon but not rare and present significant management challenges. Surgery is demanding. The long-term survival is poorly improved compared with the past and compared with other posterior fossa tumors, the prognosis is mainly related to the biological tumor characteristics and the adjuvant treatments rather than the surgical excision. Full article
(This article belongs to the Special Issue Advances in the Diagnosis of Nervous System Diseases—3rd Edition)
Show Figures

Figure 1

15 pages, 2157 KB  
Article
Caffeine May Delay the Radiation-Induced Nucleoshuttling of the ATM Kinase and Reduce the Recognition of the DNA Double-Strand Breaks in Human Cells
by Léonie Moliard, Juliette Restier-Verlet, Joëlle Al-Choboq, Adeline Granzotto, Laurent Charlet, Jacques Balosso, Michel Bourguignon, Laurent Pujo-Menjouet and Nicolas Foray
Biomolecules 2026, 16(1), 41; https://doi.org/10.3390/biom16010041 - 25 Dec 2025
Viewed by 297
Abstract
Since 2014, a model of the individual response to ionizing radiation (IR), based on the radiation-induced nucleoshuttling of the ATM protein kinase (RIANS), has been developed by our lab: after irradiation, ATM dimers monomerize in cytoplasm and diffuse into the nucleus to trigger [...] Read more.
Since 2014, a model of the individual response to ionizing radiation (IR), based on the radiation-induced nucleoshuttling of the ATM protein kinase (RIANS), has been developed by our lab: after irradiation, ATM dimers monomerize in cytoplasm and diffuse into the nucleus to trigger both recognition and repair of DNA double-strand breaks (DSB), the key-damage of IR response. Moderate radiosensitivity is generally caused by heterozygous mutations of ATM substrates (called X-proteins) that are over-expressed in cytoplasm and form complexes with ATM monomers, which reduces and/or delays the RIANS and DSB recognition. Here, we asked whether molecules, rather than X-proteins, can also influence RIANS. Caffeine was chosen as a potential “X-molecule” candidate. After incubation of cells with caffeine, cutaneous fibroblasts from an apparently healthy radioresistant donor, a patient suffering from Alzheimer’s disease (AD) and another suffering from neurofibromatosis type 1 (NF1) were exposed to X-rays. The functionality of ATM-dependent DSB repair and signaling was evaluated. We report here that caffeine molecule interaction with ATM leads to the inhibition of DSB recognition. This effect is significant in radioresistant cells. Conversely, in the AD and NF1 cells, the DSB recognition is already so low that caffeine does not provide any additional molecular effect. Full article
(This article belongs to the Section Natural and Bio-derived Molecules)
Show Figures

Figure 1

25 pages, 2944 KB  
Systematic Review
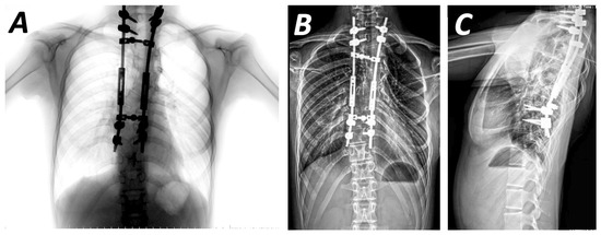
Tips and Pitfalls of Surgical Techniques for Scoliotic Deformities in Neurofibromatosis Type 1
by Angelos Kaspiris, Ioanna Lianou, Vasileios Marouglianis, Roberta-Spyridoula Afrati, Evangelos Sakellariou, Andreas Morakis, Panagiotis Karampinas, Elias S. Vasilisadis and Spiros G. Pneumaticos
J. Clin. Med. 2026, 15(1), 104; https://doi.org/10.3390/jcm15010104 - 23 Dec 2025
Viewed by 257
Abstract
Background: Neurofibromatosis 1 is an autosomal dominant disorder accompanied by extensive early-onset spinal manifestations, with or without dystrophic scoliotic features. While non-dystrophic subtypes can often be treated similarly to idiopathic scoliosis, dystrophic scoliosis typically requires more aggressive intervention, often involving instrumentation in [...] Read more.
Background: Neurofibromatosis 1 is an autosomal dominant disorder accompanied by extensive early-onset spinal manifestations, with or without dystrophic scoliotic features. While non-dystrophic subtypes can often be treated similarly to idiopathic scoliosis, dystrophic scoliosis typically requires more aggressive intervention, often involving instrumentation in severely compromised pedicles or vertebrae. Purpose: This review aims to present recent advances in the surgical treatment of Neurofibromatosis 1-associated scoliosis, including surgical techniques and emerging guidance methods. Methods: An electronic literature search was conducted in Web of Science and PubMed to identify surgical techniques for scoliosis in patients with Neurofibromatosis 1. Results: Forty-one studies on the operative treatment of dystrophic scoliosis or both subtypes were retrieved. Although aggressive treatment with combined anterior and posterior fusion are widely used, posterior-only methods, which avoid plexiform tumours, present encouraging results. Recent studies highlight the effectiveness of growing rod systems in early-onset cases, enabling delayed fusion while preserving T1-S1 growth. Promising results from sectional or segmented correction techniques demonstrate better sagittal balance and Cobb angle correction, respectively. Preoperative use of halo-gravity traction, which has been extensively studied, is associated with reduced neurological impairment and encourages better correction results, avoiding autofusion. Various studies have also reported more precise pedicle screw placement with guidance of O-arm and triggered electromyography (t-EMG). Conclusions: The correction of spinal scoliotic deformities presents a significant challenge. However, recent advances in surgical techniques and intraoperative guidance offer promising strategies for more effective management. Full article
Show Figures

Figure 1

25 pages, 684 KB  
Review
The Pathogenesis of the Neurofibroma-to-Sarcoma Transition in Neurofibromatosis Type I: From Molecular Profiles to Diagnostic Applications
by Sabrina Busciglio, Ilenia Rita Cannizzaro, Anita Luberto, Antonietta Taiani, Barbara Moschella, Enrico Ambrosini, Sofia Cesarini, Mirko Treccani, Cinzia Azzoni, Lorena Bottarelli, Domenico Corradi, Vera Uliana, Davide Martorana, Valeria Barili and Antonio Percesepe
Cancers 2025, 17(24), 3955; https://doi.org/10.3390/cancers17243955 - 11 Dec 2025
Viewed by 465
Abstract
Neurofibromatosis type 1 (NF1) predisposes to a spectrum of peripheral nerve sheath tumors, ranging from benign plexiform neurofibromas (PN) to atypical neurofibromatous neoplasms of uncertain biological potential (ANNUBP) and malignant peripheral nerve sheath tumors (MPNST). Tumorigenesis follows a multistep molecular cascade initiated by [...] Read more.
Neurofibromatosis type 1 (NF1) predisposes to a spectrum of peripheral nerve sheath tumors, ranging from benign plexiform neurofibromas (PN) to atypical neurofibromatous neoplasms of uncertain biological potential (ANNUBP) and malignant peripheral nerve sheath tumors (MPNST). Tumorigenesis follows a multistep molecular cascade initiated by biallelic NF1 inactivation, followed by CDKN2A loss and disruption of the Polycomb Repressive Complex 2 (PRC2). These events guide chromatin remodeling, widespread epigenetic dysregulation, and activation of oncogenic pathways such as RAS/MAPK and PI3K/AKT. Here, we integrate genomic, transcriptomic, and epigenomic studies to delineate the molecular trajectories underlying tumor progression and to define promising biomarkers for the early detection of malignant transformation. Emerging liquid biopsy approaches, based on circulating tumor DNA (ctDNA) analyses, reveal distinctive copy number variations (CNVs) and methylation patterns that mirror tissue-derived profiles, enabling the detection of malignant transformation. Together, these findings support a model in which cumulative genetic and epigenetic alterations drive the PN–ANNUBP–MPNST continuum. They also underscore the value of multi-omics and liquid biopsy-based strategies to improve early diagnosis, patient risk stratification, and personalized management of NF1-associated tumors, thereby advancing precision medicine in this complex disease spectrum. Full article
(This article belongs to the Special Issue Neurofibromatosis)
Show Figures

Figure 1

12 pages, 3004 KB  
Article
High-Resolution Nerve Ultrasound in Adults with NF1: An Accessible and Reproducible Imaging Tool for Plexiform Neurofibromas
by D. Christine Noordhoek, Koen C. van Tulder, Tessa A. Ennik, Walter Taal and Judith Drenthen
Diagnostics 2025, 15(24), 3146; https://doi.org/10.3390/diagnostics15243146 - 10 Dec 2025
Viewed by 270
Abstract
Background/Objectives High-resolution nerve ultrasound (HRUS) is a promising imaging modality in patients with neurofibromatosis type 1 (NF1). The aim of this study was to evaluate the use of HRUS in adults with NF1 by assessing changes in HRUS findings over a two-year follow-up [...] Read more.
Background/Objectives High-resolution nerve ultrasound (HRUS) is a promising imaging modality in patients with neurofibromatosis type 1 (NF1). The aim of this study was to evaluate the use of HRUS in adults with NF1 by assessing changes in HRUS findings over a two-year follow-up time and reporting interobserver variability. Methods Sixty adult patients with NF1 were invited for a study visit including a clinical examination, nerve conduction studies (NCSs) and HRUS, at baseline and after two-years follow-up. The nerve cross-sectional area (CSA) was measured at standard anatomical sites and at additional sites in cases of nerve enlargements. In 16 patients, the CSA measurements of the median nerve on one side were performed by two observers to assess interobserver variability. Results Fifty-two patients participated in the follow-up visit. During follow-up, 40% of nerve enlargements increased, 46% decreased and 14% remained stable. Especially larger CSA measurements at baseline showed substantial increases and decreases at follow-up. The presence or absence of plexiform neurofibromas remained the same. Interobserver agreement of median nerve CSA measurements with HRUS was 0.982 (95% CI: 0.969–0.99). Conclusions HRUS can be an important additional imaging tool in patients with NF1. It is helpful to distinguish between patients with and without plexiform neurofibromas, which is relevant for estimating the risk of developing malignant peripheral nerve sheath tumors (MPNSTs). The good interobserver agreement supports the use of HRUS in clinical practice. The majority of nerve enlargements decreased spontaneously in size within two years, which limits the reliability of tumor volume as sole marker for treatment response. Full article
(This article belongs to the Special Issue Neurofibromatosis and Schwannomatosis: Diagnosis and Management)
Show Figures

Figure 1

9 pages, 8215 KB  
Case Report
Non-Syndromic Ganglioneuromatosis of the Gallbladder, an Extremely Rare Condition: Case Report and Literature Review
by Catalin-Bogdan Satala, Alina-Mihaela Gurau, Gabriela Patrichi and Daniela Mihalache
Reports 2025, 8(4), 259; https://doi.org/10.3390/reports8040259 - 7 Dec 2025
Viewed by 300
Abstract
Background and Clinical Significance: Ganglioneuromatosis is a benign proliferation of mature ganglion cells, Schwann cells, and nerve fibers within the enteric or autonomic nervous system. According to the WHO classification, it encompasses a spectrum range from solitary ganglioneuroma to ganglioneuromatous polyposis and [...] Read more.
Background and Clinical Significance: Ganglioneuromatosis is a benign proliferation of mature ganglion cells, Schwann cells, and nerve fibers within the enteric or autonomic nervous system. According to the WHO classification, it encompasses a spectrum range from solitary ganglioneuroma to ganglioneuromatous polyposis and diffuse mural involvement. It is most commonly encountered in the colon and small bowel and is strongly associated with hereditary syndromes such as neurofibromatosis type 1 (NF1), multiple endocrine neoplasia type 2B (MEN2B), and Cowden syndrome. The involvement of the gallbladder is exceptional and only isolated cases have been documented. Case Presentation: We present the case of 64-year-old man admitted with longstanding right hypochondrium and epigastric pain, accompanied by intermittent nausea and occasional bilious vomiting. A cholecystectomy was performed and the histology result showed hypertrophic nerve fibers with interspersed mature ganglion cells within the fibromuscular layer. Immunohistochemistry supported neural origin and glial differentiations, consistent with ganglioneuromatosis of the gallbladder. The patient has no clinical evidence of NF1, MEN2B, or Cowden syndrome, adding a non-syndromic adult case to the very limited literature on this entity. Conclusions: This is a rare, non-syndromic adult case of gallbladder ganglioneuromatosis, contributing to the very limited literature on this entity. Full article
Show Figures

Figure 1

25 pages, 324 KB  
Guidelines
Consensus on Malignant and Benign Tumors in Pediatric Patients with Neurofibromatosis Type 1: On Behalf of the Brazilian Society of Pediatric Oncology (SOBOPE)
by Luiz Guilherme Darrigo Junior, Viviane Sonaglio, Sima Esther Ferman, Eliana Caran, Neviçolino Pereira Carvalho Filho, Sidnei Epelman, Vicky Nogueira Pileggi, Julia Lima, Ruth Bartelli Grigolon and Mauro Geller
Curr. Oncol. 2025, 32(12), 664; https://doi.org/10.3390/curroncol32120664 - 27 Nov 2025
Viewed by 636
Abstract
Neurofibromatosis type 1 (NF1) is an inherited, autosomal dominant syndrome that affects about 1 in every 3000 people worldwide. Early tumor detection is crucial for surveillance and intervention, especially given the potential for serious complications, including visual impairment, skeletal deformities, and malignancy. Therefore, [...] Read more.
Neurofibromatosis type 1 (NF1) is an inherited, autosomal dominant syndrome that affects about 1 in every 3000 people worldwide. Early tumor detection is crucial for surveillance and intervention, especially given the potential for serious complications, including visual impairment, skeletal deformities, and malignancy. Therefore, it is essential for pediatricians and other healthcare professionals who provide care to these patients to be aware of all signs, treatments, and management strategies to deliver the best possible care. This study aims to develop a consensus for the diagnosis, treatment, and management of benign and malignant tumors associated with pediatric patients with NF1. Delphi methodology was used to achieve consensus among experts on the diagnostic accuracy, therapeutic efficacy, safety, and surveillance of pediatric patients with NF1. The consensus made 24 recommendations: gliomas in the optic pathway—6 statements, non-optical gliomas—2 statements, plexiform neurofibromas—5 statements, malignant peripheral nerve sheath tumors (MPNST)—6 statements, melanoma—1 statement, juvenile myelomonocytic leukemia (JMML)—1 statement, pheochromocytoma and paraganglioma—2 statements, and gastrointestinal stromal tumors (GIST)—1 statement. This consensus represents the first Brazilian recommendations on malignant and benign tumors in pediatric patients with NF1, providing a framework to standardize and optimize the clinical application for this disease. Full article
(This article belongs to the Special Issue Neurofibromatosis Type 1 (NF1) Tumor Spectrum)
25 pages, 2062 KB  
Review
Neurofibromatosis Type 1: Genetic Mechanisms and Advances in Therapeutic Innovation
by Yuqing Lu, Manzhu Xu, Xiaojun Chen, Huazhen Xu, Nihao Sun, Karis E. Weisgerber and Ren-Yuan Bai
Cancers 2025, 17(23), 3788; https://doi.org/10.3390/cancers17233788 - 26 Nov 2025
Viewed by 1522
Abstract
Mutations in the NF1 gene cause Neurofibromatosis Type 1 (NF1), one of the most common genetic disorders. This gene encodes neurofibromin, a member of the GTPase-activating protein (GAP) family that functions as a negative regulator of RAS signaling. Loss of NF1 function leads [...] Read more.
Mutations in the NF1 gene cause Neurofibromatosis Type 1 (NF1), one of the most common genetic disorders. This gene encodes neurofibromin, a member of the GTPase-activating protein (GAP) family that functions as a negative regulator of RAS signaling. Loss of NF1 function leads to persistent RAS activation and promotes tumor growth. The clinical manifestations of NF1 mainly include pigmentary changes, benign and malignant peripheral nerve sheath tumors, as well as gliomas affecting the central nervous system. Currently, MEK inhibition is the only approved therapy and is primarily effective in controlling plexiform neurofibromas (pNFs). However, more comprehensive treatments are needed to address the full spectrum of NF1 manifestations and malignant transformation. Novel therapeutic strategies, including AAV-based gene therapy aimed at restoring NF1 function, oncolytic herpes simplex virus (oHSV) therapy targeting RAS-dysregulated tumor cells, and chimeric antigen receptor T cell (CAR-T) therapy targeting NF1-associated tumors, are under active investigation. In this review, we explore the genetic mechanisms underlying NF1 and highlight recent advances in therapeutic development with a special focus on AAV-based gene therapies alongside other approaches with recent clinical and translational advancements. Full article
(This article belongs to the Special Issue Advances in Neurofibromatosis)
Show Figures

Figure 1

22 pages, 874 KB  
Review
Challenges and Progress for Treatment of Malignant Peripheral Nerve Sheath Tumors in the Context of Recent Successes for Sarcoma Therapy
by John F. Callaghan and Raymond R. Mattingly
Cancers 2025, 17(23), 3781; https://doi.org/10.3390/cancers17233781 - 26 Nov 2025
Viewed by 1022
Abstract
Malignant peripheral nerve sheath tumors (MPNSTs) are one of the most difficult sarcomas to treat. Due to the rarity of MPNSTs, many of the therapeutic approaches used are from treatment guidelines for soft tissue sarcoma. Besides surgery, little success has been achieved using [...] Read more.
Malignant peripheral nerve sheath tumors (MPNSTs) are one of the most difficult sarcomas to treat. Due to the rarity of MPNSTs, many of the therapeutic approaches used are from treatment guidelines for soft tissue sarcoma. Besides surgery, little success has been achieved using these therapies. Traditional chemotherapy and radiation therapy regimens designed to treat sarcoma have unclear efficacy when used to treat MPNSTs. Targeted therapeutics that succeeded in other sarcomas failed to produce positive results in MPNSTs. Moreover, investigational agents that have shown efficacy in preclinical models have produced disappointing outcomes in clinical trials. While therapeutic options for patients with MPNST have remained relatively stagnant, dramatic improvements in therapeutic outcomes of other rare sarcomas have been made. This difference in success is likely caused by the complex heterogeneity of MPNSTs that hinders drug development, although many MPNSTs are associated with neurofibromatosis type 1 (NF1), a genetic disorder resulting from mutations in the NF1 gene that encodes the negative RAS regulator neurofibromin. The development of new agents for MPNST treatment has shifted away from solely targeting RAS pathway gene products to stimulating the immune system and manipulating other MPNST driver mutations such as CDKN2A/B, SUZ12, EED, and TP53. This review presents recent advances in the treatment of sarcomas and the future of drug development targeting MPNSTs. Full article
(This article belongs to the Special Issue Insights from the Editorial Board Member)
Show Figures

Figure 1

50 pages, 2122 KB  
Review
Neurofibromatosis Type 1 and the Search for Effective Tumor Therapies Using High-Throughput Drug Screening
by Stephanie J. Bouley, Benjamin E. Housden and James A. Walker
Curr. Oncol. 2025, 32(11), 649; https://doi.org/10.3390/curroncol32110649 - 20 Nov 2025
Viewed by 1277
Abstract
Neurofibromatosis type 1 (NF1) is a complex, multisystem, genetic disorder caused by germline NF1 variants that predispose affected individuals to tumors of the nervous system. With the identification of the NF1 gene in the late 1980s and the elucidation of the role of [...] Read more.
Neurofibromatosis type 1 (NF1) is a complex, multisystem, genetic disorder caused by germline NF1 variants that predispose affected individuals to tumors of the nervous system. With the identification of the NF1 gene in the late 1980s and the elucidation of the role of the encoded protein, neurofibromin, in regulating RAS signaling, considerable research effort has been invested to identify therapeutic treatments for NF1 tumors. Over the past two decades, high-throughput drug screening approaches have been a significant component of these endeavors. However, considerable variability exists among studies in terms of disease models, symptom targets, screening libraries, methods, and outcomes. In this review, we present an overall summary of efforts toward discovering new therapeutic strategies for NF1-related tumors using high-throughput screening and how such findings can be employed for prospective research in the NF1 field. Full article
(This article belongs to the Special Issue Neurofibromatosis Type 1 (NF1) Tumor Spectrum)
Show Figures

Graphical abstract

11 pages, 2005 KB  
Article
High Allelic Heterogeneity in Kazakhstani Patients with Neurofibromatosis Type 1: Results from the First Molecular Study
by Zhannat Idrissova, Farida Rakhimbekova, Madina Orazgaliyeva, Madina Zhaksybek, Kristina Kovaleva, Saltanat Abdikerim, Aizhan Ormankyzy and Petr Vasiluev
Genes 2025, 16(11), 1390; https://doi.org/10.3390/genes16111390 - 19 Nov 2025
Viewed by 547
Abstract
Background/Objectives: This study presents the first molecular characterization of NF1 gene variants in Kazakhstani patients, expanding regional understanding of neurofibromatosis type 1 (NF1). The NF1 gene encodes neurofibromin, a tumor suppressor protein that regulates the MAPK signaling pathway; its inactivation results in [...] Read more.
Background/Objectives: This study presents the first molecular characterization of NF1 gene variants in Kazakhstani patients, expanding regional understanding of neurofibromatosis type 1 (NF1). The NF1 gene encodes neurofibromin, a tumor suppressor protein that regulates the MAPK signaling pathway; its inactivation results in NF1, a multisystem disorder with pigmentary and tumor manifestations. Methods: A total of 60 pediatric and young adult patients of University Clinic Aksai were selected based on Legius criteria and studied clinically; genetic variants of NF1 gene were determined with AmpliSeq for Illumina Myeloid Panel (next generation sequencing). Results: Pathogenic or likely pathogenic (with some variants of unknown significance) were detected in 58 of 60 (96.7%) patients. Among them, 27 (46.6%) carried point variants, 21 (36.2%) had genomic deletions, 3 (5.2%) had duplications, 3 (5.2%) insertions, and 4 (6.9%) had exon–intron splicing site variants. Notably, all patients with duplication insertions and splicing variants presented with plexiform neurofibromas. Conclusions: The study defines the first variant spectrum in a Kazakhstani population, confirming genotype–phenotype correlations consistent with European cohorts (l.). These data highlight the predominance of structural and splicing alterations in patients with plexiform neurofibromas and support the integration of molecular testing into clinical management of NF1 in Kazakhstan. Full article
(This article belongs to the Section Human Genomics and Genetic Diseases)
Show Figures

Figure 1

14 pages, 758 KB  
Article
Clinical and Genetic Characterization of Noonan Syndrome in a Romanian Cohort from Transylvania: Details on PTPN11 c.922A>G Variant and Phenotypic Spectrum
by Florina Victoria Nazarie, Diana Miclea, Crina Șufană, Alina Botezatu, Radu Anghel Popp, Ionela Maria Pascanu, Camelia Alkhzouz, Simona Bucerzan, Călin Lazăr, Cecilia Lazea and Romana Vulturar
Diagnostics 2025, 15(21), 2753; https://doi.org/10.3390/diagnostics15212753 - 30 Oct 2025
Viewed by 682
Abstract
Background: Noonan syndrome (NS) is a genetically heterogeneous condition within the RASopathies spectrum, with distinctive craniofacial features, congenital heart defects, short stature, and variably present developmental delay. Most cases result from variants in genes regulating the RAS/MAPK pathway, with PTPN11 variants being [...] Read more.
Background: Noonan syndrome (NS) is a genetically heterogeneous condition within the RASopathies spectrum, with distinctive craniofacial features, congenital heart defects, short stature, and variably present developmental delay. Most cases result from variants in genes regulating the RAS/MAPK pathway, with PTPN11 variants being the most frequent; the c.922A>G substitution being among the most commonly reported. Methods: This pilot study analyzed clinical and partial genetic features of NS in a cohort from Transylvania, evaluated in the Children’s Emergency Clinical Hospital in Cluj-Napoca. Thirty-one patients fulfilling the Van der Burgt diagnostic criteria (twenty-two males, nine females) were included. Clinical data were systematically reviewed, and targeted molecular testing for the PTPN11 c.922A>G variant was performed. Results: Congenital heart defects were highly prevalent, with pulmonary stenosis representing the most frequent anomaly (54.8%). Craniofacial dysmorphism was observed in 76.7% of cases, cryptorchidism in 50% of the males, and short stature below the third percentile was described in 77.4% of patients. Genetic screening identified the PTPN11 c.922A>G variant in two individuals (6.45%). Additional diagnoses included Williams–Beuren syndrome and a 17q11.2 deletion consistent with Neurofibromatosis–Noonan syndrome, underscoring the clinical and genetic heterogeneity of the cohort. Comparison with international reports highlighted variability in phenotype and variant frequency. Future research directions include Sanger sequencing of key PTPN11 exons and the application of next-generation sequencing targeting all RAS pathway genes. Conclusions: This is the first Romanian cohort study on patients with a clinical suspicion of NS, providing insight into their evaluation. The findings reinforce the need for comprehensive molecular approaches, facilitating diagnostic precision and counseling strategies. Full article
(This article belongs to the Special Issue Insights into Pediatric Genetics)
Show Figures

Graphical abstract

Back to TopTop